Vorbemerkungen

Die Mikrofrakturierung stellt das etablierte Verfahren zur Behandlung von symptomatischen III- IV° Knorpeldefekten (ICRS Klassifikation) am Talus dar 1. Verglichen mit allen anderen Techniken, besteht für dieses Konzept die höchste wissenschaftliche Evidenz 2. Allerdings mehren sich die Hinweise auf eine Verschlechterung der zunächst guten Ergebnisse bei einem Verlauf >5 Jahre 34. Selbst bei klinisch zunächst gutem Ergebnis zeigte sich bei second look Arthroskopien in 40% eine inkomplette Defektdeckung 5. Signifikant schlechtere Ergebnisse werden bei Defekten > 1,5 cm² berichtet 67. Die in den letzten Jahren bei großen Defekten populär gewordene Autologe Chondrozyten Transplantation (ACT) basiert auf einer in vivo Anzüchtung von Knorpelzellen, die dann im Rahmen eines zweiten Eingriffs in das Gelenk implantiert wurden. Die Überlegenheit dieser aufwändigen und teuren Knorpelrekonstruktionstechnik gegenüber der Mikrofrakturierung konnte bisher anhand von klinischen Verlaufsstudien nicht abschließend belegt werden 8. Die einzige prospektive randomisierte Studie welche verschiedene Therapieverfahren der Knorpelrekonstruktion vergleicht, wurde zwischenzeitlich aufgrund technischer Mängel von Level I auf Level IV zurückgestuft 910.
Die aktuelle Forschung fokusiert sich auf einzeitige Verfahren im dem Ziel die Differenzierung der Stammzellen, die nach Mikrofrakturierung aus dem Knochenmark austreten, bereits in der Defektzone zu unterstützen um die Probleme einer in vivo Zellzüchtung zu umgehen und um eine zweite Eröffnung des Gelenks zu vermeiden 1112.
Studien haben gezeigt, dass vor allem bei größeren Knorpelschäden die Stabilisierung des super Clots, welcher die Stammzellen enthält, ein Problem darstellt 13. Gerade dieser Stabilisierung kommt aber bei der Faserknorpelentstehung eine entscheidende Bedeutung zu 1415. Durch eine Stabilisierung des aufliegenden Gerinnsels mit einem Biomaterial wird die Kolonisierung, Proliferation und Chondrogenese von mesenchymalen Stammzellen gefördert 16.
Alternative Techniken bei dieser Indikation sind die Osteochondrale Transplantation (OATS) oder die Verwendung in vitro angezüchteter autologer Knorpelzellen (ACI) 171819. Zentrale Probleme der OTAS sind die oft unzureichende Kongruenz der Transplantate, vor allem an der Talusschulter, die unterschiedlichen mechanischen Eigenschaften des Knorpels an Knie und Talus, sowie die hohe Entnahmemorbidität. In bis zu 50% der Fälle werden Beschwerden am Kniegelenk beschrieben 20. Darüber hinaus ist zur Implantation einer OATS am Sprunggelenk stets eine Osteotomie des medialen oder lateralen Malleolus notwendig, was ebenfalls zu Komplikationen und negativen Spätfolgen führen kann.
Wesentliche Nachteile der autologen Chondrozytentransplantation sind die hohen Kosten, sowie die Notwendigkeit einer zweiten Operation zur Knorpelzellentnahme.

Vorteile

  • Technisch einfach durchzuführendes Operationsverfahren
  • Verfügbarkeit der Kollagenmatrix als Verbrauchsprodukt mit langer Haltbarkeit (Chondro-Gide®; GeistlichPharma AG, Schweiz)
  • Einzeitiger Eingriff.
  • Keine Entnahmemorbidität.
  • Einsatz der Matrix in fast allen Fällen über eine Miniarthrotomie möglich ohne Osteotomie des Innen- oder Außenknöchels.
  • Im Vergleich zur Knorpelrekonstruktion mit in vitro gezüchteten autologen Knorpelzellen 90% geringere Kosten.
  • Vergleichbare klinische Ergebnisse zur autologen Chondrozytentransplantation.

Nachteile

  • Kosten der Kollagenmatrix im Vergleich zur alleinigen Mikrofrakturierung.

Indikationen

  • Lokalisierte Knorpeldefekte des Talus (ICRS Grade III und IV) > 1,5 cm².
  • Instabilitäten und Achsfehlstellungen stellen keine Kontraindikation dar, solange diese bei der Knorpelrekonstruktion mit adressiert werden können.

Kontraindikationen

  • Generalisierte degenerative Gelenkveränderungen
  • Korrespondierende Knorpeldefekte gegenüberliegender Gelenkflächen
  • Entzündliche Gelenkerkrankung
  • Kristallarthropathie
  • Neuroarthopathie

Patientenaufklärung

  • 2 Wochen Unterschenkelgipsschiene
  • 1.-6. Woche Teilbelastung 10 kg, Limitierung der Bewegung auf 20°-0°-20°
  • 7.-12. Woche stufenweiser Belastungsaufbau (ca. 20 kg alle 2 Wochen)
  • Entnahme von Spongiosa (Kalkaneus, Tibiakopf, Beckenkamm)
  • Bewegungsstörung im Sprunggelenk mit der Notwendigkeit einer operativen Revision.
  • Verzögerte oder fehlende Einheilung der Spongiosaplastik.
  • Verzögerte oder fehlende Bildung von Faserknorpel.
  • Unverträglichkeit des Materials.
  • Schwellneigung über mehrere Monate.
  • Wundheilungsstörungen, Sensibilitätsstörungen und/oder Durchblutungsstörungen, die bis zum Verlust des Fußes führen können.
  • Arbeitsunfähigkeit: Sitzende Tätigkeiten nach 2 Wochen meist möglich, stehende Berufe nach 12-14 Wochen. Berufe mit hoher körperlicher Beanspruchung bis zu 6 Monaten.
  • Bis zum Erreichen der Vollbelastung kann kein Kraftfahrzeug geführt werden (Ausnahme OP links bei Automatik-Fahrzeugen).
  • Allgemeine Operationsrisiken.

Operationsvorbereitungen

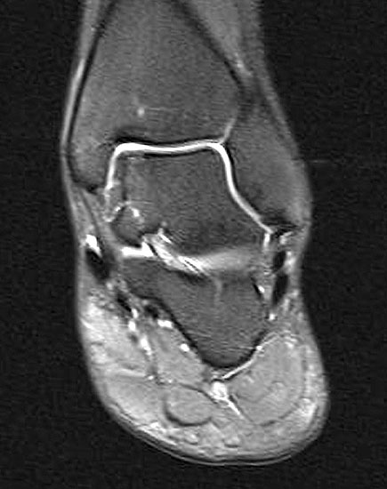
Abbildung 1: Osteochondrale Läsion der medialen Talusschulter mit subchondralem Begleitödem und Zyste.
Abbildung 1
  • Klinische Beurteilung der Gelenkstabilität und der Rückfußachse.
  • Röntgenaufnahme des Sprunggelenks in zwei Ebenen. Bei klinischem Verdacht auf eine Achsfehlstellung zusätzliche Einbeinstandaufnahme und Saltzmann-Rückfußaufnahme.
  • MRT des Sprunggelenks zur Beurteilung der Knorpelläsion, möglichen subchondralen Zysten, nekrotischen Knochenarealen und anderen Begleitpathologien (Abbildung 1).
  • Dokumentation der Durchblutung des Fußes (Pulse der A. tibialis posterior und der A. dorsalis pedis, ggf. Dopplersonographie, Rekapillarisierungzeit).
  • Dokumentation der Sensibilität (Spitz/Stumpf Unterscheidung, 2 Punkte- Diskriminierung)
  • Allgemeine Operationsvorbereitung. Nach den aktuellen Richtlinie des Robert-Koch-Instituts (www.rki.de) kann auf eine Rasur vollständig verzichtet werden.

Instrumentarium

Abbildung 2: K-Draht Spreizer. Dieser erlaubt eine Distraktion des Gelenks über 1,8 mm Kirschnerdrähte. Diese Technik hilft in nahezu allen Fällen eine Innenknöchelosteotomie zu vermeiden.
Abbildung 2
  • Sprunggelenk Basisinstrumentarium.
  • Spreizer mit Bohrungen für Kirschnerdrähte (Abbildung 2).
  • Kollagenmatrix (Chondro-Gide® in verschiedenen Größen)
  • Fibrinkleber (z.B. Tissucol).
  • Bildverstärker falls eine Osteotomie oder Achskorrektur geplant ist.

Anästhesie und Lagerung

  • Intubationsnarkose, Larynxmaske, spinale Leitungsanästhesie oder Leitungsanästhesie.
  • Blutleere (100 mm Hg über dem systolischen Blutdruck) am Oberschenkel
  • Strahlenschutzmatte ab Mitte Unterschenkel nach proximal für den Patienten.
  • Lagerung
    • Rückenlage für ventrale Zugänge
    • Seitenlagerung mit der Möglichkeit das Kniegelenk zu flektieren auf der betroffenen Seite bei einem dorsomedialen Zugang, auf der kontralateralen Seite bei dorsolateralem Zugang.

Operationstechnik (Fotos und Video)

Je nach Lage des Knorpeldefektes sind verschiedene Zugänge möglich. Ziel ist einen guten Zugang zum Defekt zu erreichen bei gleichzeitiger Vermeidung einer Innenknöchelosteotomie.

Die Darstellung der weiteren Operationstechnik erfolgt am Beispiel eines medialen Zugangs bei einer Osteochondrosis dissceans mit subchondraler Zyte der medialen Talusschulter (siehe MRT Abbildung 1).

Besonderheiten

Ist der umliegende Knorpel sehr dick oder liegt nur eine Defektzone mit 1-2 mm Tiefe vor, so kann die Kollagenmatrix auch gedoppelt in Sandwich-Technik implantiert werden. Beide Matrices werden mit der rauhen Oberfläche knochenseitig und der glatten Oberfläche gelenkseitig eingeklebt.

Abbildung 17

Gleichzeitig bestehende Achsdeformitäten oder Instabilitäten sind im Rahmen des Eingriffs ebenfalls zu therapieren. Hierbei können alle Verfahren der Rückfusskorrektur eingesetzt werden. Auch Kapsel-Band-Rekonstruktionen sind nach den Standard-OP Techniken möglich. Abbildung 17 zeigt einen Patienten mit gleichzeitig durchgeführter supramalleolärer Korrekturosteotomie.

Postoperative Behandlung

  • 48h vollständige Ruhigstellung des Sprunggelenks in 90° Stellung. Dann ggf. Entfernung der Drainage und Beginn mit CPM, limitiert auf 20-0-20 Grad.
  • 2 Wochen Gipsschiene bis zum Abschluss der Wundheilung.
  • 1.-6. Woche Teilbelastung mit 10 kg.
  • 7.-12. Woche stufenweiser Belastungsaufbau mit 20 kg alle zwei Wochen.
  • Ab der 13. Woche Freigabe für Alltagsbelastungen, Radfahren und Schwimmen.
  • Sportarten mit Stoßbelastung oder schnellen Richtungswechseln sollten für mindestens 12 Monate pausiert werden.
  • In wie weit nach Knorpelrekonstruktion eine Rückkehr in den Profisport möglich ist, kann nicht abschließend beurteilt werden.

Fehler, Gefahren, Komplikationen

  • Intraoperative Delamination der Matrix: Reduktion von Überständen im Randbereich. Ist die Spongiosaplastik zu dick, sollte die oberflächliche Schicht abgetragen werden. Anschließend kann die Matrix erneut eingeklebt werden.
  • Tiefe Wundinfektion: Fäden entfernen, Wundabstrich und gezielte Antibiotikabehandlung nach chirurgischem Debridement.
  • Unvollständige Einheilung der Spongiosaplastik mit erneuter Zystenbildung. Savva et al. 21 konnten zeigen, dass durch eine Arthroskopie mit Debridement der Läsion eine Reduktion der Beschwerden erreicht werden kann. Theoretisch ist auch eine Wiederholdung des Eingriffs möglich. Jedoch sollte nach einem Fehlschlag überprüft werden, in wie weit Achsfehlstellungen oder Instabilitäten mit adressiert werden können.

Ergebnisse

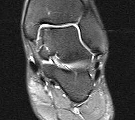
Von 42 Patienten mit Knorpeldefekten am Talus (Grad III und IV entsprechend der Klassifikation der International Cartilage Research Society (ICRS), größer 1,5 cm²) liegen Ergebnisse von 24 und mehr Monaten vor. Intraoperativ kam es zu keinen Komplikationen. Bei einem Patienten kam es zu einer postoperativen Wundheilungsstörung. In zwei Fällen war eine Osteotomie des Innenknöchels notwendig, in 31 Fällen wurde eine zusätzliche Spongiosaplastik vom Kalkaneus verwendet. Der AOFAS-Score (Score der American Orthopedic Foot and Ankle Society, basierend auf dem von Kitaoka etablierten Score 22 verbesserte sich von 47,3 ± 17,2 auf 87,5 ± 9,7. In 3 Fällen zeigten sich im MRT-Verlauf erneute Zysten. In 4 Fällen wurde bei Restbeschwerden eine erneute Arthroskopie durchgeführt. Dabei zeigte sich bei zwei Fällen ein instabiles Transplantat, in den anderen beiden Fällen wurde eine hypertrophe Regeneratbildung mit Impingement festgestellt. Bei einem der Patienten mit erneuter Zystenbildung wurde bei erheblicher Symptomatik eine erneute Rekonstruktion mit Spongiosaplastik vom Beckenkamm durchgeführt. Die restlichen MRT-Verläufe wiesen eine gute Defektfüllung ohne vermehrte Ergussbildung auf (Abbildung 18).

Abbildung 18: MRT 12 Monate nach Implantation einer AMIC Membran an der medialen Talusschulter. Das Knochenödem ist fast vollständig abgeklungen bei vollständiger Abdeckung der Defektzone.
Abbildung 18

Auch die Ergebnisse anderer Arbeitsgruppen zeigen, dass die Autologe Matrix Induzierte Chondrogenese eine zuverlässige Technik zur Rekonstruktion von Korpeldefekten am Talus darstellt 1123. Eine abschließende Bewertung des Verfahrens wird aber erst in einigen Jahren möglich sein.

Weitere Literatur

  • Becher C, Plaas C, Waizy H, Thermann H, Stuckenborg-Colsmann C. Bildgebende Diagnostik und Klassifikation chondraler und osteochondraler Läsionen am Talus. Fuß und Sprunggelenk 10: 106-113, 2012.
  • Becher C, Plaaß C, Waizy H, Stuckenborg-Colsman C, Thermann H. Therapieoptionen in der Behandlung chondraler und osteochondraler Läsionen am Talus. Fuß und Sprunggelenk 10: 114-120, 2012.
  • Plaaß C, Valderrabano V, Wierwiorski M, Leumann A. Ätiologie und Pathophysiologie dr Osteochondralen Läsionen des Talus. Fuß und Sprunggelenk 10: 96-105, 2012.
  • Walther M, Becher C, Volkering C, Röser A, Süzer F, Thermann H. Therapie chondraler und osteochondraler Defekte am Talus durch Autologe Matrix Induzierte Chondrogenese. Fuß und Sprunggelenk 10:121-129, 2012.
Loading…
Loading the web debug toolbar…
Attempt #