Szintigraphie und Single Photon Emmision Computed Tomography (SPECT)

Für orthopädische/fußchirurgische Fragestellungen stehen die Skelettszintigraphie und die Entzündungsszintigraphie zur Verfügung.
Prinzip der Szintigraphie ist eine (meist intravenöse) Applikation eines Gammastrahlen emittierenden Radiopharmakons. Die Gammastrahlen werden von einer oder mehreren Gammakameras (SPECT) detektiert. Es werden planare und rekonstruierte Aufnahmen (SPECT) angefertigt.

Grundlage der Skelettszintigraphie ist die Verwendung von osteotropen Radiopharmaka, die nach intravenöser Applikation zur Beurteilung der locoregionären Durchblutung (Hyperperfusion) und zur Abklärung des Knochenstoffwechsels verwendet werden. Indikationen zur Skelettszintigraphie sind entzündliche und tumoröse Skeletterkrankungen, Abklärungen von Prothesenlockerungen und in individuellen Einzelfällen auch zur Detektion occulter Frakturen (z.B. bei Kindesmißhandlung) (Schümichen C. 2006), (Schümichen C., et al. 2006). Dabei wird je nach Fragestellung ein statisches und/oder dynamisches Untersuchungsprotokoll durchgeführt, z.B. eine statische Skelettszintigraphie zur Verlaufsbeurteilung von bekannten ossären Metatasen oder eine 3-Phasen-Skelett-Szintigraphie bei Verdacht auf eine Prothesenlockerung. Die zusätzlich zur Szintigraphie angewendete SPECT-Technik (rotierende Gamma-Kamera) erlaubt eine höhere Ortsauflösung sowie eine artefaktfreie Darstellung etwaiger knöcherner oder anderer Läsionen. Im Vergleich zur CT ist die Strahlenbelastung gering (Schümichen C. 2006).

In den letzten Jahren sind die Indikationen zur „reinen“ Skelettszintigraphie deutlich zurückgegangen. Ursache sind die kombinierten nuklearmedizinisch/radiologischen Untersuchungsverfahren SPECT-CT und PET-CT, die gegenüber der Szintigraphie und auch der Computertomographie eine deutlich höhere Sensitivität und Spezifität aufweisen 1. Diese Verfahren erlauben gleichzeitig eine funktionelle und morphologische Bildgebung. Auch die MRT stellt zur Skelettszintigraphie in den meisten Fällen eine sinnvolle Alternative dar (Haug A et al. 2006).

Mit der Entzündungsszintigraphie können unter Verwendung entsprechender Tracer die Entzündungsherde lokalisiert werden. Allerdings gibt es mit der FDG PET-CT diesbezüglich eine fast unschlagbare Alternative (Ivancic V et al. 2007)(eingeschränkt bei Entzünden des Herzmuskels und des Gehirns). Bezüglich der Diagnostik einer Osteomyelitis steht hier die PET-CT eindeutig an erster Stelle (Ivancic av et al. 2007), 2.

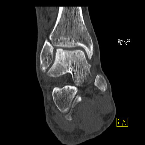
Single Photon Emmisions Computer Tomographie (SPECT)-Computertomographie

Die Kombination von SPECT und CT in einem Untersuchungsgang bringt wie bereits oben erwähnt eine erhöhte Ortsauflösung und artefaktfreie Darstellung von Knochenstoffwechselveränderungen der SPECT bei gleichzeitig excellent guter anatomischer Darstellung/Zuordnung durch die CT 3. Auf die Vorteile der CT gegenüber dem konventionellen Röntgen muss nicht mehr besonders eingegangen werden. Besonders eignet sich die „SPECT-CT“ zur Diagnostik von Fußerkrankungen (Biersack HJ et al. 2012).

Positronen-Emissions-Tomographie-Computertomographie (PET-CT)

Das Prinzip der PET beruht auf der Wechselwirkung eines Positrons mit einem Elektron, wodurch im Körper zwei Photonen in exakt entgegengesetzten Richtungen freigesetzt werden. Diese werden von je zwei gegenüber liegenden Detektoren registriert. Durch die räumliche und zeitliche Verteilung dieser Zerfälle gelingt eine Zuordnung des Nuklids im Körper. Wie bei anderen Schnittbildverfahren können Schnittbilder in jeder gewünschten Ebene errechnet bzw. dargestellt werden.

Aufgrund der optimalen funktionellen Darstellung (PET) und der entsprechend guten anatomischen Bildgebung kann dieses kombinierte Untersuchungsverfahren viele Fragestellungen auch im Bereich des Fußes beantworten. Exemplarisch werden folgende Indikationen erwähnt. Abklärung von Infektionen im muskuloskelettalen Bereich 45, Untersuchungen von unklaren Fußschmerzen (Biersack HJ et al. 2012), präoperative Bildgebung beim Charcot-Fuß/diabetischer Fuß 31.

Weitere Literatur

  • Schümichen C, Skelettszintigraphie update 2006- wie geht es weiter? Der Nuklearmediziner 2006;29: 225-227
  • Schümichen C, et al. Pathophysiologische Grundlagen und diagnostische Grenzen der konventionellen
  • Skelettszintigraphie. Der Nuklearmediziner 2006;29;227- 236
  • Haug A et al., Indikationen und Wertigkeit der Skelettszintigraphie im Vergleich zur Magnetresonanztomographie (MRT). Der Nuklearmediziner 2006;29:265- 271
  • Ivancic V et al. Nuklearmedizinische Entzündungsdiagnostik. Der Nuklearmediziner 2007;30:123- 131
  • Biersack HJ et al. SPECT-CT des Fußes: Nuklearmedizin 2012;51 (1):26-31
Loading…
Loading the web debug toolbar…
Attempt #