Spiraldynamik® bei Fußbeschwerden

Bewusst gehen – Fehlbelastungen vermeiden

Eine koordinierte und gesunde Belastung der Füße könnte so manches Fußproblem verhindern oder zumindest verringern. Dazu gehört eine bewusste Körper-Wahrnehmung, und die haben die meisten Menschen heutzutage leider verloren. Doch das fällt in der Regel erst auf, wenn Beschwerden auftreten.
Die Therapie nach dem Spiraldynamik®-Konzept kann dort eingesetzt werden, wo Beschwerden bzw. Symptome auf funktionell bedingte Ursachen zurückzuführen sind. Dazu zählen Knick-, Senk-, Spreizfüße, der Hallux valgus, die Plantarfasciitis und der Fersensporn, Hammer- und Krallenzehen sowie Druckstellen an den Füßen durch deren Verformung.

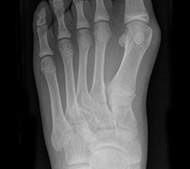
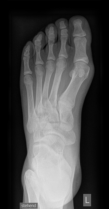
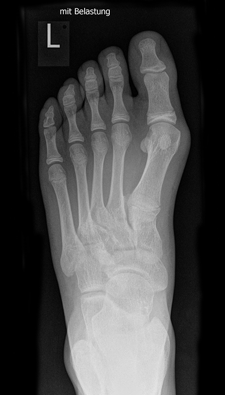
Die folgenden Bilder zeigen die belastete Röntgenaufnahmen des linken Fußes einer jungen Patientin zu Beginn der Therapie und nach 6 Monaten Training. Erkennbar ist die höhere muskuläre Verspannung des Fußes mit verbesserter Stellung der milden Hallux valgus Deformität.
Zum Lesen der Bildbeschreibung und zur Vollansicht bitte die Bilder anklicken.

Das Spiraldynamik®-Konzept bietet eine Möglichkeit, den physiologischen Gebrauch der Füße wieder zu erlernen. Dabei stehen bewusste Änderung von Gewohnheiten durch klare Entscheidungen, Durchhaltewillen und Achtsamkeit im Vordergrund.

Wenn Sie mehr über die Therapie nach dem Spiraldynamik®-Konzept erfahren wollen, besuchen Sie uns hier.

Viel Freude und Erfolg beim Üben!
Dr. phil. Jens Wippert und Jacqueline Wippert

Bitte beachten Sie:
Die Inhalte von my-medibook.de ersetzen in keinem Fall die persönliche Beratung oder Behandlung durch ausgebildete und anerkannte Ärzte und Therapeuten. Die Inhalte von my-medibook.de können und dürfen nicht verwendet werden, um eigenständig Diagnosen zu stellen oder Behandlungen einzuleiten.
Loading…
Loading the web debug toolbar…
Attempt #