Indikation

Die Indikation ist der instabile Knick-Plattfuß des Wachstumsalters, der vollständig passiv korrigierbar ist. Der Eingriff kann ab dem 4. Lebensjahr bis in die Pubertät durchgeführt werden, im Einzelfall auch im Erwachsenenalter. Da kein wachsender Knochen entfernt wird, bleibt die Fußlänge im Wachstum erhalten. Nach Abschluss des Fußwachstums wird in der Regel die korrigierende Arthrodese bevorzugt 12.

Kontraindikation

Rigider, nicht korrigierbarer Fuß, Instabilität oder Valgusstellung aus dem oberen Sprunggelenk, die zum Fersenvalgus führt 3.

Vorbereitung

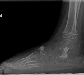
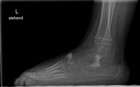
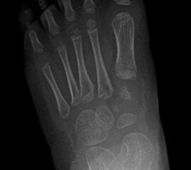
Röntgen Fuß AP und seitlich im Stand oder belastungssimuliert (Abb.1,2).
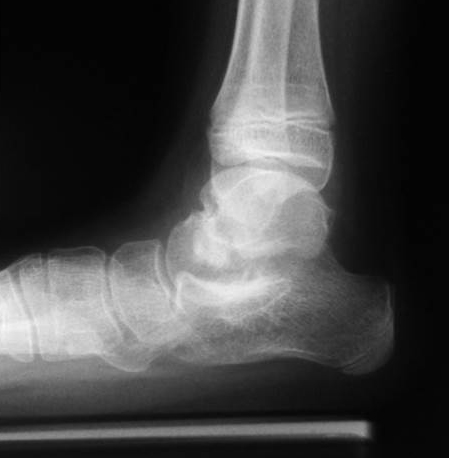
Röntgen seitlich in maximaler Plantarflexion bei Unklarheit über die Flexibilität.
Standaufnahme des oberen Sprunggelenkes: Bei Verdacht auf Instabilität oder Fehstellung des oberen Sprunggelenkes.

Operationsprinzip

Zwischen Talus und Kalkaneus wird im Sinus tarsi, also außerhalb der Gelenkflächen, ein kortikospongiöser Span eingebracht und so die beiden Knochen in Korrekturstellung verblockt 45.

Zusätzliche Operationen

  1. Wenn sich bei korrigiertem Fuß ein Spitzfuß zeigt, sollte der Triceps surae vor der Operation nach Grice so sparsam wie möglich, aber ausreichend verlängert werden. Multiple Operationsverfahren sind beschrieben. Die häufigsten sind die proximale Dissektion nach Baumann, die distale Dissektion nach Vulpius oder Strayer und die Achillessehnenverlängerung 67.
  2. Bei hochstehendem 1. Strahl nach Korrektur des Rückfußes: Plantarisierung des 1. Stahles im cuneiforme mediale.
  3. Bei Instabilität des Naviculo-Cuneiforme Gelenkes: Korrekturarthrodese
  4. Eine Deformität des Kalcaneus selbst sollte dort korrigiert werden.

Lagerung

Rückenlage auf durchleuchtbarem Operationstisch. Ggf. gleichseitiges Gesäß etwas unterlegt, damit der Fuß gerade liegt, Blutsperre (nicht obligat).
Spanentnahmestelle mit steril abdecken. Mögliche Entnahmestellen: Bi-/Trikorticaler Beckenkammspan, Kortikospongiöser Span aus proximaler Tibia, distalem Fibulaschaft oder Fremdknochen (Bild 3,4,5) 8.

Instrumente

Fußsieb mit Langenbeckhaken, kleinen Hohmannhebeln, Meißeln (4-20mm), Gefäßpinzette, Vessel-Loop, Kirschnerdrähte/Schraube zur Fixierung mit entsprechender Maschine, oszillierende Säge zur Spanentnahme., Bildwandler. Gips postoperativ.

OP-Schritte

  • Entnahme des Knochenspanes in ausreichender Größe (je nach Alter des Patienten bis 2x3 cm)
  • Schließen der Blutsperre.
  • Wenn sich bei Korrektur des Fußes die Notwendigkeit ergibt (Spitzfuß/Pronatorenübergewicht) werden der Triceps surae (Wadenmuskeldissektion/Achillessehnenverlängerung) und die Pronatoren dosiert verlängert. Eine übermäßige Verlängerung ist in jedem Fall zu vermeiden.
  • Hautschnitt: Von der Außenknöchelspitze bis über den Sinus tarsi, ggf. distal etwas nach dorsal auslaufend. (Bild 6,7)
  • Darstellen und ggf. Anschlingung des N. suralis. (Bild 8a)
  • Inzision des Sinus tarsi unter der Schutz der Peronaealsehnen und der N. suralis. (Bild 8b,9,10)
  • Präparation des Fettkörpers gemeinsam mit der Ablösung des Ansatzes des Extensor digitorum brevis nach distal und Anschlingung. Auf Erhalt der Innervation ist zu achten. (Bild 11)
  • Vervollständigung der Ausräumung des Sinus tarsi mit dem Luer. (Bild 12)
  • Mit dem Meißel wird eine Rinne von 4-5mm Breite bis in die Spongiosa angelegt am Unterrand des Talus direkt vor der hinteren Facette (Dach des Sinus tarsi) (Bild 13) und am Oberrand des Kalkaneus (Boden des Sinus tarsi) (Bild 14). Die laterale Kortikalis sollte geschont werden, der Span soll bei in 0-Stellung stehendem Fuß in Verlängerung der Tibia stehen.
  • Mit dem stupfen Ende verschieden breiter Lambotte-Meißeln wird die geeignete Spangröße ermittelt mit der der Rückfuß korrigiert ist (Bild 15). Eine Überkorrektur in den Fersenvarus ist zu vermeiden. Der Span wir in der Regel trapezförmig zugeschnitten
  • Einbringen des Spanes mit der Basis nach Lateral und einstößeln. (Bild 16) Überprüfen der Korrektur (Bild 17)
  • Stabilisierung des Spanes mit Kirschnerdrähten (Bild 18).
  • Drainage, Verschluss des Sinus tarsi mit dem angeschlungenen Fascien-Sehnenlappen (Bild 19,20).
  • Hautnaht.
  • Wenn erforderlich werden jetzt Operationen zur Absenkung des ersten Stahles oder Stabilisierung von Tarsalgelenken (Z.B. Naviculo-Cuneiforme Gelenk) durchgeführt.
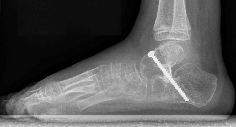
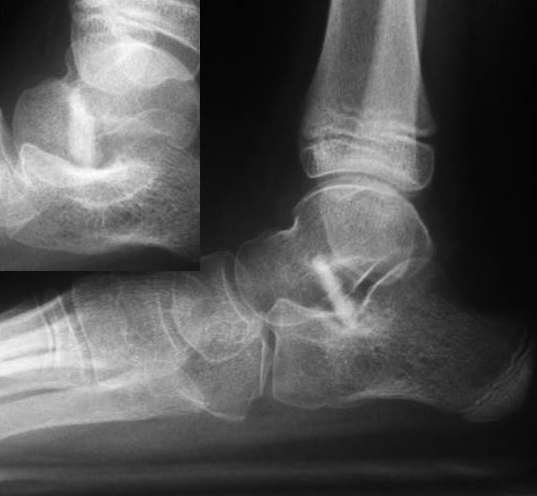
  • Röntgenkontrolle (Bild 21,22).
  • Im dargestellten Fall war zusätzlich eine plantarflektierende Cuneiforme mediale Osteotomie mit resorbierbarem Knochenersatz und eine Wadenmuskeldissektion nach Vulpius durchgeführt worden.
  • Alternative Spanentnahme an der Fibula (Bild 23) und eingebrachter Fibulaspan (Bild 24) 910.
  • Nachbehandlung: Unterschenkelgips gespalten, je nach Grunderkrankung mit Fersenfenster. Unterschenkelliegegips 4-6 Wochen, dann Entfernung Drähte, Unterschenkelgehgips bis 8. Post OP Woche. Röntgenkontrolle dann Aufbelastung.
  • Nachfolgend -je nach Grunderkrankung- Orthesenversorgung mit Stabilisierung des unteren Sprunggelenkes.
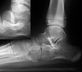
  • Röntgen des dargestellten Falles 3 Monate post OP (Bild 25,26)

OP-Video

Alternative Operationsverfahren

  • Operation nach Dennyson-Fulforth mit Spongiosa oder Knochenspan (Bild 27)
  • Sinus tarsi Spacer.
  • Beim älteren Kind/Jugendlichen/Erwachsenen mit flexiblem Fuß Kalkaneusverlängerungsosteotomie nach Evans mit/oder valgisierender Fersenosteotomie oder Arthrodese des Unteren Sprunggelenkes 118.

Komplikationsmöglichkeiten

Unter-/Überkorrektur, Horizontalisierung des Talus mit Impingement im oberen Sprunggelenk, Spandislokation (Bild 28), Pseudarthrose, Spanresorption (Bild 29), Korrekturverlust. Fraktur durch die Spanentnahmestelle (insbesondere an der prox. Tibia), Verkürzung der Fibula mit nachfolgender Valgusdeformität des oberen Sprunggelenkes (bei Verwendung eines Fibulaspans), langfristig Überlastung der Nachbargelenke 129.

Loading…
Loading the web debug toolbar…
Attempt #