Einleitung

Während über Jahrzehnte hinweg die Korrektur der Halluxdeformität meistenteils mittels einer Resektionsarthroplastik im Großzehengrundgelenk bewerkstelligt wurde, haben in den letzten Jahrzehnten differenziertere Vorgehensweisen diese letzten Endes einer inneren Amputation entsprechende Vorgehensweise abgelöst. So stehen dem Fußchirurgen mehr als 140 verschiedene OP-Techniken zur Verfügung, die je nach Ausprägungsgrad der Halluxdeformität ihren jeweiligen Indikationsbereich haben. Eine summarische Übersicht der häufigsten Techniken findet sich bei Wülker (Wülker N, 1997).

Subkapitale Osteotomietechniken am Metatarsale I, wie die auf Austin 1234  zurückgehende und sicherlich am weitesten verbreitete Chevron-Osteotomie oder die Mitchell-Osteotomie mit einem etwas breiteren Indikationsspektrum eignen sich zur Korrektur milder bis mittlerer Deformitäten 5.
Im Falle ausgeprägterer Fehlstellungen empfehlen sich diaphysäre Osteotomien, wie z.B. die Scarf-Osteotomie 6,( Patton GW, 1995) oder OP nach Ludloff (Ludloff K, 1918), sowie basisnahe Techniken, deren größtes Korrekturpotential durch die closing-wedge Osteotomie erschlossen wird, wenngleich um den Preis einer Verkürzung des ersten Metatarsale (Chapchal G, 1942). Auch Arthrodesen im TMT I Gelenk werden beschrieben, z.B. die Technik  nach Lapidus 78,(Chapchal G, 1942).  Auf die entsprechenden Beiträge, die obige Eingriffe im „medibook“ detailliert erläutern, wird in diesem Zusammenhang verwiesen.
Alle diese Eingriffe werden ergänzt durch einen distalen Weichteileingriff zur Weichteilrebalancierung einschließlich Kapselplastik im Sinne einer Cerclage fibreux am Großzehengrundgelenk.

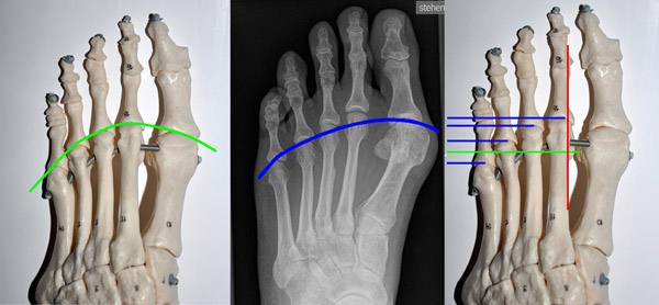
Die Indikationsstellung des geeigneten Operationsverfahrens erfolgt nach dem Schweregrad der Hallux valgus Deformität (Lehmann  DE, 2003). Diese kann anhand verschiedener Winkelparameter graduiert werden, nämlich dem Hallux valgus Winkel, dem Intermetatasale – I – Winkel sowie dem distalen Gelenkflächenwinkel, der häufig auch als PASA-Winkel bezeichnet wird (Abb. 1 – 4). Bedeutsam für die Wahl des geeigneten Vorgehens ist auch die Berücksichtigung der Kongruenzsituation der Gelenkpartner im Großzehengrundgelenk, der durch ein entsprechendes Weichteilrelease Rechung getragen werden muß. Nach der Korrektur soll ein harmonisches Vorfußalignement erreicht werden (Abb.5) (Maestro M, 1995, Ludloff  K,  1918, Pisani G, 1998).

Metatarsaleköpfchenparabel nach Maestro und Pisani
Abbildung 5

In diesem Kapitel soll auf die am weitesten verbreitete Chevron-Osteotomie, sowie auf die mit einem höheren Korrekturpotential ausgestattete Mitchell-Osteotomie, beispielhaft eingegangen werden.

Operationsindikation

Wie bereits in der Einleitung aufgeführt, kann anhand der zu bestimmenden Winkelparameter eine Differentialindikation getroffen werden. Prinzipiell sind alle subkapitalen Osteotomietechniken am Metatarsale I zur Korrektur milder bis mittlerer Deformitäten geeignet. Dies entspricht einem HV-Winkel von maximal 40°, bei der Chevron-Osteotomie eher bis 35°, sowie einem IMT – I-Winkel von maximal 15°. Für ausgeprägtere Deformitäten müssen andere Verfahren gewählt werden. Operationsziel sind Gelenkerhalt und Rekonstruktion eines harmonischen Vorfußalignements zur Wiederherstellung der biomechanischen Kompetenz des Großzehengrundgelenkes.

Operationsprinzip

Verkleinerung des beim Hallux valgus vergrößerten Hallux valgus – Winkels und Intermetatarsale – I –Winkels durch eine subkapitale nach fibular gerichtete Verschiebeosteotomie. Osteosynthese mittels (Doppelgewinde-) Schraube oder Gewindekirschnerdraht zur Erzielung primär stabiler Verhältnisse.
Ziel ist die dauerhafte Beseitigung der knöchernen Deformität unter Normalisierung des proximalen Gelenkflächenwinkels und Beseitigung begleitender weichteiliger Dysbalancen.
Wichtig ist hierbei, daß die Osteotomieebene immer proximal der Sesambeine zu liegen kommt, so daß das Metatarsale –I – Köpfchen gewissermaßen auf den Sesambeinen nach fibular verschoben werden kann. In Kombination mit einem je nach Ausprägungsgrad der lateralen Kontraktur zu dosierenden Weichteileingriff, der vom lateralen Kapselrelease bis zur Tenotomie oder Transposition der Sehne des M. adductor hallucis reichen kann, kommt es zur Rezentrierung des Sesambeine und somit auch der Sehnen der langen Zehenbeuger und –strecker. Unbedingt zu berücksichtigen ist der Eintritt der plantaren Gefäße in das Metatarsaleköpfchen am metaphysären Übergang, da bei Verletzung der Gefäße eine Köpfchennekrose resultieren kann.

Vorteile

  • Dauerhafte Korrektur des Hallux valgus durch ursächlich ansetzende lateral verschiebende Osteotomie.
  • Beseitigung der weichteiligen Dysbalance der nach lateral verlagerten Sehnenansätze durch Begradigung der
  • Schaftachse im Kombination mit einem distalen Weichteileingriff.
  • Technisch eher einfacher durchzuführender Eingriff, der im Falle einer Chevron Osteotomie durch die dreidimensionale spongiöse Schnittfläche auch eine zuverlässige knöcherne Konsolidation zeitigt.
  • Übungsstabile Osteosynthese bei Verwendung von Schrauben  oder Gewindekirschnerdrähten.
  • Materialentfernung nur im Einzelfall erforderlich.
  • auch anwendbar beim juvenilen Hallux valgus

Nachteile

  • Entlastung des betroffenen Fußes im Vorfußentlastungsschuh für vier bis sechs Wochen erforderlich.
  • Verletzung der langen Beuge- oder Strecksehne der Großzehe infolge eingeschränkter Sichtverhältnisse bei Präparation des lateralen Kapselrelease über medialen Zugang.
  • Verletzung der metaphysären plantaren metatarsalen Gefäße bei unachtsamer Präparation mit Folge der Köpfchennekrose.
  • Überkorrektur zum iatrogenen Hallux varus bei nicht primär stabiler Osteosynthese mit sekundärer Köpfchendislokation nach lateral oder zu heftiger medialer Kapselraffung.

Kontraindikationen

  • Höhergradige Arthrose im Großzehengrundgelenk
  • Schwere Hallux valgus Deformität
  • Mangelnde Patientencompliance für postoperative Entlastung
  • Trophische Störungen im Vorfußbereich
  • Florider Infekt

Patientenaufklärung

  • Übliche Operationsrisiken wie Wundheilungsstörung, postoperative Schwellungen, oberflächliche oder – selten – tiefe Infektionen, Gefäß- oder Nervenverletzung, Thrombose, Embolie.
  • Rezidiv der Hallux valgus Deformität möglich.
  • Verzögerte Knochenheilung, Pseudarthrose mit Notwendigkeit der Revision.
  • Köpfchennekrose.
  • Bewegungseinschränkung im Großzehengrundgelenk.
  • Implantatbedingte Probleme wie z. B.Weichteilirritation mit Notwendigkeit der Entfernung, Schraubenbruch oder -lockerung.
  • Folgeeingriff, auch aufgrund einer der obigen möglichen Komplikationen.
  • Teilbelastung des operierten Fußes im Verbandsschuh bis Abschluß der primären Wundheilung mit 20 – 30 kg.
  • Vorfußentlastungsschuh bis zur gesicherten knöchernen Konsolidation erforderlich, im allgemeinen Tragedauer vier – sechs Wochen.
  • Autofahren während der Tragedauer des Vorfußentlastungsschuhes nicht möglich.

Operationstechnik

Anästhesie und Lagerung

  • Larynxmaske, rückenmarknahe Anästhesie oder Regionalanästhesie (Fußblock).
  • Fußblock bei Larynxmaske i.S. der präemptiven Analgesie empfehlenswert
  • Rückenlagerung des Patienten.
  • Blutsperre oder Blutleere am Oberschenkel (nicht möglich bei alleinigem Fußblock).
  • Sterile Abdeckung des Operationsgebietes unter Einschluß der Ferse. Eventuell Abdeckung der nicht zu operierenden Zehen mit umgewendetem Operationshandschuh und/oder Tape.

Nachbehandlung

  • Wundverband mit Zügelung der Großzehe in Korrekturstellung. Röntgendokumentation des Operationsresultates in zwei Ebenen.
  • Hochlagerung des operierten Fußes in Lagerungsschiene konsequent erforderlich.
  • Mobilisation unter Bewegung der angrenzenden großen Gelenke im Vorfußentlastungsschuh ab erstem postoperativem Tag.
  • Entlastung an Unterarmgehstützen mit 20 kg Teilbelastung bis Abschluß der primären Wundheilung.
  • Bedarfsorientierte antiphlogistische und analgetische Therapie.
  • Thromboseprophylaxe mit NMH bis Ende der Teilbelastung, mindestens jedoch bis zur Sicherstellung einer Teilbelastung von 20 kg (Wadenmuskelpumpe).
  • Funktionsverband bis zum Fadenzug nach 10 – 14 Tagen, sodann Anpassung einer in Korrekturstellung zügelnden Hallux valgus Schiene.
  • Radiologische Verlaufskontrollen nach zwei und sechs Wochen. Bei knöcherner Durchbauung der Osteotomie Abnahme des Vorfußentlastungsschuhes und Tragen von Konfektionsschuhen mit flacher Sohle möglich.
  • Arbeitsfähigkeit für sitzende Tätigkeit je nach individueller Schwellneigung ab sechster Woche.
  • Abschließende klinische und radiologische Kontrolle 12 Wochen postoperativ.
  • Laufsport frühestens nach 12 Wochen. Meist keine Entfernung des Osteosynthesemateriales erforderlich.
Datum der Veröffentlichung: 18.03.2014

Bildnachweis

  • Teaserbild: Heino Arnold
  • Abbildung 1: Heino Arnold
  • Abbildung 2: Heino Arnold
  • Abbildung 3: Heino Arnold
  • Abbildung 4: Heino Arnold
  • Abbildung 5: Markus Walther
  • Abbildung 6: Heino Arnold
  • Abbildung 7: Heino Arnold
  • Abbildung 8a: Heino Arnold
  • Abbildung 8b: Heino Arnold
  • Abbildung 9: Heino Arnold
  • Abbildung 10: Heino Arnold
  • Abbildung 11: Heino Arnold
  • Abbildung 12: Heino Arnold
  • Abbildung 13: Heino Arnold

Weitere Literatur

  • Chapchal G (1942) Zur operativen Behandlung des Hallux valgus. Z Orthop Chir 73: 47-60
  • Lapidus PW (1934) Operative correction of metatarsus varus primus in hallux valgus. Surg Gynecol Obstet 58: 183-191
  • Lehmann D E (2003) Salvage of complications of hallux valgus surgery. Foot Ankle Clin N Am 8: 15-35
  • Ludloff K (1918) Die Beseitigung des Hallux valgus durch die schräge plantar-dorsale Osteotomie des Metatarsus. Arch Klin Chir 110: 364-387
  • Maestro M, Augoyard M, Barouk LS, Beni-chou M, Peyrot J, Ragusa M, Valtin B (1995) Biomécaniques et repères radiologiques du sesamoide latéral de l’hallux par rapport à la palette métatarsienne. Méd. Chir. Pied. Expansion Scientifique Française 11:3: 145 – 54
  • Patton GW, Zelichowski JE (1994) Middiaphyseal osteotomies. In: Hetherington VJ (Hrsg.) Hallux valgus and Forefoot Surgery. Churchill Livingstone, New York, S. 215-225
  • Pisani G. (1998) Fußchirurgie, deutsche Ausgabe Küster H-H, Thomas W (Hgg.) Georg Thieme Verlag Stuttgart New York
  • Wülker N (1997) Hallux valgus – Hallux rigidus. Ferdinand Enke Verlag Stuttgart
Loading…
Loading the web debug toolbar…
Attempt #