Mit einer Inzidenz von 12- 18/ 100.000 ist die Achillessehne die am häufigsten von einer Ruptur betroffene Sehne 1. Allein in Deutschland kommt es zu über 15.000 akuten Rupturen pro Jahr. Interessanterweise kam es in den letzten Jahrzehnten zu einer deutlichen Steigerung der Inzidenz (Leppilathi 1996), was sich mit einer Steigerung des sportlichen Anspruchs und des Aktivitätslevels der 30- 40 Jährigen im Breiten- und Freizeitsport erklären lässt. In diesen Lebensdekaden treten Achillessehnenrupturen auch vermehrt auf 2, wobei Männer 5- 10 mal häufiger betroffen sind (Wagner 2005). Als allgemeine Risikosportarten gelten Fuß- und Basketball, Squash, Badminton und Tennis. Bei diesen Sportarten kann es überdurchschnittlich häufig zum typischen Ruptur- Mechanismus kommen: eine indirekte Zugwirkung mit plötzlicher Überdehnung (Push-off) bei gestrecktem Kniegelenk. Eine direkte Gewalteinwirkung durch Tritt oder Schlag auf die Sehne ist eine eher seltene Ursache (1 - 10%) 3 für die akute Achillessehnenruptur und findet sich eher bei Kontaktsportarten (z.B. Eishockey) oder (Arbeits-) Unfällen mit direkter Krafteinwirkung. 80- 90% der Rupturen befinden sich 2- 6 cm proximal des kalkanearen Ansatzes und 10- 15% im muskulotendinösen Übergang 4. Ansatznahe Rupturen am Kalkaneus sind selten. Sie finden sich bei Patienten mit großen Haglund-Exostosen oder bei Patienten mit vorausgegangenen lokalen Injektionstherapien mit Cortisonpräparaten.
Risikofaktoren
Die Risikofaktoren decken sich im Allgemeinen mit denen der Achillestendinopathie. Systemische Erkrankungen wie der Diabetes mellitus und die Hyperurikämie begünstigen strukturelle Veränderungen der Sehne ebenso wie eine Kortisondauertherapie oder lokale paratendinöse Infiltrationen mit Kortisonpräparaten 5 oder die Gabe von Flurchinolonen. Ebenfalls konnte eine genetische Disposition nachgewiesen werden. Nicht unterschätzt werden dürfen die Rupturen bei untrainierten Sportlern, bei denen eine Diskrepanz zwischen Trainingsstatus und mechanischer Beanspruchung der Sehne besteht.
Anatomie
Die Achillessehne ist mit ca. 10 - 12cm Länge und 1cm Durchmesser die größte Sehne unseres Körpers und wird durch die Vereinigung der Sehnenanteile des medialen und lateralen Bauches des Musculus gastrocnemius und des Musculus soleus gebildet. Neben der starken plantarflektorischen Wirkung ist sie der stärkste Supinator im unteren Sprunggelenk. Während der Musculus gastrocnemius als zweigelenkiger Muskel seinen Ursprung an den dorsalen Femurepicondylen hat, zieht der Musculus soleus von der Linea musculi solei der dorsalen Tibia zum Kalkaneus. Bei der Vereinigung der Achillessehne kommt es zu einer Rotation der Fasern, so dass die Anteile des Soleus an der medialen mittleren Fassette, die Anteile des lateralen Gastrocnemiuskopfes an der lateralen mittleren Facette und die Anteile des medialen Gastrocnemiuskopfes an der gesamten inferioren Facette inserieren 6. Zusätzlich findet sich bei ca. 65% eine zusätzliche Sehne des Musculus plantaris 6. Biomechanische Untersuchungen konnten eine statische Reißfestigkeit der Achillessehne bis 3924N und die dynamische bis 9123,3N zeigen (Raschke 2010). Hierbei kommt es zu einer Elongation der Sehne um 7 - 15%.
Klassifikation
Tabelle 1: Klassifikation der Achillessehnendefekte nach Kuwada 7.
Typ
Defektgröße
Behandlung
I
Teilruptur
Immobilisation (Gips, Walker)
II
Komplette Ruptur
Defektzone < 3 cm
End-zu-End Naht
III
Komplette Ruptur
Defekt 3 bis 6 cm
Umkehrplastik, ggf. Augmentation durch synthethische Materialien oder Allografts
IV
Komplette Ruptur
Defektzone > 6 cm
Gastrocnemius Release
Freies Sehnentransplantat
Tabelle 2: Klassifikation der Achillessehnendefekte nach Myerson 8
Defektgröße
Behandlung
1 bis 2 cm
End-zu-End Naht
2 bis 5 cm
v-y-Plastik, ggf. Augmentation mit Sehnentransfer (FHL, Peroneaus)
> 5 cm
Sehnentransfer, ggf. In Kombination mit v-y-Plastik
Tabelle 3: Sonomorphologische Klassifikation der Achillessehnenruptur (aus Ulmar et al. 9, nach Amlang et al. 10) (Ason: Adaptation der Achillessehnenstümpfe im Sonogramm)
Typ
Beschreibung
1
ASR im Isthmusbereich mit hoher Adaptation in 20° Plantarflexion
(Ason > 70%)
Vollständiger Kontakt der Sehnenenden in 20° Plantarflexion
2a
ASR im Isthmusbereich mit mittlerer Adaptation und echoreichem Interponat
(Ason = 30 - 70%)
Partieller Kontakt/ echoreiche Sonostruktur des Interponats (Hämatom) mit Differenzierungspotential zu Sehnengewebe
2b
ASR im Isthmusbereich mit mittlerer Adaptation ohne differenzierungsfähiges Interponat
(Ason = 30 - 70%)
Partieller Kontakt/ echofreier Defekt oder Isthmusbildung im Rupturbereich
3a
ASR im Isthmusbereich mit geringer Adaptation und echoreichem Interponat
(Ason < 30%)
Dehiszenz der Sehnenenden, wobei ein größeres Hämatom deren Kontakt behindert
3b
ASR im Isthmusbereich mit geringer Adaptation ohne differenzierungsfähiges Interponat
(Ason < 30%)
Dehiszenz der Sehnenenden, wobei eine ausgeprägte Defektbildung im Rupturbereich besteht
4
Proximale Achillessehnenruptur
Ruptur am muskulotendinösen Übergang, häufig mit größerem, echoreichem Interponat
5
Distale Achillessehnenruptur
Ruptur im Ansatzbereich ohne stabilen, distalen Sehnenstumpf, z.B. Abriss bei Insertionstendinopathie
Symptomatik und diagnostisches Vorgehen
Abbildung 1
Die klassische traumatische Achillessehnenruptur wird von den Betroffenen meist eindrücklich wahrgenommen. Ein peitschenartiger Knall gefolgt von einem Waden- und/ oder Fersenschmerz, sowie der (partielle) Funktionsverlust führt sie in die weitere ärztliche Behandlung. Hier ist die Anamnese meist das zielführende Diagnostikum. Bei der klinischen Untersuchung präsentiert sich eine tast- und sichtbare Dehiszenz, begleitet von einem lokalen Hämatom. Der Einbeinzehenspitzenstand ist in der Regel nicht mehr möglich.
Abbildung 2
Der Thompson-Test 11 wird durch eine kräftige seitliche Wadenkompression mit der Hand ausgeführt und muss stets im Seitenvergleich erfolgen (Video 1). Die Nomenklatur des Thompson-Tests fällt je nach zitierter Literaturstelle unterschiedlich aus. In unserer Klinik zeigt ein positiver Thompson-Test eine Pathologie, eine Ruptur der Sehne an. Durch den häufig angelegten Muskulus plantaris fällt der Thompson-Test nicht immer vollständig positiv aus. In einigen Fällen lässt sich seine Sehne im Bereich der Rupturstelle palpieren. Ebenfalls können inkomplette Rupturen mit einem falsch negativen Befund imponieren (Abbildung). In unsicheren Situationen kann unterstützend ein leichter Druck mit den Fingern im Vorfußbereich die seitendifferente Kraftausübung beim Test aufzeigen.
Ergänzend kann der Matles-Test 12 durchgeführt werden. Der Patient flektiert in Bauchlage die Kniegelenke bis 90 Grad. Durch den fehlenden Gegenzug des Grastrocnemius-Soleus-Komplexes kommt es auf der betroffenen Seite zu einer verstärkten Dorsalextension im Sprunggelenk. Auch dieser Test kann durch einen vorhandenen Muskulus plantaris oder durch eine Partialruptur verfälscht werden.
Chronische Achillessehnenrupturen unterscheiden sich dagegen häufig in der Anamnese und dem klinischen Bild. Das Unfallereignis liegt in der Regel lange zurück und war – sofern die Patienten sich noch daran erinnern können – eher ein Bagatelltrauma. Bei Patienten mit systemischen Erkrankungen (Diabetes mellitus, Hyperurikämie, Kortisondauertherapie, Antibiotikagabe) ist ein Trauma oftmals nicht der Auslöser für die Ruptur. Hier handelt es sich vielmehr um einen schleichenden Prozess mit rezidivierenden Mikrotraumata und resultierenden Patialrupturen. Subjektiv eingeschränkt sind die Patienten vor allem bei Alltagsbewegungen wie Treppen steigen oder das Laufen auf ansteigenden Rampen. Auffällig häufig stellen sich bei uns Patienten vor, die bei Wanderungen im Gebirge eine Kraftlosigkeit im betroffenen Bein bemerken. Auch beschreiben sie einen diffusen Fersenschmerz. Eine Dehiszenz lässt sich durch die narbige Überbrückung in der Regel nicht palpieren. Eine Ausnahme bilden hier veraltete knöcherne Ausrisse, die eine typische Konturierung der Fersenregion bedingen (Abbildung).
Abbildung 3a
Abbildung 3b
Der Thompson- Test ist bei diesen Patienten nicht regelhaft positiv (Video 2). Ausschlaggebend ist die Seitendifferenz des Befundes. Gleiches gilt für den Matles- Test. Der Einbeinzehenspitzenstand kann von den Betroffenen meist auch nicht ausgeführt werden. Wenn doch, dann ist die seitendifferente Ausprägung ein wichtiges diagnostisches Mittel (Video 3).
Abbildung 4a
Abbildung 4b
Der gründlichen Anamnese und der klinischen Untersuchung kann sich eine apparative Diagnostik anschließen. Obschon sich ein Großteil der frischen Rupturen allein durch die klinische Untersuchung sicher diagnostizieren lässt, führen wir bei den Patienten eine obligatorische sonografische und radiologische Untersuchung durch. Die Sonografie ist ein schnelles, nicht invasives und kostengünstiges Verfahren. Entscheidender ist die dadurch mögliche Beurteilung der Rupturmorphologie und somit die Wahl des geeigneten therapeutischen Verfahrens (siehe therapeutisches Vorgehen sowie). Im sonografischen Bild (7,5 MHz- Schallkopf ausreichend) lässt sich regelhaft eine Kontinuitätsunterbrechung der Sehne nachweisen (Tabelle). Die typische fischzugartige, parallele Sehnenanordnung ist verstrichen und es zeigen sich zusätzlich hypoechogene Bereiche des lokalen Hämatoms. Ein weiterer Vorteil der Sonografie ist die Möglichkeit der dynamischen Untersuchung. Lassen sich die Rupturenden in 20° Plantarflexion adaptieren, kann eine konservative Therapie eingeleitet werden.
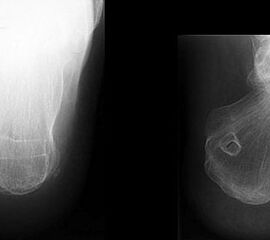
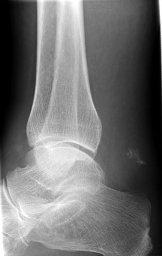
Knöcherne Ausrisse lassen sich in der seitlichen Röntgenaufnahme des Sprunggelenkes ausschließen oder beweisen (Abb. 5). Eine Sonderform bilden hier die Entenschnabelfrakturen des Kalkaneus.
Abbildung 5
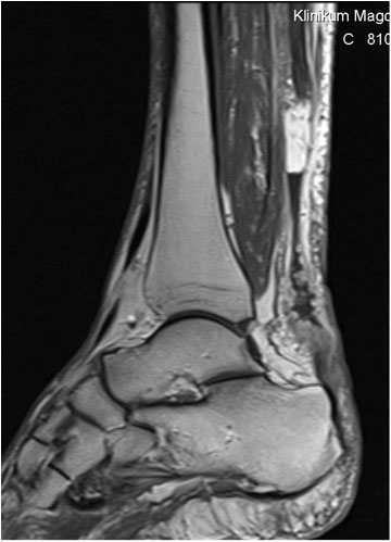
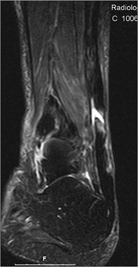
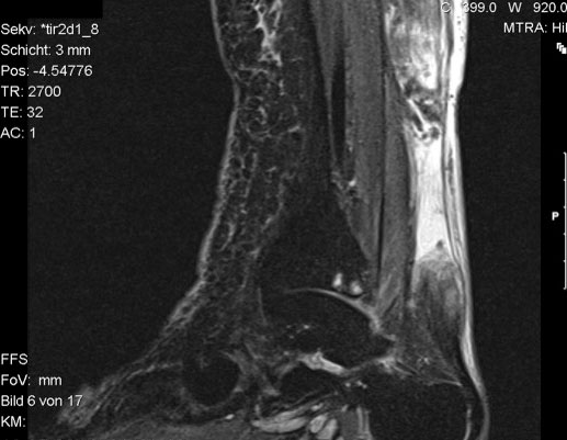
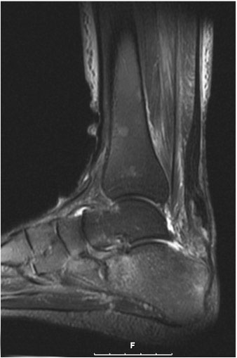
Der geübte Untersucher kann anhand des seitlichen Röntgenbildes die Diagnose einer Achillessehnenruptur stellen. Die Konturen des Kager-Dreiecks – gebildet von der ventralen Begrenzung der Achillessehne, der posterioren Tibiakante und der kranialen Kalkaneuskortikalis – verstreichen im Rupturfall (Kager 1939). Die MRT- Diagnostik spielt für die Primärdiagnostik der frischen Achillessehnenruptur eine untergeordnete Rolle und ist im Normalfall nicht notwendig. Anders verhält es sich bei den chronischen Rupturen. Hier ist die MRT ein wichtiges Diagnostikum insbesondere in Hinblick auf die Beurteilung der Sehnen- und Muskeldegeneration (Abb. 6).
Abbildung 6
Neben der strukturellen Wiederherstellung der Sehne ist die funktionelle Beurteilung des Muskels von entscheidender Bedeutung. Ist es bereits zu einer Degeneration der Muskeln gekommen, kann ein gutes funktionelles Ergebnis, trotz subtiler Sehnenrekonstruktion, nicht erreicht werden. Die Arbeitsgruppe um Hoffmann et al. 13 konnte in ihrer Arbeit zeigen, das es - ähnlich wie bei Patienten mit chronischen Supraspinatusrupturen - zu fettigen Degenerationen und Ödemen der Muskulatur kommt, die im MRT nachweisbar sind. Wir empfehlen die MRT- Untersuchung des gesamten Unterschenkels und nicht nur die rupturnahen Bereiche. Des Weiteren lässt die MRT eine Beurteilung der Degeneration der umliegenden Sehnenanteile zu. Die Computertomographie sollte nur in Ausnahmefällen zum Ausschluss von Begleitverletzungen (Abb. 7) durchgeführt werden und gibt uns sonst keinen weiteren Informationsgewinn.
Abbildung 7
Abbildung 8
Therapeutisches Vorgehen
Therapieziele
Ziel aller konservativen und operativen Verfahren ist die Wiederherstellung einer physiologischen Sehnenspannung und Muskelfunktion. Die Beurteilung des muskulären Status ist daher besonders bei älteren Achillessehennrupturen entscheidend. Sollte es durch den chronischen Prozess bereits zu einer Atrophie oder Degeneration des Gastrocnemius-Soleus-Komplexes gekommen sein, muss dies in die weitere Therapieplanung mit einbezogen werden. Ohne eine funktionell intakte Muskulatur hat eine anatomisch rekonstruierte Sehne allein nur eine statische Funktion.
Indikation und Kontraindikation
Konservativ
Ziel der konservativen Therapie ist die Annäherung der Sehnenstümpfe durch Plantarflexion im oberen Sprunggelenk (Spitzfußstellung). Vorraussetzung hierfür ist die sonografisch nachgewiesene Adaptation der Stümpfe in 20° Plantarflexion 14. Die primär immobilisierende Therapie mittels langfristiger Gipsruhigstellung in Spitzfußstellung hat aufgrund der hohen Rezidivrate, der konsekutiven Muskelatrophie und des resultierenden propriozeptiven Defizites heute keine klinische Relevanz mehr. Die primär funktionelle Therapie mittels Orthesen hat sich bei der konservativen Behandlung durchgesetzt. Entscheidend hierbei ist die klinische und sonografische Verlaufskontrolle nach 4 und 8 Wochen um eine sekundäre Dehiszenz frühzeitig zu erkennen. Prinzipiell sollte sie allen geeigneten Patienten als therapeutische Option angeboten und spätestens 24h nach Rupturereignis eingeleitet werden.
Operative Therapien sind indiziert bei Patienten mit fehlender sonografischer Adaptation der Sehnenenden in Plantarflexion, sowie bei Patienten bei denen dies gegeben ist, die aber einen hohen körperlichen Anspruch haben (beruflich und sportlich). Ebenfalls sollte eine chirurgische Naht bei einer verzögerten Diagnosestellung (>1 Woche), bei fehlgeschlagenen konservativen Therapieversuchen 9 und bei Rerupturen durchgeführt werden. Die alleinige Fibrinklebung führen wir heute nicht mehr durch. Auch die Kombination mit Nahtverfahren haben wir verlassen, da es ein zusätzlicher Kostenfaktor ist und Vorteile in der Literatur nicht beschrieben sind. Die perkutane Naht wurde erstmals von Ma und Giffith beschrieben 15. Mittels verschiedener Nahtinstrumentarien kann das Weichteiltrauma verringert und somit die Infektionsrate gemindert werden 16. Durch die fehlende visuelle Kontrolle besteht ein erhöhtes Risiko für eine inkorrekte Adaptation der Sehnenenden. Folgen können sekundäre Elongationen der Sehnen mit konsekutivem Kraftverlust oder Rerupturen sein 17. Die perkutane Naht ist eine Alternative bei Patienten mit relativen Kontraindikationen für die offene Naht, da sie das lokale Weichteiltrauma minimiert. Einige Autoren präferieren das minimalinvasive Vorgehen immer dann, wenn die Sehnenenden intraoperativ gut zu approximieren sind 181920.
Abbildung 9a
Abbildung 9b
Vorteil der klassischen offenen Naht, ist die Möglichkeit der visuellen Beurteilung der Rupturform und Sehnenqualität (Achillessehnentendinopathie). Für die offene Sehnennaht stehen dem Operateur vielfältige Techniken zur Verfügung. In den letzten Jahrzehnten sind verschiedenste Operationsmethoden publiziert. Die gängigsten Nahtverfahren sind die Naht nach Bunnell, Kirchmeyer- Kessler, Mason und Krackow. Der operativen Zugangsweg zur Achillessehne wird mitunter kontrovers diskutiert. Wir bevorzugen den dorsomedialen Zugang ca. 1 cm paramedian mit einer sparsamen subkutanen Präparation. Im Falle von frischen knöchernen Ausrissen muss eine Refixation mittels Nahtankern erfolgen. Eine eventuell vorhandene Plantarissehne kann zur Durchflechtung benutzt werden.
Sekundäre Rekonstruktion
Bei Patienten mit einer chronischen Ruptur und einer sekundären Verlängerung der Achillessehne (durch Defekt oder Narbenüberbrückung) kann eine verkürzende Rekonstruktion durchgeführt werden. Hierdurch kann die sekundäre Insuffizienz, die durch Vergrößerung der Sehnenlänge zwischen Ansatz und Ursprung entstanden ist, behoben werden. Dies bietet sich bei Patienten an, die über eine leistungsabhängige Kraftlosigkeit klagen. Vorraussetzung hierfür ist eine intakte Muskulatur ohne ausgeprägte degenerative Veränderungen. Diese können im MRT nachgewiesen werden. Hilfreich ist auch die intraoperative Testung der Elastizität durch manuelle Distalisierung der Sehne (z.B. Backhausklemme). Ist dies gegeben, kann der degenerative Teil reseziert und die Sehne verkürzend rekonstruiert werden (z.B. über eine Z- Plastik).
Abbildung 10a
Abbildung 10b
Abbildung 10c
Abbildung 10d
Abbildung 10e
Neben sekundären Rerupturen ist eine zu forcierte operative Sehnenverkürzung mit einer konsekutiven Spitzfußstellung eine mögliche Komplikation. Bewährt hat sich eine Rekonstruktion in 10°-20° Plantarflexion. Verkürzende Rekonstruktionen können ebenfalls bei älteren knochennahen oder knöchernen Rupturen durchgeführt werden. Hier ist in der Regel eine Refixation über Knochenanker oder spezielle Nahtsysteme (z.B. Achilles SutureBridgeTM, Fa. Arthrex) nötig (Abb. 11). Für alle verkürzenden Verfahren ist eine frühfunktionelle Behandlung entscheidend. Postoperativ wird eine dorsale Unterschenkelgipslonguette in ca. 20° Plantarflexion angelegt, die bis zu einer guten Wund- und Weichteilkonsolidierung verwendet werden kann. Ab dem 2. p.o. Tag beginnt eine passive physiotherapeutische Beübung in die weitere Plantarflexion, bei gebeugtem Kniegelenk. Nachfolgend (in der Regel am 8. p.o. Tag) wird auf eine Unterschenkelorthese mit eingelegten Keilen (20°) gewechselt.
Abbildung 11a
Abbildung 11b
Abbildung 11c
Abbildung 11d
Eine Sonderform der chronischen Rupturen ist die verspätet erkannte akute Ruptur. Liegt das Rupturereignis nicht länger als 4 Wochen zurück, kann eine primäre Naht angestrebt werden. In offener Technik wird die Sehne mobilisiert und anschließend der proximale Stumpf nach distal gedehnt. Dies kann über eine Backhaus- Klemme erfolgen (Abb. 12). Lassen sich die Rupturenden in maximal 20° Plantarflexion annähern, können die Rupturränder angefrischt und eine primäre Naht durchgeführt werden. Ausgeprägte degenerative Veränderungen der Sehne sind eine Kontraindikation für dieses Vorgehen. Ist nach Dehnung noch ein kleiner verbleibender Defekt, der nur durch weitere Plantarflexion des Fußes ausgeglichen werden kann, dann kann z.B. ein Gastrocnemius- Release nach Baumann (Baumann 1992) durchgeführt werden. Chronische Rupturen mit einer maximalen Defektgröße von 3cm können in ähnlicher Weise behandelt werden.
Abbildung 12a
Abbildung 12b
Abbildung 12c
Abbildung 13
Die Indikation für überbrückende Defektrekonstruktionen mit oder ohne zusätzliche Sehnentransfers wird in der Literatur kontrovers diskutiert 21. Es gibt keinen einheitlichen Konsens über die Defektgröße und die daraus resultierende Therapieform. Neben dem Substanzverlust ist die noch vorhandene Muskelfunktion entscheidend (siehe Therapieziele). Bei muskulärer Insuffizienz muss ein additiver Sehnentransfer durchgeführt werden. Hinweis auf einen irreversiblen Muskelschaden ist die fettige Degeneration der Muskulatur im MRT (Szeimies 2013).
Zur Überbrückung von Defekten bis maximal 10cm (Kuwada III) können lokale Plastiken zur Anwendung kommen. Die bekanntesten unter Ihnen sind die VY- Plastik 22, die Griffelschachtel- Plastik nach Lange (Lange 1951) und die Umkehrplastik (Umkipp-) nach Lindholm 23. Hierdurch kann der Defekt durch ortständiges Gewebe augmentiert werden, was aber zu einer Verlängerung der Sehne mit resultierendem Kraftverlust führen kann. Bei der VY- Plastik wird der Sehnenspiegel des Muskulus gastrocnemius nach proximal dargestellt und umgekehrt V-förmig inzidiert. Nach Distalisierung entsteht proximal die typische Y-förmige Naht (Abb. 13).
Abbildung 14
Die Umkehrplastik nach Lindholm kann bei größeren Defekten zur Anwendung kommen. Je nach Sehnenbreite wird ein 1-2cm Streifen aus der Sehne herauspräpariert und nach distal umgeklappt. An der Umschlagstelle wird die Sehne mit Fäden gesichert. Nachteilig ist die am Umschlagpunkt meist dauerhaft verdickte Sehne. Alternativ können auch zwei parallele Streifen gewonnen werden. Diese werden im Anschluss an den distalen Stumpf genäht. Diese Technik kann auch bei Patienten mit geringer Defektgröße eingesetzt werden, bei denen aber nach Debridement nur ein ausgedünnter Sehnenstumpf vorhanden ist.
Die Griffelschachtelplastik erlaubt, bei weiter distal gelegenen Defekten, eine Augmentation über Verschiebung der zentralen Anteile der Sehne (Abb. 17). Auf eine ausreichende Überlappung im Entnahmebereich muss geachtet werden.
Eine Kombination der genannten Techniken (besonders mit dem Gastrocnemius-Release nach Baumann) ist möglich und zur spannungsarmen Augmentation zu empfehlen. Zeigt sich in der präoperativen Diagnostik oder im intraoperativen Befund eine unzureichende Muskelfunktion, müssen zusätzlich Sehnentransfereingriffe durchgeführt werden 25262728. Ziel ist es, durch eine Muskeltransposition die kraftvolle Plantarflexion im Sprunggelenk zu unterstützen 29. Am Weitesten verbreitet ist die Verwendung des Musculus flexor hallucis longus2930. Er hat einen anatomisch günstigen Verlauf und seine nervale Aktivierung erfolgt weitestgehend gleichzeitig mit der des Achillessehnenkomplexes. Je nach distalem Absetzungsort sind hiermit langstreckige Defektüberbrückungen möglich. Mit kurzem Sehnenanteil (und dadurch einem geringeren Weichteiltrauma) kann die Sehne direkt am Übergang zum Tarsaltunnel gewonnen werden. Dies ist für eine transkalkanearen Durchzug von dorsal nach plantar ausreichend (Abb. 18). Die Fixation kann z.B. mit einer Biotenodeseschraube durchgeführt werden. Das Gewinnen eines langen Sehnenanteils gelingt beim distalen Absetzen proximal der Kreuzungsstelle des FHL und FDL (master knot of Henry). Dafür ist jedoch eine mediale Zusatzinzision notwendig. Damit kann dann eine quere transkalkaneare Augmentation (Steigbügel) durchgeführt werden (Abb. 20). Bei Patienten mit einem intakten distalen Stumpf kann die FHL-Sehne auch dort eingeflochten werden. Bei schlanken Patienten kann die Sehne auch über eine plantare Mini- Inzision gewonnen werden 31. Technisch gelingt die einfach, in dem ein Redon-Schlauch über den dorsalen Zugang in die Sehnenscheide des FHL des Tarsaltunnels geschoben wird. Damit wird der Verlauf der Sehne gut tastbar. Bei einem langen Sehnenanteil ist eine gewisse anteilige Dopplung der Sehne nach proximal und somit eine zusätzliche Augmentation möglich. Beschriebene Nachteile des FHL- Transfers sind der Verlust der maximalen Flexionskraft der Großzehe, ein verminderter Abdruck des Fußes beim Laufen (Sportler) und ein reduzierte Bewegungsumfang am Sprunggelenk. Für Alltagsbelastungen scheint die Relevanz aber gering zu sein 313233. Ein Läsion des Nervus plantaris medialis während der Entnahme (long harvest) ist möglich 34.
Abbildung 18
Abbildung 19a
Abbildung 19b
Abbildung 19c
Abbildung 20a
Abbildung 20b
Alternativ zum FHL kann der Musculus flexor digitorum longus (FDL) verwendet werden 25. Aufgrund der geringeren Kraft und des anatomisch ungünstigeren Verlaufs 35 hat dieses Verfahren keine weitere Verbreitung gefunden. Bei der Verwendung der Sehne des M. peroneus brevis 26 wird dieser am Metatarsale V abgesetzt und von lateral beginnend durch den distalen Achillessehnenstumpf geflochten. Dies zieht, ähnlich der Steigbügelplastik des FHL, einen unphysiologischen Lateralzug und somit eine verstärkte Eversionstendenz nach sich. Der Kraftverlust wird kontrovers diskutiert, da der M. peroneus longus die doppelte Eversionskraft besitzt im Vergleich zum M. peronaeus brevis 3637. In Einzelfällen kann eine gleichzeitige Transposition des M. peronaeus longus auf die Metatarsale V Basis durchgeführt werden. Wie die Verwendung des FDL hat auch die Transposition des M. peronaeus brevis nie eine größere klinische Verbreitung gefunden.
Bei der Überbrückung von langstreckigen Defekten über 10cm (Kuwada IV) kommen alternativ zum FHL-Transfer auch freie Sehnentransplantate zur Anwendung 383940. Defekte dieses Ausmaßes finden sich häufig nach Rerupturen und postinfektösen Zuständen, bei denen ein ausgeprägtes Debridement notwendig war. Als Transplantat hat sie die Gracilis-Sehne etabliert. Diese wird analog zur Kreuzbandplastik über eine zusätzliche mediale Inzision am proximalen Tibiakopf entnommen. Die regelhafte Bauchlagerung des Patienten gestaltet die Entnahme etwas anspruchsvoller, ist aber gut durchführbar. Im Anschluss kann über eine Durchflechtung der Defekt überbrückt werden. Eine weitere beschriebene Möglichkeit ist die Rekonstruktion von Defektzonen über die Entnahme von Fascia lata- Streifen 41. Die Datenlage hierfür ist aber gering. Im angloamerikanischen Bereich kommen in den letzten Jahren vermehrt Allografts zu Anwendung, die aber in Europa in dieser Form nicht verfügbar sind 42. Beschrieben sind reine Sehnentransplantate 43 als auch als Knochen-Sehnen- Transplantate (Haraguchi 2005). Längerfristige Ergebnisse oder größere Fallserien wurden bisher nicht publiziert.
Bei zusätzlich vorliegenden Hautdefekten können freie muskulokutane Lappen (Radialis- Lappen, Tensor fasciae latae-Lappen) zur Deckung eingesetzt werden 44454647. Auch in diesen Fällen ist die Muskelfunktion in die Therapieplanung mit einzubeziehen.
Aufklärung
Neben den allgemeinen chirurgischen Komplikationen muss bei rekonstruktiven Achillessehneneingriffen über einige Besonderheiten aufgeklärt werden. Durch den meist notwendigen größeren Zugang zur Achillessehne ist die Gefahr einer Verletzung des Nervus suralis größer als bei Primäreingriffen. Ebenfalls steigt das Risiko für Wundheilungsstörungen und Infektionen. Bei der Entnahme der Flexor hallucis longus- Sehne ist eine Verletzung des Gefäß- Nerven- Bündels am Tarsaltunnel möglich. Bei allen kalkanearen Sehnenfixationentechniken müssen Implantate verwendet werden (Nahtanker, Interferenzschrauben) und kann es zu einem Ausbruch der Knochenbrücken, bzw. zu einer Sekundärdislokation der Sehnen kommen. Die Nachbehandlung und der allgemeine Krankheitsverlauf ist im Vergleich zur primären Versorgung prolongiert und wird initial meist nur unter Teilbelastung durchgeführt (siehe Nachbehandlung). Auch bei korrekt durchgeführter OP erreichen viele Patienten nicht mehr das ursprüngliche Kraftniveau und den Bewegungsumfang der gesunden Gegenseite. Dies gilt insbesondere für sämtliche Ersatzplastiken. Diese Problematik ist besonderes mit sportlich aktiven Patienten im Vorfeld der OP umfassend zu diskutieren.
Nachbehandlung
Abbildung 21
Direkt postoperativ erfolgt die Anlage eines wattegepolsterten Verbandes, sowie die Anlage einer dorsalen Unterschenkel- Gipslonguette in der Spitzfußstellung die der Patient postoperativ spontan in Bauchlage vorhält. Darin beginnt am ersten postoperativen Tag die Mobilisierung unter Entlastung an Unterarmgehstützen. Aus dem Gips heraus kann eine passive physiotherapeutische Beübung im Sprunggelenk in die weitere Platarflexion durchgeführt werden. Nach erster Weichteilkonsolidierung (in der Regel ab dem siebenten postoperativen Tag) erfolgt der Wechsel auf eine Unterschenkelorthese mit 30° Plantarflexion und die Mobilisierung unter Teilbelastung (20kg) (Abb. 21). Bei kleineren Defekten kann die Spitzfußstellung, entsprechend des intraoperativen Befundes, reduziert werden. Ab der dritten postoperativen Woche kann die Spitzfußstellung auf 20° und ab der fünften Woche auf 10° reduziert werden. Der zunehmende Belastungsaufbau kann ebenfalls ab der dritten Woche begonnen werden. Nachfolgend Freigabe der Mobilisierung in einem Konfektionsschuh mit 1 cm Absatzerhöhung und intensive physiotherapeutische Beübung. Rehabilitationsmaßnahmen ab der 7. postoperativen (p.o.) Woche.
Perspektiven und aktuelle Trends
Bei Hochrisikopatienten besteht die Möglichkeit der Versorgung von chronischen Achillessehnenrupturen mittels endoskopischer Technik. Galla (Gall 2014) demonstrierte an drei Patienten eine minimalinvasive Technik des FHL-Transfers Entnahme des Sehentransplantats direkt am Tarsaltunnel. Die Fixation erfolgte transkalkanear mit einer Biotenodeseschraube. Vorteilhaft erscheint das Verfahren bei Patienten mit einem hohen Risiko für ein offen-chirurgisches Vorgehen. In der Nachuntersuchung (durchschnittlich 5 Monate postoperativ) gaben alle Patienten eine deutliche Schmerzlinderung und eine Verbesserung des Gangbildes an. Die geminderte Großzehenbeugekraft wurde ebenfalls beschrieben, jedoch war keiner der Patienten subjektiv beeinträchtigt. Weitere Komplikationen wurden nicht berichtet.
Weitere Literatur
Baumann U. Lengthening of the anterior aponeurosis of musculus gastrocnemius through multiple incisions. Orthopedics and Traumatology 1992; 1(4):278-282
Galla M. Endoscopic FHL- transfer – a treatment option for failed Achilles tendon repair and neglected ruptures. Fuss & Sprunggelenk 2014; 12(3): 143- 151
Haraguchi N, Blumann EM, Myerson MS. Reconstruction of chronic Achilles tendon disorders with Achilles tendon allograft. Techniques Foot Ankle Surg 2005; 4(3):154- 159
Kager H. Zur Klinik und Diagnostik des Achillessehnenrisses. Chirurg 1939; 11:691-695
Lange M. Orthopädisch- Chirurgische Operationslehre 1951. Bergmann, München, 26-48
Leppilathi J. Achilles tendon rupture with special reference to epidemiology and result of surgery. Thesis, University of Oulu, Oulu, Finland, 1996
Raschke M.J, Herbort M., Roßlenbroich S. Achillessehnenrupturen. Trauma Berufskrankh 2010; 12(4): 444- 452
Szeimies U, Stäbler A, Walther M: Bildgebung des Fußes. Thieme 2013
Wagner C. Operative Versorgung von Achillessehnenverletzungen. Trauma Berufskrankheiten 2005; 7:168-174