Zusammenfassung

Mit der Extrakorporalen Stoßwellentherapie (ESWT) bietet sich ein konservatives, nebenwirkungsarmes und gut wirksames Therapiekonzept, dessen Physik, biologische Wirkweise und Anwendbarkeit in den vergangenen Jahren intensiv erforscht und belegt worden ist. Ein ständig wachsendes Indikationsspektrum und die Möglichkeiten myofaszialer Behandlungstechniken eröffnen dem Anwender Behandlungsoptionen, die weit über die sogenannten Standardindikationen wie Plantarfasziitis, radiale Epicondylopathie und Tendinosis calcarea der Schulter hinausgehen.
Im Gegensatz zu der bei urologischen Fragestellungen der Steinzertrümmerung erwünschten Desintegration wirkt die Stosswelle bei orthopädischen Krankheitsbildern im Sinne der Mechanotransduktion, d.h. durch Induktion reparativer und regenerativer Prozesse.
Erkrankungen an Fuß und Sprunggelenk bieten in vielfältiger Weise sehr gut behandelbare Indikationen für die Stosswellentherapie.
Neben häufigen Fragestellungen wie Sehnen– und Faszienerkrankungen bestehen zudem Therapiemöglichkeiten bei Stressfrakturen, Pseudarthrosen und als Expertenindikation osteochondrale Pathologien.
Wie die meisten Therapieverfahren setzt der Einsatz von ESWT eine profunde Sach- und Fachkenntnis des Anwenders voraus, um gute Ergebnisse erarbeiten zu können.

Geschichte der Stoßwellentherapie

Erstmalig wurde im Jahr 1980 ein menschlicher Nierenstein durch eine von außen eingeleitete Stoßwelle zertrümmert, ohne das umliegende Gewebe zu schädigen. Bei tierexperimentellen Untersuchungen aller Gewebetypen, die bei der Behandlung von Nieren- oder Harnleitersteinen von Stoßwellen durchlaufen wurden, konnte 1986 ein osteogenetischer Effekt am os ilium nachgewiesen werden 1. Infolge dieser Beobachtungen begannen Forschungen zur Stimulation der Knochenheilung durch extrakorporale Stoßwellentherapie. 1991 berichteten Valchanou und Michailov über erste Ergebnisse bei der Behandlung von Pseudarthrosen und verzögerter Knochenbruchheilung 2.
Dieses Behandlungsmodell wurde von Loew und Jurgowski auf die Behandlung von Sehnengewebe übertragen3.
Anwendbarkeit und Therapieoptionen in der Orthopädie wurden von mehreren Arbeitsgruppen, hier insbesondere J.D. Rompe, L. Gerdesmeyer und M. Maier weiter erforscht 456.
Durch den aufgrund intensiver Forschung zunehmenden Erkenntnisgewinn konnte das Indikationsspektrum deutlich erweitert werden und beinhaltet heute neben vielgefächerten Anwendungen am muskuloskelettalen Apparat auch die Therapie von Knochenheilungsstörungen, chronischen Wundheilungsstörungen und Ulcera 7 sowie Femurkopfnekrosen89.

Physikalische Grundlagen

Druckverlauf und Geschwindigkeit einer fokussierten Stoßwelle links und radialer Druckwelle rechts (Mit freundlicher Genehmigung der Storz Medical)
Abbildung 1

Obwohl sich im klinischen Gebrauch der einheitliche Begriff „Stoßwellen“ etabliert hat, ist physikalisch grundsätzlich zwischen fokussierten Stoßwellen und radialen Druckwellen zu unterschieden. Beide sind hinsichtlich Ihrer Erzeugungstechnik und Wirkweise sehr different. Fokussierte Stoßwellen:
Nach O. Wess (2006) sind Stoßwellen akustische Wellen, die durch hohe Druckamplituden und einen abrupten Anstieg der Drücke gegenüber dem Umgebungsdruck gekennzeichnet sind.

Erzeugung einer elektromagnetischen Stoßwelle (Mit freundlicher Genehmigung von Storz Medical)
Abbildung 2

In der Atmosphäre treten sie bei explosionsartig verlaufenden Vorgängen auf, wie z.B. Detonation von Sprengstoff, bei Blitzschlag oder wenn Flugzeuge die Schallmauer durchbrechen.
Entsprechend ihrer Erzeugungsmechanismen unterscheidet man elektrohydraulische, piezoelektrische und elektromagnetische Stoßwellenerzeugung.

Der physikalische Effekt von fokussierten Stoßwellen beruht zum einen auf einer direkten Krafteinwirkung an Grenzflächen mit unterschiedlichem akustischem Widerstand (Luft, Weichteile, Knochen). Zum anderen besteht ein indirekter Effekt durch sogenannte Kavitation: Nachdem die Stoßwelle das Gewebe passiert hat, entstehen unmittelbar Kavitationsblasen, durch deren Kollaps sogenannte Microjets mit großer Energie und Durchschlagskraft entstehen. In beiden Fällen wird eine mechanische Energie im Gewebe freigesetzt, die zu entsprechenden Reaktionen führt.

Die Energieflussdichte der fokussierten Stoßwelle wird in [mJ/mm²] angegeben. Dabei werden niedrig-, und hochenergetische Energieflussbereiche unterschieden (Novak 2010).

Zur bestmöglichen Wirksamkeit fokussierter Stoßwellen ist eine exakte Positionierung der Fokuszone im Zielgebiet erforderlich. Dafür stehen Ultraschall oder Röntgen zur Verfügung.

Radiale Druckwellen

Radiale Druckwellen werden durch Kollision fester Körper erzeugt. Ein durch Druckluft beschleunigtes Projektil wird auf einem Prallkörper abrupt abgebremst. Beim Zusammenprall des Projektils mit dem Prallkörper überträgt dieser durch seine Auslenkung eine Druckerhöhung auf das angekoppelte Gewebe.

Bei dieser Form der Druckwelle ist die Pulsdauer um den Faktor 1000 länger und die Spitzendrücke um den Faktor 10-100 geringer als bei der fokussierten Stoßwelle (Wess 2006).

Durch die fehlende Fokussierbarkeit und die radiäre Ausdehnung im Gewebe, wobei die Energie von der Ankoppelungsstelle an der Haut in tiefere Gewebeschichten exponentiell abnimmt, lassen sich radiale Druckwellen nicht auf tiefe Gewebebereiche fokussieren und sind deshalb in erster Linie für oberflächliche myotendinöse/myofasziale Fragestellungen geeignet.
Als Äquivalent für die Impulsenergie der Druckwelle wird eine Skalierung in [bar] angegeben.

Wirkweise der Stoßwellen

Wurde in den Anfangsjahren der orthopädisch angewandten Stoßwellentherapie analog zu den Erfahrungen der Nieren-steinzertrümmerung noch von Desintegrationsprozessen ausgegangen, so gilt heute das Wirkmodell der Mechanotransduktion als anerkannt. Die Mechanotransduktion wird als Umwandlung des mechanischen Stoßwellenimpulses in biochemische bzw. molekularbiologische Signale definiert 1011 (Neuland 2006a). Danach geben Bestandteile der extrazellulären Matrix Informationen über Adhäsionsmoluküle der Verbindungsglieder an das Cytoskelett weiter und sind so wesentlich an der Mechanotransduktion beteiligt.
Der mechanische Reiz führt also zu einer nachweisbaren biochemischen Veränderung der Zelle selbst. Es wird die Geweberegenerierung durch Freisetzung von Wachstumsfaktoren (TGF-ß1) und Gefäßneubildungs-mediatoren (eNOS, VEGF, PCNA) initiiert, die unter anderem zu einer Gefäßneubildung (Angiogenese, Vaskulogenese) im Zielgewebe führt 1213. Darüber hinaus wird die Genexpression der Zelle beeinflusst 1415.
H.G. Neuland und A. Schmidt konnten nachweisen, dass die Migration mesenchymaler Stammzellen durch den Einsatz fokussierter Stoßwellen signifikant gesteigert werden konnte (Neuland 2006b).

Anästhesie bei ESWT

Da die Applikation von Stoßwellen ab einer gewissen Energie in Ab-hängigkeit vom klinischen Bild der zu behandelnden Pathologie und der Disposition der Patienten schmerzhaft ist, wurde wiederholt der Versuch unternommen, Tendopathien unter Lokalanästhesie zu behandeln. Verschiedene Studien haben jedoch gezeigt, dass die Ergebnisse hierunter schlechter waren als ohne Lokalanästhesie161718.

Bei der Knochenbehandlung jedoch empfiehlt sich die Behandlung unter peripherer Leitungsanästhesie oder sogar Allgemeinanästhesie, da die notwendigen hohen Behandlungsenergien mit Schmerzen verbunden sind. Dies gilt insbesondere für die Therapie großer Röhrenknochen.

Aufklärung und Dokumentation

Wenngleich die Stoßwellentherapie zu den nebenwirkungsarmen Therapieoptionen zählt, ist dennoch - vor allem bei hochenergetischen Behandlungen - eine ausführliche Aufklärung über Art und Wesen der Stoßwellentherapie, sowie möglicher Nebenwirkungen wie Hämatom-bildung, Schwellung, vorübergehende Schmerzverstärkung oder Nervenreizung zu empfehlen.
Alle therapierelevanten Behandlungsparameter sollten in einem Behandlungsprotokoll zu jeder Sitzung dokumentiert werden.
Aufgrund der notwendigen Differenzialdiagnostik und Lokaldiagnostik (Ultraschall, Röntgen) sowie möglicher Gewebsverletzungen bei unsachgemäßer Applikation (zu hohe Energien über verletzbaren Strukturen) sollte die Stoßwellentherapie nur von fachkundigen Ärzten durchgeführt werden.

Kontraindikationen

Nach den Empfehlungen der Deutschsprachigen Internationalen Gesellschaft für Extrakorporale Stoßwellentherapie (DIGEST - www.digest-ev.de) sind folgende absolute und relative Kontraindikationen bei der ESWT-Anwendung zu beachten:

Absolute Kontraindikationen:

  • Lungengewebe im Fokus,
  • Tumorgewebe oder Hirn-/Rückenmarksgewebe im Fokus,
  • offene Epiphysenfuge im Fokus

Relative Kontraindikationen:

  • Koagulopathien,
  • gerinnungshemmende Therapien (mit Ausnahme der Acetylsalicylsäure) unter Beachtung des Gerinnungsstatus,
  • akute Entzündungen
  • Schwangerschaft

Fachverbände

National

1995 wurde die Deutschsprachige Internationale Gesellschaft für Stoßwellentherapie (DIGEST) gegründet. Sie koordiniert die Qualitätssicherung, Standardisierung und Weiterentwicklung der Stoßwellentherapie am Stütz- und Bewegungsapparat. Die DIGEST erarbeitet Behandlungsleitlinien und führt Zertifizierungskurse für Anwender durch (www.digest-ev.de).

International

Nachdem die ESWT nicht nur in Europa, sondern auch in Asien, sowie in Nord-und Südamerika an Bedeutung gewann, wurde aus der 1997 gegründeten European Society for Musculoskeletal Shockwave Therapy (ESMST) 1999 zunächst die International Society for Musculoskeletal Shockwave Therapy (ISMST) gegründet, die dann im Jahr 2007 aufgrund der Erweiterung der Indikationsgebiete zur International Society for Medical Shockwave Treatment (www.ismst.com) umbenannt wurde.

Stoßwellentherapie bei Plantarfasziitis

Die Plantarfasziitis ist eine degenerative Erkrankung des Ursprungs der Plantaraponeurose am Tuber calcanei. Das Vorhandsein eines knöchernen Fersenspornes beschreibt dabei zunächst eine radiologisch sichtbare Veränderung, ist aber nicht zwingend mit einer Plantarfasziitis verknüpft 1920.

Ätiologie

Die Plantarfasziitis ist eine häufige Ursache für Schmerzen im Bereich des plantaren Fersenbeines. Als Ursachen werden angesehen:

  • Überlastung durch Lauf- und Sprungsportarten
  • Adipositas
  • Statische Überlastung durch stehende Berufsausübung
  • Pathologien des Fußlängs- und/oder Quergewölbes
  • Bursitis/Irritation am Ansatz der Plantaraponeurose
  • Periostale Reizung

Eine vermehrte longitudinale Traktion der Plantarfaszie führt zu Mikrorupturen und entzündlichen Veränderungen.
Weitere Ursachen sind systemische Erkrankungen wie seronegative Spondylarthritiden, Hyperurikämie, Hyperlipidämie (Lohrer 2002) 212223.

Klinischer Befund

Typisch für den klinischen Befund ist der plantar mediale Fersenschmerz, der belastungsassoziiert auftritt und besonders als morgendlicher Anlaufschmerz beklagt wird. Am Ursprungspunkt der Plantarfaszie findet sich in der Regel plantar/medial eine starke Druckschmerzhaftigkeit.

Diagnostik

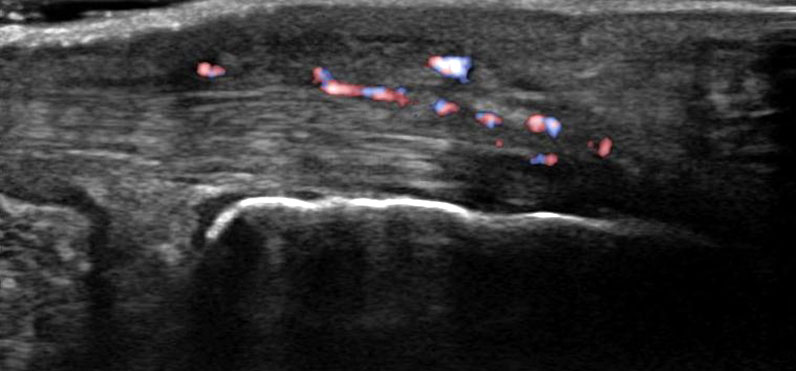
Die Sonographie zeigt im Falle einer Plantarfasziitis eine Verdickung der Plantarfaszie 24. Sie tritt etwas verzögert nach stattgehabter Überlastung und dem Schmerzbeginn auf und ist in ihrem Ausmaß ein guter Indikator für die Schwere der Erkrankung und die zu erwartende Behandlungsdauer. Die Rückbildung der Verdickung benötigt auch nach erreichter Schmerzfreiheit Wochen bis Monate.

Ein Röntgenbild der Ferse seitlich ist zum Ausschluss knöcherner Pathologien hilfreich.

In Abhängigkeit des gesamten klinischen Bildes und der Vorgeschichte kann ein MRT z.B. zum Ausschluss einer Stressfraktur oder Ruptur der Plantarfaszie erforderlich werden. Es hat sich bewährt, in Fällen eines mehrmonatigen Krankheitsverlaufes und sonographisch verdickter Plantarfaszie >8mm (Normwert <4mm) vor Therapiebeginn ein MRT zum Ausschluss von Teilrupturen durchzuführen. Obwohl auch in diesen Fällen eine Stoßwellentherapie erfolgen kann, ist eine derartige Information aus juristischen Gründen von Bedeutung.

Differentialdiagnostik: Bursitis, Neurome, lokale Nervenirritationen, Frakturen oder Knochentumore des Fersenbeines, plantare Fettgewebsatrophie, S1-Radikulitis, Ruptur der Plantaraponeurose, rheumatische Erkrankungen, Plantarwarzen 25.

Therapie

Die Therapie der Plantarfasziitis ist in der Regel konservativ und mehrstufig. Als konservative Primärmaßnahmen sind zu benennen:
Ausführliche Gebrauchsmusteranalyse -und ggf. -modifikation, Einlagenversorgung, Physiotherapie, eigenständige exzentrische Dehnübungen, kurzfristiger Einsatz von NSAR unter Würdigung gastraler und kardiovaskulärer Gegebenheiten, Entlastung/Nachtschiene.
Die Steroidinjektion sollte nicht Mittel der ersten Wahl sein, birgt sie doch das Risiko einer Beschädigung des Plantarfaszienursprungs. Häufig ist sie nur kurzzeitig wirksam und zeigt nur empirische Qualität 26.
Bei unzureichender Effektivität der vorgenannten Maßnahmen besteht die Indikation zur Durchführung einer Stoßwellentherapie. Als ultima ratio kann die Option der Röntgenreizbestrahlung bzw. der operativen Therapie diskutiert werden.

Durchführung der ESWT

Therapie einer Plantarfasziitis in Bauchlagerung (Mit freundlicher Genehmigung von Storz Medical)
Abbildung 13

Die ESWT kann in Bauch-oder Rückenlagerung erfolgen.

Der Patient sollte möglichst entspannt liegen. Eine vorausgehende Lokalanästhesie wird nicht empfohlen 1618.
Die Ortung des Behandlungsgebietes der Plantarfaszie erfolgt mittels Ultraschall und Palpation des Schmerzortes.
Nach den Empfehlungen der DIGEST werden je nach Gerätetyp 3-5 Sitzungen in wöchentlichem Abstand mit einer Energieflussdichte zwischen 0,08 und 0,35 mJ/mm² und einer durchschnittlichen Impulszahl von 2000 (1000-3000) durchgeführt.
Für die Behandlung mit radialer Technik wird eine Energie von 2-3 bar bei durchschnittlich 2000 Impulsen und ebenfalls 3-5 Sitzungen empfohlen.
Da keine Lokalanästhesie verwendet wird, sollte sich die für die Behandlung zu wählende Energieflussdichte am Schmerzempfinden des Patienten orientieren.
Im Falle eines gleichzeitig vorliegenden Fersenspornes muss vor der Therapie dringend auf das Verbleiben des Spornes hingewiesen werden.
Während der Therapiephase und der folgenden 4 bis 6 Wochen sollten Laufsport und größere Anstrengungen im Bereich des Fußes unterlassen werden. Unidirektionale Sportarten ohne axiale Belastung sind möglich (z.B. Schwimmen, Radfahren).

Evidenz der ESWT bei der Therapie der plantaren Fasciitis

Viele Studien wurden zu diesem Thema publiziert, allerdings mit unterschiedlichen Ergebnissen und zum Teil sehr heterogener Methodologie 27. Die Wirksamkeit der ESWT bei Plantarfasziits wird in 8 Arbeiten mit dem Evidenzgrad Ib belegt 2829303132333435.
Wang berichtet über 69,1% sehr gute und 13,6% gute Langzeitergebnisse in einer Nachuntersuchung 5-6 Jahre nach ESWT-Therapie bei Plantarfasziitis 36.
Insbesondere für die Therapie der Plantarfasziitis (und die Tendinosis calcarea) besteht eine gute Evidenz für die Wirksamkeit der ESWT gegenüber z.B. Corticoid-Infiltrationen oder chirurgischen Eingriffen 37.
Studien, in denen sich die ESWT als wenig wirksam gezeigt hatte, wiesen eine sehr heterogene Methodik auf, wurden zum Teil mit Lokalanästhesie durchgeführt und entsprechen nicht den aktuellen Behandlungsempfehlungen der Fachgesellschaften 383940.
Die meisten Autoren sehen die Stoßwellentherapie als sichere, effektive, und nicht-invasive Methode zur Therapie der Plantarfasziitis 234142434445464748495051525354.
Das Behandlungsergebnis wird nicht durch das Vorliegen eines knöchernen Fersensporns beeinflusst 19.
Eine der ESWT vorausgehende Steroidinjektion beeinflusst nach derzeitiger Literaturlage das Ergebnis einer Stoßwellentherapie nicht 55 und muss auch nicht zwingend einer ESWT vorgeschaltet sein 4256.
Eine Vielzahl an Behandlungssitzungen ändert nicht das Ergebnis. So konnte gezeigt werden, dass der Vergleich zwischen 2 Therapiegruppen mit zum einen 3 Therapiesitzungen und zum anderen 15 Therapiesitzungen keinen Einfluss auf die 6-Monatsergebnisse hat 57.
Das Vorliegen eines Diabetes mellitus könnte das Ergebnis beeinträchtigen 56.
Verletzungen der Plantarfaszie durch Stoßwellentherapie sind in der Literatur nicht beschrieben. Für die radiale Technik wurde mittlerweile in einzelnen Studien ebenfalls ein Wirkungsnachweis erbracht 5859. Der überwiegende Teil der Publikationen bezieht sich allerdings bisher immer noch auf die fokussierte Technik. Diese ist nach einer vergleichenden Studie der radialen Technik überlegen 60.

Stoßwellentherapie bei Achillodynie

Achillodynie ist zunächst ein unspezifischer Begriff für Beschwerden im Bereich der Achillessehne ohne nähere Benennung der Topographie.
Entsprechend den beiden vorrangigen Manifestationsorten kann zwischen der Insertionstendopathie der Achillessehne am knöchernen Ansatzpunkt des Fersenbeines und der weiter proximal im freien Sehnenverlauf gelegenen, und daher „non-insertionalen“ oder „mid-portion“ Tendopathie unterschieden werden.
Die mid-portion Tendinopathie befindet sich in der Regel distal der myotendinösen und proximal der tendoossären Übergangszone.
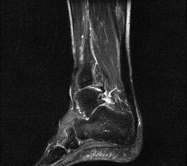
Hier befindet sich ca. 3-5 cm proximal des Tuber calcanei ein als „kritische Zone“ benannter Bezirk, der durch eine ungünstige arterielle Blutzufuhr gekennzeichnet ist (letzte Wiese). Hier finden sich häufig spindelförmige Schwellungen, die bei MRT-Diagnostik nicht selten partielle Nekrosen und Partialrupturen der Achillessehne aufweisen (Abb. 14).

Die distale Insertionstendinose der Achillessehne kann durch lokal entzündliche Prozesse/Mikrorupturen am Verankerungspunkt zur Ausbildung eines dorsalen knöchernen Fersenspornes führen. Dabei liegt die Prävalenz dorsaler Fersensporne bei achillären Insertionstendopathien bei etwa 6-8% (Lohrer 2002).
Ähnlich wie bei der Plantarfasziitis ist das Vorhandensein eines dorsalen Fersenspornes nicht zwingend mit Beschwerden verknüpft und persistiert nach einer ESWT-Therapie.
Unabhängig davon können insbesondere chronische Insertionstendinosen der Achillessehne von Partialrupturen (Abb. 15) und erosiven Läsionen des dorsalen Fersenbeines begleitet sein.

Ätiologie

Als Ursachen gelten: Überlastung/Fehlbelastung bei Lauf- und Sprung-sportarten, Adipositas, Ausbildungs-und Ausprägungsvarianten des Fußlängs- und Quergewölbes, medikamenteninduzierte Beschwerden bei Einnahme von Statinen, Gyrasehemmern und Steroiden.
Insbesondere bei der distalen Insertionstendinose der Achillessehne gilt es, Systemerkrankungen aus dem rheumatischen Formenkreis, hier vor allem seronegative Spondarthritiden und Stoffwechselstörungen wie Gicht, Hyperlipidämie und Diabetes, auszuschließen.
Da Funktionsstörungen des USG/OSG ebenfalls häufig mit Schmerzen der Achillessehne vergesellschaftet sind, sollten diese differentialdiagnostisch miterfasst werden.

Klinischer Befund

Während die distale Insertionstendinose insbesondere in den frühen Stadien bei der Inspektion meist unauffällig erscheint und einen punktuellen Druckschmerz im Bereich der knöchernen Insertion der Sehne aufweist, kennzeichnet die proximale Tendopathie häufig eine spindelförmige Schwellung der Sehne und des Gleitgewebes, die im sogenannten Zangengriff stark druckschmerzhaft ist. Die Funktion der Achillessehne ist bei beiden Varianten in der Regel erhalten.
Meist bestehen ein morgendlicher Einlaufschmerz bzw. Anlaufschmerz nach Pausen, sowie eine Reduktion der sportlichen Belastbarkeit.

Bildgebung

Die sonographische Diagnostik eignet sich primär zur Erkennung schmerzhafter Prozesse im Verlauf der Achillessehne und kann bei Bedarf durch Röntgen bzw. MRT ergänzt werden. Besonders bei längeren Verläufen und kräftigen spindelförmigen Schwellungen (>9mm, Normwert <5mm) im Bereich der kritischen Zone sollte ein MRT zum Ausschluss von Nekrosezonen und Partialrupturen vor Therapiebeginn veranlasst werden. Die sonographisch leicht zu erfassende Veränderung der Sehnendicke im mittleren Sehnenanteil ist ein guter Indikator für die Schwere der Erkrankung und die Beurteilung des Behandlungsverlaufes. Die sichtbaren Veränderungen am distalen knöchernen Ansatz der Sehne sind diskreter.

Differentialdiagnostik

Bursitis präachillea, Haglund Exostose, entzündliche Systemerkrankungen, Stoffwechselerkrankungen, Störungen/Erkrankungen des USG/OSG.

Therapie

Übliche konservative Primärmaßnahmen bei beiden Varianten der Achillodynie sind Sportberatung und ggf. Modifikation von Training und sportlicher Belastung, entlastende Einlagenversorgung, kurzfristiger NSAR-Einsatz, Physiotherapie, und exzentrische Dehnungen. Steroidinjektionen sollten aus bekannten Gründen einer möglichen Sehnenschädigung vermieden und allenfalls streng peritendinös appliziert werden. Bei ungenügender Wirksamkeit dieser Maßnahmen eignet sich die ESWT-Therapie sowohl zur Behandlung der Insertionstendinose, als auch zur Therapie der proximalen Tendopathie.
Insbesondere bei größeren Partialrupturen (Abb. 14) sollten operative Verfahren erörtert werden. Kleinere Partialrupturen sind der ESWT gut zugänglich, wie die beiden nachfolgenden Beispiele zeigen:

Durchführung der ESWT

Therapie einer proximalen Achillodynie (Mit freundlicher Genehmigung von Storz Medical)
Abbildung 22

Die Behandlung erfolgt in Bauchlagerung mit Knöchelrolle.

Es sind je nach Ausprägungsgrad der Erkrankung 3-5 Sitzungen üblich. Ebenso wie bei der Plantarfasziitis wird die Verwendung von lokaler Anästhesie nicht empfohlen 61. Die Energieflussdichte (EFD) sollte zwischen 0,08 und 0,25 mJ/mm² liegen und 0,28mJ/mm² nicht überschreiten, um eine Beschädigung der Sehne zu vermeiden 62.
Während einer Sitzung können 1000-3000 Impulse verabreicht werden.
Für die Therapie in radialer Technik wird bei gleicher Anzahl von Sitzungen eine Energie von 2-3 bar und jeweils 2000 Impulse eingesetzt.
Es empfiehlt sich die genaue Aufklärung des Patienten und, besonders im Falle von vorliegenden Partialrupturen, der Hinweis auf den Verzicht sportlicher Aktivität bis zur völligen Beschwerdefreiheit im Alltagsbereich, mindestens aber 4-6 Wochen nach ESWT.
In Abhängigkeit des Befundes kann die Verwendung eines Vacoped-Stiefels für die Zeit der Therapie sinnvoll sein. Eine MRT-Kontrolle nach Therapie einer Partialruptur kann nach 5-6 Monaten durchgeführt werden.

Evidenz der ESWT bei der Therapie von Erkrankungen der Achillessehne

In 5 Studien wird nach Evidenzgrad Ib die Wirksamkeit der ESWT bei Achillodynie belegt 6163646566.
Han und Lee konnten 2008 nachweisen, dass Tenozyten aus erkranktem Sehnengewebe unter dem Einfluss von fokussierten Stoßwellen weniger Matrix-Metalloproteinase (MMP-1/MMP-13) und Interleukin-6 exprimieren67. Versuche an Kollagenase-induzierter Achilles-Tendinose bei Ratten zeigten eine Verbesserung der kollagenen Nanostruktur im Sinne eines Re-Alignements 68.
Die Arbeitsgruppe um Wang an der Chang Gung Universität in Taiwan zeigte ebenfalls an Kollagenase-induzierter Achilles-Tendinose im Rattenmodell eine Zunahme der TGF-beta und IGF-I-Expressionen, die eine bedeutende Rolle bei der Reparatur von Sehnengewebe spielen 69.
Durch den Einfluss von Stoßwellen konnte das Zellwachstum und die Kollagensynthese einer humanen Tenozytenkultur nachgewiesen werden 70. Dieser Effekt könnte die reparative Funktion von Sehnendefekten durch Stoßwellen erklären.
Ein systematischer Review und Metaanalyse zur Therapie der Achillodynie zeigt Evidenz für die Wirksamkeit der Stoßwellentherapie 71.
Verletzungen der Achillessehne durch Stoßwellentherapie sind in der Literatur nicht beschrieben.
Zusammenfassend befürworten die meisten Autoren den Einsatz von Stoßwellentherapie als sichere und effektive konservative Behandlungsalternative bei insertionaler und non-insertionaler Achillodynie 7273747576.

Stoßwellentherapie bei sonstigen Tendopathien am Fuß und Sprunggelenk

In Analogie zu den Behandlungen bei Plantarfasziitis und Achillodynie können ebenfalls andere Tendopathien behandelt werden.
Folgende Lokalisationen haben sich empirisch bewährt:

  • Tibialis posterior Sehne
  • Peronealsehnen
  • Tibialis anterior Sehne
  • Sehne des m.flexor hallucis

Wie bei den bereits beschriebenen Tendopathien entspricht der Behandlungsalgorhythmus einer 3-5 maligen Therapie mit einer Energieflussdichte (EFD) zwischen 0,08 und 0,25 mJ/mm² ohne Verwendung von Lokalanästhesie.
Die Therapie mit radialer Technik sieht ebenso 3-5 Sitzungen vor mit einer Energie von 2-3 bar und durchschnittlich 1500 Impulsen.
Während und ca. 4 Wochen nach der Therapie sollen starke Belastungen vermieden werden. Eine klinische Kontrolle wird 8-12 Wochen nach der letzten ESWT-Sitzung empfohlen.
Literaturhinweise oder Studien existieren zu diesen Sehnengruppen noch nicht.

Stoßwellentherapie bei Pseudarthrosen und verzögerter Knochenbruchheilung

Die Stoßwellentherapie unterscheidet sich bei Fragestellungen am Knochen in vielfältiger Weise von der Therapie am Weichgewebe. Dies betrifft insbesondere Energieflussdichte, Häufigkeit der Anwendung und Nachbehandlung.
Zur Beeinflussung einer Pseudarthrose sind hohe Energieflussdichten zwischen 0,35 und 0,6 mJ/mm² erforderlich, die Behandlung erfolgt im hochenergetischen Bereich (siehe auch Abb.4).
Hier empfiehlt sich eine vorherige Leitungs- oder Allgemeinanästhesie. Die Therapie wird als einmalige Sitzung mit einer Impulszahl von 2000-4000 empfohlen.
Eine Nachbehandlung ist bei ausbleibender Knochenreaktion nach 12-16 Wochen indiziert.
Zur Therapie eignen sich sowohl konservativ vorbehandelte Frakturen, als auch ein- oder mehrfach voroperierte Patienten mit einliegendem Osteosynthesematerial. An langen Röhrenknochen sollte der Frakturspalt kleiner 5mm sein.
Im Fall von konservativ vorbehandelten Pseudarthrosen sollte diese nach der Stoßwellentherapie wie eine frische Fraktur nachbehandelt werden, um die stattfindende Neovaskularisation nicht zu gefährden. Diese Ruhigstellung für mehrere Wochen kann dann unterbleiben, wenn im Falle einer vorausgegangenen Osteosynthese keine radiologische Implantatlockerung vorliegt. Analog zur Frakturbehandlung werden Röntgenkontrollen zur Verlaufsdokumentation durchgeführt. Lässt sich das betroffene Areal mit einer konventionellen Röntgenaufnahme nicht zuverlässig einsehen, kann eine Berteilungen mit CT erfolgen, das in dieser Fragestellung der MRT-Untersuchung überlegen ist.

Evidenz der ESWT bei der Therapie von Pseudarthrosen

2 Studien zur ESWT bei Pseudarthrose erfüllen die Kriterien der Evidenzstufe Ib und eine Arbeit entspricht der Evidenzstufe IIa 777879.
Eine Studie mit hoher Fallzahl wurde von der Arbeitsgruppe um W. Schaden publiziert, in der die Ergebnisse von 613 mit ESWT behandelten Patienten mit Pseudarthrosen und verzögerten Knochenbrüchen vorgestellt werden (Schaden 2004).
Von 613 Pseudarthrosen konnten 76% (n=466) zur knöchernen Heilung gebracht werden. Inkludiert waren die Behandlung langer Röhrenknochen, Mittelhand/Mittelfuß und Phalangen, sowie die Pseudarthrose nach Arthrodese des oberen Sprunggelenks. Die Vermutung, dass Stoßwellentherapie nur den natürlichen Heilverlauf des Knochens „begleiten“ würde 80 konnte in dieser Studie widerlegt werden.
Elster und Schaden berichten über Ausheilungsraten von 80,2% in einer 2010 veröffentlichten Arbeit, die 172 Patienten mit tibialer non-union einschließt 81.
Alvarez und Furia konnten gute Ergebnisse bei Pseudarthrosen im Metatarsalbereich zeigen 8278.
Furia, Rompe und andere Autoren berichten über Erfolgsraten bei Stoßwellenbehandlung von Pseudarthrosen, die mit chirurgischer Therapie vergleichbar sind, jedoch signifikant weniger und weniger schwerwiegende Komplikationen zeigen 8384.
Die ESWT wird wegen ihrer Effizienz, Komplikationsarmut und des geringen zeitlichen und ökonomischen Aufwandes als Therapie der ersten Wahl für Pseudarthrosen und verzögert heilende Knochenbrüche empfohlen85.
Erste Studien zur Pseudarthrose in den 90-er Jahren folgten dem zunächst verbreiteten mechanistischen Wirkmodell und vermuteten einen osteoinduktiven Effekt durch inital destruierende Mechanismen 86.
Dass durch ESWT bei Pseudarthrose osteoblastäre Zellfunktionen stimuliert werden, wurde später bewiesen. In einer kontrollierten in vitro-Studie wurde eine veränderte osteoblastäre Zellfunktion hinsichtlich Differenzierung und Genexpression bei Pseudarthrose-Patienten nachgewiesen 87.
Die Behandlung einer isolierten Osteoblastenkultur mit Stoßwellen zeigte eine dosisabhängige Stimulation der Proliferation und Differenzierung der Osteoblasten 15. Hausdorf et al. konnten demonstrieren, dass der Wachstumsfaktor FGF-2 von Osteoblasten und Fibroblasten nach Stoßwellenbehandlung freigesetzt wird 88.
Die Induktion osteoproliferativer Prozesse und damit die Ausheilung der Pseudarthrose wird diesen molekularen Prozessen zugeschrieben.

Stoßwellentherapie bei Stressfrakturen

Analog zu den Erfahrungen bei Pseudarthrosen sind auch Stressfrakturen eine mögliche Indikation zur Stoßwellenanwendung.
Stressfrakturen sind entweder bei ein- oder mehrmaligen Überlastungen zu beobachten, als auch ohne adäquates Ereignis. Während sportassoziierte Stressfrakturen häufig bei jüngeren, aktiven Patienten zu finden sind, ereignen sich solche ohne konkreten Auslöser oftmals bei Patienten mit reduzierter Knochendichte. Es empfiehlt sich daher in diesen Fällen eine zusätzliche osteologische Befragung und Diagnostik zum Ausschluss einer Osteoporose.

Der Behandlungsalgorhythmus entspricht der Pseudarthrosenbehandlung. Es sollte beachtet werden: Behandlung im hochenergetischen Bereich (Energieflussdichte 0,35-0,6mJ/mm²) unter Anlegen einer Leitungs-oder Allgemeinanästhesie, einmalige Therapiesitzung mit 2000-3000 Impulsen und exakter Ortung der Stressfraktur.
Nachbehandlung mit indikationsbezogener Entlastung über 4-6 Wochen und Sportverbot in dieser Zeit. Bei fraglicher Compliance empfiehlt sich die Fixation im Gips-, oder Kunststoffverband.

Literaturübersicht ESWT bei Stressfrakturen

Albisetti et al. behandelten Balletttänzerinnen mit Stressfrakturen des 2. und 3. Mittefußknochens mit sehr guten Ergebnissen 89. Moretti therapierte Stressfrakturen bei Fußballspielern an Mittelfuß und Tibia mit ESWT und fand nach durchschnittlich 8 Wochen sehr gute klinische und radiologische Ergebnisse gesehen, die eine Wiederaufnahme der sportlichen Betätigung ermöglichten 90.
Auch andere Autoren berichten über einen positiven Effekt von ESWT bei der Behandlung von Athleten mit Stressfrakturen an Tibia, Fuß und Sprunggelenk 9192.

Stoßwellentherapie bei osteochondralen Läsionen

Die Osteochondrosis dissecans tali (OD) ist definiert als lokalisierte Pathologie der Gelenkfläche des Talus, die zur Abtrennung eines kartilaginären Fragmentes und subchondralen Knochens führen kann 93. Es existieren am Körper 3 Prädilektionsstellen für die Entwicklung einer OD mit unterschiedlicher Häufigkeit: Femurkondylen 75%, Talus 12% und Capitulum humeri 12%, sowie sonstigen Lokalisationen 1%. Abhängig vom Zeitpunkt des Auftretens unterscheidet man die juvenile Form (offene Wachstumsfuge) von der adulten Form (geschlossene Wachstumsfuge) (Dotti 2002).

Nach Dotti sind am Talus vorrangig die posteromediale und die anterolaterale Talusschulter betroffen. Die Ätiologie der OD an der anterolateralen Talusschulter scheint vermehrt traumatisch/repetitiv mikrotraumatisch zu sein, die der posteromedialen Talusschulter vermehrt idiopathisch.

Die Stadieneinteilung nach Berndt und Harty umfasst 4 Stadien und ist unabhängig von der Lokalisation der OD anwendbar 94.

Die Stadieneinteilung nach ARCO (Association Internationale de Recherche sur la Circulation Osseuse) berücksichtigt die Kombination aus MRI-Zeichen, Nativradiologie und Knochenszintigraphie 95.

Die Therapie orientiert sich an der Stadieneinteilung und Lokalisation der OD, sowie am Lebensalter des Patienten. Eine aktuelle Metaanalyse zur OD am Talus 96 zeigt ein Durchschnittsalter von 28 Jahren, bei jüngeren Patienten ist ein günstigerer Verlauf zu erwarten. Die höchste Rate an Spontanheilungen wird bei Kindern beobachtet.

Als Alternative zu operativen Maßnahmen wird bei frühen Stadien der OD auch der Einsatz fokussierter Stoßwellentherapie diskutiert, wenngleich es bislang wenig klinische Studien zur ESWT bei OD am Talus gibt.
Die ESWT wird in der Regel in einer Sitzung unter Leitungs– oder Allgemeinanästhesie durchgeführt, wobei nach Empfehlungen der DIGEST eine mittlere Energieflussdichte von 0,35mJ/mm² und eine Anzahl von 2500 Impulsen empfohlen wird. Bei hochenergetischer Behandlung (>0,5mJ/mm²) kann eine Schädigung des Knorpels nicht sicher ausgeschlossen werden 97.
Nach der Behandlung wird eine Entlastung für ca. 2 - 6 Wochen empfohlen. MRT-Kontrollen sind nach 3, 6 und 12 Monaten sinnvoll.

Evidenz der EWST bei der Therapie der Osteochondrosis dissecans

Ausgehend von den Erfolgen bei der Pseudarthrose-Therapie durch ESWT wurde der Effekt von Stoßwellen am Knorpelgewebe im Tiermodell untersucht, wobei auch der Einsatz am noch nicht ausgereiften Skelett hinterfragt worden ist. So zeigte die ESWT bei der OD am juvenilen Kaninchenknie eine  Beschleunigung der Ausheilung, sowie eine Verbesserung der Knorpel- und Knochenqualität 98. In einer weiteren tierexperimentellen Untersuchung am unausgereiften Kaninchenknie zeigte bei einem Energiefluss von 1,2mJ/mm² und der Verabreichung von 2000 Impulsen keine Schädigungen des Knorpels 99.

Der erfolgreiche Einsatz von ESWT bei adulten osteochondralen Läsionen wurde erstmals von S. Marx und R. Thiele am Kniegelenk beschrieben (Marx 2003).

Eine weitere Arbeit zeigt gute Ergebnisse bei OD des Kniegelenkes 100. Zwei Arbeiten belegen die Wirksamkeit von ESWT bei Osteonekrose des Femurkopfes nach Evidenzgrad Ib 101102.

Aufgrund der Datenlage kann die Anwendung der ESWT bei osteochondralen Läsionen des Talus in frühen Stadien (1 und 2 nach ARCO) erwogen werden. Für eine Therapieempfehlung sind allerdings weitere Studien, insbesondere zur Therapie der OD des Talus zwingend erforderlich. Aufgrund der technischen Schwierigkeit der Behandlung bei teilweise schlechter Erreichbarkeit der Läsion, sollte diese Indikation erfahrenen Anwendern vorbehalten bleiben.

 

Weitere Literatur

  • Dotti R, Müller DM, Benini A: Klinik, Ätiologie, Pathogenese, Diagnostik und Therapie der aseptischen Knochennekrosen – eine aktuelle Literaturanalyse. Praxis 91:163–176,2002
  • Lohrer H: Überlastungsschäden. In: Wirth(Hrsg): Orthopädie und Orthopädische Chirurgie, Fuß 490-514, Georg-Thieme-Verlag, 2002
  • Marx S, Thiele R: Fallvorstellung der arthroskopisch kontrollierten Therapie der Osteochondrosis dissecans mittels ESWT. Arthroskopie 16:266-271,2003
  • Neuland HG, Duchstein HJ: Manifestationsmuster der extrakorporellen Stoßwellentherapie durch biologische Mechanotransduktion. Orthopädische Praxis 42,4:230-235,2006
  • Neuland HG, Schmidt A: Induktion adulter [gewebespezifischer] mesenchymaler Stammzellen durch extrakorporale Stoßwellen zur Regeneration muskulosekelettaler Gewebe. Orthopädische Praxis 42:236-240,2006
  • Novak P: Physikalische Grundlagen. In: Dreisilker (Hrsg): Stosswellentherapie in der Praxis Enthesiopathien, S.29-47, Level 10 -Verlag, 2010
  • Schaden W, Fischer A, Sailer A: Extrakorporale Stoßwellen-Therapie (ESWT) aus der Sicht der Traumatologie. Journal für Mineralstoffwechsel 11:40-45,2004
  • Thiele, R., Marx S., Ludwig J., Herbert Chr., Extrakorporeal Shockwave Therapy for Adult Osteochondritis dissecans of the Femoral Condyle and the Talus, 7th Congress of the International Society for Musculoskeletal Shockwave Therapy, Kaohsiung, April1-4, 2004
  • M. Vitali, C. Sosio, G.M. Peretti, L. Mangiavini, G.Fraschini, Spontaneous Osteonecrosis: Long-Term Effectivness in the Treatment of Early Spontaneous Osteonecrosis of the Knee:a 2-year follow-up; Abstracts ISMST 12th International Congreess Sorrento 2009
  • Wess O: Stoß- und Druckwellen in der Medizin - physikalisch-technische Grundlagen. Orthopädische Praxis 42:197-221,2006
Loading…
Loading the web debug toolbar…
Attempt #