Definition

Ein Hallux varus ist definiert als eine Abweichung der Großzehe im 1. Metatarsophalangeal­gelenk nach medial Richtung Fußinnenrand. Der erste Zehenstrahl steht in Abduktions­stellung gegenüber der Achse des Os metatarsale I. Im Vergleich zum Hallux valgus ist diese Fehlstellung selten.
Bekannt ist diese Deformität über die gesamte menschliche Entwicklungsgeschichte. Nachgewiesen wurde sie bereits in fossilen Fußabdrücken vor 3 Millionen Jahren 1.

Symptomatik

Klinisches Erscheinungsbild eines Hallux varus (eigenes Bildmaterial)
Abbildung 1

Bei einer geringgradigen Ausprägung eines Hallux varus (bis ca. 10° negativer Hallux-valgus-Winkel) sind die Betroffenen selten beeinträchtigt, in der Regel bedarf es keiner Therapie. Die Korrektur durch den Druck der Zehenkappe im Schuh ist meist bereits ausreichend.
Bei zunehmender Fehlstellung klagen die Patienten über Druckbeschwerden im Schuh, insbesondere am Endglied innenseitig oder über dem IP-Gelenk der Großzehe sowie über bewegungsabhängige Schmerzen im 1. MTP-Gelenk. Häufig sind die Betroffenen auch kosmetisch unzufrieden (Janis et al., 1975).

Klassifikation

2"> 2" srcset="/assets/images/6/3-j30hz7xkbxcdt1s.jpg 1x, /assets/images/t/3-gct6e1zmng6capw.jpg 1.5x, /assets/images/5/3-qrhzkncpaf3sb3z.jpg 2x" width="270" height="240" loading="lazy">
Abbildung 2

Am häufigsten tritt eine eindimen­sionale Abweichung, in der Regel in Form einer zunehmenden Varusstellung in der Axialebene auf.

Die Beeinträchtigung nimmt mit einer zusätzlichen Fehlstellung in der Sagittalebene zu. Typischerweise besteht dann das Bild einer Hyperextensionsstellung der Großzehe im MTP-Gelenk und eine Flexionsstellung im IP-Gelenk („snake in the grass“ deformity (Wirth, 2002)), eine sogenannte „Malleolus“- Fehlstellung. Bedingt durch die unphysiologische Wirkung der intrinsischen Muskulatur kann eine zusätzliche Rotations-Supinations-Fehlstellung (dreidimensional) entstehen.

Eine weitere Differenzierung ergibt sich aus der Flexibilität bzw. Rigidität der Fehlstellung, welche durch die klinische Untersuchung verifiziert wird. Hierzu ist es erforderlich, den Patienten bei belastetem Fuß zu untersuchen.

Eine flexible Deformität liegt vor, wenn der erste Strahl im MTP-Gelenk gut beweglich und reponierbar ist. Die Ursache für einen Hallux varus liegt in diesen Fällen meist in einer weichteilbedingten Dysbalance. Eine Besonderheit bilden hierbei Hypermobilitätssyndrome, z.B. Ehlers-Danlos-Erkrankung oder Trisomie 345.
Im Gegensatz hierzu steht die knöcherne Fehlstellung oder Fehlanlagen (z.B. eine fehlende Anlage des fibularen Sesambeines) als Ursache eines Hallux varus 678.

Findet sich eine knöcherne Komponente als (Teil-) Ursache für den Hallux varus, handelt es sich häufig um eine fixierte, rigide und kontrakte Fehlstellung. Das gleiche gilt für neurogen­spastische Komponenten als Ursache (Bennet, 1982).

Klinische Diagnostik

Die Diagnose des Hallux varus wird klinisch gestellt. Die Untersuchung erfolgt am belasteten Fuß des Patienten.
Der 1. Strahl wird auf Druckstellen geprüft, ebenso die Flexibilität im 1. MTP und im IP-Gelenk der Großzehe untersucht. Zu beachten sind Begleitdeformitäten wie z.B. Fehlstellungen der Kleinzehen, des Mittelfußes sowie des Rückfußes. Zu beachten ist ebenfalls der neurologische Status insbesondere im Hinblick auf spastische oder schlaffe Lähmungen (Hefti, 1998).

Nach vorangegangenen Operationen sollten Narbenkontrakturen als Ursache der Deformität ausgeschlossen werden.
Mitunter bestehen Zeichen der Algodystrophie. Beachtet werden muss die Durchblutungs­situation, insbesondere nach vorangegangenen Eingriffen.
Nach Voroperationen sollte man sich über die Art des vorausgegangenen Eingriffes kundig machen 910.

Radiologische Diagnostik

11"> Der Hallux varus Winkel  <a class=11" title="Der Hallux varus Winkel 11" srcset="/assets/images/2/4-vk3bypbg5s5x7zc.jpg 1x, /assets/images/3/4-aax2sd1hrpnrvrb.jpg 1.452x" width="270" height="240" loading="lazy">
Abbildung 3

Die bildgebende Diagnostik hilft bei der Klärung der Ätiologie und des Ausmaßes der Fehlstellung. Hierzu sind Röntgen­aufnahmen im Stand in mindestens zwei Ebenen unter Belastung des Fußes erforderlich. Mit Hilfe der belasteten Röntgenaufnahmen wird der Hallux-varus-Winkel, d. h. den Winkel zwischen der Achse der Grundphalanx der Großzehe und der Achse des ersten Mittelfußknochens bestimmt, sowie etwaige Rotationsfehlstellungen des 1. Strahls verifiziert. Eventuelle knöcherne Fehlanlagen bei kongenitalen Deformitäten können hierdurch ebenfalls verifiziert werden.

Weitere Beurteilungskriterien sind:

  • degenerative Veränderungen des MTP I
  • Kongruenz des MTP I- Gelenkes
  • Form und Stellung des Mittelfußköpfchens I
  • Ausprägung der Pseudoexostose.
  • PASA-Winkel, d. h. der periphere Artikulationswinkel des Großzehengrundgelenkes.

Zur Klärung der Ätiologie wird der intermetatarsale Winkel zwischen Os metatarsale I und II bestimmt. Ist dieser kleiner als 5° oder gar negativ, ist eine Varusstellung der Großzehe oft die Folge.

Am Röntgenbild des belasteten Fußes bestimmt man die Lage der Sesambeine zum 1. Mittelfußköpfchen.

Anhand der Röntgenaufnahme lassen sich die Folgen einer eventuellen Voroperation bestimmen, wie z. B. die Stellung des ersten Mittelfußköpfchens, des ersten Metatarsale nach Korrekturen der Achse bei einer Hallux-valgus-Operation. Mitunter bestehen Nekrosen des Mittelfußköpfchens oder eine übermässige Resektionen der Pseudoexostose. Auch die Länge des 1. Metatarsale kann von Interesse sein, z. B. nach einer Lapidusarthrodese (Johnson 1994).
Bei Unsicherheiten der Genese kann als weiterführende Diagnostik ein CT oder MRT indiziert sein 121314.

Anatomie

Zusammenhänge der adduzierenden und abduzierenden Muskelkräfte <a class=15, (Janis 1975)" title="Zusammenhänge der adduzierenden und abduzierenden Muskelkräfte 15, (Janis 1975)" width="345" height="550">
Abbildung 6: Zusammenhänge der adduzierenden und abduzierenden Muskelkräfte 15, (Janis 1975)

Pathogenese

Veränderung der Sehnenvektoren bei Vorliegen eines Hallux varus<br><br>
Abkürzungen:<br>
EBH   M. extensor hallucis brevis<br>
EHL   M. extensor hallucis longus<br>
AdH  M. adductor hallucis<br>
AbH  M. abductor hallucis<br>
FHB-L    lateral
Abbildung 7

Ein Hallux varus entsteht am häufigsten durch eine Über­korrektur im Rahmen einer operativen Hallux-valgus-Sanierung (1 – 13 % nach Donley 10; Kelikian, 1961; Mc Elvenny, 1941; Hatori, 1996).
Dabei kommt es zur Störung des muskulären Gleichge­wichtes oder zu einer unphysiologischen Stellung der Knochen des 1. Strahles 16.

Folgende Maßnahmen bei einer Hallux-valgus-Korrektur können ursächlich für die Entstehung eines Hallux varus sein.

  • forciertes laterales Release mit
    1. Abtrennung des Ansatzes des Muskulus adductor hallucis von der lateralen Basis der Grundphalanx bzw. vom fibularen Sesambein 16
    2. laterale Gelenkinzision,
    3. Inzision des lateralen Kopfes der kurzen Beugesehen am lateralen Sesambein (McBride, 1954), wobei in der Originaltechnik auch das fibulare Sesambein entfernt wird (Janis, 1995)
    4. fast regelhaftes Entstehen eines Hallux varus bei gleichzeitigem Ablösen von M. adductor hallucis und lateralem Kopf des M. flexor hallucis brevis vom fibularen Sesambein;
  • übermäßige Korrektur des IM-1-2-Winkels unter 5 – 0° oder bei einem negativen Winkel mit Lateralisation des 1. Mittelfußköpfchens;
  • starke mediale Kapselraffung, dabei entsteht oft eine Subluxation des tibialen Sesambeines nach medial;
  • übermäßige Resektion der Pseudoexostosen, damit Verlust des Abstützens der Grundphalanx am Mittelfußköpfchen;
  • aggressive postoperative Zügelung der Großzehe nach medial mittels Bandage, Schiene oder Tape,
Einfluß von Korrekturen des MT I- Schaftes auf die Stellung des MTP I (Hefti ,1998)
Abbildung 8

In den meisten Fällen resultiert sofort eine Hallux-varus-Stellung postoperativ 17218, (Janis, 1975)

Weniger häufig finden sich traumatische Ereignisse als Ursache für einen Hallux varus, so z. B. eine Luxation der Großzehe nach medial, eine isolierte Ruptur des lateralen Seitenbandes 19, eine Kalkaneusfraktur mit damit verbundener Einengung des N. plantaris medialis 20 oder auch ein posttraumatisches Kompartmentsyndrom 20.

Auch systemische Erkrankungen können Ursache für die Entstehung eines Hallux varus sein. Typischerweise  bei spastischen Erkrankungen (ICP) (Bennet, 1982), bei Poliomyelitis 12, aber auch bei entzündlichen Erkrankungen (Rheumatoide Arthritis mit Sehnen- und Bandrupturen und Gelenkdestruktionen, beim Charcotfuß, bei der Psoriasisarthropathie).

Nach Verletzungen oder Verbrennungen entstehen mitunter straffe Narbenzüge um das Großzehengrundgelenk mit der möglichen Folge einer sekundären Varusdeformität.

Auch eine idiopathische Entstehung wird beschrieben. So sieht man in Ländern mit ausgeprägter Barfuß-Kultur vermehrt Hallux-varus-Deformitäten, welche sich im mittleren Lebensalter herausbilden 11. Hierbei sollen Kriterien wie die Länge des Os metatarsale I, die Form des Mittelfußköpfchens, der IM-I/II-Winkel und die fehlende Fixation der Großzehe im Schuhwerk bedeutungsvoll sein.

Das idiopathische Entstehungsbild umfasst auch die kongenitale Fehlanlage des fibularen Sesambeines 12 oder eine avaskuläre Nekrose des 1. Mittelfußköpfchens, sowie eine Überlänge des 1. Metatarsale mit runder Form des Köpfchens (Saraya, 2000).

Hallux varus congenitus

Ein besonderes Krankheitsbild stellt der Hallux varus congenitus dar. Es ist eine sehr selten beobachtete angeborene skelettäre Medialdeviation des 1. Metatarsophalangealgelenkes und der Großzehe 21.

Sie ist häufig vergesellschaftet mit einer Polydaktylie, mitunter mit einem Brachymetatarsale I, mit einer Duplikation der Knochen der medialen Säule, von der distalen Phalanx bis zum Os naviculare reichend, bzw. mit einer systemischen Erkrankung (Corte-Real, 1997; Vispo-Seara, 1998; De Valentine, 1995; Tachdijan, 1990), 812.

Prinzipiell werden 3 Typen unterschieden (Tachdijan M, 1990):

  • alleiniger primärer Hallux varus
  • Hallux varus assoziiert mit anderen Fußdeformitäten, z. B. Fehlen eines Se-sambeines oder dem kongenialen Klumpfuß
  • Hallux varus assoziiert mit systemischen Deformitäten des Skelettes (Syndrome).

Bei einer gedoppelten 1. Zehe bei einer präaxialen Polydaktylie ist eine Varusstellung typisch (Hefti, 1998).

Die Fehlstellung beim Hallux varus congenitus ist häufig sehr ausgeprägt.

Angeborene Deformität und Fehlanlage 1. Strahl (eigenes Bildmaterial) (Vispo-Seara 1998, Hefti 1998)
Abbildung 9

Mit zunehmendem Wachstum und Alter wird die Abweichung der Großzehe zunehmend symptomatisch. Es können keine normalen Schuhe getragen werden, es entstehen kosmetisch schwerwiegende Probleme. Deshalb wird zu einer frühzeitigen Korrektur im Säuglings- und Kleinkindalter geraten 12, d. h. im 9. – 24 Lebensmonat 215.

Die Therapie ist immer operativ, wobei sich der individuelle Eingriff an der jeweiligen Dysplasie orientiert.

Gute Erfolge zeigen die Entfernung akzessorischer Knochen (Mc Elvenny, 1941; Corte-Real, 1998), sowie eine iatrogene Syndaktylie zwischen der 1. und 2. Zehe.

Möglich sind weiterhin subkapitale Osteotomien des Metatarsale I sowie eine auf- klappende Osteotomie am Os cuneiforme mediale (Hefti, 1998) mit K-Draht-Fixation oder die 1958 von Farmer 5 beschriebene Technik mit ausgeführter Lappentechnik (de Valentine, 1992).

Sinn jeglicher Prozedur ist das Schaffen eines reorientierten belastungsfähigen Fußes, welcher schmerzfreies Gehen ermöglicht. Eine Rezidivneigung besteht bei allen Gelenk erhaltenden Operationen am Vorfuß.

Therapie

Nicht immer ist ein Hallux varus therapiebedürftig. Bei einer flexiblen Varusstellung bis zu 10 Grad entstehen in den meisten Fällen keine Beschwerden, da in der Regel auch nur die Axialebene betroffen ist. Diese Fehlstellung lässt sich im normalen Schuhwerk gut korrigieren. Weiterhin sind Bandagen, redressierende Verbände und Schienen hilfreich.

In seltenen Fällen kann auch durch manualtherapeutische Behandlung, welche der Dehnung der kontrakten medialen Strukturen dient, eine Besserung erzielt werden.

Vor Injektionen in das Großzehengrundgelenk sollte allerdings gewarnt werden, da hierdurch eine Schädigung der Gelenkkapsel droht.

In den häufigsten Fällen ist aber auch nach mehrmonatiger Behandlung kein zufrieden­stellendes Ergebnis zu erreichen. Das persistierende muskuläre Ungleichgewicht führt zur rasch fortschreitenden Deformität, zur zunehmenden Einsteifung, sowie zu degenerativen Veränderungen des Gelenkes und zur Zunahme der Schmerzsymptomatik.

Bei symptomatischem Hallux varus nach einer Vorfußkorrektur ist nach 3 bis 6 Monaten keine Besserung mehr zu erwarten 22.

In diesen Fällen kann eine Korrektur nur mittels operativer Maßnahmen erzielt werden. Dabei sollte die Wiederherstellung der muskulären Balance bzw. die Korrektur der knöchernen Fehlstellungen und Degenerationen angestrebt werden.

Das operative Prozedere richtet sich nach der Genese der mitunter multidimensionalen Deformität.

Des Weiteren ist entscheidend:

  • ob flexible oder kontrakte Verhältnisse vorliegen;
  • der Grad des Abweichens der Großzehe in der Axialebene, aber auch die Dorsalstellung in der Sagittalebene;
  • die Einschränkung der Beweglichkeit im Großzehengrundgelenk;
  • der Zustand des IP-Gelenkes der Großzehe;
  • die Stellung des 1. Metatarsalknochens;
  • Begleitdeformitäten und Fehlstellungen des Fußes.

Jede operative Korrektur des Hallux varus beginnt mit einem medialen Weichteilrelease. Über einen medialen Zugang (meist im Bereich der alten Narbe nach Voroperationen) erfolgt die Verlängerung der kontrakten medialen Strukturen. Als vorteilhaft erweist sich oft eine Eröffnung des MTP-Gelenkes im Sinne einer V-Y-Plastik.

mediale Kapselplastik (V-Y), (eigenes Bildmaterial)
Abbildung 12

Anschließend erfolgt eine umfassende Arthrolyse des Gelenkes, insbesondere eine Mobilisation der Sesambeine durch Lösung aller bestehenden Adhäsionen.
Wood 2314 bezeichnet es als „total joint release“. Auch die Sehnen des M. abductor hallucis und des M. extensor hallucis longus und brevis werden einer Tenolyse unterzogen 24.


Bei schweren fixierten Deformitäten reicht diese Arthrolyse für die Wiederherstellung der muskulären Balance nicht aus. Ein zusätzlicher Sehnentransfer ist notwendig. Der am häufigsten verwendet Transfer ist eine hälftige bzw. 2/3-Versetzung der Sehne des M. extensor hallucis longus 251326.

Dazu werden die distal am Endglied der Großzehe abgelösten Sehnenanteile nach lateral unter dem Lig. metatarsale transversum hindurch und über ein Bohrloch durch die Basis der Grundphalanx nach medial geleitet und dort nach Ausrichtung der Großzehe fixiert (Mann, 2007).

Auch der M. extensor hallucis brevis kann für einen Transfer wie auch für eine Tenodese verwendet werden 2526.

Zur Lateralisierung der Großzehe und deren Stabilisierung ist in jedem Falle eine Raffung der elongierten lateralen Kapselanteile wichtig. Mitunter kann der Effekt durch Rekonstruktion des lateralen Seitenbandes verstärkt werden (Saragaglia-Technik, Tourné 14).

Funktionell betrachtet ist ein dynamischer Sehnentransfer jeglicher Art einer Tenodese vorzuziehen.

Problematisch sind die Deformitäten in denen durch exzessives Weichteilrelease im Rahmen der Erstoperation die lateralen Kapselbandstrukturen vollständig zerstört wurden. Hier bietet sich zur Rezentrierung des MTP I Gelenkes die Verwendung eines Seilzugsystemes an (z.B. Tight Rope, Fa. Arthrex) 26.

Falls die knöcherne Korrektur des Os Metatarsale I im Rahmen einer Voroperation zu einem sehr kleinen oder sogar negativen IM-Winkel und einem daraus resultieren Hallux varus geführt hat, muss die Stellung des Metatarsale I nach medial reorientiert werden, oft verbunden mit einem zusätzlichen Sehnentransfer.

Oft führt auch eine leichte Verkürzung des Os metatarsale 1 (z. B. mittels Scarf-Osteotomie) zu einer Entspannung der intrinsischen Muskulatur und somit einer verbesserten Ausrichtung der Großzehe (Sabo, 2012).

Diese Methode der Ausrichtung des muskulären Gleichgewichtes ist nicht erfolgreich bei bestehenden kontrakten Verhältnissen bzw. Destruktionen des Großzehengrundgelenkes 22.

Gute Ergebnisse werden in diesem Fall durch die Arthrodese des MTP-1-Gelenkes erzielt. Bei älteren Patienten kann zum Erhalt der Beweglichkeit eine Keller-Brandes-Prozedur sinnvoll 2327, (Wirth, 2002)

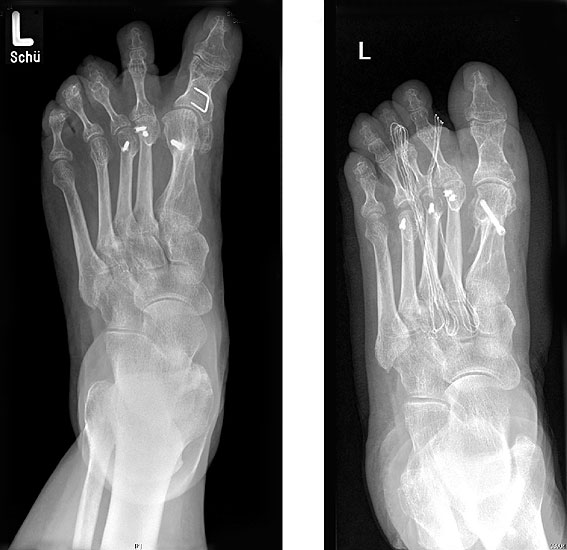
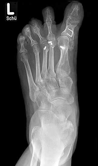
Arthrodese MTP I und weichteilige Rezentrierung MTP II und III (eigenes Bildmaterial)
Abbildung 18

Eine alleinige Implantation einer Prothese oder eines Spacers im MTP-Gelenk bringt bei fehlender Ausrichtung der Zugrichtung der Muskulatur des 1. Strahles keine befriedigenden Ergebnisse.

Von Rochwerger 28 wurde eine Methode beschrieben, welche nach übermäßiger Resektion der Pseudoexostose eine medialen Stabilisierung durch einen eingebolzten Knochenkeil (Beckenkammtransplantat) gute Resultate zeigt.

Bei schwersten Hallus-varus-Deformitäten bzw. bei Rezidiven ist als ultima ratio auch eine Syndaktylisierung mit der zweiten Zehe möglich.

Unterschiedliche Therapiealgorythmen 2226 wurden als Leitschiene für das operative Vorgehen bei Hallux varus beschrieben (Johnson, 1994).

Unter Berücksichtigung der Ätiologie der Deformität kann der Algorithmus nach Skalley angewendet werden:

Tabelle 1: Algorithmus des operativen Vorgehens zur Korrektur des Hallux varus nach Skalley (1994)
Ätiologie: Therapie:
Entzündliche Arthritis
Avaskuläre Nekrose MT I
Degenerative Arthritis:
Physiolog. Alter <65
Hoher Aktivitätsgrad, jedes Alter
Arthrodese MTP I
Degenerative Arthritis:
Physiolog. Alter > 65
Pflegebedürftig
Resektionsarthroplastik MTP I
McBride OP
A: adäquate schmerzfreie Beweglichkeit
B: schmerzhafte, inadäquate Beweglichkeit
Weichteilrelease+ Sehnentransfer
Arthrodese oder Resektionsarthroplastik
Fehlerhafte Knochenheilung nach MT I- Osteotomie Re-Osteotomie +/- Sehnentransfer
Exzessive Kapselraffung medial
A: mild
B: moderat bis stark
Weichteilrelease medial
Weichteilrelease+ Sehnentransfer
Traumatisch, ohne degenerative
Gelenkveränderungen
A: Fixierte Fehlstellung
B: Dynamische Deformität
Weichteilrelease+ Sehnentransfer
Sehnentransfer
Typische Sehnentransfers:
A: Symptomatisches IP- Gelenk mit fixierter Klauenzehe D1
B: Asymptomatisches IP- Gelenk ohne Klauenzehenbildung D1
EHL- transfer+ IP- Gelenksarthrodese
Hälftiger EHL- Transfer oder EHB-Transfer mit Tenodese

Die Nachbehandlung aller operativen Methoden, welche eine Beweglichkeit im MTP-I-Gelenk verbessern und die Zehenstellung korrigieren sollten , beinhaltet eine mehrmonatige Zügelung bzw. Taping der Großzehe in milder Valgusstellung 1826 . Nach operativen Massnahmen ist das Tragen eines Post-OP Schuhs oder eines kurzer Walker bis zur knöchernen oder weichteiligen Ausheilung anzuraten.
Nach Versteifungen des MTP- I- Gelenkes ist das Tragen von Schuhwerk mit Abrollhilfe für mindestens 3 Monate postop angeraten.

Weitere Literatur

  • Johnson, K. A., Saltzman, C. L., Frisca, D. A.: Operative Foot Surgery (1994) 28–35
  • Wirth, C.J.: Orthopädie und orthopädische Chirurgie (2002) Thieme Verlag 197-202
  • Mc Bride, E. D.: Hallux valgus, Bunion Deformity: Its Treatment in Mild, Moder-ate and Severe Stages. J. Internat. Coll. Surg., 21 (1954) 99-105
  • Bennet, Q. C., Rang, M., Jones, D.: Dev Med Child Neurol 24 (1982) 499-503
  • Sabo, D.: Vorfußchirurgie Springer Verlag Berlin (2012)
  • Hefti, F.: Kinderorthopädie in der Praxis (1998) Springer Verlag Berlin 415-416
  • Côrte-Real, N., Caramelo, J.: The Foot 7 (1997) 170-173
  • Tachdijan, M. O.: Pediatric Orthopaedics (1990) 2649-2651
  • Mc Elvenny, R. T.: Quart Bull Northwestern Univ M School 15 (1941) 277-280
  • Kelikian, H., Clayton, L., Losett, H.: Clin. Orthop. 19 (1961) 208-231
  • De Valentine, S. J.: Foot and Ankle Disorders in Children (1992) 237-241
  • Janis, L. F., Donick, I. I.: The etiology of Hallux varus: a review. J. A. P. A. 65 (1975) 233-237
  • Saraiya, H.: Burus 26 (2000) 593
  • Mann, R.A.: In Wülker, N., Stephens, M.M., Cracchiolo III., A.: Operationsatlas Fuß und Sprunggelenk, 2. Auflage Thieme-Verlag (2007) 36-40
  • Hatori, M., Ito, K., Abe, Y., Kokubun, S.: The Foot 6 (1996) 145-147
Loading…
Loading the web debug toolbar…
Attempt #