Operationsprinzip und –ziel

  • Beseitigung der Druckschmerzen über dem Großzehenballen durch Korrektur des Spreizfußes.
  • Beseitigung einer Transfermetatarsalgie durch Wiederherstellung der Lastaufnahme des 1. Strahles.
  • Korrektur der Valgusfehlstellung der Großzehe und Verhinderung der Verdrängung der zweiten Zehe.
  • Resektion der Pseudoexostose.
  • Reposition des Großzehengrundgelenkes durch ein Release der lateralen Gelenkkapsel und Reposition des MT I über die Sesambeine, zusätzliche Lockerung der Sesambeinaufhängung.
  • Wiederherstellung des physiologischen Intermetatarsale Winkels zwischen MT I und II durch eine proximale Verschiebeosteotomie des MT I.
  • Stabilisierung des ersten Strahls 1.

Vorteile

  • Bei der Crescentic Osteotomie besteht eine sehr hohe Knochenkontaktfläche zwischen den Osteotomiepartnern.
  • Das Korrekturpotential ist immens 23.
  • Durch die Schnittführung kann eine Plantarisierung des MT I erreicht werden. Die Länge des MT I bleibt neutral. Bei der Open wedge Technik hingegen tritt häufig eine Verlängerung des MT I 45 auf, bei der Closing wedge Technik entsteht meist eine Verkürzung des MT I 2 mit Erhöhung des DMAA- Winkels.
  • Größeres Korrekturpotenzial als bei der distalen Osteotomie ohne die Gefahr der Nekrose des MTK I.
  • Der erste Strahl wird korrigiert und stabilisiert.
  • Niedrigere Pseudarthrosenrate im Vergleich zur Arthrodese des TMT I Gelenkes.

Nachteile

  • Höhere Pseudarthrosenrate als bei den distalen Osteotomien.
  • Häufig bestehende Druckschmerzen und Irritationen über der Plattenosteosynthese.
  • Im Vergleich zu den distalen Osteotomien ist eine direkte postoperative Vollbelastung in der Orthese nicht empfohlen.
  • Zur Korrektur des DMAA ist eine additive Osteotomie notwendig.
  • Die Länge des MT I wird nicht beeinflusst.
  • Schwierige Fixation (Empfehlung zur Verwendung von winkelstabilen Implantaten).

Indikationen

  • Fortgeschrittene Hallux valgus Fehlstellungen mit einemerhöhten Intermetatarsale Winkel I/II 367.
  • Hallux valgus Rezidiv.

Kontraindikationen

  • Schmerzhafte Bewegungseinschränkung des MTP I Gelenkes kann eine Kontraindikation für einen gelenkerhaltenden Eingriff darstellen.
  • Fehlende Patienten Compliance.
  • Arthrose des MTP I- Gelenkes Grad II und höher.

Patientenaufklärung

  • Pseudarthrose, Knochennekrose.
  • Druckbeschwerden über der Plattenosteosynthese.
  • Korrekturverlust.
  • Zusatzeingriffe am ersten Strahl (Reverdin, Akin).
  • Wundheilungsstörung/Infektion.
  • Druckbeschwerden über der Plattenosteosynthese.
  • Überkorrektur.
  • Sensilibitätsstörungen an der Großzehe.
  • CRPS.
  • Metatarsalgie.
  • Hypertrophe Narben.
  • Postoperative Schwellung und Schmerzen.
  • Bewegungseinschränkung MTP I.
  • Postoperative Teilbelastung an UAGS.

Operationsvorbereitungen

Obligat:

  • Röntgenaufnahmen des Fußes in 2 Ebenen stehend (d.p., seitlich).
  • Aufklärungsprotokoll.
  • Klinischer Befund.
  • Ausschluss florider Infektionen.

Fakultativ:

  • Röntgenaufnahme 3. Ebene (Fuß schräg).
  • Fußdruckmessung.
  • Fotodokumentation.

Instrumentarium

  • X-Plate der Firma Synthes (Winkelstabile Platte).
  • Kolibri Säge der Firma Synthes mit dem Crescentic Säge Aufsatz.
  • Bildverstärker (nicht obligat).

Anästhesie und Lagerung

  • Alle Narkosearten möglich (Leitungsanästhesien, Larynxmaske und Vollnarkose).
  • Supramalleoläre Blutleere (abhängig vom Anästhesieverfahren auch Oberschenkelblutleere).
  • Rückenlagerung mit gespreizten Beinen.
  • Keilkissen unter die ipsilaterale Gesäßhälfte zum Ausgleich der Außenrotation im Hüftgelenk.
  • Unterlegung des ipsilateralen Kniegelenkes.

Operationstechnik

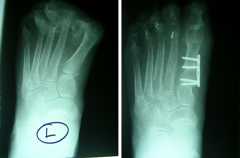
Zum Lesen der Bildbeschreibung und Vollansicht bitte die Bilder anklicken.

Besonderheiten

Grundsätzlich eignen sich alle winkelstabilen Implantate die zur Fixation einer Osteotomie am ersten Strahl hergestellt sind. Die X-Plate eignet sich besonders gut zur Fixation einer Crescentic Osteotomie am ersten Strahl.

Postoperative Behandlung

  • Durchblutungskontrolle der Zehe.
  • Erster Verbandswechsel am Tag nach der Operation, bei normaler Wundheilung danach alle 2-3 Tage.
  • Sofortiger Beginn mit der Lymphdrainage und Gangschulung.
  • Mobilisation in einer Orthese mit steifer durchgängiger Sohle und Abrollhilfe für 6 Wochen, die ersten 3 Wochen an UAGS mit halbem Körpergewicht.
  • Zehenmobilisation nach 5-7 Tagen.
  • Arbeitsunfähigkeit für stehende und gehende Berufe ca. 8-10 Wochen, für sitzende Tätigkeiten sehr variabel.
  • Röntgenkontrolle am ersten postoperativen Tag sowie nach 3 und 6 Wochen.

Fehler, Gefahren, Komplikationen

  • Platte liegt nicht am Knochen an: Schränken der Platte in geringem Ausmaß möglich. Nicht in den winkelstabilen Schraubenlöchern biegen.
  • Nach Fixation der Platte wird ein Hallux varus bemerkt: Durchführung einer Reverdin Osteotomie. Das MTK 1 1-2 mm nach lateral verschieben. Die Zehe stellt sich sofort ein.
  • Unterkorrektur: Überprüfung der Translation und Angulation in der Osteotomie. Durchführung einer distalen Chevron Osteotomie. Eine Nachbesserung in der Osteotomie mit Neuanlage der Platte nachdem bereits alle 4 Schrauben fest sitzen, ist auf Grund der engen anatomischen Verhältnisse schwierig und sollte nur in Ausnahmefällen durchgeführt werden.

Ergebnisse

Die basisnahe Crescentic Osteotomie gehört zu den Standardeingriffen zur Korrektur fortgeschrittener Hallux valgus Fehlstellungen. Ein distaler Weichteileingriff sollte routinemäßig mit durchgeführt werden. Die Mobilität des ersten Strahls wird auf ein normales Maß reduziert und ermöglicht wieder eine normale Lastaufnahme 1. Der Intermetatarsale Winkel wird gut korrigiert. Die Verwendung einer winkelstabilen Plattenosteosynthese zur Fixation einer proximalen Osteotomie am MT I hat sich bereits bewährt894. Häufig wird additiv eine Akin Osteotomie durchgeführt. Irritationen über der tastbaren Platte führen in vielen Fällen zur Metallentfernung.

Abkuerzungsverzeichnis

MT1 Metatarsale 1
MTK1 Erster Metatarsale Kopf
TMT1 Erstes Tarsometatarsal Gelenk
DMMA Distaler Metatarsale-Artikulationswinkel
MTP1 Erstes Metatarsophalangeal Gelenk
CRPS Komplexes regionales Schmerzsyndrom
UAGS Unterarmgehstützen

Weitere Literatur

  • Surgery of the foot and Ankle S. 252, Kapitel 6 Hallux valgus, Abbildung 6-103 Coughlin, MJ, Mann RA, Saltzmann CL 2007 Mosby Elsevier
Loading…
Loading the web debug toolbar…
Attempt #