Zusammenfassung

Die Planovalgus-Deformität des Erwachsenen ist zumeist Folge degenerativer Veränderungen der Tibialis posterior Sehne bis hin zur Ruptur der Sehne. Diese Sehne kann als dynamischer Stabilisator des medialen Fuβlängsgewölbes, welches mit zunehmender Sehnen-Inkompetenz kollabiert, interpretiert werden. Zu Beginn der Erkrankung ist die Tenosynovitis beschwerdeführend, während die eigentlich Deformität erst mit der Elongation und später mit der Ruptur der Tibialis posterior Sehne eintritt. Im Zuge der Erkrankung werden auch statische Stabilisatoren wie das Ligamentum calcaneonaviculare („Spring ligament“) und das Ligamentum deltoideum in Mitleidenschaft gezogen. Die Tibialis posterior Sehneninsuffizienz wird in vier Stadien unterteilt, wobei sich eine sowohl für die konservative, als auch operative Therapie entscheidende Veränderung zwischen Stadium 2 und 3 vollzieht: die flexible Deformität geht in eine fixierte Deformität über.
Bei der klinischen Untersuchung werden die drei wesentlichen Komponenten der Erkrankung, der Rückfuβ valgus, das abgeflachte mediale Längsgewölbe und der Vorfuβ abductus, ab dem Stadium 2 offensichtlich. Weitere typische Merkmale der Untersuchung sind der nur bedingt mögliche Zehenstand mit fehlender Ferseninversion, das „too many toes“ Zeichen als Ausdruck des Vorfuβ abductus und die Schmerzen am Auβenknöchel infolge des fibulocalcanearen Impingements.
Zusammen mit einer akkuraten klinischen Untersuchung ist die konventionelle Röntgendiagnostik in der Regel für die Diagnose und Therapieplanung ausreichend. Die Röntgendiagnostik umfasst dabei stehende Bilder des Fußes dorsoplantar (dp) und seitlich sowie des OSG anteroposterior (ap). Der Schweregrad und der Verlauf der Erkrankung wird mit der Messung aussagekräftiger Winkel auf den Röntgenbildern dokumentiert. MRT und Ultraschall sind in der Beurteilung der Tenosynovitis, Sehnendegeneration und -ruptur ebenbürtig und v.a. im Stadium I und IIa wertvoll.
Die konservative Behandlung der Planovalgus Deformität im Erwachsenenalter besteht vordergründig in der Stützung des medialen Längsgewölbes mit individuell angefertigten, korrigierenden Einlagen oder Orthesen, solange die Deformität flexibel bleibt. Bei der fixierten Deformität werden korrigierende Einlagen nur selten toleriert; weichbettende Komforteinlagen sind hier vorteilhaft. Die operative Behandlung reicht vom einfachen Sehnendébridement (Stadium I), dynamisch-statischer Korrektur mit Sehnendébridement und –augmentation sowie korrigierenden Kalkaneus- und Mittelfuβosteotomien (Stadium II und III) bis hin zur korrigierenden Double- / Triple-, tibiotalocalcanearen oder pantalaren Arthrodese (Stadium III und IV).

Grundlagen

Epidemiologie

In der Literatur ist ein durchschnittliches Alter von 60 Jahren für den Beginn der mit der Ruptur der Tibialis posterior Sehne assoziierten Symptome angegeben, wobei die Patienten im Alter von durchschnittlich 64 Jahren den Arzt aufsuchten 1. Zwei Drittel bis 80 % der Patienten sind weiblich.

Ätiologie

Degeneration - Rheumatoide Arthritis - Differentialdiagnose

Als häufigste Ursache der Planovalgus-Deformität des Erwachsenen ist die Degeneration und Ruptur der Tibialis posterior Sehne anerkannt. Diese Sehne verläuft unmittelbar posterior des medialen Malleolus und umkurvt diesen in einem recht scharfen Winkel. In dem eher flachen osteofibrösen Kanal am medialen Malleolus ist die Sehne durch das Flexorenretinakulum fest geführt. Da die Sehne die OSG-Achse posterior und die USG-Achse medial passiert, bewirkt ihr Zug eine Plantarflexion und Inversion. Die Länge schwankt zwischen 66 und 71 mm, ihre Exkursionen belaufen sich auf lediglich ca. 20 mm.

Degeneration
Die Degeneration ist multifaktoriell und umfasst initial die Tenosynovitis, gefolgt von Elongation und Partialruptur bis hin zur vollständigen Ruptur.
Eine überwiegend anerkannte Theorie zur Ätiologie besagt, daβ repetitive Mikrotraumata zunächst eine inflammatorische Antwort initiieren (Tenosynovitis), die infolge unzureichender Durchblutung der Sehne, prädisponierender Statik oder kontinuierlicher Traumatisierung nicht ausheilen und letztlich über Jahre hinweg zur degenerativen Ruptur der Sehne führen können 2. Histologische Untersuchungen rupturierter Sehnen haben myxoide Degenerationen mit chondroider Metaplasie, hohem Muzingehalt und hoher Fibroblastenanzahl des Sehnengewebes gezeigt 345. Die durch Veränderungen der Kollagenstruktur mit dem Alter abnehmende Sehnenelastizität und die Zone relativer Hypo- oder sogar Avaskularität am oder unmittelbar distal des medialen Malleolus, an dem die Sehne abrupt umgelenkt wird, tragen zusätzlich zur degenerativen Ätiologie der Ruptur bei 6. Die hypo- bis avaskuläre Zone der Sehne erstreckt sich von 40 mm ab Insertion 14 mm im Mittel nach proximal und reicht somit etwa an den medialen Malleolus 78. Die meisten Rupturen der Tibialis posterior Sehne sind in dieser Zone lokalisiert. Die ohnehin prekäre lokale Sehnendurchblutung kann durch Steroide (systemisch oder lokal verabreicht) und diabetische Angiopathie weiter kompromittiert werden 8.
Eine prädisponierende kongenitale Planovalgus Deformität ist aufgrund vermehrter Belastung der Tibialis posterior Sehne, die als dynamischer Stabilisator des medialen Längsgewölbes fungiert, mit einer erhöhten Rupturrate gegenüber normal alignierten Füssen assoziiert 910.

Rheumatoide Arthritis
Eine Kombination von seronegativen rheumatischen Erkrankungen (z.B. Psoriasis) und dem Auftreten der Tibialis posterior Ruptur wurde bei jüngeren, meist weiblichen Patienten berichtet 1. Obwohl die seropositive rheumatoide Arthritis sicher durch inflammatorische Destruktion der subtalaren und talonavicularen Kapselbandstrukturen zur Planovalgus Deformität beiträgt, konnte sie bislang nicht als Ursache für die Sehnenruptur per se identifiziert werden 1112. Die Überlastung der Sehne infolge der zunehmenden ligamentären Destabilisierung führt daher zur degenerativen aber nicht zur inflammatorischen Ruptur bei Patienten mit rheumatoider Arthritis.

Differentialdiagnose

Wichtige Differentialdiagnosen des Pes planovalgus im Erwachsenenalter sind

  • Posttraumatisch
  • Koalitio
  • Os tibiale externum

Die seltene, traumatisch-bedingte Ruptur kann Folge einer direkten Verletzung der Sehne durch eine Fraktur des medialen Malleolus 13 oder Folge einer indirekten Verletzung bei Malleolarfrakturen mit Pronation-External Rotation Mechanismus nach Lauge-Hansen auch ohne Fraktur des medialen Malleolus sein 14.
Ein Os tibiale externum (akzessorisches Os naviculare) kann ebenfalls mit einer Planovalgus Deformität aufgrund einer Tibialis posterior Sehnendegeneration oder –ruptur vergesellschaftet sein 15.
Die meisten Patienten mit einer Koalitio werden bereits in der Jugend symptomatisch, aber auch im jungen Erwachsenenalter findet sich gelegentlich eine talocalcaneare oder calcaneonaviculare zu etwa gleichen Anteilen und sehr selten eine talonaviculare Koalitio als Ursache einer Planovalgus Deformität. Die Beschwerden der zuvor asymptomatischen Koalition werden zumeist durch ein Trauma, z.B. Rückfuss-Supinationstrauma, ausgelöst.

Biomechanik

Die Tibialis posterior Sehne stabilisiert den Rückfuss gegen Eversion und Valgisierung. Während des Gangzyklus ist es ihre Aufgabe, vor der Abstoβphase die Chopart-Gelenkreihe zu adduzieren und somit eine Inversion im USG zu initiieren 7. Einerseits kann durch die so verriegelte Chopart-Gelenkreihe der Gastrocnemius-Soleus-Komplex seine Plantarflexionkraft optimieren; andererseits wird der Zug der Achillessehne medialisiert, so daβ der Gastrocnemius-Soleus-Komplex einen verbesserten Hebelarm für die USG-Inversion erhält. Rück- und Mittelfuβ fungieren somit als rigider Hebel in der Abstoßphase des Gangzyklus.

Die Tibialis posterior Sehne gilt auch als dynamischer Stabilisator des medialen Fuβlängswölbes und wird durch statische Stabilisatoren wie das Ligamentum calcaneonaviculare (Spring-Ligament), Ligamentum bifurcatum oder die Plantaraponeurose unterstützt.
Kadaverexperimente konnten zeigen, daβ das mediale Längsgewölbes bei einer akuten Ruptur der Tibialis posterior Sehne nicht unmittelbar kollabiert, sondern zumindest vorübergehend durch die statischen Stabilisatoren aufrecht erhalten werden kann 16. Erst die kontinuierliche Schwächung der plantaren Bänder (Ligamenti calcaneonaviculare und bifurcatum) macht den Kollaps allmählich unvermeidlich. Der mit der Ruptur der Tibialis posterior Sehne veränderte (lateralisierte) Zug des Gastrocnemius-Soleus-Komplex akzentuiert den vorbestehenden Rückfuβ valgus und die Rückfuβ Eversion. Die Chopart-Gelenkreihe kann nicht mehr korrekt verriegeln und ist somit vermehrt einem Dorsalflexions-Moment des Mittelfußes während der Abstoβphase des Gangzyklus ausgesetzt. Die Ausbildung der Planovalgus Deformität geht einher mit einer Talus Plantarflexion, einer Rückfuß Eversion durch eine Innenrotation des Kalkaneus und Eversion von Os naviculare und cuboideum und einem Vorfuβ abductus 16. Gleichzeitig kommt es, wie gut auf den seitlichen Röntgenbilder zu erkennen (Cima-Linie), zu einer anterioren Translation des Talus auf dem Kalkaneus.
Erst der fortgeschrittene Pes planovalgus führt zur Instabilität des zwar kräftigen, aber nun stetig überlasteten Ligamentum deltoideum, im Endstadium begleitet von einer lateral betonten Valgus-Arthrose des OSG. Ebenfalls im fortgeschrittenen Stadium führt der zunehmende Rückfuβ valgus zu einem fibulocalcanearen Impingement und die Verkürzung des Gastrocnemius-Soleus-Komplex zu einem Pes equinus (Spitzfuß).

Symptomatik

Es sind überwiegend Frauen über 60 Jahren mit Übergewicht von der Planovalgus Deformität betroffen. Bei jüngeren Erwachsenen mit ähnlichen Beschwerden sollte eine Koalitio klinisch (eingeschränkte USG-Inversion bis fehlende USG- oder Chopart-Beweglichkeit) und radiologisch ausgeschlossen werden.

Beschwerden

Patienten mit Pes planovalgus berichten zu Beginn der Erkrankung häufig über belastungsabhängige, brennende Schmerzen begleitet von einer Schwellung am medialen Malleolus, die auf eine Tenosynovitis der Tibialis posterior Sehne hinweisen. In der Vorgeschichte findet man anamnestisch auch schon in der Jugend gelegentlich konservative Behandlungen mit Einlagen, Physiotherapie oder kortisonhaltigen Injektionen. Von einer zunehmenden Deformierung ihrer Füße zusätzlich zu den oben beschriebenen Beschwerden berichten die Patienten mit Erkrankung im mittleren Stadium. Mit der Ruptur der Sehne lassen die charakteristischen brennenden Schmerzen am medialen Malleolus häufig nach und weiter plantar-medial lokalisierte Schmerzen infolge Überlastung der statischen Stabilisatoren (Ligamente) und infolge Kontakt des allmählich in das kollabierte mediale Längsgewölbe gleitenden Taluskopfes mit dem Untergrund sind vorherrschend. Belastungsabhängige Schmerzen am oder knapp unterhalb des lateralen Malleolus lassen auf ein fibulocalcaneares Impingement schlieβen. Korrigierende, medial stützende Einlagen werden als unangenehm empfunden und häufig auch nicht mehr toleriert, sobald die Planovalgus Deformität fixiert ist. Im Endstadium des Pes planovalgus können typische lateral betonte OSG-Arthrosebeschwerden hinzutreten.

Klinische Untersuchung

Pathologische Statik und Dynamik des Plattfußes - Auswirkungen auf den Rückfuß, Mittel- und Vorfuß - Klinik der Tibialis posterior Sehne - Verkürzung des Triceps surae

Pathologische Statik unter Belastung
Die klinische Untersuchung beginnt am stehenden und wenigstens bis zu den Knien entkleideten Patienten. Da Patienten mit Pes planovalgus zu einer Auβenrotation der betroffenen Extremität neigen, sollte dabei auf eine symmetrische Rotation beider Beine geachtet werden (Ausrichtung der Patella). Je nach Stadium der Erkrankung (Tab.1) 1718 präsentiert sich das Erscheinungsbild vom anatomischen oder symmetrischen Alignement bis zur offensichtlichen Planovalgus Deformität.

Tabelle 1: Stadieneinteilung der Tibialis posterior Sehneninsuffizienz 1718
Stadium I Stadium IIa Stadium IIb Stadium III Stadium IV
Sehne Tenosynovitis Elongation Ruptur Ruptur Ruptur
Rückfuss mobil, normal Elongation partiell fixiert, valgus fixiert, valgus fixiert, valgus tilt des Talus
Mittelfuss mobil, normal geringer Kollaps deutlicher Kollaps kompletter Kollaps kompletter Kollaps
Schmerz medial, fokal medial, entlang Sehne medial, Sinus tarsi, lateral medial, Sinus tarsi, lateral medial, Sinus tarsi, lateral
Zehenstand keine Schwäche geringe Schwäche deutliche Schwäche medial, Sinus tarsi, lateral unmöglich
„too many toes“ normal gering positiv positiv positiv positiv

Von hinten betrachtet ist beim stehenden Patienten im Vergleich zur Gegenseite ab dem Stadium IIa eine Schwellung des medialen Malleolus ersichtlich (Abb. 1). Neben dem kollabierten medialen Längsgewölbe treten in den fortgeschrittenen Stadien ein Vorfuβ abductus, ein Rückfuß valgus und ein fibulocalcaneares Impingement hinzu (Abb. 2). Als Ausdruck des Vorfuβ abductus sind die dritte oder sogar die zweite Zehe lateral der Ferse zu sehen („too many toes“ Zeichen, Abb. 3). Das Ausmaβ des Rückfuβ valgus kann entweder mit dem Goniometer oder mit aufgemalten vertikalen Strichen auf der Achillessehne und der Achse des Tuber calcanei bestimmt werden. Die Haut am lateralen Rückfuβ ist gelegentlich gefältet.

Rückansicht eines linken Pes planovalgus Stadium III beim Versuch des beidseitigen Zehenstands (selbe Patientin wie in Abb. 2). Während bei intakter Tibialis posterior Sehne rechts die Ferse physiologisch invertiert, bleibt sie auf der erkrankten
Abbildung 4

Eingeschränkter Zehenstand – pathologische Dynamik
Mit der Ruptur der Tibialis posterior Sehne ist der zweibeinige Zehenstand nur schwer ausführbar und der einbeinige Zehenstand nahezu unmöglich. Die Tibialis posterior Sehne ist nicht mehr in der Lage, im USG zu invertieren, die Chopart-Gelenkreihe zu verriegeln und somit den Zehenstand über die Aktivierung des Gastrocnemius-Soleus Komplex zu ermöglichen. Durch Ausweichbewegungen (Verlagern des Schwerpunktes nach vorne, Knieflexion) ist gelegentlich eine Art zweibeiniger Zehenstand möglich aber die physiologische, symmetrische Inversion im USG im Zehenstand (Varisierung des Tuber calcanei) bleibt aus (Abb. 4).

Rückfuβ
Am sitzenden Patienten wird zunächst die passive OSG-, USG- und Chopart-Beweglichkeit untersucht. Anterolateraler Druckschmerz und eine eingeschränkte Funktion des OSG treten erst im Endstadium der Erkrankung als Folge der lateral betonten OSG-Arthrose auf. Eine komplett fehlende USG- oder Chopart-Beweglichkeit weist auf eine Koalitio oder ein spätes Stadium III oder IV der Erkrankung hin. Die USG-Beweglichkeit kann bereits in einem frühen Stadium III v.a. für die USG-Inversion reduziert sein.

Mittel- und Vorfuβ
Beim Prüfen der Rückfuβbeweglichkeit sollte gleichzeitig eine fixierte Vorfuβ varus Deformität evaluiert werden. Dazu wird der Rückfuβ in der neutralen USG-Position gehalten und die Ebene der Metatarsaleköpfchen im Verhältnis zur Rückβachse bestimmt. Bei einem fixierten Vorfuβ varus ist die Fuβauβenseite dann mehr plantarflektiert als die –innenseite, und eine den medialen Vorfuβ plantarflektierende Osteotomie (z.B. Cotton-Osteotomie) sollte prä- und intraoperativ in Betracht gezogen werden.
Das Tarsometatarsalgelenk I (TMT I) wird untersucht, indem das Os metatarsale I und das Os cuneiforme mediale fest gehalten und gegeneinander bewegt werden. Häufig lässt sich dabei eine ausgeprägte sagittale Gelenk-Instabilität und im fortgeschrittenen Stadium über eine Verwringung der Gelenke auch eine schmerzhafte Arthrose im medialen Anteil der Lisfranc-Gelenkreihe feststellen.

Tibialis posterior Sehne
Der bei Tenosynovitis der Tibialis posterior Sehne entzündlich geschwollene mediale Malleolus und die subfibulare Region bei fibulocalcanearem Impingement sind in der Regel druckdolent. Zur Untersuchung der Sehnenfunktion wird der Rückfuβ plantarflektiert und evertiert, um den Einfluβ der Tibialis anterior Sehne auszuschalten. In dieser Position wird der Patient aufgefordert, gegen den Widerstand der Untersucherhand zu invertieren. Die Integrität der Sehne kann über der Sehnenscheide am medialen Malleolus palpiert werden. Kraftentwicklung und Schmerzen werden mit der Gegenseite verglichen. Der Seitenvergleich ist dabei wichtig, da bei einer physiologischen Exkursion von nur 1-2 cm schon eine degenerative Verlängerung von 1 cm eine Funktionslosigkeit der Sehne mit schwacher Inversion bei gleichwohl erhaltener Kontinuität bedeuten kann.
Hornhautschwielen am medial-plantaren Taluskopf widerspiegeln einen ausgeprägten Kollaps des medialen Längsgewölbes mit unphysiologischer Belastung des Taluskopfes und Os naviculare.

Verkürzung des Triceps surae
Da sich eine vermehrte Vorfuβbelastung infolge reduzierter OSG-Dorsalflexion auf das postoperative Ergebnis negativ auswirken kann, sollte eine relevante Verkürzung des Musculus gastrocnemius mittels Silverskjöldt-Test evaluiert werden. Die OSG-Dorsalflexion wird dabei mit dem Knie in Extension und Flexion getestet. Bei positivem Silverskjöldt-Test fällt die OSG-Dorsalflexion in Extension infolge Kontraktur des sich bis proximal des Kniegelenks erstreckenden Gastrocnemius deutlich geringer aus. In diesem Fall kann eine Verlängerung der Gastrocnemius-Aponeurose als Bestandteil der operativen Korrektur erwogen werden, wobei bislang keine eindeutige Evidenz zu diesem Operationsschritt vorliegt. Bei negativem Silverskjöldt-Test aber dennoch erheblich reduzierter OSG-Dorsalflexion (Kontraktur des gesamten Musculus triceps surae) kann korrespondierend eine Achillessehnen-Verlängerung in Betracht gezogen werden.

Durchblutung und Sensibilität
Im Hinblick auf Wundheilungsstörungen bei einer operativen Therapie ist bei jedem Patienten der Gefäβstatus und eine mögliche Polyneuropathie zu erheben und zu dokumentieren.

Stadieneinteilung

Die Stadien I bis III der Tibialis posterior Sehneninsuffizienz wurden 1989 von Johnson und Strom 17 eingeteilt. Ein Stadium IV wurde 1996 von Myerson ergänzt 18. Die Tabelle 1 gibt eine Übersicht der Stadieneinteilung (Tab. 1).

Stadium I
Das Stadium I ist gekennzeichnet durch Schmerzen und Schwellung entlang der Tibialis posterior Sehne infolge Tenosynovitis. Die Sehnenfunktion ist unbeeinträchtigt, so daβ der einbeinige Zehenstand korrekt mit Ferseninversion noch durchgeführt werden kann, jedoch insbesondere repetitiv die typischen Schmerzen provoziert. Die Komponenten der Planovalgus-Deformität (abgeflachtes mediales Längsgewölbe, Rückfuβ valgus, Vorfuβ abductus) sind, wenn überhaupt vorhanden, nur gering ausgeprägt.

Stadium II
Im Stadium II ist die Sehne bereits degenerativ verändert und elongiert. Daher ist die Planovalgus-Deformität bereits auch augenscheinlich aber im Gegensatz zum Stadium III noch flexibel; Rückfuβ valgus und Vorfuβ abductus lassen sich noch komplett redressieren. Der einbeinige Zehenstand ist zu Beginn dieses Stadiums (IIa) noch möglich. Ebenso sind im IIa die Beschwerden lediglich medial und das Gewölbe nur wenig kollabiert, während im Stadium IIb das fibulocalcaneare Impingement und ein stärkerer Gewölbekollaps durch die komplette Ruptur der Sehne hinzutreten.

Stadium III
Eine fixierte Planovalgus-Deformität liegt dann im Stadium III vor. Weder lässt sich der Kalkaneus vollständig varisieren, noch ist der Vorfuβ varus von meist ca. 10° redressierbar. Der einbeinige Zehenstand ist nicht mehr durchführbar. Man findet zudem in der Regel ein fibulocalcaneares Impingement und einen verkürzten M. gastrocnemius, während die medialen Beschwerden häufig nachgelassen haben.

Stadium IV
Das Stadium IV tritt nach langjähriger unkorrigierter Planovalgus-Deformität ein, wenn die infolge des Rückfuβ valgus lateral durch das OSG führende Belastungsachse zu einer lateral betonten OSG Arthrose geführt hat. Diese Beschwerden sind vom fibulocalcanearen Impingement zu differenzieren. Im Endstadium zeigt sich zusätzlich ein intraartikulärer Valgus-Tilt des Talus im OSG mit Schwächung oder Ruptur des Ligamentum deltoideum.

Bildgebung

Bei der radiologischen Diagnostik der Planovalgus-Deformität kommt in erster Linie das konventionelle Röntgen zum Einsatz, gefolgt vom MRT, Ultraschall und der CT (Tab. 2). Abgesehen vom Stadium I, in dem ein MRT oder ein Ultraschall zur Diagnostik der Tibialis posterior Tenosynovitis beitragen können, sind die klinische Untersuchung mit der konventionellen Röntgentechnik in der Regel für eine sichere Diagnosestellung ausreichend. Die CT findet v.a. bei der Koalitio ihre Anwendung.

 

Tabelle 2: Bildgebende Diagnostik des Pes planovalgus
Indikation Pathologische Befunde
Konventionelles Röntgen Standard Untersuchung Fuß dp stehend
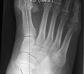
Talo-Metatarsale I Winkel >10°: Vorfuß abductus (Abb. 6a,b)
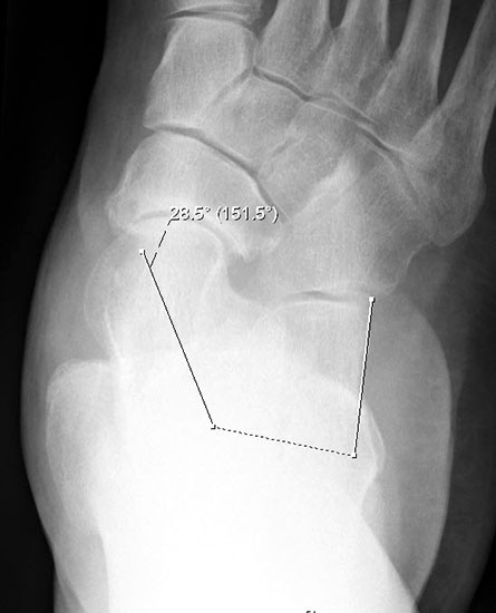
Talocalcaneare Divergenz >12°: Rückfuß valgus (Abb. 6c)
Fuß seitlich stehend
Talo-Metatarsale I Winkel >5°: abgeflachtes Längsgewölbe (Abb. 6d)
Talo-calcanearer Winkel (Abb. 6 e)
„Cuneiforme height“ (Abb. 6f)
Instabilität und Arthrose der Lisfranc-Gelenkreihe
OSG ap stehend
fibulocalcaneares Impingement
laterale OSG Arthrose, Talus Valgus-tilt
Magnet-Resonanz-Tomographie Synovitis, Degeneration und Ruptur Tibialis posterior Sehne
Degeneration Musculus tibialis posterior
Spring Ligament
OSG Arthrose
T1-Wichtung
Sehnenrupturen
fettige Muskeldegeneration
Ruptur Spring Ligament
T2-Wichtung
inhomogenes, graues Signal der Sehne (Ödem der Sehnenmatrix)
Flüssigkeitssaum der Sehnenscheide > 2 mm
Signalalteration des OSG-Knorpels (Inflammation, Überlastung)
Ultraschall Synovitis, Degeneration und Ruptur Tibialis posterior Sehne degenerierte Sehne hypoechogen und umgeben von Flüssigkeit („Target“-Zeichen)
Sehnen-Durchmesser > 6 mm
fehlende = rupturierte Sehne

Konventionelles Röntgen

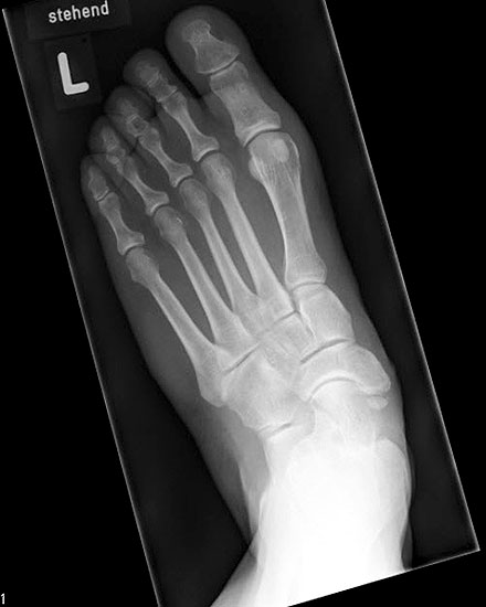
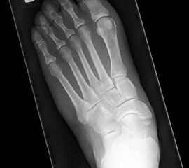
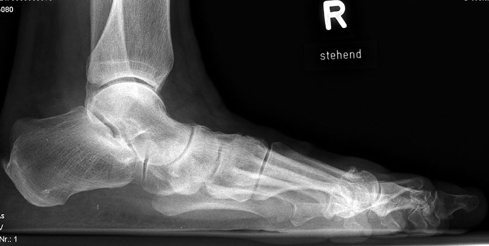
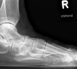
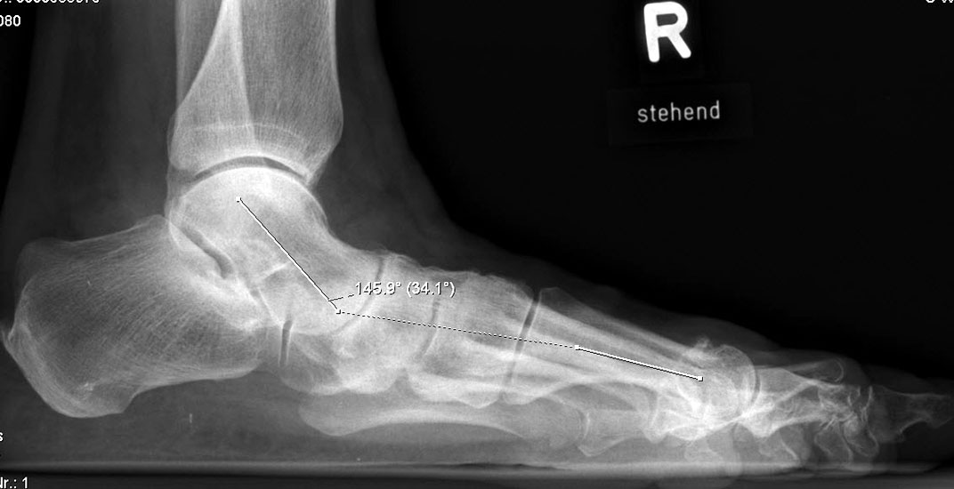
Stehende konventionelle Röntgenbilder eines Fußes mit Planovalgus Deformität Stadium II b dorsoplantar (dp) und seitlich. Auf der dp-Aufnahme zeigt sich die talo-calcaneare Divergenz, der gegenüber dem Kalkaneus nach anterior gleitende Talus und d
Abbildung 5

Stehende Aufnahmen des Fußes dorsoplantar (dp) und seitlich sowie des OSG anteroposterior (ap) sind die Grundlage der konventionellen Röntgendiagnostik (Abb. 5). Ergänzend werden gelegentlich die Rückfuβ-Alignement Aufnahme nach Saltzman 19 und Vergleichsaufnahmen der Gegenseite durchgeführt.

Obwohl per definitionem im Stadium I der Erkrankung noch keine strukturelle Planovalgus Deformität vorliegt, sind die Röntgenaufnahmen gleichwohl nützlich, um z.B. eine Koalitio (z.B. „Talusschnabel – talar beak“ auf dem seitliche Röntgenbild), ein altes Trauma der Lisfranc-Gelenkreihe oder ein Os tibiale externum (akzessorisches Os naviculare) auszuschließen.
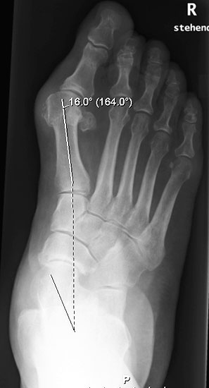
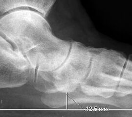
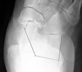
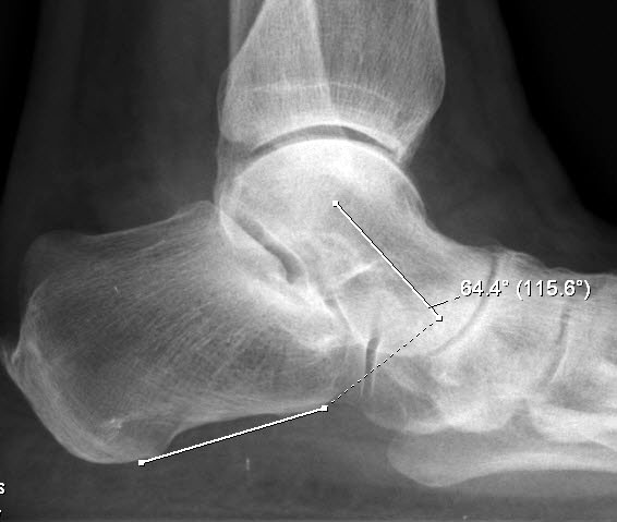
Der Talo-Metatarsale I Winkel bzw. die laterale talonaviculare Subluxation auf der stehenden dorsoplantaren Aufnahme des Fuβes dokumentieren das Ausmaβ des Vorfuβ abductus (Abb. 6 a,b). Ein dp Talo-Metatarsale I Winkel von > 10° (nach medial konvex) ist als pathologisch anzusehen. Mit der Bestimmung der talocalcanearen Divergenz (Abb. 6 c) erhält man ein Eindruck über das Ausmaβ des Rückfuβ valgus; eine leichte Divergenz bis ca. 12° gilt als physiologisch 20.
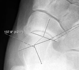
Auf der seitlichen, stehenden Aufnahme des Fußes wird ebenfalls der laterale Talo-Metatarsale I Winkel (Abb. 6 d) gemessen und so das kollabierte mediale Längsgewölbe dokumentiert. Auch hier gilt ein Talo-Metatarsale I Winkel von > 5° (nach plantar konvex) als pathologisch 21. Der Kollaps findet dabei meist im Talonaviculargelenk, seltener in der Naviculocuneiform-Gelenkreihe statt. Instabilität und Arthrose im 1. TMT sollten ausgeschlossen oder bei der Operationsplanung mit einbezogen werden. Weitere wichtige radiologische Messungen zur Beurteilung der Planovalgus-Statik und Progression der Deformität sind der laterale talo-calcaneare Winkel (Abb. 6 e) und der Abstand des Os cuneiforme-Unterrandes zum Untergrund (Abb. 6 f, Cuneiform height, 22. Eine anteriore Translation des Talus auf dem Kalkaneus findet man sowohl auf der ap, als auch auf der seitlichen Aufnahme des Fuβes mit Aufhebung der Cima-Linie.
Die stehende OSG ap -Aufnahme kann zunächst das fibulocalcaneare Impingement und im Endstadium laterale OSG Arthrose oder Valgus-Tilt des Talus zeigen.

Magnet-Resonanz-Tomographie

Rupturierte Tibialis posterior Sehne in den coronaren, protonensensitiven Schichten. Bei diskreten Läsionen erhöht die Gabe von Kontrastmittel die Beurteilbarkeit.
Abbildung 6g

Die Magnet-Resonanz-Tomographie (MRT) eignet sich besonders zur Darstellung der Tenosynovitis und Degeneration der Tibialis posterior Sehne. Hinsichtlich Sensitivität und Spezifität ist das MRT dem CT insbesondere bei Sehnenlängsrupturen überlegen 23. Die normale Sehne erscheint auf dem MRT mit schwarzem, homogenem Signal und ovaler Form, zwei bis dreimal dicker als die Sehne des M. flexor digitorum longus. Ein schmaler Flüssigkeitsaum < 1-2 mm ist physiologisch. Bei der Tenosynovitis ist der Saum deutlich breiter und neben dem Ödem in der Sehnenmatrix am besten auf den T2-Wichtungen zu erkennen. Strukturelle Veränderungen der Sehnenmatrix, wie z.B. Partial- oder Längsrupturen sind besser auf den T1-Wichtungen zu sehen. Nach der Sehnenhypertrophie im Stadium I der Erkrankung kommt es jeweils mit wenig oder keiner Begleitentzündung im Stadium II zur Elongation und Abnahme des Sehnendurchmessers und im Stadium III zur Ruptur, welche im MRT gut ersichtlich sind. Hingegen finden sich mit zunehmender Dauer der Erkrankung Entzündungszeichen infolge fibulocalcanearen Impingements und lateral betonter OSG-Degeneration und Arthrose v.a. auf den T2-Wichtungen.
Weitere begleitende Befunde, die mit der Planovalgus Deformität einhergehen, sind Fibrose im Sinus tarsi, fehlende Ligamenti interosseus und cervicalis und eine fettige Degeneration des Tibialis posterior Muskels. Für die Operationsplanung ebenfalls wichtig ist die MRT Beurteilung des Ligamentum calcaneonaviculare mediale und inferiore (Spring ligament).

Ultraschall

Die Ultraschalluntersuchung findet wegen der geringen Kosten, der schnell erhältlichen und dynamischen Untersuchung und der dem MRT ebenbürtigen hohen Sensitivität und Spezifität heute wieder mehr Anwendung in der Diagnostik der Planovalgus Deformität. Allerdings ist nachteilig gegenüber der MRT die Qualität der Untersuchung stärker von der Erfahrung des Untersuchers abhängig. Die normale Tibialis posterior Sehne ist dabei hyperechogen und 4-6 mm im Durchmesser 24, die degenerierte hypoechogen und umgeben von Flüssigkeit („Target“-Zeichen). Auch die geschwollene, degenerierte Sehne, die Längsruptur oder die fehlende bzw. rupturierte Sehne bleibt dem geübten Untersucher im Ultraschall nicht verborgen. Ob der MRT oder dem Ultraschall Vorzug in der Diagnostik gegeben werden sollte, ist entsprechend der institutionellen Möglichkeiten in jedem Krankenhaus unterschiedlich.

Tipp: Die gute klinische Untersuchung und die konventionelle Röntgendiagnostik liefert in der Regel ausreichend Information für die konservative und operative Behandlung. Das MRT ist insbesondere hilfreich zur Beurteilung von sekundären Schäden, insbesondere degenerativen Veränderungen im Subtalargelenk sowie einem lateralen Impingement. Weiterhin kann es beim Ausschluss von Differentialdiagnosen hilfreich sein.

Therapie

Konservative Therapie

Solange keine zwingenden Gründe gegen eine konservative Behandlung sprechen, ist sie die erste Wahl in der Therapie des Pes planovalgus im Erwachsenenalter. Sie umfasst die vorübergehende Ruhigstellung der Tibialis posterior Sehne, Physiotherapie, schmerz- und entzündungshemmende Medikamente sowie Einlagen und Orthesen (Tab. 3).

Tabelle 3: Stadiengerechte konservative Therapie des Pes planovalgus
Stadium Therapie
Stadium I
(Tenosynovitis)
Akute Phase:
einfache OSG-Orthese (z.B. Aircast)
4-6 wöchige Gips-Immobilisation (stärkere Inflammation)
NSAR
Physikalische antiinflammatorische Therapie

Postakute Phase:
Physiotherapie (nach abgeklungener Inflammation): Kräftigung Tibialis posterior
Anhaltende Beschwerden / Rezidiv
korrigierende Einlage (Stützung mediales Längsgewölbe)
Stadium IIa
(Deformität: flexibel)
korrigierende Einlage (Stützung mediales Längsgewölbe)
NSAR
Physikalische anti-inflammatorische Therapie
Physiotherapie: Kräftigung Tibialis posterior
Stadium IIb
(flexibel)
korrigierende Orthese (Neutralisation Rückfuß valgus und Vorfuß abductus, Stützung mediales Längsgewölbe) oder korrigierende Einlage (Stützung mediales Längsgewölbe)
NSAR
Physikalische anti-inflammatorische Therapie
Physiotherapie: Kräftigung Tibialis posterior
Stadium III
(fixiert)
Komforteinlage
Rückfuß-stabilisierende Orthese
Stadium IV
(fixiert)
Komforteinlage
Rückfuß-stabilisierende Orthese

Stadium I
Einfache OSG-Orthesen (z.B. Aircast) kommen v.a. bei milder Tenosynovitis, also im Stadium I, zum Einsatz. Da sie lediglich die Inversion und damit die Exkursionen der Tibialis posterior Sehne nur partiell limitieren, ist die Anwendung auf die milden Formen beschränkt. Ist die Inflammation stärker ausgeprägt, ist eine 4-6 wöchige Gipsruhigstellung unter Thromboseprophylaxe indiziert 18. Bei der Gipsanlage sollte auf eine ausreichende Unterstützung des medialen Längsgewölbes geachtet werden. Die Belastung kann dabei schmerzadaptiert erfolgen, z.B. Wechsel auf einen Gehgips nach 2 Wochen kompletter Entlastung (Liegegips). Die Sehnenheilung wird offenbar durch eine (Teil-)Belastung gefördert 2. Auf eine Atrophie der Wadenmuskulatur und ein Thromboserisiko trotz Prophylaxe ist hinzuweisen. Unter Berücksichtigung der Risiken und Nebenwirkungen ist eine unterstützende NSAR-Medikation über wenigstens zwei Wochen für einen anhaltenden Effekt empfehlenswert. Da Kortison die Durchblutung der Sehne und damit deren Heilung beeinträchtigt, ist weder die systemische, noch die lokale Applikation sinnvoll 25. Der unterstützende Einsatz antiinflammatorischer physikalischer Therapie wie z.B. Iontophorese und Kryotherapie kann hingegen befürwortet werden.
Sobald die Tenosynovitis mit o.g. Maßnahmen abgeklungen ist, kann Physiotherapie zur Kräftigung des M. tibialis posterior durchgeführt werden. Eine Adduktion des Fußes gegen Widerstand (Thera-Band) ist offenbar am effektivsten 26.
Die orthopädietechnische Therapie ist abhängig vom Stadium der Erkrankung. Ihr Ziel in den flexiblen Stadien I und II ist die passive Korrektur des medialen Längsgewölbes zur Entlastung der Tibialis posterior Sehne und der statischen Stabilisatoren sowie die Korrektur des Rückfuß valgus bzw. der Pronation. Eine korrekt angefertigte, korrigierende Einlage oder Orthese sollte den Rückfuß in die physiologische Position (neutral oder leicht valgisch) überführen können.

Stadium II
Während im flexiblen Stadium IIa die korrigierende Einlage (z.B. rückfuß-fassende Einlage mit hoher medialer Abstützung) in der Regel eine ausreichende Korrektur der Planovalgus Deformität erzielt, ist im Stadium IIb oftmals der Rückfuß mit ein zu beziehen. Eine Kombination von korrigierender Einlage (s.o.) und knöchelhoher Rückfuß-Orthese (z.B. knöchelhoher Vario-Stabilschuh oder Malleosprint-Orthese) oder eine individuell angefertigte, den Mittel- und Rückfuß korrigierende Orthese haben sich dabei bewährt. Das biomechanische Prinzip der Mittel- und Rückfuß korrigierenden Orthesen ist ebenfalls die Korrektur der valgischen Fersenposition und des abgeflachten medialen Längsgewölbes (Abb. 7a-d). Da die Orthesen jedoch den Rückfuß rigider fassen und eine größere Kontaktfläche ermöglichen, ist die Korrektur der Deformität effektiver. Zusätzlich kann der Vorfuß abductus über den erhöhten lateralen Rand am Vorfuß korrigiert werden.

Stadium III und IV
Im Stadium III und IV ist die Deformität fixiert und damit keine Korrektur mehr möglich. Die orthopädietechnische Behandlung beschränkt sich daher in diesen Stadien auf eine Komfort-Einlage zur optimalen Druckverteilung und Rückfuβ-Stabilisation mittels Orthesen (z.B. Vario-Stabilschuh). Eine Korrektur würde zu Schmerzen, Hyperkeratose oder gar Ulzerationen z.B. im medialen Längsgewölbe oder am lateralen Malleolus führen. Zu viel Druck über den knöchernen Prominenzen muss vermieden werden. Bei massiven Deformitäten ist gelegentlich die Verordnung eines Maßschuhs gerechtfertigt.

Ergebnisse
Ergebnisse der konservativen Behandlung mit Orthesen liegen v.a. von amerikanischen Studien vor. Die konservative Behandlung der Tibialis posterior Sehneninsuffizienz mit der UCBL-Orthese (University of California Biomechanics Laboratory) für flexible Deformitäten und der AFO (Ankle Foot Orthosis) für fixierte Deformitäten führt in 67% zu guten und sehr guten Ergebnissen 27. Mit dem Arizona brace, welcher den Rückfuß weniger gut stabilisiert, können in den flexible Stadien nahezu alle Beschwerden behandelt werden, im Stadium III kommt es bei 60% der Patienten zum Beschwerderückgang 28. In einer anderen Studie führte die Kombination einer strukturierten, kräftigenden Physiotherapie mit einer gewölbestützenden Orthese in 83% bei 47 Patienten mit Stadium I und II Tibialis posterior Sehneninsuffizienz zum Erfolg 29. Die Evaluation unserer eigenen Patienten mit Stadium II der Tibialis posterior Sehneninsuffizienz, die mit der korrigierenden Schalenorthese („shell brace“) behandelt wurden, zeigte vergleichbare Ergebnisse 30(Abb. 8 a-c). Mit Eintreten der Sehnenheilung und Kräftigung des dynamischen Gewölbestabilisators war es einigen Patienten sogar nach Monaten möglich, auf die Orthese nahezu vollständig zu verzichten; die Mehrheit trug sie jedoch fortwährend für längere Gehstrecken außer Haus.

Der Versuch einer konservativen Behandlung über wenigstens 3 bis 6 Monate der Planovalgus Deformität im Erwachsenenalter sollte jeder operativen Therapie vorausgehen. Die einzige Ausnahme stellt die Tenosynovitis der Tibialis posterior Sehne bei rheumatischen Grunderkrankungen dar (z.B. seronegative Spondylarthropathie, rheumatoide Arthritis). Um einer Sehnenruptur vorzubeugen, sollte hier bereits nach 6 Wochen erfolgloser konservativer Behandlung eine operative Therapie (Tenosynovektomie) erfolgen 1.

Operative Therapie

Stadium I - Tenosynovektomie
Die Tenosynovektomie der Tibialis posterior Sehne stellt die operative Therapie der Planovalgus Deformität im Erwachsenenalter im Stadium I dar. Da die Tenosynovitis jedoch meist gut auf konservative Therapie anspricht, ist die operative Behandlung nur selten notwendig. Gelegentlich sind zusätzlich kleinere, meist Längsrisse der Sehne zu versorgen. Der Zeitpunkt der Operation ist abhängig von der vermuteten zu Grunde liegenden Ursache der Tenosynovitis, d.h. bei rheumatischer Grunderkrankung bereits nach 6 Wochen und bei mechanischer Ursache nach 3 bis 6 Monaten erfolgloser konservativer Therapie.

Als relative Kontraindikation einer solchen operativen Behandlung gelten intratendinöse Degenerationen erheblichen Ausmaßes, die eine Sehnenaugmentation und meistens auch eine statische Korrektur der Planovalgus-Deformität erfordern.

Das Ziel in der Nachbehandlung ist eine schnelle Mobilisation des Patienten, um Vernarbungen und Verklebungen der Sehne sowie eine Wadenatrophie zu vermeiden. Nach erfolgter Wundheilung (10 bis 14 Tage) sollte daher vom Liegegips mit Entlastung auf Vollbelastung im Gips oder Walker für weitere 4 Wochen übergegangen werden. Unterstützend wird Physiotherapie mit passiven und aktiven Bewegungsübungen und Narbenmassage sowie physikalische Therapie mit Iontophorese gegen die Inflammation und Ultraschall gegen Narbenbildung verordnet.

Bei korrekt gestellter Indikation sind die Ergebnisse nach der Tenosynovektomie durchweg gut, wobei nicht immer eine vollständige Beschwerdefreiheit erwartet werden darf. Schlechte Ergebnisse sind auf die prä- oder intraoperative Unterschätzung des Ausmaßes der Sehnendegeneration und auf ein Übersehen einer relevanten Rückfußvalgus Deformität mit frühzeitigen Rezidiv zurückzuführen 3132. Eine Aufklärung über weiterführende Operationsschritte je nach intraoperativen Erkenntnissen erscheint daher sinnvoll.

Die präoperative Aufklärung über mögliche Komplikationen der Tenosynovektomie der Tibialis posterior Sehne umfasst Restbeschwerden, Infektion, Nerven- und Gefäßverletzung, Hämatom, Wundheilungsstörung, Progression der Deformität und Thrombose.

Stadium II – gelenkerhaltende dynamisch-statische Korrektur
Im Stadium II ist die flexible Planovalgus-Deformität offensichtlich und die alleinige Tenosynovektomie zumeist zum Scheitern verurteilt (hohe Rezidivquote), zumal die Ursache der Sehnenüberlastung nicht behoben wurde. In der Regel umfasst die operative Therapie im Stadium II eine Kombination aus einem Transfer der Sehne des M. flexor digitorum longus (dynamische Korrektur) zur Augmentation der degenerierten Tibialis posterior Sehne, einer medialisierenden Osteotomie des Tuber calcanei und/oder einer verlängernden Osteotomie des Processus anterior calcanei nach Evans (statische Korrektur). Eine plantarisierende Osteotomie des 1. Strahls bei fixierter Vorfußsupination und eine Rekonstruktion des Spring Ligamentes müssen gelegentlich ergänzt werden, ebenso eine Verlängerung des regelmäßig verkürzten M. gastrocnemius.

- FDL-Transfer
Der Transfer der Sehne des M. flexor digitorum longus (FDL) hat sich gegenüber dem des M. flexor hallucis longus (FHL) durchgesetzt, da der FDL unmittelbar neben dem M. tibialis posterior entspringt, bis zum Ansatz der Tibialis posterior Sehne am Os naviculare parallel verläuft und somit die Zugrichtung die gleiche ist (Video 1).

Der FDL ist zudem in der gleichen Phase des Gangzyklus wie der Tibialis posterior aktiv. Der Ausfall bzw. die Schwächung der Kleinzehenbeugung wird meist besser toleriert, da mehrere Sehnenverbindungen zwischen FHL zu FDL als umgekehrt distal des Henry-Knoten bestehen 33 und das fehlende Abstoßen mit der Großzehe das Gangbild stärker beeinträchtigt. Der FDL ist zwar deutlich schwächer als der FHL, kann aber der pronierenden Kraft des Peroneus brevis, seines direkten Gegenspielers, ausreichend entgegenwirken. Für einen wirksamen FDL Transfer ist eine ausreichende Beweglichkeit des USG (Inversion) und der Chopartgelenkreihe (Adduktion) von je 10-15° Voraussetzung.

Dementsprechend stellt die fixierte Rückfußdeformität auch eine Kontraindikation für den Transfer dar. Eine andere Kontraindikation ist die ausgeprägte Arthrose in den Rückfußgelenken; in diesem Fall ist die korrigierende Triple-/Double-Arthrodese vorzuziehen. Bei fixierter Vorfußsupination muss zur Re-Balancierung zusätzlich eine den medialen Vorfuß plantarflektierende Osteotomie oder Arthrodese durchgeführt werden. Der fixierte Vorfuß würde ansonsten unter Belastung den Rückfuß in eine Valgusstellung zwingen und die Wirkung des Transfers aufheben.

In den seltenen Fällen einer physiologischen Rückfuß-Position kann der FDL Transfer als eigenständige Operation ohne zusätzlich Osteotomie durchgeführt werden. Hier handelt es sich meist um junge Patienten mit einer traumatischen Schädigung der Sehne. Besteht jedoch schon der geringste Rückfußvalgus, ist die statische Korrektur mit Osteotomien erforderlich 34. Die Ergebnisse nach isoliertem FDL Transfer schwanken und sind stark abhängig von der richtigen Indikation (kein fixierter Vorfuß varus und Rückfuß valgus) 3534.

- Medialisierende Tuber calcanei Osteotomie
Biomechanisch hat die medialisierende Kalkaneusosteotomie zur Folge, daß der Zug der Achillessehne in Richtung Tibialis posterior Sehne verschoben wird und so die Funktion des eher schwachen FDL durch eine Verstärkung der Inversion unterstützt wird (Video 2).

Die Belastungsachse wird zudem korrigiert und der Bodenkontaktpunkt wieder aus der Valgus-Position unter die Achse der Tibia verlagert 3637. Einer Progression des Rückfuß valgus kann außerdem so vorgebeugt werden.

Die medialisierende Kalkaneusosteotomie wird stets mit dem FDL Transfer kombiniert, so dass identische Indikationen und Kontraindikationen gelten.

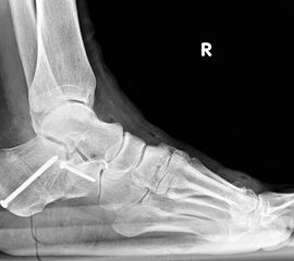
In Kombination mit dem FDL Transfer darf nach der medialisierenden Kalkaneusosteotomie in mehr als 90% der Operationen mit zufriedenen Patienten, weitgehender Behebung der Deformität-assoziierten Beschwerden, klinischer und radiologischer Verbesserung des medialen Längsgewölbes und der anderen Komponenten der Deformität sowie dem Tragen von normalen Konfektionsschuhen ohne Einlagen gerechnet werden (Abb. 9 a-e) 383940.

Spezifische Komplikationen sind das Versagen der FDL Fixation, Pseudarthrose der Osteotomie, Neurom oder Verletzung des N. suralis und des medialen Gefäß-Nervenbündels, Wundheilungsstörung, statische Über- oder Unterkorrektur und Adhäsionen der Peronealsehnen. Insbesondere bei nur leichten Deformitäten kann eine zu große medialisierende Tuber calcanei Osteotomie zum Rückfuß varus und lateraler, ligamentärer Rückfuß-Instabilität mit gehäuften Supinationstraumata führen.

- Verlängerung der lateralen Säule
Die Verlängerung der lateralen Säule entweder durch eine Distraktions-osteotomie (Evans-Osteotomie) oder Distraktionsarthrodese des Calcaneo-Cuboidalgelenkes (CC) mit Spaninterposition ist typischerweise bei ausgeprägtem Vorfuß abductus und fibulocalcanearem Impingement im Stadium IIb der Tibialis posterior Insuffizienz indiziert 22. Vorwiegend durch eine Rotation in der Chopartgelenkreihe bewirken beide Verfahren eine Adduktion des Vorfuß, unterstützen das mediale Längsgewölbe durch eine Plantarflexion des Vorfuß und schützen so die medial rekonstruierten dynamischen Stabilisatoren. Gleichzeitig führen sie zu einer Aufrichtung des Rückfuß valgus und reduzieren so das fibulocalcaneare Impingement 2241.

Die Evans Osteotomie ist ursprünglich parallel zur Gelenkfläche und ca. 1 cm proximal des CC-Gelenkes beschrieben; da dies gehäuft zu einer Osteotomie durch die oft zu einem Gelenk verschmolzenen mittleren und anterioren Gelenkfazetten des USG führt, wird auch eine von einem etwas proximaler gelegenen, lateralen Ausgangspunkt (ca. 12-20 mm proximal des CC-Gelenkes) mehr nach posterior in den Sinus tarsi gerichtet Osteotomie des Processus anterior calcanei empfohlen (Hintermann 2003).

Die Arthrodese des CC-Gelenkes mit Distraktion um 1 cm ist bei CC-Arthrose indiziert, führt aber zu einer erheblichen Verringerung der Beweglichkeit v.a. der Eversion im Rückfuß, im Talonaviculargelenk bis 50%, im USG bis 30% 42.

Tipp: Die Verlängerung der lateralen Säule kann eine fixierte Supinationsstellung des Vorfußes verstärken. Eine intraoperative Evaluation sollte immer durchgeführt werden und ggf. mittels den medialen Vorfuß plantarflektierender Osteotomie (z.B. Cotton-Osteotomie, s.u.) korrigiert werden.

Kontraindikationen sind für die Evans-Osteotomie die Arthrose des CC-Gelenkes und für beide Verfahren eine fixierte Planovalgus Deformität ab Stadium III, da keine positive Auswirkung auf die Deformität zu erwarten ist. Bei ausgeprägter USG-Arthrose ist ebenfalls eine (korrigierende) Triple- oder Double-Arthrodese vorzuziehen.

Die Techniken zur Verlängerung der lateralen Säule sind mit einer relativ hohen Komplikationsrate vergesellschaftet. Neben der Verletzung des medialen Gefäß-Nervenbündels und des N. suralis werden Pseudarthrosen, Kollaps des interponierten Knochenspans, Akzentuierung des Vorfuß varus und Arthrose des CC-Gelenkes nach der Evans Osteotomie beschrieben.
Pseudarthrosen und Kollaps des Spans sind seltener nach der Evans-Osteotomie als nach der Distraktionsarthrodese des CC-Gelenkes. Für die CC-Arthrodese sind bis 20% Pseudarthrosen und bis 29 % Korrekturverlust beschrieben 4344. Auf ein korrektes Alignement der Osteotomie und mehr noch der CC-Arthrodese ist zu achten, da ansonsten leicht eine Überlastung des lateralen Fußrandes oder eine Verschlechterung der Rückfußbeweglichkeit resultieren kann 45.

Tipp: Die CC-Arthrodese verschlechtet die Rückfußbeweglichkeit und ist mit hohen Komplikationsraten vergesellschaftet. Sie ist daher ausschließlich bei einer symptomatischen CC-Arthrose indiziert. Bei asymptomatischen degenerativen Veränderungen im CC Gelenk kann es von Vorteil sein die Korrektur ausschließlich über eine ausgedehnte medialisierende Calcaneusosteotomie durchzuführen.

Die Druckerhöhung mit der Entwicklung einer CC-Arthrose nach Evans-Osteotomie ist umstritten; biomechanische Untersuchungen haben unterschiedliche Resultate gezeigt 4647. Klinische Langzeitstudien hingegen weisen in ¼ der Patienten zumindest auf eine leichte bis moderate CC-Arthrose nach Korrektur der Planovalgus Deformität mit u.a. einer Evans Osteotomie hin 48. Eine Kombination aus medialisierender Tuber calcanei- und Evans-Osteotomie jeweils eher geringen Ausmaßes zur statischen Korrektur der Planovalgus Deformität („All American Procedure“) gewinnt zunehmend Befürworter, da sie trotz mehr Chirurgie und damit mehr Komplikationsmöglichkeiten die Deformität gleichmäßiger behebt und damit die Nachteile v.a. einer alleinigen großen Evans-Osteotomie reduziert (Abb. 10 a-e).

Tipp: Bei ausgeprägten Fehlstellungen bietet die Kombination aus medialisierender Tuber calcanei- und Evans-Osteotomie gute Korrekturmöglichkeiten, ohne eines der Verfahren zu überreizen.

- Ergebnisse
Sowohl die Distraktionsarthrodese 43, als auch die Evans-Osteotomie 49 oder die kombinierten Osteotomien 50 in Verbondung mit einem FDL-Transfer erzielen mehr als 80 % gute und sehr gute Ergebnisse.

- Degenerierte Tibialis posterior Sehne: Integration vs. Resektion
Bei entsprechender Insuffizienz der Tibialis posterior Sehne sollte der degenerativ-inflammatorisch veränderte Anteil der Sehne reseziert werden. Es nur dann sinnvoll, die restliche Tibialis posterior Sehne in die Rekonstruktion miteinzubeziehen, wenn eine Sehnenamplitude von mindestens 1 cm vorhanden ist 51. Andernfalls sollte die verdickte und funktionslose Sehne komplett reseziert und mit dem FDL Transfer ersetzt werden.

- Rekonstruktion / Naht Spring Ligament
Das Spring Ligament (Ligamentum calcaneonaviculare, Pfannenband) besteht aus einem größeren superomedialen und einem biomechanisch weniger wichtigen inferiorem Anteil. Degenerative Pathologien des Ligaments sind häufig, bei fortgeschrittener Planovalgus Deformität bis zu 92% im MRT 52. Die Naht des Ligaments ist bei Ruptur und die Raffung bei degenerativer Elongation indiziert. Ist die Qualität des residualen Ligaments nicht mehr für eine Naht ausreichend, wird das Spring Ligament durch ortsständiges Gewebe (z.B. resezierte Tibialis posterior Sehne), ortsfremdes Sehnenmaterial (z.B. Gracilis- oder Peroneus longus Sehne) oder Allograft mit Durchflechtungstechniken und transossärer Fixation am Os naviculare rekonstruiert. Bei der klinischen Untersuchung weist ein ausgeprägter Vorfuß abductus und ein instabiles Talonaviculargelenk auf eine Ruptur oder Insuffizienz des Ligaments hin, welche im MRT bestätigt werden kann. Wichtig ist, den Patienten über einen solchen, zusätzlich möglichen Operationschritt aufzuklären.

Während einige Autoren die Naht oder Rekonstruktion des Spring Ligaments als wichtig einstufen 53, konnten andere keinen Unterschied zwischen Planovalgus Rekonstruktionen mit und ohne Naht oder Rekonstruktion des Spring Ligaments feststellen {Mann 1999}.

- Plantarflektierende Osteotomie / Arthrodese 1. Strahl
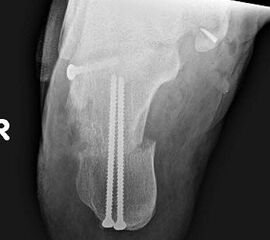
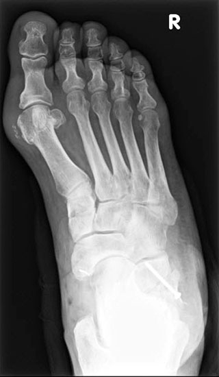
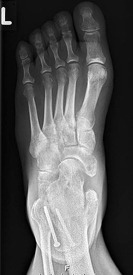
Die plantarflektierende Osteotomie des Os cuneiforme mediale wurde erstmalig von Cotton beschrieben und ist bei fixierter Vorfußsupination oder bei pathologischen seitlichen Talo-Metatarsale I Winkels indiziert (Abb. 11 a-i).

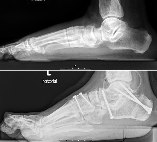
Radiologisches Beispiel einer fixierten Planovalgus Deformität Stadium III, 51 jähriger Patient. Stehendes präoperatives Röntgenbild und 1 Jahr postoperatives Röntgenbild des Fußes seitlich. Die Korrektur der Deformität umfaßte eine leicht korrigierende U
Abbildung 12

Eine fixierte Vorfußsupination sollte bereits präoperativ aber auch intraoperativ nach den bereits erfolgten o.g. Operationsschritten, insbesondere nach der Verlängerung der lateralen Säule, evaluiert werden. Nicht ganz so effektiv hinsichtlich Plantarflexion ist die proximale, plantarflektierende Osteotomie des Metatarsale I (oder I bis III).
Häufiger durchgeführt wird die plantarflektierende Osteotomie des Os cuneiforme mediale. Zwei Studien zeigen durchweg gute Korrekturergebnisse mit geringer Pseudarthroserate 54. Bei der Präparation kann es zu Verletzungen und später Neuromen kutaner Äste des N. saphenus und peroneus superficialis kommen. Weitere spezifische Komplikationen sind die Pseudarthrose und störende Implantate.
Die Arthrose und Instabilität der medialen Säule stellen eine Kontraindikation für die „Cotton-“ und die proximale Metatarsale-Osteotomie dar. In diesen Fällen ist eine korrigierende (plantarflektierende) Arthrodese der betroffenen Gelenke zu bevorzugen.

- Verlängerung M. gastrocnemius / Achillessehne
Eine Verkürzung der Wadenmuskulatur, die infolge vermehrter Vorfußbelastung ein Rezidiv der Deformität oder persistierende Beschwerden begünstigt, ist prä- aber auch intraoperativ u.a. mit dem Silfverskjöld-Test zu evaluieren. Ist bei gestrecktem Kniegelenk eine Dorsalflexion von mindestens 10° im oberen Sprunggelenk nicht möglich, sollte entweder eine Verlängerung des M. gastrocnemius oder der Achillessehne in Betracht gezogen werden.

Die Nachbehandlung der Patienten mit den diversen Operationsschritten im Stadium II der Tibialis posterior Sehneninsuffizienz ist in der Regel durch die Kalkaneusosteotomien limitiert, deren Heilung eine Ruhigstellung im Gips für 6 bis 8 Wochen erfordert.

Tipp: Sämtliche Rückfusskorrekturen stellen einen tiefen Eingriff in die Biomechanik des Fußes dar. Entsprechend lange kann die postoperative Rehabilitationsphase dauern. Von einem Endzustand ist nach ca. 12 Monaten auszugehen. Es ist ratsam die Patienten über den zu erwartenden Zeithorizont umfassend aufzuklären.

Stadium III – partielle Rückfuß-Arthrodesen
- In-situ / korrigierende USG-Arthrodese
Im Stadium III der Tibialis posterior Sehneninsuffizienz bei fixierter Deformität und/oder erheblich eingeschränkter Inversion im USG aber stabilen und flexiblen Chopart-Gelenk und weniger als 10° fixierter Vorfußsupination eine in-situ oder leicht korrigierende USG-Arthrodese indiziert. Der Vorteil einer isolierten USG-Arthrodese gegenüber einer Triple- oder Double-Arthrodese ist die verbleibende, funktionell wichtige Beweglichkeit in der Chopart-Gelenkreihe. Um einem persistierenden fibulocalcanearem Impingement sicher vorzubeugen, sollte die USG-Arthrodese in maximal 5° Valgus- oder sogar Neutralposition erfolgen. Zur Prophylaxe eines Rezidivs wird die USG-Arthrodese zudem häufig mit einer medialisierende Tuber calcanei Osteotomie und / oder einem FDL-Transfer kombiniert (Abb. 12).

- korrigierende Double- / Triple-Arthrodese
Umfaßt die fixierte Planovalgus Deformität mit schwerem Mittelfusskollaps auch die Chopart-Gelenkreihe (fixierte Abduktion im Talonavicular- und CC-Gelenk), oder weist das USG oder die Chopart-Gelenkreihe eine mindestens moderate Arthrose auf, bzw. ist die Vorfuß Deformität fixiert, ist eine Korrektur nur über eine Triple- oder Double-Arthrodese (Subtalar- und Talonaviculargelenk) zu erreichen.
Ziel des Eingriffs ist ein Rückfußvalgus von maximal 5°, ein neutrales Alignement des Talonavicular-Gelenkes (Abduktion / Adduktion) und ein neutrale Stellung des Vorfusses.
Die Triple-Arthrodese ist anspruchsvoll, eine Überkorrektur in den Hohlfuss oder eine OSG-Valgusdekompensation im Verlauf sind möglich. Restbeschwerden sind häufig mit einer Über- oder Unterkorrektur vergesellschaftet.
Nicht selten ist das Stadium III und IV begleitet von einer Achillessehnen-Kontraktur, die durch eine Achillessehnenverlängerung zu adressieren ist.

Stadium IV – komplette Rückfuß-Arthrodesen
- TTC- / pantalare Arthrodese
Im Stadium IV der (fixierten) Planovalgus Deformität und lateral betonter OSG-Arthrose umfaßt die operative Therapie eine korrigierende Arthrodese von OSG und USG-Arthrodese (Tibio-talo-calcanear = TTC Fusion) oder bei Arthrose in der Chopart-Gelenkreihe eine pantalare Arthrodese 5556.

Tipp: Auch im Stadium IV kann eine Vorfußsupination ohne Arthrose in den beteiligten Gelenken durch eine plantarisierende Osteotomie des Os cuneiforme korrigiert werden. Hierdurch läßt sich die Funktion der Chopart-Gelenkreihe erhalten.

Für die TTC-Arthrodese haben sich retrograde Rückfußnägel bewährt, da sie eine gute Primärstabilität bieten und vergleichsweise wenig Weichteildissektion erfordern. Die Indikation muss aber sehr differenziert gestellt werden, zumal das Gangbild anschließend erheblich eingeschränkt sein wird und Anschlußarthrosen trotz optimaler Schuhversorgung mit Abrollrampe zu erwarten sind. Solange die OSG-Arthrose beschwerdearm bleibt, sollte daher auch eine umfangreiche Korrektur der Planovalgus-Deformität mit Rekonstruktion des Ligamentum deltoideum anstelle der TTC- und pantalaren Arthrodese favorisiert werden 57.

Weitere Literatur

  • Cotton FJ: Foot statics and surgery. N Engl J Med (1936) 214:353-362.
  • Hintermann B, Valderrabano V.: Techniques in Foot & Ankle Surgery (2003) 2:84-90.
  • Mann RA: Flatfoot in adults. In Coughlin MJ, Mann RA (eds) Surgery of the foot and ankle. St. Louis, Mosby (1999) 733-767.
Loading…
Loading the web debug toolbar…
Attempt #