Vorbemerkung

Das Großzehengrundgelenk (GZGG) ist die häufigste Lokalisation einer Arthrose im Bereich des Fußes. Es besteht eine altersabhängige Zunahme der Prävalenz von 2,5% bei 50-jährigen bis 45% bei 75-jährigen 1 (Wasserstein 2016). Bei Versagen der konservativen Therapie kommen operative Therapiemaßnahmen in Betracht, wobei grundsätzlich gelenkerhaltende und gelenkresezierende Verfahren unterschieden werden. Verschiedene Klassifikationssysteme wurden bisher vorgeschlagen, wobei keine der Einteilungen bisher auf Reliabilität und Validität überprüft wurde 2. Unter Berücksichtigung aller Einschränkungen ist die Klassifikation nach Coughlin et al. 3 durch ihren Bezug auf subjektive und objektive klinische Parameter sowie den Röntgenbefund die am häufigsten angewendete.

Klassifiziert werden kann die Arthrose am Großzehengrundgelenk nach:

Tabelle 1: Stadieneinteilung des Hallux rigidus nach Coughlin (2003) 3

Grad Dorsalextension Röntgen Klinischer Befund
0
  • 40°-60° und/oder 10-20% Verlust verglichen zur normalen Seite
  • Normal
  • Keine Schmerzen
  • Nur Steifheit und Bewegungseinschränkung
1
  • 30°-40° und/oder 20-50% Verlust verglichen zur normalen Seite
  • Dorsale Osteophyten (Hauptbefund)
  • Diskrete Gelenkspaltverschmälerung
  • Periartikuläre Sklerose
  • Abflachung des Mittelfußkopfes
  • Leichte oder gelegentliche Schmerzen
  • Steifheit, Schmerzen bei maximaler Dorsalflexion und/oder Plantarflexion
2
  • 10°-30 ° und/oder 50-75% Verlust verglichen zur normalen Seite
  • Dorsal, lateral und ggf. medial Osteophyten (abgeflachter Mittelfußkopf)
  • < 1/4 des dorsalen Gelenkspaltes betroffen (laterales Röntgenbild)
  • Leichte bis mäßige Gelenkspaltverschmälerung und Sklerose
  • Sesambeine nicht beteiligt
  • Mittelschwere bis starke Schmerzen und Steifheit, teils permanent
  • Schmerzen bereits vor maximaler Dorsalflexion und maximaler Plantarflexion
3
  • ≤ 10° und/oder 75-100% Verlust verglichen zur normalen Seite
  • Verlust der Plantarflexion (oft ≤ 10°)
  • Wie in Grad 2, jedoch mit ausgeprägter Gelenkspaltverschmälerung
  • Ggf. periartikuläre Zysten
  • > 1/4 des dorsalen Gelenkspaltes betroffen (laterales Röntgenbild)
  • Sesambeine vergrößert und/oder zystisch verändert und/oder unregelmäßig konturiert
  • Fast ständig Schmerzen
  • Erhebliche Steifheit bei Bewegungsausschlägen
  • Keine Schmerzen bei Bewegung um die Neutralstellung des Großzehengrundgelenks
4
  • Identisch zu Grad 3
  • Identisch zu Grad 3
  • Identisch zu Grad 3, aber mit Schmerzen bei Bewegung um die Neutralstellung des Großzehengrundgelenks

 

Gelenkerhaltende Verfahren wie Cheilektomie, Arthroplastiken oder reorientierende Osteotomien am Metatarsale oder der proximalen Phalanx werden als Behandlungsoption der initialen Arthrose (Grad 1-2 n. Coughlin) 3 gesehen. Bei fortgeschrittener Arthrose (Grad 3-4 n. Coughlin) hat sich aufgrund hoher Lockerungsraten von Endoprothesen 456 und sehr diskordanten Ergebnissen von Arthroplastiken die Arthrodese als Goldstandard bewährt (Fuhrmann 2010, Hengstmann 2016) 783. Nachteilig ist die Arthrodese insbesondere aufgrund von Einschränkungen bei der Schuhauswahl (Absatzhöhe) und bei sportlichen Aktivitäten, die einen großen Bewegungsumfang des Großzehengrundgelenks erfordern 910. Diese Limitationen müssen vor einer Arthrodese mit dem Patienten intensiv diskutiert werden.

Ein neues Polyvinyl-Alkohol (PVA) Hydrogel Implantat (Cartiva Synthetic Cartilage Implant; Cartiva Inc., Wright-Medical) wurde für die Hemi-Arthroplastik des GZGGs entwickelt 11. Dem Implantat werden ähnliche biomechanische Eigenschaften wie „gesundem“ Knorpel zugeschrieben sowie eine hohe Biokompatibilität. Glazebrook et al. veröffentlichten im Dezember 2018 ihre 5-Jahres Ergebnisse (Fallserie) und konnten hierbei die guten Ergebnisse des 2-Jahres Follow-up bestätigen 12.

In einer aktuellen Studie über 64 CARTIVA® Implantate von Cassinelli et al 13 wird eine geringere Patientenzufriedenheit beschrieben als in den Studien des Entwicklerteams. Die Autoren führen die Unterschiede unter anderem auf die Patientenselektion und etwaige Abweichungen vom ursprünglichen Studienprotokoll zurück. Berichtet wurden über ca. 40% (sehr) zufriedene Patienten und ca. 40% unzufriedene Patienten. 20% der Patienten bewerteten das Ergebnis neutral. Es wurde bei 8% der Patienten im Studienverlauf eine Arthrodese des Großzehengrundgelenks durchgeführt.

Operationsprinzip und -ziel

Unter Einsatz eines Polyvinyl-Alkohol (PVA) Hydrogel Implantats (Cartiva Synthetic Cartilage Implantat; Cartiva Inc., Wright-Medical) soll der schmerzhafte Knochen-Knochen-Kontakt bei Arthrose am Großzehengrundgelenk vermieden werden. Das Implantat fungiert als Abstandshalter zwischen Metatarsalekopf und Grundphalanx. Es ermöglicht eine Behandlung der fortgeschrittenen Arthrose am Großzehengrundgelenk unter Erhalt der Beweglichkeit.

Vorteile

  • Wenig komplexer operativer Eingriff.
  • Nachbehandlung im steifen Verbandschuh für 4 Wochen.
  • Beweglichkeit des Großzehengrundgelenks bleibt erhalten.
  • Bei der Implantation kommt es nur zu einem geringen Knochensubstanzverlust.
  • Im Falle einer Revision ist eine Arthrodese des Großzehengrundgelenks ohne Interposition eines Beckenkammblocks möglich.

Nachteile

  • Höhere Rate an Therapieversagern verglichen zur Arthrodese des Großzehengrundgelenks.
  • Hierdurch evtl. weitere Operation (Arthrodese) im Verlauf notwendig.
  • Kapselschwellung und Reizzustand des GZGG über mehrere (3-12) Monate möglich.

Indikationen

  • Schmerzhafter Hallux rigidus Grad II-IV.
  • Orthograder 1. Strahl.
  • Aktiver Patient ohne extremen Leistungsanspruch an das Großzehengrundgelenk.

Kontraindikationen

  • Patient mit extrem hohem Leistungsanspruch an das Großzehengrundgelenk (z.B. Klettern, Ballett, ...).
  • Infektionen im OP Gebiet.
  • Achsfehlstellung des 1. Strahls (Hallux valgus, Hallux varus).
  • Instabiles Großzehengrundgelenk.
  • Schlecht eingestellter Diabetes mellitus, insbesondere mit Polyneuropathie.
  • Relative Kontraindikation:
    • Fortgeschrittene Sesambeinarthrose (je nach Ausprägung muss zumindest von Restbeschwerden ausgegangen werden)
    • Kristall-Arthropathie
    • Schlechte Weichteilverhältnisse
    • pAVK

Patientenaufklärung

  • Allgemeine OP Risiken.
  • Vor- und Nachteile alternativer Therapien (Cheilektomie und Versteifung).
  • Einwilligung, die o.g. Risiken (Nachteile) einzugehen, um einen Bewegungserhalt des Großzehengrundgelenks zu ermöglichen.
  • Bei präoperativ weitgehend eingesteiftem Gelenk ist eine unterdurchschnittliche Beweglichkeit zu erwarten.
  • Höhere Rate an Therapieversagern verglichen zur Arthrodese des Großzehengrundgelenks.
  • Hierdurch evtl. weitere Operation (Arthrodese) im Verlauf notwendig.
  • Kapselschwellung und Reizzustand des GZGG über mehrere (3-12) Monate möglich.
  • Bei Sesambeinarthrose erhöhtes Risiko für Restbeschwerden.

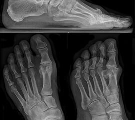
Operationsvorbereitung

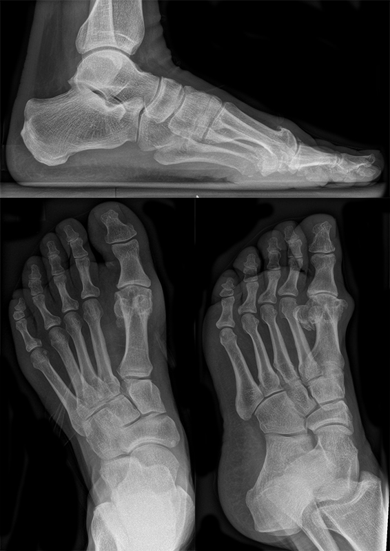
  • Röntgen: Fuß belastet in 3 Ebenen.
  • Optional MRT und CT bei radiologisch unklaren Verhältnissen.
  • Dokumentation des Bewegungsumfangs des Großzehengrundgelenks und der Fußpulse.
Zum Lesen der Bildbeschreibung und zur Vollansicht bitte das Bild anklicken (Foto: M. Walther).

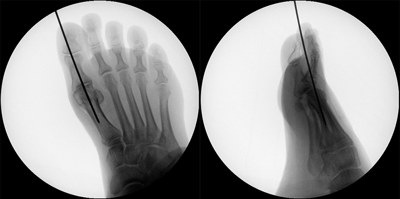
Instrumentarium

  • Standard „Fußsieb“ analog anderer Vorfußeingriffe.
  • Bildverstärker.
  • Bohrmaschine.
  • Implantationsinstrumentarium bestehend aus:
    • Führungsdraht
    • Führungsinstrument (6, 8 und 10 mm)
    • Fräse (6, 8 und 10 mm)
    • Implantationsinstrument (6, 8 und 10 mm)
Zum Lesen der Bildbeschreibung und zur Vollansicht bitte das Bild anklicken (Foto: M. Walther).

Anästhesie und Lagerung

  • Intubationsnarkose, Larynxmaske, spinale Leitungsanästhesie, Fussblock oder Leitungsanästhesie.
  • Beim Fussblock werden im proximalen Knöchelbereich 30 bis 40 ml Ropivacain um den Nervus peronaeus superficialis, Nervus peronaeus profundus, Nervus suralis, Nervus saphenus sowie Nervus tibialis posterior verabreicht.
  • Blutleere (250 - 300 mm Hg, bzw. 40-100 mm Hg über dem systolischen Blutdruck) am Oberschenkel bei spinaler Leistungsanästhesie; bei Poplitealblock oberhalb des oberen Sprunggelenkes (200-250 mm Hg), ebenso beim Fussblock.
  • Rückenlage des Patienten.
  • Strahlenschutzmatte ab Knie nach proximal für den Patienten.

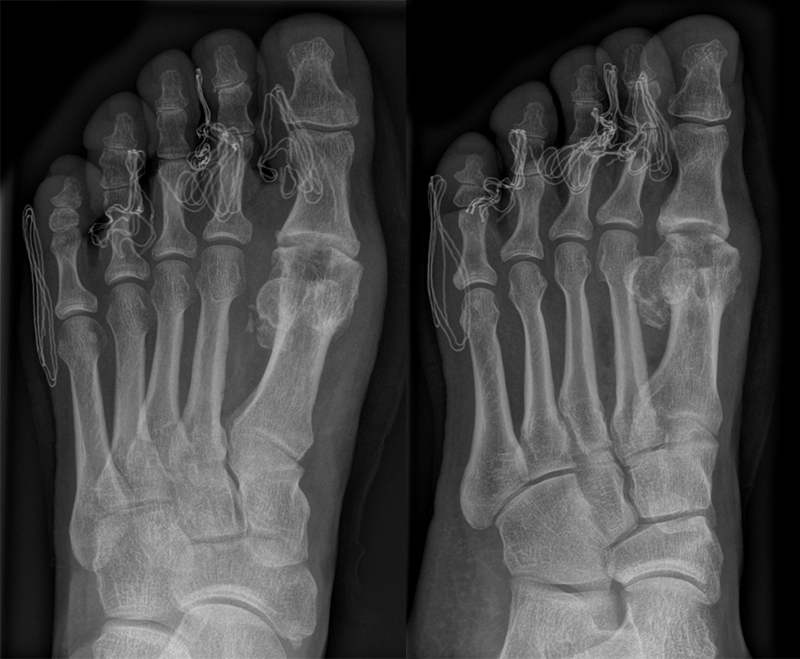
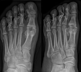
OP-Technik

Zum Lesen der Bildbeschreibung und zur Vollansicht bitte die Bilder anklicken (Fotos: M. Walther).

Besonderheiten der OP-Technik:

Sollte ein Hallux valgus interphalangeus vorliegen, kann dieser mit einer zeitgleich durchgeführten Akin-Osteotomie und ggf. einem transartikulären lateralen Release korrigiert werden.

Postoperative Behandlung

  • Kramer Verband für 2 Wochen. Die Großzehe sollte im Verband gerade stehen.
  • Wundkontrolle und Verbandswechsel: 1-2 x/Woche.
  • Lymphdrainage: Optional bei vermehrter Schwellung.
  • Fadenzug: 2 Wochen postoperativ.
  • Hochlagerung: 2 Wochen; danach bei vermehrter Schwellung.
  • Nach individueller Risikoabschätzung kann bei fehlender Ruhigstellung des Sprunggelenks und Vollbelastung des Beins nach Leitlinie üblicherweise auf eine medikamentöse Thromboseprophylaxe verzichtet werden.
  • Optional besteht die Möglichkeit einer Ossifikationsprophylaxe (z.B. Celecoxib 200 mg 1-0-1 für 2 Wochen).
  • Vollbelastung der Ferse im Verbandschuh für 4 Wochen, wobei die Aktivitäten in den ersten 2 Wochen auf ein Minimum reduziert werden sollten.
  • Unterarmgehstützen nur bei Bedarf unterstützend in den ersten Tagen postoperativ.
  • Ab dem 3. postoperativen Tag Mobilisation des Großzehengrundgelenks in Dorsalextension und Plantarflexion auch unter Traktion. Tagsüber ist es sinnvoll alle 3 Stunden das Großzehengrundgelenk 4-5 Mal bis zur Schmerzgrenze zu bewegen. Keine Beübung des Großzehengrundgelenks in den Schmerz hinein.
  • Ab der 3. Woche Intensivierung der Bewegungsübungen der Großzehe. Bewegen der Großzehe in Richtung Fußrücken und in Richtung Fußsohle bis zur Schmerzgrenze.
  • Ab der 5. Woche Wechsel auf einen bequemen, weiten und weichen Schuh, wobei bis zur 6. Woche ein reduziertes Aktivitätsniveau beibehalten werden sollte.
  • Sport frühestens 6 Wochen postoperativ. Bei vermehrten Schmerzen und Schwellung Reduktion des Aktivitätsniveaus in den schmerzfreien Bereich!
  • Eine Schwellneigung kann über mehrere Monate vorhanden sein.
  • Vorfußbelastende Sportarten wie Joggen, Stepp-Aerobic oder Yoga sollten für mindestens 10 Wochen pausiert werden.
  • Bei sehr hartnäckiger Schwellung über die 6. postoperative Woche hinaus optional Injektion von 1 ml Hyaluronsäure ins Großzehengrundgelenk.

Fehler, Gefahren, Komplikationen

  • Zur Verwendung des CARTIVA® Implantats in Kombination mit Osteotomien des Os metatarsale I bei erhöhtem Intermetatarsalwinkel und Hallux valgus gibt es bisher keine wissenschaftlichen Daten. Die Entwicklergruppe rät allerdings von der Verwendung von CARTIVA® in Kombination mit einer Osteotomie des Os metatarsale I ab.
  • Grundsätzlich gilt, dass ein vor der Operation steifes Gelenk auch postoperativ meist eine erhebliche Bewegungseinschränkung behält. Gleiches gilt für Gelenke mit fortgeschrittener Sesambeinarthrose.
  • Steht das Implantat zu weit heraus oder wurde zu tief gefräst, was bei starkem Druck auf die Fräse oder bei osteoporotischem Knochen vorkommen kann, muss das Implantat entfernt und das Loch entweder vertieft oder mit der vorhandenen Spongiosa aufgefüllt werden, um den gewünschten Implantatüberstand von 1-3 mm zu erreichen. Das Implantat kann mit zwei kleinen Nadeln, die möglichst seitlich in das Implantat gedrückt werden, nach vorne herausgezogen und anschließend neu platziert werden. Wird mit gröberem Werkzeug gearbeitet oder ein Draht von vorne eingebracht, wird meist die Gleitfläche zerstört und das Implantat unbrauchbar.

Ergebnisse

Die bisher publizierten Resultate stammen überwiegend von der Autorengruppe, welche die Multicenter-Studie zur FDA Zulassung durchgeführt hat. Baumhauer et al. 10 führten eine prospektive randomisierte Studie an 202 Patienten durch. Die Kontrollgruppe umfasste dabei 50 Patienten mit Arthrodese am Großzehengrundgelenk. Berichtet wird über eine Verbesserung der Dorsalextension am Großzehengrundgelenk von 6,2°. In 11,2% der Patienten wurde während der 2 Jahre Nachuntersuchung ein Revisionseingriff durchgeführt. Bei 9,2% der Patienten bestand die Revision aus einer Konversion in eine Arthrodese des Großzehengrundgelenks. In der Kontrollgruppe waren in 14% Revisionseingriffe aufgrund von störendem Osteosynthesematerial notwendig. In einer zweiten Publikation über das identische Patientengut konnten keine statistisch signifikanten Korrelationen zwischen den Ergebnissen des Implantats und dem präoperativen Stadium des Hallux rigidus festgestellt werden 14. Daniels et al. 11 stellten ihre 5 Jahresergebnisse vor. Die Resultate bestätigten die Beobachtung einer postoperativ längeren Schwellneigung, verglichen zur Arthrodese. Zwischen den 1 Jahres- und den 5 Jahres-Ergebnissen konnte eine weitere signifikante Verbesserung von Funktions- und Schmerz-Scores gezeigt werden. Goldberg et al. 15 haben in ihrer Studie patientenbezogene Faktoren analysiert, inkl. Stadium der Arthrose, Geschlecht, Alter, BMI und präoperativer Bewegungsumfang. Auch hier ergaben sich keine prädiktiven Faktoren, welche auf ein gutes bzw. eingeschränktes Ergebnis hinweisen. Einschränkend ist allerdings darauf hinzuweisen, dass sich sämtliche Studien auf das identische Patientenkollektiv beziehen und daher ein möglicher Bias alle Auswertungen in ähnlicher Weise verzerren würde.

Die ersten Ergebnisse, welche sich nicht auf das Kollektiv der Zulassungsstudie beziehen, publizierten Cassinelli et al. 13. In ihrer Kohortenstudie kam die Gruppe aus Kalifornien um D. Thordarson zu einer deutlich kritischeren Einschätzung. 14% der 64 Patienten waren sehr zufrieden, 28% zufrieden, 20% unbestimmt, 11% unzufrieden und 27% sehr unzufrieden mit ihrem Ergebnis. Die Revisionsrate während der Nachuntersuchungsdauer von durchschnittlich 18,5 Monaten lag bei 20%, die eine Umstellungsrate auf Arthrodese von 8% beinhaltete.

Literatur

  • Wasserstein RL. The ASA's Statement on p-Values: Context, Process, and Purpose. The American Statistician. 2016; 70: 129-33.
  • Hengstmann K, Klapper U. Hallux rigidus. 2016; 12: 674-8.
  • Fuhrmann R. Hallux rigidus: Arthrodese vs. Endoprothese. Trauma und Berufskrankheit. 2010; 12: 119-24.
  • Vanore J, O’Keefe R, Bidny M. Hallux rigidus. In: Marcinko D, ed. APMA textbook of podiatric medical and surgical practice. Baltimore: Williams & Wilkins, 1990: 93–5.
  • Younger AS, Baumhauer JF, Glazebrook M. Polyvinyl alcohol hemiarthroplasty for first metatarsophalangeal joint arthritis. Current Orthopaedic Practice. 2013; 24: 493-7.
  • Younger SE, Baumhauer J. Polyvinyl Alcohol Hydrogel Hemiarthroplasty of the Great Toe: Technique and Indications. Techniques in foot & ankle surgery. 2013; 12: 164-9.
Loading…
Loading the web debug toolbar…
Attempt #