Vorbemerkungen

Die kombinierte Versteifung des oberen und unteren Sprunggelenkes stellt den chirurgischen Endpunkt einer Arthrosebehandlung in den genannten Gelenken dar. Als auslösend für diese Arthrose können verschiedene Faktoren genannt werden. Neben ausgeschöpfter konservativer Therapie sollten vor einer Arthrodese gelenkerhaltende Therapieformen und auch der endoprothetische Ersatz des oberen Sprunggelenkes differentialtherapeutisch in Erwägung gezogen werden 1. Neben der intramedullären Osteosynthese mittels eines retrograd eingebrachten Nagels  kommen auch externe Osteosyntheseverfahren im Sinne eines Fixateur externe zur Anwendung. Die Angaben über aufgetretene Komplikationen einer retrograden Nagelarthrodese des oberen und unteren Sprunggelenkes und insbesondere das Auftreten von Pseudarthrosen variieren und werden zwischen 7 und 24% angegeben 2345.

Operationsprinzip und –ziel

Durch die Fusion des oberen und unteren Sprunggelenkes soll eine Schmerzfreiheit bei gleichzeitiger Stabilität und Belastbarkeit in den genannten Gelenkabschnitten erreicht werden. Die Mobilität des Patienten bleibt damit gewährleistet. Durch Resektion der Gelenkflächen im OSG und im USG kann die Achse im Sprunggelenk korrigiert werden 67. Die Retention erfolgt durch einen von plantar aus eingebrachten Verriegelungsnagel. Orthopädietechnische Schuhzurichtungen oder sogar die Anpassung von orthopädischen Massschuhen sind nach einer Versteifungsoperation im OSG und USG häufig sinnvoll.

Vorteile

  • Gutes Alignment
  • Erhaltung der Mobilität
  • Schmerzfreiheit
  • Korrekturmöglichkeit supramalleolarer Fehlstellungen

Nachteile

  • Versteifung zweier großer Gelenke
  • Gefahr von Anschlussarthrosen
  • Andauernde belastungsabhängige Schwellneigung und ggf. auch Schmerzen
  • Implantatkosten
  • Größe des operativen Eingriffes

Indikationen

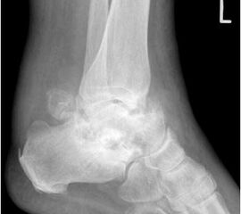
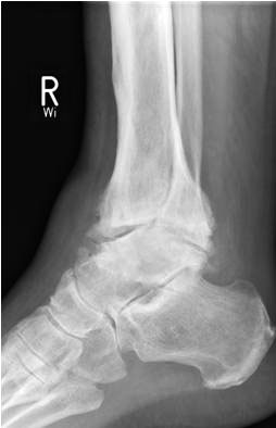
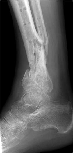
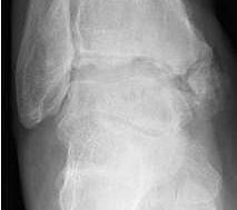
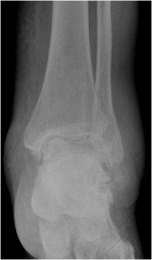
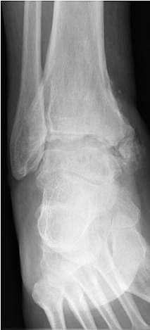
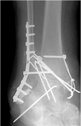
  • Primäre oder posttraumatische Arthrose des OSG und USG (Abbildung 1, Abbildung 2).
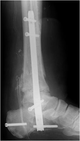
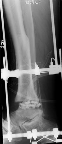
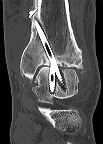
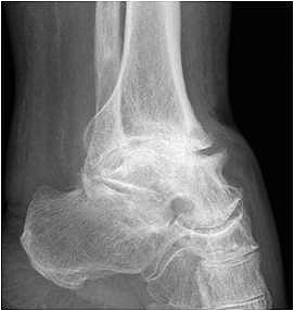
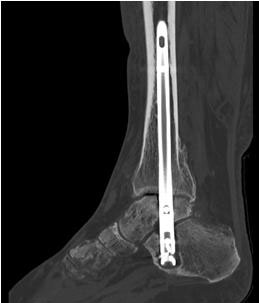
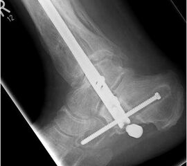
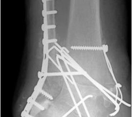
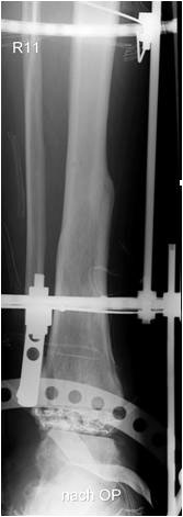
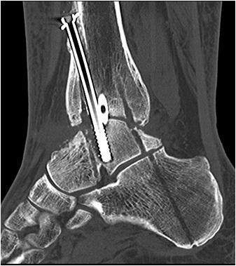
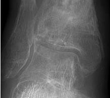
  • Revision einer gescheiterten Fusion des OSG/ USG (Abbildung 3, Abbildung 4).
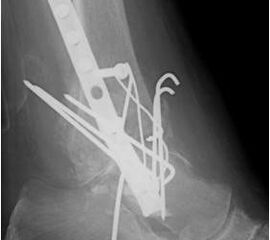
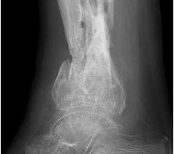
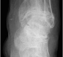
  • Pseudarthrosen (Abbildung 5, Abbildung 6).
  • Nicht beherrschbare Instabilität im Rückfuß 6.
  • Neurogene Osteoarthropathie (Chopart – Gelenk) (Abbildung 13, Abbildung 14).
  • Neuromuskuläre Deformität.
  • Fehlgeschlagener Gelenkersatz.
  • Avaskuläre Nekrose des Talus.
  • Rheumatoide Arthritis.
  • Osteoarthritis.
  • Ausgeheilte (!) Osteomyelitiden (Abbildung 7, Abbildung 8, Abbildung 9, Abbildung 10).
  • Spezielle Indikationen (Abbildung 11, Abbildung 12).

Kontraindikationen

  • Tibiale Fehlstellungen von >10° in einer Ebene.
  • Schwerwiegende Durchblutungsstörungen
  • Floride Osteitis/ Osteomyelitis oder Entzündungssituationen im Bereich der Weichteile

Patientenaufklärung

  • Je nach Nageldesign Dynamisierung des Nagels notwendig.
  • Unmittelbar postoperativ fehlende Bewegungsmöglichkeit im OSG und USG.
  • Pseudarthrose, ggf. mit notwendiger Revision.
  • In seltenen Fällen erforderliche Spongiosaentnahme (empfohlen: Beckenkamm)
  • Beinverkürzung der betroffenen Seite.
  • Intraoperative Verletzung des N. peroneus superficialis und profundus mit folgenden und dauerhaften neurologischen Defiziten.
  • Relativ lange postoperative Entlastungsphase.
  • Postoperativ notwendige orthopädische Schuhzurichtungen.
  • Infektion, auch als Spätkomplikation.
  • Wundheilungsstörungen.
  • Auswanderndes Material oder Teile davon, Materialbruch.
  • Postoperative Schwellneigung.
  • Allgemeine Operationsrisiken.

Operationsvorbereitungen

  • Standard-Röntgendiagnostik des oberen und unteren Sprunggelenkes: anterior-posteriorer und seitlicher Strahlengang.
  • Röntgenaufnahme Unterschenkel+OSG im Stehen von dorsal zur Beurteilung des Alignments (Saltzmann-view), ggf. auch im seitlichen und/ oder anterior-posterioren Strahlengang.
  • Präoperative Beurteilung von axialen oder auch Rotationsfehlstellungen.
  • Präoperative Dokumentation der Durchblutungsverhältnisse des Fußes: Palpation der A. dorsalis pedis, A. tibialis posterior, ggf. Messung der distalen Sauerstoffsättigung (SpO2), ggf. präoperative Duplex- oder Doppler-Sonografie.
  • Dokumentation von präoperativ bestehenden Beinlängendifferenzen.
  • Allgemeine Operationsvorbereitungen, Rasur bis zum Kniegelenk.
  • Unmittelbar präoperativ: Ermitteln des plantaren Nageleintrittspunktes (Video 1).

Instrumentarium

  • Fußinstrumentarium.
  • Große Hohmann-Hebel.
  • Arthrodesespreizer.
  • Oszillierende Säge.
  • Langer Draht mit und ohne Olive.
  • Flexible Markraumbohrer.
  • Intramedulläres Nagelsystem mit entsprechenden Verriegelungs- und unter Umständen auch Kompressionsschrauben.
  • Bildverstärker.

Anästhesie und Lagerung

  • Intubationsnarkose, Larynxmaske, spinale Leitungsanästhesie.
  • Blutsperre oder Blutleere (250-300 mmHg) am gleichseitigen Oberschenkel.
  • Lagerung auf einem Operationstisch mit röntgendurchlässigen Beinteilen.
  • Absenken des gegenseitigen Beins, so dass im Unterschenkelbereich im seitlichen Strahlengang keine Überlagerung auftritt.
  • Prinzipiell ist die Operation sowohl in Rücken- als auch in Bauchlage durchführbar.
  • Überhang beider Beine: Tischende im Bereich des distalen Unterschenkels (Video 2).
  • Strahlenschutzmatte bis in Kniegelenkshöhe für den Patienten.
  • Prä- oder postoperativ sollte die Anlage eines distalen Ischiadicuskatheters erfolgen, einerseits zur Optimierung des Analgetikabedarfs, andererseits zur Verbesserung der postoperativen Durchblutung durch die damit erreichte Sympathikolyse.

Operationstechnik

Incision über der distalen Fibula und scharfe Präparation bis auf den Knochen ohne Verletzung der Peronealsehnen und unter Blutstillung. Schräges Absetzen der Fibula etwas oberhalb des OSG-Gelenkspaltes. Resektion der distalen Fibula (Video 3).

Resektion des Talus und der distalen Tibia sparsam, aber streng plan und parallel zum OSG - Gelenkspalt zur Schaffung der späteren Arthrodeseflächen. Resektion der Gelenkflächen im USG. Gegebenenfalls kann hier die aus dem Fibularesektat gewonnene Spongiosa eingebracht werden. Multiple Anbohrungen der späteren Arthrodeseflächen mit einem 2er KD (Video 4).

Von plantar aus nun Incision und Vorschießen eines 3er KDs durch Calcaneus, Talus bis in den Tibiaschaft hinein. BV-Kontrolle in beiden Ebenen. Bei korrekter Lage nun Eröffnungsbohrung. Wechsel auf einen Draht mit Olive. BV-Kontrolle in beiden Ebenen. Über den stumpfen Draht nun Aufbohren mit flexiblen Bohrern. Der letzte Bohrerdurchmesser sollte den Durchmesser des Arthrodesenagels um mindestens einen Millimeter übersteigen.

Implantation des Nagels und BV-Kontrolle (Video 5). Schließlich erfolgt die Verriegelung des Nagels über entsprechende Zielvorrichtungen. Bei einigen Nageltypen gibt es nageleigene Kompressionsmechanismen, die eine zusätzliche Drucksteigerung im Bereich der Arthrodeseflächen des ehemaligen oberen und unteren Sprunggelenkes erlauben (Video 6). Die abschließende BV-Kontrolle in beiden Ebenen sollte eine regelrechte Stellung der Arthrodese mit 90° - Stellung im Rückfuß, in der anderen Ebene mit einem Rückfußvalgus von ungefähr 5° zeigen.

Von plantar Einbringen einer entsprechenden Verschlusskappe. Spülung sämtlicher Wunden.

Fibulaseitig Einlage einer 12er Redon-Drainage die nach proximal ausgeleitet wird, Subcutannähte, Desinfektion und Hautklammernähte. Hautklammernähte ebenfalls über den Stichincisionen für die Verriegelungen bzw.plantar. Steriler elastischer Verband.

Besonderheiten

Verwendung eines nageleigenen Kompressionsmechanismus (Video 6) .
Bei großen Knochendefekten Indikation zur Implantation von autologer Spongiosa/ corticospongiösem Span.

Postoperative Behandlung

  • Postoperative Anlage eines Arthrodesestiefels.
  • Entlastung der betroffenen Extremität für 6 Wochen.
  • Allmähliche Aufbelastung im Arthrodesestiefel nach 6 Wochen.
  • Dynamisierung des Nagels nach 4-6 Wochen.
  • Tragen des Arthrodesestiefels für insgesamt 12 Wochen postoperativ, bis dahin sollte die Belastung mit vollem Körpergewicht erreicht sein.
  • Postoperative Physiotherapie zunächst im Sinne einer Lymphdrainage und ggf. die Anlage eines Lymphtapes, Beübung der angrenzenden Gelenke.
  • Ab Aufbelastung Gangschule unter physiotherapeutischer Kontrolle.
  • Orthopädietechnische Zurichtung des Straßenschuhwerks mit einer Abrollhilfe oder Verordnung entsprechenden orthopädischen Schuhwerks.
  • Arbeitsunfähigkeit demzufolge für mindestens 12 - 16 Wochen bei Berufen, die mit einer Steh- oder Gehbelastung verbunden sind.

Fehler, Gefahren, Komplikationen

  • Pseudarthrose (Abbildung 15).
  • Ausschlagen des Nagels bei zu frühem Belastungsbeginn.
  • Auswandern einzelner Schrauben (Abbildung 16).
  • Verlust der Verschlusskappe (Abbildung 16).
  • Materialversagen (Abbildung 17).

Ergebnisse

Zwischen Juli 2010 und Oktober 2012 erfolgte in 20 Fällen (14 Männer, 6 Frauen) eine pantalare Arthrodese mittels retrogradem Kompressionsnagel. Das Alter der operierten Patienten betrug im Mittel 54,9 Jahre. Die Indikationen für diese Operationen verteilten sich auf:

  • 5 Pseudarthrosen
  • 8 posttraumatische Arthrosen
  • 2 Charcot-Arthropathien
  • 1 fehlgeschlagene vorausgegangene arthroskopische Fusion im OSG
  • 3 ausgeheilte Osteomyelitiden
  • 1 spezielle Indikation (Diagramm 1)
1 spezielle Indikation
Diagramm 1

Im Verlauf änderte sich der AOFAS-Rückfußscore von präoperativ median 22 (range: 8-41, n=20), auf median 45 (range: 43-53, n=18) ab der 6. Postoperativen Woche und auf median 54 (range: 54-69, n=15) ab der 12. Postoperativen Woche. Damit zeigt sich eine deutliche Verbesserung des AOFAS-Rückfußscores, insbesondere nach Beginn der Belastung ab der 6. postoperativen Woche (Diagramm 2).

Diagramm 2
Diagramm 2

Nach einem Jahr postoperativ standen noch 14 Patienten zur Kontrolle zur Verfügung. In 2 Fällen zeigte sich eine Pseudarthrose (14%), wobei beide Patienten eine operative Revision aufgrund relativer Beschwerdearmut ablehnten. In 5 Fällen (42%) zeigten sich Probleme mit dem Implantat, wie etwa Brüche einzelner Schrauben o.Ä.
In der Literatur wird die Pseudarthroserate nach erfolgter retrograder Nagelarthrodese zwischen 7 und 24% angegeben  2345.
Demzufolge stehen eine relativ hohe Anzahl implantatbedingter Probleme einer deutlichen Verbesserung des AOFAS-Rückfußscores durch die retrograde Nagelarthrodese gegenüber.
Ob die Verwendung nageleigener Kompressionsmechanismen die Pseudarthroserate signifikant senken kann, bleibt abzuwarten.

Loading…
Loading the web debug toolbar…
Attempt #