Kurzzusammenfassung
Beim Os tibiale externum handelt es sich um einen akzessorischen Knochen am medialen Fußrand im Ansatzbereich der Tibialis posterior Sehne, unter dem Os naviculare cornutum versteht man ein medial prominentes Os naviculare 1. Nach Bagatellverletzungen kann es zur Schmerzsymptomatik mit Entwicklung der Instabilität im Bereich der Synchondrose zum Os naviculare kommen. Die konservative Therapie beinhaltet die Fußschonung, sowie die Anpassung des Schuhs mit Aussparung über dem prominenten Os tibiale externum oder Os naviculare cornutum. Die operative Therapie besteht in der Entfernung des Os tibiale externum und einer ossären Refixation der Tibialis posterior Sehne mit z.B. Knochenankern. Bei erfolgloser konservativer Behandlung ermöglicht dieser Eingriff eine zuverlässige und komplikationsarme Therapie mit guten Langzeitergebnissen.
Epidemiologie und Aetiologie
Die phylogenetische Entwicklung vom Amphibienfuß zum Säugetierfuß ist durch die Neugruppierung und Verschmelzung der Fußwurzelknochen unter Beibehaltung einer fünfstrahligen Anlage gekennzeichnet. Diese findet sich auch in der pränatalen Entwicklung des Menschen wieder und erklärt die regelmäßig auftretenden überzähligen Fußknochen (Zwipp 2014).
An der medialseitigen Tuberositas ossis navicularis findet sich in 8-20,9% ein akzessorischer Knochenkern (Os tibiale externum), der bei Frauen dreimal so häufig wie bei Männern zu beobachten ist 23.
Symptomatik
In der Mehrzahl der Fälle bleibt das Os tibiale externum ein Leben lang symptomlos 4. Kommt es zu Beschwerden, wird der Beschwerdebeginn meist in Zusammenhang mit einem Bagatelltrauma, wie leichtes Umknicken, berichtet 5. Geklagt werden belastungsabhängige Schmerzen am medialen Fußrand über dem bis dato kaum wahrgenommenen, weil nicht symptomatisch gewesen, knöchernen Vorsprung am Os naviculare. Zusätzlich liegt eine lokale Druckempfindlichkeit vor.
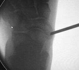
Direkte Traumazeichen wie ein Hämatom oder eine ausgeprägte Schwellung treten üblicherweise nicht auf, wobei vereinzelt auch bei einem adäquaten Trauma ein vollständiger Ausriss des Os tibiale externum beobachtet werden kann (Abb. 1).
Zum Lesen der Bildbeschreibung und zur Vollansicht bitte das Bild anklicken. Foto: Markus Walther
Diagnostisches Vorgehen und Klassifikation
- Typische Anamnese mit seit langem bestehender Prominenz am medialen Fuß mit neu aufgetretenen Beschwerden.
- Klinische Untersuchung mit knöcherner Prominenz am medialen Fußrand in Höhe des Os naviculare mit lokalen Druckschmerzen.
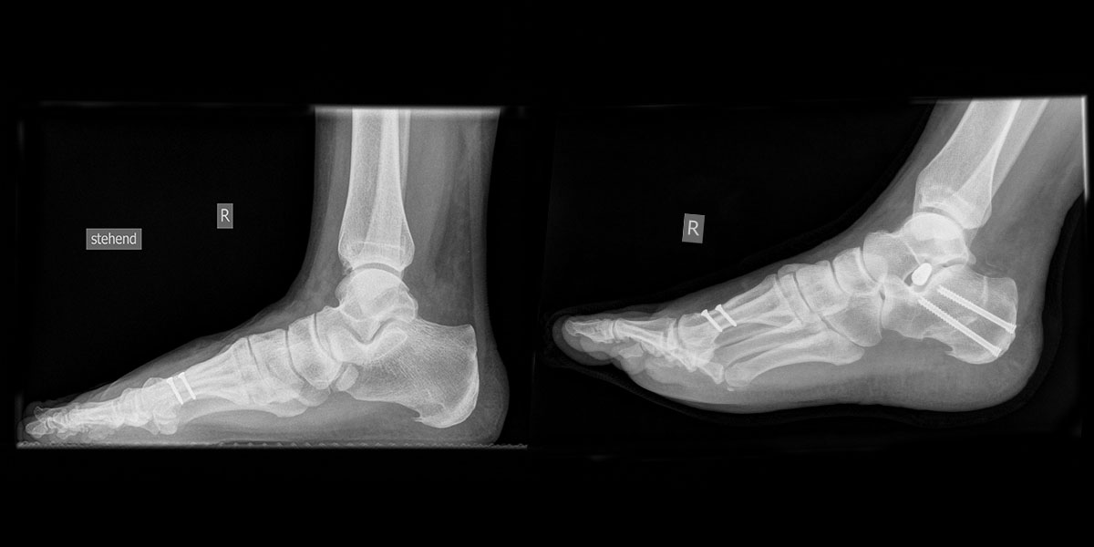
- Röntgenaufnahme des Fußes in 2 Ebenen unter Belastung und die unbelastete Schrägaufnahme (Supinationsaufnahme).
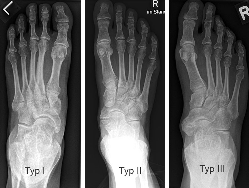
Radiologische Einteilung (Abb. 2)2:
Typ I: Ovalär bis rundliches, glatt begrenzter akzessorischer Knochen im Sehnenansatz des musculus tibialis posterior liegt.
Typ II: Trianguläres Ossikel, welches eine knorpelige Verbendung (Synchondrose) zum Os navicularis pedis hat. Typ II ist die häufigste Variante 2.
Typ III: Nach medial erweitertes Os naviculare im Sinne eines Os naviculare cornutum (entspricht einem fusioniertem Typ II).
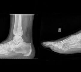
- Bei unklarem Befund kann die Bildgebung mittels MRTvervollständigt werden. Das MRT zeigt eine mögliche Aktivierung der Synchondrose bzw. erlaubt auch andere Differentialdiagnosen (Tendonose der Tibialis posterior Sehne, Verletzung Deltaband, Verletzung Pfannenband) auszuschließen (Abb. 3) 6 (Szeimies 2014).
- Das Knochenszintigramm (Tc-99 m HDP) liefert bei negativem Befund eine zuverlässige Aussage, bei Aufnahme von Tc-99 ist jedoch eine weitere Abklärung der möglichen Differentialdiagnosen erforderlich 7.
- Eine Synchondrose des Os naviculare kann im Ultraschall dargestellt werden 89.
Zum Lesen der Bildbeschreibung und zur Vollansicht bitte das Bild anklicken. Foto: Markus Walther
Konservative Therapieoptionen
- Aussparung des schmerzhaften knöchernen Ansatzes der Tibialis posterior Sehne durch orthopädische Schuhzurichtung.
- Belastungsreduktion an Unterarmgehstützen für ca. 6 Wochen im Unterschenkel-Walker.
- Den Sehnenansatz entlastende Einlagenversorgung (mediale Abstützung, Fersenfassung) 10.
- NSAR bei Bedarf, falls nicht kontraindiziert.
- Stoßwellenbehandlung.
Operationsprinzip und -ziel
Resektion des Os tibiale externum bzw. Abtragung des medial prominenten Os naviculare cornutum und Refixation der Tibialis posterior Sehne am Os naviculare.
Vorteile
- Überschaubarer operativer Eingriff mit guten Resultaten.
- Hohe Rate von Patienten mit vollständiger Wiederherstellung der Funktionalität des Fußes und der Sportfähigkeit.
Nachteile
- Die alleinige Resektion eines Os tibiale externum adressiert nur unzureichend eine gleichzeitige Pes planovalgus Fehlstellung. Auch durch eine Refixation der Tibialis posterior Sehne mit entsprechender Vorspannung lässt sich eine Rückfuß Fehlstellung nicht ausgleichen.
- Bei großem akzessorischen Knochen ist auch die Osteosynthese mit Schrauben nach Resektion der Synchondrose möglich (Myerson 2010)1112.
Indikation und Kontraindikation
Indikationen
- Symptomatisches Os tibiale externum Typ I-III.
- Bei knöcherner Rückfußfehlstellung kann die Indikation zur gleichzeitigen Rückfußkorrektur bestehen 101314 (siehe Kapitel "Minimalinvasive Kalkaneusosteotomie" und "Die operative Plattfußkorrektur des Erwachsenen mittels medialisierender Kalkaneusosteotomie und FDL-Transfer").
Kontraindikation
- Nicht kompensierte/starke pAVK.
- Infizierte Weichteile (chronische Wunden) im OP Gebiet.
Patientenaufklaerung
- Fraktur Os naviculare bei transossärer Fixation der Tibialis posterior Sehne durch die Bohrungen, daher Benutzung des Knochenankers sinnvoll.
- Ausriss der Tibialis posterior Sehne.
- Dislokation des Knochenankers.
- Schmerzen im Ansatzbereich der Tibialis posterior Sehne (Ansatztendinose).
- Infekt mit Revisionsoperation.
- Spannungsverlust und/oder Kraftminderung der refixierten Tibialis posterior Sehne.
- 6 wöchige Ruhigstellung in einem Unterschenkelwalker oder -gips; danach stufenweiser Belastungsaufbau.
- Unterarmgehstützen ca. 10 - 12 Wochen.
- Arbeitsunfähigkeit: In Abhängigkeit vom Beruf ca. 2 - 4 Monate, ggf. stufenweise Wiedereingliederung.
- Persistierende Schwellungsneigung.
- Kein selbständiges Führen eines Kraftfahrzeuges ca. 10 Wochen (Ausnahme Automatikgetriebe und linke betroffene Extremität).
- Aufklärung über konservative Therapieoptionen.
Operationsvorbereitung
Bildgebung
- Röntgen Fuß 2 Ebenen im Stehen und die unbelastete Schrägaufnahme.
- Schnittbildgebung (MRT).
Instrumentarium
- Fußinstrumentarium.
- Knochenanker 3,5x10 mm (oder ähnlich).
- Bildverstärker.
Anästhesie und Lagerung
- Narkoseart: Allgemeinanästhesie, Spinalanästhesie, Ischiadicusblock (CAVE: Oberschenkelblutsperre ggf. nicht möglich).
- Ober- oder Unterschenkelblutleere 40-100 mmHg über dem systolischen Blutdruck; Anpassung der Manschettengröße in Abhängigkeit des Oberschenkelumfanges zur Vermeidung einer venösen Stauung.
- Lagerung: Rückenlagerung mit frei beweglichem Bein unter Ausnutzung der Außenrotation im Hüftgelenk.
- Strahlenschutzmatte unter dem Gesäß.
Operationstechnik
Zum Lesen der Bildbeschreibung und zur Vollansicht bitte die Bilder anklicken.
- Spülung des Operationsgebietes. Öffnen der Blutsperre, Blutstillung.
- Der Wundverschluß erfolgt schichtweise. Es wird ein steriler Unterschenkelverband mit nicht-haftender Wundgaze und leichter elastokompressiver Wickelung angelegt.
- Anschließend wird nach Wattepolsterung eine Unterschenkel-Gipsschiene in Neutralposition des Fußes angelegt. Bei hoher Spannung der Weichteile kann der Fuß in leichter Flexion und Supination angelegt ruhiggestellt werden um die refixierte Tibialis posterior Sehne zu entspannen.
Besonderheiten
Eine Variation mit primär vollständiger Durchtrennung der Tibialis posterior Sehne ist die „Kidner Procedure“. Kidner beschrieb 1929 erstmalig die Entfernung eines Os tibiale externum. Er setzte die Tibialis posterior Sehne vollständig ab und refixierte diese nach Entfernung des Os tibiale externum plantar am Os naviculare mit transossären Nähten. Seine Idee war, dass sich hierdurch die Vorspannung der Tibialis posterior-Sehne erhöhen lässt, mit dem Ziel, eine gleichzeitig bestehende Pes planovalgus Fehlstellung zu korrigieren.
Postoperative Behandlung
Belastung
- 6 Wochen mit 15-20 kg Teilbelastung an Unterarmgehstützen im Unterschenkel-Walker.
- Unterschenkel Gipsschiene zur Nacht für die ersten 6 Wochen postoperativ.
- bis 10. Woche postoperativ stufenweise Belastungssteigerung.
- Danach Konfektionsschuh.
- Die Rückkehr in den Konfektionsschuh kann durch eine Rückfußfassende, medial abstützende Einlagenversorgung erleichtert werden.
Röntgenkontrolle
- Intra- und postoperativ Röntgenkontrolle Fuß in 2 Ebenen zur Dokumentation. Operational zusätzliche 3 Ebene in 45° Supination.
- Weitere Röntgenkontrollen nur bei Beschwerden.
Physiotherapie
- Postoperative Hochlagerung zur Reduktion der Schwellung. Ggf. eingeschränkte Bettruhe für 1 oder 2 Tage je nach klinischem Befund und Schmerzen.
- Manuelle Lymphdrainage je nach Schwellneigung.
- Physiotherapeutische Beübung des Sprunggelenkes und Fußes mit zunehmendem Bewegungsumfang ab der 7. postoperativen Woche.
Medikation
- NSAR bei Bedarf, falls nicht kontraindiziert.
Sportbeginn
- Frühestens 3 Monate postoperativ je nach Stand der Rehabilitation. Non-impact Sportarten wie Radfahren und Schwimmen sind erfahrungsgemäß wesentlich früher möglich als Lauf- und Sprungsportarten.
Arbeitsunfähigkeit
- Je nach Beruf zwischen 2 und 16 Wochen.
Fehler, Gefahren, Komplikationen
- Intraoperativ iatrogene Osteotomie des Os naviculare außerhalb des Synchondrosen-Spaltes bei Mobilisation des Os tibiale externum. Hier ist die exakte Lage des Synchondrose-Spaltes unter Bildverstärker zu finden und zu dokumentieren, bevor der Spalt mit Meißel mobilisiert wird.
- Beim Herauslösen des Os tibiale externum sollten die kaudal zum Os naviculare verlaufenden Fasern der Tibialis posterior Sehne geschont werden. Somit wird eine vollständige Ablösung der Sehne vermieden. Grundsätzlich ist nur so viel des Sehnenansatzes abzulösen, wie zur Entfernung des Knochens notwendig.
- Fehllage des Knochenankers. Die korrekte Platzierung des Knochenankers wird unter Bildverstärker in 2 Ebenen kontrolliert und dokumentiert.
- Ausreißen des Knochenankers. Überprüfung der sicheren und festen Lage des Knochenankers durch Anziehen der Fäden nach Einbringen. Die Stabilität der Refixation der Tibialis posterior Sehne kann überprüft werden, indem der Fuß bis in Neutralstellung gebracht wird. Diese Bewegung sollte gut möglich sein, ohne dass die Naht ausreißt.
- Postoperative Ruptur der Tibialis posterior Sehne. Das Risiko ist insbesondere erhöht bei vorzeitigem Belastungs- und Sportbeginn und schlechter Compliance.
Ergebnisse
Bei der Resektion des Os tibiale externum handelt es sich um eine standardisierte Operation mit guten Ergebnissen. Nach eigenen Erfahrungen beträgt die Rekonvaleszenzzeit im Durchschnitt 3 bis 4 Monate bis eine vollständige Beschwerdefreiheit einsetzt. Es sind aber Verläufe bis zu 6 Monate bis zur vollständigen Genesung möglich. Insbesondere kann in Einzelfällen eine fibrovaskuläre Aktivierung des Sehnenansatzes im MRT nachweisbar sein.
Unsere Erfahrungen decken sich mit den wenigen Publikationen zu diesem Thema. Hier wird überwiegend über gute bis sehr gute postoperative Ergebnisse nach Extraktion des Os tibiale externum und Refixation der Tibialis posterior Sehne ohne Komplikationen berichtet 15. Rietveld et al. 16 berichteten über 6 Tänzer bei welchen insgesamt 10 Füße mit Os tibiale externum behandelt wurden. Ein Patient beendete seine Tanzkarriere und wurde hierdurch symptomlos. Die anderen 5 Tänzer wurden operativ behandelt und kehrten wieder in ihren Sport zurück.
Jegal et al. 17 analysierten den Symptomverlauf an 79 Patienten in Bezug auf den sportlichen Aktivitätslevel. Die sportlich sehr aktiven Patienten hatten ein deutlich erhöhtes Risiko mit der konservativen Therapie nicht Symptom-frei zu werden. Die Autorengruppe diskutiert, gerade bei sportlich aktiven Patienten eher frühzeitig zu einer operativen Entfernung eines Os tibiale externum zu raten.
Eine Nachuntersuchung an 10 Athleten publizierten Miyamoto et al. 18. Sie fixierten die Tibialis posterior-Sehne nach Resektion des Os tibiale externum mit einer Interferenzschraube am Os naviculare. Alle Patienten konnten nach 12-18 Wochen in ihre Sportart zurückkehren, bei gut erhaltener Kraft der Tibialis posterior-Sehne.
Die Kidner Procedure stellt eine technische Variation des Verfahrens dar. Hierbei wir die Tibialis posterior-Sehne vollständig abgelöst, das Os tibiale externum entfernt und anschließend die Tibialis posterior Sehne am Os naviculare mit entsprechender Vorspannung fixiert. Die Idee hinter dieser Vorgehensweise ist die Vorspannung der Tibialis posterior-Sehne zu erhöhen und hierdurch eine bessere Aufrichtung des Rückfußes zu erreichen. In der Literatur zeigen beide Vorgehensweisen vergleichbare Ergebnisse, sowohl im Hinblick auf die Schmerzfreiheit, als auch auf die Rückfuß Stellung Funktionalität. Die Überlegenheit eines der beiden Verfahren kann auf der Basis der verfügbaren Literatur nicht abgeleitet werden 19152021. Meist ergibt sich die Vorgehensweise ohnehin durch den intraoperativen Befund. Inseriert die Tibialis posterior-Sehne vollständig am Os tibiale externum, so wird die Sehne am Os naviculare refixiert, was zwangsweise zu einer erhöhten Vorspannung führt. Dies betrifft vor allem Typ II Pathologien. Liegt ein kleines Os tibiale externum innerhalb der Sehne (Typ I) und kann ohne eine größere Schädigung des Sehnenansatzes entfernt werden, hat sich in unseren Händen der Erhalt des Sehnenansatzes bewährt, insbesondere wenn kein relevanter Pes planovalgus vorliegt.
Bei lange anhaltenden postoperativen Beschwerden ist die Rückfußstellung erneut zu überprüfen 22. Ein Rückfußvalgus führt zur einer Mehrbelastung des Ansatzes der Tibialis posterior Sehne, so dass ggf. die Indikation einer Kalkaneusosteotomie zur Korrektur der Rückfußachse zu überprüfen ist. Weitere mögliche Ursachen anhaltender Beschwerden kann eine unvollständige Abtragung der Knochenkanten sein, Beschwerden im Bereich der Narbe sowie eine Irritation der Tibialis posterior-Sehne. Als weiterführender Diagnostik empfiehlt sich in dieser Situation die MRT-Untersuchung, gegebenenfalls in Verbindung mit einer Computertomografie, da kleine Verkalkungen und Knochenkanten im MRT häufig übersehen werden.
Weitere Literatur
- Kidner FC: The pre-hallux (accessory scaphoid) in its relationship to flatfoot. J Bone Joint Surg (1929) 511:831
- Kidner FC: The pre-hallux in relation to flatfoot. JAMA (1933) 101:1539
- Myerson MS: Correction of the Accessory navicular syndrome. In: Reconstructive Foot and Ankle Surgery: Management of Complications. P.194 second edition. Elsevier Saunders, 2010
- Szeimies U, Stäbler A, Walther M: Bildgebende Diagnostik des Fußes. Thieme, 2012
- Zwipp H, Rammelt S: Evolutionäre, funktionelle, ästhtetische und soziale Aspekte des Fußes. Tscherne Unfallchirurgie Fuß:2, Springer Verlag 2014