Vorbemerkungen

Die Kallusdistraktion hat sich neben der Verlängerungsosteotomie und Knochenspaninterposition zu einem etablierten Verfahren zur Verlängerung von Metatarsalia/Metacarpalia bei longitudinalen Reduktionsdefekten, die posttraumatisch oder postoperativ entstehen können, meist jedoch zu den angeborenen Fußfehlbildungen zählen, durchgesetzt 12345678
(Giebel 1993, Klauser 2009). Eine Korrektur dieser Deformität ist – insbesondere, wenn es sich um angeborene Fußfehlbildungen wie die der Brachymetatarsie handelt – aus rein funktionellen Gründen (aufgehobener Metatarsalebogen, gestörtes Alignment) und der zu erwartenden Sekundärveränderungen erforderlich 910 (Klauser 2009). Am Fuß stellt jedoch die Verlängerung kleiner Röhrenknochen - unter Verwendung eines externen Fixateursystems - ein für den Patienten und behandelnden Chirurgen / Orthopäden sehr mühsames, unkomfortables und mit vielen Komplikationen behaftetes Verfahren dar 111213145 (Klauser 2009, Ruffer 2006). Im Folgenden wird daher ein innovatives Operationsverfahren unter Nutzung eines internen, winkelstabilen Titan-Minifixateurs dargestellt, welches dem Verfahren mit externem Fixateur hinsichtlich der Nachbehandlung, aber vor allem auch der Komplikationsrate deutlich überlegen ist (Klauser 2009).

Operationsprinzip und -ziel

Das im Folgenden vorgestellte Operationsverfahren beschreibt die Kallusdistraktion von Metatarsalia nach den Prinzipien von Ilisarov 21 unter Verwendung eines internen, winkelstabilen Titan-Minifixateur (Klauser 2009). Der interne Distraktor ermöglicht während der Distraktions- und der Durchbauungsphase aufgrund seiner hohen Stabilität je nach Modell (18 mm, 23 mm) eine Verlängerung von bis zu 25 mm. Nach interner Anlage des Minifixateurs, meist lateral, kann über eine kontinuierliche Kallusdistraktion der Metatarsalebogen unter frühzeitiger Mobilisation im Gips oder Short-Walker rekonstruiert werden 15. Über einen interdigital und transcutan ausgeleiteten Aktivatorstab wird die Distraktion vom Patienten selber täglich morgens und abends durchgeführt. Zusätzlich vorliegende Strahlpathologien, wie zum Beispiel eine verkürzte Strecksehne oder ein kontraktes Metatarsophalangealgelenk können im Rahmen der Erstoperation ebenso therapiert werden wie z.B. ein Hallux valgus, ein Hallux valgus interphalangeus und/oder ein Digitus quintus varus (Klauser 2009). Nach Rekonstruktion des Metatarsalebogens wird in einem zweiten, kleinen Eingriff der Aktivatorstab über eine Spezialpinzette diskonnektiert und entfernt, wobei der Distraktor als interne Fixation belassen wird. Die Entfernung des Distraktors erfolgt in der Regel nach 9 – 12 Monaten, da es sich meist um angeborene kindliche Fehlbildungen handelt (Brachymetatarsie) und eine operative Intervention frühzeitig im Kindesalter erfolgen sollte (Klauser 2009).

Vorteile

  • Interne Anlage des Distraktors und dadurch Minimierung des Infektrisikos.
  • Percutane Ausleitung des Aktivatorstabes, über den die Kallusdistraktion vorgenommen wird, was eine frühzeitige Mobilisation im Gips oder Short Walker ermöglicht (Klauser 2009).
  • Hohe Stabilität des winkelstabilen internen Distraktors, wodurch eine frühzeitige Mobilisation des Patienten bis zur knöchernen Ausheilung der osteotomierten Metetatarsalia möglich ist (Klauser 2009).
  • Unkomplizierte eigenständige Bedienung des Distraktors durch den Patienten.
  • Simultane Behandlung eines doppelstrahligen longitudinalen Reduktionsdefektes möglich 113 (Klauser 2009).
  • Geringere Weichteilproblematik bei Verwendung eines internen Fixateurs.
  • Aufgrund der Winkelstabilität des Implantates hohe Primärstabilität und deutlich reduziertes Risiko eines Korrekturverlustes.
  • Nach Teilmaterialentfernung Belassen des Implantates im Sinne einer winkelstabilen Fixation bis zur vollständigen knöchernen Ausheilung der Distraktion (Klauser 2009).
  • Laterale Implantation des Distraktors und damit besseres Anmodellieren entsprechend der ovalen Knochenstruktur des Os metatarsale und somit - sowie aufgrund der geringen Aufbauhöhe des Minifixateur - gute Weichteildeckung (Klauser 2009).
  • Kombinierte dreidimensionale Korrekturosteotomie (posttraumatische Fehlstellung) verbunden mit einer Kallusdistraktion möglich (Klauser 2009).

Nachteile

  • Geringes, aber vorhandenes Infektrisiko aufgrund der Ausleitung des Aktivators transcutan interdigital.
  • Bei unterlassener Strecksehnenverlängerung oder unterlassenem Grundgelenkrelease sekundäre Fehlposition oder Achsabweichung des Zehenstrahls nach dorsal oder plantar möglich (Klauser 2009).
  • Insgesamt drei operative Eingriffe notwendig.

Indikationen

  • Longitudinale Reduktionsdefekte kleiner Röhrenknochen wie z.B. die Brachymetatarsie (häufigste Indikation).
  • Posttraumatische beziehungsweise postoperative Defekte oder Fehlstellung kleiner Röhrenknochen am Mittelfuß, die mit einer Verkürzung des jeweiligen Metatarsaleknochens einhergehen.
  • Unvollständiger Metatarsalebogen (pathologisch veränderter Metatarsaleindex).

Kontraindikationen

  • Lebensalter (>30 Jahre) aufgrund abnehmender Knochenwachstumspotenz 16.
  • Vorliegen von systemischen Erkrankungen mit Störungen des Knochenstoffwechsels, bei welchen mit einer deutlich verminderten Knochenwachstumspotenz zu rechnen ist (Klauser 2009) 8.
  • Periphere Durchblutungsstörungen.
  • Ausgeprägte Störungen des venösen und/oder lymphatischen Abflusses.
  • Zusätzliches Vorliegen von vasculären Malformationen.
  • Allergien gegen den Werkstoff des Implantates.

Patientenaufklärung

  • Insgesamt sind drei operative Eingriffe erforderlich.
  • Lange Rekonvaleszenz durch verzögerte Ostogenese, insbesondere in höherem Alter (> 25 Jahre).
  • Erster Eingriff: Implantation des internen Distraktors, Osteotomie des verkürzten Metatarsaleknochens, ggf. Strecksehnenverlängerung, Grundgelenkrelease und dorsale Kapsulotomie.
  • Zweiter Eingriff: Diskonnektieren des transcutan ausgeleiteten Aktivator, falls möglich, über eine kleine Inzision von 1,5 bis 2 cm, in der Regel jedoch über Eröffnen der alten Schnittführung mit ggf. Strecksehnenverlängerung und erneutem Grundgelenk-Release sowie ggf. Ausleiten einer Penroselasche oder einer Gentamycin-Palacos-Minikette.
  • Dritter Eingriff: Materialentfernung (Minifixateur interne) bei vollständiger knöcherner Durchbauung, hierbei ist in seltenen Fällen eine Lösung von Verklebungen der Strecksehnen und des Metatarsophalangealgelenks erforderlich.
  • Regelmäßige, kontinuierliche Bedienung des Aktivator bis zur Rekonstruktion des
    Metatarsalebogens zwingend erforderlich (morgens und abends eine Umdrehung mit dem Spezial-Aktivator-Schraubendreher in vorgegebener Richtung).
  • Beginn der Kallusdistraktion (Bedienung des Aktivator) ab dem 5. postoperativen Tag.
  • Bis zum Beginn der Kallusdistraktion am 5. postoperativen Tag Unterschenkelgips- bzw. Unterschenkelkunstofflonguette und vollständige Entlastung an Gehstützen.
  • Drei- bis vierwöchige Mobilisation (je nach Distraktionslänge) im zirkulären Unterschenkelgips nach dem Ersteingriff.
  • Zweiwöchige Entlastung an Gehstützen und in einer Unterschenkelgipslonguette nach dem Zweiteingriff.
  • Tragen eines Spezialschuhes (Short-Walker) bis zur annähernd vollständigen knöchernen Durchbauung des verlängerten Metatarsaleknochens (nach dem Zweiteingriff).
  • Bei verzögerter Kallusbildung wird bis zur vollständigen knöchernen Durchbauung der Fuß über eine individuell gefertigte und modellierte Hartschaleneinlage stabilisiert.
  • Infektrisiko, insbesondere für die Zeit der transcutanten Ausleitung des Aktivators.
  • Risiko einer nicht vollständigen Rekonstruktion des Metatarsalebogens aufgrund von Schmerzen beim Distrahieren bzw. aufgrund eines Korrekturverlustes.
  • Lange Sportunfähigkeit, je nach Dauer der Kallusbildung zwischen 3 bis 6 Monaten oder mehr.
  • Bei Versagen der Distraktion erneute operative Intervention erforderlich (ggf. Beckenkammspaninterposition und Plattenosteosynthese).
  • Achsdeviation des operierten Zehenstrahls nach dorsal oder plantar (selten nach lateral  oder medial) in seltenen Fällen möglich.
  • Intensive physiotherapeutische Maßnahmen postoperativ erforderlich.
  • Gelegentlich kontraktes Zehengrundgelenk im Bereich des verlängerten Zehenstrahls mit eingeschränkter Dorsalextension oder Plantarflexion.
  • Erhöhte Schwellneigung, Überwärmung und gelegentlich Rötung des Fußrückens während der Kallusdistraktion bzw. Knochenneubildung durch Hyperämie.
  • Bruch des Materials bzw. Entkoppeln der Fixateurstäbe / Fixateurspindel möglich.
  • Erhöhte Pseudarthrosengefahr, insbesondere bei langer Defektstrecke mit langer Distraktion und bei hohem Lebensalter.
  • Materialunverträglichkeit.
  • Während der Kallusdistraktion und Kallusneubildung sind Röntgenkontrollen erforderlich.
  • Möglichst vollständige Entlastung der betroffenen unteren Extremität lediglich für 5 Tage post operationem (erster Eingriff) und 14 Tage post operationem (zweiter Eingriff) erforderlich. Ansonsten ist eine Vollbelastung im Cast oder Spezialeinlage gestattet.
  • Beim Vorliegen weiterer Reduktionsdefekte (Brachydaktylie) an benachbarten oder am betroffenen Strahl Verbleib von kosmetischen Auffälligkeiten (Zehenindex).

Operationsvorbereitungen

  • Röntgenaufnahmen beider Füße a.p. und streng seitlich unter Belastung sowie Schrägaufnahme beider Füße ohne Belastung.
  • Ausmessen der zu verlängernden Strecke des betroffenen Metatarsale und damit Beurteilung der Defektstrecke zur Rekonstruktion des Metatarsaleindex.
  • Klinische Untersuchung des Fußes und Beurteilung der Mobilität des Zehengrundgelenkes des betroffenen Strahls sowie Beurteilung der Sehnenspannung und Mobilität des Zehenstrahls im Tenodesetest bei maximaler Flexion und Extension im oberen Sprunggelenk.
  • Beurteilung der Zehenposition (–entfaltung) des betroffenen Strahls im Push-up-Test.
  • Fotodokumentation beider Füße in der Aufsicht und von plantar.
  • Dokumentation einer Fehlbeschwielung der Planta pedis.
  • Beurteilung begleitender Reduktionsdefekte, insbesondere einer Brachydaktylie (Brachyphalangie, Deltaphalanx)
  • Beurteilung weiterer begleitender Fehlbildungen an der unteren und oberen Extremität.
  • Übliche klinische Dokumentation der Durchblutungssituation und der nervalen Innervation des zu operierenden Fußes. Anamnestische Erörterung begleitender Fehlbildungen, insbesondere im Rahmen systemischer Erkrankungen. 
  • Begutachtung des Ganzkörperhaltungs- und Bewegungsstatus, der Beckeneinstellung und des Wirbelsäulenlots zum Ausschluss von sekundären Störungen über aufsteigende Muskelketten (Klauser 2009).

Instrumentarium

  • Spezial-Instrumentarium mit je einem Minifixateur (GENOS Mini 4x) 18 mm und 23 mm  sowie je 1x Linkskardanik / Rechtskardanik für die entsprechende Distraktionslänge sowie das dazugehörende, im Set befindliche Schrauben-Set mit 2,0 mm und 2,3 mm starken, winkelstabilen Schrauben mit Bohraufsteckhülse.
  • Oszillierende Säge mit kleinem Sägeblatt.
  • Spezial-Aktivator-Schraubendreher.
  • Spezial-Pinzette zur Abkoppelung des Aktivators (Zweiteingriff) (siehe auch Abb. 8).
  • Röntgen-Bildverstärker (C-Bogen).
  • Postoperativ:
    • Gips- bzw. Kunststoff-Cast nach Ersteingriff und Zweiteingriff.
    • Spezial-Karbon- bzw. Metall-Platte zum Einbau in den zirkulären postoperativen Gips ab dem 5. postoperativen Tag zur Anlage einer Faden-Extensionsvorrichtung und gleichzeitig externen Zugausübung (Traktion) auf den Zehenstrahl (siehe auch Abb. 14).
    • Aktivator-Schraubendreher zur eigenständigen Kallusdistraktion durch den Patienten.

Anästhesie und Lagerung

  • Intubationsnarkose, Larynxmaske, spinale Leitungsanästhesie, Fußblock (Nervus peroneus superficialis, Nervus peroneus profundus, Nervus suralis, Nervus saphenus sowie Nervus tibialis posterior werden im Knöchelbereich mit 30 bis 40 ml Ropivacain (Naropin®) umspritzt) oder Ischiadicus Femoralis Oburatorius Blockade (IFOB).
  • Intraoperative / präoperative Fußblockade.
  • Blutleere (350 mm Hg, bzw. 40-100 mmHg über dem systolischen Blutdruck) am Oberschenkel, bei distalen Anästhesieverfahren oberhalb des oberen Sprunggelenkes (300 mm Hg).
  • Rückenlage, Keilunterlage unter dem Becken / Gesäß auf der Seite der entsprechend betroffenen unteren Extremität.
  • Strahlenschutzmatte ab Mitte Unterschenkel nach proximal für den Patienten.

Besonderheiten

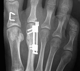
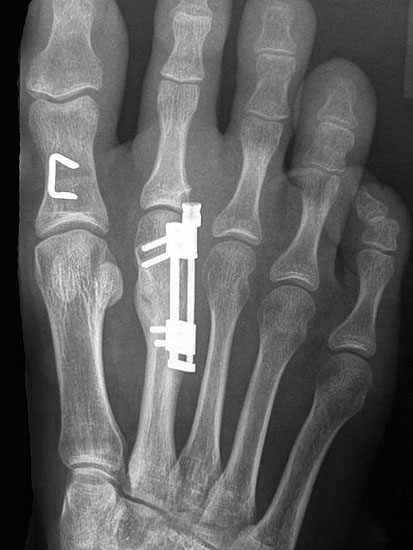
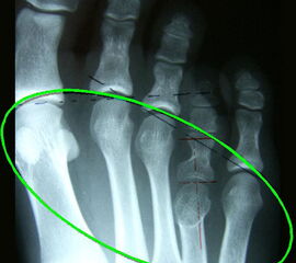
  • Unter der Kallusdistraktion kommt es fast regelhaft während des postoperativen Verlaufes in der Distraktionsphase und auch in der Remodellierungsphase zu Schwellungen und intermittierenden Rötungen des Fußrückens aufgrund der Hyperämie im Rahmen des Remodelling der ossären Strukturen (Klauser 2009). Dieses Phänomen bedarf keiner speziellen Therapie und ist nicht mit einem drohenden Infekt zu verwechseln (siehe hierzu Abbildung Nr. 12).
  • Bei zu dorsaler Anlage des Minifixateur kann es zu einer Arrosion der lateralen Grundphalanxbasis (extraartikulär) durch den Minifixateur (Kardanik) kommen (siehe hierzu Abbildung Nr. 13). Eine frühzeitige Materialentfernung bei knöchern gut konsolidierter Situation ist dann empfehlenswert.

Fehler, Gefahren, Komplikationen

  • Distraktor wird nicht achsgerecht und zu weit dorsal eingebaut. Es kann dadurch zu Irritationen der Strecksehne und der Weichteile während der Distraktion und zu einer Achsdeviation des Os metatarsale kommen.
  • Unzureichende Rekonstruktion des Metatarsalebogens.
  • Wird die Kortikotomie zu weit diaphysär vorgenommen steigt das Risiko der Pseudarthrose erheblich.
  • Infektion im Bereich der Aktivatorausleitung.
  • Liegt ein sehr kurzes Metatarsale vor kann gelegentlich der erforderliche Minifixateur mit der Möglichkeit einer Kallusdistraktion von 23mm nicht eingebaut werden, da das Metatarsale proximal ansteigt und selbiger nicht am Knochen achsgerecht anmodelliert werden kann. In diesen Fällen muss ein 18mm Minifixateur implantiert werden, was die maximale Distraktionsstrecke limitiert.

Ergebnisse

Der Autor überblickt 73 Rekonstruktionen der Brachymetatarsie mittels internem Distraktor und über 19 Verlängerungen von Metacarpalia oder Fingerphalangen bei posttraumatischen Deformitäten oder angeborenen Reduktionsdefekten bzw.  Aplasien.
Die Analyse der Ergebnisse zeigt, dass die Osteogenese beim Kind deutlich schneller und potenter verläuft als beim Erwachsenen. So war die knöcherne Durchbauung  nach Beendigung der Kallusdistraktion bei 8 – 12 jährigen Kindern fast immer nach 8-12 Wochen abgeschlossen und damit deutlich schneller als beim Erwachsenen. Hier werden in der Literatur über Konsolidierungszeiten von bis zu 3,8 Monate/cm berichtet 17. Festzustellen bleibt auch, dass die Kallusbildung bei Kindern (8 – 12 Jahre) am Fuss langsamer erfolgt als im Bereich der Metacarpalia, wo die durchgeführten Distraktionen unproblematisch verliefen und regelhaft bereits nach ca. 6 Wochen durchbaut waren 18
Erfreulich schnell regulieren sich bei Kindern und Jugendlichen die Fehlstellungen der benachbarten Zehenstrahlen, also die typischen Begleiterscheinungen der Brachymetatarsie. Gleichzeitig bildete sich die teilweise bereits im Kindesalter pathologische Beschwielung der distalen Planta pedis zurück, die durch die Fehlbelastung fast regelhaft entstehen. Nicht selten verbleibt jedoch am betroffenen Strahl eine geringe Fehlstellung der Zehe im Grundgelenk nach plantar, häufiger nach dorsal 11. Eine Korrektur ist wie weiter unten beschrieben erforderlich, sinnvoll und vor allem bei Kindern erfolgversprechend. Seitliche Achsfehlstellungen konnten in keinem Fall festgestellt werden.

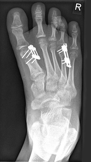
Meist kam ein 18mm Minifixateur zur Anwendung und ausnahmslos wurde er lateral am Metatarsale implantiert. Bis auf das Metatarsale 5 wurden vom Autor alle weiteren Metatarsalia (MT1 – MT4) isoliert oder kombiniert verlängert. In 7 Fällen wurde eine simultane Verlängerung zweier Metatarsalia (2x MT1 und MT4, 4x MT3 und MT4, 1x MT2 und MT3) vorgenommen. Bei einem Großteil der Patienten musste eine Strecksehnenverlängerung entweder im Rahmen der Erstoperation oder im Rahmen der Aktivatorentkopplung vorgenommen werden. In neun Fällen (ausnahmslos bei Erwachsenen > 30 Jahre) sogar 2x sowohl während des Erst- als auch Zweiteingriffes. Annähernd regelhaft sind bei den eben genannten Eingriffen Arthrolysen des Metatarsophalangealgelenks des betroffenen Zehenstrahls erforderlich, da durch die Distraktionsverlängerung eine hohe Kompression auf das jeweilige Grundgelenk entsteht.
Dreimal konnte die Distraktion schmerzbedingt bei Kindern nicht weitergeführt werden und die Rekonstruktion des Metatarsalebogens war zwar verbessert - um ca. 10-12mm  - aber dennoch unvollständig. In 2 Fällen kam es nach ca. 8-10 Wochen bei zwar regelhaft rekonstruiertem aber knöchern noch nicht vollständig durchbautem Knochen vermutlich unter zu früher Belastung zur Entkopplung der Spindel an der proximalen Minifixateurführungsbacke, verbunden mit einem Korrekturverlust von einigen Millimetern. Bei zwei weiteren Fällen kam es zur Entwicklung einer Pseudarthrose, so dass weitere operative Interventionen erforderlich werden.
Es sei abschließend noch darauf hingewiesen, dass nicht selten neben der Brachymetatarsie auch eine Brachydaktylie (Brachybaso-, Brachymeso- oder Brachytelephalangie) vorliegt und der Patient trotz exakt rekonstruiertem Metatarsalebogen über das kosmetische Ergebnis unzufrieden ist 13. Die Vergesellschaftung dieser longitudinalen Reduktionsdefekte  – auch Deltaphalanx – am betroffenen Strahl sahen wir in oben beschriebenem Patientenkollektiv in sehr hohem Maße.  Auch in der aktuellen internationalen Literatur wird über einen guten Längengewinn, aber anhaltende Defizite in der Zehenfunktion berichtet 1119.

Weitere Literatur

  • Giebel G: Kallusdistraktion - Klinische Anwendung. In: Traumatologie aktuell Band 5. Springer, Berlin, 1993.
  • Klauser H, Mellerowicz H: Die Korrektur der Brachymetatarsie mittels Minifixateur interne – ein neues Therapiekonzept. Fuß und Sprunggelenk 7:22–30, 2009.
  • Ruffer M, Pfeil J:  Kallusdistraktion mit intramedullärer Schienung zur Verlängerung des vierten Strahls bei Brachymetatarsie. Fuß und Sprunggelenk 4:234-239, 2006.
Loading…
Loading the web debug toolbar…
Attempt #