Vorbemerkungen

Die hier vorgestellte Operationsmethode der subtalaren Arthrorise mittels minimalinvasiver Implantation eines Titanspacers (ProStop Schraube, Fa. Arthrex) in den Sinus tarsi adressiert in erster Linie den symptomatischen und flexiblen Knick-Plattfuß bei Kindern und Jugendlichen.
Die erfassbaren Hauptkriterien für einen Pes planovalgus sind die valgische Fersenstellung durch Eversion im Subtalargelenk, das abgeflachte Längsgewölbe durch Adduktion und Plantarflektion des Talus sowie die Abduktion und bei Kindern meist noch flexible kompensatorische Supination im Vorfuß 12345678.
Eine allgemein anerkannte und standardisierte Definition oder Einteilung der Pathologie existiert bislang nicht 9. Die Übergänge vom noch physiologischen Knick-Senkfuß zum schon pathologischen Knick-Plattfuß sind fließend 195108 (Wirth 2011).
Die zum Lebensalter indirekt proportional verlaufenden Angaben zur Prävalenz des flexiblen kindlichen pes planovalgus reichen in der Literatur von 1 Promille bis zu knapp 11% 115419312 (Kuhn, 2010, Weber 2010).
Die auf Harris zurückgehende Einteilung des kindlichen Knickplattfußes in physiologisch oder unphysiologisch, rigide oder flexibel, symptomatisch oder asymptomatisch bietet eine gewisse Strukturierung 613 (Harris 1917).
Auch wenn in der Literatur Studien zur subtalaren Arthrorise bei rigiden Plattfüßen und bei der der Tibialis posterior Insuffizienz Erwachsener zu finden sind, stellen sie jedoch nicht das primäre Indikationsgebiet für diesen Eingriff dar 141516101917 (Schröder 2006).
Als mögliche Ursachen für einen flexiblen Pes planovalgus werden eine allgemeine Bandlaxität, Muskelschwäche, konstitutionelle Veranlagung, eine abnorme valgische Unterschenkelachse, eine vermehrte Antetorsion des Schenkelhalses, Übergewicht und ein altersbedingt noch nicht optimales Zusammenspiel aktiver und passiver stabilisierender Strukturen der unteren Extremität genannt 1119151713 (Wirth 2011).
Inwieweit die häufig in Verbindung mit dem Plattfuß anzutreffende Verkürzung der Achillessehne, insbesondere des M. gastrocnemius als pathogenetischer Faktor oder sekundäre Folge der Fußfehlstellung zu werten ist, wird diskutiert 171 (Hamel 2010, Arnold 2010).
Die augenscheinliche „kosmetische“ Auffälligkeit der Füße, das asymmetrische Ablaufen der Schuhe und eine große Unsicherheit hinsichtlich der Prognose eines Pes planovalgus führen die Eltern mit ihren meist beschwerdefreien Kindern zum Orthopäden 195818. Nur etwa 2,6 – 4% der vorgestellten Kinder klagen über Beschwerden 2.
Diese sind aber für eine eventuelle Therapieindikation wegweisend. Sie äußern sich durch Schmerzen am medialen Fußrand und/oder im Sinus tarsi, rasche Ermüdbarkeit bei ausdauernden Laufleistungen und/oder Anpassung des Aktivitätsniveaus an die Belastbarkeit der Füße 11523478 (Arnold 2010, Dockery 2004).
Die Beurteilung der Beinachsen und -längen, Tests zur allgemeinen Bandlaxität (z.B. Überstrecktest der Fingergrundgelenke), Bewegungsausmaß des oberen Sprunggelenks und Subtalargelenks, das Barfußgangbild, der Zehenspitzengang und Zehenspitzenstand, die Beurteilung des Längsgewölbes am entlasteten Fuß, der Großzehenextensionstest (Jack`s Test), der Silverskjöld Test, die Begutachtung des Abriebmusters an den Schuhen, die Sohlenbeschwielung und der Fußabdruck sind Bestandteil der klinischen Untersuchung 191745681018 (Wirth 2011). Die klinische Evaluation sollte bei auffälligem Befund in etwa jährlichen Abständen wiederholt werden 93619.
Radiologische Beurteilungsparameter sind im belasteten seitlichen Strahlengang der Talo-Metatarsale-I-Winkel (Meary`s angle), der Calcaneusneigungswinkel (Calcaneus pitch), der Talusneigungswinkel, der Costa-Bartani-Winkel und der Talo-calcaneare Winkel. In der d.p.-Belastungsaufnahme der talo-calcaneare Winkel (Kite angle), der talo-metatarsale Winkel und der talonaviculare Überdachungswinkel 191432056781918 (De Pellegrin 2007, Schröder 2006, Hamel 2010, Arnold 2010). Hamel bietet mit seinem additiven TMT-Index eine radiologische, quantifizierbare Vergleichsmöglichkeit bei dreidimensionaler Erfassung der Fehlstellung (Hamel 2006, Hamel 2010, Kuhn H 2010, Arnold 2010).
Die Indikation zur operativen Therapie des flexiblen kindlichen Knickplattfußes ergibt sich aus der beschriebene Beschwerdesymptomatik der Progredienz oder Persistenz der Fehlstellung bis zum 10. Lebensjahr anstelle der zu erwartenden Aufrichtung 173.
Zwei Autoren sehen auch bei einem Meary Winkel von weniger als 170° im seitlichen, belasteten Röntgenbild ohne Beschwerden eine Operationsindikation 2019. Insgesamt bedürfen nur 2-3% der Kinder mit flexiblen Knick-Plattfüßen einer Operation 217.
Einer Operation sollte immer ein konservativer Therapieversuch vorausgehen.
An operativen Korrekturverfahren stehen grundsätzlich vier verschiedene Arten von Eingriffen zur Verfügung 19345819:

  • rein weichteilige Rekonstruktionen
  • korrigierende Osteotomien
  • Arthrodesen
  • Arthrorise des Subtalargelenks mit Calcaneo-Stop Schraube oder Spacer im Sinus tarsi

Stellvertretend für die letztgenannte Vorgehensweise wird hier die Implantation einer ProStop Schraube der Firma Arthrex beschrieben.
Insbesondere hinsichtlich der Arthroriseverfahren liegt das optimale Operationsalter zwischen dem 8. und spätestens 13. Lebensjahr. Zum einen ist ab einem Lebensalter von 8 -10 Jahren keine wesentliche spontane Besserung der Fehlstellung mehr zu erwarten. Zum anderen ist der Knochen erst ab etwa dem 8. Lebensjahr für das Verfahren ausreichend stabil. Das mit der Arthrorise angestrebte Ziel einer strukturellen und funktionellen Adaptation im Sinne eines Remodelling im Bereich des Subtalargelenks benötigt einen Zeitraum von 1-2 Jahren. Dieser zeitliche Spielraum muss den Arthroriseverfahren vor Abschluss des Fußwachstums mit spätestens 15 Jahren eingeräumt werden 12320718 (De Pellegrin 2007, Hamel 2010,  Kuhn 2010).

Operationsprinzip und –ziel

Als Arthrorise mittels frei in den Sinus tarsi eingebrachtem Implantat wird im Gegensatz zum STA-peg Implantat und zu den Calcaneo-Stop Verfahren ein Implantat ohne feste knöcherne Verankerung („free floating“) axial in den Sinus tarsi eingebracht und dort verklemmt 141521671032061921 (Schröder 2006, Kuhn 2010, Arnold 2010, Dockery 2004 De Pellegrin 2007, Hamel 2010).
Dies bedingt eine Blockierung der vermehrten Adduktion/Rotation, plantaren Abkippung und Ventralgleiten des Talus gegenüber dem Calcaneus als primäres Ziel. Die Ferseneversion wird vermindert. Eine Remodellierung von Calcaneus, Talus und des dazwischen liegenden Subtalargelenks soll induziert werden 21141524710.
Zudem wird von einer Stimulation propriozeptiver Rezeptoren im Bereich des Sinus tarsi und damit Induktion einer aktiven Aufrichtung des Rückfußen durch die Arthrorise ausgegangen 3201921.
Das sekundäre Realignment des Cuboids bewirkt eine effektivere Kraftentfaltung der Peroneussehnen. Insbesondere die Peroneus longus Sehne trägt durch eine vermehrte Plantarflektion des ersten Metatarsale zur Wiederaufrichtung des Längsgewölbes und zur Derotation des in kompensatorischer Supination stehenden Vorfußes bei (fulcrum effect) (Dockery 2004).
Sind diese Effekte der subtalaren Arthrorise erreicht, kann das Implantat nach Wachstumsabschluss ohne signifikanten Korrekturverlust auch wieder entfernt werden, was aber nicht alle Autoren routinemäßig durchführen 23207 (De Pellegrin 2007).

Vorteile

  • Kleine Hautinzision von 2 - 3 cm (minimalinvasiv).
  • Kurze Op-Dauer (ca. 15 – 20 Minuten).
  • Keine große operationstechnische Herausforderung (kurze, steile Lernkurve), weder für die Implantation noch für eine eventuell vorgesehene Entfernung.
  • Sehr sicheres Verfahren sobald der Führungsdraht im Sinus tarsi platziert ist. Das zugehörige Instrumentarium, alle Probeimplatate und auch das endgültige Implantat sind kanüliert und werden stets über diesen Guidepin geführt.
  • Erhalt der Gelenkbeweglichkeit.
  • Frühfunktionelle Nachbehandlung mit kurzer Immobilisation und Ruhigstellung bzw. Entlastung insbesondere bei Vermeidung von Zusatzeingriffen.
  • Keine knöcherne Integration notwendig oder vorgesehen.
  • Somit kein Risiko einer Pseudarthrose (im Vergleich zu konkurrierenden Verfahren wie den Calcaneusosteotomien).
  • Keine Funktionsminderung durch Sehnentransfers.
  • Später eventuell notwendige Folgeeingriffe (z.B. Osteotomien, Arthrodesen, Sehnentranspositionen) sind nach der Entfernung des Implantats aus dem Sinus tarsi uneingeschränkt möglich.
  • Kein Entnahmedefekt und Entnahmemorbidität wie bei Verfahren, die autologes Knochenmaterial ( z.B. Beckenkammspan) verwenden.
  • Bisher sind keine materialbezogenen Komplikationen hinsichtlich der Verträglichkeit (Biokompatibilität) bekannt.
  • Bei dem hier beschriebenen Titanimplantat (ProStop Schraube) besteht gegenüber Implantaten aus anderen Materialien (insbesondere Polyethylen) der Vorteil, dass es weder zu Problemen durch Abriebpartikel kommt, noch ein Korrekturverlust durch Abnutzung oder Abbau des Implantates zu befürchten ist. Gleiches gilt analog für alle anderen Implantate, die Ausschließlich aus Metall gefertigt sind.
  • Berücksichtigung der individuellen Anatomie durch angepasste Implantatgröße.
  • Reversibilität des Eingriffs insbesondere im Vergleich zu knöchernen und versteifenden Eingriffen.
  • Alle Gelenkflächen des Subtalargelenks als auch der Chopart Linie bleiben unberührt.
  • Begleitpathologien oder  (wie beispielsweise eine Achillessehnenverkürzung, ein os tibiale externum und sogar eine Coalitio) können gegebenenfalls problemlos in selber Sitzung adressiert werden, bedingen dann aber eine Anpassung der Nachbehandlung.

Nachteile

  • Tendenz zur schmerzhaften Weichteilreizung im Sinus tarsi, insbesondere mit zunehmendem Alter der Patienten zum Zeitpunkt der Operation.
  • Geringere Absicherung der Methode und ihrer Ergebnisse durch Studien auf hohem wissenschaftlichem Niveau.
  • Strahlenbelastung (die aber für OP und Nachbehandlung auf einem ähnlichen Niveau liegt, wie bei einer Calcaneusosteotomie).
  • Relativ enges Zeitfenster für den optimalen Operationszeitpunkt zwischen dem 8. Und 13. Lebensjahr.

Indikationen

  • Die führende Indikation ist der symptomatische, flexible Knick-Platt-Fuß im Kindes- oder Adoleszentenalter nach erfolglosem konservativem Therapieversuch.
  • Sinus/Canalis tarsi Spacer werden zunehmend auch bei flexiblen Knick-Plattfüßen Erwachsener durch Tibialis posterior Insuffizienz mit gutem Erfolg eingesetzt.
  • Auch kontrakte Knick-Plattfüße durch Coalitiones können nach Resektion einer knöchernen oder bindegewebigen Coalitio mit einem Sinus tarsi Implantat stabilisiert werden.

Kontraindikationen

  • Ein rigider, symptomatischer pes planovalgus ist eine Kontraindikation zumindest für den isolierten Einsatz der subtalaren Arthrorise ohne weitere, ergänzende operative Verfahren.
  • Degenerative Veränderungen im Bereich der Fußwurzel.
  • Posttraumatischer Plattfuß.
  • Talus verticalis.

Patientenaufklärung

  • Unter- und Überkorrektur mit der möglichen Folge eines notwendigen Implantatwechsels.
  • Fehlplatzierungsrisiko durch Führungsdraht und Durchleuchtungskontrolle gering.
  • Sekundäre Dislokation des Implantats (traumatische und atraumatische Auslockerung).
  • Unverträglichkeit des Materials.
  • Sinus tarsi Schmerz.
  • Peroneusspasmus.
  • Kurzfristige reaktive Supinationsstellung des Fußes trotz korrekter Implantatgröße mit guter Prognose der Autoregulation binnen der ersten 6 postoperativen Wochen.
  • Eventuell vorübergehende relative Achillessehnenverkürzung mit der Notwendigkeit eines postoperativen Dehnungsprogramms.
  • Gegebenenfalls sekundär notwendige Verlängerung der Achillessehne bei primärer Vermeidung von Zusatzeingriffen und unzureichendem Ansprechen auf Dehnungsübungen.
  • Eventuell geplante Implantatentfernung nach 2-3 Jahren.
  • Nervenverletzung (Cave: Nervus peroneus superficialis).
  • Postoperative passagere Ruhigstellung mittels kurzer Unterschenkelgipsschiene in Neutralstellung des Sprunggelenks.
  • Versorgung mit einem Short Walker ab dem 1. bis 2. postoperativen Tag für 3-4 Wochen und passagere Entlastung an Unterarmgehstützen.
  • Schwellneigung.
  • Sportpause für 3 Monate.

Operationsvorbereitungen

  • Röntgenaufnahme des Fußes unter Belastung in dorsoplantarem, seitlichem und schrägem Strahlengang.
  • Bei klinisch oder radiologischem Verdacht auf eine Coalitio CT.
  • Beurteilung der Form des Längsgewölbes und des Taluskopf-Containments sowie der oben angeführten messbaren Parameter.
  • Dokumentation von intakter Motorik, Durchblutung und Sensibilität.
  • Ggf. Fotodokumentation der Fußstellung.

Instrumentarium

ProStop Implantationssieb von Arthrex mit Führungspin, Probeimplantaten in aufsteigender Größe und lasermarkiertem Eindrehinstrument mit Handgriff.
Abbildung 1
  • Kleines Fuß-Sieb (Skalpell mit 15er Klinge, stumpfe Präparierschere, Pinzette, Mosquito-Klemmen, Nadelhalter, Prolene 4.0 Hautnaht, kleine bipolare Koagulationspinzette, Spülung.
  • Sterile Kompressen, steriles Wundpflaster, Verbandsmaterial, vorbereitete Unterschenkellagerungsschiene in Neutralstellung des Sprunggelenks.
  • ProStop Implantationssieb von Arthrex mit Führungspin, Probeimplantaten in aufsteigender Größe und lasermarkiertem Eindrehinstrument mit Handgriff (Abb.1).
  • Steril verpacktes Implantat (hier ProStop Schrauben Implantate der Fa. Arthrex in verschiedenen Größen).
  • Bildverstärker.

Anästhesie und Lagerung

  • In der Regel wird der Eingriff bei Kindern in kurzer Vollnarkose durchgeführt.
  • Eine Oberschenkelblutdruckmanschette wird lediglich angelegt aber nicht aufgepumpt. Dies dient als reine Vorsorgemaßnahme, sollte es unerwarteter Weise doch zu einer blutungsbedingten Sichtbehinderung oder schwer zu stillenden Blutung aus einem der Gefäße im Sinus tarsi kommen.
  • Die Operation erfolgt in Rückenlage mit einem Keil unter dem ispilateralen Trochanter und Glutealregion, um die Außenrotation des Beines zu mindern.
  • Unterlagerung des distalen Unterschenkels mit einem (Keil)Kissen (Abb.2).
  • Abstreichen etwa bis zur Tuberositas tibiae.
  • Abdeckung oberhalb der Malleolengabel mittels Lochtuch.
  • Bildwandler von der Gegenseite (Abb.3).
  • Strahlenschutz für Patienten, Operateur und Op-Personal.

Postoperative Behandlung

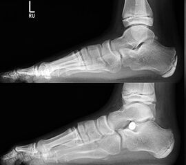
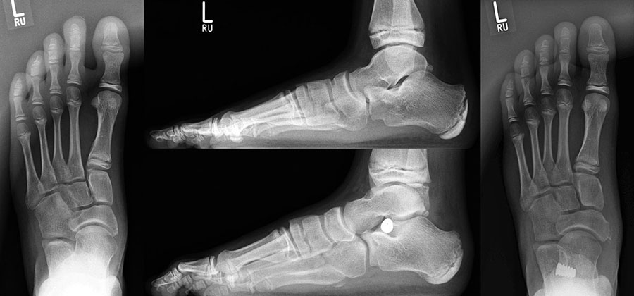
Röntgenkontrolle d.p. und seitlich unter Belastung nach 2, 6 und 12 Wochen und Beurteilung des Ergebnisses im Vergleich mit den präoperativen Bildern.
Abbildung 15
  • Bettruhe am Op-Tag, Hochlagerung und Kryotherapie, Analgetika und/oder Antiphlogistika gewichtsadaptiert nach Bedarf.
  • Mobilisierung im Short Walker und an Unterarmgehstützen im Abrollgang ab dem 1.-2. postoperativen Tag. Danach weitere schmerzadaptierte Aufbelastung im Short Walker über einen Zeitraum von 2 Wochen. Schutz des Fußes unter Vollbelastung im Short Walker bis zum Abschluß der 4. postoperativen Woche.
  • Leitliniengerechte, alters- und gewichtsbezogene Thromboembolieprophylaxe.
  • Lymphdrainagen nur falls notwendig.
  • Der Schulbesuch (ohne Teilnahme am Sportunterricht) ist nach 4-5 Tagen prinzipiell wieder möglich (möglichst individueller Transport und Schulpausen im Klassenzimmer).
  • Physiotherapie zur Gangbildschulung und koordinatives Training ggf. mit Dehnungsbehandlung der Achillessehne beginnt nach 2 Wochen.
  • Sportfreigabe ohne Stauchung („Flugphase“), ohne stop-and-go Bewegungsmuster und ohne schnelle Richtungswechsel im stabilen, evtl knöchelhohen Schuh ab der 5.-7. postop. Woche (z.B. Walking, Radfahren, Inlineskaten etc.).
  • Uneingeschränkte Sportfreigabe nach 12 Wochen.
  • Röntgenkontrolle d.p. und seitlich unter Belastung nach 2, 6 und 12 Wochen und Beurteilung des Ergebnisses im Vergleich mit den präoperativen Bildern (Abb.15).

Fehler, Gefahren, Komplikationen

  • Infekt.
  • Primäre Fehlplatzierung (Gefahr durch System mit Führungsdraht gering).
  • Sekundäre Dislokation des Implantats (traumatisch oder atraumatisch).
  • Durchtrennung des Lig. talocalcaneare mit Destabilisierung des Subtalargelenks.
  • Fremdkörperreaktion und Allergie.
  • Persistierender Schmerz im Sinus tarsi.
  • Überkorrektur.
  • Unzureichende Korrektur (Unterkorrektur).
  • Nervenverletzung (cave N. peroneus superficialis) mit Sensibilitätsstörung am Fußrücken.
  • Peroneusspasmus.
  • Synovitis.

Ergebnisse

Die Fotodokumentation zeigt die Füße eines 13-jährigen Jungen. Das Bild ermöglicht den klinischen Vergleich zwischen dem operierten Pes planovalgus rechts und dem Befund vor noch ausstehender Operation links.
Abbildung 16

Wir überblicken derzeit 40 Operationen an symptomatischen und flexiblen Knick-Plattfüßen bei Kindern im Alter zwischen 9 und 13 Jahren, bei welchen eine subtalare Arthrorise mit einem Metallimplantat (ProStop, Arthrex) als isolierter Eingriff durchgeführt wurde. In einem Fall kam es zu einer leichten Dislokation des Implantats im Verlauf. In der Literatur wird die Implantation über einen Führungsdraht und das schraubenartige Design des Implatats als Grund für die niedrige Rate an Fehlplatzierungen und die geringe Tendenz zur sekundären Dislokation diskutiert (Schröder 2006).
Eine operative Revision war in keinem Fall notwendig. Unsere Erfahrungen decken sich mit der Literatur, die das Verfahren als komplikationsarm und zuverlässig beschreibt.
Die Fotodokumentation (Abb. 16) zeigt die Füße eines 13-jährigen Jungen. Das Bild ermöglicht den klinischen Vergleich zwischen dem operierten Pes planovalgus rechts und dem Befund vor noch ausstehender Operation links. In der Altersgruppe der 9 bis 13 Jährigen kann nach unserer Erfahrung auf eine Achillessehnenverlängerung in Verbindung mit der subtalaren Arthrorise verzichtet werden. Damit wird das Risiko eines Kraftverlusts in der Abstoßphase des Gangzyklus vermieden. Im Alter zwischen dem 8. und 13. Lebensjahr ist von einer reversiblen Kontraktur der Achillessehne auszugehen, so dass in den meisten Fällen eine Verkürzung durch intensive Physiotherapie und Eigentraining gut therapiert werden kann 320(Arnold 2010, De Pellegrin 2007). Wird der Sinus tarsi Spacer bei älteren Patienten eingesetzt, ist die Indikation zur Achillessehnenverlängerung großzügiger zu stellen, in den meisten Fällen ist aber eine isolierte Verlängerung des M. gastrocenmius ausreichend 10.
Einige Autoren resezieren den Fettkörpers im Sinus tarsi mit dem Ziel so eine Irritation der darin befindlichen Nerven zu vermeiden 1427(Kuhn 2010). Dem steht entgegen, dass durch eine Resektion des Fettgewebes auch das Nervengewebe geschädigt wird, welches Voraussetzung für die gewünschte propriozeptive Stimulation ist. Zusätzlich erleichtert das Fettpolster eine adäquate Verankerung des Implantats 4. Auch wenn eine evidenzbasierte Einschätzung schwierig ist, scheint es von Vorteil, das Fettgewebe im Sinus tarsi zu belassen 3421 (De Pellegrin 2007, Arnold 2010). Eine vermehrte oder anhaltende Schmerzproblematik durch Irritation des Sinus tarsi konnte in unserem Patientengut bisher nicht beobachtet werden.
Eine Durchtrennung des Ligamentum interosseum ist obsolet und führt zu einer unnötigen Destabilisierung des Subtalargelenks. Eine solche Ablösung des interosseären Bandes ist in der Vergangenheit sehr wahrscheinlich für schlechte Ergebnisse nach subtalarer Arthrorise verantwortlich zu machen 15412.
Teils schwere Komplikationen bei Arthrorisen wurden nach Verwendung von Implantaten aus Polyethylen beschrieben. Diese umfassen Fremdkörpergranulome, Knochenzysten, Frakturen und Osteonekrosen (insbesondere des Talus) 2223242526. Da sich diese Berichte ausschließlich auf polyethylenhaltige Implantate beziehen, scheinen diese Probleme materialbedingt und sind nicht der Methode der Arthrorise an sich anzulasten.
Ein mögliches Missverhältnis von Implantatdurchmesser zum Durchmesser des Sinus tarsi 27 kann möglicherweise zu vereinzelt im Röntgen oder CT nachweisbaren Lysezonen um MBA Schrauben führen 5. Wir haben solche Osteolysen  bisher nicht beobachtet.

In der Literatur finden sich Berichte zu folgenden Sinus tarsi Implantaten bei unterschiedlichen Indikationen:

  • Maxwell-Brancheau Arthroriseschraube MBA (Fa. Kinetikos Medical) (Dockery 2004)
  • Kalix Plattfuß Implantat (Fa. Newdeal)
  • Zwei verschiedene Endorthesen von Giannini. Das aktuell verwendete, aufspreizbare Giannini Implantat ist resorbierbar (Fa. Stryker).
  • ProStop (Fa. Arthrex). Einsatz am Erwachsenen-Plattfuß in Verbindung mit einem FDL Transfer 10.

Die Arthrorise mittels Sinus tarsi Implantat unter Verwendung eines Führungsdrahtes ist technisch einfacher als die Implantation einer Calcaneo-Stop Schraube (Hamel 2010). Die Ergebnisse der beiden Verfahren sind hinsichtlich klinischem und radiologischem Ergebnis und Patientenzufriedenheit vergleichbar 15221.

Weitere Literatur

  • Arnold H, Weber J. Die subtalare Arthrorise mittels Endorthese zur Behandlung des "idiopathischen" kindlichen Pes plano-valgus-Indikation und Ergebnisse. FussSprungg 8: 253-258, 2010
  • De Pellegrin M. 15-jährige Erfahrung mit der subtalaren Schrauben-Arthrorise beim kindlichen Plattfuß. FussSprungg 5: 12-20, 2007
  • Dockery GL, Crawford ME. Subtalar Arthroereisis: The Maxwell-Brancheau (MBA) Implant. In: Chang TJ (ed). Master Techniques in Podiatric Surgery: The Foot and Ankle. Philadelphia: LWW, pp333-346, 2004
  • Hamel J, Kinast C. Der TMT-Index zur radiologischen Quantifizierung von Planovalgus-Deformitäten. FussSprungg 4: 221-226, 2006
  • Hamel J. Radiologisch dokumentierte Korrektureffekte beim kindlichen Pes planovalgus mit der Calcaneostop-Arthrorise und der Calcaneus-Verlängerungsosteotomie. FussSprungg 8: 43-47, 2010
  • Hamel J. Die Calcaneostop-Arthrorise - eine retrospektive klinische Studie mit Komplikations-Analyse. FussSprungg 8: 35-41, 2010
  • Harris RL, Beath T. Army Foot Survey: an investigation oft he foot ailments in Canadian soldiers. Nat Res Council, Ottawa, pp 1-268, 1947
  • Kuhn H, Zuther W, Heine A, Küster HH. Die subtalare Arthrorise mittels Kalix Implantat beim flexiblen Knick-Senkfuß. FussSprungg 8: 48-54, 2010
  • Schröder S, Ihme N, Kochs A, Niedhart C. Subtalare Arthrorise mittels Kalix-Schraube beim Knick-Senkfuß. FussSprungg 4: 214-220, 2006
  • Wirth T, Eberhardt O. Fußfehlstellungen im Kindesalter. Monatsschr Kinderheilkd 159: 44-52, 2011
Loading…
Loading the web debug toolbar…
Attempt #