Zusammenfassung

Die Korrektur des Pes cavovarus umfasst typischerweise statische (Osteotomie, Bandrekonstruktion, Release) und dynamische (Sehnentransfer) Operationsschritte. Beim absolut flexiblen „forefoot-driven“ Pes cavovarus, bei dem der Rückfuβ varus im Coleman-block Test in eine physiologische neutrale oder leicht valgische Position reponiert, ist in einzelnen Fällen die isolierte dorsalflektierende MT I Osteotomie ausreichend. Bei der grossen Mehrheit der flexiblen und fixierten Hohlfüsse führt jedoch nur die Kombination von mehreren statischen und dynamischen Operationsschritten zum nachhaltigen Erfolg ohne Rezidive. Eine Überkorrektur mit Entwicklung eines Pes planovalgus ist in der Literatur bislang unbekannt, die Unterkorrektur mit residualer Deformität ist jedoch ein bekanntes Problem.

Operationsprinzip

Vor einer operativen Korrektur der Hohlfuβ-Deformität (Pes cavovarus) sollte in der Regel die konservative Therapie über wenigstens sechs Monate ausgeschöpft werden. Eine Operations-Indikation sollte auch danach sorgfältig abgewogen werden. In einigen Fällen sollte der behandelnde Arzt aber auch die Empfehlung zur Operation aussprechen und den Patienten mit verständlichen Erklärungen hinsichtlich der Notwendigkeit überzeugen. Dies ist v.a. bei einer drohenden (anteromedialen) OSG-Arthrose der Fall. Biomechanische Studien konnten eine anteromedial OSG-Druckerhöhung beim Hohlfuβmodel zeigen, welche sich bei langjährig bestehender Deformität bei vielen Patienten auch klinisch manifestiert. Die Ergebnisse nach der Operation sind dann natürlich abhängig vom Ausmaβ der präoperativen Arthrose und umso besser, je früher die Operation stattfindet 1.

Der Chirurg sollte im Gespräch die Erwartungen des Patienten erfragen (Aktivität, Gehfähigkeit, Sport, Beruf) und sich bei der umfassenden klinischen Untersuchung über drei wesentliche Fakten im Klaren sein, welche Konsequenzen für die operative Therapie haben:

  1. Ist die Hohlfuβ-Deformität flexibel oder fixiert?
    Bei der eher seltenen vollständigen Korrektur des Rückfuβ varus im Coleman-Block Test (forefoot-driven hindfoot varus) kann eine dorsalflektierende Osteotomie des Metatarsale I in Kombination mit einem Peroneus longus auf brevis Transfer ausreichend sein.
  2. Was ist die Ätiologie der Hohlfuβ-Deformität?
    Sollte die Ätiologie bislang unklar sein, ist eine neurologische Abklärung zu empfehlen. Falls neurologische Ätiologie: statisch oder progredient? (bei progredienter Erkrankung, z.B. Charcot-Marie-Tooth, ist eine aggressivere Korrektur erforderlich) 2.
  3. Droht eine Arthrose des oberen Sprunggelenkes (OSG), oder liegt sie bereits vor?
    Durch die veränderte Statik des Rückfuβ varus kommt es zur Überlastung des anteromedialen OSG 3. Das postoperative Ergebnis ist bei bereits manifester Arthrose schlechter, so dass nach frühzeitigen Knorpelschäden mittels MRI oder SPECT-CT gesucht werden sollte und im positiven Fall die Empfehlung zur Hohlfuβkorrektur ausgesprochen werden sollte 4.
Behandlungsalgorythmus des Pes cavovarus. Entscheidend ist die Flexibilität des Fußes, die Lokalisation und das Ausmaß der Deformität und möglicherweise vorhandene Gelenkschäden.
Abbildung 1: Behandlungsalgorythmus des Pes cavovarus. Entscheidend ist die Flexibilität des Fußes, die Lokalisation und das Ausmaß der Deformität und möglicherweise vorhandene Gelenkschäden.

Vorteile

  • Korrektur der Fehlstellung mit dem Ziel einen plantigraden Auftritt zu erreichen.
  • Präventive Stellungskorrektur zur Vermeidung einer Arthrose des Sprunggelenks.
  • Wiederherstellung des muskulären Gleichgewichts im Fuß.
  • Vermeidung einer Versorgung mit orthopädischem Maßschuhwerk.

Nachteile

  • Komplexer Eingriff in die Fußmechanik.
  • Häufig lange Phase der Rehabilitation.
  • Restbeschwerden können verbleiben.
  • Bei neurologischen Grunderkrankungen erneute Kontrakturen und Fehlstellungen möglich.

Indikationen

Operations-Indikationen

  • Überlastung des 1. oder 5. Strahls: Hyperkeratose, Ulzeration, Ermüdungsbruch.
  • Rezidivierende Rückfuβ-Supinationstraumata, chronische laterale Rückfuβinstabilität.
  • Vorbeugung einer drohenden oder Vermeidung der Progredienz einer bereits bestehenden OSG-Arthrose.

Kontraindikation

  • pAVK Stadium II und höher.
  • Infizierte Weichteildefekte.
  • Bei manifester Arthrose im oberen Sprunggelenk sind die dargestellten Maßnahmen nicht ausreichend.

Patientenaufklärung

  • Erweiterung des Eingriffs um Osteotomien und Sehnentransfers, bandstabilisierende Maßnahmen, Verlängerung Achillessehne/Wadenmuskulatur.
  • Wundheilungsstörung: bei großflächigen tiefen Defekten kann im Verlauf eine freie Lappenplastik zur Defektdeckung erforderlich werden.
  • Verbleibende Funktionseinschränkungen.
  • Infekt mit Revisionsoperation.
  • Unterschenkelamputation bei nicht beherrschbarem Infekt, Fehlschlag einer sekundären Weichteildeckung bzw. bei postoperativen Durchblutungsstörungen.
  • Verletzung von Gefäßen oder Nerven mit möglichem Taubheitsgefühl.
  • Sekundäre Nervenschäden (N. tibialis).
  • Spannungsverlust und/oder Kraftminderung von transponierten Sehnen.
  • 6 wöchige Ruhigstellung in einem Unterschenkelwalker oder -gips; danach stufenweiser Belastungsaufbau. Unterarmgehstützen ca. 3 Monate.
  • Krankenhausaufenthalt 4-6 Tage.
  • Arbeitsunfähigkeit: In Abhängigkeit vom Beruf ca. 3-6 Monate, ggf. stufenweise Wiedereingliederung. Berufe mit hoher Beanspruchung des Fußes können teilweise auch nach erfolgreicher Operation nicht wieder ausgeführt werden (z.B. Dachdecker, Gerüstarbeiter).
  • Persistierende Schwellungsneigung.
  • Kein selbständiges Führen eines Kraftfahrzeuges ca. 12 Wochen (Ausnahme Automatikgetriebe und linke betroffene Extremität).
  • Aufklärung über operative und konservative Alternativen (Arthrodese; Maßschuhversorgung).
  • Thromboseprophylaxe bis zum Wiedererreichen der Vollbelastung (ca. 12 Wochen).
  • Eingeschränkte Sportfähigkeit auch bei erfolgreicher Operation.
  • Risiko neuer Kontrakturen, Lähmungen und Fehlstellungen, insbesondere bei neurologischer Grunderkrankung

Operationsvorbereitungen

  • Präoperative Röntgenaufnahmen:
    • Sprunggelenk mit Belastung 2 Ebenen.
    • Fuß mit Belastung 3 Ebenen (Stellung des Fußes, Zustand Talonaviculargelenk und Calcaneocuboidalgelenk).
    • Saltzman Aufnahme (Verifizierung von Rückfußfehlstellungen) 56.
    • Einbeinstandaufnahme (Fehlstellungen im Unterschenkel; Varus/Valgus-Beinachse).
    • Gehaltene Aufnahme im Seitenvergleich bei präoperativer ligamentärer Instabilität.
  • Optional MRT zur Beurteilung der Knorpelsituation (Stäbler 2012).
  • Optional CT; insbesondere bei ausgedehnten Knochendestruktionen und extremen Fehlstellungen.
  • Berücksichtigung von weiteren Pathologien wie Vernarbungen der Weichteile, Neuropathien, vorbestehende degenerative Veränderungen im Sprunggelenk Dokumentation der präoperativen peripheren Durchblutung/Pulsstatus.
  • Gewährleistung der postoperativen häuslichen Patientenversorgung.
  • Patienten mit Basistherapie und/oder Immunsuppression: perioperative Anpassung der medikamentösen Therapie, ggf. in Absprache mit dem behandelnden Internisten/Onkologen/Neurologen.

Instrumentarium

  • Säge mit verschieden langen Sägeblättern.
  • Osteosynthesematerial je nach geplanter knöcherner Korrektur
    • Kirschner-Drähte
    • 4,5 mm od. 7,0 mm durchbohrte Schrauben
    • Platten
    • Klammern
  • Fadenanker und/oder Interferenzschrauben für Sehnentransfers.
  • Bildverstärker.

Anästhesie und Lagerung

  • Allgemeinanästhesie (Intubationsnarkose oder Larynxmaske) oder rückenmarknahe Anästhesieform. Eine kontinuierliche Regionalanästhesie ist möglich (Ischiadicus- und Femoraliskatheter) und wird postoperativ von den Patienten sehr geschätzt, birgt jedoch die Gefahr, dass intraoperative Nervenverletzungen (z.B. N. tibialis nach Calcaneus-Osteotomie) verspätet erkannt werden.
  • Oberschenkelblutleere 40-100 mmHg über dem systolischen Blutdruck; Anpassung der Manschettengröße in Abhängigkeit des Oberschenkelumfanges zur Vermeidung einer venösen Stauung.
  • Rückenlagerung oder Halbseitenlagerung.

 

Operationstechniken

Die Operationstechniken bei der Hohlfuβdeformität können in statische und dynamische Korrekturen bzw. in Operationen am Knochen und an den Weichteilen eingeteilt werden. Die Reihenfolge in dieser Aufzählung der Techniken orientiert sich an dem zeitlich sinnvollen Ablauf während der Hohlfuβkorrektur (Abb.1). Ziel der präoperativen Planung ist es, die zur Korrektur notwendigen Schritte aus zum zur Verfügung stehenden Portfolio auszuwählen (siehe auch Simon: Pes cavus – Diagnostik und Therapiestrategie). Video 1 zeigt einen vollständigen Operationsablauf mit den verschieden Operationsschritten. In den nachfolgenden Abschnitten wird jeweils nur der betreffenden Operationsanteil gezeigt.

Video 1: Hohlfusskorrektur mit lateralisierender Calcaneusosteotomie, Plantarfaszienrelease, Peronaeus longus auf brevis Transfer, anteromediales OSG Debridement und dorsalflektierender Osteotomie des Os cuneiforme mediale (Reverse Cotton).

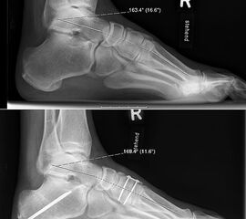
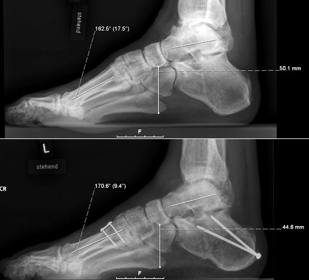
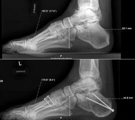
Lateralisierende Calcaneus-Osteotomie (Abb. 2 und 3, Video 2)

Indikation:

  • Chronisch laterale Rückfuβ-Instabilität.
  • Fixierter aber auch flexibler Rückfuβ varus.
  • Insbesondere bei drohender oder manifester anteromedialer OSG-Arthrose.

Die lateralisierende Calcaneus-Osteotomie ist ein Standard-Operationsschritt bei fast jeder Hohlfuβkorrektur. Der biomechanische Effekt der Osteotomie ist eine Verschiebung des Fersenkontaktpunktes und damit der beim Rückfuβ varus medialisierten Belastungsachse durch das OSG nach lateral. Diese statische Rückfuβ-Korrektur allein ist in der Lage, den bei Pes cavovarus anteromedial erhöhten OSG-Druck, der sehr wahrscheinlich zur korrespondierenden Arthrose führt, zu neutralisieren 7. Zuklappende Osteotomien mit Entnahme eines lateralen Knochenkeils haben sich dabei weniger effektiv gezeigt als solche mit Lateralisation des Tubers. Mit der Lateralisation des Achilles-Ansatzes verringert sich die Inversionskraft der Sehne zugunsten der schwachen Eversion, wodurch gleichzeitig die Prädisposition für Supinationstraumata reduziert wird. Neben der klassischen Dwyer-Osteotomie (Entnahme eines lateralen, vertikalen Keils 8 haben sich vor allem die technisch einfache Verschiebe-Osteotomien („sliding osteotomy“) und die Z-förmigen Osteotomien (Pisani 1993, Malerba 9) mit Entnahme eines lateralen Keils aus dem horizontalen Anteil der Osteotomie aber ohne Lateralisation des Tuberfragmentes, sowie die Korrektur nach Hintermann (Knupp 2008) mit zusätzlicher Lateralisation des Tuberfragmentes) durchgesetzt. Bei neutral aligniertem OSG ist keine supramalleoläre Tibia-Osteotomie zur Korrektur des Rückfuβ varus indiziert. Generell sollten Osteotomien gegenüber korrigierenden Arthrodesen der Vorzug gegeben werden. Die im Folgenden beschriebene Verschiebeosteotomie ist technisch einfach und hinsichtlich OSG-Druckneutralisation ebenso effektiv wie die Z-Osteotomien 7.

Technik

  • für diesen Operationsschritt ist eine Halbseiten- oder Seitenlage entweder durch intraoperative Umlagerung oder Kippen des Tisches und Innenrotation des Beines bei Halbseitenlage erforderlich.
  • schräge, zur Achse des Calcaneus rechtwinklig verlaufende Inzision 4 bis 5 cm mit Beginn ca. 2 cm posterior der Fibulaspitze in Richtung plantares Calcaneo-Cuboidal-Gelenk (oder in der Mitte zwischen Fibulaspitze und Ende der weichteiligen Ferse).
  • Präparation durch das Subcutangewebe posterior der Peronealsehnen, auf den N. suralis muss geachtet werden.
  • Darstellen der lateralen Calcaneus-Wand auf einem 1 cm breiten und parallel zum Hautschnitt verlaufenden Streifen.
  • Umfahren des Calcaneus mit Hohmann Hebeln und Markieren der Osteotomie mit 2 1.6 Kirschnerdrähten; Kontrolle der korrekten Osteotomie-Ebene im BV, diese sollten, da in der Regel keine Verkürzung oder Verlängerung des Rückfuβes gewünscht ist, in der axialen Projektion genau rechtwinklig zur Achse des Calcaneus verlaufen; seitlich beginnt die Osteotomie proximal etwa 2 cm anterior des Achilles-Ansatzes und läuft etwas schräg nach distal-anterior.
  • Sägen der Osteotomie mit vorsichtigem Eröffnen der medialen Kortikalis, um die dortigen neurovaskulären Strukturen zu schützen (evtl. palpierenden Finger gegenhalten) (Abb. 2).
  • Mobilisation der Weichteile und Aufspreizen der Osteotomie mit Knochenspreizer, gelegentlich muss das Skalpell vorsichtig zum Durchtrennen fibröser Gewebsanteile medial und plantar eingesetzt.
  • Je nach gewünschten Ausmass der Korrektur Lateralisation des Tuberfragmentes um 6-10 mm; zur besseren Verschiebung des Fragmentes hat sich der Einsatz des Rasparatorium bewährt, durch die Dorsalflexion des Fuβes, kann die Korrektur-Position vorläufig fixiert und Kompression auf die Osteotomie erzielt werden; daneben kann die vorläufige Fixation auch mit Kirschnerdrähten über eine dorsoplantare Querinzision 3 cm erfolgen.
  • Häufig verschiebt sich das Tuber-Fragments bei der Korrektur etwas nach proximal, was aber bei steilem Calcaneus (hoher “calcaneal-pitch” Winkel) erwünscht sein kann.
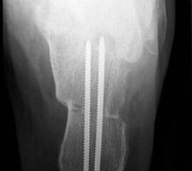
  • Definitive Fixation über die dorsoplantare Querinzision mittels Schrauben (normale 3.5 mm Kortikalsischrauben sind hier völlig ausreichend).
  • Kontrolle der korrekten Schraubenlage im BV (Abb. 3).
  • Gerade bei neurologischer Ursache (Neuropathien) kann die Osteotomie zur Kompression des verdickten N. Tibialis führen; eine prophylaktische Spaltung des medialen Gefäss-Nervenkompartimentes (inferiores Flexoren-Retinakulum) wurde daher für diese Patienten empfohlen 10.

Video 2: OP Technik lateralisierende Calcaneusosteotomie

Spezifische Komplikationen

  • Gefäss- und Nervenläsion sowohl lateral als auch medial durch direkte Verletzung oder Kompression.
  • Überkorrektur fast unmöglich.
  • Unterkorrekturen als schwerwiegende technischer Fehler.
  • Sehr selten Pseudarthrose.
  • Gelegentlich Metallentfernung nötig

Nachbehandlung

  • Die Osteotomie ist in der Regel der Operationsschritt, der die Nachbehandlung nach Hohlfuβkorrektur diktiert.
  • Plantigrade Gipsruhigstellung für 6 bis 8 Wochen, 4 Wochen 0 kg und 4 Wochen 10 kg Teilbelastung führt zu einer sicheren Konsolidation des Knochens.

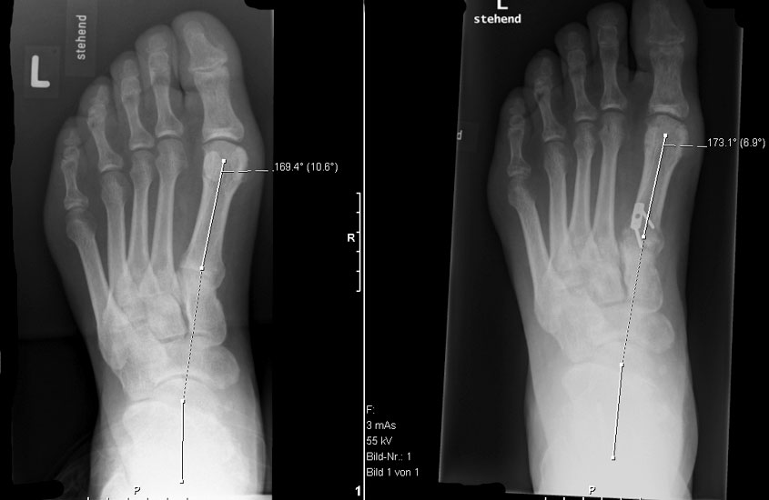
Peroneus longus auf brevis Transfer (Abb. 4 und 5, Video 3)

Indikation:

  • Standard-Operationsschritt bei intaktem Peroneus longus (präoperativ mindestens Kraft M4 nach Luc Noreau 1998).
  • Plantarflektiertes Metatarsale I (lateraler Talo-MT I Winkel mehr als 10°) und schwacher M. peroneus brevis (lateraler Rückfuβ-Instabilität).

Die meisten neurologischen Hohlfüsse weisen einen funktionalen M. peroneus longus bei schwachen M. peronaeus brevis und schwachen M. tibialis anterior auf 11. Der Zug des M. peroneus longus nach plantar trägt zum überhöhten medialen Längsgewölbe und sekundär zum Rückfuβ varus bei. Hinsichtlich Reduktion des plantarflektierten Metatarsale I und Kräftigung der Rückfuβ-Eversion mit Stabilisierung des lateralen Rückfuβes ist der Transfer ausgesprochen effektiv.

Technik

  • Längsinzision 4 bis 6 cm über der distalen Peroneus brevis Sehne am lateralen Rückfuβ; bei geplanter Calcaneus-Osteotomie ist eine längere und mehr posterior gelegene, für beide Operationsschritte gemeinsame Inzision zu wählen.
  • Präparation des Subcutangewebes unter Schonung des N. suralis.
  • Eröffnen beider Sehnenscheiden, der Peroneus longus verläuft unter dem Peroneus brevis und ist gelegentlich nur schwer aufzufinden.
  • Die Peroneus longus Sehne wird soweit distal wie möglich nach ihrem Verlauf unter dem Os cuboideum abgesetzt; ein etwaiges Os peroneum wird reseziert.
  • Einflechten der Peroneus longus- in die brevis Sehne in Pulvertaft-Technik 2 bis 3 mal bei mittlerer Sehnenamplitude; dabei wird der Rückfuβ in maximaler Eversion gehalten; Fixation mittels nicht-absorbierbarer Fäden (z.B. Ethibond).

Video 3: Peronaeus longus auf brevis Transfer.

Spezifische Komplikationen

  • Läsion des N. suralis.
  • Ausreissen der Sehne.

Nachbehandlung

  • Meist abhängig von der gesamten Hohlfuβkorrektur.
  • Ist der Peroneus longus auf brevis Transfer der einzige Eingriff, ist eine Gipsruhigstellung in leichter Rückfuβ-Eversion für 4 bis 6 Wochen postoperativ mit 10 bis 20 kg Teilbelastung möglich.

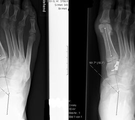
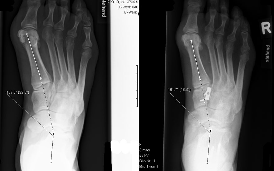
Dorsalflektierende Osteotomien des medialen Mittelfuβes (Abb. 6 – 9, Video 4)

Indikation:

  • Erhöhter lateraler Talo-Metatarsale I Winkel (Meary-Winkel) als Ausdruck des plantarflektierten medialen Mittelfuβes, insbesondere im "forefoot driven hindfoot varus" (positiver Coleman block Test).

Die reduzierte Steilstellung des 1. Strahls wirkt sich positiv auf den Rückfuβ varus und den Vorfuβ adductus aus. Auch die relative Dorsalflexion des Talus in der Sprunggabel mit anterioren OSG-Impingement und verringerter OSG-Dorsalflexion wird verbessert.
Generell wird die dorsalflektierende MT I Osteotomie (Abb. 6 und 7) nicht isoliert ausgeführt, sondern ist Teil der gesamten Hohlfuβ-Korrektur. Beim absolut flexiblen Hohlfuβ ist sie gelegentlich zusammen mit einem Peroneus longus auf brevis oder einem Release der Plantarfaszie ausreichend. Diese Osteotomie ist einfach durchzuführen und hat eine geringe Pseudarthroserate.
Eine ähnliche dorsalflektierende Osteotomie des Os cuneiforme mediale (reversed Cotton Osteotomie, Abb. 8 und 9), ebenfalls mit Entnahme eines dorsal basierten Knochenkeils, ist effektiver im Ausmass der Korrektur, jedoch oftmals wegen der Insertion des kräftigen Lisfranc-Ligaments nur schwierig zu schliessen.
Sind nicht nur der Strahl I, sondern auch die Strahlen II und III deutlich plantarflektiert, sollte auch hier analog eine dorsalflektierende Osteotomie durchgeführt werden um eine Transfermetatarsalgie zu vermeiden. In der präoperativen klinischen und radiologischen Untersuchung sollte dies bereits antizipiert und intraoperativ verifiziert werden.

Technik:

  • Dorsale Längsinzision vom Os cuneiforme mediale bis Mitte Os metatarsale I (MT I).
  • Darstellen der EHL, welche nach medial oder lateral gehalten werden kann, auf kreuzende Hautäste der Nn. peroneus superfizialis und saphenus muss geachtet werden.
  • Aufsuchen des Tarsometatarsale-I-Gelenks (TMT-I-Gelenk). 1 bis 1.5 cm distal davon wird die Osteotomie-Ebene mit einem Kirschnerdraht parallel zum TMT-Gelenk markiert.
  • Sägen einer subtotalen Osteotomie, wobei der proximale Schnitt parallel MT I Gelenkfläche erfolgen sollte, Basis des Keils 4-6 mm je nach Ausmass der gewünschten Korrektur, konvergierender 2. Sägeschnitt, die plantare Kortex bleibt für mehr Stabilität intakt.
  • Vorsichtiges Schliessen der Osteotomie, ev. Perforieren der plantaren Kortikalis.
  • Evaluation der gewünschten Korrektur mit simulierter, plantigrader Belastung des Vorfuβes: MT I und V Köpfchen sollten auf gleicher Höhe in Relation zur Tibiaachse sein, bei prominenten MT II und III Köpfchen entsprechende dorsalflektierende Osteotomien (Basis des Keils 2 bis 4 mm).
  • Fixation der Osteotomie z.B. mit einer 3-Loch 2.0 DCP (exzentrisches Bohren zur Kompression der Osteotomie).

Video 4: Dorsalflektierender Osteotomie des Os cuneiforme mediale (Reverse Cotton).

Spezifische Komplikationen

  • Nervenläsion
  • Pseudarthrose
  • Transfermetatarsalgie
  • Über- und Unterkorrektur

Nachbehandlung

  • Meist abhängig von der gesamten Hohlfuβkorrektur.
  • Ist die dorsalflektierende Osteotomie der einzige knöcherne Eingriff, ist eine Vollbelastung im Vorfuβ-Entlastungsschuh nach Wundheilung bis 6 Wochen postoperativ möglich.

Mittelfuss-Osteotomien und -Arthrodesen

Indikation

  • Schwere Deformitäten, meist auf Basis einer neurologischen Grunderkrankung.
  • Hohlfüssen mit massiv überhöhten Längsgewölbe oder Equinus-Deformität.
  • Bei maximaler Deformität auf Höhe der Chopart- oder Naviculo-cuneiforme-Gelenkreihe.

Bei den Osteotomien wird ein Keil aus dem Mittelfuβ entnommen und der Vorfuβ zur Reduktion des Equinus oder Längsgewölbe dorsalflektiert und fixiert. Gleichzeitig kann über die Osteotomie eine Korrektur der Pronationsfehlstellung des Vorfußes erfolgen.
Bei der Osteotomie nach “Cole” wird ein dorsal basierter Keil vom Os naviculare, den Cuneiformia und vom Os cuboideum entnommen (Cole 1940) (Abb. 10).
Hingegen wird der Keil bei der Osteotomie nach “Japas” weiter distal nur aus den Cuneiformia und dem Os cuboideum reseziert 12.
Ein grosser Nachteil dieser Osteotomien ist deren Schnittführung durch multiple Gelenke des Mittelfuβes mit der Gefahr einer späteren Arthrose-Ausbildung. Daher sollte der o.g. dorsalflektierenden Metatarsale-Osteotomie generell der Vorzug gegeben werden. Liegt hingegen bereits eine Mittelfuβ-Arthrose vor, kann eine den Pes cavovarus korrigierende, isolierte Talonavicular-Arthrodese oder eine Arthrodese der gesamten Chopart-Gelenkreihe indiziert sein.
Für eine schwere Mittelfuβ adductus und equinus Deformität wird auch eine Distraktions-Osteotomie des Talus (z.B. mit trikortikalem Beckenkammspan) mit verkürzender Arthrodese des Calcaneo-cuboidal-Gelenkes und Verlängerung der Tibialis posterior Sehne empfohlen 13. Diese komplexen Mittelfuβ-Korrekturen betreffen einzelne, sehr seltene und meist neurogen bedingte Hohlfüsse.

Technik

  • Lange dorsale Längsinzision mittig oder zwei Zugänge medial und lateral mit Minimum 5 cm Hautbrücke.
  • Abpräparieren der Weichteile direkt auf dem Knochen, so dass der Weichteilmantel als Ganzes abgehoben werden kann.
  • Beim zentralen Längszugang Darstellen der EHL-Sehnbe, welche nach medial oder lateral gehalten werden kann, auf kreuzende Hautäste der Nn. peroneus superfizialis und saphenus muss geachtet werden.
  • Identifizieren der gewünschten Resektionsebene unter BV-Kontrolle. Markieren der geplanten Schnitte mit Kirschnerdrähten.
  • Setzen einer Längsmarkierung (z.B. mit dem Diathermiemesser) anhand derer das Ausmaß der Rotation von Vorfuß gegen den Rückfuss beurteilt werden kann.
  • Sägen der keilförmigen Osteotomie. Die plantare Kortikalis und das plantare Periost werden bei geplanter Derotation von Vorfuß gegen den Rückfuß mit einem Meisel vorsichtig perforiert.
  • Vorsichtiges Schliessen der Osteotomie. Korrektur einer verbliebenen Pronationsfehlstellung durch Derotation des Vorfußes gegen den Rückfuß.
  • Evaluation der gewünschten Korrektur mit simulierter, plantigrader Belastung des Vorfuβes.
  • Fixation der Osteotomie z.B. mit Blount-Klammern oder Platten.

Spezifische Komplikationen

  • Gefäβ- und Nervenläsion
  • Unzureichende Derotation des Vorfußes gegen den Rückfuss mit verbliebener Pronationsstellung des Vorfußes
  • Hautnekrosen

Nachbehandlung

  • 6 Wochen Entlastung, dann stufenweiser Belastungsaufbau über weiter 6 Wochen.
  • Mobilisation des Sprunggelenks bei gesicherter Wundheilung.

Anteromediale OSG-Arthrotomie und Cheilektomie (Video 5)

Indikation: anteromediale OSG-Arthrose

Dieser Operationsschritt dient der Resektion anteriorer, meist vorwiegend tibialer Osteophyten, dem Anbohren oder der Plastik allfälliger Knorpelläsion an Talus und Tibia. Die eingeschränkte OSG-Dorsalflexion lässt sich so verbessern.

Technik:

  • 5 cm Längsinzision über dem anteriomedialen OSG.
  • Präparation des Subcutangewebes; Eingehen medial der Sehne des Tibialis anterior; auf subcutan kreuzende Nervenäste und weiter lateral das grosse Gefässnerven-Bündel (A. dorsalis pedis, N. peroneus profundus) muss geachtet werden.
  • Darstellen der anteromedialen OSG-Kapsel, Arthrotomie.
  • Resektion der Osteophyten, Anbohren oder Microfracturing von Knopelläsionen, allenfalls Knorpelplastik (z.B. AMIC).

Video 5: Anteriomediales OSG Debridement.

Spezifische Komplikationen

  • Gefäβ- und Nervenläsion
  • Anteriore Subluxation des Talus (in den Knorpeldefekt) bei unzureichender dynamisch-statischer Gesamtkorrektur der Deformität

Nachbehandlung

  • Abhängig von der gesamten Hohlfuβkorrektur.
  • Mobilisation des Sprunggelenks bei gesicherter Wundheilung.

Release der medialen talonaviculären Kapsel

Indikation: ausgeprägter Mittelfuβ adductus

Sollte sich nach der dorsalflektierenden Metatarsale-Osteotomie die Mittelfuβ adductus Position nicht ausreichend bessern (eher selten), kann eine medial kontrakte talonaviculäre Kapsel die Ursache dafür sein.

Technik:

  • 4-6 cm Längsinzision über dem TN-Gelenk.
  • Präparation des Subcutangewebes; Eingehen zwischen der Sehne des Tibialis anterior und des Extensor hallucis longus oder medial der Tibialis anterior Sehne (bei gleichzeitiger OSG-Arthrotomie, s.o.); auf subcutan kreuzende Nervenäste und das grosse Gefässnerven-Bündel (A. dorsalis pedis, N. peroneus profundus) muss geachtet werden.
  • Darstellen des talonaviculäre Kapsel, Release auf der medial kontrakten Seite, bis das Os naviculare problemlos abduziert werden kann.

Spezifische Komplikationen

  • Gefäβ- und Nervenläsion

Nachbehandlung

  • Abhängig von der gesamten Hohlfuβkorrektur.

Release der Plantarfaszie (“Operation nach Steindler”) (Abb. 12 und 13, Video 6)

Indikation:

Unzureichende Korrektur des ausgeprägt hohen medialen Längsgewölbe nach dorsalflektierender MT I (bis III) Osteotomie und Peroneus longus auf brevis Transfer aufgrund einer kontrakten Plantarfaszie.

Die Veränderung findet sich gehäuft bei Hohlfüßen mit neurologischer Ätiologie.

Die kontrakte Plantarfaszie trägt sowohl zur Aufrechterhaltung des Längsgewölbes, als auch zum Rückfuβ varus individuell unterschiedlich bei (Abb. 12). Solange die Hohlfuβ-Deformität noch flexibel ist, kann vom Release eine zusätzliche Korrektur erwartet werden (Steindler 1917.). Auch in Kombination mit dorsalflektierender MT I (bis III) Osteotomie und Peroneus longus auf brevis Transfer ist in der Literatur eine Überkorrektur mit Entwicklung eines Pes planovalgus unbekannt.

Technik

  • Medial-plantar 3 bis 4 cm Längsinzision mit Beginn distal des Fersen-Fettkörpers entlang der kontrakten Plantarfaszie (Abb.13).
  • Vorsichtige Präparation des Subcutangewebes (kleine Hautäste) und Darstellen der Faszie medial bis zur Faszie des M. abductor hallucis.
  • Durchtrennen der Plantarfaszie am Ursprung; Spannung der Faszie mittels Dorsalflexion der Zehen in den MTP Gelenken erleichtert die Durchtrennung und das Erkennen tiefer gelegener Septen, welche ebenfalls mit grosser Vorsicht wegen der unmittelbaren Nähe zum N. plantaris lateralis durchtrennt werden sollten (Abb. 12).
  • Insbesondere bei ausgeprägtem Vorfuβ adductus ist ein weiterer wichtiger Operationsschritt, anschliessend die Spannung des M. abductor hallucis zu palpieren und allenfalls die oberflächliche und tiefe Faszie des Muskels zusätzlich zu inzidieren.

Video 6: Release der Plantarfaszie

Spezifische Komplikationen

  • Gefäss- und Nervenläsion.

Nachbehandlung

  • Meist abhängig von der gesamten Hohlfuβkorrektur.
  • Ist das Release der Plantarfaszie der einzige Eingriff, ist eine Gipsruhigstellung 4 Wochen postoperativ mit Belastung nach Massgabe der Beschwerden möglich.

Extensor hallucis longus (EHL) auf MT1 Transfer und Arthrodese des Interphalangealgelenks (IP-Gelenk) (“Jones Procedure”)

Indikation:

  • Hyperextension der Grosszehe im MTP I Gelenk als Folge einer Schwäche des Tibialis anterior und einer kompensatorischen Überaktivierung des EHL.
  • Der Eingriff findet vor allem bei neurogen bedingtem Pes cavovarus Verwendung.

Obwohl der EHL Muskel im selben Kompartiment wie der schwache Tibialis anterior Muskel liegt und vom N. peroneus profundus eher distal versorgt wird, gibt es erstaunlich viele Fälle, bei denen der EHL von der Neuropathie verschont wird. Der EHL wird in diesen Fällen kompensatorisch für die OSG-Dorsalflexion eingesetzt, was jedoch zur Hyperextension im MTP I und sekundär zur Flexion im IP Gelenk führt. Die Vorverlagerung der EHL-Insertion in das MT I Köpfchen wirkt sich positiv auf die OSG-Dorsalflexion und die Krallenzehen-Deformität der Grosszehe (“cock-up”) aus. Um Probleme infolge der nun herabhängenden Endphalanx zu vermeiden, wird eine IP-Arthrodese ergänzt.

Technik:

EHL auf MT I Transfer

  • dorsale Längsinzision von der Mitte des MT I bis zur EHL-Insertion.
  • distal Absetzen der EHL Sehne.
  • transverses Bohrloch in der Grösse des Sehnendurchmesser (meist 4.5 mm) durch das distale MT I.
  • die EHL Sehne wird durch das Bohrloch von lateral nach medial geführt und mit sich selbst vernäht (z.B. Ethibond), währenddessen wird der Fuβ für eine moderate Sehnenspannung in 10° Dorsalflexion gehalten.

IP-Arthrodese

Skizze einer Jones OP mit Transposition der EHL Sehne auf das Metatarsale I in Verbindung mit einer Arthrodese des IP-Gelenks der Großzehe.
Abbildung 14
  • Die IP-Gelenkkapsel wird eröffnet und die Kollateralbänder für eine bessere Gelenkeinsicht durchtrennt.
  • Der Gelenkknorpel wird bis in den subchondralen Bereich mit der Säge entfernt, wodurch 2 plane Flächen entstehen.
  • Für die gewünschte Arthrodeseposition wird eine Plantarflexion von 5-10° in der Sagittal- und eine neutrales Alignement in der Transversalebene eingestellt.
  • über eine Stichinzision an der Zehenkuppe wird die Arthrodese retrograd mit einer 2.7 oder 3.5 mm Kortikalis- oder Spongiosaschraube zentral durch End- und Grundphalanx fixiert.
  • Ein Antirotations-Kirschnerdraht kann bei etwas instabilen Verhältnissen zusätzliche Stabilität bieten. Er wird in der Regel nach 4 Wochen entfernt.

Spezifische Komplikationen

  • Pseudarthrose und Fehlpositionierung der IP-Arthrodese.
  • Ausreissen der Sehnentransfers.
  • Fraktur und avaskuläre Nekrose des MT-Köpfchens.

Nachbehandlung

  • Meist abhängig von der gesamten Hohlfuβ-Korrektur.
  • Isoliert Gips- oder Cast-Ruhigstellung mit 10-20 kg Teilbelastung für 6 Wochen.

Z-förmige Achillessehnen-Verlängerung (Abb. 15)

Indikation:

OSG-Dorsalflexion weniger als 10°.

Die eingeschränkte OSG-Dorsalflexion ist zumindest partiell Folge des plantarflektierten medialen Mittelfuβes. Der Talus wird hierdurch in eine dorsalflektierte Position gezwungen, wodurch schon bei plantigradem Fuβ der Bewegungsumfang in Richtung OSG-Dorsalflexion ausgeschöpft ist und der Druck im anterioren OSG dauerhaft ansteigt. Die Druckerhöhung kann über Jahre hinweg zu der für den Pes cavovarus typischen anteromedialen OSG-Arthrose beitragen, worauf auch diesbezüglich asymptomatische Patienten hingewiesen werden sollten. Da die Wadenmuskulatur nun weniger gedehnt wird, kommt es allmählich zur kontrakten Verkürzung (kontrakter Spitzfuβ), so dass eine Verlängerung der Achillessehne als weiterer Operationsschritt sinnvoll ist. Bei einer frühzeitigen Hohlfuβ-Korrektur ohne Kontraktur der Wadenmuskulatur hingegen ist vor allem durch die dorsalflektierende MT I Osteotomie und den Peroneus longus auf brevis Transfer die Talus-Dorsalflexion reversibel.
Als Alternative zur Achillessehnen-Verlängerung kommt bei positiven Silverskjöld-Test (deutlich mehr OSG-Dorsalflexion bei gebeugten als bei gestreckten Knie durch Ausschalten des verkürzten, gelenkübergreifenden M. gastrocnemius) auch eine isolierte Verlängerung des M. gastrocnemius in Betracht ("Strayer"- oder "Bauman"-Procedure).

Video 7: Positiver Silverskjöld-Test mit vermehrter Dorsalextension in Verbindung mit einem flektiertem Kniegelenk. Bei gestrecktem Kniegelenk besteht eine Spitzfussstellung.

Technik:

Achillessehnenverlängerung über einen posteriomedialen Zugang. Auch eine ausreichende Länge des vertikalen Tenotomie-Schenkels von mindestens 6 cm ist zu achten, da sonst unter Umständen keine stabile Seit-zu-Seit Verbindung der Sehne möglich ist.
Abbildung 15

Eine ausreichende Hüftgelenksbeweglichkeit sollte präoperative geprüft werden, damit der chirurgische Zugang zur Achillessehne von medial auch in Rückenlage mittels Hüft-Aussenrotation und Knie-Flexion durchgeführt werden kann. Andernfalls ist eine intraoperative Umlagerung in Seiten- oder Bauchlage erforderlich.

  • Ca. 6 cm Längsinzision posteromedial über der Achillessehne (eine posterolaterale Inzision birgt die Gefahr einer Läsion des N. suralis).
  • Eröffnen des Peritenons in Längsrichtung.
  • Z-förmige Verlängerung der Sehne um 1.5 bis 2 cm, ohne in den muskulotendinösen Übergang zu schneiden, auf eine ausreichende Länge des vertikalen Tenotomie-Schenkels von ca. 6 cm ist zu achten.
  • Evtl. Längsspalten der tiefen Unterschenkelfaszie, um Wundheilungsstörungen vorzubeugen (bei z.B. Hämatom).
  • Naht der Sehne mit z.B. PDS 1-0, 4 U-Nähte (je 2 anterior und posterior) sind in der Regel ausreichend
  • Verschluss des Peritenons mit Vicryl 3-0.

Spezifische Komplikationen

  • Wundheilungsstörung
  • Läsion des N. suralis, Reissen der Naht
  • Kraftverlust oder Hackenfuβ bei übermässiger Verlängerung

Nachbehandlung

  • Meist abhängig von der gesamten Hohlfuβ-Korrektur.
  • Isoliert plantigrade Gips- oder Cast-Ruhigstellung mit 10-20 kg Teilbelastung für 6 bis 8 Wochen.

Lateralisation der Tibialis anterior Sehne

Indikation:

  • Insbesondere bei neurogenen Deformitäten
  • Funktionsverlust der Peronealmuskulatur

Neben der lateralisierenden Calcaneus-Osteotomie und dem Peroneus longus auf brevis Transfer zum Balancieren des Rückfuβ varus, trägt die Transposition der Tibialis anterior Sehne nach lateral dazu bei, den im OSG anteromedial erhöhten Druck zu neutralisieren und eine laterale Rückfuβ-Instabilität zu beheben.
Bei funktionaler Tibialis anterior Sehne ist die Lateralisation vom Os cuneiforme mediale auf laterale ein effektiver Operationsschritt zum dynamischen Balancieren des varischen Rückfuβ. Da bei jedem Sehnentransfer wenigstens ein Kraftgrad verloren geht, ist ein präoperatives M4 für einen sinnvollen Transfer notwendig. Bei einigen neurologischen Hohlfüßen mit schwachem M. tibialis anterior kann die Lateralisation daher nicht durchgeführt werden 14. Beim Transfer wird das ursprünglich starke Inversions-Moment in ein leichtes Eversions-Moment überführt, wobei die Dorsalflexions-Kraft erhalten bleibt. Patienten nach dem Eingriff weisen zudem einen niedrigeren lateralen Talo-MT I Winkel auf, was wohl bedeutet, dass der M. Tibialis anterior in seiner ursprünglichen Position zur Hohlfuβ-Deformität beiträgt 14. Das Risiko einer Überkorrektur ist gering, zudem ist der vollständige Sehnentransfer einfacher als der früher empfohlene hälftige (split anterior tibialis transfer).

Technik

  • Mediale Längsinzision 3 bis 4 cm von der Tuberositas des Os naviculare bis zur MT I Basis, vollständiges Ablösen der Tibialis anterior Sehne vom Tuberkulum mediale des Os cuneiforme mediale und der Metatarsale I Basis. Die Länge der Sehne sollte möglichst erhalten werden.
  • Anteriore Längsinzision 3 bis 4 cm knapp oberhalb des superioren Extensorenretinakulums. Zum Herausziehen der Sehne wird die Muskelfaszie über dem Retinakulum eingeschnitten.
  • Das Sehnenende wird mit nicht-absorbierbaren Fäden armiert (z.B. 0er Ethibond) und über eine 3 cm Längsinzision zentriert über dem Os cuneiforme laterale mit z.B. einer Kocher-Klemme nach distal ausgezogen. Der Verlauf der Sehne ist dabei unter dem Retinakulum im Bereich des Extensor digitorum longus.
  • Der korrekte Eintrittspunkt (dorsolaterales Zentrum des Os cuneiforme laterale) wird mittels Durchleuchtung lokalisiert und ein 6 mm Bohrloch in Richtung Os cuneiforme mediale gebohrt; der M. extensor digitorum brevis muss dazu meist gesplittet werden.
  • Die Sehne wird mit dem Fadenende medial durch den ersten Hautschnitt aus dem Os cuneiforme mediale ausgezogen und dort sowie lateral am Periost und umgebenden Weichteilen mit physiologischer Vorspannung (ca. halbe Muskelamplitude bei plantigradem Fuβ) fixiert. Dies kann durch transossäre Nähte, eine Interferenzschraube oder einen Fadenanker erfolgen.

Spezifische Komplikationen

  • Gefäss- und Nervenläsion.
  • Ausreissen der Sehne mit Funktionsverlust.
  • Arthrosebeschwerden infolge durchbohrter Intercuneifome-Gelenke (denkbar, bisher nicht beschrieben).
  • Über- und Unterkorrektur.
  • Wirkungsverlust bei neurologischer Ätiologie mit Progredienz der Neuropathie.

Nachbehandlung

  • Meist abhängig von der gesamten Hohlfuβkorrektur.
  • Ist die Lateralisation der Tibialis anterior Sehne der einzige Eingriff, ist eine Gipsruhigstellung 6 Wochen postoperativ zum Einheilen der Sehne notwendig.

Bandrekonstruktion und –naht lateraler Rückfuss

Jegliche Technik der zur Bandrekonstruktion und –naht des lateralen Rückfuβ wird sehr wahrscheinlich in einer erneuten Rückfuβ-Instabilität enden, wenn nicht auch der zum Supinationstrauma prädisponierende Rückfuβ varus mit einer lateralisierenden Calcaneus-Osteotomie statisch korrigiert wird. Rezidivierende Supinationstraumata bzw. eine chronische laterale Rückfuβ-Instabilität in Kombination mit einem Pes cavovarus muss als präarthrotische Deformität betrachtet werden 154. In den meisten klinischen Studien zur Hohlfuβ-Korrektur wird daher bei Rückfuβ-Instabilität eine anatomische Bandrekonstruktion oder –naht durchgeführt 161718. Eine aktuelle Studie zeigt hingegen, dass allein mit der ausreichenden statischen Korrektur auch ohne Bandrekonstruktion oder –naht der Rückfuβ stabilisiert werden kann 19.

Krallenzehen-Korrektur

Korrektur der Kleinzehen durch einen Beugesehnen-Transfer nach Girldestone-Taylor.
Abbildung 16

Die Krallenzehen-Deformität der Kleinzehen ist bei Pes cavovarus häufig anzutreffen, verliert sich jedoch spontan wieder mit dem Alignement des Rück- und Mittelfuβes, solange die Deformität flexibel ist.
Bei im MTP fixierten Krallenzehen hingegen ist eine Verlängerung der Strecksehnen und ein Release der Kapsel indiziert. Liegt auch eine fixierte Hyperflexion im PIP vor, ist der PIP-Arthrodese gegenüber dem Beugesehnen-Transfer nach Girldestone-Taylor der Vorzug zu geben. Bei persistierender flexibler PIP Hyperflexion trotz Hohlfuβkorrektur am Rück- und Mittelfuβ sind PIP-Arthrodese und Beugesehnentransfer gleichwertig einzustufen. Insbesondere bei neurologischer Ätiologie des Pes cavovarus ist eine eher aggressivere Korrektur und damit die PIP-Arthrodese empfehlenswert.

Postoperative Ergebnisse

Nur wenige Studien zum Outcome nach operativer Korrektur des Pes cavovarus sind publiziert. Dabei handelt es sich überwiegend um Level III und IV Studien über fixierte, neurologische und idiopathische Hohlfüsse, die Evidenz für die verschiedenen operativen Konzepte ist gering.
Gute und sehr gute, auch langanhaltende Ergebnisse in 2/3 der Fälle werden generell mit diversen Operationstechniken erzielt. Tabelle 1 gibt einen Überblick (Tab. 1). Obwohl viele Patienten ein partielles Rezidiv ihrer Pes cavovarus Deformität nach der Korrektur erleiden, sind sie jedoch zumeist in der Lage, Konfektionsschuhwerk ohne Orthesen oder Einlagen zu tragen 14. Das Gangbild ist im Ablauf normal aber die Schritt-Kadenz etwas langsamer als im Durchschnitt.

Durchweg schlechtere Ergebnisse v.a. hinsichtlich der Schmerzen und Aktivitätslevel sind bei neurologischer Ätiologie trotz adäquater Korrektur der Deformität zu erwarten 20. Liegt bereits präoperativ eine OSG-Arthrose Grad II und mehr vor, sind die Ergebnisse ebenfalls schlechter. Diese Verschlechterung unterstreicht, wie wichtig eine frühzeitige Erkennung der Arthrose und die Vermeidung der Progredienz durch Korrektur der Deformität beim Pes cavovarus für ein gutes Outcome ist 415.
Bei gleichzeitigem Vorliegen eines Rückfuβvarus und einer chronischen lateralen Rückfuβ-Instabilität mit rezidivierenden Supinationstraumata ist das Risiko der anteromedialen OSG-Arthrose erhöht, jedoch kann sie auch allein durch die Druckerhöhung infolge der alterierten Hohlfuβ-Statik, also ohne Instabilität, auftreten 318. Um einer Arthrose-Progredienz vorzubeugen, ist eine aggressives und leicht überkorrigierendes Alignement der Hohlfuβ-Deformität ratsam 21.

Weitere Literatur

  • Stäbler A.: Bildgebende Diagnostik des Fußes. Stuttgart, Thieme, 2012.
  • Knupp M, Horisberger M, Hintermann B: A new z-shaped calcaneal osteotomy for 3-plane correction of severe deformity of the hindfoot. Tech Foot Ankle Surg 7:90-95, 2008
  • Cole WH: The treatment of claw-foot. J Bone Joint Surg Am 22:895-908, 1940
  • Steindler A: Operative treatment of pes cavovarus: Stripping of the os calcis. Surg Gynecol Obstet 24:612, 1917
  • Pisani, G: Trattato di chirurgia del piede. Edizioni Minerva Medica, 1993
Loading…
Loading the web debug toolbar…
Attempt #