Vorbemerkungen

Die minimalinvasive Fuß- und Sprunggelenkchirurgie hat in den letzten Jahren eine enorme Entwicklung durchgemacht. Über lange Zeit galten minimalinvasive Techniken als wenig präzise und von den Ergebnissen her unzuverlässig. Eine Minimierung des Weichteiltraumas wirkt sich aber zweifelsohne positiv auf den Heilungsverlauf aus. Die aktuelle Entwicklung ist getragen von einer Weiterentwicklung der Instrumente, insbesondere der Fräser, die viele der neuen Techniken erst möglich macht. Der lange gepflegte Twist zwischen traditionellen und minimalinvasiven Fußchirurgen hat sich zunehmend in einen fruchtbaren Dialog gewandelt. Bei ähnlichen Anforderungen an Osteosynthese und Präzision ist die minimalinvasive Technik heute ein weiteres Werkzeug in der Hand des Operateurs, um ein gutes Ergebnis für den Patienten zu erreichen.
Einer der häufigsten Eingriffe am Fuß ist die Korrektur des Hallux valgus. Bei den offenen Techniken haben Chevron (Austin)-Osteotomie und die Scarf-Osteotomie die weiteste Verbreitung gefunden. Bei ähnlichem Indikationsbereich bietet die Minimalinvasive Chevron-Osteotomie eine weitere Option diese Fehlstellungen bei minimalem Weichteiltrauma „minimalinvasiv“ zu korrigieren. Meist wird der Eingriff in Kombination mit einer Akin-Osteotomie durchgeführt (Minimalinvasive Chevron- und Akin-Osteotomie).

Operationsprinzip und –ziel

Eine Hallux valgus Fehlstellung besteht typischerweise aus einem erhöhten Intermetatarsale I/II Winkel, einer Adduktion und ggf. Pronation der Großzehe, sowie häufig aus einer Valgusstellung innerhalb der Großzehe (Hallux valgus interphalangeus). Wie bei der klassischen Chevron-Osteotomie erfolgt die Korrektur des erhöhten Intermetatarsalwinkel I/II durch eine Lateralverschiebung des Metatarsale I Kopfes. Ein laterales Release wird transartikulär von dorsal über eine Stichinzision lateral der Strecksehnen durchgeführt.
Die Korrektur eines erhöhten Interphalangealwinkels läßt sich durch eine mediale, schließende Osteotomie der Grundphalanx erreichen (Akin). Die Osteotomieebenen und die Fixation orientieren sich an den offenen Verfahren.

Vorteile

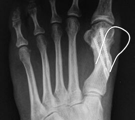
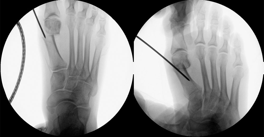
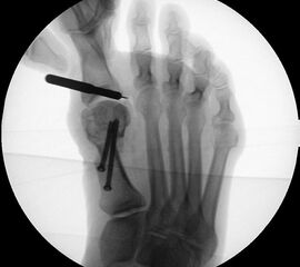
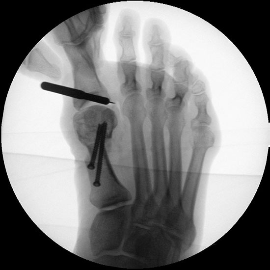
Durch die Korrektur extraartikulär im Schaftbereich lassen sich auch große Intermetatarsalwinkel korrigieren.
Abbildung 1
  • Minimales Weichteiltrauma.
  • Extrakapsuläre Osteotomie mit Erhalt der Durchblutung am Metatarsale I Kopf.
  • Stabilität durch eine Osteosynthese analog zum offenen Vorgehen.
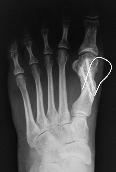
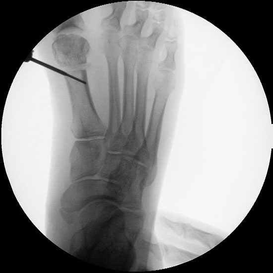
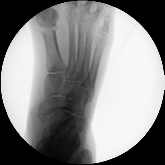
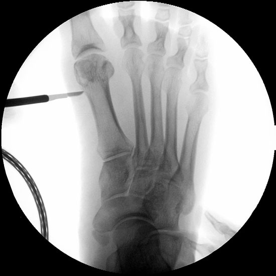
  • Korrekturpotential größer als beim offenen Chevron, da die Gelenkkapsel als stabilisierendes Element erhalten bleibt und über eine trikortikale Osteosynthese mit zwei kanülierten Schrauben eine Verschiebung bis ca. 80% des Metatarsaledurchmessers möglich ist (Abb. 1).
  • Korrektur des Gelenkflächenwinkels möglich.
  • Geringere Narbenbildung und bessere Beweglichkeit des Gelenks.
  • Nach Durchlaufen der Lernkurve kürze OP-Zeiten als beim offenen Vorgehen.
  • Schnellere Rehabilitation.

Nachteile

  • Höhere Strahlenbelastung als beim offenen Operieren. Dies gilt insbesondere für die Lernphase.
  • Höheres Risiko der Fehlplatzierung der Osteosynthese.
  • Technisch anspruchsvoll.

Indikationen

  • Symptomatischer Hallux valgus leichten bis mittelgradigen Ausmaßes.
  • Intermetatarsalwinkel bis 20° bei entsprechender Erfahrung (mit der minimalinvasiven Technik ist eine stärkere Verschiebung des Metatarsalekopfs möglich).
  • Hallux valgus Winkel bis 40°.
  • Pathologischer distaler Gelenkflächenwinkel am Metatarsale I Kopf  (DMAA – Distal Metatarsal Aricular Angulation).
  • Weichteilirritation ggf. mit Bursitis an der Pseudoexostose.
  • Transfermetatarsalgie.
  • Konflikt mit der Nachbarzehe durch Valgusfehlstellung.

Kontraindikationen

  • Symptomatische Arthrose des Großzehengrundgelenks 12.
  • Hallux valgus Fehlstellung auf der Basis einer Pathologie des Tarsometatarsale-I-Gelenks.
  • Infekt.
  • Hautschädigung (z.B. Ulzeration).
  • Deformitäten mit hohen Intermetatarsalwinkel, die sich durch die alleinige Verschiebung des Metatarsale 1 Kopfes um ca. 80% nicht ausreichend korrigieren lassen.

Relative Kontraindikationen sind:

  • Durchblutungsstörung.
  • Schlechte Knochenqualität.

Patientenaufklärung

  • Möglicher Wechsel auf ein offenes Verfahren.
  • Verkürzung des Metatarsale I möglich mit dem Risiko einer Transfermetatarsalgie.
  • Verlängerung des Metatarsale I mit dem Risiko einer Verschlechterung der Beweglichkeit („overstuffing“).
  • Fortschreiten von degenerativen Veränderungen im Großzehengrundgelenk auch bei technisch korrekter Ausführung möglich.
  • Überkorrektur (Hallux varus) mit dem Risiko von Folgeeingriffen.
  • Verletzung oberflächlicher Hautnerven (z.B. N. peroneus superficialis).
  • Verletzung von Sehnen (z.B. Sehne des M. extensor oder M. flexor hallucis longus).
  • Avaskuläre Nekrose des Metatarsale 1 und ggf. resultierender Folgeeingriff (Arthrodese).
  • Verzögerte Knochenheilung und Pseudarthrose der Osteotomie, ggf. mit der Notwendigkeit von Folgeeingriffen.
  • Implantatunverträglichkeit oder Metallkonflikt mit der Notwendigkeit einer Metallentfernung.
  • Implantatdislokation.
  • Korrekturverlust.
  • Rezidiv der Fehlstellung.
  • Ggf. notwendige Zusatzeingriffe zur Vervollständigung der Korrektur.
  • Bewegungseinschränkung im Großzehengrundgelenk.
  • Schwellneigung.
  • Schmerzen.
  • Funktion und Bedeutung des redressierenden postoperativen Verbandes für das definitive Behandlungsergebnis.
  • Notwendigkeit der Vorfußentlastung (Spezialschuh, Gehstützen, Fersenbelastung).
  • Eigenständige aktive Mobilisation des Großengrundgelenks.
  • Bei persistierender Schwellung oder Bewegungsstörung Unterstützung der Nachbehandlung durch Lymphdrainagen und Physiotherapie insb. zur Normalisierung des postoperativen Gangbildes.
  • Oberflächlicher Infekt und Wundheilungsstörung.
  • Tiefer Infekt und Osteomyelitis.
  • Thrombose- und Embolie-Risiko und leitliniengerechte postoperative Thromboseprophylaxe.

Operationsvorbereitungen

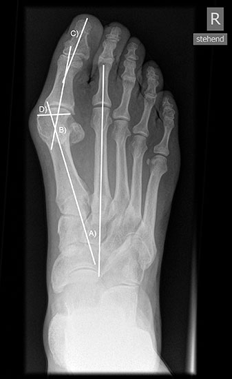
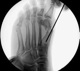
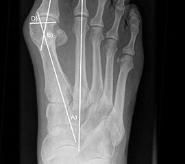
Präoperatives Röntgenbild Fuß d.p. mit eingezeichneten Winkeln. A) Intermetatarsalwinkel, B) Hallux valgus Winkel, C) Interphalangeal-Winkel.
Abbildung 2
  • Klinische Untersuchung des gesamten Fußes unter Entlastung und Belastung.
  • Mögliche Verkürzungen den M. gastrocnemius in die OP Planung mit einbeziehen. Die Vorfußkorrektur kann gut mit einem M. gastrocnemius Release kombiniert werden.
  • Beurteilung des Gangbildes.
  • Evtl. Fotodokumentation der Fehlstellung.
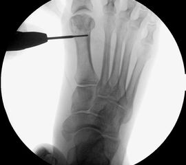
  • Röntgenaufnahmen des Fußes d.p., streng seitlich (Basisdiagnostik). Die 45° Schrägaufnahme liefert zusätzliche Informationen zum Zustand des Großzehengrundgelenks. Bei Verdacht auf eine Pathologie des Tarsometatarsale I Gelenks ist ergänzend eine 45° Supinationsaufnahme möglich.
  • Operationsplanung anhand der Röntgenaufnahmen unter Beachtung wichtiger radiologischer Landmarks wie Intermetatarsalwinkel, Hallux valgus – Winkel, distaler Gelenkflächenwinkel (Distal Metatarsal Articular Angulation - DMAA), Metatarsaleindex und Sesambeinposition (Abb. 2).
  • Patientenanleitung (ggf. Merkblatt) über folgende präoperativ zu beachtende Punkte: Fußwaschung, Entfernung von Nagellack und/oder Schmuck, kein Eincremen der Füße vor der Operation
  • Clipping von Haaren nur, wenn diese ein relevantes Operationshindernis darstellen.
  • Single shot i.v. Antibiose mit weichteil- und knochengängigem Cephalosporin (2. Generation) bei Narkoseeinleitung.
  • Bildverstärker für intraoperative Kontrollaufnahmen.
  • Eine Knöchel-, Unterschenkel- oder Oberschenkelblutleere kann für den Fall eines möglichen Verfahrenswechsel vorbereitet werden. Für Minimalinvasive Verfahren sollte die Blutleere oder-sperre aber nicht verwendet werden. Der Blutfluss ist für die Kühlung des OP-Gebiets erforderlich. Wird eine Blutsperre angelegt, steigt das Risiko für Hitzeschäden des Gewebes.

Instrumentarium

Instrumentarium für die minimalinvasive Vorfußkorrektur.
Abbildung 3
  • Fräse für Minimalinvasive Fußchirurgie (Drehzahl: ca. 350 RPM, Drehmoment >50 N/cm).
  • Shannon Fräser 20 mm, 2.0 mm Durchmesser.
  • Shannon Fräser 12 mm. 2,0
  • Bildverstärker.
  • Beaver-Blade Messer.
  • Mini-Raspatorium.
  • Kanülierte Schrauben bis 60 mm Länge.
  • Bohrmaschine.
  • Kirschnerdrähte mit 1,2 mm (temporäre Fixation) und 2,4 mm (Reposition), special elevator.
  • Verbandsmaterial für redressierenden postoperativen Verband (sterile Kompressen, Mullbinde, elastische Binde, Haftbinde, Pflasterstreifen).

Anästhesie und Lagerung

  • Intubationsnarkose, Larynxmaskennarkose, Spinalanästhesie, Ischiadicuskatheter oder Fußblock.
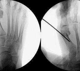
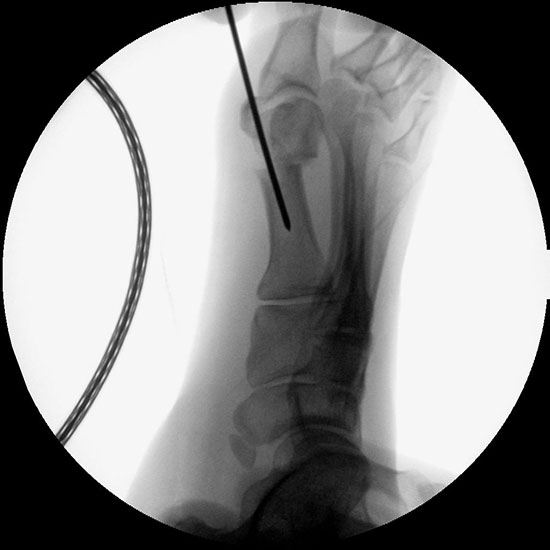
  • Lagerung des Beins auf einem gepolsterten Untergrund. Positionierung des Bildverstärkers im 90° Winkel zur Fußlängsachse (Abbildung 4).
  • Fuß überhängen lassen, so dass von allen Seiten ein problemloser Zugang möglich ist.
  • Strahlenschutzmatte und Röntgenschürzen.
  • Die Anlage einer Blutleere- oder Sperre ist optional. Wird eine Blutsperre angelegt ist es noch wichtiger, auf eine ausreichende Spülung zur Kühlung des Gewebes zu achten.

OP-Video

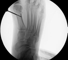
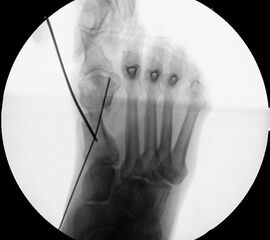
Besonderheiten (optional)

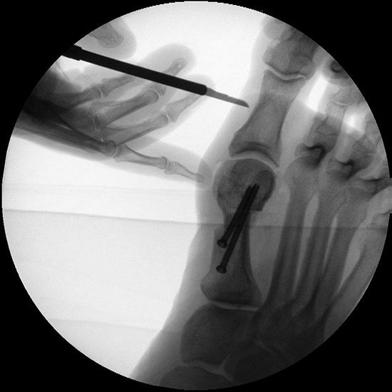
Bei entsprechender Wahl der Osteotomieebene kann auch bei minimalinvasiver Chevron-Osteotomie eine deutliche Plantarisierung des Metatarsalekopfes erreicht werden.
Abbildung 32

Bei entsprechender Wahl der Osteotomieebene kann auch bei minimalinvasiver Chevron-Osteotomie eine deutliche Plantarisierung des Metatarsalekopfes erreicht werden.

Postoperative Behandlung

  • Verbandschuh (mit schmerzadaptierter Fersenbelastung) und redressierendem Verband für 6 Wochen.
  • Antiphlogistika und Analgetika nach Bedarf.
  • Postoperative Hochlagerung und Eisauflage für die ersten zwei Wochen postoperativ.
  • Thromboembolieprophylaxe gemäß Leitlinien bis zur vollen Fersenbelastung im Entlastungsschuh und ausreichend aktivem Bewegungsumfang im OSG.
  • Vollbelastung (Gehen) im bequemen Konfektionsschuh nach der 6. postoperativen Woche.
  • Röntgenkontrollen (Vorfuß in zwei Ebenen) postoperativ und ggf. nach zwei Wochen jeweils ohne Belastung. Abschlusskontrolle zur Dokumentation der knöchernen Konsolidierung nach sechs Wochen unter voller Belastung.
  • Physiotherapie ist nicht zwingend erforderlich. Die passive und aktive Beübung des Großzehengrundgelenks in Extension und Flexion kann nach Anleitung vom Patienten durchgeführt werden.
  • Optional erfolgen Lymphdrainagen ab dem 1. bis 2. postoperativen Tag in Abhängigkeit von der Schwellneigung.
  • Walking, Radfahren, Schwimmen und andere Sportarten ohne Stauchungsbelastung („Impact“) nach 6 Wochen.
  • In Abhängigkeit von der Koordinationsfähigkeit Verordnung von Krankengymnastik zur Gangbildschulung nach der 6. postoperativen Woche 3.
  • Vollständige Sportfreigabe nach 10-12 Wochen.
  • Arbeitsunfähigkeit in Abhängigkeit vom Berufsbild.

Fehler, Gefahren, Komplikationen

  • Zur Beherrschung von intraoperativen Komplikationen sollte der Operateur die offenen Techniken souverän beherrschen.
  • Verbrennungen der Haut aufgrund von unzureichender Spülung.
  • Hitzeschäden des Knochens bei Verwendung einer Blutsperre.
  • Köpfchennekrose: Bei korrekt durchgeführter OP Technik ist das Risiko einer Köpfchennekrose extrem gering, da die Kapsel mit den zuführenden Gefäßen nicht vom Knochen abgelöst wird. Die Osteotomie wird extrakapsulär durchgeführt. Kommt es im Verlauf zu einer Köpfchennekrose kommen die gleichen Behandlungsgrundsätze zur Anwendung wie bei Köpfchennekrosen nach offenen Eingriffen. In den meisten Fällen stellt die Arthrodese des Großzehengrundgelenks, ggf. mit verlängernder Scarf-Osteotomie 4 oder Beckenkamminterposition 5 das zuverlässigste Salvageverfahren dar.
  • Verletzung von Sehnen, Nerven und Gefäßen: Werden beim Halten des Fußes Weichteile gegen die laufende Fräse gedrückt, kann es zu Gewebeschäden kommen.
  • Wird der plantare Schenkel der Osteotomie zu lang gefräst, ist unter Umständen eine trikortikale Fixation der Osteotomie nicht mehr möglich. Salvagekonzepte umfassen die Verwendung von K-Drähten oder eine von in den Metatarsaleschaft perkutan eingebrachte Schraube, welche eine Medialisierung des Metatarsale I Kopfes verhindert.
  • Die aktuellen Daten legen nahe, dass das Risiko eines Korrekturverlustes bei minimalinvasiver Korrektur nicht höher ist, als bei offenem Vorgehen. Kommt es zu einem Rezidiv, sind analoge Prinzipien anzuwenden wie bei einem Rezidiv nach offener Hallux valgus Korrektur.
  • Das Pseudarthrose Risiko ist gering. Die Therapieprinzipien sind analog dem Vorgehen nach offener Operation.

Ergebnisse

Verschiedene Techniken wurden in den letzten Jahren unter dem Begriff „Minimalinvasive Hallux valgus Korrektur“ publiziert 6. Diese unterscheiden sich erheblich in der technischen Durchführung, der primären Stabilität der Osteotomie und der Osteosynthese. Ein Teil der Verfahren war primär nicht belastungsstabil und hat bei hohen Raten sekundärer Dislokationen eine zurückhaltende Sicht gegenüber den minimalinvasiven Techniken hervorgerufen 7.
Die zur Verfügung stehenden technischen Möglichkeiten haben sich in den letzten Jahren wesentlich weiterentwickelt. Zwischenzeitlich wurden die Resultate verschiedener großer Serien publiziert, die exzellente Ergebnisse nach minimalinvasiver Hallux valgus Korrektur dokumentieren 8910. Ein Vorreiter war Isham der erstmalig eine distale minimalinvasive closing wedge Osteotomie beschrieb 11. Sun et al. 12 berichteten über die Ergebnisse an 705 Füßen und einem Follow up von 5,3 bis 13,2 Jahren. Dabei lagen die Komplikationsraten niedriger als bei offenen Operationen.
Die Nachuntersuchung von Vernois et al. (2013) umfasste 408 Füße  mit einem Follow up zwischen 1 und 3 Jahren. Die Zufriedenheitsrate war mit 95% hoch, bei einer Revisionsrate von 2% bei Rezidivfehlstellung. Es kam zu keinen Osteonekrosen oder Pseudarthrosen.
Die wesentlichen Elemente der hier beschriebenen Technik sind die Präzision der Osteotomie in Verbindung mit einer hohen primären Stabilität bei Schnittführung und Osteosynthese analog zur offenen Chevron- und Akin-Osteotomie. Das hier beschriebene Verfahren nutzt die neuen Instrumente lediglich um die Weichteiltraumatisierung zu minimieren unter Beibehaltung der bekannten und etablierten Konzepte der Vorfußkorrektur 11.

Weitere Literatur

  • Vernois J, Redfern D, GRECMIP: Die perkutane Chevronosteotomie: Die Kombination von klassischer stabiler Fixation und perkutaner Osteotomietechnik. Fuß und Sprunggelenk 2013; 11: 70-75.
  • De Prado M, Ripoll PL, Golano P: Minimal invasive foot surgery. About Your Health, 2009.
Loading…
Loading the web debug toolbar…
Attempt #