Die tarsometatarsale Arthrodese zur Korrektur des Hallux valgus wurde von Paul Lapidus vorangetrieben 1. Er kombinierte die Arthrodese des Tarsometatarsale-I-Gelenks mit einer Arthrodese der Basis des Metatarsale I und II bzw. des interkuneiformen Gelenks. Die heute von uns durchgeführte modifizierte Lapidusarthrodese versteift lediglich das Tarsometatarsale-I-Gelenk (TMT-I Gelenk). Mittlerweile hat sich dieses Verfahren zur Behandlung des mittleren und schweren Hallux valgus etabliert. Verschiedene Osteosyntheseverfahren werden zur Fixation verwendet.
Operationsprinzip und –ziel
Es wird hier die Lapidusarthrodese mit Fixation durch eine medial angebrachte winkelstabile Platte in Kombination mit einer Zugschraube beschrieben 2. Durch diese Kombination läßt sich eine verglichen zur Schraubenosteosynthese hohe Primärstabilität erreichen, verbunden mit einem niedrigen Risiko einer Pseudarthrosenbildung 3.
Vorteile
Im Vergleich zur reinen Schraubenosteosynthese höhere Primärstabilität und geringere Pseudarthroserate 45.
Keine zusätzliche plantare Präparation notwendig, daher geringere Gewebetraumatisierung.
Bei Verwendung von modernen winkelstabilen Implantaten hohe Primärstabilität ohne Korrekturverlust mit der Möglichkeit eines frühzeitigen Belastungsaufbaus 7.
Korrektur auch mittlerer und großer Intermetatarsalwinkel 8.
Nachteile
Die diskrete Verkürzung des Os metatarsale I kann zu einer reduzierten Kraftentwicklung im M. flexor hallucis brevis führen 9.
Risiko der Entwicklung von Transfermetatarsalgien 10.
Im Vergleich zur plantaren Plattenosteosynthese geringere Primärstabilität 11.
Im Vergleich zur plantaren Plattenosteosynthese erhöhtes Risiko einer Pseudarthrosenbildung 12.
Möglicher Schuhkonflikt der auftragenden Platte mit folgend notwendiger Metallentfernung.
Mögliche Irritation des Tibialis anterior Sehne durch die Platte. Implantatkosten.
Indikationen
Ausgeprägter Hallux valgus bei instabilem oder degenerativ verändertem TMT 1-Gelenk.
Isolierte Arthrose im TMT 1-Gelenk.
Hypermobilität bzw. radiologische Instabilität des TMT 1-Gelenks.
Kontraindikationen
Kurzes Metatarsale I (hier ist im Einzelfall die Interposition eines Knochentransplantates zu überlegen) 13.
Schwere degenerative Veränderungen im Großzehengrundgelenk. Bei hohem Intermetatarsalwinkel bietet sich die Kombination einer Lapidusarthrodese mit einer Arthrodese des Metatarsphalangealgelenks an 6.
Ausgeprägte periphere Durchblutungsstörungen.
Schlechte Hautverhältnisse.
Lokale Infektion.
Patientenaufklärung
6-8 Wochen kurzen Walkerstiefel, anschließend weiter, weicher Konfektionsschuh bis die Schwellneigung vollständig abgeklungen ist.
Schrittweiser Belastungsaufbau postoperativ nach Maßgabe der Beschwerden.
In seltenen Fällen Metallentfernung.
Korrekturverlust, Rezidivrisiko.
Überkorrektur, Hallux varus.
Bewegungsstörung im Großzehengrundgelenk.
Schwäche des kurzen Beugers der Großzehe.
Tranfermetatarsalgie.
Verzögerte Knochenheilung, Pseudarthrose mit der Notwendigkeit einer operativen Revision.
Kompromittierung oder postoperative Adhäsion der Flexor hallucis longus-Sehne, der Extensor hallucis longus-Sehne und der Abductor hallucis-Sehne.
Tragen von weiten, weichen Konfektionsschuhen in der Regel nach 6-8 Wochen möglich. Eventuell Einlagenversorgung notwendig.
Arbeitsunfähigkeit: Sitzende Tätigkeiten nach 3 Wochen meist möglich, stehende Berufe nach 10-12 Wochen.
Operationsvorbereitungen
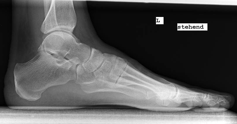
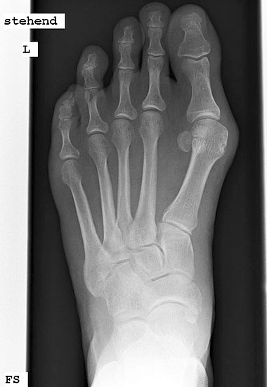
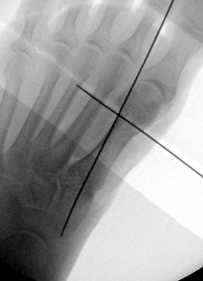
Röntgenaufnahme des Fußes im Stehen im dorsoplantaren und seitlichen Strahlengang (Abb. 1a-b).
Beurteilung des ersten Intermetatarsalwinkels (IMA), des Hallux valgus Winkels (HVA), des distalen (Distal Metatarsal Articular Angle, DMAA) und proximalen Gelenkflächenwinkels der Grundphalanx (Proximal Phalangeal Articular Angle, PPAA).
Dokumentation der Durchblutung des Fußes (Pulse der A. tibialis posterior und der A. dorsalis pedis, ggf. Dopplersonographie, Rekapillarisierungzeit).
Dokumentation der Sensibilität.
Allgemeine Operationsvorbereitung. Die aktuellen Empfehlungen des Robert Koch Instituts sehen eine Rasur nur noch dann vor, wenn die Operation durch Haare behindert wird. Eine routinemäßige Rasur bis zur Mitte des Unterschenkels ist auf der Basis der aktuellen Veröffentlichungen nicht mehr notwendig (Empfehlung der Kommission für Krankenhaushygiene und Infektionsprävention beim Robert Koch-Institut, 2007).
Perioperative Antibiotikaprophylaxe (30 bis 60 Minuten vor Hautschnitt, z. B. Cefuroxim 1,5g i.v.).
Abbildung 1a
Abbildung 1b
Instrumentarium
Fußinstrumentarium
K-Drahtspreizer
McGlamry Rasparatorium
Oszillierende Säge, ggf. gebogene Meißel zum Entknorpeln
Ein peripherer Ischiadicusblock (PIB), Fußblock oder Leitungsanästhesie kann durch die dann nötige Unterschenkelblutsperre eine funktionelle Achillessehnenverkürzung vortäuschen, die eine intraoperative Beurteilung der Fußstellung verfälschen kann.
Blutleere (350 mm Hg, bzw. 40-100 mmHg über dem systolischen Blutdruck) am Oberschenkel 14.
Rückenlage.
Strahlenschutzmatte.
Operationstechnik
Abbildung 2
Abbildung 3
Abbildung 4
15. Zusätzlich kann eine Mobilisierung mit dem McGlamry Rasparatorium erfolgen. Ein zu ausgeprägtes laterales Release birgt das Risiko einer Überkorrektur."> 15. Zusätzlich kann eine Mobilisierung mit dem McGlamry Rasparatorium erfolgen. Ein zu ausgeprägtes laterales Release birgt das Risiko einer Überkorrektur." srcset="/assets/images/6/5-vgnztp43f2ebbpx.jpg 1x, /assets/images/b/5-7qv9y9prgfzyxzz.jpg 1.5x, /assets/images/w/5-10zqbsv3fvm4b65.jpg 1.626x" width="270" height="240" loading="lazy">
Abbildung 5
Abbildung 6
Abbildung 7
Abbildung 8
Abbildung 9
Abbildung 10
Abbildung 10a
Abbildung 10b
Abbildung 11
Abbildung 12
Abbildung 13
Abbildung 14
Abbildung 15a
Abbildung 15b
Abbildung 16
Abbildung 17
Abbildung 18a
Abbildung 18b
Postoperative Behandlung
Sechs Wochen kurzer Walker. Die ersten zwei Wochen 20kg Teilbelastung, dann zwei Wochen halbes Körpergewicht, anschließend schmerzadaptiert schrittweiser Übergang zur Vollbelastung im Walker.
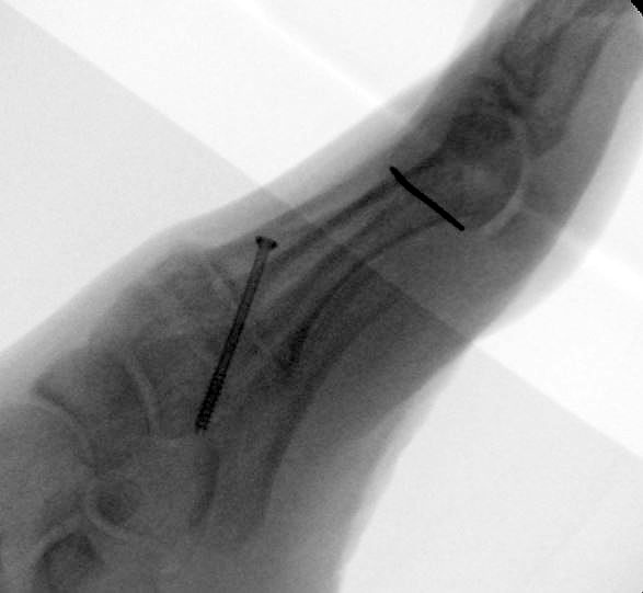
Direkt postoperativ Röntgenkontrolle (Fuß in zwei Ebenen). Sechs Wochen postoperative Röntgenverlaufskontrolle in zwei Ebenen im Stehen. Ist die Überbauung der Arthrodese nicht gut zu beurteilen, kann eine ergänzende 45° Supinationsaufnahme des Fußes angefertigt werden, die einen guten Einblick in das Tarsometatarsale-I-Gelenk ermöglicht.
Nach Konsolidierung der Wundverhältnisse Lymphdrainage und zeitnahe krankengymnastische Übungsbehandlung des Großzehengrundgelenks.
Arbeitsunfähigkeit bei stehender Tätigkeit oder körperlicher Beanspruchung für acht bis zwölf Wochen, bei sitzender Tätigkeit mit der Möglichkeit zur Hochlagerung des betroffenen Fußes zirka zwei bis drei Wochen.
Fehler, Gefahren, Komplikationen
Übertrieben Pseudoexostosenresektion.
Pseudarthrosenbildung.
Korrekturverlust mit Hallux valgus Rezidiv.
Transfermetatarsalgie.
Schuhkonflikt durch auftragendes Osteosynthesematerial.
Ergebnisse
Die Lapidusarthrodese ist ein potentes Verfahren zur Korrektur des mittleren und ausgeprägten Hallux valgus. Viele Implantatehersteller bieten mittlerweile zur Stabilisierung der Lapidusarthrodese die Möglichkeit einer plantaren Plattenosteosynthese an 12. Die biomechanischen Vorteile einer plantaren Plattenpositionierung liegen auf der Hand, jedoch ist das Operationstrauma für die plantare Plattenanlage größer und der Eingriff technisch schwieriger. Die mediale Plattenanlage ist ein seit vielen Jahren etabliertes Verfahren, wobei aus unserer Erfahrung die theoretischen Nachteile der subkutan liegenden Platte und die geringere Primärstabilität verglichen zur plantaren Platte im Alltag wenig ins Gewicht fallen – verglichen zu der bei medialer Plattenanlage einfacheren OP Technik. In der Literatur werden für die mediale Plattenanlage mit Kompressionsschraube gute Ergebnisse berichtet. Cottom et al. 5 berichten über eine Pseudarthroserate von 2%, allerdings war in 17% der Patienten eine Metallentfernung notwendig. Menke et al. 16 berichteten über 8% Pseudarthrosen. Alle Autoren berichten über eine sehr gute Korrektur des Intermetatarsalwinkels. Die mediale Plattenosteosynthese mit Kompressionsschraube ist ein etabliertes Verfahren zur Osteosynthese des Tarsometatarsale-I-Gelenks. Die Primärstabilität liegt signifikant höher als bei der Schraubenosteosynthese, was einen stufenweisen postoperativen Belastungsaufbau erlaubt. Das Operationsverfahren ist technisch weniger anspruchsvoll als die plantare Plattenosteosynthese, was vor allem dem weniger routinierten Operateur zu Gute kommen dürfte. Die Notwendigkeit zur Metallentfernung ergibt sich in bis zu 20% der Patienten.
Weitere Literatur
Empfehlung der Kommission für Krankenhaushygiene und Infektionprävention beim Robert Koch-Institut: Prävention postoperative Infektionen im Operationsgebiet. Bundesgesundheitsbl - Gesundheitsforsch - Gesundheitsschutz 2007 · 50:377–393