Bei konservativ austherapierten Arthrosen des oberen Sprunggelenkes (OSG) hat die Versteifung des OSG trotz guter Ergebnisse von gelenkerhaltenden oder endoprothetischen Eingriffen hinsichtlich Schmerzreduzierung, Belastbarkeit und Konstanz der Ergebnisqualität nach wie einen hohen Stellenwert 123. Die operative Technik mittels Schraubenosteosynthese, Plattenosteosynthese oder Arthrodesenagel ist sicher und zudem auch bei Defektsituationen und Fehlstellungen anwendbar. Die betroffenen Patienten akzeptieren den verfahrensimmanenten Funktionsverlust des OSG aufgrund des erreichbaren Gewinnes ihrer Lebensqualität.
Symptomatik
Typische Arthrosesymptomatik mit Schmerzen, Bewegungs-und Funktionseinschränkung, Schwellneigung, Einschränkung der Dorsalextension und Plantarflektion des OSG, Reduzierung der Schrittlänge und der Gehstrecke
Reduzierung des Aktivitätslevels
Diagnostisches Vorgehen
Standardisierte orthopädische Untersuchung des entkleideten Patienten, Beurteilung des Gangbildes, Schmerzanamnese
Klinische Analyse der Bein- und Fußgeometrie und der Bandstabilität des OSG
Dokumentation des Bewegungsausmaß von OSG und USG
Bildgebung: konventionelles Röntgen: OSG 2 Ebenen belastet, Fuß seitlich im Stehen. Bedarfsweise Beinachsaufnahmen im Stehen; Bedarfsweise Broden Aufnahmen und Saltzmann-View. MRT: Bedarfsweise bei Synovialitis, ausgeprägter ossärer Zystenbildung und zur Beurteilung der Mitbeteiligung des USG. CT: Bedarfsweise bei ossärer Defektbildung, bei komplexer Achsfehlstellung oder Deformierung ggf. als 3-D-Rekonstruktion Sonografie: Nicht erforderlich.
Therapeutisches Vorgehen
Therapieziele
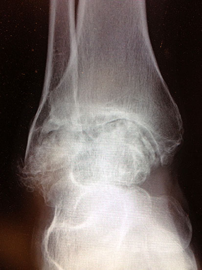
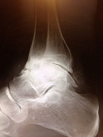
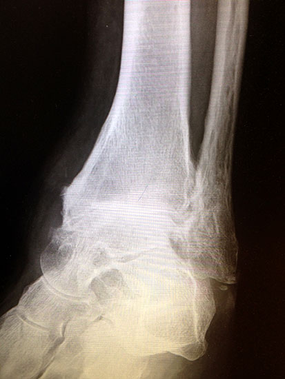
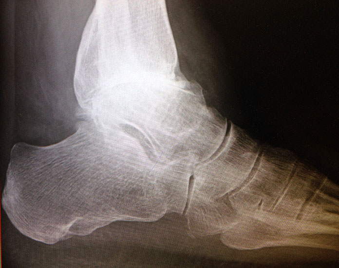
Erreichen eines schmerzfreien oberen Sprunggelenkes mit belastbarem und plantigrad aufsetzbarem Fuss (Abb. 1a und b) unter Verzicht auf die Bewegungsfunktion des oberen Sprunggelenkes. Operative Resektion der arthrotisch veränderten Gelenkflächen bis in den subchondralen frischen Knochen von Tibia und Talus. Fusion mittels Kompressionsschrauben oder Arthrodeseplatten, bedarfsweise Arthrodesenagel.
Zum Lesen der Bildbeschreibung und zur Vollansicht bitte die Bilder anklicken.
Abbildung 1a
Abbildung 1b
Indikationen
Fortgeschrittene schmerzhafte, durch konservative Maßnahmen nicht ausreichend beeinflussbare Arthrose-Beschwerden im oberen Sprunggelenk
Folgezustände nach fehlverheilten Sprunggelenkfrakturen und Sprunggelenkluxationsfrakturen
OSG-Destruktion entzündlicher oder rheumatischer Genese
Defektzustände z.B. nach Endoprothesenausbau
Kontraindikationen
Lokaler oder systemischer Infekt
Schwere arterielle Verschlusskrankheit
Systemisch bedingte Op-Kontraindikationen
Vorteile
Schmerzreduzierung
Fehlstellungskorrektur
Belastbarkeit
Auch bei körperlich belasteten Berufen verwendbares Verfahren
„Sicheres“, gut etabliertes Verfahren
Nachteile
Verlust der Beweglichkeit/ Bewegungsfunktion des oberen Sprunggelenkes, bei retrograder Nagelarhrodese auch des USG
Potentielle Beinlängendifferenz
Dauer der Nachbehandlung
Anschlussarthrosen im unteren Sprunggelenk und im kontralateralen Sprunggelenk und Kniegelenk möglich
Aufklärung
Erläuterung der Behandlungsalternativen (Konservative Therapie, Gelenkerhaltende Operationen, Endoprothesenversorgung), des typischen OP-und Nachbehandlungsverlaufes sowie Hinweise auf die typischen Komplikationsmöglichkeiten der OSG-Arthrodese:
Verfahrensimmanenter Verlust der Bewegungsfunktion des OSG, evtl. auch des USG.
Fusion in ungünstiger Position (Spitzfuß, Hackenfuß, Varus-/ Valgusposition).
Entwicklung von Anschlussarthrosen und Belastung des kontralateralen Knie- und Sprunggelenkes .
Eventuell Erfordernis von Folgeeingriffen.
Beinlängendifferenz.
Eventuell Notwendigkeit der Achillessehnenverlängerung.
Eventuell Erfordernis spezielles Schuhwerk zu tragen.
Entnahme von Beckenkammknochen falls geplant.
Bei körperlich anspruchsvollen Berufen, welche eine freie Beweglichkeit des Sprunggelenks voraussetzen (z.B. Dachdecker) kann auch bei optimalem Verlauf teilweise die Berufsfähigkeit nicht wieder erreicht werden. Hier ist mit dem Patienten im Vorfeld die Möglichkeit der Umschulung oder Modifikation des Arbeitsplatzes anzusprechen.
Prinzipen der verschiedenen Therapieformen
Tibio-talare Kompressionsschrauben-Arthrodese mit 2-4 kanülierten Schrauben, in Abhängigkeit von Knochenlager und knöchernem Defekt ggf. mit autologem Beckenkammspan/-spongiosa oder Fibula-Span. Alternativ Verwendung einer Kompressionsschraube und winkelstabiler Formplattenosteosynthese.
Bei schweren Fehlstellungen, Instabilitäten oder begleitender USG Arthrose retrograde Nagelarthrodese erwägen.
Anästhesie und Lagerung
Narkoseart: ITN, Spinal- oder Leitungsanästhesie.
Oberschenkelblutleere
Lagerung: Rückenlage, ipsilaterales Becken unterlagert zum Ausgleich der Hüft-Aussenrotation, Knie leicht unterlagert, gegenseitiges Bein abgesenkt/ abgespreizt. Fußsohle endet an der Tischkante. Lagerung muss Durchleuchtbarkeit des OSG in 2 Ebenen gewährleisten. Strahlenschutzmatte.
Zur besseren Beurteilbarkeit der Beinachse und der Rotationsstellung sollte das Bein bis in Höhe des Kniegelenks abgedeckt sein.
Bedarfsweise Beckenkamm abdecken.
Instrumentarium
Arthrodese-Spreizer z.B. Lamina-Spreizer oder K-Draht–Spreizer. Kurretten, Meißel-Set, gebogene Meißel um verdeckte Kompartimente zu erreichen.
Kugelfräse, oszillierende Säge, Bohrer.
Bedarfsweise bei großen knöchernen Defekten Beckenkamm-Span Entnahme-Set
Kanülierte Schrauben 6,0, 6,5 oder 7,0 und/oder winkelstabile Formplatten.
Evtl. Arthrodesennagel-Set.
Bildverstärker.
Operationstechnik
Anteriorer Zugang zum oberen Sprunggelenk medial des Gefäß-Nerven-Bündels zwischen den Sehnen des M. tibialis anterior und M. extensor hallucis longus.
Alternativ lateraler transfibulärer Zugang 5 und quere Osteotomie der Fibula 7-10 cm oberhalb der Fibulaspitze. Längsosteotomie der Fibula/ Gewinnung der medialen Hälfte des Segmentes als cortico-spongiöser Span und Verwendung der zusätzlich angeschraubten lateralen Fibulahälfte als biologische Armierung (Abb. 2a und b).
Kapsulotomie und Synovialektomie. Entknorpeln der Gelenkflächen bis knapp in den subchondralen Raum. Mit Kuretten, gebogenem Meißel, oszillierender Säge und/oder hochtourigen Fräsen Entknorpeln der tibialen, fibularen und tibialen Gelenkfläche und Abtragung von knöchernen Anbauten (Abb. 3). Die Präparation entlang der vorgegebenen Kontur des Talus und der Tibia bietet den Vorteil eines geringeren Längenverlustes gegenüber geraden Sägeschnitten. Der anteriore Zugang bietet insbesondere bei Verwendung eines Arthrodese Spreizers eine gute Übersicht in die anterioren Kompartimente. Der antero-laterale transfibuläre Zugang ergibt eine hervorragende Übersicht, allerdings nicht auf das mediale tibio-talare Kompatiment.
Anbohren der subchondralen Sklerosezone mit einem 2 bis 3,5 mm Bohrer zur Verbesserung der Durchblutung (Abb. 4).
Knochendefekte können je nach Größe mit einem autologem Beckenkammspan, autologer Beckenkammspongiosa (Abb. 5) oder der halbierten Fibula aufgefüllt werden.
Einstellung des Fußes in Rechtwinkelstellung zur Tibia mit ca. 0,5 bis 1 cm Talusrückversetzung (daraus resultiert biomechanisch ein geringerer Hebelarm des Vor-und Mittelfußes gegenüber dem Unterschenkel). Die Einstellung sollte so erfolgen, dass die Beweglichkeit im Chopart- und Subtalargelenk eine 10° Dorsalextension und 20° Plantarflexion des Fußes ermöglicht. Besteht präoperativ eine ausgeprägte Spitzfußstellung kann eine gleichzeitige Verlängerung der Achillessehe und/oder die Arthrodese in leichter Verkürzung notwendig werden um die achsgerechte Einstellung des Sprunggelenks zu erreichen.
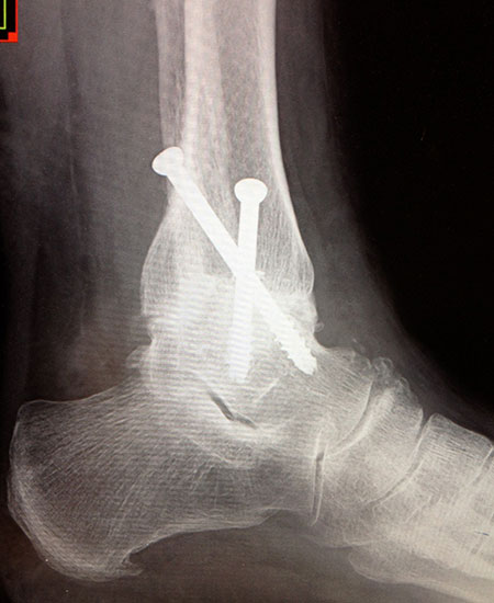
Fixation mit mindestens 2, ggf. 3 kanülierten Schrauben (6,0, 6,5 oder 7,0 mm), die von medial-kranial und lateral-kranial nach kaudal oder von anterior-kranial nach posterior-distal (Abb. 6) in den Talus unter BV-Kontrolle in 2 Ebenen eingebracht werden (Sabo 2014). Im amerikanischen Sprachraum ist die Verwendung der von dorsal-lateral paraachillär nach anterior-medial in den Corpus tali gerichteten Zugschraube geläufig („home run-screw“) (Abb. 7). Es ist darauf zu achten, das untere Sprunggelenk nicht mit Schrauben zu perforieren. Idealerweise spannen die Kompressionsschrauben, deren Gewindegänge nur im Talus liegen sollten diesen stabil in die Malleolengabel ein.
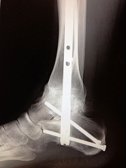
Die Verwendung von präformierten winkelstabilen Titan-Konturplatten gewährleist eine sehr rigide Versorgung und stellen gerade bei malazischem Knochen oder der Erfordernis einer frühen sehr hohen Stabilität ein sicheres allerdings kostenintensives Verfahren dar (Abb. 8 a-k, Abb. 9 a - d). Von der Industrie werden verschiedene Plattensysteme angeboten, teilweise mit polyaxialer Schraubenplatzierung, sowie die bedarfsweise Kombination einer gelenküberschreitenden Zugschraube mit winkelstabilen Schrauben.
Bei schweren Fehlstellungen, Band-Instabilitäten oder ausgedehnten Defektsituationen (z.B. nach Endoprothesenausbau) oder begleitender Arthrose des unteren Sprunggelenks kann nach Zubereitung des OSG eine retrograde Nadelarthrodese durchgeführt werden (Abb. 10 a – c). Wird das untere Sprunggelenk in die Arthrodese einbezogen, so ist der Rückfuß wesentlich rigider, so dass wenn möglich das untere Sprunggelenk erhalten werden sollte.
Zum Lesen der Bildbeschreibung und zur Vollansicht bitte die Bilder anklicken.
5 und quere Osteotomie der Fibula 7-10 cm oberhalb der Fibulaspitze. Längsosteotomie der Fibula/ Gewinnung der medialen Hälfte des Segmentes als cortico-spongiöser Span und Verwendung der zusätzlich angeschraubten lateralen Fibulahälfte als biologische Armierung."> 5 und quere Osteotomie der Fibula 7-10 cm oberhalb der Fibulaspitze. Längsosteotomie der Fibula/ Gewinnung der medialen Hälfte des Segmentes als cortico-spongiöser Span und Verwendung der zusätzlich angeschraubten lateralen Fibulahälfte als biologische Armierung." srcset="/assets/images/e/2a-gv161ke0cck7gqg.jpg 1x, /assets/images/6/2a-6c8kgqanyxykx8w.jpg 1.5x, /assets/images/q/2a-x6kfdzfw2czr1v2.jpg 1.893x" width="270" height="240" loading="lazy">
Abbildung 2a
5 und quere Osteotomie der Fibula 7-10 cm oberhalb der Fibulaspitze. Längsosteotomie der Fibula/ Gewinnung der medialen Hälfte des Segmentes als cortico-spongiöser Span und Verwendung der zusätzlich angeschraubten lateralen Fibulahälfte als biologische Armierung."> 5 und quere Osteotomie der Fibula 7-10 cm oberhalb der Fibulaspitze. Längsosteotomie der Fibula/ Gewinnung der medialen Hälfte des Segmentes als cortico-spongiöser Span und Verwendung der zusätzlich angeschraubten lateralen Fibulahälfte als biologische Armierung." srcset="/assets/images/e/2b-nfpcqd5x0bzbkww.jpg 1x, /assets/images/g/2b-4e7ktgyba26vkgg.jpg 1.5x, /assets/images/2/2b-s1c3gdeab4bsyy7.jpg 2x" width="270" height="240" loading="lazy">
Abbildung 2b
Abbildung 3
Abbildung 4
Abbildung 5
Abbildung 6
Abbildung 7
Abbildung 8a
Abbildung 8b
Abbildung 8c
Abbildung 8d
Abbildung 8e
Abbildung 8f
Abbildung 8g
Abbildung 8h
Abbildung 8i
Abbildung 8j
Abbildung 8k
Abbildung 9a
Abbildung 9b
Abbildung 9c
Abbildung 10a
Abbildung 10b
Abbildung 10c
Abbildung 10d
Wundverschluss
Verschluss der Gelenkkapsel und Naht des Retinakulums mit resorbierbaren Fäden.
Eine Drainage kann optional eingelegt werden, wobei aus unserer Erfahrung nur selten die Notwendigkeit besteht.
Subkutannaht und Hautverschluss in Einzelknopftechnik.
Elastischer gepolsterter Verband und Lagerung in einem Unterschenkelliegegips Schiene oder vorgefertigter Lagerungsorthese
Nachbehandlung
Die Standardnachbehandlung umfasst 6 Wochen vollständige Entlastung im Unterschenkelliegegips oder konfektionierter Lagerungsschiene. Anschließend kann über einen Zeitraum von weiteren 6 Wochen im Unterschenkelgehgips oder stabilen Walker die Belastung stufenweise gesteigert werden. Bei unzureichender Knochenqualität oder großen Knochendefekten kann ein längerer Zeitraum der Entlastung erforderlich werden. Dagegen kann bei sehr stabiler Osteosynthese und gut compliance-fähigen Patienten die Entlastungsphase auf 4 Wochen verkürzt werden und bereits in der 5. Woche postoperativ mit einer schrittweisen Belastungssteigerung von ca. 10-20 kg/Woche im Unterschenkel-Gehgips oder Walker begonnen werden.
Röntgenkontrollen erfolgen intraoperativ, postoperativ, sowie 6 und 12 Wochen postoperativ.
Lymphdrainage, ggf. mit automatisiertem Pumpsystem (z.B. Vadoplex) kann am ersten postoperativen Tag begonnen werden.
Physiotherapie erfolgt zur Beübung der benachbarten Gelenke, Muskelerhalt und –aufbau. Vor einer intensiven Mobilisation des Chopartgelenks sollte aber eine weitgehende Konsolidierung der Arthrodese abgewartet werden.
Bei verlangsamter knöcherner Überbauung kann durch einen hochschaftigen Orthesenstiefel (z.B. hochschaftiger Variostabil™) eine gute Stabilisierung des Sprunggelenks erreicht werden, bei gleichzeitiger Mobilisation des Patienten. Teilweise läßt sich die Phase der Arbeitsunfähigkeit dadurch abkürzen.
Arbeitsunfähigkeit: Bei körperlich belasteten Berufen bis zur gesicherten knöchernen Heilung (ca. 12-16 Wochen), bei Tätigkeiten ohne körperliche Beanspruchung ca. 6 Wochen. Bei Berufen mit hoher körperlicher Belastung (z.B. Dachdecker, Feuerwehr) kann u.U. auch bei optimalem Verlauf aufgrund der verfahrensimmanenten Einschränkungen die Arbeitsfähigkeit im Beruf nicht wieder erreicht werden.
Eine stufenweise Wiedereingliederung in den Arbeitsprozess ist insbesondere bei körperlich belastenden Berufen sinnvoll.
Bei aufgehobener Mobilität des Sprunggelenks sind dauerhafte Einschränkungen der Sportfähigkeit zu erwarten. Die Wiederaufnahme sportlicher Aktivitäten ist individuell anhand der knöchernen Konsolidierung mit dem Patienten zu besprechen, liegt aber erfahrungsgemäß bei 16 bis 25 Wochen postoperativ.
Komplikationen der verschiedenen Therapieformen
Neben den typischen Risiken der operativen Orthopädie (Infektion, Pseudarthrose, verzögerte Knochenheilung, Thrombose usw.) besteht insbesondere das Risiko einer ungünstigen Positionierung des oberen Sprunggelenks. Besonders problematisch ist eine Spitzfuß- oder in Varusfehlstellung. Nicht in allen Fällen ist allerdings die gewünschte Ideal-Position mit vertretbarem Aufwand zu erreichen. Bei kontrakten Fehlstellungen, durch die vorgeschädigten Weichteile erschwerten Fällen oder bei Knochendefektsituationen wird manchmal ein Kompromiss aus Restfehlstellung und Stabilität erzwungen. Meist läßt sich trotzdem eine akzeptable und für den Patienten zufriedenstellende Situation erreichen. Falls allerdings durch das Schuhwerk eine ausreichende Kompensation nicht möglich ist, besteht die Möglichkeit der operativen Revision und Reosteosynthese, ggf. auch mit Verfahrenswechsel. Bei kritischen Weichteilen hat sich bei Revisionen die Verwendung eines Fixateur externe bewährt, bei dem in Ilizarov Technik eine stufenweise Korrektur von Fehlstellung über mehrere Wochen möglich ist 6.
Begutachtung
Bei Folgezuständen nach Arthrodese ist gutachterlich insbesondere zu achten auf:
Knöcherner Durchbau und Position des Fußes in Bezug zum Unterschenkel und Bein. Achsfehlstellungen, insbesondere Spitzfuß und Rückfussvarus können die Funktionalität stark beeinträchtigen.
Isolierte Arthrodese des oberen Sprunggelenks vs. pantalarer Arthrodese.
Schmerzsituation
Belastbarkeit, Gehstrecke
Narbenbildung
Perspektiven und aktuelle Trends
In aller Regel sind gute klinische Ergebnisse mit einer hohen Patientenzufriedenheit zu erreichen. Wenn eine Einstellung des OSG in Neutralstellung erreicht werden kann, ist das Langzeitergebnis der OSG-Arthrodese messbar besser als bei Einstellung in Spitzfussposition 7. Im Langzeit-Follow-up sind Anschlussarthrosen des Subtalargelenkes sowohl nach OSG–Arthrodese 7, als auch nach OSG-Endoprothese 8 beschreiben. Bei schweren Fehlstellungen oder bereits zusätzlich vorliegender subtalarer Arthrose kann die Alternative der retrograden Tibio-Talo-Calcanearen Nagelarthrodese gewählt werden, allerdings um den Preis einer verglichen zur alleinigen OSG-Arthrodese schlechteren Funktionalität 9. In den letzten Jahren hat die arthroskopische Arthrodese des oberen Sprunggelenks stark an Popularität gewonnen 10.
Weitere Literatur
Sabo D. Arthrose des oberen Sprunggelenkes. In: Ewerbeck, Wentzensen, Grützner, Holz, Krämer, Pfeil, Sabo. [Hrsg.] Standardverfahren in der operativen Orthopädie und Unfallchirurgie. 4. Aufl., Thieme Stuttgart 2014: 581 - 584
Wirth CJ. Fußarthrosen. Oberes Sprunggelenk In: Wirth CJ [Hrsg.:] Orthopädie und orthopädische Chirurgie. Fuß. Thieme Stuttgart 2002: 621 - 635