Einführung

Bei insgesamt guten Ergebnissen stellen komplikationsbehaftete Verläufe das Behandlungsteam immer wieder vor Herausforderungen. Schon aufgrund der Häufigkeit von Eingriffen am ersten Strahl sind Auseinandersetzungen mit Fehlschlägen kaum zu vermeiden. In der Literatur finden sich Angaben von 5-8 % operative Revisionen, bei einer Gesamtkomplikationsrate von 15 % 12. Für die Chevron- bzw. Austin Osteotomie wird eine Revisionsrate von 0,7-6 % angegeben, für die Scarf-Osteotomie von 8% 32. Die Werte für die Lapidusarthrodese schwanken zwischen 8 und 14 % 24. Die Komplikationsrate nach Arthrodese am Großzehengrundgelenk liegt bei ca. 6-8% 56. In den seltensten Fällen ist der Patient bei einem Fehlschlag primär an einer juristischen Auseinandersetzung interessiert, vielmehr möchte er einen Weg aufgezeigt bekommen, wie die Situation zu retten ist. Das Vertagen des Problems ist selten hilfreich, vielmehr hat sich ein proaktiver Umgang mit einer beherzten Entscheidung zur Revision bewährt wenn sich abzeichnet, dass Zeit das Problem nicht lösen wird.

Differenzialdiagnosen bei Restbeschwerden nach Hallux valgus Korrektur

Wurde bei einer Hallux valgus Korrektur keine gute Stellung der Großzehe erreicht oder kommt es zu anhaltenden Schwellungszuständen oder Schmerzen, liegt in der Mehrzahl der Fällen eine der folgenden Differenzialdiagnosen zu Grunde:

  • Hallux valgus Rezidiv
  • Hallux varus
  • Metallkonflikt
  • progredienten Arthrose im Großzehengrundgelenk
  • avaskuläre Knochennekrose Metatarsale I Kopf
  • Transfermetatarsalgie
  • Wundheilungsstörung
  • Pseudarthrose
  • Infekt
  • Metallunverträglichkeit
  • CRPS
  • Kombination aus den genannten Pathologien

Diagnostik

Ein offensiver und proaktiver Umgang mit Restbeschwerden hat sich bewährt, da dies dem Patienten signalisiert, dass sein Problem ernst genommen wird. Dies schließt eine umfassende Bildgebung und Labordiagnostik ein. Lässt sich das Problem mit konventionellen Röntgenaufnahmen nicht erfassen, so werden ergänzend eine Computertomographie und/oder eine Kernspintomographie durchgeführt. Kann durch die Bildgebung kein relevantes Problem identifiziert werden, so wird die „Zweitmeinung“ des Radiologen helfen den Patienten zu beruhigen den weiteren Verlauf abzuwarten. Oft zeigen sich aber in den Schnittbildverfahren Pathologien die in der konventionellen Röntgendiagnostik nicht darstellbar sind. Die 3-Phasen-Skeletszinitgraphie hat gegenüber CT und MRT ihre Bedeutung weitgehend verloren. Gerade bei Metallüberlagerung sind allerdings die Möglichkeiten der MR-Bildgebung limitiert, so dass sich unter Umständen Indikationen für ein SPECT/CT ergeben 7. Diese Verfahren, welches die Information des Szintigramms zum Stoffwechsel mit der präzisen Ortsauflösung des CTs kombiniert, kann bei Entzündungen, Infektion oder Metallkonflikten zusätzliche Informationen liefern und unterliegt geringeren Artefakten durch Osteosythesematerial als das MRT.

Hallux valgus Rezidiv

Bildet sich rasch nach einer Hallux valgus Korrektur wieder eine Fehlstellung aus, stellen sich folgende Fragen:
1) War die Wahl des operativen Verfahrens für die vorliegende Fehlstellung adäquat?
2) Wurde der Eingriff technisch korrekt durchgeführt?
3) Haben andere Faktoren (z.B.: Compliance, Begleiterkrankungen) das Problem verursacht?

Wurde ein für die Pathologie nicht adäquates operatives Verfahren gewählt, so sollte Ziel einer operativen Revision sein, eine der Fehlstellung angepasste Korrektur durchzuführen. Lag das Problem in einer unzureichenden operativen Technik, ist die Revision mit korrekter operativer Technik in vielen Fällen die Lösung. Liegen Begleiterkrankungen vor, sind diese nach Möglichkeit zu therapieren um optimale Voraussetzungen für den zweiten operativen Eingriff zu erreichen.

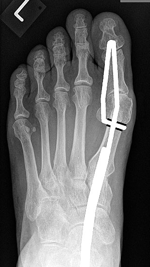
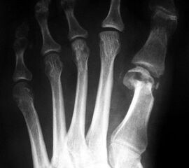
1) Rezidiv bei falschem operativem Verfahren:

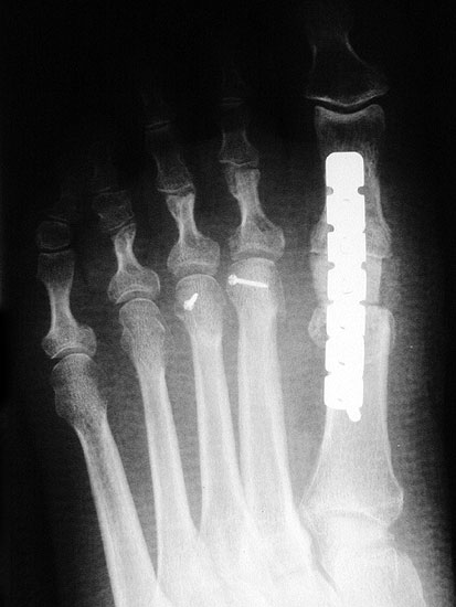
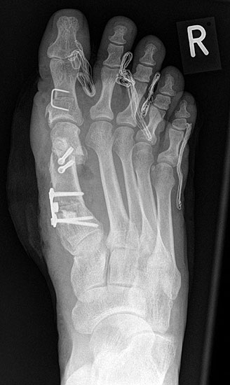
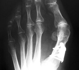
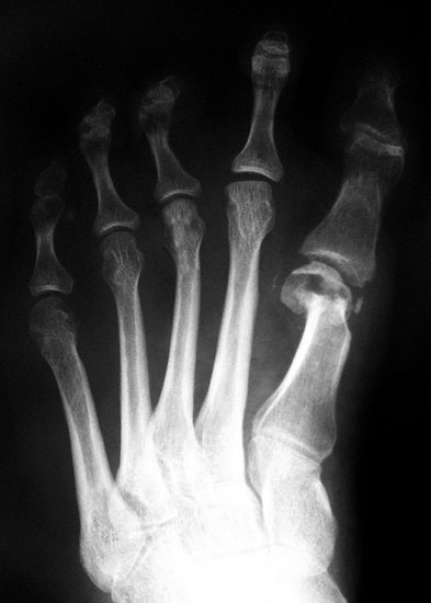
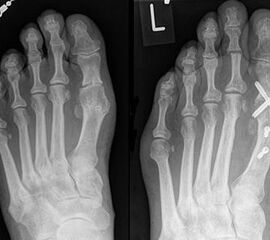
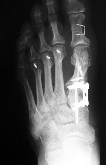
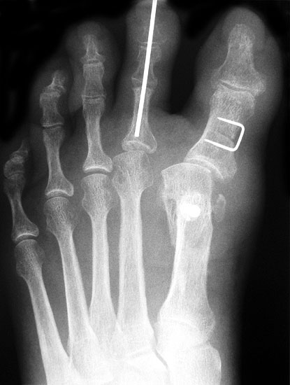
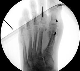
Die Röntgenaufnahmen (Abbildung 1) zeigen den Fuß einer 34 jährigen Patientin nach Exostosenabtragung. Der erhöhte intermetatarsale Winkel wurde durch eine alleinige Abtragung der Exostose nicht reduziert. Als weiterer Risikofaktor für ein Rezidiv liegt ein pathologischer Gelenkwinkel vor. Der intermetatarsale Winkel von 18 Grad kann durch eine basisnahe Osteotomie gut korrigiert werden. Da durch die gleichzeitige distale Korrektur des Gelenkflächenwinkels mithilfe einer Reverden-Green Osteotomie ein Längenverlust von ca. 2-4 mm einhergeht, bot sich als proximales Korrekturverfahren die basisnahe Open-wedge Osteotomie an, um bezüglich der Länge des Metatarsale I neutral zu bleiben (Abbildung 2). Die Kombination zweier verkürzender Verfahren (z.B. Lapidus und Reverden-Green) würden zu einem sehr kurzen ersten Strahl führen, mit dem Risiko einer Transfermetatarsalgie. Übersteigt die Verkürzung des Metatarsale I 2 mm, steigt das Risiko für die Entwicklung einer Transfermetatarsalgie deutlich an 8. Die durchgeführte Revision zeigt eine gute Stellung des 1. Strahls bei zentriert stehendem Gelenk.

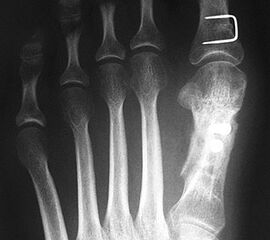
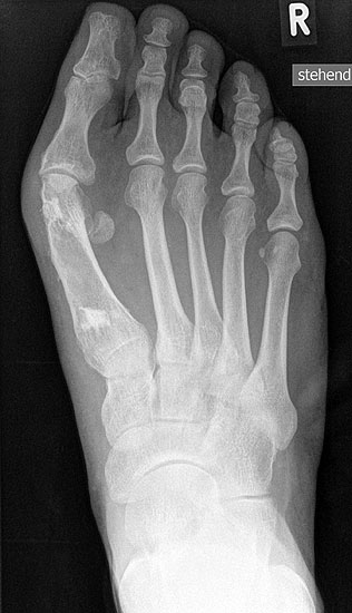
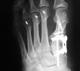
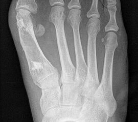
2) Rezidiv bei insuffizienter operativer Technik:

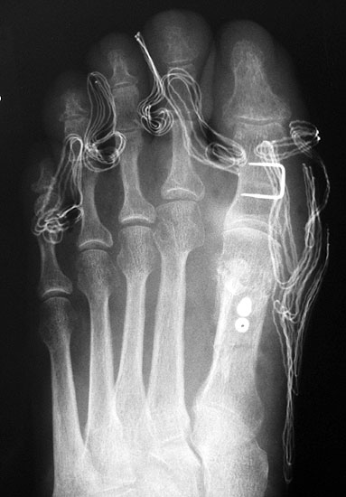
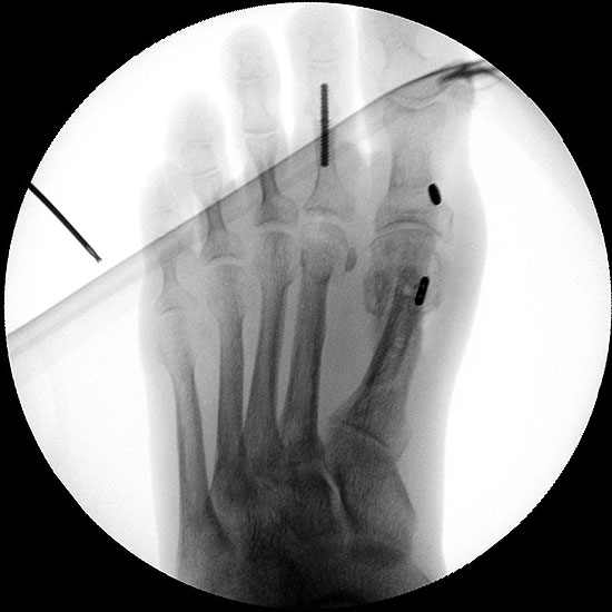
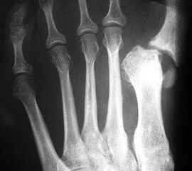
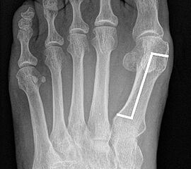
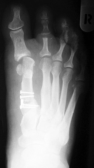
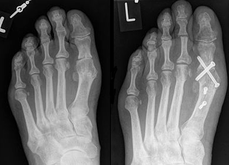
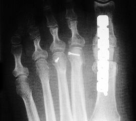
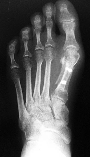
Die dorsoplantaren Röntgenaufnahmen zeigen eine Open-wedge Technik mit der normalerweise ein erhöhter intermetatarsaler Winkel gut zu korrigieren ist (Abbildung 3). Die Wirksamkeit einer Basisosteotomie ist umso größer, je proximaler diese durchgeführt wird. Je weiter distal die Osteotomie, umso geringer die Korrektur. Auf den postoperativen Bildern ist der distal unverändert große Abstand zwischen Metatarsale I und Metatarsale II erkennbar, bei gleichzeitiger Subluxation des Großzehengrundgelenks und dezentrierten Sesambeinen. Darüber hinaus finden sich initiale degenerative Veränderungen im Großzehengrundgelenk. Klinisch bestand eine hohe Weichteilspannung, bei verkürzter Extensor- und Flexor hallucis longus Sehne.  Daher wurde ein verkürzendes Verfahren zur Revision gewählt (Abbildung 4). Die Lapidusarthrodese stellt ein sehr zuverlässiges Verfahren zur Behandlung von Hallux valgus Rezidiven dar 9. Die Fusion des Tarsometatarsale-I-Gelenks kombiniert Stabilität mit einem hohen Korrekturpotenzial. Aufgrund der verfahrensimmanenten Verkürzung des ersten Strahls und der in diesem Fall bereits präoperativ vorhandenen Transfermetatarsalgie wurde die Entscheidung für eine verkürzte Weil-Osteotomie am zweiten bis fünften Strahl gefällt. Die Kombination beider Verfahren führte zu einem homogenen Metatarsale-Index und zu einer gleichmäßigen plantaren Druckverteilung 10. Die Hallux valgus interphalangeus Fehlstellung wurde mit einer Akin-Osteotomie korrigiert.

3) Nicht korrigierter Hallux valgus interphalangeus

Ein Hallux valgus interphalangeus hat neben dem optischen Effekt der „nicht geraden Großzehe“ zur Folge, dass Extensor- und Flexor hallucis longus Sehne lateral des Drehpunktes des Großzehengrundgelenks verlaufen 11. Die Kräfte in Richtung Valgus sind erhöht (Abbildung 5). Darüber hinaus scheint ein Hallux valgus interphalangeus einen negativen Effekt auf den Bewegungsumfang im Großzehengrundgelenk zu haben 12. Die Akin Osteotomie bietet bei isoliertem Hallux valgus interphalangeus eine gute Möglichkeit die Stellung der Großzehe zu verbessern (Abbildung 6).

Hallux varus

Entwickelt sich nach Hallux valgus Korrektur eine Hallux varus Fehlstellung, orientiert sich das weitere Vorgehen vor allem am Zustand des Großzehengrundgelenks. Liegen bereits erhebliche degenerative Veränderungen vor, so ist die Arthrodese das zuverlässigste Verfahren die Stellung dauerhaft zu korrigieren und die Schmerzen zu beseitigen.  Wird eine Hallux varus Fehlstellung frühzeitig erkannt und revidiert, ist häufig ein Gelenkerhalt möglich.

1) Arthrodese Großzehengrundgelenk

Schlüssel für eine erfolgreiche Arthrodese am Großzehengrundgelenk ist die exakte Stellung der Zehe. Eine freie Beweglichkeit im Interphalangealgelenk sollte vorhanden sein, die Grundphalanx sollte den Abrollvorgang nicht behindern und gleichzeitig dorsal nicht im Schuh scheuern. Es ist anzustreben, dass bei Flexion im Interphalangealgelenk die Großzehenbeere den Boden erreicht.

2) Reverser Chevron

Wird eine Überkorrektur frühzeitig erkannt und bestehen noch keine höhergradigen degenerativen Veränderungen am Großzehengrundgelenk, kann in vielen Fällen die Gelenkfunktion erhalten werden. Findet sich eine knöcherne Überkorrektur, so kann durch eine Medialisierung des Metatarsale I Köpfchens wieder eine balancierte Gelenkssituation erreicht werden 13. Das Vorgehen gestaltet sich analog einer Chevron Osteotomie, nur dass die Verschiebung des Metatarsale I Köpfchens nach medial vorgenommen wird. Kombiniert wird das Verfahren mit einem medialen Release der Gelenkkapsel, bzw. einer Verlängerung der Sehne des M. abductor hallucis. Auch wenn die Technik eine gute Korrektur des Alignements erlaubt, verbleiben in vielen Fällen leichte Bewegungseinschränkungen 14 (Abbildung 9 und 10).

3) Transposition der Extensor hallucis longus Sehne

Ist die laterale Gelenkkapsel instabil, kann durch eine hälftige Transposition der Extensor hallucis longus Sehne die Großzehe rezentriert werden 15. Hierzu wird die Extensor hallucis longus Sehne über eine Länge von ca. 10 cm gesplittet und proximal abgesetzt. Der nun distal gestielte Sehnenzügel wird plantar unter dem Ligamentum intermetatarseum durchgezogen und unter Justierung der optimalen Vorspannung periostal oder transossär am Metatarsale I fixiert (Abbildung 11). 

Es sind auch Techniken beschrieben mit proximal gestieltem Zügel und Fixation an der Grundphalanx, bzw. ein Transfer der Abduktorensehne 1516. Nachteil aller dieser Verfahren ist, dass die hiermit verbundene Tenodese stets mit einer Einschränkung der aktiven Beweglichkeit im Großzehengrundgelenk einhergeht.

4) Augmentation der lateralen Kapsel durch ein ThightRope™ System

Eine isolierte Instabilität der lateralen Kapsel lässt sich auch mit einem ThightRope™ System (Fa. Arthrex, Naples, Florida) behandeln 17. Über ein Bohrloch im Kapselbereich des Metatarsale I und ein weiteres Bohrloch in der Grundphalanx wird der Faden des ThightRope™ Systems zur Verstärkung der lateralen Gelenkkapsel eingezogen (Abbildung 12 und 13). Es ist darauf zu achten, dass der Faden in der Gelenkachse verläuft, da ansonsten die Grundphalanx nach dorsal oder plantar gezogen wird mit entsprechender Bewegungseinschränkung.

Metallkonflikt

Die meisten heute verwendeten Osteosynthesematerialien sind zum Verbleib im Knochen gedacht. Die Möglichkeit eines störenden Metalls, sei es durch einen geringfügigen Überstand oder eine Unverträglichkeit wird häufig unterschätzt. Unverträglichkeiten auf Stahlimplantate werden mit bis zu 25 % in der Literatur beschrieben 18. Allergische Reaktionen auf Titan sind seltener und sind meist Ursache von Legierungen. Auch zeigen CT Bilder immer wieder, dass bei vermeintlich korrekter Positionierung des Osteosynthesematerials im konventionellen Röntgen ein Schraubenüberstand für die Beschwerden verantwortlich ist. Sowohl bei offensichtlichem Metallkonflikt als auch bei anderweitig nicht erklärbarer Beschwerdesymptomatik stellt die Metallentfernung einen sehr kleinen Eingriff dar, mit dem in vielen Fällen eine deutliche Besserung erreicht werden kann (Abbildung 14).

Avaskuläre Knochennekrose

Die Inzidenz der avaskulären Nekrose nach Osteotomie des Metatarsale I wird mit ca. 8% angegeben 1920. Neary et al. fanden in einer MRT Studie eine signifikante Reduktion der Durchblutung des Metatarsalekopfes und folgerten daraus ein erhebliches Risiko für eine Osteonekrose 21. Dem stehen die Resultate andere Studien entgegen die zwar eine Reduktion der Durchblutung beschreiben, allerdings trotzdem eine ausreichende Restdurchblutung fanden 2223. Neben der Osteotomie kann ein ausgedehntes laterales Release zu einer signifikanten Verschlechterung der Durchblutung führen.  Die von einigen Autoren postulierte Inzidenz von 8% kann von vielen Operateuren so nicht nachvollzogen werden19. Trotzdem gilt avaskuläre Nekrose als seltene, aber schwere Komplikation einer Hallux valgus Korrektur.
Kommt es zu einer avaskulären Nekrose, so  ist die Arthrodese kaum zu vermeiden (Abbildung 15). Ein biomechanisch relevanter Längenverlust kann durch die Interposition eines trikortikalen Beckenkammspans ausgeglichen werden (Abbildung 16). Defektzonen von bis zu einem Zentimeter lassen sich alternativ über eine distrahierende Scarf-Osteotomie ausgleichen, was mit einer geringeren Morbidität verbunden ist als eine Verlängerung mit Hilfe eines Knochentransplantats 24 (Abbildung 17). Bei der Präparation sollten die plantaren und lateralen Gefäße möglichst erhalten werden.

Progredienten Arthrose im Großzehengrundgelenk

Viele Patienten mit Hallux valgus Fehlstellung haben bereits zum Zeitpunkt der Korrektur initiale degenerativen Veränderungen im Großzehengrundgelenk. Auch eine korrekt durchgeführte Hallux valgus Korrektur bietet keine Garantie gegen ein Fortschreiten der degenerativen Veränderungen. Für Patienten ist dies oft schwer zu verstehen, da sie zum Zeitpunkt der Hallux valgus Korrektur vermeintlich im Gelenk schmerzfrei waren und ihre Beschwerden ausschließlich auf die Fehlstellung zurückführen. Unverändert stellt die Arthrodese das zuverlässigste Verfahren zur Therapie einer fortgeschrittenen Arthrose am Großzehengrundgelenk dar 255. Es hat sich als hilfreich erwiesen, auch geringgradige degenerative Veränderungen im Aufklärungsgespräch mit dem Patienten zu kommunizieren, einschließlich möglicher resultierender Probleme im zeitlichen Verlauf.

Pseudarthrose

Eine verzögerte Knochenheilung wird bei distalen Osteotomien in Zusammenhang mit einer gestörten Durchblutung des Metatarsale I gesehen 26. Für proximale Osteotomien wird die Pseudarthroserate mit ca. 3 % angegeben 27 (Abbildung 20). Möglicherweise bietet das minimalinvasive Vorgehen bezüglich der Knochenheilung Vorteile 28. Läßt sich anhand konventioneller Röntgenaufnahmen der Verdacht nicht bestätigen, kann mit einem CT eine fehlende Überbauung meist zweifelsfrei belegt werden. 
Neuere Studien unterstreichen die Rolle von Vitamin D3 bei der Knochenheilung. Brinker et al. (2007)29 fanden in über 80% der Patienten mit verzögerter Knochenheilung endokrinologische Auffälligkeiten, die sich durch eine medikamentöse Substitution behandeln ließen. Dies gilt insbesondere für einen erniedrigten Vitamin D3 Spiegel im Serum. Die optimistische Einschätzung des Effektes einer Ultraschallbehandlung bei verzögerter Knochenheilung und Pseudarthrosebildung konnten wir anhand eigener Daten bisher nicht reproduzieren 3031. Aktuelle Arbeiten sehen die Rolle der Ultraschallbehandlung vor allem als adjuvantes Verfahren nach operativer Revision einer Pseudarthrose 32. Bei gelockertem Osteosynthesematerial, Korrekturverlust und/oder Verkürzung des Metatarsale ist die Indikation zur operativen Revision gegeben. Die Pseudarthrose wird ausgeräumt und die Defektzone mit Spongiosa aufgefüllt (Abbildung 21). Aufgrund der höheren osteogenen Potenz bevorzugen wir bei der Pseudarthrosenrevision Spongiosa vom Beckenkamm 33.

Transfermetatarsalgie

Eine reduzierte Lastaufnahme des 1. Strahls durch ein verkürztes und/oder eleviertes Metatarsale I ist typischerweise Ursache für eine Transfermetatarsalgie. Ziel einer Hallux valgus Korrektur ist es wieder eine gleichmäßige Druckverteilung unter dem Vorfuß zu erreichen, da die Hallux valgus Fehlstellung in vielen Fällen mit einer reduzierten Lastübertragung des ersten Strahls einhergeht. Es wird empfohlene bei der Chevron- oder Scarf-Osteotomie die Schnittebene ca. 15-20° nach plantar zu kippen um eine entsprechende Plantarisierung des Metatarsale I Köpfchens zu erreichen 34. Führt das Korrekturverfahren zu einer Verkürzung des Metatarsale I, kann diese Verkürzung durch eine gleichzeitige Plantarisierung des Metatarsale I weitgehend ausgeglichen werden (z.B. Lapidusarthrodese). Schmerzen unter dem Metatarsale II und III Köpfchen können Folge einer anhaltend gestörten plantaren Druckverteilung sein.
Ziel ist die plantare Druckverteilung zu normalisieren. Konservativ besteht die Möglichkeit durch eine im Vorfuß weichbettende Einlagenversorgung eine größtmögliche Auflagefläche zu erreichen. Die sehr stabile Verankerung der Metatarsale II Basis limitiert die Möglichkeiten den zweiten Strahl durch eine Pelotte deutlich anzuheben. Die Lastaufnahme der Metatarsalia II und III läßt sich durch verkürzende und/oder elevierende Osteotomien reduzieren (z.B: Weil-Osteotomie).
Alternativ kann bei einem elevierten Metatarsale I auch eine sagitale Korrektur der Fehlstellung durch eine Z-Osteotomie erreicht werden (Abbildung 22). Diese Osteotomie erlaubt eine Plantarisierung und ggf. auch Verlängerung des Metatarsale I.

Arthrodese Metatarsophalangealgelenk

Die Häufigkeit einer Pseudarthrose nach Arthrodese am Großzehengrundgelenk wird in der Literatur mit  bis zu 20% angegeben, die meisten Autoren berichten aber über Werte zwischen 5 und 10% 3536. Bisher gibt es keine Evidenz, dass Platten bezüglich der Pseudarthroserate bessere Ergebnisse liefern als gekreuzte Schrauben. Die dreidimensional geformten Platten erleichtern allerdings die korrekte Positionierung der Zehe, aufgrund ihrer leichten Valgus- und Dorsalstellung.
Die Prinzipien der Pseudarthrosenbehandlung sind analog der Hallux valgus Korrektur anzuwenden (siehe oben). Die größere Herausforderung im medizinischen Alltag sind allerdings Patienten, die aufgrund einer nicht idealen Stellung des Gelenks über anhaltende Beschwerden klagen. Nach einer Arthrodese kann die Großzehe im Schuh nicht ausweichen. Bei zu geringer Valgusstellung kommt es häufig zu rezidivierenden Entzündungen des medialen Nagelfalz. Meist läßt sich die Situation durch ausreichend weites Schuhwerk beherrschen, ansonsten ist die Indikation zur Stellungskorrektur gegeben.
Wurde die Zehe im Großzehengrundgelenk beim Primäreingriff zu weit in Dorsalstellung positioniert, kommt es zu einem Schuhkonflikt der distalen Grundphalanx mit dem Schuh. Schwielen sind ein typisches Zeichen (Abbildung 23). Schuhe mit Absätzen können die Fehlstellung ausgleichen. Lassen sich die Symptome damit nicht ausreichend therapieren, ist die Revision mit Stellungskorrektur indiziert. Gleiches gilt für ein zu weit plantar eingestelltes Grundglied. Hier klagen die Patienten über persistierende Schmerzen plantar im Bereich der Kapsel des Interphalangealgelenks. Die Zehe sperrt bei der Abrollbewegung (Abbildlung 24).
Die optimale Stellung der Grundphalanx wird mit 10-20° Valgus und 10° Dorsalextension zur Horizontalen (20-30° zur Metatarsale I Achse) angegeben (Wülker, 2006). Dabei soll die Zehenkuppe im Stand den Boden erreichen, gleichzeitig die Grundphalanx beim Abrollvorgang nicht sperren (Abbildung 25 und 26).

Die Osteotomie wird bei der Revision einer Arthrodese im Bereich des ehemaligen Gelenkspalts durchgeführt. Zur intraoperativen Orientierung können dorsal und plantar des 1. Strahls gerade Meisel angelegt werden. Die Position der Großzehe zwischen den beiden Achsen erlaubt eine gute Orientierung in der Sagitalebene (Abbildung 27). Beim belasteten Fuß sollte die Großzehe die 2. Zehe nicht verdrängen, gleichzeitig darf aber auch kein Spalt zur 2. Zehe entstehen.

Wundheilungsstörung und Infekt

Zeichnet sich eine Wundheilungsstörung oder ein Infekt ab, hat sich unseren Händen ein aggressives Vorgehen bewährt. Die Antibiotika-Therapie erfolgt nach den allgemeinen Regeln für Knochen- und Weichteilinfekte. Lässt sich aufgrund der Weichteilschwellung nach operativer Revision ein primärer Wundverschluss nicht erreichen, kann durch eine mehrtägige Vakuumbehandlung der Wundgrund konditioniert werden 37. Nach Ausheilung des Infektes können Defektzonen bis ca. 4 cm durch eine Dermatotraktion sekundär verschlossen werden (Abb. 28). Hierzu werden Klammern in den Wundrand gesetzt durch welche ein elastischer Vessel-Loop eingezogen wird (Abbildung 29). Beim täglichen Verbandswechsel wird sukzessive die Vorspannung erhöht. Durch die gleichmäßige Traktion über mehrere Tage lässt sich so die Wunde verschließen. Bei mittelgroßen Defekten kann nach Konditionierung des Wundgrundes der Defekt mit Spalthaut verschlossen werden. Die großen Sehnenflächen am Fußrücken limitieren allerdings diese Technik 38. Auf freiliegen Sehnen gelingt es normalerweise nicht einen ausreichenden Granulationsrasen zu erzeugen, der die Basis für eine erfolgreiche Spalthauttransplantation bildet. In solchen Fällen, sowie bei größeren Defekten ist zeitnah die Mitbetreuung des Patienten durch einen plastischen Chirurgen sinnvoll 39. Mithilfe gefäßgestielter Lappen lassen sich auch großflächige Defekte kosmetisch zufriedenstellend verschließen (Abbildung 28).

CRPS

Besteht auch nur der geringste Verdacht auf ein CRPS (Complex regional pain syndrome) ist eine rasche interdisziplinäre Betreuung des Patienten sinnvoll. Eine frühe Diagnose und Abgrenzung gegenüber anderen Differentialdiagnosen ist mit Hilfe des MRTs möglich. Hier zeigt sich beim CRPS ein diffus-fleckiges Knochenmarködem mit subkortikaler Ödembildung sowie ein Weichteilödem (Stäbler, 2013). Primär sollte eine suffiziente Schmerztherapie mit nichtsteriodalen Antiphlogistica und Opiaten angestrebt werden 40. Die Evidenz für physiotherapeutische und physikalische Maßnahmen wie Lymphdrainage oder Aquatherapie ist gering, im Alltag haben sich entsprechende Therapiemaßnahmen aber bewährt 41. Die Rolle einer ergänzenden Gabe von Psychopharmaka wird kontrovers diskutiert 42.
Schmerztherapeuten und physikalische Mediziner haben zu diesem Krankheitsbild einen anderen Zugang, häufig weitere therapeutische Ansätze und oft auch mehr Geduld für die langwierige und kommunikationsintensive Betreuung. Aktuelle Forschungsansätze beschäftigen sich mit der Rolle von Vitamin C und K, während die Sympathicus-Blockade wesentlich an Bedeutung eingebüßt hat 434445.

Weitere Literatur

  • Stäbler A, Szeimies U, Walther M: Bildgebende Diagnostik des Fußes. Thieme, Stuttgart, 2013
  • Wülker N, Stephens MM, Cracchiolo A: Operationsatlas Fuß und Sprunggelenk, Thieme, Stuttgart, 2006
Loading…
Loading the web debug toolbar…
Attempt #