Kurzzusammenfassung

Metatarsale V Basisfrakturen gehören zu den häufigsten Frakturen des Fußes. Der primäre Unfallmechanismus ist das einfache Umknicktrauma. Bei akuten Verletzungen ist das Röntgen des Fußes in 3 Ebenen die Diagnostik der Wahl. Nur in Ausnahmefällen ist ein MRT oder CT notwendig. Anhand der schrägen Fußaufnahme sollten akute Fraktur nach Lawrence und Botte (L+B] klassifiziert werden. Stressfrakturen treten überwiegend in Zone III auf und sollten zusätzlich nach Torg klassifiziert werden. Der Begriff Jones Fraktur ist irreführend, da er synonym für verschiedene Frakturlokalisationen verwendet wird. Differentialdiagnostisch können akzessorische Knochen, wie Z.n. das Os vesalianum oder das Os peroneum, als Frakturen fehlinterpretiert werden.
Aktuell besteht kein Konsensus bezüglich der Behandlung von MT V Frakturen. Entsprechend variieren die  Therapiestrategien stark. Die meisten Autoren empfehlen, die Therapie an der L+B Klassifikation zu orientieren. Die Zone I liegt proximal der Articulatio zwischen den Ossa metatarsalia (MT) IV und V. Frakturen in diesem Bereich können frühfunktionell konservativ behandelt werden. Zone II Frakturen nach L+B befindet sich auf der Höhe der Articulatio zwischen MT IV und V. Die Behandlung dieser Frakturen wird kontrovers diskutiert. Allerdings scheint auch hier die frühfunktionelle, konservative Therapie sinnvoll. Ist eine eindeutige Zuordnung einer Fraktur in Zone II oder III nach L+B nicht möglich, sollte sich die Fraktur als L+B Zone III klassifiziert werden. Zone III Frakturen liegen distal der Zone II und stellen prinzipiell eine OP-Indikation dar. Selbes gilt für Stressfrakturen. Obwohl eine Vielzahl von Operationsverfahren beschrieben sind, favorisiert die Mehrzahl der Studien die intramedulläre Schraubenosteosynthese mit Schraubendurchmessern zwischen 4,5 und 6,5 mm. Postoperativ sollte die operierte Extremität für 2 Wochen teilbelastet werden. Anschließend ist die schmerzadaptierte Steigerung der Belastung bis zu Vollbelastung erlaubt.

Epidemiologie

Frakturen der Ossa metatarsalia (MT) gehören zu den häufigsten Frakturen des Fußes. Ca. 50% aller MT Frakturen sind Brüche des 5. Mittelfußknochens (MT V). Die Inzidenz der MT V Frakturen wird mit 67 auf 100.000 Einwohner pro Jahr beschrieben 12. Die Mehrzahl der MT V Frakturen sind Frakturen der MT V Basis 1.

Ätiologie

Sowohl ein direktes als auch ein indirektes Trauma kann zu einer MT V Basisfraktur führen. Der häufigste Unfallmechanismus ist das einfache Umknicktrauma 2. Der genaue Pathomechanismus ist noch nicht bekannt. Allerdings werden sowohl Zugkräfte der Sehne des Musculus peroneus brevis wie auch eines Seitenzügels der Aponeurosis plantaris als ursächlich angesehen 34.

Symptomatik und diagnostisches Vorgehen

Die klinische Untersuchung nach einem OSG Distorsionstrauma sollte strukturiert erfolgen und die proximale Fibula, das Sprunggelenk und den Fuß mit einbeziehen. Für die Untersuchung des Fußes empfiehlt sich die Anwendung der „Ottawa Foot Rules“. Dabei werden die Basis der MT V sowie das Os naviculare palpiert 5. Im Falle einer MT V Basisfraktur finden sich dort eine Schwellung und ein Druckschmerz. Besteht der Verdacht einer MT V Basisfraktur, sollten konventionelle Röntgenbilder des Fußes in drei Ebenen durchgeführt werden. Soweit möglich sollte dabei der Fuß aufgestellt und leicht belastet werden, da dies die Beurteilbarkeit wesentlich verbessert. In seltenen Fällen, z.B. bei Insuffizienzfrakturen, Trümmerfrakturen mit Gelenkbeteiligung oder gleichzeitigen Sehnenpathologien, kann eine weiterführende Diagnostik mittels MRT oder CT notwendig sein.

Klassifikation

Sir Robert Jones erlitt beim Tanzen eine Fraktur seines 5. Mittelfußknochens, „three-fourths of an inch [1.9 cm] from its base“. 1902 publiziert er eine erste Fallserie mit seinem Fall und fünf weitere Patienten mit einer MT V Basisfraktur. Seitdem wurden verschiedene Frakturlokalisation im Bereich der MT V Basis als Jones Frakturen bezeichnet, was den Begriff sehr unscharf gemacht hat. Insgesamt sind in der Literatur mehr als 20 verschiedene Klassifikationen der MT V Basisfraktur beschrieben. Im Folgenden sollen die beiden am häufigst angewandten vorgestellt werden. Die Frakturklassifikation erfolgt anhand der schrägen Röntgenaufnahme.

Lawrence und Botte Klassifikation

Illustration der Lawrence und Botte Klassifikation:<br>
Zone I: Avulsionsfraktur der Tuberositas <br>
Zone II: Jones’ Fraktur <br>
Zone III: Diaphysäre Stressfraktur<br>
Abbildung 1

Die in der Literatur am häufigsten verwendete Klassifikation ist die 1993 publizierte, anatomische Klassifikation von Lawrence und Botte 6. Diese basiert auf einer retrospektiven Fallserie und unterscheidet drei Frakturzonen (Abb. 1).

Zone II befindet sich auf Höhe der Articulatio zwischen MT IV und V. Die Zone I liegt proximal, die Zone III distal davon. Interessanterweise vermischen Lawrence und Botte Unfallmechanismen (Avulsionsfraktur/Stressfraktur) und deskriptive Terminologie (Jones’ Fraktur) in ihrer Klassifikation. Eine Vereinfachung dieser Klassifikation publizierten Polzer et al. 2012 7. Basierend auf den Ergebnissen von sechs prospektiven Behandlungsstudien (systematische Literaturrecherche), schlussfolgerten die Autoren, dass Lawrence und Botte Zone I und II Frakturen zusammengefasst werden könnten (Metaphysäre Frakturen). Zone III Frakturen werden als Meta-Diaphysär beschrieben.

Torg Klassifikation

Torg et al. 8 publizierten die am häufigsten angewandte Klassifikation für MT V Stressfrakturen. Stressfrakturen resultieren aus einer chronischen Überbelastung, wie sie z.B. beim Marschieren auftreten kann 9. Die Akkumulation von Mikrofrakturen führt schließlich zu einem mechanischen Versagen des Knochens. Torg und Kollegen unterscheiden drei Typen:

  • Typ I: Akute Frakturen, schmale Frakturlinie und keine intramedulläre Sklerose.
  • Typ II: Verzögerte Knochenheilung, Erweiterung der Frakturlinie und intramedulläre Sklerose.
  • Typ III: Pseudarthrose mit vollständiger Verlegung des intramedullären Kanals.

Lawrence und Botte bezeichneten Zone III Frakturen als Diaphysäre Stressfrakturen. Allerdings konnten Kahn und Kollegen (Khan, 2006) erst 2006 in einer retrospektiven Studie an 322 Frakturen der MT V Basis zeigen, dass Stressfrakturen tatsächlich primär in Zone III nach Lawrence und Botte auftreten.

Anatomische Erwägungen

Anatomie und Durchblutung der MT V Basis
Abbildung 2 A+B

Akzessorische Knochen im Bereich der MT V Basis können als Frakturen fehlgedeutet werden. Hier sind insbesondere das Os vesalianum (zweiter Ossifikationskern des MT V, im Ansatzbereich der Peronus brevis Sehne) sowie das Os peroneum (Akzessorischer Knochen im Sehnenverlauf der Peronaeus longus Sehne, lateral des Os cuboideum) zu nennen 10.

Ein detailliertes Verständnis der anatomischen Gegebenheiten in Verbindung mit den oben beschriebenen Klassifikationen ist für die Behandlungsentscheidung wichtig. Die in Abbildung 2A dargestellten Sehnen, Muskeln und Bänder stabilisieren einerseits die Basis des MT V, zum anderen kann der Muskelzug auch zu einer sekundären Dislokation der Fragmente führen bzw. eine Pseudarthrose begünstigen. Das metadiaphysäre und diaphysäre MT V ist weniger rigide verspannt als die MT V Basis. Bei Frakturen im metadiaphysären Übergang (Lawrence und Botte Zone III) kann es also aufgrund des relativ mobilen Schaftes zu stärkeren interfragmentären Bewegungen kommen. Diese haben wiederum einen negativen Einfluss auf die Knochenheilung.

Auch die Blutversorgung variiert innerhalb des MT V (Abb. 2B). Die proximale Metaphyse wird von extraossär über ein Netz aus Perforansgefäßen (Seitenäste der A. tarsea lateralis) versorgt. Die Diaphyse wird intraossär von einer A. nutricia versorgt. Der metadiaphysäre Bereich (Lawrence und Botte Zone III) liegt zwischen diesen beiden Versorgungsgebieten und ist daher relativ weniger durchblutet. Eine eingeschränkte Blutversorgung hat wiederum einen negativen Einfluß auf die Frakturheilung 111213.

Therapeutisches Vorgehen

Frakturen der Basis des fünften Mittelfußknochens werden in der Literatur auch als „career ending injuries“ bezeichnet 14. Entsprechend muss das Ziel der Therapie die schnellstmögliche Schmerzfreiheit und das Wiedererlangen der Arbeits- und Sportfähigkeit sein. Die Therapiestrategie richtet sich primär nach der Frakturlokalisation. Darüber hinaus sind immer die individuellen Bedürfnisse des Patienten zu berücksichtigen. Aktuell fehlt ein abschließender Konsensus zur Behandlung der MT V Basisfrakturen. Entsprechend variieren die praktizierten Therapiestrategien stark. Dies, zusammen mit der inkonsistenten Terminologie und den verschiedenen Klassifikationen, erschwert die Vergleichbarkeit der vorhandenen Studien. Im Folgenden soll die vorhandene Behandlungsevidenz entsprechend der Lawrence und Botte Klassifikation dargestellt werden.

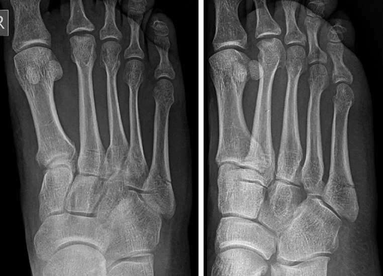
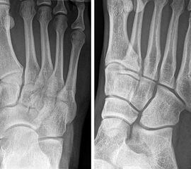
Lawrence und Botte Zone I

Lawrence und Botte Zone I
Abbildung 3

In der Literatur herrscht weitestgehend Einigkeit darüber, dass Lawrence und Botte Zone I Frakturen (Abb. 3) konservativ behandelt werden können 151617. Allerdings variieren die beschriebenen konservativen Behandlungskonzepte stark. Empfohlen werden die elastischen Wickelung bis zur Immobilisation im Unterschenkelgips/-walker, sowie die schmerzabhängige Vollbelastung bis zur vollständigen Entlastung 18. Häufig werden eine Dislokation von mehr als 2 mm, oder die intraartikuläre Fraktur (>30% der Cuboid-Metatarsalen Gelenkfläche) als Operationsindikation angesehen. Allerdings ist den Autoren keine prospektive Studie bekannt, welche ein konservatives gegen ein operatives Therapieregime verglichen hat. Egol et al. 15 publizierten eine prospektive Studie zur frühfunktionellen Nachbehandlung (schmerzabhängige Vollbelastung und festes Schuhwerk) von 49 Patienten mit einer Lawrence und Botte Zone I Fraktur (50% Intraartikulär, 32% > 2mm Dislokation). 94% der Patienten konnten nach 6 Wochen den Fuß voll belasten. Die mittlere Zeit der Arbeitsunfähigkeit betrug 22 Tage. Die volle Sportfähigkeit war bei 86% der Patienten nach 6 Monaten, bei allen Patienten nach einem Jahr erreicht. Weder der Grad der Dislokation noch die intraartikuläre Beteiligung hatten einen signifikanten Einfluss auf diese Zielparameter.

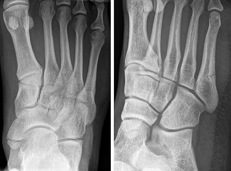
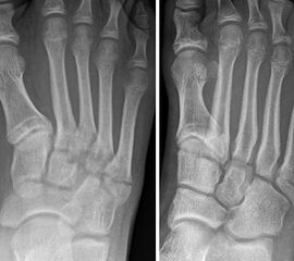
Lawrence und Botte Zone II

Lawrence und Botte Zone II
Abbildung 4

Kontrovers diskutiert wird die Behandlung der Frakturen in Zone II nach Lawrence und Botte (Abb. 4). Wie einleitend beschrieben, scheint hier unter anderem die inkonsistente Terminologie ursächlich zu sein. Das Synonym „Jones’ Fraktur“ oder „True Jones’ Fraktur“ wurde sowohl für Lawrence und Botte Zone II, als auch für Zone III Frakturen verwendet 1986. Entsprechend ist die Interpretation dieser Studien nur eingeschränkt möglich. 2013 publizierten Roche und Calder 20 eine systematische Literaturarbeit, in welcher sie die Ergebnisse verschiedener Behandlungsstrategien für „Jones Frakturen“ analysierten. 26 Studien mit 630 Frakturen (Level of Evidence I-IV) wurden eingeschlossen. 358 der Frakturen wurden operativ behandelt. Die knöcherne Konsolidierungsrate für operativ versorgte Frakturen betrug 96%, die für konservativ behandelte Frakturen 76%. Allerdings erfolgte keine Differenzierung zwischen Lawrence und Botte Zone II und Zone III Frakturen. Spezifischere Ergebnisse lieferte eine weitere systematische Literaturarbeit 7. In dieser wurden nur prospektive Studien eingeschlossen, in welchen die Frakturen nach Lawrence und Botte klassifiziert wurden bzw. klassifiziert werden konnten. Die Autoren kamen zu dem Ergebnis, dass die frühfunktionelle Behandlung von Lawrence und Botte Zone I und Zone II zu guten bis sehr guten Ergebnissen führt.

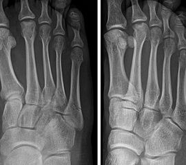
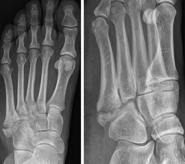
Lawrence und Botte Zone III

Weitestgehende Einigkeit besteht bei der OP-Indikation für metadiaphysäre Frakturen (Lawrence und Botte Zone III, Abb. 5) 20721. Exemplarisch sei hier die Studie von Mologne und Kollegen 21 genannt. Im Rahmen einer randomisierten kontrollierten Studie wurde eine restriktive konservative Behandlung (Entlastung und Gips, n=18) gegen eine operative Therapie (Schraubenosteosynthese, n=19) verglichen (Follow-up: 25 Monate). Dabei zeigte sich eine deutliche Überlegenheit der operativen Behandlung.
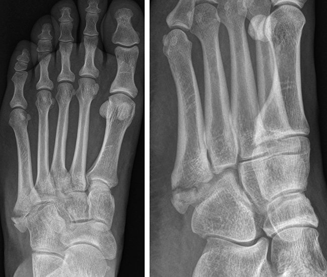
Stressfrakturen der MT V Basis werden häufig als eigene Entität beschrieben (Abb. 6). Allerdings kommen diese Frakturen hauptsächlich in der Zone III nach Lawrence und Botte vor (Khan, 2006). Eine systematische Literaturarbeit von Mallee und Kollegen 14 verglich die konservative und operative Therapie bei Patienten mit Stressfrakturen der MT V Basis. Basierend auf den Ergebnissen von 8 Studien konnten die Autoren auch hier eine Überlegenheit der operativen Therapie zeigen.

Konservative Therapie

Wird die Indikation zur konservativen Therapie gestellt, sollte diese frühfunktionell erfolgen. Dabei darf der Patient das Bein in einem Schuh mit steifer Sohle schmerzabhängig voll belasten. Bei initial ausgeprägter Schmerzsymptomatik kann die betroffene Extremität für maximal 2 Wochen in einem Gips oder Walker immobilisiert werden. Entscheidend für eine erfolgreiche konservative Therapie ist die enge Arzt-Patienten Beziehung und eine ausführliche Aufklärung.

Operative Therapie

Für die operative Therapie sind eine Vielzahl von Verfahren beschrieben u.a. die offene Reposition und Retention mittels Platten- 22 oder Zuggurtungsosteosynthese 23 sowie die geschlossene Reposition mittels intramedullärer Schraubenosteosynthese 2124. Die intramedulläre Schraubenosteosynthese ist im Falle der primären Operation als derzeitiger Goldstandard anzusehen. Eine häufig postulierte Rotationsinstabilität der intramedullären Schraubenosteosynthese wurde von Huh et al. 25 in einer biomechanischen Studie angezweifelt. Verglichen wurde die intramedulläre Schraubenosteosynthese und die Hakenplattenosteosynthese. Biomechanische Biege- und Torsionstests ergaben keine signifikanten Unterschiede zwischen den beiden Verfahren. Kontrovers diskutiert wird auch der Schraubendurchmesser. Ist der verwendete Schraubendurchmesser zu gering, wird keine ausreichende Kompression erzielt. Ein zu großer Schraubendurchmesser provoziert eine iatrogene Schaftfraktur 2627. Die in der Literatur verwendeten Schraubendurchmesser variieren zwischen 4,5 und 6,5 mm 2829. Iselin et al. 30 haben anhand von 27 MT V CT-Datensätzen den Schraubendurchmesser evaluiert. 93% der Knochen konnten mit einer 5,5 mm Schraube (Gewindedurchmesser: 5,5 mm, Schaftdurchmesser: 4,0 mm) versorgt werden. 7% der MT hatten einen Innendurchmesser kleiner als 4 mm. Scott und Kollegen 31 analysierten den Schaftdurchmesser von 20 Os metatarsale V und kamen zu dem Ergebnis, dass der kleinste zu verwendende Schraubendurchmesser 4,5 mm betragen sollte.

Tipps und Tricks

  • Die Zonenzuordnung einer Fraktur nach Lawrence und Botte ist nicht immer eindeutig möglich. Im Zweifel sollte die Klassifikation und Therapieentscheidung auf der Basis der distaleren Frakturanteile getroffen werden.
  • Bei der intramedullären Schraubenosteosynthese sollte der Schraubendurchmesser so groß wie möglich gewählt werden. Um iatrogene Frakturen zu vermeiden, sollte der Schaftdurchmesser anhand der präoperativen Röntgenbilder bestimmt werden. Dies ermöglicht eine optimale, individuelle Wahl des Schraubendurchmessers.
  • Bei der geschlossenen Reposition empfiehlt es sich, neben dem Führungsdraht einen zweiten K-Draht als Joystick in das proximale Fragment einzubringen. Mit Hilfe dieses Drahtes, kann die Fraktur nun geschlossen reponiert und anschließend temporär fixiert werden. Dies verhindert die Dislokation des Frakturfragmentes beim Bohren oder beim Einbringen der Schraube.
  • Um eine Materialirritation zu vermeiden, sollte der Schraubenkopf so tief wie möglich eingebracht werden.

Aufklärung

Aufgrund der sehr heterogenen Behandlungsstrategien, ist vor allem bei der konservativen Therapie eine ausführliche Aufklärung notwendig. Hier empfiehlt es sich, die (sekundäre) Dislokation sowie die intraartikuläre Beteiligung direkt zu thematisieren. Desweiteren sollte das Risiko der Pseudarthrose sowie ein Einfluss auf die Funktionalität des Peroneus brevis besprochen werden.
Bei der operativen Therapie stehen als speziellen Operationsrisiken die Wundheilungsstörungen, iatrogene Frakturen sowie eine Irritation des Gewebes durch den Schraubenkopf im Vordergrund.

Nachbehandlung

Die Nachbehandlung der intramedullären Schraubenosteosynthese kann frühfunktionell erfolgen. Eine Immobilisation des Sprunggelenks ist nicht notwendig; die Versorgung mit einem Schuh mit steifer Sohle ist ausreichend. Die ersten zwei postoperativen Wochen sollte eine 20kg Teilbelastung der operierten Extremität an Unterarmgehstützen eingehalten werden. Anschließend ist die schmerzadaptierte Steigerung der Belastung bis zu Vollbelastung erlaubt.
Unabhängig von der gewählten Therapie sollte 6 Wochen postoperativ eine klinische und radiologische Verlaufskontrolle durchgeführt werden.

Weitere Literatur

  • Khan WS, Jain R, Agarwal M, Warren-Smith C. Fractures of the Base of the Fifth Metatarsal-A Review of 322 Patients. Surgery Journal (2006) vol. 1 (2-4) pp. 65-68
Loading…
Loading the web debug toolbar…
Attempt #