Vorbemerkungen

Da alle gelenkerhaltenden Operationsverfahren beim Hallux rigidus allenfalls zu einer Verzögerung des Krankheitsverlaufes führen und zuverlässige Resultate der MTP-I-Endoprothetik bis dato nicht nachgewiesen werden konnten 1, ist die Arthrodese des Großzehengrundgelenkes im fortgeschrittenen Stadium des Hallux rigidus (Grad 2 und 3 nach Regnauld) 2 nach wie vor der Goldstandard. Die MTP-I-Arthrodese, welche erstmals 1894 von Clutton zur Therapie des Hallux valgus beschrieben wurde (Clutton 1894), führt in Abhängigkeit von Operations-Technik und Osteosyntheseverfahren zuverlässig zu einer Gelenkfusion mit einem stabilen und schmerzfrei belastbaren ersten Strahl 3456. Neben einer reinen Schaubenarthrodese, sind die Stapel-Osteosynthese, die kombinierte dorsale Platten- und plantare Zugschraubenosteosynthese sowie die winkelstabile Plattenosteosynthese gängige Verfahren. Die durchschnittliche Pseudarthrosenrate liegt bei 6,1-7,5% 78. Neben einer stabilen Osteosynthese ist für ein sicheres Langzeit-Ergebnis ohne signifikanten Längenverlust die Präparation und korrekte Positionierung der Arthrodesenflächen entscheidend 9.

Operationsprinzip

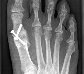
Das nachfolgend präsentierte OP-Verfahren zeigt die Großzehengrundgelenkarthrodese mit Gelenkflächenpräparation mittels sogennanter „Cup-and-Cone“-Fräsen und einer dorsal angebrachten variablen winkelstabilen Platte mit Gleit-/Kompressionsloch.

Vorteile

  • hohe Primärstabilität ohne Korrekturverlust
  • Möglichkeit einer Kompression der Arthrodesenflächen über ein proximales oder distales Gleitloch
  • nahezu freie Orientierung der winkelstabilen Schrauben mit guter Möglichkeit zur Kombination mit plantarer Zugschraube
  • anatomische Form der Platte und dadurch erleichterte Einstellung der Arthrodese in korrekter Position mit minimiertem Risiko einer Extensions- oder Flexionsfehlstellung

Nachteile

  • Biomechanisch plantare Zugspannung durch dorsale Plattenlage nicht optimal kompensiert
  • Mögliche Irritation der Weichteile und der Extensor hallucis longus-Sehne durch die Platte, dadurch evtl. Materialentfernung erforderlich
  • Im Vergleich zur Schraubenarthrodese deutlich höhere Implantatkosten

Indikationen

  • Fehlgeschlagene konservative Therapie des Hallux rigidus
  • Hallux rigidus im Stadium 3 nach Regnauld 2
  • Hallux rigidus im Stadium 2 nach Regnauld bei hohem Funktionsanspruch und/oder hohem Schmerzniveau
  • Kombinierter Hallux valgus und rigidus
  • Ausgeprägter, kontrakter Hallux varus
  • Sekundärarthrose nach Resektionsarthroplastik
  • Fehlgeschlagene Alloarthroplastik des Großzehengrundgelenkes

Kontraindikationen

  • Arthrose, Arthrodese oder Ankylose des Zehenendgelenkes
  • Ausgeprägte periphere Durchblutungsstörungen
  • Schlechte Hautverhältnisse
  • Lokale Infektion

Patientenaufklärung

  • 6- 8 Wochen langsohliger Vorfußentlastungsschuh oder Gipsschuh, anschließend stabiler Konfektionsschuh (evtl. mit vorübergehender Sohlenversteifung oder Rigidusfeder) bis die Schwellneigung vollständig abgeklungen und der der Gelenkspalt sicher durchbaut ist
  • In seltenen Fällen Metallentfernung erforderlich
  • Fehlpositionierung der Arthrodese mit Überlastungsbeschwerden im IP-Gelenk, schmerzhafte Druckstellen oder fehlender Lastaufnahme der Großzehe
  • Überlastungsbedingte Sekundärarthrose im IP-Gelenk
  • Tranfermetatarsalgie
  • Beschwerden beim Tragen von Schuhen mit hohem Absatz
  • Verzögerte Knochenheilung, Pseudarthrose mit der Notwendigkeit einer operativen Revision 78
  • Bruch von Platte und/oder Schrauben
  • Materialunverträglichkeit
  • Schwellneigung über mehrere Monate
  • Wundheilungsstörungen, Wundinfektionen
  • Blutgefäß- und/oder Nervenverletzung mit Sensibiltäts- und/oder Durchblutungsstörung
  • Postoperative Funktionsstörung der Extensor hallucis longus-Sehne, z.B. durch Adhäsionen
  • Lokale Druckbeschwerden über dem Plattenlager
  • Eventuell dauerhafte Einlagenversorgung notwendig.
  • Arbeitsunfähigkeit: Sitzende Tätigkeiten nach 2 Wochen meist möglich, stehende Berufe nach 8-10 Wochen. Berufe mit hoher körperlicher Beanspruchung, evtl. auch der Notwendigkeit von Sicherheitsschuhen bis 12 Wochen.
  • Bis zur stabilen knöchernen Konsolidierung kann kein Kraftfahrzeug geführt werden (Ausnahme OP links bei Automatik-Fahrzeugen).
  • Allgemeine Operationsrisiken

Operationsvorbereitungen

  • Klinische Untersuchung: MTP-I- und IP-Gelenk-Beweglichkeit, Achsfehlstellungen des Vor- und Rückfußes, Überprüfung der Durchblutung des Fußes (Pulse der A. tibialis posterior und der A. dorsalis pedis, ggf. Dopplersonographie, Rekapillarisierungzeit) und der Sensibilität
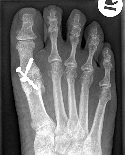
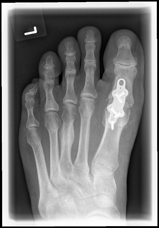
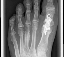
  • Röntgenaufnahmen des Vorfußes (unter Belastung) im dorsoplantaren und seitlichen Strahlengang (Abb. 1a+b)
  • Beurteilung des Erkankungsstadiums anhand der typischen Arthrosekriterien (Einteilung nach Regnauld) 2
  • Beurteilung des Intermetatarsal-Winkels (IMA), des Hallux valgus-Winkels (HVA), mögliche Korrektur der des IMA von 6° durch alleinige Arthrodese, darüber hinaus evtl. zusätzliche MT-I-Korrektur notwendig 101112
  • Beurteilung des Metatarsale-Index und der Zehenlänge DI und II, insbesondere nach Voroperationen hinsichtlich einer evtl. notwendigen Verlängerung des ersten Strahls durch Knochenspaninterposition
  • Allgemeine Operationsvorbereitung

Instrumentarium

  • Fußinstrumentarium
  • Evtl. 3,5 bis 4,5 mm (durchbohrte) Schrauben (plantare Zugschraube)
  • (Variabel) winkelstabiles Plattensystem
  • Bildverstärker

Anästhesie und Lagerung

  • Intubationsnarkose, Larynxmaske, spinale Leitungsanästhesie, Fußblock oder Leitungsanästhesie
  • Blutleere (350 mm Hg bzw. mind. 40-100 mmHg über dem systolischen Blutdruck) am Oberschenkel bei spinaler Leistungsanästhesie; bei normaler Leitungsanästhesie und Fußblock oberhalb des oberen Sprunggelenkes (300 mm Hg)
  • Rückenlage, evtl. leichte Kniebeugung über Schaumstoffrolle
  • Strahlenschutzmatte ab Mitte Unterschenkel nach proximal für den Patienten

OP-Video: Arthrodese Großzehengrundgelenk mit winkelstabiler Platte

OP-Video: Arthrodese Großzehengrundgelenk mit gekreuzten Kompressionsschrauben

Besonderheiten der Operationstechnik

Entscheidend ist die korrekte Einstellung der Arthrodese und sichere Osteosynthese.
Gekreuzt eingebrachte Schrauben werden immer noch als kostengünstige Standardtechnik der Osteosynthese beschrieben und können bei kräftigen und stabilen Knochenverhältnissen und entsprechender Erfahrung prinzipiell verwendet werden 141516. Der Einsatz kanülierter Schrauben unter Durchleuchtung erleichtert die Operation.
Die Fixation mit mehreren Klammern (Stapels) ist zwar schnell und einfach in der Handhabung, bietet aber nur eine verminderte Primärstabilität 1718.

Durch die Verwendung sogenannter „Cup-and-Cone“-Fräsen und die Osteosynthese mit winkelstabiler Platte ggf. in Kombination mit einer interfragmentären Zugschraube kann die Rate der Pseudarthrosen vor allem bei schlechten Knochenverhältnissen deutlich reduziert werden, sodass dieses Verfahren zunehmend empfohlen wird 9.

Postoperative Behandlung

  • Röntgen-Kontrolle der Osteosynthese und Stellung intraoperativ / postoperativ, nach 3 Wochen und nach 6 Wochen
  • Perioperative Antibiotikaprophylaxe meist als Einmalgabe
  • Redondrainage wird am 1. postop. Tag entfernt
  • Redressierender Kompressionsverband für die ersten 5 Tage
  • Hochlagerung und intermittierende Kühlung für 5 Tage
  • Thromboseprophylaxe bis zur Vollbelastung
  • Analgetika und NSAR ggf. unter Magenschutz (Protonenpumpenhemmer) nach Bedarf
  • Fadenentfernung je nach Wundsituation nach ca. 14 Tagen
  • Lymphdrainage je nach Schwellungszustand
  • Mobilisation an Unterarmgehstützen unter Verwendung eines Entlastungsschuhs bzw. Walkers
  • Abrollen über den Vorfuß nach 6 Wochen bei knöcherner Konsolidierung

Fehler, Gefahren, Komplikationen

Die größten Probleme der Arthrodese des MTP-I-Gelenks resultieren aus Fehlpositionierung, Verkürzung des 1. Strahls, Pseudarthrose und Anschlussarthrose des Interphalangealgelenks.

Fehlpositionierung: Neben einer stabilen Osteosynthese ist für ein sicheres Langzeit-Ergebnis ohne signifikanten Längenverlust die Präparation und korrekte Positionierung der Arthrodeseflächen entscheidend. Coughlin sagt deshalb auch, dass eine Arthrodese des MTP-I-Gelenks große Exaktheit erfordert 1920. In gewissem Rahmen sind auch die Vorstellungen des Patienten in die Planung zu integrieren (Engelhardt 2001).
Eine übermäßige Dorsalextension führt neben Druckstellen im Schuhwerk vor allem zu einer mangelnden Lastaufnahme und zur kompensatorischen Hyperflexion im Endgelenk. Sekundäre Metatarsalgien am 1. und 2. Strahl können auftreten. Bei zu starker Plantarflexion ist das Abrollverhalten gestört und das Endgelenk wird durch Hyperextension stark belastet, dies kann zu sekundärer Arthroseentwicklung im IP-Gelenk führen. Seltener sind relevante Rotationsfehlstellungen oder Abweichungen in der Frontalebene mit Valgus- oder Varusstellung. Sofern Schuhzurichtungen und Einlagenversorgungen nicht zur Besserung der Beschwerden führen, ist die operative Stellungskorrektur erforderlich.

Pseudarthrose: Verzögerte Knochenheilung und Pseudarthrosen treten je nach Osteosynthesetechnik unterschiedlich häufig auf. Bei Verwendung von Drähten oder Drahtcerclagen werden hohe Pseudarthroseraten von über 13% beschrieben, daher sollten diese Verfahren verlassen werden1021. Einzelschrauben bieten keine ausreichende Rotationsstabilität und werden daher nur noch selten verwendet. Korrekt eingebrachte gekreuzte Schrauben ergeben zwar bei primärem Hallux rigidus und guter Knochenqulität eine hohe Stabilität, sind jedoch bei osteopenischem Knochen und vor allem bei rheumatoider Arthritis oft unzureichend 141516. Die Rate an Pseudarthrosen kann hier durch Plattenosteosynthese mit interfragmentärer Zugschraube oder mit winkelstabiler Platte mit Gleit-/Kompressionsloch deutlich gesenkt werden 622. Nachteilig ist die Materialstärke der winkelstabilen Platte die zum Teil vermehrt aufträgt und daher gelegentlich die Metallentfernung notwendig macht.
Aus eigener Erfahrung spielt zudem die Auswahl und die Compliance der Patienten in der Nachsorge eine wichtig Rolle, da Materiallockerungen, Implantatbrüche und Pseudarthrosen bei mangelhafter Vorfußentlastung häufiger zu beobachten sind.
Die Indikation zur Revision muss im Einzelfall besprochen werden, da nur ein Teil der Pseudarthrosen klinisch relevant sind und Beschwerden verursachen (Wülker et al. 1998). Auch McKeever berichtet trotz fehlender Fusion der Arthrodese bereits 1952 über schmerzfreie Patienten 23.
Speziell bei der Revision muss individuell die Technik der Reosteosynthese, Spongiosaplastik oder Implantation eines trikortikalen Beckenkammspans geplant und besprochen werden.

Verkürzung: Vor allem bei präoperativ bereits bestehender relativer Verkürzung des 1. Strahls z.B. bei griechischer Fußform mit relativer Überlänge des. 2. Strahls oder sekundärer Verkürzung durch Voroperationen (z.B. Resektionsarthroplastik nach Keller-Brandes, fehlgeschlagene Arhrodese oder Gelenkarthroplastik, Z. n. Hallux-Valgus-Korrekturosteotomie) ist eine genaue Überprüfung der Längenverhältnisse notwendig, da es durch die Präparation der Arthrodeseflächen immer zu einem zusätzlichen Längenverlust von ca. 5 mm kommt. Bei deutlicher Verkürzung ist entweder eine Knocheninterposition mit trikortikalem Beckenkammspan zur Verlängerung des 1. Strahls oder ggf. die Verkürzung der benachbarten Zehen zu planen.
Durch die vermehrte Belastung des Interphalangealgelenks nach Grundgelenkarthrodesen wird in bis zu 15% der Fälle eine spätere Anschlussarthrose des IP-Gelenks beobachtet.
Wundheilungsstörungen treten wie bei allen Vorfußoperationen gehäuft bei Revisionseingriffen und relevanten Begleiterkrankungen (chronische Polyarthritis, pAVK, Diabetes mellitus, etc.) auf.

Ergebnisse

Gute Ergebnisse bei primären Arthrodesen (80-90%). Coughlin und Abdo berichten sogar über 93% sehr gute Resultate 1920.
Die Resultate sind maßgeblich von OP-Technik mit optimaler Positionierung der Arthrodese, Längenabstimmung, Osteosyntheseverfahren und damit knöcherner Durchbauung der Arthrodeseflächen sowie Begleiterkrankungen abhängig (Voroperation, Revision, rheumatoide Arthritis). Die Anschlussarthrose des Interphalangealgelenks tritt zwar in 15% der Fälle auf, wobei diese meist keine oder nur geringe Beschwerden verursacht (Wülker et al. 1998).

Weitere Literatur

  • Engelhardt P. Orthopädische Fußchirurgie-Manual für Klinik und Praxis. Steinkopff Darmstadt 2001,125-128.
  • Jerosch J, Heisel J. Operative Therapie von Fuß und Sprunggelenk, Fußchirurgie in Klinik und Praxis. Dt. Ärzteverlag 2009, 220-223.
  • Sabo D. Vorfußchirurgie, Springer Berlin-Heidelberg 2010, 45-51.
  • Wülker N, Stephens M, Cracchiolo A. Operationsatlas Fuß und Sprunggelenk, Enke Stuttgart 1998,49-64.
Loading…
Loading the web debug toolbar…
Attempt #