Kurzzusammenfassung

Bei Beschwerden am Achillessehnenansatz ist zwischen den verschiedenen Schmerz verursachenden Strukturen zu unterscheiden. So können diese von einer Reizung sowohl der oberflächlichen als auch der tiefen Bursa, einer Degeneration der Achillessehne oder aber einer Kombination dieser bedingt sein (Reizung, Verdickung des Paratenons, Hypervaskularisierung). Zur Diagnostik sollte ein belastetes seitliches Röntgenbild des Fußes angefertigt werden und zur weiteren Abklärungen ein MRT und/oder eine Sonographie erfolgen. Die primäre Therapie der Beschwerden ist immer konservativ, wobei die exzentrische Therapie am erfolgversprechendsten angesehen wird. Weitere konservative Therapien in Form von Einlagen mit Fersenweichbettung, Querfriktion, Iontophorese mit Diclofenac oder Dexamethason, Ultraschall und/oder Kinesiotaping finden Anwendung. Bei gescheiterter Basistherapie sind weitere Maßnahmen, wie z.B. die Sklerosierungstherapie der hypervaskulären Anteile oder eine Stoßwellentherapie / Röntgenreizbestrahlung im Bereich des Sehnenansatzes möglich. Bei therapierefraktären Beschwerden besteht die Indikation zum operativen Vorgehen, wobei auch hier entsprechend der Pathologie vorgegangen werden muss. Für isolierte retrocalcaneare Bursitiden mit oder ohne Prominenz der posterioren Tuberositas des Calcaneus steht mit der endoskopischen Resektion eine potente Methode zur Verfügung, die im Vergleich zur offenen Technik eine gute Übersicht bei geringerem Weichteiltrauma ermöglicht. Bei degenerativen Veränderungen der Achillessehne ist der transtendinöse Zugang anerkannt, der eine vollständige Adressierung der Pathologien ermöglicht, jedoch mit einer längeren Rehabilitation einhergeht. Postoperativ sollte eine verlängerte Immobilisation vermieden werden, da dies zu Muskelhypotrophie führt und die Sehnenheilung  negativ beeinflußt. Bei adäquater Therapie kann mit einer hohen Patientenzufriedenheit gerechnet werden.

Epidemiologie und Ätiologie

Terminologie

Erkrankungen der Achillessehne sind ein häufiges Problem in der fußchirurgischen Praxis. Problematisch ist die uneinheitliche Terminologie, so dass verschiedene Pathologien synonym benannt werden. Häufig werden die Begriffe Haglund Ferse, Haglund Exostose, Fersenschmerz, Achillodynie, Tenosynovialitis, Tendinose, Peritendinitis, Tendinopathie und Peritendinopathie verwendet. Aktuell setzt sich eine Terminologie durch, bei der grundsätzlich zwischen den Erkrankungen am Sehnenansatz und der Nicht-Insertionstendinopathie  unterschieden werden 1. Historisch werden die Pathologien des Achillessehenansatzes auch als Haglund-Exostose bezeichnet, wobei hiermit v.a. die ossäre Prominenz des Tuberculum des Calcaneus gemeint ist und es sich nicht um eine Exostose handelt. Abzugrenzen hiervon ist die Haglund-Erkrankung, die eine Verknöcherungsstörung der Achillessehnenapophyse bezeichnet. Grundsätzlich kann und sollten bei Beschwerden im Bereich des Achillessehnenansatzes jedoch die zugrundeliegenden Pathologien unterschieden werden, da sie einer differenzierten Therapie bedürfen. Obwohl diese häufig gemeinsam auftreten, kann unterschieden werden zwischen:

  • Retroachilläre oder retrocalcaneare Bursitis
  • Oberflächliche Bursitis
  • Insertionstendinopathie

Ätiologie

Die Ursache der Beschwerden ist bis heute nicht eindeutig geklärt und genaue Zahlen zur Inzidenz bestehen nicht. Es werden intrinsische und extrinsische Faktoren diskutiert:

  • Intrinsische Faktoren:
    • Höheres Alter 2
    • Begleiterkrankungen: 3 
      • Bluthochdruck
      • Adipositas
      • Diabetes mellitus
      • Rheumatische Erkrankungen
      • Hormon-Therapie
      • Steroidmedikation
    • Biomechanik 456 
      • Hyperpronation,
      • Rückfussvarus,
      • eingeschränkte Beweglichkeit des Subtalargelenkes,
      • verkürzte Gastrocnemicusmuskulatur
  • Extrinsische Faktoren:
    • Schuhwahl
    • Überlastung:
      • (Über-)Training
      • unzureichendes Aufwärmen 7
      • ungeeignete Sportböden
      • Lauftraining (bis zu 30% der Lauf assoziierten Beschwerden; 10fach erhöhtes Risiko bei Läufern verglichen mit Normalbevölkerung) 89

Symptomatik

Welche Beschwerden sind führend, was ist typisch? Bei welchen seltenen Symptomen sollte man hellhörig werden?

Bei den Beschwerden rund um den Achillessehnenansatz, lassen sich verschiedene Pathologien differenzieren, die jedoch häufig auch gemeinsam auftreten.

  • Die oberflächliche calcaneare Bursitis führt häufig zu einer sichtbaren, schmerzhaften, soliden Schwellung am  Calcaneus. Klinisch finden sich neben der Schwellung auch eine Aufhellung der Haut und eine Schwiele. Die Schwellung ist zumeist posterolateral, seltener zentral oder posteromedial lokalisiert.
  • Die retrocalcaneare Bursitis zeichnet sich primär aus durch eine Schwellung oberhalb des Calcaneus medial und lateral mit entsprechender Druckdolenz.
  • Die Insertionstendinopathie der Achillessehne führt zu Schmerzen direkt über der Tuberositas des Calcaneus, sowie einem Steifheitsgefühl. Auch hier kann eine schmerzhafte Schwellung auftreten und ein knöcherner Vorsprung erkennbar sein. Im Vergleich zu den Bursitiden, ist dieser Teil der Erkrankung häufig auch in offenem Schuhwerk schmerzhaft und die Patienten berichten von einem morgendlichen Anlaufschmerz und Belastungsschmerz.

In der Regel gehen die Beschwerden nicht mit einer funktionellen Einschränkung der Achillessehne einher, so dass z.B. bei Unfähigkeit zum einbeinigen Zehenspitzenstand dringend auch an andere Erkrankungen, wie z.B. eine chronische Ruptur der Sehne, gedacht werden muss.

Diagnostisches Vorgehen

Abbildung 1: Klinisches Bild einer ausgeprägten Schwellung über dem Achillessehnenansatz bei einem Patienten mit einer Insertionstendinopathie.
Abbildung 1

Im Vordergrund der Diagnostik sollte, neben der Anamnese, immer die klinische Untersuchung stehen.

Bei der Anamnese ist auf Begleiterkrankungen und Medikation (z.B. Diabetes mellitus, art. Hypertonie, Erkrankungen des rheumatischen Formenkreises), getragenes Schuhwerk, Beruf, inkl. möglicherweise notwendigen Spezialschuhwerkes, und die individuellen sportlichen Aktivitäten einzugehen.

Bei der klinischen Untersuchung sollte das Gangbild, die Fußstellung und hierbei insbesondere eine Varus- oder Valgus-Fehlstellung des Rückfusses erfasst werden. Ergänzend sollte die Beweglichkeit von OSG und USG auch in Abhängigkeit von der Kniestellung untersucht werden (Silverskjöld-Test). Bei der funktionellen Untersuchung ist der Muskelstatus des Patienten zu beurteilen und die Fähigkeit zum einbeinigen Zehenspitzenstand.

Lokal ist die genaue Lokalisation des Schmerzes (medial, lateral, Ansatz der Sehne, oberhalb des Calcaneus) zu differenzieren (Abb. 1). Auch sollten die in der Nähe liegenden anatomischen Landmarken, wie z.B. der posteriore Sprunggelenkskomplex und die FHL-Sehne untersucht werden, welche ebenso Beschwerden in diesem Bereich auslösen können.

Bildgebung

Röntgen

Das konventionelle Röntgenbild ist nach wie vor eine wichtige Orientierungshilfe zur Beurteilung der Beschwerden. Hierbei ist das belastete seitliche Röntgenbild des gesamten Fußes der Standard. Bei Fußfehlstellungen sollten zusätzlich ein belastetes  Röntgen des Fußes d.p., des OSG a.p., sowie eine Rückfußaufnahme (nach Saltzman) durchgeführt werden.

Anhand des seitlichen Fußröntgenbildes kann der Calcaneus-Boden Winkel und die Prominenz der Tuberositas des Calcaneus bestimmt werden und durch das Zusammenspiel dieser beiden Parameter die mögliche Irritation der Achillessehne durch die knöcherne Anatomie beurteilt werden. Bis heute hat sich jedoch kein Parameter etabliert, anhand dessen eine klare Abgrenzung von pathologischen Fehlstellungen möglich ist. Einzelne Arbeiten  zeigen jedoch eine Korrelation der parallel „Pitch-Linien“ und des „Chaveau-Liet“ Winkels  10 zu der Erkrankung (Abb. 2).

a) Die „Parallel pitch lines“ wurden von Pavlov et al. beschrieben. Die untere entspricht dem Calcaneus-Boden-Winkel (Tangente der vorderen zur mittleren Tuberositas). Die obere Linie verläuft parallel zur unteren tangential zum oberen Ende der talaren Fa
Abbildung 2
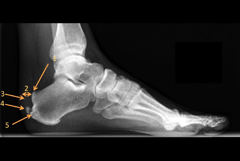
Abbildung 3: Das seitliche belastete Röntgenbild des Fußes zeigt die Pathologien des Achillessehnenansatzes: Retroachilläre Bursitis, die den Karger´schen Fettkörper verdrängt (1), Verdickung der Achillessehne (2), intratendinäse Calcifikationen (3), Trak
Abbildung 3

Außerdem lässt sich auf dem seitlichen Röntgenbild im Bereich der Weichteile häufig als indirektes Zeichen der retroachillären Bursitis eine Aufhellung am Achillessehnenansatz erkennen 11. Des Weiteren ist auf die Ausbildung des retrocalcanearen Recessus und die relative Dicke der Achillessehne zu achten 10. Im Bereich der Achillessehne ist auf einen Traktionsosteophyten, der aus Verknöcherungen im Bereich des Sehnenansatzes durch Mikrotraumatisierungen entsteht  sowie intratendinöse Verkalkungen/-knöcherungen zu achten (Abb. 3).

Ultraschall

Die Sonographie sollte in Bauchlage bei überhängenden Füßen mit einem linearen Schallkopf (7-18 MHz) erfolgen. Die Nutzung eines (Power-) Dopplers kann ergänzende Hinweise zur Hypervaskularisierungen innerhalb der Achillessehne und des Paratenons geben.

Der Vorteil des Ultraschalls ist die Möglichkeit zur funktionellen Untersuchung. Die Dicke und Struktur der Achillessehne kann in verschiedenen Höhen gemessen werden und die Bursa zumeist gut beurteilt werden. Auch können Ossifikationen im Verlauf der Sehne und im Achillessehnenansatz dargestellt werden.

MRT

Abbildung 4: Das MRT des Rückfusses zeigt die unterschiedlichen Veränderungen, die mit einer Insertionstendinopathie einhergehen. Die präachilläre und retrocalcaneare Bursitiden (Pfeile) kommen zur Darstellung, sowie die intratendinösen Veränderungen.
Abbildung 4

Das MRT stellt den Goldstandard bei der Beurteilung von Sehnen und Weichteilgeweben dar. Die optimalen Sequenzen hängen häufig von dem verwendeten Gerät ab, zumeist werden jedoch T1-gewichtete und flüssigkeitssensitive STIR sowie Fett supprimierte intermediär gewichtete Sequenzen in axialer und sagittaler Schnittführung durchgeführt 12.  Das MRT ermöglicht insbesondere den Nachweis von intratendinösen Veränderungen und ansatznahen Partialrupturen. Daneben können im MRT das Paratenon, die ansatznahen Bursen und auch die differerentialdiagnostisch in Frage kommenden Strukturen wie die FHL-Sehne und das Os trigonum mitbeurteilt werden. Ein Ödem in der Tuberositas des Calcaneus kann degenerative Veränderungen der Gleitfläche zur  Achillessehne hin anzeigen. Aufgrund der Schnittführung und des zum Teil geringen Kontrastes ist die Identifikation und Lokalisation von Ossifikationen jedoch gelegentlich zur operativen Planung nicht ausreichend (Abb 4).

CT

Einige Autoren sehen standardmäßig auch ein CT bei fortgeschrittenen Formen für indiziert an. Hiermit kann die genaue Lage von Ossifikationen in der Sehne dargestellt werden und in die operative Planung einbezogen werden. Weiterhin kommen auch degenerative Veränderungen im Bereich der Tuberositas des Calcaneus zur Darstellung.

Therapeutisches Vorgehen

Therapieziele

Die primäre Therapie der Insertionstendinopathie der Achillessehne sollte immer konservativ sein, da auch in der Bildgebung fortgeschrittene degenerative Veränderungen z.T. auf eine suffiziente konservative Therapie ansprechen.
Hierbei stehen insbesondere Modifikationen des Schuhwerkes mit Aufweitung der Fersenkappe und ggfs. Tragen eines Fersenkeils im Vordergrund.

Physiotherapeutische Maßnahmen mit lokalen antiphlogistischen Anwendungen, exzentrischen Dehnungsübungen und Ultraschallanwendungen können einen guten Erfolg zeigen.

Infiltrationen im Bereich der Achillessehne sind kritisch zu sehen, da ein Wirksamkeitsnachweis fehlt. Bei der Infiltration mit Steroiden besteht ein erhöhtes Risiko von Achillessehnenrupturen. Insbesondere gilt dies, wenn die Steroide intratendinös verabreicht werden, in Einzelfällen jedoch auch nach  sonographisch gesteuerten paratendinösen Infiltrationen.

Über die Ergebnisse der zuletzt, insbesondere bei „mid-portion“ Achillessehnen-Pathologien, propagierten Infiltration mit Thrombozytenkonzentraten liegen widersprüchliche Ergebnisse vor, für den Einsatz bei Insertionstendinopathien liegen keine Erkenntnisse aus größeren Serien vor.

In aktuellen Studien wird von einer Schmerzreduktion bei über 80% der Fälle nach Radiotherapie bei ansatznahen Achillodynien berichtet 13

Neuere Erkenntnisse zur Anwendung von Stoßwellen bei Insertionstendinopathien zeigen ein gutes Ansprechen in bis zu 83% der Patienten, wobei der Einsatz von Lokalanästhetika zu einem schlechteren Ansprechen führen kann 14.

Nach gescheiterter konservativer Therapie stehen verschiedene operative Techniken zur Verfügung. Da keine größeren randomisierten Serien zur Differenzierung der Behandlung der Insertionspathologie der Achillessehne bestehen, stellen die Autoren hier das an Ihrer Klinik und anderen Zentren angewendete Therapieschema vor.

Grundsätzlich wird unterschieden zwischen den o.g. Pathologien, d.h. der retrocalcanearen Bursitis, der superfiziellen Bursitis und der eigentlichen Insertionstendinopathie, wobei häufig Mischbilder auftreten. Zur Festlegung der zu wählenden Therapie werden Röntgenbild und MRT hinzugezogen werden. Zusätzlich muss die Beweglichkeit des Sprunggelenkes beurteilt werden, um mögliche Verkürzungen der Gastrocnemicus Muskulatur nicht zu übersehen, die ein geändertes Therapieregime erfordern können.

Bei unkomplizierten Fällen ohne degenerative Veränderungen der Sehne oder Insertionspathologien erfolgt die Resektion der retrocalcanearen Bursa und der Tuberositas des Os calcaneare. Hierbei hat sich die endoskopische Technik durchgesetzt, da sie eine kontrollierte Entfernung des Gewebes und des Knochens erlaubt, bei geringer Gewebetraumatisierung.

Beim Vorliegen intratendinöser Veränderungen wie Partialrupturen oder Ossifikationen wenden wir einen transachillären Zugang an, der auch eine Sanierung der intratendinös gelegenen Läsionen erlaubt, jedoch mit einer längeren Rehabilitationszeit verbunden ist.

Indikation und Kontraindikation für die verschiedenen operativen und konservativen Behandlungsoptionen

Primär sollte stets die konservative Therapie im Vordergrund stehen. Bei den operativen Verfahren gelten die üblichen Kontraindikationen für chirurgische Eingriffe. So sollten präoperativ die Hautverhältnisse und Narben evaluiert werden. Weiterhin muss der Gefäßstatus, hier insbesondere die arterielle Blutversorgung, aber auch eine mögliche Varikosis mit Stauungsdermatitis vor einem Eingriff erfasst und ggfs. chirurgisch saniert werden. Bei Diabetes mellitus besteht ein erhöhtes postoperatives Risiko für Wundheilungsstörungen oder sekundäre Sehnenpathologien, ebenso wie bei einer  Polyneuropathie. Sofern ein offenes Vorgehen und hier insbesondere ein transtendinöser Zugang indiziert sind, muss präoperativ evaluiert werden, ob der Patient die z.T. aufwändige Nachbehandlung umsetzen kann. Auch muß bedacht werden, ob aus anästhesiologischer Sicht Kontraindikationen für die notwendige Bauchlagerung während der Operation, wie eine ausgeprägte COPD oder massive Adipositas, bestehen.

Aufklärung (Risiken der verschiedenen Behandlungskonzepte)

Insbesondere die operativen Maßnahmen bedingen eine ausführliche Aufklärung. Hierzu gehören die allgemeinen OP-Risiken:

  • Wundheilungsstörungen
  • Infektionen
  • Bluterguss / Nachblutungen
  • Nervenläsionen ggfs. Neurom (N. suralis)
  • Dys-/ Hypästhesien im Bereich des OP-Gebietes
  • Thrombose- / Lungenembolie aufgrund der eingeschränkten Mobilität postoperativ
  • Lagerungsschäden
  • Spezifische Risiken der endoskopischen bzw. offenen Resektion von Bursa und Tuberositas des Calcaneus
    • ggfs. Notwendigkeit zur Teilbelastung
    • thermische Schädigung (bei Verwendung von VAPR Instrumenten)
    • Läsion der Achillessehne
    • Unvollständige Resektion der ossären Prominenzen
  • Spezifische Risiken des transachillären Vorgehens
    • Verwendung von Implantaten (Nahtanker)
    • Langwierige Rehabilitation
      • Arbeitsunfähigkeit ca. 8 Wochen
      • Sportunfähigkeit ca. 24 Wochen
      • Verdickung der Achillessehne bis zu 1 Jahr postoperativ
    • Notwendigkeit zur Entlastung und Tragen eines Walkers
    • Achillessehnenabriss

Prinzipen der verschiedenen Therapieformen

Konservative Therapie:

Im Vordergrund der konservativen Therapie steht die Durchbrechung des Entzündungskreislaufes. Hiermit können Erfolgsraten zwischen 53 % und 95 % in Abhängigkeit der zugrunde liegenden Pathologien erreicht werden 1516. Die Angaben zur Beurteilung der notwendigen Therapiedauer und Beurteilung des Erfolges vor einer möglichen operativen Therapie sind uneinheitlich und liegen zwischen 6 bzw. 12 Wochen und einem Jahr 171819. Hierzu stehen verschiedene therapeutische Tools zur Verfügung, dazu gehören Ruhe, Kühlung, Aktivitätsanpassung, Schuhmodifikation, NSAR, Fersenkeil, Orthesen, Dehn- sowie Kräftigungsübungen. Über die optimale Art und Dauer der Anwendung gibt es keine übereinstimmenden Erkenntnisse, generell werden die Ergebnisse jedoch als gut angesehen.

An konservativen Therapien haben sich zuletzt exzentrische Kräftigungsübungen als am erfolgreichsten dargestellt, wobei hier die Ansatzpathologien der Achillessehne weniger gut ansprechen als die Erkrankungen im Sehnenverlauf 2021. Hierbei steht der Patient mit den Zehenspitzen auf einem Absatz, hält sich an einem Geländer fest und führt eine langsame und kontrollierte Dorsalextension des OSG durch, wobei die maximale Dorsalextension vermieden werden sollte. Bei der Durchführung der Übungen sollte auf eine ausreichende Rutschsicherheit des Untergrundes geachtet werden, um einer Verletzung vorzubeugen. Aufgrund der Vielzahl der Übungen, sollten die Patienten in der Sprechstunde immer hinsichtlich der durchgeführten Maßnahmen mit dem Physiotherapeuten befragt und die instruierten Heimübungen durch den Patienten demonstriert werden. Bei korrekt ausgeführtem ekzentrischem Training kann eine Beschwerdebesserung in bis zu 2/3 der Patienten erreicht werden 22.

Manualtherapeutische Maßnahmen, die unserer Erfahrung nach häufig isoliert angewendet werden, wie Friktionsmassagen, können bei mid-portion Achillessehnentendinopathien einen positiven Effekt haben, bei Insertionstendinopathien sehen wir die Anwendung aufgrund der lokalen Inflammation kritisch und diese zeigen unserer Erfahrung nach keinen dauerhaften Erfolg.

Iontophorese, Laser-Anwendung und lokaler Ultraschall:

Generell werden entzündungshemmende Maßnahmen empfohlen, wobei für einen Großteil ein Wirksamkeitsnachweis in Form kontrollierter Studien fehlt. Für die Ionophorese und die Laser-Anwendung konnte im Rahmen von Studien die Wirksamkeit bei Achillessehnenpathologien gezeigt werden, jedoch wurden hierbei keine Patienten mit Insertionspathologien behandelt 2123.

Radiotherapie:

In der Behandlung von ansatznahen Achillodyniene bzw Calcaneodynien werden zwischen 84 und 88% Erfolgsraten nach fraktionierter Strahlentherapie berichtet 1324. Zur Vermeidung von Strahlenschäden werden fraktionierte Einzeldosen von 0,5 bis 1,0 Gy empfohlen.

Lokale Medikamentenanwendungen:

Biochemische Analysen zeigen im erkrankten Sehnengewebe eine erhöhte NO-Synthese, eine Suppression der NO-Synthese verschlechtert im Tiermodell die Heilungsrate von Achillessehnenverletzungen. Aufgrund dieser Befunde wurde NO-Pflaster zur lokalen Therapie empfohlen und konnte z.T. einen guten Effekt zeigen 25.

Sklerosierungstherapie:

Obwohl häufig eine Minderdurchblutung als Ursache für degenerative Veränderungen der Achillessehne diskutiert wird, zeigen Doppleruntersuchungen eine erhöhte Mikrozirkulation 2627 im erkrankten Sehnengewebe. Eine Therapieüberlegung stellt daher die Sklerosierung dieser pathologischen Gefäße dar. Die bisherigen Studienergebnisse zu dieser Therapie sind nicht einheitlich, jedoch fand sich bei mid-portion Achillessehnenpathologien in mehreren Studien ein z.T. gutes Ansprechen, für die Insertionstendinopathie liegt aktuell lediglich eine Arbeit mit 11 Patienten vor. Hier zeigte sich eine Schmerzreduktion von 5.9 Punkten (Skala bis 10) und 73% der Patienten waren mit dem Ergebnis zufrieden 28.

Thrombozyten angereichertes Plasma (Platelet-Rich Plasma) Injektionen:

Der Begriff „Thrombozyten angereichertes Plasma“ unterliegt keiner genauen Definition, sodass die in verschiedenen Studien angewendeten Verfahren nur eingeschränkt vergleichbar sind. Für die Anwendung im Bereich der Insertionstendinopathie der Achillessehne gibt es lediglich einen Erfahrungsbericht mit 14 Patienten, bei denen eine Schmerzreduktion von 6.4 auf 4.0 erreicht werden konnte. Vier Patienten waren vollständig schmerzfrei und drei benötigten letztendlich eine chirurgische Intervention (Stanton, AAOS, 2010).

Stoßwellen-Therapie:

Bei der Stoßwellentherapie wird über eine Schallwelle ein kurzer hoher Druck (bis 500 bar) mit einem schnellen Druckanstieg (<10ns) über ein kurzes Zeitintervall (<10ms) und bei einem Frequenzspektrum von 16- 20 Mhz) appliziert. Verschiedene Schallgeneratoren sind verfügbar, solche die fokussiert, und günstigere, die radiale Impulse abgeben. Im Gewebe unterscheidet man einen direkten Effekt von einem indirekten Effekt. Bei dem direkten Effekt kommt es zu Scherkräften, die eine biologische Antwort in Form von Wachstumsfaktorfreisetzung, Entzündungshemmung, Neuromodulation, Stammzellstimulation und Neovaskularisation bedingen. Die indirekten Effekte beruhen auf der Bildung von Kavitätsblasen, die wiederum zusätzlich lokale Energie auf das Gewebe abgeben.

Die Stoßwellentherapie wird erfolgreich angewendet, bei Epicondylitis, Bursitis trochanterica, subacromialen Kalzifikationen, Patellasehnentendinopathien und Pseudarthrosen. Bei den Erkrankungen des Achillessehnenansatzes wird die Indikation bei gescheiterter konservativer Therapie, Chronifizierung der Symtome und Fehlen von Kontraindikationen (Infektion, maligne Erkrankung, Schwangerschaft, Polyneuropathie, Skeletunreife) gesehen. Sowohl Anwendungen mit Hoch- als auch Niederenergie sind erfolgreich beschrieben. Postinterventionell ist die Vollbelastung erlaubt, jedoch sollten high-impact Belastungen für 4-6 Wochen vermieden werden. Bei korrekter Anwendung wird ein gutes Ansprechen in bis zu 87% der Patienten gesehen 29303114.

OP-Techniken

Abtragung Tuberositas des Calcaneus

Bei Patienten mit Erkrankungen des Achillessehnenansatzes ohne begleitende Sehnenpathologie kann isoliert die Bursa und die Tuberositas des Calcaneus abgetragen werden. Dazu sind grundsätzlich die offene Technik und ein endoskopisches Vorgehen möglich.

Offene Technik

Hierbei erfolgt in Rückenlage des Patienten ein Hautschnitt medial oder lateral, wobei lateral auf den N. suralis zu achten ist, paraachillär. Am Vorderrand der Achillessehne muß dann präpariert werden, wobei zur korrekten Darstellung, diese häufig leicht gekerbt werden muß. Darauf erfolgt unter Hakenschutz der Sehne die  Abtragung der ossären Prominenz, sowie der entzündlich veränderten Bursa. Postoperativ erfolgt eine temporäre Ruhigstellung und nach Wundheilung in der Regel ein rascher Übergang zur Vollbelastung. Physiotherapie ist in der Regel indiziert. Problematisch ist bei diesem Vorgehen, dass aufgrund der U-förmigen Insertion der Achillessehne entweder eine partielle Kerbung oder Ablösung der Achillessehne notwendig ist, da sonst häufig ein Teil der Tuberositas nicht erreicht werden kann und zu persistierenden Irritationen führen kann.

Endoskopische Technik

Vorteile dieser Technik sind die intraoperativ bessere Übersicht, eine geringere Morbidität, geringere Narbenbildung, kürzere Rehabilitation und raschere Rückkehr zum Sport 3233.

Die Operation erfolgt in Bauchlage mit Oberschenkelblutsperre. Es erfolgen zwei Inzisionen medial und lateral im Bereich der Tuberositas des Calcaneus. Anschließend wird zunächst die Bursa mit dem Shaver entfernt und  der cranio-dorsale Anteil des Calcaneus dargestellt. Häufig kommen nun auch degenerative Aspekte der retroachillären Gleitfläche zum Vorschein. Es wird nun stumpf bis an den Achillessehnenansatz die Sehne mobilisiert und anschließend mit dem Shaver oder der Walze der Knochen vom Sehnenansatz beginnend abgetragen. Hierbei ist es sinnvoll zunächst den medialen bzw. lateralen Anteil kontrolliert zu entfernen und anschließend die Portale zu wechseln. Insbesondere in der Anfangsphase ist es hierbei sinnvoll den Bildverstärker einzusetzen um zu beurteilen wann ein ausreichendes Maß der Knochenresektion erreicht ist. Von dem Einsatz thermischer Instrumente (VAPR, etc.) wird aufgrund des dünnen Weichteilmantels und des Risikos von thermischen Schäden abgeraten. Ein weiterer Vorteil dieses Verfahrens ist, dass die Achillessehne direkt beurteilt werden kann und oberflächliche Läsionen reseziert werden können.

Postoperativ ist eine kurzzeitige Entlastung empfehlenswert (ca. 14 Tage) bis die lokale Reizung abgeklungen ist, anschließend kann die physiotherapeutisch begleitete Aufbelastung erfolgen.

Transachillärer Zugang

Bei begleitenden Veränderungen der Achillessehne wie Traktionsosteophyten und intratendinösen Veränderungen kann, um diese zu erreichen, ein transtendinöser Zugang erfolgen. Hierüber können alle Anteile der Ansatzerkrankung erreicht werden, doch erfordert dies eine langwierige Nachbehandlung.

Die Operation erfolgt in Bauchlage mit Oberschenkelblutsperre. Über eine mediane Inzision erfolgt die Darstellung der Achillessehne. Diese wird zentral gespalten und ansatznah t-förmig abgelöst, sodass die medialen und lateralen Zügel erhalten bleiben und somit eine ausreichende mechanische Stabilität erhalten bleibt. Degenerative Anteile der Sehne werden debridiert, ein Traktionsosteophyt abgetragen. Anschließend erfolgt die Resektion der Tuberositas des Calcaneus bis an den Achillessehnenansatz. Die Refixation der Sehne erfolgt wenn nötig über ein Ankersystem und die Spaltungsstelle wird vernäht. Postoperativ erfolgt die Anlage einer Unterschenkelgipsschiene in Spitzfußstellung. Die Nachbehandlung erfolgt analog dem Schema der akuten Achillessehnenruptur.

Calcaneus Osteotomie

Die Calcaneus Osteotomie nach Zadek bzw. Keck and Kelly 34 verfolgt ein anderes Konzept: hierbei erfolgt eine dorsalbasige Osteotomie des Calcaneus ggfs. mit Entfernung der retrocalcanearen Bursa. Dadurch soll die Irritation der Achillessehne durch die Tuberositas des Calcaneus verringert werden. Dazu erfolgt ein medialer oder lateraler Zugang zum Calcaneus und ein 0,6 bis 1,5 cm breiter cranialbasiger Keil wird entnommen. Die Osteotomie kann dann je nach Stabilität mittels Osteosutur, Knochenstapels oder Schrauben fixiert werden. Postoperativ erfolgt in der Regel eine 6 wöchige Ruhigstellung in leichter Spitzfußstellung und dann die  Aufbelastung. Die wenigen zu dem Verfahren veröffentlichten Studien zeigen gute Ergebnisse, jedoch keine Überlegenheit zu der offenen Resektion der Tuberositas des Calcaneus 3536.

Komplikationen der verschiedenen Therapieformen

(Risiken und Komplikationen der Erkrankung an sich und der verschiedenen Behandlungsoptionen):

Bei den operativen Maßnahmen im Bereich der Achillessehne können die allgemeinen operativen Komplikationen auftreten. Dazu zählen Wundheilungsstörungen, Infektionen, Nervenschäden, Thrombosen und Embolien. Das allgemeine Komplikationsrisiko liegt im Allgemeinen unter 5%. Komplizierend in diesem Bereich ist der geringe Weichteilmantel, sodass auch oberflächliche Infekte rasch die Achillessehne mitbetreffen, die entsprechend debridiert und ggfs. reseziert werden muss mit den entsprechenden Einschränkungen. Dazu können auch durch kleine oberflächliche Wundheilungsstörungen rasch plastisch zu deckende Defekte entstehen, da wenig Gewebe zur Rekonstruktion zur Verfügung steht. Bei jeder operativen Maßnahme sollte die spezielle Durchblutungssituation im Bereich der Ferse bedacht werden. Die Angiosome sind hier so orientiert, dass sie mittig im Bereich der Achillessehne zusammenlaufen und mediale und laterale Inzisionen hiervon Zonen verringerter Durchblutung erzeugen 37.

Aufgrund der Komplikationsmöglichkeiten stellen wir die Indikation zur Operation bei Patienten mit arteriellen und venösen Durchblutungsstörungen zurückhaltend. Auch bei Patienten mit Diabetes mellitus ist ein erhöhtes Komplikationsrisiko zu bedenken, ebenso bei Patienten mit Polyneuropathie.

An spezifischen Komplikationsrisiken ist insbesondere beim transachillären Zugang das Risiko einer Ruptur der Achillessehne zu sehen, daher ist bei dieser Technik auch die voraussichtliche Compliance des Patienten mitzubeachten.

Nachbehandlung

Die Nachbehandlung muss immer dem operativen Verfahren, dem intraoperativen Befund und den Möglichkeiten des Patienten angepasst werden. Hierzu ist ein Informationsaustausch zwischen dem behandelnden Chirurgen und dem Physiotherapeuten unerlässlich.

Grundsätzlich sollte die postoperative nötige Entlastung, aufgrund des negativen Effektes auf die Sehnenheilung, den Knorpel und die resultierende Muskelhypotrophie möglichst kurz gehalten werden 38. Häufig wird eine Entlastung von 2 Wochen geraten und anschließende protektierte Aufbelastung mit Teilbelastung oder sogar Vollbelastung. Während der Phase der eingeschränkten Belastung und ggfs. Bewegungslimitierung (Spitzfuß) kann bereits eine Mobilisation des unteren und oberes Sprunggelenkes im Rahmen dieser Grenzen sinnvoll sein.
Begleitend in der initialen postoperativen Phase sollten immer auch entstauende und abschwellende Maßnahmen durchgeführt werden.

Insbesondere bei offenen Eingriffen an der Achillessehne ist der Patient auf ein lange, bis zu einem  Jahr, andauernde Rehabilitationsphase hinzuweisen.

Perspektiven und aktuelle Trends

(Wie ist die Perspektive im Hinblick auf Gelenkfunktion, dauerhafte Einschränkung, Erfolgschancen der Behandlung, Nachhaltigkeit der Behandlung. Gibt es im Bereich Diagnostik, Therapie oder Nachbehandlung neue Trends?):

Zukünftige Behandlungsmethoden der Erkrankungen des Achillessehnenansatzes bedürfen eines genauen Verständnisses der Erkrankung und der betroffenen Strukturen. Die Insertionstendinopathie ist gekennzeichnet durch eine fehlgeleitete Heilungsreaktion und Chondrozyten-Metaplasie. Die Therapie muss hier zielgerichtet an den verschiedenen Stadien der Fehlheilung ansetzten. Darüber hinaus muss die Schmerzentstehung verstanden werden um auch an diesem Punkt ansetzen zu können.

An neuartigen Verfahren werden diskutiert:

  • Minimal-invasive Eingriffe und biophysikalische Methoden

    Hierzu zählen insbesondere die extrakorporale Stoßwellen Therapie (ESWT) und der niedrig gepulste Ultraschall (LIPUS), über die eine Heilung bei fehlender biologischer Reaktion angeregt werden können und einen Einfluss auf die unmyelinisierten Nervenfasern haben.

    An invasiven Verfahren wird z.B. das dry-needling, Akupunktur und neue Injektionsverfahren diskutiert. In chronischen Fällen wird jedoch weiter die operative Maßnahme indiziert sein.
  • Biologische Techniken

    Es wird hierbei die Inhibition der pathologischen Kaskaden z.B. der neuronalen Reaktion über die Substanz P (SP) und Matrix Metalloproteasen (MMP) diskutiert. Daneben kann auch eine Anregung der Heilung durch lokale Wachstumsfaktoren angestrebt werden (PDGF, VEGF, IGF-1, TGF usw.). Die hierzu notwendigen Dosierungen und Zusammensetzungen sind jedoch noch unklar.
  • Biomaterialien

    Sowohl in Defektsituationen, als auch zur Verbesserung der Biomechanik der Sehneninsertion ist der Einsatz von speziellen Biomaterialen denkbar.
  • Biomechanik

    Ein besseres Verständnis der Pathobiomechanik und der resultierenden Stoffwechselanpassungen kann eine optimierte Therapie ermöglichen. So ist bekannt, dass eine Belastung von Sehnen zur Hypertrophie führt, die Grenze zur Überlastung jedoch individuell und fließend sein kann. Dazu ist bekannt, dass eine Entlastung die Stabilität von Sehnengewebe reduzieren kann. Sofern eine Analyse der Sehnenreaktion auf die eingebrachten Kräfte möglich wäre, könnte ein individualisiertes, optimiertes Trainingskonzept die Therapie verbessern.
Loading…
Loading the web debug toolbar…
Attempt #