Die Minimalinvasive Fuß- und Sprunggelenk (MIS) hat in den letzten Jahren eine enorme Entwicklung durchgemacht. Zum einen hat sich die Erkenntnis durchgesetzt, dass sich einen Minimierung des Weichteiltraumas positiv auf den Heilungsverlauf auswirkt. Zum anderen hat die Weiterentwicklung der Instrumente, insbesondere der Fräser, viele der aktuellen Techniken erst möglich gemacht. Der lange gepflegte Twist zwischen traditionellen und minimalinvasiven Fußchirurgen hat sich zunehmend in einen fruchtbaren Dialog gewandelt. Bei ähnlichen Anforderungen an Osteosynthese und Präzision bietet die minimalinvasive Technik heute ein weiteres Werkzeug in der Hand des Operateurs ein gutes Ergebnis für den Patienten zu erreichen. Die Korrektur der Rückfussachse ist ein zentrales Element in der Behandlung des Pes planovalgus als auch des Pes cavus. Als offener Eingriffe wird bei Valgusfehlstellung eine medialisierende Kalkaneusosteotomie durchgeführt, bei Rückfußvarus eine laterale Closing wedge Osteotmie (Dwyer). Dabei stellt die Korrektur der Rückfußachse meist nur ein Element des therapeutischen Konzeptes dar. Bei ähnlichem Indikationsbereich läßt sich mit der Minimalinvasiven Kalkaneusosteotomie je nach Translation des Tuber calcanei eine Varus- als auch eine Valgusfehlstellung mit minimalem Weichteiltrauma korrigieren.
Operationsprinzip und –ziel
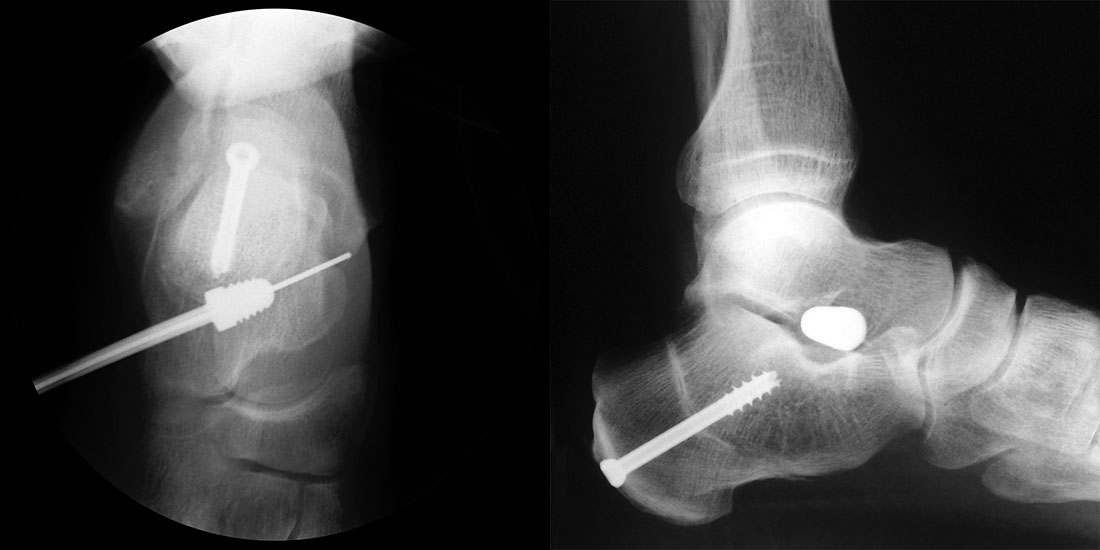
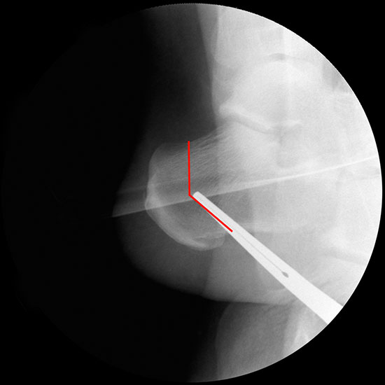
Bei Rückfussfehlstellungen ist meist eine knöcherne Korrektur des Kalkaneus indiziert. Dabei wird das Fersenbein im Bereich des Tuber calcanei durchtrennt und der Achillessehnenansatz nach medial oder lateral geschoben. Zusätzlich ist eine Rotation des Tuber möglich, wodurch sich der Korrektureffekt noch verstärkt. Durch die Wahl der Osteotomieebene kann die Verscheibung mit einer Verlängerung oder Verkürzung des Fersenbeins kombiniert werden. Die Osteosynthese erfolgt typischerweise durch perkutan eingebrachte Schrauben.
Vorteile
Minimales Weichteiltrauma.
Translation und Rotation des Tuber calcanei ermöglicht eine Korrektur auch ausgeprägter Fehlstellungen.
Der Erhalt des Weichteilmantels unterstützt die Stabilität der Osteotomie.
Durch eine V-förmige Schnittführung kann eine Translation des Tuber calcanei nach dorsal zuverlässig verhindert werden, bei hoher primärer Stabilität.
Geringere Narbenbildung und Schwellneigung aufgrund des minimierten Weichteiltraumas.
Nach Durchlaufen der Lernkurve kürze OP-Zeiten als beim offenen Vorgehen.
Schnellere Rehabilitation.
Der Eingriff ist mit sämtlichen offenen Komponenten der Rückfusschirurgie kombinierbar.
Nachteile
Höhere Strahlenbelastung als beim offenen Operieren. Dies gilt insbesondere für die Lernphase.
Technisch anspruchsvoll.
Indikationen
Rückfussfehlstellung mit pathologischer Kalkaneusachse (Varus oder Valgus), analog der Indikation der offenen Kalkaneusosteotomie.
Kontraindikationen
Infekt.
Hautschädigung (z.B. Ulzeration).
Hochgradige Durchblutungsstörung.
Relative Kontraindikationen
Schlechte Knochenqualität.
Arthrose oder kontrakte Fehlstellung des Subtalargelenks. Hier kann die minimalinvasive Kalkaneusosteotomie mit einer arthroskopischen Arthrodese des Subtalargelenks kombiniert werden.
Bei Deformitäten die sich durch die alleinige Verschiebung des Tuber calcanei nicht ausreichend korrigieren lassen ist ggf. eine Kombination mit anderen Eingriffen notwendig.
Patientenaufklärung
Möglicherweise ist ein Wechsel auf ein offenes Verfahren notwendig.
Verkürzung des Kalkaneus mit reduzierter Kraftentwicklung über die Achillessehne.
Verlängerung des Kalkaneus mit dem Risiko einer reduzierten Dorsalextension.
Über- oder Unterkorrektur mit dem Risiko von Folgeeingriffen.
Verletzung von Nerven (N. suralis, N. tibialis).
Verletzung von Sehnen im Tarsaltunnel.
Verzögerte Knochenheilung und Pseudarthrose der Osteotomie, ggf. mit der Notwendigkeit von Folgeeingriffen.
Implantatunverträglichkeit oder Metallkonflikt mit der Notwendigkeit einer Metallentfernung.
Sekundäre Dislokation der Osteotomie.
Rezidiv der Valgusfehlstellung.
Ggf. notwendige Zusatzeingriffe zur Vervollständigung der Korrektur (z.B. Sinus tarsi spacer, Osteotomie Metatarsale I, Verlängerung der Wadenmuskulatur oder Achillessehne).
Schwellneigung.
Schmerzen.
Notwendigkeit der Ruhigstellung für 6 Wochen mit 10 kg Teilbelastung an Unterarmgehstützen und anschließendem stufenweisen Belastungsaufbau.
Eigenständige aktive Mobilisation des Großengrundgelenks.
Bei persistierender Schwellung oder Bewegungsstörung Unterstützung der Nachbehandlung durch Lymphdrainagen und Physiotherapie insb. zur Normalisierung des postoperativen Gangbildes.
Oberflächlicher Infekt und Wundheilungsstörung.
Tiefer Infekt und Osteomyelitis.
Thrombose- und Embolie-Risiko und leitliniengerechte postoperative Thromboseprophylaxe.
Operationsvorbereitungen
Klinische Untersuchung des gesamten Fußes unter Entlastung und Belastung. Insbesondere
Rückfussachse im Stand
Single Heel Rise Test
Laterale Stabilität des Sprunggelenks
Funktion der Peronealsehnen
Laterales subfibulares Impingement
Verkürzung der dorsalen Kette (M. gastrocnemius), Silverskjöld-Test.
Beurteilung des Gangbildes.
Evtl. Fotodokumentation der Fehlstellung.
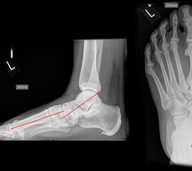
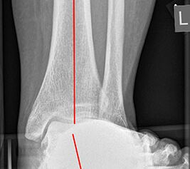
Röntgenaufnahmen des Fußes d.p., streng seitlich und schräg unter Belastung. Saltzmann Aufnahme zur Beurteilung der Rückfussachse.
Ggf. ergänzendes MRT zur Beurteilung des Knorpels im unteren Sprunggelenk bei V.a. Arthrose. Bei Pes planovalgus Beurteilung der Tibialis posterior Sehne, bei Pes cavus der Peronealsehnen.
CT bei Verdacht auf Coalitio.
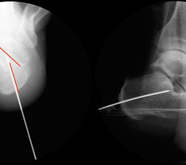
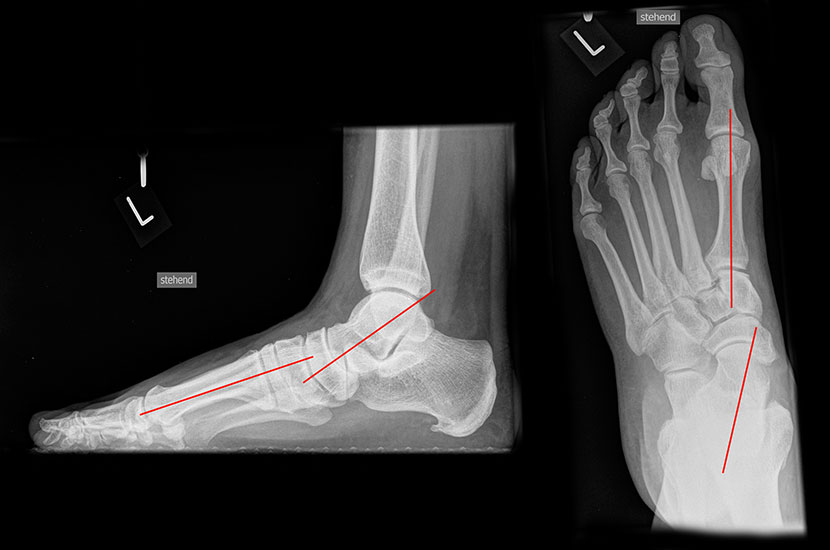
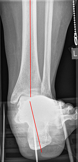
Operationsplanung anhand der Röntgenaufnahmen unter Beachtung wichtiger radiologischer Landmarks wie Rückfussachse, Metatarsale I – Talushals-Achse im dp und lateralen Strahlengang (Abbildung 1 und 2).
Patientenanleitung (ggf. Merkblatt) folgende präoperative Punkte zu beachten: Fußwaschung, Entfernung von Nagellack und/oder Schmuck, kein Eincremen der Füße vor der Operation
Clipping von Haaren nur, wenn diese ein relevantes Operationshindernis darstellen.
Single shot i.v. Antibiose mit weichteil- und knochengängigem Cephalosporin bei Narkoseeinleitung
Bildwandler Bildgebung.
Eine Knöchel-, Unterschenkel- oder Oberschenkelblutleere kann für den Fall eines möglichen Verfahrenswechsel vorbereitet werden. Für minimalinvasive Verfahren sollte die Blutleere oder-sperre aber nicht verwendet werden. Der Blutfluss ist für die Kühlung des OP-Gebiets hilfreich. Wird eine Blutsperre angelegt, muss noch intensiver gespült werden um Verbrennungen der Haut zu vermeiden.
Abbildung 1
Abbildung 2
Instrumentarium
Abbildung 3
Fräse für Minimalinvasive Fußchirurgie (Drehzahl: 300 RPM, Drehmoment 80 N/cm).
Shanon Fräser 20 mm Länge und 3,0 mm Durchmesser mit langem Schaft.
Bildverstärker.
Beaver-Blade Messer.
Mini-Raspatorium.
Kanülierte Schrauben bis 80 mm Länge.
Bohrmaschine
Kirschnerdraht mit 2,0 mm zur Verschiebung des Tuber calcanei.
Verbandsmaterial für redressierenden postoperativen Verband (sterile Kompressen, Mullbinde, elastische Binde 10-12 cm, Pflasterstreifen, Unterschenkelgipsschiene)
Anästhesie und Lagerung
Abbildung 4
Intubationsnarkose, Larynxmaskennarkose, Spinalanästhesie oder Ischiadicus-Femoralis-Obturatorius-Block (IFOB).
Lagerung des Patienten in Seitenlage, das zu operierende Bein oben z.B. mit einem Tunnelkissen (Abbildung 4). Weiche Lagerung des unten liegenden Beins zur Prophylaxe von Druckschäden am N. peronaeus in Höhe des Fibulaköpfchens.
Strahlenschutzmatte und Röntgenschürzen.
Auf eine Blutleere- oder Sperre wird bewusst verzichtet. Die Manschette kann angelegt werden um bei einem Wechsel auf ein offenes Verfahren oder weitere offene OP-Schritte die Möglichkeit der Blutsperre zu haben.
3. Alternativ ist eine Transposition der Sehne des M. flexor digitorum longus auf das Os naviculare möglich (FDL-Transfer). Das tendoskopische Debridement bietet sich insbesondere an bei Patienten mit im MRT noch weitgehend intakter Sehne (Abb. 21)."> 3. Alternativ ist eine Transposition der Sehne des M. flexor digitorum longus auf das Os naviculare möglich (FDL-Transfer). Das tendoskopische Debridement bietet sich insbesondere an bei Patienten mit im MRT noch weitgehend intakter Sehne (Abb. 21)." srcset="/assets/images/x/20-4wazvyk6qcpt2xs.jpg 1x, /assets/images/y/20-a6v6m55vtx2zmry.jpg 1.5x, /assets/images/q/20-ye4s9jha1jrvcge.jpg 2x" width="270" height="240" loading="lazy">
Abbildung 20
3. Alternativ ist eine Transposition der Sehne des M. flexor digitorum longus auf das Os naviculare möglich (FDL-Transfer). Das tendoskopische Debridement bietet sich insbesondere an bei Patienten mit im MRT noch weitgehend intakter Sehne (Abb. 21)."> 3. Alternativ ist eine Transposition der Sehne des M. flexor digitorum longus auf das Os naviculare möglich (FDL-Transfer). Das tendoskopische Debridement bietet sich insbesondere an bei Patienten mit im MRT noch weitgehend intakter Sehne (Abb. 21)." srcset="/assets/images/0/21-n45853s2pe0a6dv.jpg 1x, /assets/images/w/21-rjh7v27n1j3bg4x.jpg 1.5x, /assets/images/w/21-7spvf34wgeytm3k.jpg 1.844x" width="270" height="240" loading="lazy">
Abbildung 21
Postoperative Behandlung
Walker mit Teilbelastung 10 kg und elastokompressiven Verband für 6 Wochen. Nach Röntgenkontrolle der knöchernen Konsolidierung stufenweise Aufbelastung.
Rückfussfassende Einlagenversorgung mit Abstützung am Sustentaculum tali. Diese kann bereits im Walker verordnet werden. Im Verlauf wird die Einlage dann für den Gebrauch im Konfektionsschuh vom Orthopädietechniker zurechtgeschliffen.
Antiphlogistika und Analgetika nach Bedarf.
Postoperative Hochlagerung und bei Schwellung Eisauflage für die ersten zwei Wochen postoperativ.
Thromboembolieprophylaxe gemäß Leitlinie.
Physiotherapie zur passiven und aktiven Beübung des Sprunggelenks, insbesondere Anleitung des Patienten zur Eigenübung.
Optional erfolgen Lymphdrainagen ab dem 1. bis 2. postoperativen Tag in Abhängigkeit von der Schwellneigung.
In Abhängigkeit von der Koordinationsfähigkeit Verordnung von Krankengymnastik zur Gangbildschulung nach der 6. postoperativen Woche 4.
Arbeitsunfähigkeit in Abhängigkeit vom Berufsbild. Bei körperlicher Arbeit liegt diese erfahrungsgemäß bei 3-4 Monaten.
Fehler, Gefahren, Komplikationen
Zur Beherrschung von intraoperativen Komplikationen sollte der Operateur die offenen Techniken der Rückfusskorrektur souverän beherrschen.
Verbrennungen der Haut und Hitzeschäden des Knochens aufgrund von unzureichender Spülung.
Überkorrektur und Unterkorrektur.
Verletzung von Sehnen, Nerven und Gefäßen: Werden beim Halten des Fußes Weichteile gegen die laufende Fräse gedrückt, kann es zu Gewebeschäden kommen.
Das Pseudarthroserisiko ist wie bei offenen Osteotomien des Kalkaneus gering. Die Therapieprinzipien sind analog dem Vorgehen nach offener Operation.
Ergebnisse
Die Kalkaneusosteotomie in Kombination mit dem Flexor hallucis longus Transfer ist ein etabliertes Verfahren zur Korrektur der Tibialis posterior Insuffizienz Grad 2 5. Die Prinzipien der hier beschriebenen Osteotomie sind identisch zum offenen Vorgehen, lediglich der operative Zugangsweg unterscheidet sich. Es wurden bisher keine großen Serien der minimalinvasiven Operationstechnik publiziert. Die Autoren haben in den letzten drei Jahren über 50 Patienten mit dem beschriebenen Behandlungskonzept versorgt. Im Vergleich zum offenen Vorgehen ist die Wundheilung schneller bei geringerer Schwellneigung des Fußes. Bei identischem mechanischen Konzept und grundsätzlich identischen Komplikationsmöglichkeiten wie beim offenen Vorgehen, profitieren die Patienten während der Rehabilitationsphase erheblich von der geringeren Weichteiltraumatisierung. Die gleichzeitige Verwendung eines Sinus tarsi Spacers bei ausgeprägten Pes planovalgus Fehlstellungen etabliert sich zunehmend auch beim Erwachsenen mit guten Resultaten 12.
Weitere Literatur
Stäbler A, Szeimies U. Walther M: Bildgebung an Fuß und Sprunggelenk. Thieme, Stuttgart, 2013