Cheilektomie

Vorbemerkungen

Beim Hallux rigidus handelt es sich um eine Arthrose des 1. Metatarsophalangealgelenkes, die in unterschiedliche Stadien eingeteilt wird 123. Während im Anfangsstadium die konservative Therapie mit physikalischer und manueller Therapie sowie Einlagenversorgung im Vordergrund steht, ist im späten Stadium bei zunehmendem Leidensdruck des Patienten eine Operation oft unumgänglich. Hier stehen verschiedene Operationsverfahren wie Cheilektomie, Resektionsarthroplastik, Arthrodese und Endoprothese zur Verfügung 456271.
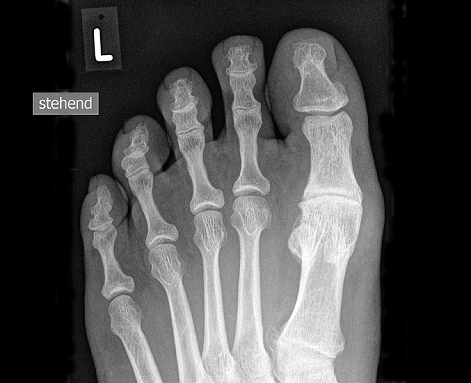
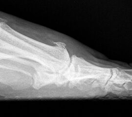
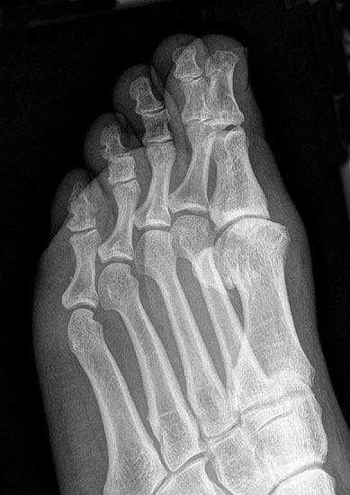
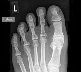
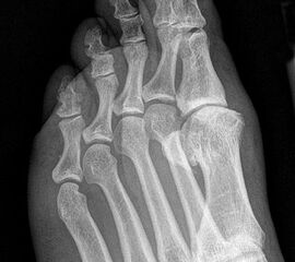
Klinisch zeigt sich stadienabhängig eine schmerzhafte Bewegungseinschränkung mit zunehmender Steifigkeit des Großzehengrundgelenkes. Vor allem die Einschränkung der Dorsalextension wird von den Patienten oft als unangenehm empfunden. Initial besteht eine bindegewebige Alteration im Gelenk, im weiteren Stadium treten Knorpeldegeneration und Begleitsynovialitis mit der Ausbildung von osteophytären Randanbauten auf. Klinische treten diese meist durch eine schmerzhafte dorsale Knochenkante in Erscheinung (Abbildung 1).

Im späten Stadium imponiert eine Gelenkblockierung durch freie Gelenkkörper. Während in den Anfangsstadien vor allem die dorsalen Anteile des Gelenks betroffen sind, betreffen die Veränderungen in den Fortgeschrittenen Stadien die gesamte Zirkumferenz einschließlich des Sesambeingleitlagers. Im Endstadium kommt es zu einer weitgehenden Ankylosierung des 1. Metatarsophalangealgelenks.

Tabelle 1: Stadieneinteilung des Hallux rigidus nach Vanore (1990)
Stadium nach Vanore Klinisches Bild
1: Stadium der Funktionseinschränkung
  • Metatarsus primus elevatus
  • Fehlender röntgenologischer Nachweis degenerativer Gelenkveränderungen
  • Hyperextension des Großzehenendgelenks
2: Stadium der Adaptation
  • Abflachung des Metatarsale-I-Kopfes
  • Osteochondrale Defekte
  • Schmerzen bei endgradiger Bewegung
  • Passive Bewegungseinschränkung
  • Kleine dorsale Exostose
  • Subchondrale Hyperostose
  • Periartikuläre Osteophyten
3: Stadium des Gelenkverschleißes/der Arthritis und Vollbild der Arthrose
  • Schwere Abflachung des Metatarsale-I-Kopfes
  • Vorwiegend dorsale Exophyten
  • Asymmetrische Gelenkspaltverschmälerung
  • Degeneration des Gelenkknorpels Krepitationen
  • Subchondrale Zysten
  • Schmerzhafte Beweglichkeit im gesamten Bewegungsumfang
  • Begleitende Arthritis
4: Stadium der Ankylose
  • Aufhebung des Gelenkspalts mit weitgehendem Verlust des Gelenkknorpels
  • Deutliche Ausbildung von Osteophyten mit freien Gelenkkörpern
  • Bewegungsumfang von < 10°
  • Deformierung oder Fehlstellung
  • Mögliche komplette Ankylosw

Operationsprinzip und –ziel

Die Cheilektomie ist indiziert vor allem im Stadium II der Erkrankung, in welchem die degenerativen Veränderungen vor allem auf die dorsalen Gelenkanteile konzentriert sind und sich in der plantaren Gelenkhälfte noch ein ausreichender Knorpelbelag findet 48. Der Eingriff umfasst die Synovektomie, die Entfernung von freien Gelenkkörpern und die Abtragung von dorsalen, lateralen und medialen Osteophyten am Metatarsale I Kopf und an der Grundgliedbasis. Zusätzlich kann eine offene Arthrolyse des Sesambeingleitlagers durchgeführt werden. Ziel ist eine Schmerzreduktion durch Abtragung der Ostepohyten mit Verbesserung der Beweglichkeit des 1. Metatarsophalangealgelenkes. Dieses Operationsverfahren kann auch im Stadium III der Erkrankung durchgeführt werden, allerdings ist dann häufiger mit Restbeschwerden und einer signifikant verlängerten Rehabilitationszeit zu rechnen 9.

Vorteile

  • einfache Operationstechnik
  • Erhalt der Beweglichkeit
  • geringere Belastung der angrenzenden Gelenke
  • alle Rückzugsmöglichkeiten offen

Nachteile

  • Restbeschwerden möglich
  • weitere Operationen nach Jahren häufig notwendig

Indikationen

  • Extraartikuläre Beschwerden bei Hallux rigidus
  • Arthrose Großzehengrundgelenk Grad II-III
  • körperlich aktive Patienten mit mäßiggradiger Arthrose des Großzehengrundgelenkes
  • Verbesserung der Dorsalextension im Großzehengrundgelenk

Kontraindikation

  • Akute und chronische Weichteilinfekte im Bereich des Operationsgebietes
  • Schlechte Weichteilverhältnisse mit Durchblutungsstörung
  • Fehlende Beschwerden
  • Schwere Arthrose des Großzehengrundgelenkes mit ausgeprägtem Ruheschmerz

Patientenaufklärung

  • Allgemeine Operationsrisiken.
  • Voranschreiten der Arthrose mit der Notwendigkeit weiterer operativer Eingiffe.
  • Restbeschwerden, in Einfällen können diese schon nach wenigen Monaten eine Arthrodese des Großzehengrundgelenks erforderlich machen.
  • Erneute Osteophytenbildung.
  • Tragen eines Verbandsschuhs für 2 Wochen postoperativ.
  • Fersenbelastung für 2 Wochen postoperativ ggf. unter Zuhilfenahme von Unterarmgehstützen.
  • Arbeitsunfähigkeit: sitzende Tätigkeiten meist nach wenigen Tagen möglich, stehende Berufe nach ca. 2 Wochen.
  • Bis zur Abnahme des Verbandsschuhs kann kein Kraftfahrzeug geführt werden (Ausnahme OP links bei Automatik-Fahrzeugen).

Operationsvorbereitung

  • Klinische Untersuchung
  • Röntgenaufnahme des Fußes in drei Ebenen unter Belastung

Instrumentarium

  • Vorfußsieb mit kleinen Meißeln, Luer
  • Oszillierender Säge
  • McGlamry Elevatorium
  • Bildverstärker

Anästhesie und Lagerung

  • Intubationsnarkose, Larynxmaske, spinale Leitungsanästhesie, Fussblock oder Leitungsanästhesie
    Beim Fussblock werden im proximalen Knöchelbereich 30 bis 40 ml Ropivacain um den Nervus peronaeus superficialis, Nervus peronaeus profundus, Nervus suralis, Nervus saphenus sowie Nervus tibialis posterior verabreicht.
  • Blutleere (250 - 300 mm Hg, bzw. 40-100 mm Hg über dem systolischen Blutdruck) am Oberschenkel bei spinaler Leistungsanästhesie; bei normaler Leitungsanästhesie oberhalb des oberen Sprunggelenkes (300 mm Hg), ebenso beim Fussblock.
  • Rückenlage des Patienten
  • Strahlenschutzmatte ab Knie nach proximal für den Patienten

OP-Video

Besonderheiten

Eine Sonderform des Eingriffs besteht in der Operation nach Valenti 11. Hier wird der dorsale Osteophyt an Grundphalanx und Metatarsale I sehr ausgedehnt in einem 45° Winkel abgetragen und die Gelenkkapsel sanduhrförmig in den so entstandenen Raum eingezogen. Biomechanisch wird aus dem Kugelgelenk ein Scharniergelenk. Vorteile bietet die Valenti Operation vor allem bei bereits vorgeschrittenem Hallux rigidus (Grad III) und scheint hier funktionell der Keller Brandes Operation überlegen 1213.

Bei Vorliegen eines lokalen Defektes im Bereich des Metatarsale I Köpfchens im Sinne einer osteochondralen Läsion besteht die Möglichkeit zur Auffüllung des Defektes mit Spongiosa (Entnahmestelle z.B. Calcaneus) nach Mikrofrakturierung und Auflage einer Kollagenmembran angelehnt an die Technik der autologen matrixinduzierten Chondrogenese (AMIC®) (Kriegelstein 2012).

Die Cheilektomie kann mit verschiedenen Osteotomien kombiniert werden um die Beweglichkeit im Großzehengrundgelenk weiter zu verbessern. Bei der Bonny-Kessel Operation wird eine dorsale Closing wedge Osteotomie der Grundphalanx durchgeführt (Abbildung 12).

Das Verfahren nach Watermann und Green beschreibt eine plantarisierende und verkürzende Osteotomie des Metatarsale I mit dem Ziel den Druck um Gelenk zu reduzieren.

Postoperative Behandlung

Der Patient erhält einen Verbandsschuh für 14 Tage. Der Fadenzug erfolgt 12-14 Tage postoperativ. Ab dem ersten postoperativen Tag soll eine Beübung des Großzehengrundgelenkes unter Traktion in Dorsalextension und Plantarflexion in Eigenregie durchgeführt werden. Bei persistierender Schwellneigung wird diese mit Lymphdrainage und entstauenden Tapeverbänden therapiert. Manuelle Therapie und Krankenkgymnastik können zur weiteren Mobilisation des Gelenks eingesetzt werden.
Bei anhaltendem Reizzustand kann dieser mit Steroidinjektionen (z.B. 2 mg Triamcinolone gemischt mit 1 ml Ropivacaine (Naropin™) 5mg/ml) intraaratikulär gut therapiert werden 1415.
Zur Entlastung des Metatarsophalangealgelenks sind weiterhin Einlagen mit Stabilisierung des ersten Strahls (Rigidusfeder) ein etabliertes Vorgehen 1617.

Fehler, Gefahren, Komplikationen

  • Zu geringe Osteophytenabtragung ohne Verbesserung der Dorsalextension.
  • Zu ausgeprägte Abtragung dorsaler Osteophyten mit Gefahr der Subluxation/Luxation des Grundgliedes nach dorsal.
  • Wundheilungsstörung.
  • Persistierende postoperative Beschwerden.

Ergebnisse

Coughlin et al. (2003)2 berichten über 92% gute Ergebnisse nach Cheilektomie im Stadium II und III nach 9,6 Jahren Follow up. Die Verbesserung betrifft Schmerzen und Bewegungsumfang. Aktuelle Arbeiten haben gezeigt, dass sich nach einer Cheilektomie nicht nur der Bewegungsmumfang am Großezehengrundgelenk verbessert, sondern auch eine Steigerung der Kraft beim Push off des Gangzyklus auftritt 1819.
Da die Arthrose des Gelenks durch eine Cheilektomie nicht beseitigt werden kann, sind die Patienten über die Möglichkeit weiterer operativer Eingriffe aufzuklären. Allerdings scheint die Häufigkeit von Reoperationen, meist mit Arthrodese des Metatarsophalangealgelenks, nicht so häufig wie vielfach angenommen. Eine umfassende Metaanalyse von Reoperationen nach Cheilektomie veröffentlichten Roukis et al. (2010) 20. 706 Patienten mit Cheilektomie wurden in den Review eingeschlossen. Die Rate von Patienten mit weiteren operativen Eingriffen wurde bei Hallux rigidus Grad I mit 20%, bei Grad II mit 15%, bei Grad III mit 9% und bei Grad IV mit 56% angegeben. Diese Resultate deuten darauf hin, dass auch im Stadium III der Erkrankung die Cheilektomie eine sinnvolle Behandlungsoption darstellt, auch wenn die Rate an Restbeschwerden signifikant höher ist als im Stadium II. Im Stadium IV der Erkrankung liefert aber die Arthrodese die zuverlässigeren Langzeitergebnisse 2.
Liegt gleichzeitig eine knöcherne Deformität des ersten Strahls vor, kann diese durch zusätzliche Osteotomien (z.B. Bonney-Kessel: dorsale Closing Wedge Osteotomie der Grundphalanx I oder Watermann-Green: verkürzende und plantarisierende Osteotomie Metatarsale I) korrigiert werden 1. Eine wissenschaftliche Evidenz, dass durch eine Verkürzung und Plantarisierung des Metatarsale I grundsätzlich bessere Ergebnisse zu erzielen sind, als bei einer alleinigen Cheilektomie gibt es aber bisher nicht 821. Ein Problem ist, dass die Nachbehandlung nach Osteotomien häufig Kompromisse hinsichtlich der frühen und aggressiven Mobilisation des Großzehengrundgelenks erforderlich macht.

Weitere Literatur

  • Coughlin MJ, Mann RA, Saltzmann CL: Surgery of the Foot and Ankle - 8th Edition. Mosby, 2007
  • Kriegelstein S, Altenberger S, Dreyer F, Bölzner C, Walther M: Autologe Matrix-induzierte Chondrogenese am Großzehengrundgelenk. Fuß und Sprunggelenk (2012) 10:191-195
  • Vanore J, O’Keefe R, Bidny M. Hallux rigidus. In: Marcinko D, ed. APMA textbook of podiatric medical and surgical practice. Baltimore: Williams & Wilkins, 1990:93–5.
Loading…
Loading the web debug toolbar…
Attempt #