Zusammenfassung

Die strukturierte Untersuchung von Fuß und Sprunggelenk kann in chronologischer Reihenfolge des Untersuchungsgangs anhand folgender Punkte zusammengefasst werden:

  1. Anamnese.
  2. Beurteilung Gangbild.
  3. Inspektion der Haut, Ödeme, Narben, Nägel, Beschwielung des Fußes (schmerzhafte Clavi).
  4. Funktionstests (Zehenspitzengang - Hackengang).
  5. Statik des Fußes (Rückfußachse - mediale Fußwölbung - Vorfuß).
  6. Oberes Sprunggelenk.
  7. Achillessehne und posteriorer Kalkaneus (optional).
  8. Personealsehnen und Extensorensehnen (optional).
  9. Unteres Sprunggelenk.
  10. Vorfuß-Rückfuß-Beziehung.
  11. 1. Vorfußstrahl:
    • Stabilitätstest Tarsometatarsale-1-Gelenk.
    • Beweglichkeit Großzehengrundgelenk, Stabilität, Sesambeine.
    • Achsabweichung Os metatarsale I und Form Großzehengrundgelenk (Hallux valgus,Hallux varus, Metatarsus primus varus, Pseudoexostose).
    • Beweglichkeit Interphalangeal-Gelenk D1.
    • Funktion Extensor und Flexor hallucis longus und brevis.
  12. Untersuchung zentraler Vorfuß:
    • Stabilitätstests Zehengrundgelenke.
    • Funktion Extensor und Flexor digitorum longus und brevis.
    • Untersuchung auf Fehlstellungen der Kleinzehe (flexibel - kontrakt).
    • Funktionsstatus der Kleinzehen (Bodenkontakt der Zehenkuppe).
  13. Untersuchung 5. Vorfußstrahl:
    • Fehlstellung Metatarsus quintus.
    • Fehlstellung 5. Zehe.
  14. Durchblutung. 
  15. Neurologie (Sensibilitätsstörungen, Paresen).

Anamnese

Trotz aller Fortschritte in technisch-diagnostischen Verfahren besitzt die Anamnese eine zentrale Bedeutung bei der Diagnostik von Erkrankungen und Verletzungen des Bewegungsapparates und liefert häufig auch schon wichtige Hinweise auf mögliche therapeutische Ansätze.

Idealerweise wird das Gespräch zwischen Arzt und Patient mit einer offenen Frage begonnen, die dem Patienten ausreichend Zeit gibt, seine Beschwerden oder seine Beeinträchtigung zu artikulieren. Eine empathische Grundhaltung des Arztes und ein räumliches Setting, das ein vertrauliches Gespräch zulässt, sind dabei Voraussetzung. Gerade in der Fußchirurgie besteht ein erhebliches Risiko, anhand schnell erhobener Befunde und aufgrund von Röntgenbildern einen Therapievorschlag zu erstellen, der nicht die Bedürfnisse des Patienten trifft. Exemplarisch sei an dieser Stelle die häufige Hallux-valgus-Deformität des Vorfußes genannt, die von vielen Patienten subjektiv als nicht störend empfunden wird.

Nachdem dem Patienten ausreichend Zeit zur freien Artikulation des Grundes für die ärztliche Konsultation gegeben wurde, sollte durch gezielte Fragen die Beschwerdesymptomatik weiter präzisiert und charakterisiert werden:

  • Stehen Schmerzen oder eine Störung der Funktion im Vordergrund?
  • Wo genau sind die Schmerzen lokalisiert?
  • Welche Funktionsstörung besteht?
  • Wie lange bestehen die Beschwerden?
  • Wurden die Beschwerden durch ein besonderes Ereignis ausgelöst?
  • Lassen sich die Schmerzen provozieren? Wenn ja, wie und wodurch?
  • Führt eine Belastung zu einer Zunahme der Schmerzen, oder treten die Schmerzen eher in Ruhe auf?
  • Wodurch lassen sich die Schmerzen lindern?
  • Welche Diagnostik ist bisher durchgeführt worden?
  • Welche Behandlung ist bisher durchgeführt worden?
    1. Medikamentöse Behandlung / Injektionen?
    2. Schuhzurichtung?
    3. Einlagen?
    4. Welchen Einfluss hat die bisher durchgeführte Behandlung auf die Beschwerden gehabt?
  • Welche Veränderung der Situation erhoffen Sie sich von einer Behandlung?

Neben einer detaillierten Schmerzanamnese ist auch bei einer Erstvorstellung des Patienten ein Abfragen folgender Punkte im Sinne einer Checkliste sinnvoll:

  • Welche Medikamente werden eingenommen?
  • Gibt es Hinweise für eine Zuckerkrankheit (Diabetes)?
  • Gibt es Hinweise auf eine Rheumaerkrankung (auch in der Familie)?
  • Sind Durchblutungsstörungen der Beine bekannt (Nikotinabusus)?
  • Liegen Allergien und/oder Unverträglichkeiten vor?
  • Sind jemals erhöhte Harnsäurewerte (Gicht) festgestellt worden?

Im Sinne einer Arbeitsökonomie wird man die Erhebung der vollständigen medizinischen Vorgeschichte vor geplanten operativen Eingriffen durchführen, nicht jedoch bei ambulanten Konsultationen.

Anmerkung: Zusätzlich zu den in diesem Kapitel aufgeführten Tests finden sich in den Kapiteln zu den einzelnen Krankheitsbildern noch weitere, spezifische klinische Tests für verschiedene Pathologien.

Klinische Untersuchung (Diagnostisches Vorgehen):

In jedem Falle empfiehlt sich eine strukturierte klinische Untersuchung des gesamten Fußes. Auch im Falle isolierter Vorfußpathologien, ist eine orientierende Untersuchung des Gangbildes und des Rückfußes unverzichtbar. Die Untersuchung erfolgt am halb entkleideten Patienten.

Gangbild

Der Patient wird zu Beginn der Untersuchung aufgefordert einige Schritte im Untersuchungszimmer zu gehen. Grobe Pathologien des Gangbildes sind unter Umständen schon beim Betreten des Untersuchungszimmers zu beobachten. Die Beurteilung des Gangbildes sollte mit und ohne Schuhwerk erfolgen und idealerweise unterschiedliche Gehgeschwindigkeiten umfassen.

Video: Normaler Gang (J. Dohle)

Auf folgende Aspekte ist bei der Untersuchung des Gangbildes zu achten:

1. Störungen der Bewegungsabläufe:
Zunächst erfolgt die Fokussierung auf eine Extremität, wobei auf regelhaften Ablauf der verschiedenen Phasen des Gangzyklus geachtet wird. Danach erfolgt dieselbe Analyse an der anderen Extremität.

2. Asymmetrien der Bewegung des gesamten Körpers:
Zu beachten ist die Rotation des Rumpfes, die Schwingbewegungen der Arme, die Rotation des Schultergürtels in Bezug auf jene des Beckens, sowie Asymmetrie in den Bewegungsabläufen der Beine.

Video: Steppergang. Ausfall der Fußheber. Es entsteht eine Asymmetrie des Gangs, die fehlende Dorsalextension im Sprunggelenk wird durch ein Anheben des Beckens ausgeglichen (J. Dohle).

3. Stellung der Patella und des Tuberculum tibiae:
Beide Strukturen sind Indikatoren der Rotation der Beine in axiale Richtung.

Abb. 1: Rotationsfehlstellung beider Unterschenkel. Steht die Patella ventral (rechts), findet sich an beiden Füßen einen Innenrotation von ca. 20° (M. Walther).

Zum Lesen der Bildbeschreibung und zur Vollansicht bitte das Bild anklicken.

4. Rotation des Fußes während der verschiedenen Phasen des Gangzyklus:
Am Ende der Standphase hat das Bein die maximale Außenrotation erreicht und der Fuß weist nach außen. In der Schwungphase tritt eine Innenrotation des gesamten Beines und des Fußes auf. Im Weiteren ist auf die Stellung der Längsachse des Fußes zum Zeitpunkt des initialen Kontaktes (Bodenkontakt der Ferse) und in der mittleren Standphase zu achten.

5. Die Form des medialen Längsgewölbes während der ersten Hälfte der Standphase:
Normalerweise kommt es zu einer Pronation des Fußes bei der Aufnahme des Körpergewichtes.

Video: Normales Gehen seitlich in Zeitlupe. Erkennbar ist das leichte physiologische Einsinken des Längsgewölbes in der Standphase (J. Dohle).

6. Das Ausmaß der Inversion der Ferse und der Supination des Fußes in der terminalen Standphase:
Die Inversion der Ferse zu diesem Zeitpunkt ist entscheidend für ein suffizientes und kräftiges Abdrücken (siehe Abschnitt Biomechanik Rückfuß).

7. Stellung des Fußes zum Zeitpunkt des initialen Kontaktes:
Normalerweise berührt beim Gehen die Ferse zuerst den Boden, gefolgt von einer schnellen Plantarflexion des Fußes.

Video: Abrollbewegung des Fußes in der Ganganalyse. Die Darstellung der Druckverteilungsanalyse zeigt das Aufsetzen der Ferse, den Abrollvorgang zunächst über den Fußaußenrand, bis dann die Abstoßphase über das Großezehengrundgelenk erfolgt (J. Dohle).

Hinsichtlich einer ausführlichen Beschreibung von Veränderungen des Gangbildes wird auf die entsprechenden Kapitel „Biomechanik des Gehens und Stehens" und „Pedobarographie/Pedographie" verwiesen.

Inspektion

Die Inspektion der Haut und Nägel liefert wichtige Informationen über den Fuß.

  • Trockene rissige Haut: Typisch für Diabetes mellitus und Durchblutungsstörungen.
  • Verlust der feinen Lanugobehaarung auf den Zehen: Hinweis auf Durchblutungsstörungen.
  • Nagelveränderungen: Mykose, chronische mechanische Schädigung durch Sport.
  • Livide Verfärbung der Haut: Durchblutungsstörungen, CRPS.
  • Narben: Trauma oder Operationen in der Vorgeschichte.

Abbildung 2: Chronische Nagelschäden bei einem Marathonläufer (M. Walther).

Zum Lesen der Bildbeschreibung und zur Vollansicht bitte das Bild anklicken.

Funktionstests

Anschließend wird der Patient aufgefordert einige Funktionstests durchzuführen:

  • Zehenspitzengang.
  • Hackengang.
  • Single-Heel-Rise-Test.

Durch die beiden erstgenannten Tests kann ein grober Ausschluss eventuell vorhandener neurologischer oder muskulärer Defizite erfolgen.

Der Single-Heel-Rise-Test ist vor allem bei Knick-Senkfuß-Deformitäten zur Beurteilung der Funktion der Tibialis-posterior-Sehne hilfreich, gleichzeitig bietet er Informationen zur Kraftentwicklung der Achillessehne.

Zehenspitzengang - Hackengang

Der Patient wird aufgefordert einige Schritten auf den Zehenspitzen und auf den Hacken zurückzulegen. Dabei lassen sich Aussagen bezüglich der neuromuskulären Koordination, der Muskelkraft der langen Extensoren und Flexoren des Fußes, sowie der Funktion des oberen Sprunggelenks treffen.

Abbildung 3: Hackengang (J. Dohle).

Zum Lesen der Bildbeschreibung und zur Vollansicht bitte das Bild anklicken.

Video: Physiologischer Zehenspitzengang. Der Patient kann das Körpergewicht am Vorfuß stabilisieren. Pathologische Befunde finden sich beispielsweise bei einer Kraftminderung der Wadenmuskulatur (z.B. Schädigung S1 Wurzel nach Bandscheibenvorfall, Elongierte Achillessehne nach Ruptur) oder bei einem Funktionsdefizit der Tibialis posterior Sehne (J. Dohle).

Single/Double-Heel-Rise-Test

Der Patient wird aufgefordert zunächst mit beiden Fußen in den Zehenstand zu gehen (Double-Heel-Rise-Test). Im Zehenspitzenstand kommt es zu einer physiologischen Varisierung der Ferse als Zeichen der Verriegelung des Rückfußes mit Stabilisierung der Rückfuß-Vorfuß-Beziehung. Kommt es nicht zu der genannten Varisierung der Ferse ist der Test als pathologisch zu bezeichnen 1. Der Double-Heel-Rise-Test dient vor allem der Beurteilung der Rückfußbeweglichkeit. Anschließend ist ein einbeiniger Zehenspitzenstand durchzuführen. Die funktionellen Anforderungen an den Rückfuß sind im Einbeinstand wesentlich höher als im Double-Heel-Rise-Test. Überprüft wird ob der Zehenstand erreicht wird und ob es zu einer Rückfußvarisierung kommt. Ergänzend kann geprüft werden, ob der Patient mit Unterstützung des anderen Beins einen Zehenspitzenstand erreichen und dann einbeinig halten kann.

Abbildung 4: Der Patient steht auf einem Bein an einer Wand und kann sich Abstützen um die Balance zu halten (links). Das kontralaterale Bein wird angehoben (mitte). Der Patient wird aufgefordert in den einbeinigen Zehenstand zu gehen. Dabei kommt es zu einer Rückfußvarisierung (rechts) (J. Dohle).

Abbildung 5: Bei schwerer Planovalgus-Deformität in Folge einer Tibialis-posterior-Dysfunktion kommt es im Zehenstand zu keiner Rückfußvarisierung (J. Dohle)

Zum Lesen der Bildbeschreibung und zur Vollansicht bitte die Bilder anklicken.

Video: Physiologischer Double-Heel-Rise Test. Der Patient erreicht beidbeinig den Zehenstand, es kommt beidseits zu einer physiologischen Varisierung des Rückfußes (M. Walther).

Video: Physiologischer Single-Heel-Rise Test. Der Patient erreicht im Einbeinstand den Zehenstand, es kommt zu einer physiologischen Varisierung des Rückfußes (M. Walther).

Video: Pathologischer Single-Heel-Rise Test. Bei dem Patienten besteht eine Pes planovalgus Deformität, der Einbeinzehenstand ist zwar ausführbar, allerdings kommt es nicht zu der physiologischen Rückfußvarisierung (J. Dohle).

Video: Pathologischer Single-Heel-Rise Test. Der Patient kann im Einbeinstand die Ferse nicht anheben und versucht dies durch Ausgleichsbewegungen zu kompensieren (M. Walther).

Differentialdiagnose pathologischer Single/Double-Heel-Rise-Test

  • Dysfunktion des M. tibialis posterior (Elongation bzw. Ruptur der Sehne, Parese, Paralyse).
  • Bewegungseinschränkung im Bereich des subtalaren Gelenkes bzw. der transversen tarsalen Gelenklinie (Coalitio, Talus verticalis, Arthrose Subtalargelenk, posttraumatische Fehlstellung).
  • Pathologien der Achillessehne (Elongation nach Ruptur, chronische Ruptur).
  • Kraftminderung der Wadenmuskulatur (Schädigung der S1 Wurzel der LWS, Läsion des N. ischiadicus, neuromuskuläre Erkrankung).

Statik des Fußes

Die Statik des Fußes wird üblicherweise anhand der Veränderungen von 3 wesentlichen Komponenten der Stellung beschrieben:

  • Achse des Rückfußes im Anblick von hinten.
  • Ausmaß der medialen Fußwölbung im Anblick von der Innenseite des Fußes.
  • Breite bzw. Verbreiterung des Vorfußes.

Rückfußachse

Die Längsachse des Fersenbeins weicht gegenüber der Längsachse des Unterschenkels um ca. 7° zur Außenseite ab (physiologischer Rückfußvalgus). Ist die Abweichung vermehrt, liegt ein Knickfuß vor, ist die Abweichung vermindert, oder kommt es gar zu einer Abweichung zur Innenseite, wird dies als Rückfuß varus bezeichnet. Genaue Grenzen, ab wann z.B. ein Knickfuß vorliegt sind nicht definiert. Eine Abweichung zur Innenseite ist aber in jedem Fall pathologisch.

Abbildung 6: Ausgeprägter Rückfußvalgus rechts, hier in Folge einer subtalaren Koalitio (J. Dohle).
Abbildung 7: Ausgeprägter Rückfußvarus rechts (J. Dohle).

Zum Lesen der Bildbeschreibung und zur Vollansicht bitte die Bilder anklicken.

Too many toes Zeichen

Ein statischer Test zur Beurteilung der Rückfußachse ist das „Too many toes Zeichen“. Bei einer vermehrten Vorfußabduktion sind in der Ansicht von dorsal die Kleinzehen lateral sichtbar, während der Großzehe hinter dem prominent erscheinenden Innenknöchel verschwindet.

Abbildung 8: Too many toes Zeichen. Physiologische Rückfußachse rechts. Der Fuß verschwindet weitgehend hinter dem Sprunggelenk. Positives too many toes Zeichen links. Die Kleinzehen 2-5 sind lateral des Außenknöchels sichtbar (M. Walther).

Zum Lesen der Bildbeschreibung und zur Vollansicht bitte das Bild anklicken.

Mediale Fußwölbung

Während der Fußaußenrand dem Untergrund flach aufliegt hat der Fuß auf der Innenseite eine physiologische Wölbung. Ist die physiologische Wölbung vermindert, liegt ein Senkfuß vor, ist die Wölbung vermehrt spricht man von einem medialen Hohlfuß. Allgemein gültige Normwerte konnten bis heute nicht formuliert werden, die physiologische Bandbreite schmerzfrei funktionierender Füße ist sehr groß. Auch bestehen erhebliche Unterschiede zwischen verschiedenen ethnischen Gruppen. Liegt die Innenseite des Fußes dem Untergrund vollständig auf, ist also die mediale Wölbung vollständig verloren gegangen, ist dies sicher pathologisch. Bei einem derartig ausgeprägten Senkfuß kann es zur Ausbildung von belastungsinduzierten Schwielen unter dem medialen Mittelfuß kommen, die meistens sehr schmerzhaft sind. Wieviel mediale Fußwölbung unter funktionellen Aspekten jedoch erforderlich ist, ist nicht sicher definiert und unverändert Gegenstand kontroverser Diskussionen. Eine Seitendifferenz gilt allerdings in jedem Fall als pathologisch und ist mit einem erhöhten Verletzungsrisiko vergesellschaftet 2.

Ergänzend sei hinzugefügt, dass im Bereich des Mittelfußes eine physiologische Querwölbung des Fußes besteht, wogegen unter dem Vorfuß, insbesondere auf Höhe der Metatarsaleköpfchen keine Querwölbung vorliegt. Die Hauptlast befindet sich physiologisch unter dem 2. und 3. Strahl {ref: 8342316}

Abbildung 9: Aufgehobenes mediales Längsgewölbe bei einer schweren Pes planovalgus Fehlstellung (J. Dohle).
Abbildung 10: Hohes Längsgewölbe bei einem Pes cavus (J. Dohle).

Zum Lesen der Bildbeschreibung und zur Vollansicht bitte die Bilder anklicken.

Windlass Mechanismus - Jack-Rise-Test

Die Dorsalextension der Großzehe führt zu einer passiven Anspannung der Plantarfaszie und damit zu einer ligamentär vermittelten Aufrichtung im Fußlängsgewölbe. Mit diesem Test kann die Aufrichtung des Längsgewölbes überprüft werden. Ein ausgefallener Windlass Mechanismus ist ein Indikator für einen schweren strukturellen Schaden der plantaren Verspannung des medialen Fußgewölbes.

Abbildung 11: Windlass Mechanismus (Syn. Jack Rise Test). Die Dorsalextension der Großzehe führt zu einer passiven Anspannung der Plantarfaszie und damit zu einer ligamentär vermittelten Aufrichtung im Fußlängsgewölbe (J. Dohle).

Zum Lesen der Bildbeschreibung und zur Vollansicht bitte das Bild anklicken.

Video: Windlass Mechanismus (Syn. Jack Rise Test). Die Dorsalextension der Großzehe führt zu einer passiven Anspannung der Plantarfaszie und damit zu einer ligamentär vermittelten Aufrichtung im Fußlängsgewölbe (M. Walther/C. Zanzinger).

Vorfußsupination

In Verbindung mit einem Rückfußvarus findet sich häufig eine Vorfußsupination. Der Vorfuß adaptiert sich an die Rückfußfehlstellung, so dass es bei Redression der Fersen zu einer Supination des Vorfußes kommt. Unterschieden werden kann eine rigide und eine flexible Vorfußsupination 3. Die Vorfußsupination ist insbesondere bei Rückfußkorrekturen in das Therapiekonzept mit einzubeziehen. Eine nicht korrigierte Vorfußsupination kann auch nach einer Kalkaneuskorrekturosteotomie die Ferse wieder in eine vermehrte Valgusposition zwingen.

Abbildung 12: Rückfußvalgus beidseits bei Tibialis posterior Insuffizienz (oben). Wird die Rückfußfehlstellung passiv korrigiert, kommt es zu einer Supinationsstellung des Vorfußes (unten) (J. Dohle).

Zum Lesen der Bildbeschreibung und zur Vollansicht bitte das Bild anklicken.

Vorfußpronation

Eine Pronation des Vorfußes ist eine Komponente der Pes cavus Deformität. Kennzeichnend ist das nach plantar flektierte Os metatarsale I. Kontrakturen des Mittelfußes.

Abbildung 13: Vorfußpronation mit plantar flektiertem Os metatarsale I (J. Dohle).

Zum Lesen der Bildbeschreibung und zur Vollansicht bitte das Bild anklicken.

Differentialdiagnose Vorfußpronation

  • Pes cavus mit Deformität im Vorfuß/Mittelfuß.
  • Überaktivität M. peronaeus longus (z.B. bei chronischer lateraler Instabilität oder Ruptur der Sehne des M. peronaeus brevis).
  • Neuromuskuläre Erkrankungen.
  • Knöcherne Pathologien der Fußwurzel.
  • Posttraumatisch.

Coleman Block Test

Der Coleman lateral Block Test dient zur Untersuchung eines Cavovarus-Fußes 45. Durch eine diagonale Fußaußenranderhöhung (Brettchen) lateral des 1. Strahls kann die Varusstellung der Ferse beim flexiblen Hohlfuß korrigiert werden. Eine Vorfußpronation verliert damit ihre Auswirkung auf die Rückfußstellung. Mit diesem Test läßt sich unterscheiden, ob ein varischer Rückfuß durch eine Fehlstellung des Kalkeneus, oder durch eine Vorfußpronation verursacht wird und ob es sich um eine flexible oder rigide Rückfußfehlstellung handelt.

Abbildung 14: Coleman lateral Block Test. Der Patient steht mit dem Rückfuß und dem lateralen Fußrand erhöht, der mediale Vorfuß “schwebt“. Durch die Hohllegung des Os metatarsale I wirkt sich bei flexiblen Deformitäten eine Vorfußpronation nicht mehr auf die Rückfußstellung aus. Der Test ermöglicht zu unterscheiden, ob eine Pes cavus Stellung vor allem durch eine Fehlstellung des Rückfußes oder eine Fehlstellung des Vor-/Mittelfußes verursacht wird und in wie weit die Fehlstellung flexibel ist (J. Dohle).

Zum Lesen der Bildbeschreibung und zur Vollansicht bitte das Bild anklicken.

Vorfußbreite

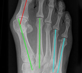
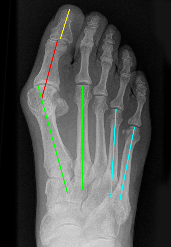
Eine Verbreiterung des Vorfußes wird als Spreizfuß bezeichnet. Ursächlich ist meist eine Deviation des ersten Metatarsale nach medial und/oder eine Abweichung des fünften Metatarsale nach lateral. Die Abweichung kann im Röntgenbild quantifiziert werden. Der Winkel zwischen Os metatarsale I und II wird als pathologisch zu bezeichnet, wenn er in der belasteten dorsoplantaren Röntgenaufnahme 9° überscheitet. Der Intermetatarsalwinkel IV/V wird ab einem Wert von mehr als 8° als erhöht.

Abbildung 15: Schwere Spreizfußdeformität (M. Walther).
Abbildung 16: Belastetes dorsoplantares Röntgenbild des Fußes. Zur Beurteilung des Spreizfußes wird der Intermetatarsalwinkel I/II (grüne Linien - Norm < 9 Grad) und der Intermetatarsalwinkel IV/V (blaue Linien - Norm < 8°) bestimmt. Die Abweichung der Großzehe ist durch den Hallux valgus Winkel definiert (grüne/rote Linie), eine Fehlstellung innerhalb der Großzehe durch den Interphalangealwinkel (rote/gelbe Linie) (M. Walther).

Zum Lesen der Bildbeschreibung und zur Vollansicht bitte die Bilder anklicken.

Kombinierte Fehlstellungen der Statik

Die einzelnen Fehlstellung liegen gehäuft in typischen Kombinationen vor, die in zwei Hauptgruppen unterteilt werden können:

Planovalgus-Deformitäten

  • Knick-Senkfuß
  • Senk-Spreizfuß
  • Knick-Senk-Spreizfuß

Cavovarus-Deformitäten

  • medialer Ballenhohlfuß
  • kompletter Ballenhohlfuß
  • Hackenfuß

Siehe auch folgende Beiträge:

Hinsichtlich der Funktion sind Füße mit einer Planovalgus-Deformität überwiegend weich und flexibel, während Füße mit Cavovarus-Deformität eher rigide sind.

Deformitäten werden zusätzlich auf ihre manuelle Korrigierbarkeit hin überprüft. Ist im entlasteten Zustand eine manuelle Korrektur möglich, wird von einer flexiblen Deformität gesprochen, ist dies nicht möglich liegt eine kontrakte Fehlstellung vor.

Achtung: Eine Beurteilung der Statik des Fußes wird immer bei beidbeiniger Belastung der Füße vorgenommen. Dies gilt sowohl für die klinische Untersuchung als auch für die Röntgendiagnostik!

Weitere Untersuchungen:

Nach Beurteilung des Gangbildes und der Statik erfolgt die manuelle Untersuchung des Fußes. Dabei sollten schmerzhafte Areale immer als letztes untersucht werden. Es empfiehlt sich eine sitzende Position des Patienten, wobei der Untersucher auf der Außenseite des zu untersuchenden Fußes z.B. auf einem Hocker Platz nimmt.

Abbildung 17: Untersuchungsposition Patient - Untersucher (J. Dohle)

Zum Lesen der Bildbeschreibung und zur Vollansicht bitte das Bild anklicken.

Oberes Sprunggelenk

Das obere Sprunggelenk ist funktionell in guter Näherung ein Scharniergelenk. Dabei wird das Sprungbein (Talus) in der Knöchelgabel geführt. Stabilisiert wird das Gelenk durch den Bandapparat medial und lateral. Die Beweglichkeit des oberen Sprunggelenks (OSG) wird bei gestrecktem und gebeugtem Kniegelenk untersucht und dokumentiert. Die Dokumentation richtet sich nach den Vorgaben der Neutral-Null-Methode.

Abbildung 18: Skizze Neutral-Null-Bewegungsausmaß Sprunggelenk. Die Bewegung des Fußes gegenüber der Tibia ist eine Summationsbewegung aus oberem Sprunggelenk und unterem Sprunggelenk. Der Bewegungsumfang des oberen Sprunggelenks isoliert lässt sich am besten überprüfen, indem der Rückfuß am Talushals und Kalkaneus gefasst wird (siehe Video) (J. Dohle).

Abbildung 19: Silfverskjöld-Test = positives Translationsphänomen. Beurteilung der Dorsalextension im OSG bei gestrecktem und gebeugtem Kniegelenk. Ist die Dorsalextensionsfähigkeit im OSG bei gebeugtem Kniegelenk deutlich größer wird dies als positives Translationsphänomen (positiver Silfverskjöld Test) bezeichnet und weist auf eine Verkürzung des Musculus gastrocnemius hin (J. Dohle).

Zum Lesen der Bildbeschreibung und zur Vollansicht bitte die Bilder anklicken.

Video: Der Silfverskjöld Test (syn. Translationsphänomen) gilt als positiv, wenn die Dorsalextension des Sprunggelenks bei gebeugtem Kniegelenk größer ist, als bei gestrecktem Kniegelenk (J. Dohle).

Insbesondere bei ausgeprägten Rückfußfehlstellungen, aber auch bei Patienten mit neuromuskulären Grunderkrankungen, ist mit einer Verkürzung des Musculus gastrocnemius zu rechnen.

Wichtige Differentialdiagnosen mit Bewegungseinschränkung des Sprunggelenks:

  • Osteophyten (harter Anschlag ventral oder dorsal, unabhängig von der Stellung des Kniegelenks).
  • Weichteilimpingement (weicher Anschlag, unabhängig von der Stellung des Kniegelenks).
  • Verkürzung der Achillessehne oder der gesamten Wadenmuskulatur (meist weicher Anschlag, unabhängig von der Stellung des Kniegelenks).
  • Isolierte Verkürzung des M. gastrocnemius (Zunahme der Dorsalextension bei Flexion des Kniegelenks).

Video: Überprüfung der Beweglichkeit des oberen Sprunggelenks. Test ventrales Impingement (M. Walther).

Video: Überprüfung der Beweglichkeit des oberen Sprunggelenks. Test dorsales Impingement (M. Walther).

Der laterale Bandapparat ist nach Sportverletzungen des Sprunggelenkes im Sinne eines Supinationstraumas häufig geschädigt, so dass eine Stabilitätsuntersuchung des Sprunggelenkes ggf. Teil der klinischen Untersuchung ist. Überprüft werden Talusvorschub und laterale Aufklappbarkeit. Bei sämtlichen Stabilitätsprüfungen muss bedacht werden, dass die Talusrolle im ventralen Bereich breiter ist als im dorsalen Abschnitt. Dies bedingt eine Stabilisierung der Talusrolle in der Knöchelgabe durch Dorsalextension des Talus. Im Umkehrschluss muss eine Stabilitätsprüfung des Bandapparates deshalb bei mäßig flektiertem Fuß erfolgen, so dass eine Stabilisierung durch ein knöchernes Containment nicht vorliegt (Elsner, 2011). In der akuten Situation nach einer Verletzung können Bandinstabilitäten durch einen schmerzbedingt erhöhten Muskeltonus maskiert werden 6.

Achillessehne

Die Achillessehne wird in Form und Funktion beurteilt. Degenerative Veränderungen der Sehne führen bevorzugt zu einer spindelförmigen Auftreibung der Achillessehne im mittleren Drittel. Eine Abgrenzung zu einer Verdickung des Paratenons, z.B. bei Vorliegen einer Peritendinitis der Achillessehne ist klinisch kaum möglich. Teilweise lassen sich aber knotige Veränderungen des Sehnengleitgewebes tasten.

Abzugrenzen ist hiervon die Insertionstendopathie, die sich durch einen Schmerz am Sehnen-Knochen-Übergang auszeichnet. Etwas kranial davon am posterioren und superioren Kalkaneus finden sich die Beschwerden bei einer Haglundexostose. In vielen Fällen finden sich klinische Mischbilder aus Haglundexostose mit Bursitis subachillea und einer Ansatztendinose der Achillessehne 7.

Abbildung 20: Ansatznahe Pathologien der Achillessehne (J. Dohle).
Abbildung 21: Mid-Portion Tendinopathie der Achillessehne. Die Auftreibung finden sich im mittleren Drittel der Sehne. Es handelt sich um den klassischen Befund bei einer Achillodynie (M. Walther).
Abbildung 22: Insertionstendinose der Achillessehne. Typisch sind die schmerzhaften knöchernen Prominenzen im Randbereich des Fersenbeins (M. Walther).

Zum Lesen der Bildbeschreibung und zur Vollansicht bitte die Bilder anklicken.

Die mechanische Funktion der Achillessehne kann mit dem Thompson Test getestet werden kann. Der Test ist positiv sobald die Krafübertragung zwischen Wadenmuskel und Ferse gestört ist.

Biomechanik des Rückfußes

Unter „Rückfuß“ wird im engeren Sinne die anatomische Region von Talus und Kalkaneus verstanden. Unter funktionellen Gesichtspunkten bilden Talus, Kalkaneus, Os naviculare und Os cuboideum eine Einheit. Die beteiligten Gelenke werden auch als „Subtalarer Gelenkkomplex“ oder unteres Sprunggelenk bezeichnet. Das Gelenk zwischen Talus und Kalkaneus ist als Subtalargelenk zu bezeichnen.

Abbildung 23: Gelenkachse Subtalargelenk. Die Achse verläuft von dorsoplantar lateral nach ventrokranial medial.
Abbildung 24: Biomechanik Subtalarer Gelenkkomplex (siehe auch Tabelle). A) Inversionsbewegung: Os naviculare shiftet nach medial auf dem Taluskopf. Varische Verkippung des Kalkaneus. Längsachse von Talus und Kalkaneus nahezu parallel. B) Eversionsbewegung: Os naviculare shiftet nach lateral auf dem Taluskopf. Valgische Verkippung des Kalkaneus. Längsachse von Talus und Kalkaneus divergiern. C) Die Gelenkachsen von Talonavicular-Gelenk und Calcaneocuboidal-Gelenk stehen parallel. D) Bei einer Inversion des Rückfußes kippt der Kalkaneus und damit die Fersenachse in Varusstellung. Dadurch sind die Gelenkachsen von Talonavicular-Gelenk und Calcaneocuboidal-Gelenk nicht mehr parallel. (J. Dohle)

Zum Lesen der Bildbeschreibung und zur Vollansicht bitte das Bild anklicken.

Tabelle: Gekoppelte Bewegung des unteren Sprunggelenks (subtalarer Gelenkkomplex)

TN-Gelenk Subtalargelenk CC-Gelenk
Eversion Naviculare shiftet nach lateral auf dem Taluskopf Valgus der Ferse Cuboid shiftet nach medial
Inversion Naviculare shiftet nach medial auf dem Taluskopf Varus der Ferse Cuboid shiftet nach medial

Abbildung 25: Eversion und Inversion des unteren Sprunggelenks. Die so getestete Bewegung entsteht aus dem Zusammenspiel von Subtalargelenk, Chopart-Gelenk und den Fußwurzelgelenken (J. Dohle).

Zum Lesen der Bildbeschreibung und zur Vollansicht bitte das Bild anklicken.

Die gekoppelte Bewegung des subtalaren Gelenkkomplexes wird durch die Aktivität des Musculus tibialis posterior gesteuert. Eine Kontraktion des Muskels führt über einen Zug der Tibialis-posterior-Sehne am medialen Navicularepol zu einer Inversionsbewegung des unteren Sprunggelenkes. Als Gegenspieler des Musculus tibialis posterior für die Peronealmuskulatur über einen Zug am lateralen Fußrand zu einer Eversionsbewegung des unteren Sprunggelenks 8.

Dabei ist zu berücksichtigen, dass die Bewegungsachse des unteren Sprunggelenks diagonal durch den Rückfuß läuft und einer erheblichen interindividuellen Variabilität unterliegt. Bei einer Bewegung des Fußes im Sinne einer Pronation und Supination um eine virtuelle Bewegungsachse längs durch den Fuß, parallel zur Fußsohle, kommt es zu einer kombinierten Bewegung in OSG und USG. Durch eine Dorsalextension im oberen Sprunggelenk wird der Talus in der Malleolengabel fixiert, sodass eine isolierte Beurteilung der Beweglichkeit es unteren Sprunggelenks möglich wird.

Video: Der Bewegungsumgang am unteren Sprunggelenk erfolgt bei dorsalextendiertem oberem Sprunggelenk. Dabei wird der Talus bewusst in der knöchernen Malleolengabel fixiert um isoliert die Beweglichkeit und Stabilität des unteren Sprunggelenks beurteilen zu können (M. Walther).

Funktionell ist das untere Sprunggelenk wesentlich für den Funktionswandel des Fußes zwischen früher und später Belastungsphase verantwortlich. In der frühen Belastungsphase muss sich der Fuß flexibel dem Untergrund anpassen. Dazu ist ein „gewisses Bewegungsspiel“ zwischen Rückfuß und Mittel-/Vorfuß erforderlich. In der späten Belastungsphase ist eine stabile Verbindung zwischen Rückfuß und Vorfuß erforderlich, um einen kräftigen Abdruck über den Vorfuß zu ermöglichen. Der Wechsel zwischen den Funktionszuständen des „mobilen Adapters“ zum „starren Hebel“ wird durch das untere Sprunggelenk gesteuert. In Eversionsstellung des unteren Sprunggelenkes gewinnt das Chopart-Gelenk Flexibilität, die durch die Inversionsbewegung des unteren Sprunggelenkes zugunsten der Stabilität wieder aufgehoben wird.

Abbildung 26: Funktionsphasen des Fußes vom mobilen Adapter zum rigiden Hebel: A) Fersenaufsatz: Abrollbewegung über die Ferse bis zum vollständigen Aufsetzen der Fußsohle. Exzentrische Kontraktion des M. tibialis anterior. Der Fuß passt sich als mobiler Adapter dem Boden an. B) Standphase: Der Fuß liegt dem Boden auf, die Tibia bewegt sich nach ventral. Exzentrische Kontraktion des M. gastrocnemius/soleus. Der Fuß ändert den Funktionszustand vom mobilen Adapter zum starren Hebel, damit in der nachfolgenden Phase eine Belastung des Vorfußhebels möglich ist. C) Abstoßphase: Die Ferse wird angehoben, die Abrollbewegung erfolgt über die Zehengrundgelenke. Konzentrische Kontraktion des M. gastrocnemius/soleus. Der Fuß befindet sich im Funktionszustand des „starren Hebels“. Die stabilisierte Vorfuß-Rückfuß-Verbindung ermöglicht die Belastung auf dem Vorfuß (J. Dohle).

Zum Lesen der Bildbeschreibung und zur Vollansicht bitte das Bild anklicken.

Ferse

Die häufigste Schmerzursache an der Ferse ist eine Plantarfasziitis. Dabei handelt es sich um eine entzündliche spindelförmige Auftreibung der Plantaraponeurose ca. 1-1,5 cm distal des Ursprungs am Tuber calcanei. Klinisch lässt sich meistens ein Druckschmerz am medialen ventralen Rand des Tuber calcanei auslösen. Abzugrenzen sind Veränderungen im Ansatzbereich der Achillessehne am Kalkaneus sowie Affektionen des T. tibialis und seiner Seitenäste (Tarsaltunnelsyndrom).

Abbildung 27: Die verschiedenen Rückfußpathologien lassen sich oft schon durch die Lage des Schmerzpunktes eingrenzen. Rot: Achillessehne; Schwarz: Tibialis-posterior-Sehne; Dunkelblau: Nervenengpasssyndrome; Gelb: Plantarfasziitis; Hellblau: Peronealsehnen; Violett: Subtalargelenk. (J. Dohle)

Zum Lesen der Bildbeschreibung und zur Vollansicht bitte das Bild anklicken.

Peronealsehnen

Die Peronealsehnen stabilisieren den Fußaußenrand. Sie verlaufen dorsale der Fibula zur Basis des Os metatarsale V (Peronaeus brevis), bzw. durch den Cuboidtunnel zur plantaren Basis des Os metatarsale I (Peronaeus longus).

Unterschieden werden können Schmerzen entlang der Sehne, eine Luxation der Peronealsehnen bei Anspannung über die Fibula sowie Beschwerden im Ansatzbereich der Sehnen.

Video: Peronealsehnenluxation. Beim Anspannen der Peronealsehnen kommt es zu einer Luxation über die Fibula (M. Walther).

Die Ruptur einer Peronealsehne wird meist durch eine Überaktivität des anderen Muskels kompensiert. Dabei kann eine Überaktivität des M. peronaeus longus zu einer vermehrten Plantarflexion des Os metatarsale I führen und damit eine Pes cavus Stellung verstärken.

Extensorensehnen

Die Tibialis-anterior-Sehne verläuft von der lateralen Tibiakante zum Os cuneiforme mediale. Druckschmerz im Ansatzbereich der Sehne bei chronischer Tendinopathie kann oft schwer von einem schmerzhaften Tarsometatarsale I Gelenk unterschieden werden.

Häufig geht eine über Monate bestehende Tendinopathie einer Ruptur der Tibialis-anterior-Sehne voraus.

Abbildung 28: Ruptur der Tibialis-anterior-Sehne rechts. Auf der gesunden linken Seite ist der Strang der Sehne im Hautrelief gut erkennbar. Auf der rechten Seite versucht der Patient durch eine Dorsalextension der Zehen den Funktionsverlust der Tibialis-anterior-Sehne zu kompensieren.

Zum Lesen der Bildbeschreibung und zur Vollansicht bitte das Bild anklicken.

Pathologien der langen Zehenstrecker sind selten. Schmerzhafte Strecksehen können durch vermehrten Druck im (Sport-)Schuh verursacht werden, bestehen dorsale Osteophyten am Fußrücken können die Strecksehen zwischen Schuh und Knochenkanten scheuern. Rupturen finden sich nahezu ausschließlich in Folge von Schnittverletzungen. Während die Extensor-hallucis-longus-Sehne als durchgehende Struktur lateral der Tibialis-anterior-Sehne zu tasten ist, spaltet sich die Extensor-digitorum-longus-Sehne in Höhe des Sprunggelenks in 4 Sehnen auf, die zu den Kleinzehen 2-5 ziehen. Die Ruptur einer der Strecksehnen führt zu einer „hängenden Zehe“.

Abbildung 29: Hängende 5. Zehe nach Verletzung der Extensor-digitorum-longus-Sehne (M. Walther).

Zum Lesen der Bildbeschreibung und zur Vollansicht bitte das Bild anklicken.

Mittelfuß

Das Mittelfußskelett besteht aus würfelartigen Knochen, die über Amphiarthrosen miteinander verbunden sind. Klinische Relevanz habe diese Gelenke vor allem bei Instabilitäten, wie sie z.B.  im Rahmen einer Planovalgus-Deformität des Fußes auftreten können oder bei Arthrosen. Immer wieder finden sich Knochenbrücken zwischen den Mitelfußknochen (Coalitio). Da die Beweglichkeit der Amphiarthrosen sehr gering ist, fallen diese Knochenbrücken meist als Zufallsbefund auf, wenn Bilder aufgrund anderer Fragestellungen angefertigt werden. Verglichen zu anderen Fußregionen sind Pathologen im Bereich des Mittelfußes eher selten.

Davon abzugrenzen ist der Tarso-Metatarsale-Übergang, der in Zusammenhang mit Veränderungen des Vorfußes zu diskutieren ist.

Wichtige Differentialdiagnosen Mittelfußschmerz:

Dorsal

  • Dorsale Nervenkompressionssyndrome.
  • Tendinose der Sehne des M. tibialis anterior.
  • Tendinose der Strecksehnen der Zehen.
  • Osteonekrose Os naviculare.
  • Stressfraktur Os naviculare.
  • Arthrose Talonaviculargelenk.

Medial

  • Insertionstendinose Tibialis-anterior-Sehne.
  • Os tibiale externum – Os naviculare cornutum.
  • Insterionstendinose Sehne des M. tibialis posterior.

Lateral

Calcaneocuboidale Instabilität

  • Arthrose Calcaneocuboidalgelenk.
  • Insertionstendinose Sehne des M. peronaeus brevis.
  • Tuberculum peroneale.
  • Pathologie der Sehne des M. peronaeus longus am Cuboidtunnel.

Plantar

  • Plantare fibromatose (M. Ledderhose).
  • Chiasma flexorum Syndrom.
  • Insertionstendinose der Sehne des M. peronaeus longus.
  • Thrombose der plantaren Fußvenen.

Vorfuß-Rückfuß-Beziehung

Unter der Vorfuß-Rückfuß-Beziehung ist der funktionelle und räumliche Bezug zwischen Vorfuß und subtalarem Gelenkkomplex zu verstehen. Bei der klinischen Untersuchung wird man den Rückfuß in die physiologische Neutralstellung bringen und dann die Stellung des Vorfußes in Relation dazu beschreiben. Möglich ist eine Abduktion oder Adduktion des Vorfußes oder eine Torsion des Vorfußes im Sinne einer Pronation oder Supination des Vorfußes gegenüber dem Rückfuß. Liegt eine solche Torsion des Vorfußes gegenüber dem Rückfuß vor führt eine plantigrade Belastung des Fußes zu einer Fehlstellung im Rückfuß. Die Vorfuß-Rückfuß-Beziehung ist bei der Planung operativer Korrekturen des Rückfußes in jedem Fall mit zu berücksichtigen.

Abbildung 30: Supination des Vorfußes bei Planovalgus-Deformität mit Hallux valgus Fehlstellung (J. Dohle).

Zum Lesen der Bildbeschreibung und zur Vollansicht bitte das Bild anklicken.

Vorfuß

Im klinischen Sprachgebrauchen wird die funktionelle Einheit aus Phalangen und Metatarsalia als Vorfuß bezeichnet. Hinsichtlich der Tarsometatarsalgelenk werden diese sowohl dem Vorfuß als auch dem Mittelfuß zugerechnet. Je nach klinischer Konstellation wird eine operative Intervention im Bereich der Tarsometatarsalgelenke als Vorfußchirurgie oder Mittelfußchirurgie bezeichnet. Besonders hervorzuheben ist die Bedeutung des ersten Tarsometatarsalgelenks im Rahmen der Hallux-valgus-Deformität.

Erster Vorfußstrahl

Als erster Vorfußstrahl wird die Funktionseinheit aus Metatarsale I und Großzehe bezeichnet. Die häufigste Pathologie des Vorfußfußes ist die Hallux-valgus-Deformität, die fast ausnahmslos mit einer Abweichung des Metatarsale I nach medial (Metatarsus primus varus) vergesellschaftet ist. Das erste Tarsometatarsalgelenk ist beim Metatarus primus varus immer Teil der Pathologie, des es sich ja nicht um eine Deformität des Knochens, sondern um eine Deviation des ersten Metatarsale nach medial handelt. Je nach Ausprägung der Fehlstellung sind die Veränderungen des Gelenks mehr oder weniger deutlich erkennbar. Es sei an dieser Stelle bereits darauf hingewiesen, dass selbst deutlich erkennbar Veränderungen des ersten Tarsometatarsalgelenkes nur selten einen direkten Schluss auf die Genese der Veränderungen zulassen. Insbesondere nicht, ob die erkennbaren Veränderungen Ursache oder Folge des Metatarsus primus varus sind.

Die klinische Untersuchung des ersten Vorfußstrahls beinhaltet die Evaluation von Form, Stellung und Funktion. Schon bei der Inspektion wird eine Fehlstellung im Sinne einer Hallux-valgus-Deformität auffallen. Rötungen oder Schwielen der Haut, vor allem über der medialen Pseudoexostose des MFK-1-Köpfchens sind zu beschreiben. Die Beweglichkeit des MTP-1-Gelenkes und des IP-Gelenkes werden nach der Neutral-Null-Methode dokumentiert. Demgegenüber wird das Tarsometatarsale-I-Gelenk (TMT-I-Gelenk) einem Stabilitätstest unterzogen. Die Relevanz einer Hypermobilität des ersten Tarsometatarsalgelenks wird weiterhin kontrovers diskutiert 91011. Teilweise wird von einer Instabilität gesprochen, sobald das Metatarsale-I-Köpfchen 5-8mm weiter nach dorsal verschoben werden kann, als die anderen MT-Köpfchen unter Belastung (Wülker 2007). Auch die verringerte Beschwielung unter dem MT-1-Köpfchen ist ein indirekter Hinweis auf die Instabilität.

Abbildung 31: Test Stabilität TMT-I-Gelenk. Der zentrale Vorfuß wird mit einer Hand fixiert. Das Bewegungsausmaß des MFK-1-Köpfchens in dorso-plantarer Richtung wird evaluiert. Hypermobilität liegt vor, wenn mehr als 1,0 cm Bewegung in dorso-plantarer Richtung möglich ist. Die Beurteilung erfolgt in Neutralstellung des oberen Sprunggelenks (J. Dohle).

Zum Lesen der Bildbeschreibung und zur Vollansicht bitte das Bild anklicken.

Video: Stabilitätsuntersuchung eines hypermobilen TMT-I-Gelenks. Am unbelasteten Fuß besteht meist eine Beweglichkeit im TMT-I-Glenk. Wird der Fußaußenrand angehoben (Anspannung des M. peronaeus longus) führt dies zu einer Stabilisierung des Os metatarsale I (M. Walther).

Abbildung 32: Bewegungsausmaß Großzehengrundgelenk (MTP-1-Gelenk). Physiologisch ist eine Dorsalextension von 70-90° gegenüber der Os metatarsale I Achse. Degenerative Veränderungen im Großzehengrundgelenk führen zu einer Einschränkung der Dorsalextension (J. Dohle). (siehe auch Grind-Test)

Video: Untersuchung der Beweglichkeit im Großzehengrundgelenk. Physiologisch ist eine Dorsalextension von 70-90° gegenüber der Os metatarsale I Achse. (M. Walther).

Abbildung 33: Bewegungsausmaß Interphalangealgelenk (IP-Gelenk D1) (J. Dohle).

Video: Untersuchung der Beweglichkeit im Interphalangealgelenk (IP-Gelenk) der Großzehe. Physiologisch ist eine Streckung bis in Neutralstellung und eine Flexion bis ca. 60° gegenüber der Achse der Grundphalanx. Bei eingeschränkter Dorsalextension im Großzehengrundgelenk entwickelt sich häufig eine Hypermobilität mit verstärkter Dorsalextension im IP-Gelenk (M. Walther).

Zentraler Vorfuß

Eine topographische Gliederung des Vorfußes ist in den ersten Strahl, den 5 Strahl und den zentralen Vorfuß möglich. Probleme des zentralen Vorfußes können weiter unterteilt werden in Zehenfehlstellung und Beschwerden im Sinne einer Metatarsalgie. Unter Metatarsalgie versteht man Schmerzen unter dem zentralen Vorfuß, insbesondere im Bereich der Mittelfußköpfchen 2-4 1213. Die Metatarsalgie ist somit durch die Kombination aus Symptom (Schmerz) und Lokalisation definiert. Unterschiedliche Krankheitsentitäten können zum klinischen Bild einer Metatarsalgie führen.

Die klinische Untersuchung des zentralen Vorfußes beginnt mit einer Untersuchung der Kleinzehen beginnen. Dabei ist die Zehe immer in Zusammenhang mit dem Zehengrundgelenk zu beurteilen. Dabei muss jedes Gelenk der Zehe einzeln untersucht werden. Darüber hinaus ist die Funktion der Zehe einzuschätzen. Kommt es zu einem Bodenkontakt der Zehenkuppe bei Aktivierung der Beugesehnen?

Abbildung 35: Fehlender Bodenkontakt der 2. Zehe bei Krallenzehendeformität (M. Walther).

Nomenklatur der Kleinzehenfehlstellungen

Auch wenn Kleinzehenfehlstellung zu den häufigsten Fehlstellungen im Bereich des Fußes gehören, existiert keine einheitliche, allgemein akzeptierte Nomenklatur zur Beschreibung von Zehenfehlstellung.

Allgemein gebräuchlich sind die Begriffe:

  • Hammerzehe
  • Krallenzehe
  • Klauenzehe

Weiterhin sind im anglo-amerikanischen Sprachraum noch

  • Mallet Toe (Mallet Zehe)
  • True angled Toe und
  • Crossover Toe

bekannt.

Abbildung 36: Skizze verschiedener Zehendeformitäten und -fehlstellungen (J. Dohle)

Die Zehengrundgelenke sind einem Stabilitätstest zu unterziehen. Analog zum Kniegelenk kann ein Schubladenmanöver durchgeführt werden. Bei Schädigung des stabilisierenden Kapsel-Band-Apparats kann es zu einer Instabilität, Subluxation oder Luxation des Zehengrundgelenks kommen. Eine Luxation des Zehengrundgelenks ist meistens bereits bei der klinischen Untersuchung mit hinreichender Sicherheit festzustellen und wird dann durch eine Röntgenaufnahme bestätigt. Weiterhin sind horizontale Fehlstellungen der Zehen bei Insuffizienz der Kollateralbänder zur Gegenseite des geschädigten Bands möglich 141516. Eine Varusdeviation der zweiten Zehe nach medial resultiert typischerweise aus einer partiellen Ruptur der plantaren Gelenkkapsel und geht meist einher mit dem klinischen Bild einer Metatarsalgie. Häufig finden sich kombinierte Fehlstellungen. In aller Regel führt eine mechanische Instabilität eines Zehengrundgelenks zu einer Synovitis, so dass das synovitisch gereizte Gelenk sowohl plantar als auch streckseitig schmerzhaft ist. Bei der Untersuchung sind Schmerzen im Bereich des Zehengrundgelenks differentialdiagnostisch von Schmerzen im Zehenzwischentraum (distales Spatium interosseum) zu unterscheiden.

Abbildung 37: Stabilitätsuntersuchung Kleinzehengrundgelenk (J. Dohle). Das entsprechende Metatarsophalangeal-Gelenk (MTP-Gelenk) wird in 25° Dorsalextension gebracht und eine nach dorsal gerichtete Translationskraft auf die Basis der Grundphalanx gegenüber dem Köpfchen des Metatarsale ausgeübt, was zu einem Anspannen der plantaren Gelenkkapsel führt. Bei einer Schädigung dieser Struktur werden durch den Patienten typischerweise Schmerzen plantar unter dem Köpfchen des Metatarsale angegeben. Abhängig vom Ausmaß der Instabilität wird das Testergebnis als „mild“, „mäßig“ oder „deutlich“ bezeichnet.

Zum Lesen der Bildbeschreibung und zur Vollansicht bitte das Bild anklicken.

Video: Die Untersuchung der dorsoplantaren Translation dient ebenfalls der Beurteilung der Stabilität des Zehengrundgelenks. Getestet wird die dorsoplantare Translation der Grundphalanx gegenüber dem Metatarsalekopf. Die Zehe wird an der Grundphalanx stabilisiert und nach dorsal und plantar bewegt. Die interindividuelle Variabilität ist hoch, insbesondere bei Hyperlaxizität findet sich ein vermehrtes Gelenkspiel. Seitendifferenzen bzw. die Luxationstendenz einzelner Zehengrundgelenke sind meist Hinweis auf eine Läsion der plantaren Gelenkkapsel (Ruptur plantare Platte). Typischerweise findet sich dann auch ein sehr lokalisierter Druckschmerz plantar am Übergang der Gelenkkapsel zur Grundphalanx (J. Dohle).

Wichtige Differentialdiagnosen bei Schmerzen im Zehengrundgelenk:

  • Mechanische Instabilität ohne/mit Synovitis (Ruptur der plantaren Platte) (siehe auch Push-up Test).
  • Arthrose des Zehengrundgelenks.
  • Osteonekrose (Syn. M. Köhler II, Freiberg Disease)
  • Synovitis/Arthritis in Zusammenhang mit einer Erkrankung aus dem rheumatischen Formenkreis (siehe auch Gänsslen-Zeichen).

Wichtige Differentialdiagnosen bei Schmerzen im Zehenzwischenraum:

Schmerzen und Schwellung am Zehengrundgelenk können auch Ausdruck einer rheumatologischen Erkrankung sein. Die Primärmanifestation einer rheumatologischen Erkrankung am Fuß ist ebenso häufig wie an der Hand 17.

Abbildung 38 : Die isolierte geschwollene Zehe (Wurstzehe) tritt im Rahmen von Spondylarthropathien (z.B. Psoriasisarthritis, M. Bechterew) auf und sollte Anlass für eine weitere rheumatologische Untersuchung sein (M. Walther).

Lateraler Vorfuß

Der 5. Vorfußstrahl weist viele Parallelen zum ersten Strahl auf. Neben der zum Hallux valgus spiegelbildlichen Fehlstellung, dem Digitus quintus varus, existieren aber noch zahlreiche andere Fehlstellungen, die kein Pendent im Bereich des ersten Strahls haben. Dabei handelt es sich häufig um anlagebedingte Fehlstellungen der 5. Zehe.

Häufige Fehlstellungen des 5. Strahls sind:

  • Metatarsus quintus valgus
  • Digitus quintus varus (et infraductus D4)
  • Digitus quintus varus et superductus
  • Extensionsfehlstellung D5 / Krallenzehe D5

Abbildung 39: Digitus quintus varus superductus (M. Walther).

Zum Lesen der Bildbeschreibung und zur Vollansicht bitte das Bild anklicken.

Bei der klinischen Untersuchung ist vor allem zu dokumentieren, wodurch es zur Schmerzsymptomatik kommt. Meistens liegt ein chronischer Konflikt zwischen Zehe, Os metatarsale und Schuhwerk vor. Teilweise finden sich schmerzhafter Schwielen.

Abbildung 40: Schmerzhafte Bursa am Metatarsale V Kopf bei Tailors bunion (M. Walther).

Zum Lesen der Bildbeschreibung und zur Vollansicht bitte das Bild anklicken.

Durchblutung – Motorik – Sensibilität

Eine sorgfältige Kontrolle der Durchblutung des Fußes ist insbesondere vor operativen Eingriffen unverzichtbar. Der potentielle Schaden durch eine „übersehene“ oder „unterschätzte“ Durchblutungsstörung ist erheblich und kann bis zum Verlust des Fußes führen.

Regelhaft ist der Pulsstatus der A. tibialis hinter dem Innenknöchel und der A. dorsalis pedis im Bereich des Mittelfußes zu dokumentieren. Die A. dorsalis pedis lässt sich am einfachsten lateral der Extensor hallucis longus Sehne tasten.

Ist die Durchblutung palpatorisch vermindert oder fraglich sollte großzügig die Indikation zu einer Verschlussdruckmessung gestellt werden. Bei der Verschlussdruckmessung handelt es sich um ein technisch einfaches und kostengünstiges nicht invasives Verfahren, was im Untersuchungszimmer rasch durchgeführt werden kann.

Die Durchblutung der Zehen lässt sich einfach mit der Rekapillarisierungszeit beurteilen. Dieser Test ist allerdings temperaturabhängig und liefert bei „kalten Füßen“ teilweise falsch pathologische Werte.

Orientierende Neurologische Untersuchung

Abschließend ist, selbst bei Patienten ohne neurologische Grunderkrankung, eine orientierende neurologische Untersuchung durchzuführen. Paresen der unteren Extremitäten lassen sich meist schon bei der Beobachtung des Gangbildes in groben Zügen erkennen. Liegen diesbezüglich Auffälligkeiten vor, ist eine dezidierte Dokumentation des jeweils maximal möglichen Kraftgrads des jeweiligen Muskels notwendig. Dabei ist es hilfreich die entsprechende Sehne zu palpieren, um sicherzustellen, dass eine Parese nicht durch von Kompensation der Funktion durch eine andere Muskelgruppe maskiert wird.

Tabelle: Kraftgrade bei neurologischer Untersuchung (British Medical Research Council) (Mumenthaler 2007).
Kraftgrad
M0 Keine Muskelaktion
M1 Sichtbare Kontraktur ohne Bewegungseffekt
M2 Bewegungsmöglichkeit unter Ausschaltung der Schwerkraft des abhängigen Gliedabschnitts
M3 Bewegungsmöglichkeit gegen die Schwerkraft
M4 Bewegungsmöglichkeit gegen mäßigen Widerstand (d.h. besser als 3 aber nicht normal (5))
M5 Normale Kraft

Die orientierende Untersuchung der Sensibilität erfolgt mit dem Monofilament oder einer Stimmgabel. Alternativ kann ein Wattebausch verwendet werden. Unterschieden werden reduziertes Vibrationsempfinden (Pallhypästhesie) und verminderte Tiefensensibilität (Polyneuropathie). Ausfälle können sich auf das Versorgungsgebiet eines Nerven beziehen (z.B. Fußaußenrand N. suralis, Zwischenzehenraum beim Morton Neurom), auf das Versorgungsgebiet einer Nervenwurzel (z.B. Ferse und Fußsohle Wurzel S1), sowie diffus im Rahmen demyelinisierender Erkrankungen (z.B. Polyneuropathie) vorliegen (siehe auch Hofmann-Tinel-Zeichen). Wichtig ist bei der Untersuchung der Sensibilität, dass der Patient nicht durch Beobachten der Berührung das fehlende Sensibilitätsempfinden kompensiert.

Abbildung 41: Zuordnung der Hautregionen des Fußes zu den Dermatomen der lumbalen Nervenwurzeln. Ansicht rechtes Bein von ventral, linkes Bein von lateral (M. Walther).

Zum Lesen der Bildbeschreibung und zur Vollansicht bitte das Bild anklicken.

Wichtige Differentialdiagnosen herabgesetzte Sensibilität am Fuß:

  • Polyneuropathie (Diabetes mellitus, Alkohol, Chemotherapie, Gifte am Arbeitsplatz).
  • Schädigungen der Nervenwurzeln (z.B. Bandscheibenvorfall, Bandscheibenoperation).
  • Nervenkompressionssyndrome.

Video: Klinische Untersuchung mit Dr. med. Alexander Sikorski

Dauer: 15 min

Weitere Literatur

  • Elsner A, Markus K, Andermahr J. Bandverletzungen Erkrankungen und Verletzungen des Rückfußes (pp. 155-188). Köln, Deutscher Ärzte-Verlag; 2011 
  • Mumenthaler MS, Manfred; Müller-Vahl, Hermann. Läsionen peripherer Nerven und radikuläre Syndrome. 9. Aufl. Stuttgart, Thieme; 2007
  • Szeimies U, Stäbler A, Walther M. Bildgebende Diagnostik des Fußes. Stuttgart, Thieme; 2012
  • Wülker N, Stephens MM, Cracchiolo A. Operationsatlas Fuß und Sprunggelenk, Stuttgart, Thieme, 2007 
Loading…
Loading the web debug toolbar…
Attempt #