Patienteninformationen zum Diabetischen Fußsyndrom
Welcher Zusammenhang besteht zwischen Diabetes mellitus und Fußkomplikationen?
Der Diabetes mellitus (sog. „Zuckerkrankheit“) bezeichnet eine chronische Stoffwechselstörung, die durch eine gestörte Glukoseaufnahme der Zellen oder durch eine verminderte Insulinproduktion verursacht wird. Kennzeichen des Diabetes sind langanhaltende, hohe Blutzuckerwerte und dadurch verursachte Folgeschäden an verschiedenen Organsystemen, unter anderem an Gefäß- und Nervensystem.
Unter dem Begriff des diabetischen Fußsyndroms werden verschiedene Krankheitsbilder zusammengefasst, die alle als Ursache die Schädigung der Gefäße (Makroangiopathie) und/oder der Nerven (Neuropathie) haben. Gefährdet sind insbesondere Menschen, die in Folge der Nervenschädigung ein herabgesetztes Gefühlsempfinden an den Füßen haben. Typisch ist eine reduzierte Berührungsempfindlichkeit an beiden Füßen, welche die Zehen oder auch größere Areale der Füße umfassen kann.
Durch das reduzierte Gefühls- und Schmerzempfinden werden Verletzungen oder Druckstellen der Haut nicht bemerkt. Gleichzeitig ist das „Heilpotential“ des Körpers durch die Diabeteserkrankung gestört. Kleine Verletzungen können sich so rasch zu Geschwüren (Ulcera) im Bereich der Fußsohle oder Fußrückens entwickeln. Durch eine Besiedelung mit Bakterien kann es zu schweren Infektionen des Fußes kommen. Bei verzögerter oder unzureichender Behandlung können Situationen auftreten, welche im schlimmsten Fall eine Amputation erforderlich machen.
Wie häufig sind Fußkomplikationen bei Typ-2-Diabetes?
Vom Diabetes mellitus sind mehr als 5 Millionen Menschen in Deutschland betroffen. Davon haben über 90 Prozent einen Typ 2 Diabetes. Allerdings geht man von einer Dunkelziffer von 40 bis 50 % unerkannter Diabetiker aus. Demnach dürfte die tatsächliche Zahl in Deutschland 7 bis 8 Millionen betragen, was bedeutet, dass etwa jeder 10. Bundesbürger betroffen ist. Bis zu 10% der Diabetiker leiden am diabetischen Fußsyndrom.
Was kann die Entstehung eines diabetischen Fußsyndroms begünstigen?
Ein diabetisches Fußsyndrom beginnt meist mit kleinen Verletzungen der Fußhaut, welche aufgrund der Gefühlsstörung nicht bemerkt werden. Folgende Faktoren begünstigen die Entstehung eines diabetischen Fußsyndroms:
- Barfuß im Freien laufen
- Bildung von Hornhautschwielen
- Eingewachsene Zehennägel und Hühneraugen
- Ungeeignetes Schuhwerk
- Schlechte Fußpflege
- Eingeschränktes Sehvermögens
- Extremes Übergewicht (Adipositas, BMI ≥ 35)
- Rauchen, zu viel Alkohol, keine Bewegung, falsche Ernährung, etc.
- Einnahme von Arzneimittel, die das Immunsystem unterdrücken
Diabetes kann zu Nervenschäden führen. Welche Anzeichen gibt es hierfür?
Die Störung der Nerven im Fuß führt zu verschiedenen Symptomen. Folgende Zeichen können auf Nervenschäden hindeuten:
- Rosige, warme und trockene Haut
- Druckstellen / Hornhautschwielen an Stellen großer Druckbelastung
- Abflachung des Fußgewölbes
- Verbreiterung des Fußes, Gelenkschwellungen und Krallenzehen
- Taubheitsgefühl, Gefühl des „Ameisenlaufens“, Missempfindungen
- Unsicherheit beim Gehen
- Brennende Schmerzen in Ruhestellung
- Keine Unterscheidung zwischen warm und kalt möglich
- Schmerzempfinden nicht mehr vorhanden
Was ist ein Charcot-Fuß (Neuroosteoarthropathie)?
Die erhöhten Zuckerspiegel im Blut können beim Diabetes mellitus zu einer Schädigung der peripheren Nerven führen. Dies hat eine Verminderung der Gefühlswahrnehmung und eine Störung des autonomen Nervensystems in den Extremitäten (z.B. Fuß) zur Folge.
Es kommt dadurch zu einem unkoordinierten und ungeschützten Auftreten des Fußes d.h. tritt man z.B. auf einen Stein merkt man dies nicht, kann den Fuß nicht durch eine Ausgleichsbewegung schützen und es kommt zu einer Überbelastung des Fußes. An einem Tag kann dies bis zu 100mal vorkommen, was dann längerfristig zu einer Zerstörung des Knochens, Sehnen, Bänder und Gelenke führt.
Zuerst fällt dies durch eine meist einseitige Schwellung und Rötung des Fußes auf, Schmerzen treten hierbei selten auf. Im Röntgenbild zeigen sich dann Frakturen, mottenfraßartige Zerstörung der Knochen und Verrenkungen (Luxationen) von Gelenken.
Es besteht dann die Gefahr, dass das Fußgewölbe einbricht, der Fuß sich verformt und sich dadurch Knochenvorsprünge bilden, die dann zu Hautläsionen (Ulcera) führen. Diese sind meist nur durch Abtragung des überstehenden Knochens oder durch Korrektur der Fehlstellung zu behandeln.
Diabetes kann zu Gefäßschäden führen. Welche Anzeichen gibt es hierfür?
Folgende Zeichen können auf eine eingeschränkte Blutversorgung des Fußes hindeuten:
- Kalte Füße
- Blass oder bläulich gefärbte Haut
- Wadenschmerzen / Wadenkrämpfe beim Gehen
- Schmerzen im Liegen
Diabetes kann zu Infektionen des Fußes führen. Welche Anzeichen gibt es hierfür?
Aufgrund des gestörten Gefühlsempfindens führen Infektionen nicht notwendigerweise zu Schmerzen am Fuß. Folgende Zeichen können Hinweise auf eine Infektion sein, auch wenn keine Schmerzen vorhanden sind:
- Allgemeines Unwohlsein mit Fieber, Schüttelfrost
- Überwärmung oder Rötung am Fuß
- Schwellung am Fuß
Zum Lesen der Bildbeschreibung und Vollansicht bitte Bild anklicken. Fotos: Alexander Mehlhorn
Was können Sie zur Vorbeugung eines diabetischen Fußsyndroms tun?
- Tägliche Reinigung der Füße mit lauwarmem Wasser: Wassertemperatur 37-38°, Dauer 3-5 Minuten
- Einreiben der Füße und Beine mit Feuchtigkeitscreme.
- Nagelpflege mit einer abgerundeten Schere (ggf. durch Podologen)
- Abtragen von Hornhautschwielen (ggf. durch Podologen)
- Tragen von geeignetem Schuhwerk mit ausreichender Breite und Höhe der Schuhe
- Tragen der „richtigen“ Strümpfe mit hohem Baumwollanteil, ohne Nähte, tägliches Wechseln
Weitere Informationen zu diesem Thema sind auch unter http://www.my-medibook.de/fuer-patienten/podologie/diabetes.html zu finden.
Welche Schuhe sind für das diabetische Fußsyndrom geeignet?
- Fußgerechte Konfektionsschuhe (weit, hoher Spann, steife Sohle, keine drückenden Nähte)
- Diabetesschutzschuhe mit weichem, nahtfreiem Obermaterial und herausnehmbarer Weichpolstersohle
- Orthopädische Maßschuhe bei vorhandenen Deformitäten
- Entlastungsschuhe
- Verbandsschuhe
Zum Lesen der Bildbeschreibung und Vollansicht bitte Bild anklicken. Foto: Markus Walther

VACOped Diabetic - Ganzheitliches Versorgungskonzept
zur Therapie des Diabetischen Fußsyndroms
OPED unterstützt und begleitet die Patienten umfangreich und kostenlos. Durch detailliertes Informationsmaterial über die Erkrankung und den Behandlungsverlauf wird der Patient über seine Wunde und Therapie informiert.
Es gibt auch die Möglichkeit eine klinikindividuelle Behandlungsrichtlinie zu erstellen. In dieser Richtlinie wird die weitere Therapie genau definiert. So ist sichergestellt, dass der Patient unter Anleitung seines nachbehandelnden Arztes/Therapeuten die Rehabilitation im Sinne der Therapie durchführen kann.
Was können Sie selbst tun um Komplikationen am Fuß zu vermeiden?
- Beobachten der Füße/Sohlen (auf Blasen, Druckstellen, Rötungen,Einrisse, Hühneraugen)
- Vermeiden von Nikotin und Alkohol
- Gute Einstellung des Blutzuckers
- Gesunde Ernährung
- Ausreichend Bewegung
- Teilnahme an Schulungen für Diabetiker
Welche Behandlungsmöglichkeiten gibt es?
Behandlung von Druckstellen, Geschwüren und Infektionen
Vollständige Druckentlastung einer Verletzung (Läsion) durch Entlastungsschuhe, Vollkontakt-Gips, technische Hilfen (Orthesen), Rollstuhl, Bettruhe. Liegen bei Ihnen Druckstellen, Geschwüre oder eine Infektion vor bzw. vermuten Sie eine dieser Veränderungen, sollten Sie ihren Arzt aufsuchen, damit dieser mit Ihnen das weitere Vorgehen plant und eine Behandlung einleitet.
Zum Lesen der Bildbeschreibung und Vollansicht bitte Bild anklicken. Fotos: Alexander Mehlhorn

WCS® Langzeitverbandschuh für Diabetiker.
Schuh zur gezielten Druckentlastung des Fußes.
Primäre Versorgung vorhandener Wunden/Geschwüre
Kleinere Wunden können mit Reinigung, Abtragung von Verhornungen und abgestorbenem Gewebe und einer spezielle Wundauflage zur Ausheilung gebracht werden.
Behandlung von Hautinfektionen
Findet sich eine bakterielle Entzündung im Gewebe, erfolgt eine Antibiotikatherapie, totes Gewebe wird entfernt. Hat sich eine Eitertasche gebildet, wird diese eröffnet, damit das Sekret abfließen kann und sich nicht weiter im Gewebe ausbreitet.
Zum Lesen der Bildbeschreibung und Vollansicht bitte Bild anklicken. Fotos: Alexander Mehlhorn
Behandlung der peripheren Arteriellen Verschlusskrankheit (pAVK)
Ist das Bein nicht gut durchblutet, heilen Wunden nicht oder nur sehr langsam ab. Gefäßspezialisten können verschlossene Gefäße wieder aufdehnen oder durch Gefässersatzmaterialien oder Gefässtransplantate ersetzen. Hierdurch kommt es zu einer Verbesserung der Durchblutung und damit der Wundheilung.
Gezielte Behandlung von chronischen Ulcera (Geschwüren)
Chronische Ulcera führen längerfristig zu einer oberflächlichen Infektion des Fußes. Über die Zeit kann sich die Infektion in tiefere Gewebsschichten ausbreiten und den Knochen befallen. Bei einem ungünstigen Verlauf kann der Fuß so stark geschädigt werden, dass eine Amputation nicht mehr zu vermeiden ist. Neben einer schlechten Durchblutung und einer verminderten Gefühlswahrnehmung des Fußes (Polyneuropathie) führen häufig mechanische Druckstellen durch Knochenkanten zu Hautschäden. Um frühzeitig die Entstehung von Hautläsionen zu vermeiden, können wird häufig empfohlen störende Knochenkanten durch kleine operative Eingriffe abzutragen, bevor es zu einer Druckstelle kommt.
- Operative Behandlung von Druckstellen durch Hallux valgus
Aufgrund einer Fehlstellung der Großzehe nach außen (Hallux valgus) kann es zu Druckstellen bzw. Hautläsionen zwischen der 1. und 2. Zehe sowie kommen. Gefährdet ist auch die Haut auf der Innenseite des Fußes über dem Großzehengrundgelenk. Sollten hier konservative Therapiemaßnahmen (Polsterung/Schuhzurichtung) versagen, ist eine operative Korrektur des Hallux valgus anzuraten. - Operative Behandlung von Druckstellen durch Hammerzehen
Bei Hallerzehenfehlstellung kann es zu Druckstellen bzw. Hautschäden an der Zehenspitze oder über dem Zehenmittelgelenk kommen.Sollten hier konservative Therapiemaßnahmen (Polsterung/Schuhzurichtung) versagen, ist eine operative Korrektur der Hammerzehe sinnvoll, bevor offene Stellen entstehen, die dann zu Eintrittspforten für Keime werden.
- Operative Behandlung von Druckstellen durch Knochenvorsprünge (Exostose)
Im Bereich des Fußes können an verschiedenen Stellen Knochenanbauten (Exostosen) z.B. im Rahmen von Arthrose zu Druckstellen und dann zu Hautschäden führen. Hier ist die prophylaktische Abtragung des Knochenüberstandes sinnvoll. Immer wieder verhindern auch Knochenkanten die Heilung einer schon vorhandenen Hautwunde. In vielen Fällen lassen sich heute solche Knochenkannten minimalinvasiv in der sog. „Schlüssellochtechnik“ ohne große Operation entfernen.
Zum Lesen der Bildbeschreibung und Vollansicht bitte Bild anklicken. Fotos: Alexander Mehlhorn
- Operative Behandlung von Druckstellen durch Überlänge eines oder mehrerer Mittelfußknochen
Anlagebedingt oder nach Amputationen kann es zu einer Überlänge von einem Mittelfußknochen relativ zu den anderen Mittelfußknochen kommen. Dies führt zu einer erhöhten Druckbelastung an der Fußsohle. Zunächst treten Schwielen auf, im Verlauf kommt es dann zu offenen Stellen und einem Ulkus. Sollten hier konservative Therapiemaßnahmen (Polsterung/Schuhzurichtung) versagen, ist eine operative Verkürzung oder Anhebung des entsprechenden Mittelfußknochens sinnvoll, um den Druck zu reduzieren. Auch dies ist heute meist minimalinvasiv in Schlüssellochtechnik möglich.
Zum Lesen der Bildbeschreibung und Vollansicht bitte Bild anklicken. Fotos: Alexander Mehlhorn
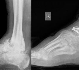
- Operative Behandlung von Druckstellen durch den Zusammenbruch des Fußlängsgewölbes
Als Folge der diabetesbedingten Neuropathie kann es zu dem sogenannten Charcotfuß kommen. Bei dieser Komplikation der Diabeteserkrankung kommt es häufig zu einer Zerstörung der Fußwurzelgelenke und -knochen. Dabei springen die Knochen aus den Gelenken (Luxation) und brechen (Fraktur). Der Fuß verliert an Halt und das Fußgewölbe kann zur Fußsohle durchbrechen (Plattfuß). Hierbei treten Druckstellen durch überstehende Knochenfragmente an der Fußsohle auf, die dann zu Hautschäden führen. Sollten hier konservative Therapiemaßnahmen (Polsterung/Schuhzurichtung) versagen, ist eine operative Korrektur angezeigt. Dabei werden die Knochen mittels Platten und langen Schrauben stabilisiert.
Zum Lesen der Bildbeschreibung und Vollansicht bitte Bild anklicken. Fotos: Alexander Mehlhorn
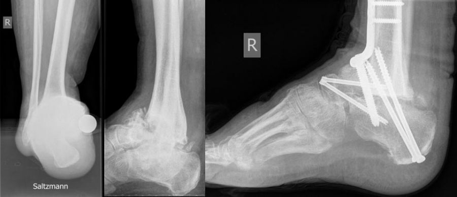
- Operative Behandlung von Druckstellen durch Fehlstellungen/Instabilität des Rückfußes bzw. Sprunggelenk
Eine weiterer typischer Verlauf eines Charcot Fußes betrifft die Zerstörung der Bänder und des oberen Sprunggelenks. Der Fuß knickt dabei nach innen, manchmal auch nach außen weg. In Schuhen kommt es meist zu Druckstellen im Bereich des Knöchels. Teilweise ist das Sprunggelenk ist so instabil, dass Laufen nicht mehr möglich ist. Oft sind hier die Möglichkeiten einer konservativen Therapie mit Polsterung/Schuhversorgung nicht mehr ausreichend. Kann der Fuß von außen nicht mehr ausreichend stabilisiert werden, ist eine operative Stabilisierung der abgekippten Gelenke mit Platten und Schrauben notwendig um wieder einen belastbaren Fuß zu erreichen.