Anatomie

Verlauf der Peronealsehnen hinter der Fibula
Abbildung 1

Der anatomische Verlauf der Peronealsehnen spielt bei den meisten Erkrankungen eine zentrale Rolle.
Die Peroneus longus Sehne und die Peroneus brevis Sehne (wenn vorhanden auch die Peroneus quartus Sehne) verlaufen hinter der Fibula, um dann um die Außenknöchelspitze herum nach ventral zu ziehen. Die Länge des Muskels unterliegt einer großen anatomischen Variation, teilweise sind der Sehne noch distal der Fibulaspitze Muskelanteile angelagert. Zur Vermeidung einer Luxation über den Malleolus lateralis, gleiten die Sehnen in einer muldenförmigen Rinne im Bereich der dorsalen Fibula, zusätzlich werden die Sehnen durch das Retinaculum superior und das Retinaculum inferior stabilisiert 1.

Querschnitt der Peronealsehnen in Höhe des Sprunggelenks.
Abbildung 2

Horizontal betrachtet liegt die Peroneus brevis Sehne der Fibulagleitfläche auf. Die Peroneus brevis Sehne hat einen halbmondförmigen Querschnitt. Auf dieser wiederum liegt die Peroneus longus Sehne.

Peroneus brevis:
Ursprung: laterale Fibula
Ansatz: Basis Metatarsale V
Innervation: N. peroneus superficialis
Gefäßversorgung: Arteria fibularis
Funktion: Eversion des Fußes
Plantarflexion im Sprunggelenk
Stabilisiert denn lateralen Fußrand
Peroneus longus
Ursprung: Fibulaköpfchen und proximale Fibula
Ansatz: Basis Metatarsale I
Innervation: N. peroneus superficialis
Gefäßversorgung: Arteria fibularis
Funktion: Eversion des Fußes
Plantarflexion des Fußes
Stabilisation und Plantarflexion Metatarsale I
Peroneus tertius (nur in ca. 90% der Bevölkerung) 2
Ursprung: distale mediale Fibula (und Extensor dig. long.)
Ansatz: dorsaler Schaft Metatarsale V
Innervation: N. peroneus profundus
Gefäßversorgung: Art. fibularis
Funktion: unterstützt Eversion des Fußes
Dorsalextension im Sprunggelenk
Keine Plantarflexion
Peroneus quartus (nur in ca. 13-22% der Bevölkerung) 34
Ursprung: Muskelbauch peroneus brevis
Ansatz: Tuberculum peroneum / Calcaneus

Differentialdiagnosen

Die häufigsten Pathologien der Peronealsehnen sind Synovitiden, Rupturen, Instabilitäten, Luxationen, Spasmen und Erkrankungen mit Beteiligung des Os peroneum 5, der Peronus quartus Sehne oder der Fossa cuboidalis. Gemeinsam ist den Erkrankungen der Peronealsehnen, dass diese sich häufig mit unspezifischen Beschwerden präsentieren. Meist gibt der Patient anamnestisch eine Distorsion oder ein ähnliches Trauma an. Mögliche Differentialdiagnosen stellen u.a. auch Frakturen der Fibula einschließlich knöcherne Bandausrisse, osteochondrale Läsionen des Talus, degenerative Veränderungen am oberen Sprunggelenk, Weichteiltumore und Nervenkompressionen dar 6.

Diagnostik

Klinische Untersuchung

Geschwollenes Peronealsehnenlager mit markiertem Schmerzpunkt, hier bei einem Patienten mit Reizzustand im Bereich des Tuberkulum peroneale.
Abbildung 3

Charakteristisch für Pathologien der Peronealsehnen sind Schwellungszustände und auch Schmerzen im Sehnenverlauf. Diese nehmen bei aktiver und passiver Belastung der Sehnen zu. Bei den meisten Erkrankungen der Peronealsehnen kann durch passive Supination in Kombination mit manueller Kompression der Sehnen ein lokaler Schmerz provoziert werden. Aktiv kann der Patient häufig nur unter Schmerzen den Fuß gegen Widerstand aus der Neutralposition evertieren. Die Lokalisation der Hauptschmerzpunkte gibt erste Hinweise auf genaue Pathologie.

Luxation der Peronealsehnen. Die über die Fibula verlaufende Peronealsehne läßt sich beim Heben des Fußaußenrandes gut tasten (siehe auch Video).
Abbildung 4

Die akute Peronealsehnenluxation ist aufgrund der gleichzeitig bestehenden Schwellung oft schwer zu beurteilen. Nach einem Distorsionstrauma ist die Sehnen können die Sehen nach einigen Tagen bei rückläufiger Weichteilschwellung besser getastet werden.
Die Luxation lässt sich am besten in einer belasteten Situation unter Anspannung der Sehnen auslösen. Ist der Patient dazu in der Lage, werden die Sehnen in gehockter Position (Skifahrerhocke) angespannt. Anschließend soll der Patient den medialen (und lateralen) Fußrand belasten.
Bei einer rein passiven Untersuchung befindet sich der Patient in Bauchlage. Das Knie wird im rechten Winkel gebeugt. Der Untersucher legt nun die flache Hand auf die Fußsohle und supiniert den Fuß. In dieser Stellung, bei passiv angespannten Peronealsehnen, kann nun durch passive Extension und Flexion eine Luxation provoziert werden.
Stets sollte bei Pathologen der Peronealsehnen die Rückfussachse und die Stabilität des Sprunggelenks mit untersucht werden. Nicht selten kommt es bei leicht moderatem Rückfußvarus nach einer Sprunggelenkdistorsion zu einer chronischen Instabilität mit Überlastungssyndrom der Peronealsehnen.

Röntgen

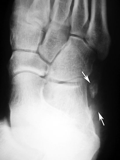
Frakturiertes Os peroneale. Das proximale Fragment ist am Fußaußenrand neben dem Calcaneus erkennbar, das distale Fragment liegt noch in Höhe des Cuboidtunnels.
Abbildung 5

Die klassischen Röntgenaufnahmen des Sprunggelenks in zwei Ebenen und des Fußes in drei Ebenen unter Belastung dienen vor allem dem Ausschluss der verschiedenen Differentialdiagnosen. Weiterhin können knöcherne Verletzungen der Gleitrinne oder auch eine Ruptur der Peroneaus longus Sehne mit disloziertem Os peroneum dargestellt werden. Besteht der Verdacht auf ein kleineres Knochenfragment oder besteht gleichzeitig eine Fraktur, so kann in Ergänzung ein hochauflösendes CT durchgeführt werden 7.

MRT

Unterbrechung des Retinakulums als indirektes Zeichen einer traumatischen Peronealsehnenluxation im MRT.
Abbildung 6

Neben der klinischen Untersuchung besitzt in der Diagnostik von Sehnenpathologie das MRT mit Kontrastmittel einen hohen Stellenwert 8910. Kontrastmittelaufnahme in die Sehne ist immer als Hinweis auf einen Riss zu werten. Weiterhin ist Flüssigkeit im Sehnengleitlager oder die Aufnahme von Kontrastmittel in das Sehnengleitgewebe ein indirektes Zeichen einer Sehnenpathologie.

Sonographie

Bei der Instabilität und Luxation der Peronealsehnen ist die Aussagekraft der dynamischen Untersuchung mit Sonographie der statischen Bildgebung des MRT überlegen 1112.

Tendoskopie

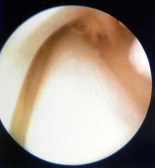
Tendoskopie der Peronealsehnen. Aufgrund der engen Raumverhältnisse sind die therapeutischen Möglichkeiten limitiert.
Abbildung 7

Die Tendoskopie bietet eine weitere Möglichkeit Sehnenpathologien zu visualisieren. Dieses invasive diagnostische Verfahren hat angesichts der immer höher werdenden MRT-Auflösung und den Möglichkeiten der dynamischen Untersuchung mit hochfrequenten Ultraschallköpfen keine größere Verbreitung erfahren. Die therapeutischen Möglichkeiten des Verfahrens beschränken sich auf eine lokale Synovektomie, die Lösung von Verklebungen und dem Abtragen von Knochenkanten 13141516.

Tendographie

Die klassische Tenographie besitzt nur noch einen historischen Stellenwert 1718. In einer aktuellen Arbeit wird über die Möglichkeiten der Tendographie in Kombination mit der CT bei Kalkaneusfrakturen berichtet, zu Beurteilung einer möglichen mechanischen Irritation der Peronealsehnen bei 19.

Erkrankungen der Peronealsehnen

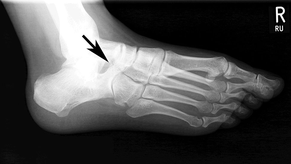
Luxation und Subluxation der Peronealsehnen

Bei der Luxation, bzw. Subluxation der Peronealsehnen dislozieren die Sehnen in bestimmten Situationen unter Anspannung aus ihrer retromalleolären Führung.
Als Risikofaktor wird eine Insuffizienz der knöchernen Führung in der fibularen Rinne diskutiert 2021, wobei die tiefe der retromalleolaren Rinne sicher nur einer von verschiedenen Faktoren bei der Entstehung der Erkrankung darstellt 222324. Eine weitere Ursache ist eine Insuffizienz der Retinacula 25.
Bei der Einteilung der traumatischen Luxationen können verschiedene Verletzungsarten unterschieden werden 26:

Vollständig luxierte Peroneaus longus Sehnen mit Verlauf über die Fibula.
Abbildung 9

Meist kann eine chronische Peronealsehnenluxation klinisch diagnostiziert werden 272829, im akuten Stadium ist die Diagnostik oft durch Schmerzen und Weichteilschwellung erschwert. Dies erklärt die hohe Rate an verzögerter Primärdiagnosen nach Sprunggelenkdistorsionen 30.
Springt die Sehne spontan in ihr Gleitlager zurück, ist das MRT ohne Kontrastmittel häufig unauffällig, mit Kontrastmittel ist regelhaft eine Signalveränderung des Retinakulums erkennbar. Kommt es nach einem Trauma spontan zu einer Reposition der Peronealsehnen, so kann eine konservative Behandlung mit sechswöchiger Ruhigstellung des Sprunggelenks im Unterschenkelgips versucht werden. In etwa 50% der Fälle kann so eine narbige Heilung des Retinakulums erreicht werden 25, in den restlichen Fällen bleibt eine Instabilität bestehen. Kommt es zu keiner spontanen Reposition der Sehnen, besteht primär die Indikation zur operativen Rekonstruktion. Eine chronische Instabilität ist durch konservative Maßnahmen nicht zu beeinflussen. Die Indikation zur operativen Stabilisierung ergibt sich aus dem Leidensdruck.

Vertiefung der Gleitrinne zur Wiederherstellung einer knöchernen Führung der Peronealsehnen.
Abbildung 10

Sämtliche operative Therapien zielen auf eine Wiederherstellung der geschädigten Struktur. Findet sich eine physiologisch ausgebildete Gleitrinne mit traumatisch rupturiertem Retinakulum, so stellt die anatomische Rekonstruktion des Retinakulums die adäquate operative Maßnahme dar. Ist gleichzeitig die Gleitrinne sehr flach aufgeprägt mit hoher Reluxationstendenz der Sehne intraoperativ, so hat sich eine gleichzeitige Vertiefung der knöcheren Gleitrinne bewährt (siehe OP Technik „Operative Therapie der Peronealsehnenluxation und Peronealsehneninstabilität“) 313233.

Folgende Techniken stehen zur Verfügung:

  • Anatomische Rekonstruktion des Retinakulums, ggf. mit Augmentation z.B. durch die Plantaris longus Sehne
  • Vertiefung der Gleitrinne
    • Verschiebung einer Knochenschuppe (Viernstein Kelly)
    • Vertiefung der fibularen Rinne (Ausfräsen, Impaktieren)

In der Literatur beschriebene Techniken wie die Augmentation des Retinakulums durch eine Achillessehnenplastik, die Peronaeus brevis Plastik, sowie die Umleitung der Sehnen unter Verwendung des Lig. calcaneofibulare in verschiedenen Variationen haben keine größere Verbreitung gefunden.

Rupturen

Tief ansetzender Muskelbauch im Verlauf der Peroneus brevis Sehne mit Split der Sehne
Abbildung 12

Bei Rupturen der Peronealsehnen ist meist die Peroneus brevis Sehne betroffen. Sie liegt der Fibula flächig auf. Die Oberfläche der Peronaeus brevis Sehne wiederum bietet die Auflagefläche der Peronaeus longus Sehne (Abb. 11) 3435.
Häufig ist ein akutes Ereignis verantwortlich für einen Längsriss der Sehne, der dann nicht zur Ausheilung kommt und bei fortgesetzter Überlastung bis zur vollständigen Sehnenruptur führen kann. Möglich ist aber auch ein Zusammenspiel von Überlastung und degenerativem Vorschaden der Sehne.

Ursachen für eine erhöhte Belastung der Peronealsehnen 353637:

  • Akut:
    • Distorsionstrauma
    • Sprunggelenkfraktur
  • Chronisch
    • Rückfussvarus
    • Laterale Instabilität des Sprunggelenks
    • Tief ansetzender Muskelbauch
    • Lipome
    • rezidivierende Synovitiden
    • Peroneus quartus Syndrom
    • rezidivierende Subluxationen
    • knöcherne Prominenzen
    • posttraumatische Zustände
MRT mit KM bei Split der Peronaeus brevis Sehne in Höhe der Fibulaspitze
Abbildung 13

Klassischerweise beginnt eine Peronealsehnenruptur mit einem Distorsionstrauma. Bei dieser Verletzung kommt es zunächst zu einer Längsruptur (Peroneus-Split) der Peronaeus brevis Sehne in Höhe der Fibulaspitze. Bestehen nun Risikofaktoren wie eine persistierende Instabilität des Sprunggelenks oder ein bis zu diesem Zeitpunkt asymptomatischer Rückfußvarus, kommt bei jeder weiteren Distorsion zu einer Zunahme des Sehnenschadens bis hin zur vollständigen Kontinuitätsunterbrechung 38. Für das Peronaeus Split Syndrom gibt es kein klassisches Leitsymptom. Wichtig ist bei anhaltenden Beschwerden nach einem Distorsionstrauma an diese Differentialdiagnose zu denken und ein MRT mit Kontrastmittel zu veranlassen 39.

Ruptur der Peronaeus longus Sehne mit proximalisiertem Sehnenstumpf im MRT
Abbildung 14

Die akute vollständige Ruptur betrifft in der Mehrzahl der Fälle die Peronaeus longus Sehne, typischerweise in Höhe des Kuboid-Tunnels 40. Die Patienten berichten über ein geräuschvolles Reißen der Sehne mit anschließenden Schmerzen am lateralen Fußrand. Klinisch besteht eine Schwellung und Druckschmerzhaftigkeit im Sehnenverlauf. Die Plantarflexion und die Eversion des Fußes gegen Widerstand ist schmerzhaft 41. Bei einer kompletten Ruptur der Peronaeus longus Sehne kann es zu einem Ausriss des Os peronaeum kommen, dieses kann bis in Höhe des Außenknöchels dislozieren. Zur Beurteilung der Sehne ist das MRT mit Kontrastmittel das Verfahren der ersten Wahl.

Naht eines Längsrisses der Peronaeus brevis Sehne
Abbildung 15

Wird ein Peronealsehnen Split als akute Verletzung diagnostiziert, ist eine sechswöchige Ruhigstellung im Unterschenkelwalker als primäre konservative Therapiemaßnahme indiziert. Typischerweise ist ein Längsriss der Peronealsehne aber eine primär nicht erkannte Begleitverletzungen einer funktionell behandelten Sprunggelenkdistorsion. Entsprechend selten stellt sich die Frage nach einer Akutbehandlung.
Wird ein Peronealsehnen Split Wochen bis Monate nach der Distorsionsverletzung diagnostiziert, reichen konservative Therapiemaßnahmen in der Regel nicht aus, die Beschwerden dauerhaft zu behandeln. Eine symptomatische Behandlung der Beschwerden kann mit einer Einlage mit Außenranderhöhung versucht werden, bzw. mit einer das Sprunggelenk stabilisierenden Bandage 42. Meist kommt es hierdurch aber nicht mehr zu einer Heilung, da die für eine Sehnenheilung notwendigen biochemischen Prozesse bereits lange abgeschlossen sind. In wie weit das aktuell diskutierte Platelet Rich Plasma (PRP) hier neue Therapiemöglichkeiten eröffnet, ist noch unklar 43. Bei therapieresistenten Beschwerden durch einen Sehnensplit, als auch bei kompletter Sehnenruptur sollte daher die OP Indikation frühzeitig gestellt werden.
Die chirurgische Therapie eines Längssplits der Peronealsehne besteht aus einem Debridement und der Naht des Risses mit einem monofilen Faden 44.

Bei einer Ruptur mit Schädigung von mehr als 50% der Peronaeus brevis Sehne kann diese durch eine Augmentation durch die Peronaeus longus Sehne rekonstruiert werden 45. Bei dieser Technik wird die Peronaeus longus Sehne in Höhe des Kuboidtunnels abgesetzt. Sollte ein Os peronaeum vorhanden sein, wird dieses reseziert. Der distale Stumpf der Peronaeus longus Sehne kann mit einem Anker am Os cuboideum fixiert werden, wobei aus unserer Erfahrung die narbige Heilung im Rahmen der postoperativen Ruhigstellung eine ausreichende Stabilisierung bietet und auf den Anker verzichtet werden kann. Eine weiteres Verfahren ist die Transposition des Flexor digitorum longus auf den Peronaeus brevis 46. Diese Option stellt dann einen Ausweg dar, wenn beide Sehnen hochgradig geschädigt sind. Eine weitere Möglichkeit stellt die Augmentation der Peronaeus brevis Sehnen durch eine freies Sehnentransplantat dar (z.B. Grazilis-Sehne 47).

Tendinose der Peronaeus longus Sehne plantar.
Abbildung 18

Im Gegensatz zur Peroneaus brevis Sehne werden isolierte Rupturen der Peronaeus longus Sehne vom Patienten besser toleriert. Immer wieder zeigt sich eine komplette, narbig ausgeheilte Peroneaus longus Ruptur bei der Versorgung einer chronischen Außenbandinstabilität. Auch scheint die hälftige Entnahme der Peronaeus longus Sehne als freies Transplantat keine dauerhaften negativen Effekte auf die Fußbiomechanik zu haben 48. Insofern ist ein primär konservatives Vorgehen bei einer kompletten Ruptur der Peronaeus longus Sehne gut zu vertreten. Eine OP Indikation ergibt sich vor allem durch ein disloziertes Os peronaeum mit mechanischer Irritation der umliegenden Strukturen. Hier bietet sich eine Seit zu Seit Naht der Peronaeus longus Sehne auf die Peronaeus brevis Sehne an, unter Resektion des Os peronaeum. Ziel dieser Maßnahme ist es, die Kraft des Peronaeus longus als Fußaußenrandheber zu erhalten.
Rupturen distal des Kubiodtunnels sind einer anatomischen Rekonstruktion kaum zugänglich. Im MRT finden sich meist degenerative Veränderungen Peronaeus longus Sehne unter der Fußsohle mit Partialruptur 49. Die wenigen beobachteten Fälle konnten sämtlich durch eine symptomatische Behandlung zur Ausheilung gebracht werden. Rupturen im Bereich des Tubekulum peroneale können bei entsprechenden Beschwerden mit direkter Naht ggf. durch eine freies Sehnentransplantat versorgt werden.

Impingementsyndrome

Der Canalis peronealis hat mehrere Prädelektionsstellen für Engpasssyndrome. Dies sind zunächst die Insterionsstellen der Retinakula. Weiter distal verzweigt sich der proximal mit einer gemeinsamen Sehnenscheide verlaufende Canalis peronealis in zwei separate Kanäle. Die dorsal liegende Peroneaus brevis Sehne zieht distal der Tuberkulum peronealis in einem eigenen Kanal zur Basis des Metatarsale V während die Peronaeus longus Sehne nach plantar zum Cubiodtunnel verläuft. Eine prominente Christa peronealis 50 kann hier einen chronischen Reizzustand der Sehnen ebenso begünstigen (Abb. 19) wie Einengungen des Sehnenverlaufes im Bereich der Retinacula (Abb. 20 und Abb. 21), z.B. durch das Peroneus Quartus Syndrom oder tief ansetzende Muskelbäuche. Oft entwickeln sich die Engpasssyndrome erst im Laufe der Jahre, z.B. bei einer sich degenerativ verdickenden Sehne oder nach narbig verheilten Mikrotraumen.

Offene Abtragung einer hypertrophen Christa peronealis.
Abbildung 22

Prinzipiell stellt die Synovektomie und die Resektion von erkranktem Gewebe die Basis des operativen Vorgehens dar. Störende knöcherne Strukturen werden ebenfalls abgetragen, z.B. eine hypertrophe Christa peronealis 5051 (Abb. 22). Um nach Knochenresektionen die Gleitfähigkeit der Sehnen in ihrem Verlauf zu gewährleisten, ist eine Interposition von Weichteilen, ggf. von Anteilen des Retinaculums zu empfehlen 52. Der Eingriff kann in offener Technik, aber auch endoskopisch durchgeführt werden 53. Ist eine Inzision oder Resektion des Peritendineums notwendig, sollte hinterher keine Naht dieser Strukturen erfolgen, um einer erneuten Stenosierung vorzubeugen 54.

Peronealsehnenspasmus

Der Begriff Peronealsehnenspasmus ist irreführend. Beim Peronealsehnenspassmus handelt sich meist um eine Verkürzung der Peronealsehnen aufgrund einer Pathologie des Subtalargelenks 5556. Ursächlich hierfür können sein eine Coalitio talocalcanear oder calcaneonavicular. Auf der Basis der subtalaren Bewegungsstörung in Verbindung mit einem Rückfussvalgus kommt es zu einer Verkürzung der Peronealmuskulatur, oft auch in Verbindung mit einer Verkürzung der Achillessehne.
Selten entsteht der Spasmus allerdings auch als tatsächliche Verkrampfung bei schmerzhafter Arthritis des Subtalargelenks 57. Reflektorisch versucht der Patient über ein Anspannen der Peronealsehnen eine maximale Entlastung und damit eine Schmerzreduktion im Subtalargelenk zu erzielen.
Bei einseitigem, rigiden Plattfuß in Kombination mit angespannten Peronealsehnen, sollte immer der Verdacht auf eine subtalare Coalitio bestehen 575859.

Röntgenbild (Fuß schräg) des Patienten aus Abb. 23 bis 26. Es zeigt sich eine Knochenbrücke zwischen Os naviculare und Calcaneus (Coalitio calcaneonavicularis).
Abbildung 27

Die Befunde aus Abb. 18 bis 21 deuten alle auf eine subtalare Coalitio hin die hier einen Spasmus der Peronealsehnen verursacht. Eine knöcherne Coalitio calcaneonaviculare läßt sich radiologisch meist auf der belasteten Schrägaufnahme des Fußes darstellen.

Aktivierte Coalitio der medialen Facette des Subtalargelenks im MRT.
Abbildung 28

Die häufigeren Coalitiones der medialen Facette des Subtalargelenks können auf der a.p. Aufnahme des Sprunggelenks erkennbar sein. Ein indirekter Hinweis ist das C-Zeichen in der seitlichen Aufnahme 60. Zusätzliche Projektionen wie der Harris- View haben durch das CT ihre Bedeutung verloren 6162. Das CT ist heute das Standardverfahren zum Nachweis knöcherner Coalitiones.
Das MRT findet Anwendung, um fibröse Coalitiones nachzuweisen, bzw. um nicht eindeutige knöcherne Befunde zu kontrollieren 6364. Dies gilt insbesondere auch für weitere Pathologien des Subtalargelenks, welche einen reaktiven Peronealsehnenspasmus auslösen können.

Die Therapie des Peronealsehnenspasmus richtet sich nach der Ursache der Beschwerden. Besteht auch in Narkose eine Verkürzung der Peronealsehnen, so sollte gleichzeitig eine Verlängerung der betroffenen Sehnen durchgeführt werden. Hierbei können die üblichen OP Techniken zur Sehnenverlängerung, z.B. Z-Plastiken verwendet werden. Wie bei allen Sehnenverlängerungen ist darauf zu achten, dass iatrogen keine Insuffizienz resultiert.

Isolierte Tendosynovialitis der Peronealsehnen

Tendosynovialitis der Peronealsehnen
Abbildung 29

Die Tenosynovialitis der Peronealsehnen ist in den seltensten Fällen als isolierte Erkrankung zu sehen, sondern meist ein Symptom einer mechanischen Pathologie oder einer entzündlichen Gelenkerkrankung.

Eine Knochenschuppe nach Fraktur kann zu einer chronischen Schädigung der Peronealsehnen führen.
Abbildung 30

Häufig schildert der Patient als Auslöser eine akute oder chronische Fehlbelastung. Hierbei nimmt die reflektorische Schonhaltung bei Schmerzen in anderen Bereichen des Fußes, bevorzugt medial, den größten Stellenwert ein. Im chirurgischen Alltag ist nach operativer Behandlung der medialen Säule im Verlauf der Rekonvaleszenz diese Problematik häufiger zu beobachten. Eine iatrogen bedingte Synovitis bis hin zur Partialruptur der Sehne wird auch immer wieder nach operativ versorgter Calcaneusfraktur oder bei Irritation durch das Osteosynthesematerial nach Fibulafrakturen beobachtet 65.
Weitere Risikofaktoren für eine chronische Überlastung der Peronealsehnen sind der Rückfußvarus oder eine laterale Instabilität des Sprunggelenks.

Die Patienten klagen über uncharakteristische Schmerzen des posterolateralen Rückfußes. Nach Schonung sind diese Beschwerden vor allem bei mechanischer Ursache rückläufig.
Bei der klinischen Untersuchung sollte der Verlauf der kompletten Sehnen palpiert werden, da über direkten Druck meist ein Schmerz provoziert werden kann. Synovitiden finden sich bevorzugt im Bereich der Retinacula, können aber auch durchaus proximal oder distal davon bestehen. Im Rahmen der funktionellen Untersuchung kann bei passiver Anspannung der Sehnen durch Supination oder bei aktiver Anspannung (Pronation) gegen Widerstand eine entsprechende Symptomatik ausgelöst werden.
Eine rezidivierende Tenosynovialitis der Peronealsehnen sollte immer Anlass zu weiteren diagnostischen Maßnahmen sein. Oft liefert die Anamnese (Distorsionen, akute Überlastungen, Zustand nach Fraktur, Rheuma) schon erste Hinweise 176612.

MERKE: Aufgrund der vielfältigen Ursachen gibt es kein eindeutiges Leitsymptom!

Die Therapie der Tendinitis richtet sich nach der Ursache. Wenn immer möglich, sollte eine mechanische Ursache beseitigt werden. Eine konservative Behandlung mit Physiotherapie und ggf. temporärer Entlastung bzw. Ruhigstellung in Cast, Orthesen oder Walker hat sich ebenfalls bewährt 42. Auch durch eine Außenranderhöhung von ca. 4 mm nach distal auslaufend kann eine Entlastung der Peronealsehnen erreicht werden. Bei gleichzeitiger Instabilität des Sprunggelenks ist ein propriozeptives Stabilisationstraining sinnvoll.
Umstritten ist die Injektion von Cortison ins Sehnengleitgewebe, da es hier zu einer zusätzlichen Schädigung der Sehnen bis zur Ruptur kommen kann 67. Wird eine Steriodinjektion durchgeführt wird eine Ruhigstellung im Cast von bis zu 6 Wochen empfohlen 68.
Ein neuer Ansatz ist die Infiltration des Peronealsehnengleitlagers mit Platelet Rich Plasma (PRP) oder Hyaluronsäure. Auch wenn die vorhandenen Publikationen noch überwiegend aus der Grundlagenforschung und Veterinärmedizin kommen, besteht Hoffnung mit diesem Verfahren die Sehnenregeneration direkt zu stimulieren 69.

Loading…
Loading the web debug toolbar…
Attempt #