Kurzzusammenfassung
Die Minimalinvasive Fußchirurgie (MIS) hat in den letzten Jahren immer mehr an Bedeutung gewonnen und ersetzt nicht selten offene chirurgische Verfahren wie im Fall der Calcaneusverschiebeosteotomie.
Unser Team korrigiert seit 2016 mit minimalinvasiven fußchirurgischen Techniken einfache sowie komplexe Fußdeformitäten von Kindern und Jugendlichen unterschiedlicher Genese. Eine zusätzliche Option ist die Kombination offener mit minimalinvasiven Verfahren. Dies kommt bei sehr komplexen Fußfehlstellungen wie zum Beispiel beim Ballen-Hohl-Fuß und beim Klumpfuß zur Anwendung.
Generelle Einschätzung
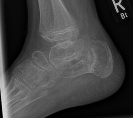
Welche minimalinvasiven fußchirurgischen Techniken in der Versorgung von Kinder- und Jugendfüßen geeignet und welche Indikationen sinnvoll sind, ist im Vergleich zu ausgewachsenen Füßen leicht abweichend. Hauptursache hierfür sind die Wachstumsfugen (Abb. 1).
Abb.1 a-b: Beispiel einer noch offenen Wachstumsfuge im dorsalen Bereich des Calcaneus: (a) Alter 6 und (b) Alter 9 Jahre.
Zum Lesen der Bildbeschreibung und zur Vollansicht bitte die Bilder anklicken. Bilder: A. Helmers.
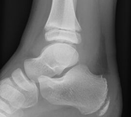
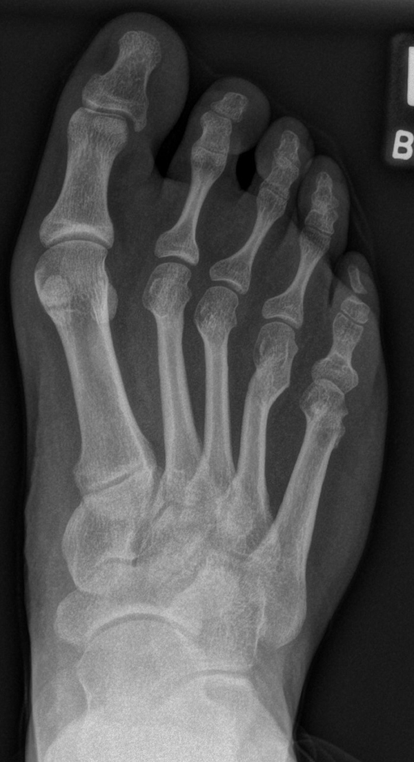
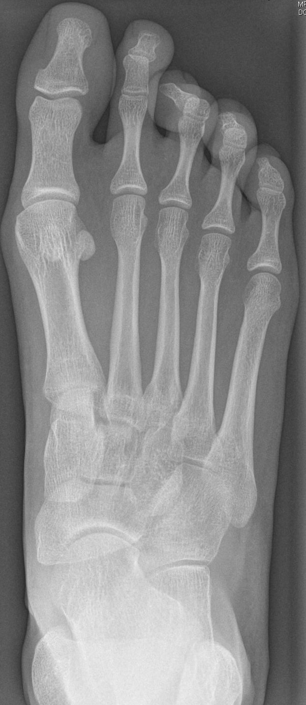
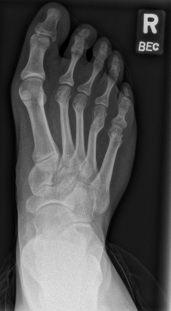
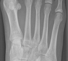
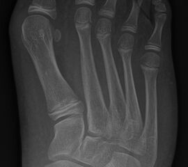
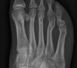
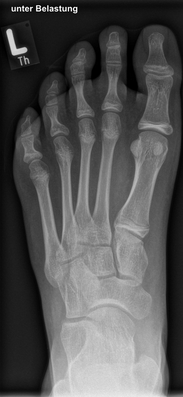
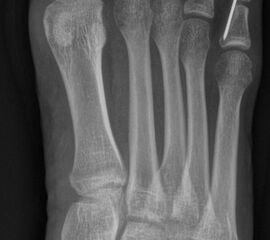
In der Regel bestehen aktive Wachstumsfugen bei Mädchen bis zum 12. und bei Jungen bis zum 14. Lebensjahr, mit Abweichungen von einem Jahr nach unten und nach oben. Präzise Informationen unter anderem darüber gibt das präoperative Röntgenbild (Abb. 2).
Abb. 2 a-c: offene Wachstumsfugen MT I Basis und Zehen (a), teilweise geöffnete Wachstumsfugen (b) und geschlossene Wachstumsfugen (c).
Zum Lesen der Bildbeschreibung und zur Vollansicht bitte die Bilder anklicken. Bilder: A. Helmers.
Die erforderlichen Osteotomien sind daher dem Fugenverlauf anzupassen, diese sind unbedingt zu respektieren. Wird eine Wachstumsfuge versehentlich mit der Fräse verletzt, kann durch partiellen oder kompletten Fugenverschluss ein Fehlwachstum provoziert werden. Achsabweichungen oder ein Wachstumstopp der betroffenen Region können die Folge sein. Offene Wachstumsfugen begrenzen die Osteotomieausrichtung besonders im Bereich des dorsalen Calcaneus, der Metatarsale I Basis und der IV. oder V. Zehe im End- und Mittelglied.
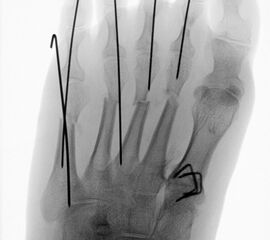
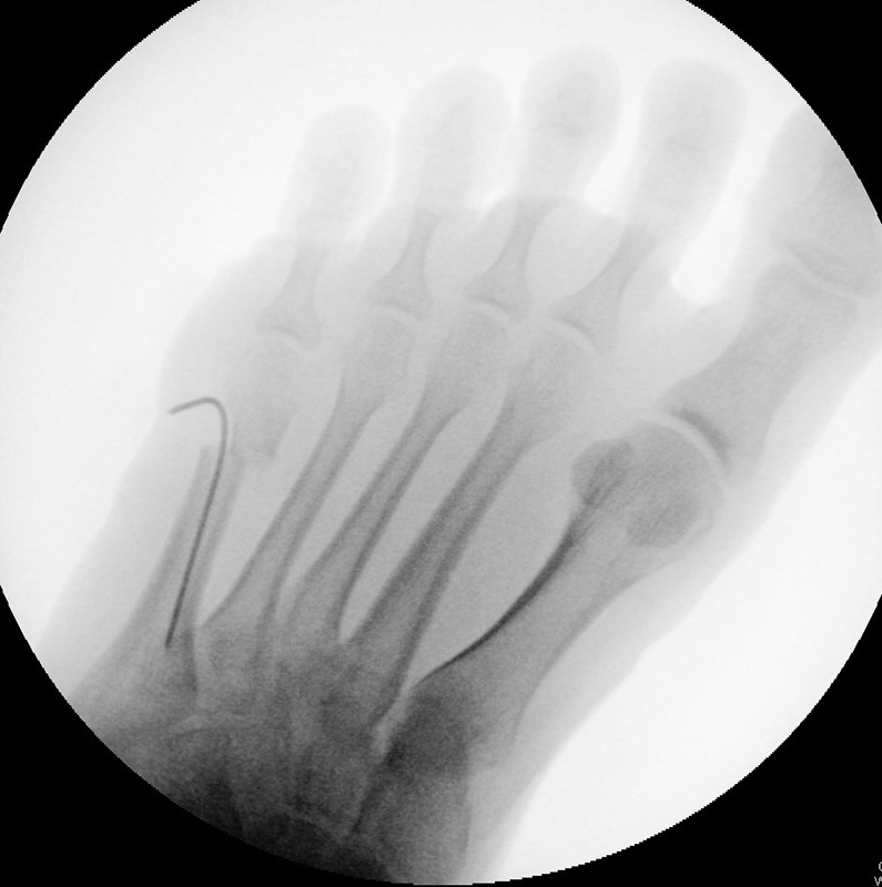
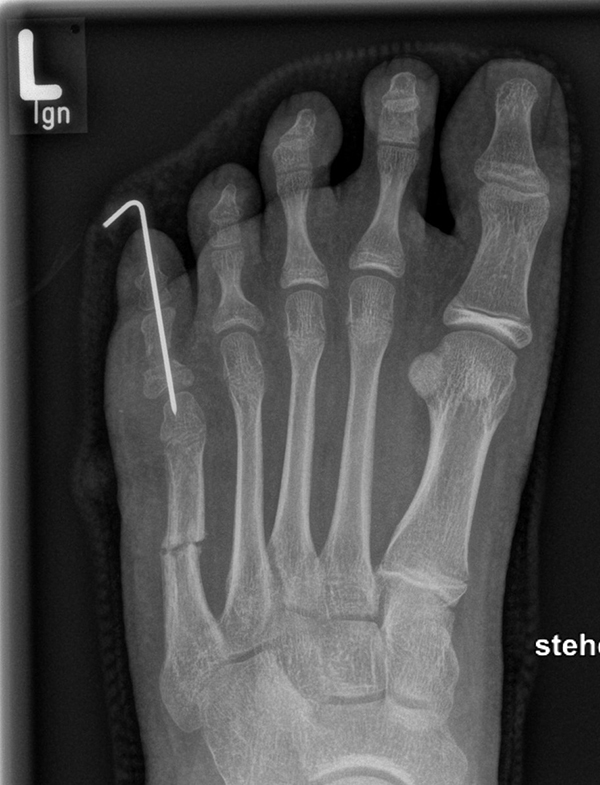
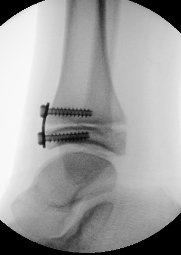
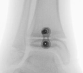
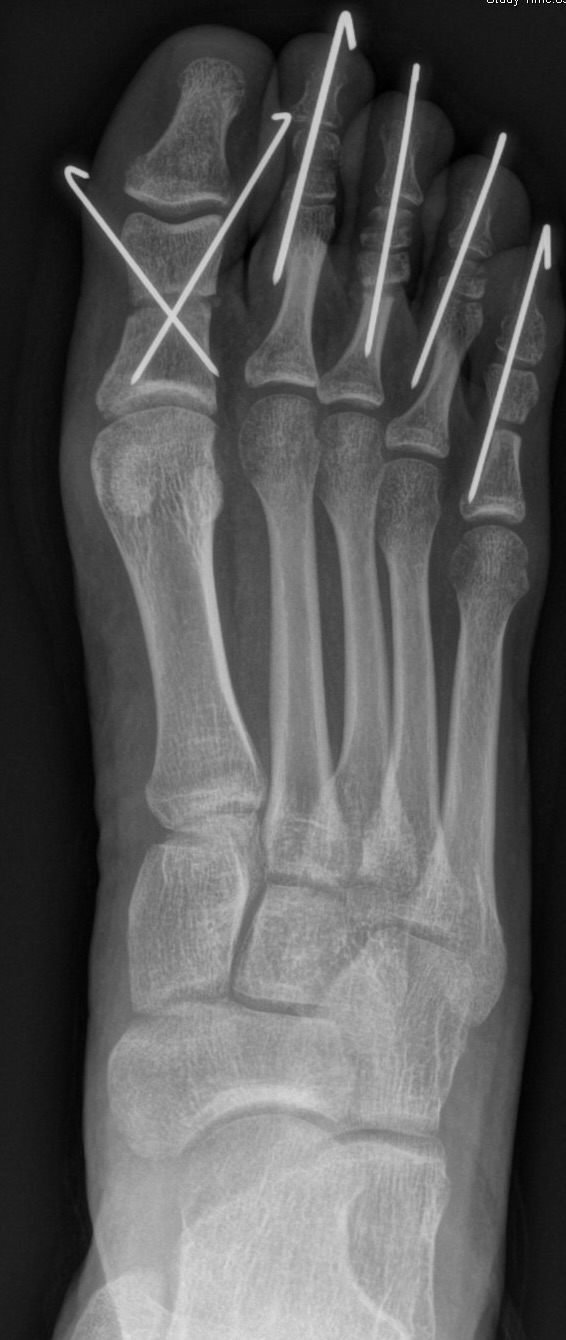
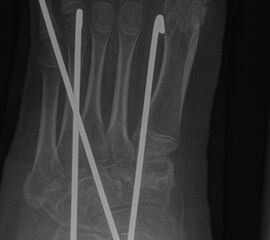
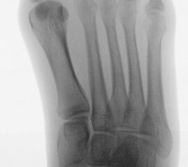
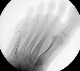
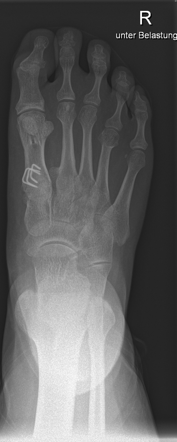
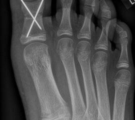
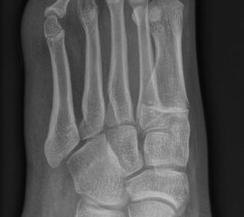
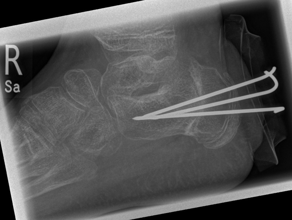
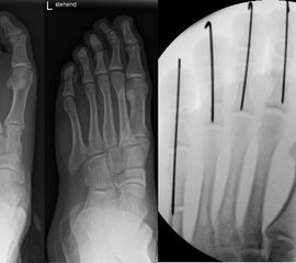
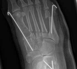
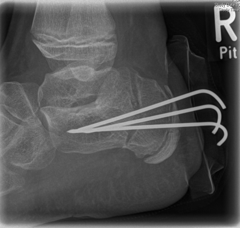
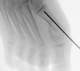
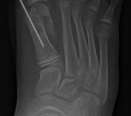
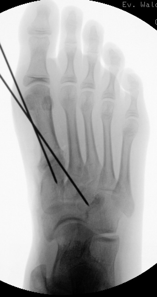
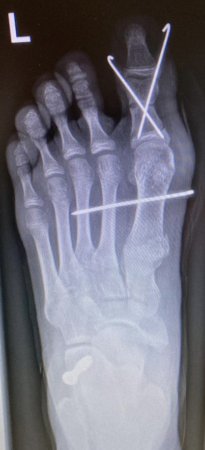
Zusätzlich schränken Wachstumsfugen die Wahl der Osteosynthese ein. Eine die Fuge kreuzende Osteosynthese ist ausschließlich mit Kirschner-Drähten möglich (Abb. 3).
Abb. 3 a-j: Beispiel einer Calcaneusverschiebeosteotomie mit offenen Wachstumsfugen und der entsprechenden Osteosynthese mit Kirschner Drähten. Lokalisation der Osteotomie (a), Lage der Fräse (b-d), Drahtlage mehrere Ansichten (e-h), Heilung der Osteotomie 4 Wochen postoperativ und Entfernung der Drähte (i-j).
Zum Lesen der Bildbeschreibung und zur Vollansicht bitte die Bilder anklicken. Bilder: A. Helmers.
Als günstig erweist sich hier bei den minimalinvasiven fußchirurgischen Techniken die häufig durchgeführte Osteosynthese durch externe Tapezügel (Abb. 4).
Abb. 4 a-c: Beispiel einer minimalinvasiven Kleinzehenkorrektur und Fixation mit Tapezügeln (a-b) oder kombiniert mit Drähten und Tape (c).
Zum Lesen der Bildbeschreibung und zur Vollansicht bitte die Bilder anklicken. Bilder: A. Helmers.
Bei den von uns minimalinvasiv versorgten Patienten haben wir trotz der ausschließlichen Osteosynthese mit Kirschner-Drähten oder durch Tapezügelung keine Pseudarthrose beobachtet. Lediglich eine verzögerte Knochenheilung trat nach einer DMMO bei einem Ballen-Hohl-Fuß auf (Abb.5).
Abb. 5 a-d: Verzögerte Knochenheilung nach einer DMMO Metatarsale II-IV bei einem Ballen-Hohl-Fuß (HMSN - Hereditäre Motorisch-Sensible Neuropathie/Charcot-Marie-Tooth); Heilungsverzögerung Metatarsale III: frische Osteotomie (a), Frage der Pseudarthrose sechs Monaten postoperativ (b), Verlauf nach acht Monaten ohne chirurgische Intervention (c); 10 Monaten postoperativ komplette Konsolidierung ohne jede weitere Therapie (d).
Zum Lesen der Bildbeschreibung und zur Vollansicht bitte die Bilder anklicken. Bilder: A. Helmers.
Die geringe Notwendigkeit von Osteosynthesematerial bei den minimalinvasiven fußchirurgischen Techniken stellt am kindlichen und jugendlichen Fuß daher einen deutlichen Vorteil gegenüber den offenen Verfahren dar.
Welche minimalinvasiven fußchirurgischen Eingriffe kommen beim kindlichen oder jugendlichen Fuß in Frage?
Als Referenz hierfür ist die Studie einer mexikanischen Arbeitsgruppe heranzuziehen 1. Die Kohorte bestand aus Patienten im Alter von 8-17 Jahren mit insgesamt 15 weiblichen und 3 männlichen Füßen. Folgende Erkrankungen wurden minimalinvasiv therapiert: Hallux valgus, Exostosen, Hammerzehen sowie sub- und superduktische Zehen. Die Kollegen beschreiben eine geringere Traumatisierung der Weichteile durch die minimalinvasive Fußchirurgie (MIS). Insgesamt wird sie als exzellente Möglichkeit in der Therapie der oben genannten Erkrankungen am kindlichen Fuß angesehen.
Indikationen
Indikationen für die MIS am Kinderfuß:
- Hallux valgus
- Hallux interphalangeus
- Schneiderballen
- Digitus super- und/oder subductus sowie Rotationsfehlstellungen
- Kirner Deformität
- Calcaneusfehlstellungen
- Hohlfußdeformitäten
- Sichelfuß/Pes Adduktus
- Pes planovalgus erworben durch neurologische Grunderkrankungen
- Metatarsalgien beim Kind durch Brachymetatarsien
- Morbus Köhler II
- Klumpfuß: Rezidiv oder postoperative Überkorrektur
- Exostosen
- Osteophyten degenerativ oder postoperativ
- Metatarsus primus varus
Eingriffe
Wir führen folgende Eingriffe erfolgreich in minimalinvasiver Technik am Kinder- und Jugendfuß durch:
- Chevron-Osteotomie (französische Methode)
- Akin-Osteotomie
- Calcaneus-Osteotomie in allen Ebenen
- Kleinzehenkorrektur mit kompletter oder keilförmiger Osteotomie
- DMMO und DMDO (Distale Minimalinvasive Metatarsale Osteotomie/ Distale Minimalinvasive Diaphysäre Osteotomie)
- MT I-IV Basis-Extensions-Osteotomien (Methode nach Gebhard Suger)
- MTII-IV Schaft- und Subcapital-Osteotomien
- MT I closed wedge Osteotomie lateral (großer IM Winkel und Überlänge MT I)
- MT V Schaftosteotomie oder subcapitale Osteotomie
- Osteophytenabtragung
Folgende minimalinvasive Techniken in der Behandlung von kindlichen oder jugendlichen Fußdeformitäten haben sich bereits vor der Verbreitung der „MIS“ etabliert:
Gipstherapie nach Ponseti mit anschließender percutaner Tenotomie
In Deutschland wird bei der Korrektur des Pes equinovarus congenitus seit ca. 20 Jahren das bis dahin verwendete ausgedehnte peritalare release über den Cincinnati approach durch die hocheffiziente Gipstherapie nach Ponseti mit anschließender percutaner Tenotomie ersetzt (Abb. 6). Die Narbe der Tenotomie ist wenige Millimeter klein und später kaum zu sehen.
Abb. 6 a-h: Kongenitaler Klumpfuß (a), Gips-Serie nach der Ponseti-Methode (b), Originalgipsanlagen nach der Ponseti-Methode (c-e), anschließende minimalinvasive Tenotomie (f-g) sowie letzte Gipsanlage in maximaler Abduktion und Dorsdalextension (h).
Zum Lesen der Bildbeschreibung und zur Vollansicht bitte die Bilder anklicken. Bilder: A. Helmers.
Knick-Senk-Platt-Fuß Korrektur mit dem Canalis Tarsi Spacer
In der Korrektur des schmerzhaften, aber flexiblen Knick-Senk-Fußes oder Plattfußes ist die Schraubenarthrorise mit einem Sinus tarsi oder besser bezeichnet als Canalis tarsi Spacer und alternativ mit einer Calcaneus-Stopp-Schraube seit vielen Jahren ein etabliertes Verfahren und führt zu einer kompletten Korrektur von flexiblen Knick- und Plattfuß-Fehlstellungen (Abb. 7). Die nötige Schnittlänge über dem Sinus tarsi beträgt für beide Verfahren 1 cm.
Abb. 7 a-e: Knick-Senk-Fuß prä- und postoperative Situation (a-b), ventrale und dorsale Ansicht (c-d). Laterale Ansicht des Hautschnittes über dem Sinus tarsi (e).
Zum Lesen der Bildbeschreibung und zur Vollansicht bitte die Bilder anklicken. Bilder: A. Helmers.
Wachstumslenkung mit moderner Klammer oder eight plate
Bei offenen Wachstumsfugen kann über eine Steuerung des Wachstums mit einer Klammer (Blount-Klammer/Flex Tack) oder kleinen Plättchen (Eight Plate) eine Korrektur von Achsabweichungen in der sagittalen und coronaren Ebene erreicht werden (Abb. 8). Der Hautschnitt beträgt ca. 1,5 - 2 cm und die so versorgten Kinder können ihre Extremität direkt postoperativ schmerzadaptiert voll belasten. Die wachstumslenkende Operation mit einer Klammer oder einem Plättchen besitzt ein enormes Korrekturpotential und erspart dem Kind oder Jugendlichen umfangreiche Umstellungsosteotomien und Plattenosteosynthesen, welche eine Schnittlänge von 15 cm und eine Entlastung des operierten Beines von 4-6 Wochen erforderlich machen.
Abb. 8 a-g: Genua vara prä- und postoperativ versorgt mit Flex Tacks (a-b) und ein Genu valgum versorgt mit Eight Plate an der medialen Femurkondyle (c); Spitzfuß bei congenitalem Klumpfuß und einem Flat Top Talus mit präoperativem Röntgenbild seitlich und der deutlich nach dorsal stehender Tibia(d); intraoperative Bilder der Epiphysiodese mittels Eight Plate zur Wachstumslenkung der distalen Tibia in die Extension (e-f) und postoperativer Verlauf nach sechs Monaten mit regelrecht stehender Tibia über dem Talus durch die distale Extension (g).
Zum Lesen der Bildbeschreibung und zur Vollansicht bitte die Bilder anklicken. Bilder: A. Helmers.
Daher ist es nur folgerichtig, die minimalinvasiven fußchirurgischen Techniken (MIS) auch Kindern und Jugendlichen zur Verfügung zu stellen. Einschränkungen in der Anwendung minimalinvasiver fußchirurgischer Techniken werden im Folgenden dargestellt.
Kontraindikationen
=> Kleinkindalter mit knorpeligen Knochenanlagen
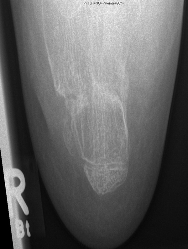
Minimalinvasive Techniken in der Fußchirurgie werden mit unterschiedlichen Fräsen in unterschiedlichen Größen, angepasst an das Knochenformat, durchgeführt. Kindliche Knochen ossifizieren erst mit zunehmendem Wachstum. Im Alter von sieben Jahren verknöchert zuletzt das Os navikulare. Knorpelige Anlagen können nicht mit einer Fräse osteotomiert werden (Abb. 9). Daher sollte die minimalinvasive Fußchirurgie (MIS) ca. ab dem 8. Lebensjahr durchgeführt werden.
Abb. 9: Röntgenbild mit noch ausgeprägten Knorpelanlagen mit geringer Verknöcherung.
Zum Lesen der Bildbeschreibung und zur Vollansicht bitte das Bild anklicken. Bild: A. Helmers.
=> Zehendeformitäten aufgrund neurologischer Dysbalance
In der Kinder- und Jugendorthopädie werden viele Patienten mit neurologischer Grunderkrankung medizinisch versorgt. Hier kann eine isolierte Osteotomie ohne zusätzliche Sehnenbalancierung ein Rezidiv fördern. Daher sollten bei Patienten mit neurologischen Grunderkrankungen die minimalinvasive Fußchirurgie (MIS) nicht isoliert, sondern mit Sehnenchirurgie kombiniert angewandt werden (Abb. 10).
Abb. 10: Beispiel für eine minimalinvasive Zehenkorrektur mit gleichzeitigem Beugesehnentransfer nach Girdlestone-Taylor.
Zum Lesen der Bildbeschreibung und zur Vollansicht bitte das Bild anklicken. Bilder: A. Helmers.
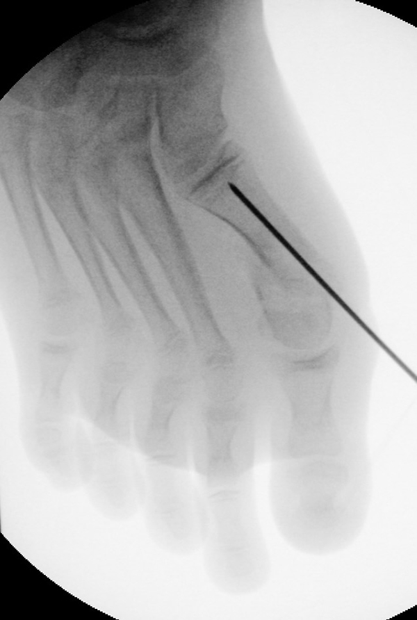
=> Risikoabwägung der radiologisch leicht erhöhten Strahlenbelastung intraoperativ
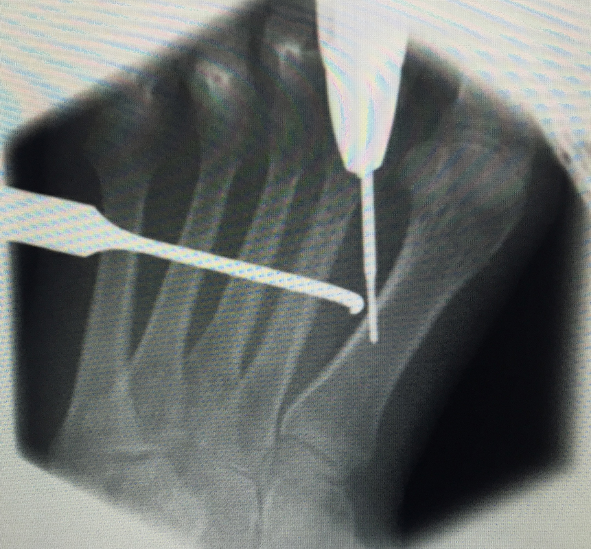
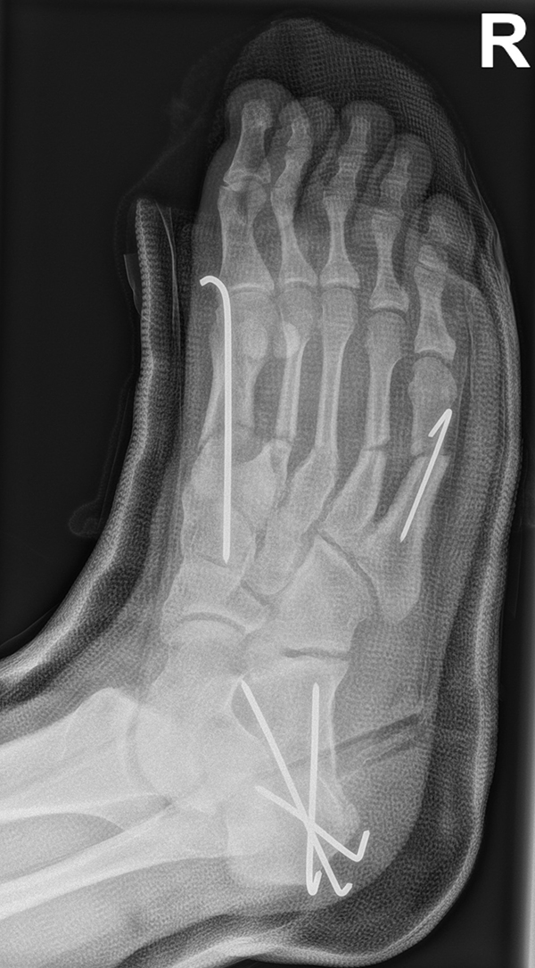
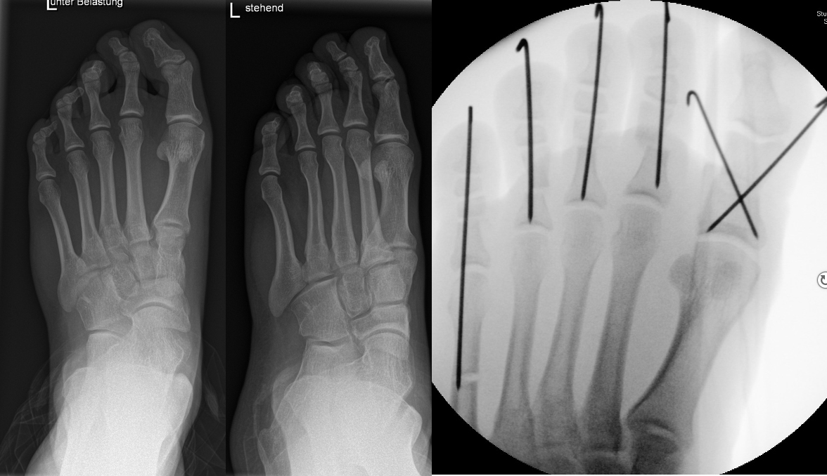
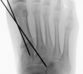
In der minimalinvasiven Fußchirurgie ist es unabdingbar, die Fräse in ihrer Position zum Knochen radiologisch zu kontrollieren, damit vulnerable Wachstumsfugen oder angrenzende Gelenke nicht verletzt werden. Zu diesem Zweck werden mit einem Bildwandler während der Operation die genaue Position der Fräse und der Osteotomieverlauf überprüft, was die Strahlenbelastung im Vergleich zu offenen Verfahren erhöht. Diese Strahlenbelastung hat potenziell einen schädigenden Einfluss auf den noch blutbildenden Knochen von Heranwachsenden. Gesicherte Landmarken am Fuß können die notwendige Zahl der Röntgenbilder und damit die Strahlung minimieren. Ist es erforderlich, mehrere Knochen zu osteotomieren, wie zum Beispiel im Bereich der Kleinzehen, werden anhand der Landmarken kleine Injektionsnadeln auf Höhe der geplanten Osteotomien vorgelegt und radiologisch im Bildwandler (BV) dokumentiert (Abb. 11). Ein solches Bild schafft eine gute Orientierung, sodass auf radiologische Kontrollen intraoperativ weitestgehend verzichtet werden kann.
Abb. 11: Lokalisation mehrerer Stichinzisionen mit einem Röntgenbild.
Zum Lesen der Bildbeschreibung und zur Vollansicht bitte das Bild anklicken. Bild: A. Helmers.
=> Osteosynthese aufgrund offener Fugen eingeschränkt
Wachstumsfugen können, wie bereits oben in der generellen Einschätzung des Verfahrens für Kinder und Jugendliche erwähnt, durch direkte Manipulation mit einer Fräse oder indirekt thermisch geschädigt werden. Eine Osteosynthese, die offene Wachstumsfugen kreuzt, ist ausschließlich mit Kirschner-Drähten oder alternativ durch externe Tapezügel möglich. Implantierte Kirschner-Drähte können ohne eine weitere Narkose im Rahmen der Sprechstunde bei verheilter Osteotomie gezogen werden. Die Anwendung von externen Tapezügeln zur Stabilisierung von minimalinvasiven Osteotomien kann bei Kindern ohne Einschränkung durchgeführt werden (siehe Abb. 4 und Abb. 12). Bei sehr jungen Kindern sollten die Tapezügel allerdings nicht zu häufig gewechselt werden, da jeder Verbands- und Tapewechsel Stress für sie bedeutet.
Abb. 12 a-b: Tapezügelfixation nach minimalinvasiver Zehenkorrektur (a) und Röntgenbild nach minimalinvasiver Zehenkorrektur mit kompletten Osteotomien und anschließender Drahtfixation (b).
Zum Lesen der Bildbeschreibung und zur Vollansicht bitte die Bilder anklicken. Bilder: A. Helmers.
OP-Techniken
Im Folgenden werden die von uns angewendeten minimalinvasiven fußchirurgischen Techniken (MIS) zur Behandlung kindlicher und jugendlicher Fußdeformitäten anhand von Fallbeispielen genauer erläutert (Abb. 13).
Abb. 13 a-c: Fräse und Hautschnitt für mehrere Osteotomien (a), Fräsenposition radiologisch (b) und Fräsenposition maximal tief (c).
Zum Lesen der Bildbeschreibung und zur Vollansicht bitte die Bilder anklicken. Bilder: A. Helmers.
Folgende Indikationen sind mit gutem Erfolg minimalinvasiv umsetzbar:
Akin-Osteotomie
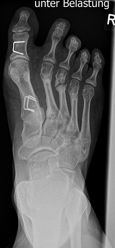
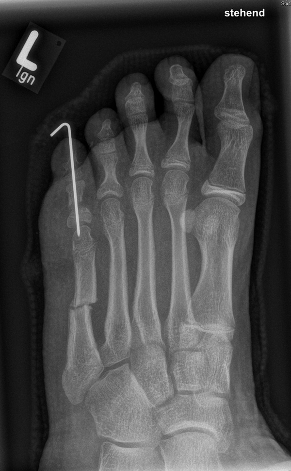
Diese Osteotomie ist hervorragend für Kinder und Jugendliche in minimalinvasiver Technik geeignet. Primäre Indikation ist der Hallux valgus interphalangeus. Darüber hinaus ist die Akin-Osteotomie ein hilfreicher Zusatzeingriff. Die Wachstumsfuge an der Basis des Grundgliedes wird radiologisch gesichert und geschont. Die Osteotomie kann inkomplett oder komplett erfolgen, je nachdem ob eine Achskorrektur und/oder eine Derotation erforderlich sind. Ein Beispiel für eine Varisation mit gleichzeitiger Derotation ist der symptomatische Knick-Senk-Fuß mit einem hyperpronierten Großzehenendglied kombiniert mit einem Hallux valgus interphalangeus. Die Hyperpronation ist oft ausgeprägt und Ursache für eine medioplantare harte Schwielenbildung. Im Anschluss an eine Arthrorise zur Plattfußkorrektur kann mithilfe der minimalinvasiven Akin-Osteotomie der Großzeh entsprechend varisiert und bei kompletter Osteotomie zusätzlich derotiert werden. Eine komplette Osteotomie wird mit gekreuzten Drähten stabilisiert. Bei einer inkompletten Osteotomie ist die externe Zügelung mit einem Tape ausreichend (Abb. 14).
Abb. 14 a-g: Akin-Osteotomie kombiniert mit einer open wedge Osteotomie MT I sowie einer Schraubenarthrorise (a-b) und kombinierter Akin mit einer Mittelfußosteotomie (c), beidseitige isolierte Akin-Osteotomie und Fixation bei kompletter Osteotomie mit Kirschner Drähten(d-g).
Zum Lesen der Bildbeschreibung und zur Vollansicht bitte die Bilder anklicken. Bilder: A. Helmers.
Im Rahmen der open wedge Osteotomie an der Metatarsale I Basis zur Korrektur des Metatarsus primus varus (offene Wachstumsfugen) oder einer Lapidusarthrodese bei TMT-Instabilität (geschlossene Wachstumsfugen), ist die Akin-Osteotomie ein sinnvoller Kombinationseingriff.
Gleiches gilt im Fall von residualen oder überkorrigierten Klumpfüßen. Die primären Korrekturen stehen dabei im Vordergrund. Die Patientenzufriedenheit steigt jedoch, wenn anschließend auch die Zehen orthograd stehen. Hier müssen Kinder und Jugendliche in ihren Ansprüchen an eine operative Fußkorrektur ernst genommen und nicht ausschließlich funktionelle, sondern auch kosmetische Korrekturen mit einbezogen werden. Da sich Zehenkorrekturen minimalinvasiv im Anschluss an die wesentlichen Korrekturen schnell und einfach umsetzen lassen, kommen sie nahezu bei jeder größeren Mittel- und Rückfußkorrektur zum Einsatz.
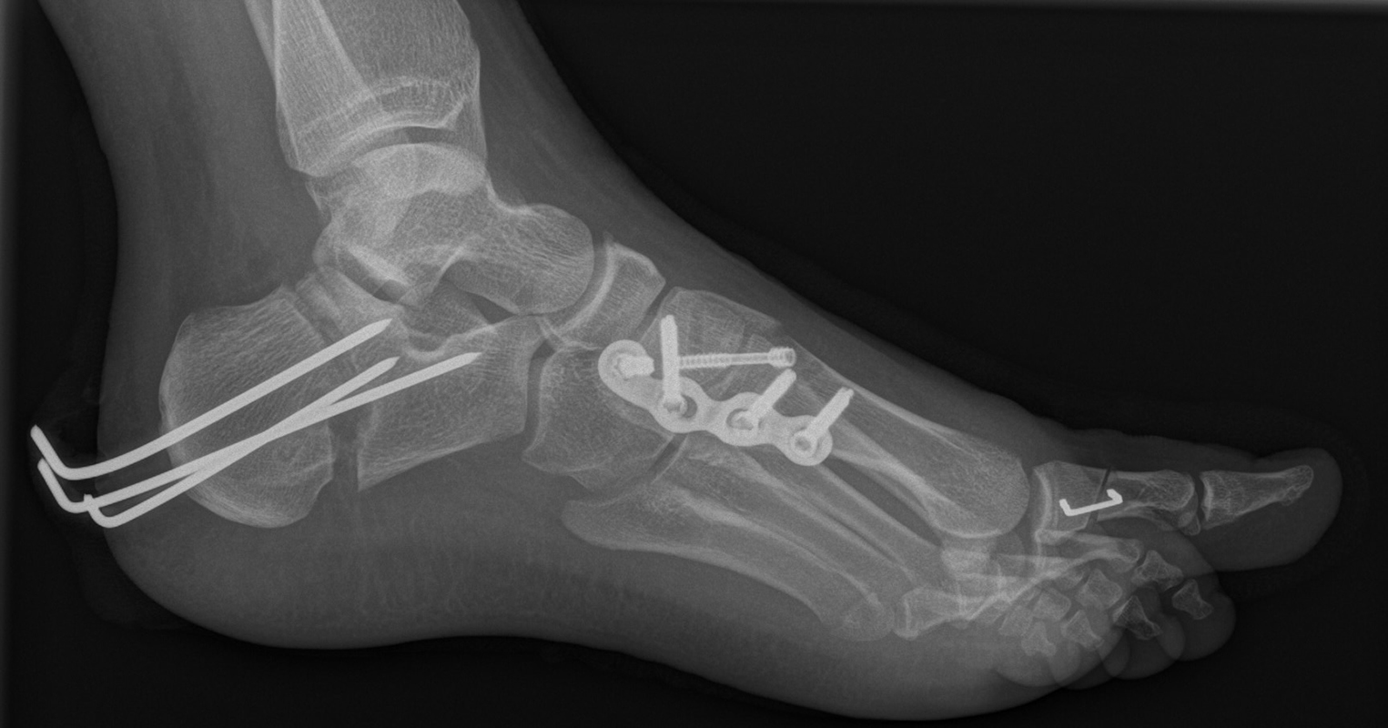
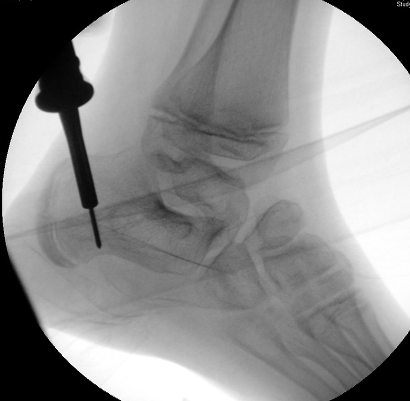
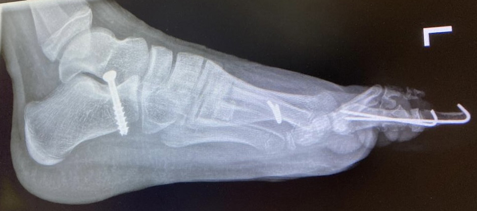
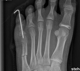
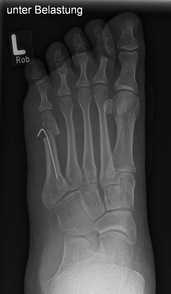
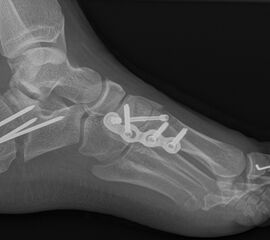
Calcaneus-Osteotomie
Die minimalinvasive Calcaneusverschiebeosteotomie bietet eindeutige Vorteile gegenüber dem offenen Verfahren, sodass wir bei Kindern und Jugendlichen nahezu keine offene Verschiebeosteotomie mehr durchführen. Am Calcaneus liegt die offene Wachstumsfuge dorsal. Bei der Durchführung müssen Schenkel der V-förmigen Osteotomie daher etwas steiler angelegt werden, in einem stumpfen Winkel (siehe Abb. 3 a-j). Für die Osteotomie liegen unsere Patienten auf dem Rücken und der BV wird für die exakte Seitaufnahme eingestellt. Der Fuß lagert auf einem hohen OP-Kissen und die Osteotomie kann bequem mit einem langen Kirschner-Draht und einem sterilen Stift angezeichnet werden (Abb. 15).
Abb. 15 a-b: Lagerung für die Calcaneus-Osteotomie minimalinvasiv.
Zum Lesen der Bildbeschreibung und zur Vollansicht bitte die Bilder anklicken. Bilder: A. Helmers.
Damit lässt sich im Verlauf Röntgenstrahlung für die jungen Patienten vermeiden und die minimalinvasive Osteotomie kann sicher durchgeführt werden. Anschließend erfolgt die Verschiebung oder Impaktion. Ist ein Gleiten nach plantar oder cranial des distalen Fragmentes erwünscht, wird die Osteotomie schräg ohne V-Form entweder verlängernd oder verkürzend durchgeführt (Abb. 16).
Durch den knöchernen Defekt der Fräse gelingt die Verschiebung bei der minimalinvasiven Osteotomie im Fall von strukturell festen Klumpfüßen mit starkem Zug der verkürzten Achillessehne oder bei einer fixierenden spastischen Grunderkrankung einfacher gegenüber dem offen Verfahren. Ein weiteres Plus bei hyperaktiven Weichteilen ist die Vermeidung der ungewollten Cranialisierung des dorsalen Fragmentes durch die V-förmige Osteotomie (Abb. 16).
Die minimalinvasive Calcaneusverschiebeosoteotomie kommt somit in der Versorgung von kindlichen und jugendlichen Fußdeformitäten in einem weiten Erkrankungsspektrum zum Einsatz (Abb. 16):
- Plattfuß – Varisation
- Klumpfuß residual – Valgisation und ggfs. Cranialisation sowie Impaktion
- Klumpfuß überkorrigiert – Varisation und ggfs. Plantarisierung
- Hohlfuß – Cranialisation und ggf. Valgisation (alternativ minimalinvasive Austin-Osteotomie)
Abb. 16 a-f: Varisation einer valgischen Calcaneusstellung bei Knick-Senk-Fuß mit V-förmiger Osteotomie axiale Ansicht (a), seitliche Ansicht (b), d. p. Ansicht (c) und nach Entfernung der Drähte seitliche Ansicht (d), Caudalisierung des dorsalen Calcaneus bei iatrogenem Plattfuß nach Klumpfußüberkorrektur (e) und Cranialisierung beim Hohlfuß (f).
Zum Lesen der Bildbeschreibung und zur Vollansicht bitte die Bilder anklicken. Bilder: A. Helmers.
DMMO/DMDO (Distale Minimalinvasive Metatarsale Osteotomie/Distale Minimalinvasive Diaphysäre Osteotomie)
Die Indikation für eine DMMO oder DMDO (Distale Minimalinvasive Metatarsale Osteotomie/Distale Minimalinvasive Diaphysäre Osteotomie) beim Kind mit wachsendem Skelett ist nicht die klassische Metatarsalgie des Erwachsenen. In der Kinderorthopädie kann eine gute Indikation für die DMMO oder für eine DMDO der Ballen-Hohl-Fuß mit Metatarsalgie sein. Wird z. B. bei einer frühen Hohlfußkorrektur das Metatarsale I für eine bessere Rückfußeinstellung extendiert und zur Aufhebung der Extensorensubstitution die Sehne des M. tibialis posterior transferiert, kann sich im Verlauf eine Dysbalance der Metatarsalia entwickeln und eine Metatarsalgie unter II-IV auftreten. Mit einer DMDO werden die Köpfchen II-IV effektiv angehoben und die Beschwerden gebessert (Abb. 17 und 18).
Abb. 17 a-d: Hereditäre Senso-Motorische Neuropathie (HSMN) Hohlfußkorrektur in der frühen Versorgung mittels Metatarsale I Extensionsosteotomie und einem M. tibialis posterior Transfer hälftig auf das Os cuneiforme III und die andere Hälfte eingenäht in den M. tibialis anterior (Steigbügelfunktion) (a-b); intraoperative Bilder nach DMMO rechts kombiniert mit einer Akin-Osteotomie Metatarsale II-III + DMDO MT V und links II-I + DMDO MT V (c-d).
Zum Lesen der Bildbeschreibung und zur Vollansicht bitte die Bilder anklicken. Bilder: A. Helmers.
Die Patienten sollten anschließend sofort voll belasten, damit sich die Köpfchen optimal einstellen. Will man eine Lateralisierung vermeiden, kann die Fräse nach lateral leicht angehoben nach dorsal gezogen werden. Die dabei entstehende knöcherne Kante verhindert ein Abweichen der Metatarsaleköpfchen nach lateral.
Eine weitere Indikation ergibt sich durch eine isolierte Verkürzung einer überlangen Zehe mit entsprechenden Beschwerden im Schuh wie Druck an der Zehenkuppe oder dem Nagelbett. Die DMMO in Kombination mit verkürzenden Osteotomien des Grundglieds und ggfs. zusätzlich des Mittelglieds der betroffenen Zehe schafft ausgeglichene Verhältnisse gegenüber den weiteren Zehen sowie eine Druckentlastung. Die Einhaltung des sogenannten Metatarsale-Index muss hier selbstverständlich beachtet werden. Für den Erfolg ist es zuträglich, wenn die Kinder zügig voll belasten, damit sich die Köpfchenposition optimal einstellt.
Abb. 18 a-b: Beispiel einer DMDO beim Hohlfuß d.p. (dorso-plantare) Ansicht (a) und schräge Ansicht (b).
Zum Lesen der Bildbeschreibung und zur Vollansicht bitte die Bilder anklicken. Bilder: A. Helmers.
Die Indikation für eine inkomplette DMMO von dorsal Richtung plantar ist der Morbus Köhler II. Hier erfolgt eine dorsal extendierende retrokapitale Osteotomie mit verbleibender plantarer Kortikalis. Ein 1.4 oder 1.6 mm Kirschner-Draht wird in den Schaft von plantar eingeführt und das Köpfchen anschließend über einen Draht in eine verbesserte Gelenkkongruenz gedrückt und darüber gleichzeitig fixiert (Abb. 19).
Abb. 19 a-b: präoperative Diagnostik bei M. Köhler II (a) und postoperativer Verlauf nach minimaler Osteotomie und Köpfchenanhebung mit einem Draht (b).
Zum Lesen der Bildbeschreibung und zur Vollansicht bitte die Bilder anklicken. Bilder: A. Helmers.
Zehenfehlstellungen
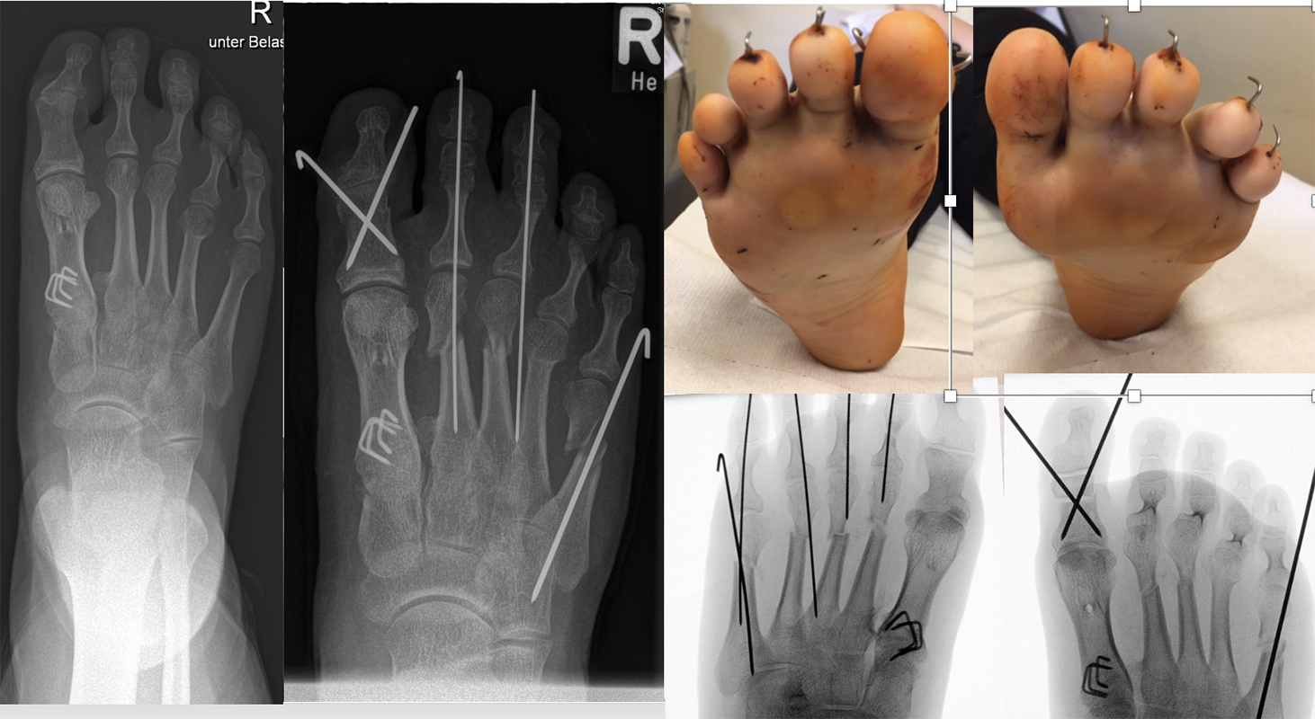
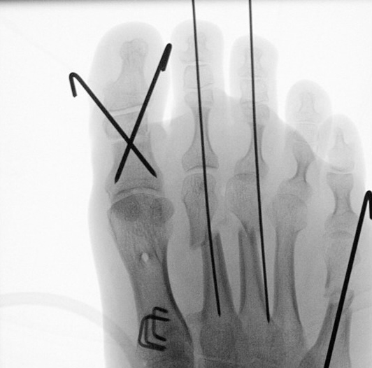
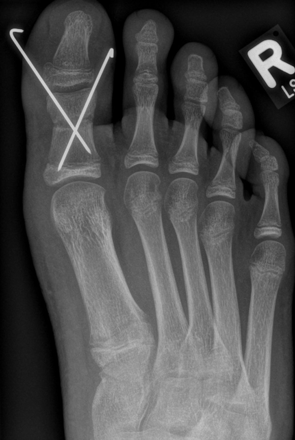
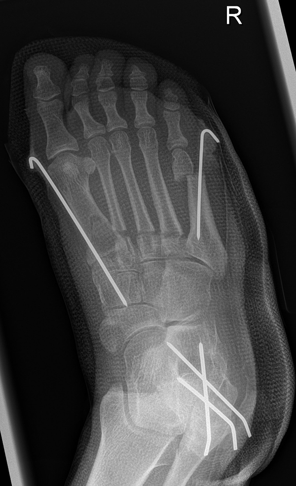
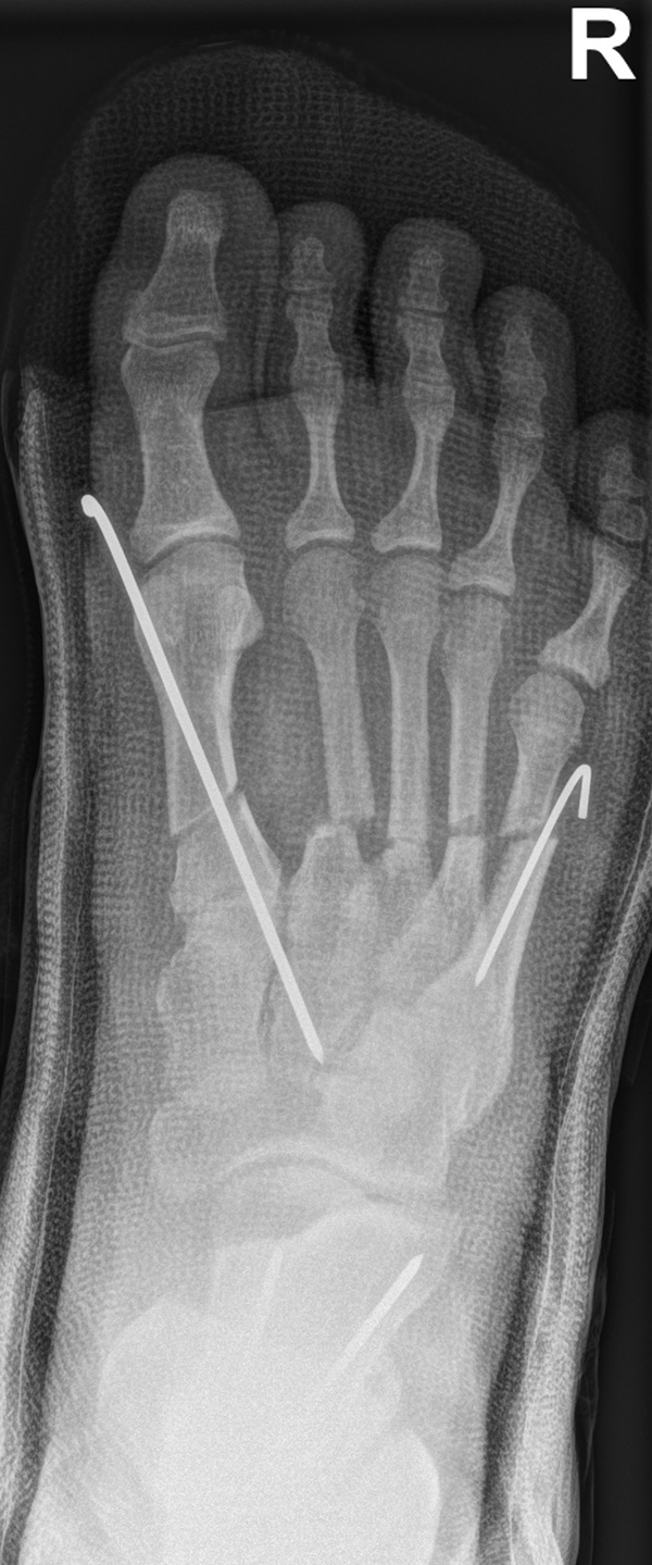
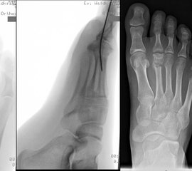
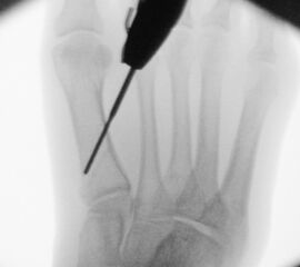
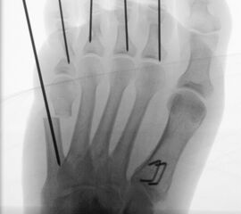
Im Rahmen von sub- oder superduktischen Zehen oder bei Vorhandensein einer Kirner-Deformität werden in unserem Team Kleinzehenkorrekturen entweder komplett oder inkomplett und sowohl am Grundglied kombiniert als auch am Mittelglied durchgeführt (Abb. 20).
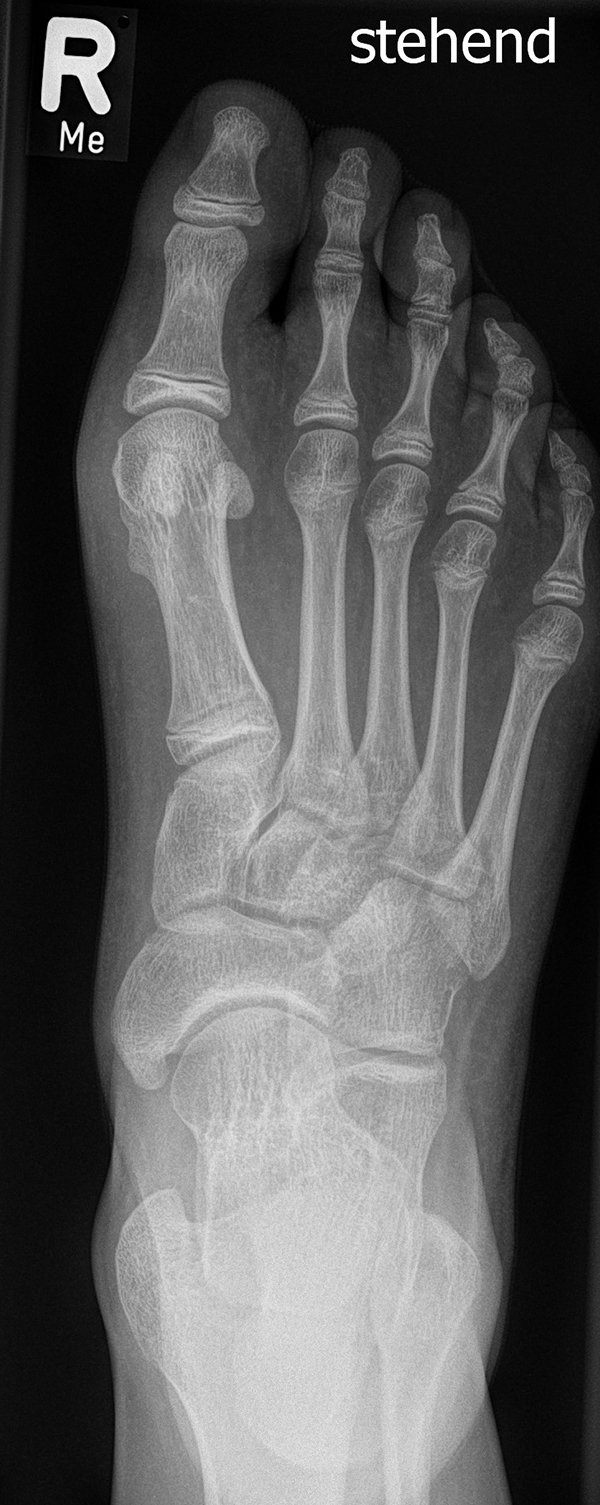
Abb. 20 a-d: Krallenzehen mit subluxierter Gelenkstellung. Präoperatives Röntgenbild d. p. (a), intraoperative Nadelmarkierung für die entsprechenden Osteotomien (b); postoperatives Röntgenbild mit einer Multilevel-Korrektur der Zehen (c) und klinischer postoperativer Verlauf (d). In der letzten Aufnahme zeigt sich gut die bereits korrigierte Zehenstellung am rechten und die noch nicht versorgten Zehen am linken Fuß.
Zum Lesen der Bildbeschreibung und zur Vollansicht bitte die Bilder anklicken. Bilder: A. Helmers.
Die Osteotomien werden ganz dem Bedarf angepasst. Es lassen sich über Verkürzung, Derotation und bei Bedarf auch Translation enorme Korrekturen erreichen. Für ein verbessertes Sehnenzuggleichgewicht kombinieren wir die Osteotomien bei Bedarf mit einem Beugesehnentransfer nach Girdlestone-Taylor (Abb. 10 und 21).
Abb. 21 a-b: Zehendeformität minimalinvasiv korrigiert (a) und kombiniert mit einer OP nach Girdlestone Taylor (b).
Zum Lesen der Bildbeschreibung und zur Vollansicht bitte die Bilder anklicken. Bilder: A. Helmers.
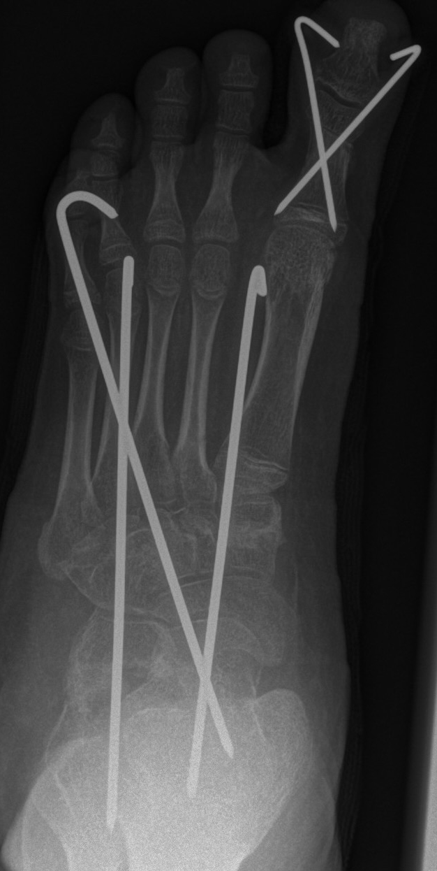
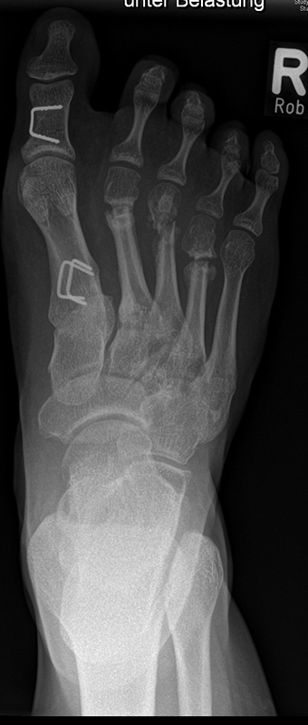
Werden komplette Osteotomien an den Zehen durchgeführt, fädeln wir die Osteotomien mit einem 1.2 oder 1.4 mm Kirschner-Draht auf, damit die einzelnen Fragmente nicht verkippen (Abb. 22).
Abb. 22 a-d: Präoperative Klauenzehen beim Jugendlichen in zwei Ansichten (a-b) und postoperative Auffädelung mit Kirschner-Drähten linker und rechter Fuß (c-d).
Zum Lesen der Bildbeschreibung und zur Vollansicht bitte die Bilder anklicken. Bilder: A. Helmers.
Nach unserer Erfahrung können komplette Osteotomien nicht so gut in einem Tapeverband stabil gehalten werden. Im Fall von Derotationen kombinieren wir einen Draht mit externen Tapezügeln, um das Ergebnis zu sichern. Die Drähte werden 2-3 Wochen belassen und anschließend in der Sprechstunde gezogen. Anschließend wird die Zehe noch 2 weitere Wochen mit Tape gezügelt (Abb. 23).
Abb. 23: Alternatives Taping nach 2-3 Wochen Drahtosteosynthese.
Zum Lesen der Bildbeschreibung und zur Vollansicht bitte das Bild anklicken. Bild: A. Helmers.
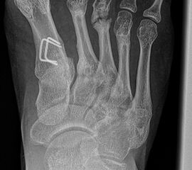
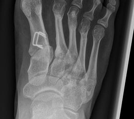
MT I Basis closed wedge Osteotomie
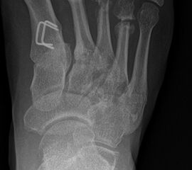
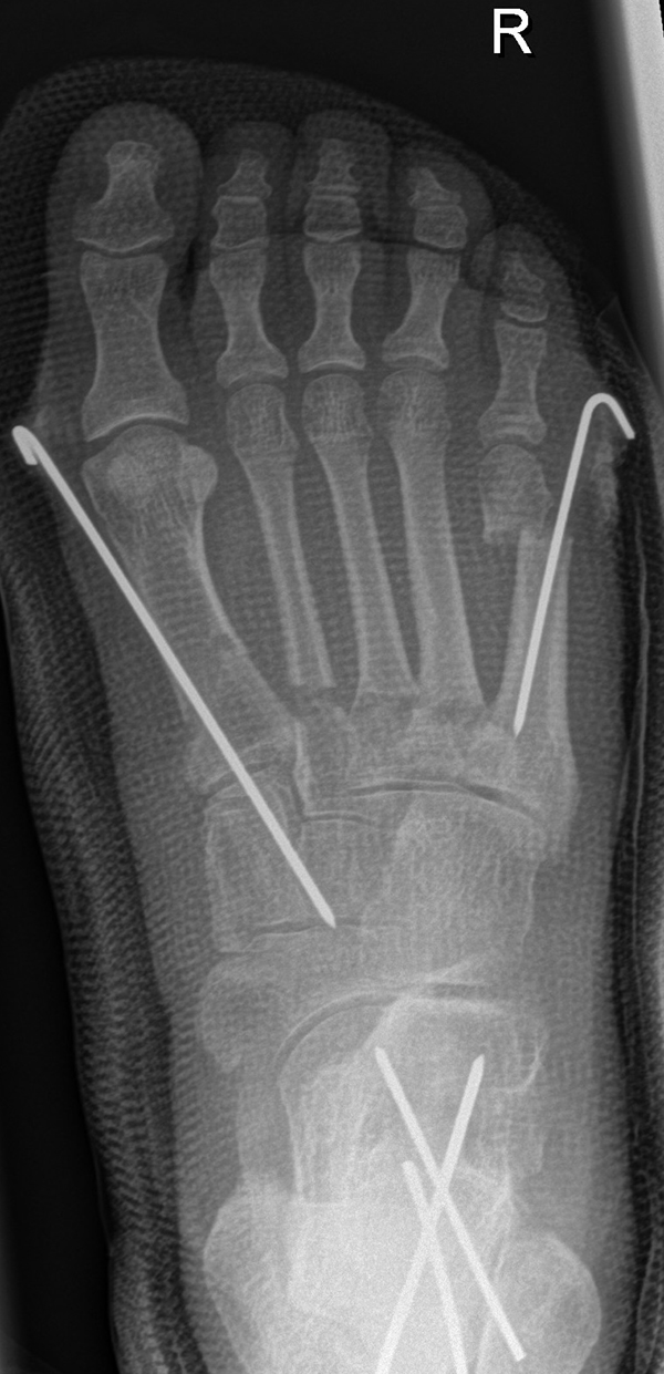
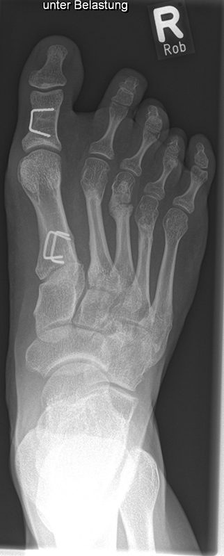
Besteht bei einem Kind oder Jugendlichen ein Hallux valgus mit einer Überlänge Metatarssale I, kann minimalinvasiv eine adduzierende closing wedge Osteotomie lateral basisnah durchgeführt werden (Abb. 24).
Abb. 24 a-d: Röntgen präoperativ bei Hallux valgus und dezentrierten Sesambeinen mit Schmerzen seit einem Jahr unter dem Großzehengrundgelenk (a), druckentlastende minimalinvasive Metatarsale I closing wedge Osteotomie an der Basis (b), intraoperative Korrekturstellung (c) und intraoperatives Bild nach Entfernung der Kirschner-Drähte sechs Wochen postoperativ (d).
Zum Lesen der Bildbeschreibung und zur Vollansicht bitte die Bilder anklicken. Bilder: A. Helmers.
Zusätzlich kann mit einem eingebrachten Kirschner-Draht als Joystick das Metatarsale I Köpfchen distal in 10-15° Supination gedreht werden. Hierbei infraktioniert die mediale verbleibende Kortikalis und das Korrekturergebnis muss mit einem 1.6 oder 1.8 Kirschner-Draht fixiert werden. Mit der milden Korrektur in die Supination rezentrieren sich die Sesambeine und die Rezidivgefahr verringert sich.
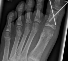
Schneiderballen: MT V Osteotomie
Diese Osteotomie ist indiziert bei stark lateralisierten MT V Köpfchen wie es nicht selten in Kombination mit einem Hallux valgus, einem Ballen-Hohlfuß oder Klumpfuß vorkommt (Abb. 25).
Abb. 25: Prominentes MT V Köpfchen, eine sogenannte Schneiderballen-Deformität.
Zum Lesen der Bildbeschreibung und zur Vollansicht bitte das Bild anklicken. Bild: A. Helmers.
Dementsprechend führen wir die MT V Osteotomie häufig als Kombinationseingriff durch. Sie kann subcapital im Sinne der Kramer-Osteotomie oder adduzierend am Schaft durchgeführt werden (Abb. 26).
Abb. 26 a-e: adduzierende Osteotomie. (a) Fuß präoperativ d.p. und (b) als Schrägaufnahme. Im Schrägbild gut sichtbar die subluxierte 5. Zehe. (c) intraoperative Aufnahme der MT V Schaftosteotomie. (d) Fuß postoperativ d.p. und (e) als Schrägaufnahme.
Zum Lesen der Bildbeschreibung und zur Vollansicht bitte die Bilder anklicken. Bilder: A. Helmers.
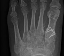
Liegt eine stark subduktische 5. Zehenposition vor, fräsen wir bevorzugt in der Kramertechnik für eine maximale Korrektur und Setzen für zwei bis drei Wochen einen intramedullären Draht nach proximal durch die Osteotomie (Abb. 27).
Abb. 27 a-d: Radiologische Darstellung intraoperativ (a) und vor dem Entfernen des Drahtes einer kompletten Schaftosteotomie mit intramedullärem Draht stabilisiert (b). Die Osteotomie wird minimalinvasiv durchgeführt und der Draht nach der Spülung über den gleichen Hautschnitt einfach in den Schaft hineingeschoben und die Osteotomie darüber stabilisiert. Das Köpfchen kann anschließend je nach Bedarf plantarisiert oder extendiert werden. Radiologische Verlaufskontrolle vor Entfernung des Drahtes (c-d).
Zum Lesen der Bildbeschreibung und zur Vollansicht bitte die Bilder anklicken. Bilder: A. Helmers.
Anschließend kann, falls erforderlich, mit Tape weiter stabilisierend gezügelt werden. Nicht selten verschieben wir um die gesamte Schaftbreite mit guter Heilung des Knochens.
Chevron Osteotomie
Die Chevron Osteotomie 1 ist ohne Komplikationen am wachsenden Skelett durchführbar. Das Metatarsale I besitzt distal keine Wachstumsfuge, die geschädigt werden könnte. Die „französische Methode nach Marc Elkaim“ eignet sich für Kinder ganz besonders (Abb. 28).
Abb. 28 a-g: Radiologischer Verlauf einer Chevronosteotomie nach dem Verfahren von M. Elkaim mit prä- (a-c drei unterschiedliche Ansichten) und intraoperativen Röntgenbildern in zwei Ansichten (d-e) sowie postoperativ zwei Ansichten (f-g).
Zum Lesen der Bildbeschreibung und zur Vollansicht bitte die Bilder anklicken. Bilder: A. Helmers.
Sie wird über eine eigene Tapetechnik fixiert und kann bei einem erhöhten Intermetatarsale-Winkel alternativ zur Scarf-Osteotomie durchgeführt werden. Nachteile der Methode sind eine deutliche Verkürzung durch die Fräse sowie eine starke Plantarisierung des Metatarsale I Köpfchens. Um die Verkürzung zu vermeiden, wird verlängernd in Richtung des Metatarsale II Köpfchens (nicht wie offen in Richtung Metatarsale IV Köpfchen) osteotomiert. Gleiches gilt für die starke Plantarisierung, die durch den Knochenverlust der Fräse entsteht. Die Korrektur eines kindlichen oder jugendlichen Hallux valgus ist mit der Methode ansonsten suffizient durchführbar. Wird verkürzt, muss ausreichend plantarisiert werden, um eine Transfer-Destabilisierung MT II-IV zu vermeiden.
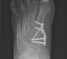
Die MICA-Technik sollte bei geschlossenen Fugen mit einem weitem intermetatarsale Winkel durchgeführt werden. Die dafür typische Verschraubung der Osteotomie kann bei geschlossenen Fugen ohne Probleme erfolgen. Diese Osteotomie kann gut mit einer Akin- und den beschriebenen Kleinzehen-Osteotomien kombiniert werden.
Hohlfußkorrektur nach Gebhard Suger (Frank Mattes/Anja Helmers)
In einem kinderorthopädischen Beitrag im Augsburger MIS Kurs im September 2021 erfolgte von unserer Seite die Vorstellung der Therapie der hyperpronierten Metatarsalia II-IV beim Ballen-Hohlfuß/HMSN (Hereditäre motorisch-sensible Neuropathie) mit der minimalinvasiven DMDO an zwei Patienten an je zwei Füßen (Abb. 29).
Abb. 29: Jugendliche Patientin mit familiärer HMSN (Hereditäre motorisch-sensibel Neuropathie) und Schmerzen unter den Metatarsaleköpfchen II-IV bei erhöhter Vorfußlast. DMDO zur Druckentlastung und MT V zur Reduktion der Vorfußbreite.
Zum Lesen der Bildbeschreibung und zur Vollansicht bitte das Bild anklicken. Bild: A. Helmers.
Im praktischen Teil des Kurses wurde von Gebhard Suger ein anderes Konzept zur minimalinvasiven Behandlung des milden bis mittelschweren Ballen-Hohlfußes angeregt, welches er in seiner aktiven Zeit mit Erfolg durchgeführt hat (Abb. 30).
Abb. 30: Die Osteotomie-Höhe wird anders als bei der DMDO noch weiter nach proximal verlegt und reicht damit optimaler an das "Center Of Rotation and Angulation" (die sogenannte CORA) der Hohlfuß-Deformität heran. Das Korrekturpotenzial in dieser Region ist enorm.
Zum Lesen der Bildbeschreibung und zur Vollansicht bitte das Bild anklicken. Bild: A. Helmers.
Unter der Anleitung von Gebhard Suger wurde folgende OP-Abfolge entwickelt. Bis zum jetzigen Zeitpunkt konnten insgesamt sechs Füße an sechs unterschiedlichen Patienten wie folgt versorgt werden.
Minimalinvasive Eingriffe zur Korrektur des Ballen-Hohl-Fußes in Kombination mit einem Sehnentransfer
=> Die cranialisierende und lateralisierende Osteotomie des Calcaneus
Der Calcaneus wird mit einer Distanz von 1-2 cm zur dorsal gelegenen Wachstumsfuge von lateral schräg verlängernd oder verkürzend osteotomiert (je nach Spannung der Achillessehne). Um die Verschieblichkeit des dorsalen Fragmentes zu optimieren, wird mit einer 18 G Nadel die Plantarfaszie vom Ansatz des Calcaneus mit kratzenden Bewegungen abgelöst. Dadurch wird das Fragment lockerer, lässt sich besser verschieben und der Cavus wird weichteilig reduziert.
Abb. 31: Ablösung der Plantarfaszie mit einer Nadel, die percutan eingeführt wird.
Zum Lesen der Bildbeschreibung und zur Vollansicht bitte das Bild anklicken. Bild: A. Helmers.
Anschließend kann der dorsale Anteil 5-10 mm nach cranial und entsprechend des Korrekturbedarfs nach lateral verschoben werden.
Ab. 32 a-f: Verschiebung des Calcaneus nach cranial (a). Alternativ kann die Austin-Osteotomie verwendet werden. Minimalinvasive Fersenosteotomie kombiniert mit einer Cole-Mittelfuß-Osteotomie (b). Cranialisierung prä- und postoperativ kombiniert mit einer komplett minimalinvasiven Korrektur (spiegelverkehrte Aufnahmen) (c-d) und Fersenverschiebung nach cranial sowie gleichzeitig nach lateral bei Varusfehlstellung und Hohlfußdeformität (e-f).
Zum Lesen der Bildbeschreibung und zur Vollansicht bitte die Bilder anklicken. Bilder: A. Helmers.
Hierüber kann der Calcaneus-Bodenwinkel verbessert und der Rückfußvarus aufgehoben werden. Bei verlängernder Osteotomie wird die verkürzende Wirkung des Hohlfußes gemildert und mehr Fußlänge generiert.
=> Extensions-Osteotomie Metatarsale I
Diese wichtige Osteotomie in der Hohlfußchirurgie dient der Aufhebung des hyperpronierten ersten Strahls und trägt damit wesentlich zur Rückfußkorrektur bei. Durch die Hyperpronation von Metatarsale I weicht der flexible Rückfuß in den Varus aus. Wird die Pronation aufgehoben, kann sich der Rückfuß neutral bis valgisch einstellen. Die Osteotomie wird entsprechend der CORA (Center Of Rotation And Angulation) der Fehlstellung an der Basis des Metatarsale I durchgeführt. Ist der Vorfuß entsprechend seiner Überlastung verbreitert, sollte die Schnittführung von lateral adduzierend und gleichzeitig dorsal auslaufend sein.
Abb. 33 a-b: Osteotomie Metatarsale I in extendirender und adduzierender Richtung (a). Die plantare Kortikalis sollte bestehen bleiben (b). Fixation mit einem oder zwei Drähten ist vollkommen ausreichend.
Zum Lesen der Bildbeschreibung und zur Vollansicht bitte die Bilder anklicken. Bilder: A. Helmers.
Die plantare Kortikalis bleibt medial bestehen. Je nach extendierendem Korrekturbedarf wird nach Schluß der Osteotomie erneut gefräst. Zur Stabilisierung der Extension wird von distal ein dorsal verschließender Kirschner-Draht eingebracht.
=> Extensions-Osteotomie Metatarsale II-IV (Gebhard Suger)
Die Osteotomie wird im Bereich der Basis der Metatarsalia II-IV durchgeführt. Hier befinden sich keine Wachstumsfugen, welche mit der Fräse kompromittiert werden könnten. Um die dorsalen Weichteilstrukturen zu schützen, müssen diese nach dem Hautschnitt sorgfältig vom Knochen gelöst werden. Zudem ist es wichtig, während der Osteotomie keinen Druck von dorsal auszuüben. Über einen zu starken Druck während des Fräsvorganges könnten die Strecksehnen verletzt werden. Es kann bei zügiger Osteotomie vom Metatarsale I der gleiche Hautschnitt verwendet, oder es muss unter BV Kontrolle ein weiterer Hautschnitt gesetzt werden, um thermische Schädigungen der Haut zu vermeiden.
Abb. 34 a-c: Zugänge für die minimalinvasiven Osteotomien am Metatarsale I-IV.
Zum Lesen der Bildbeschreibung und zur Vollansicht bitte die Bilder anklicken. Bilder: A. Helmers.
Bei einem schmalen Fuß können alle vier Metatarsalia über denselben Hautschnitt mit der 13 mm Fräse erreicht werden. Von dorsal wird in 90° zum Schaft die Osteotomie in Richtung plantar durchgeführt und die plantare Kortikalis bleibt nach Möglichkeit bestehen. Die Korrektur ist durch Krepitation deutlich spürbar, wenn die Metatarsaleköpfchen intraoperativ nach dorsal angehoben werden.
Abb. 35 a-b: präoperativ stark nach plantar durchgedrückte Metatarsaleköpfchen mit entsprechender Beschwielung (a) und Anhebung der Köpfchen nach minimalinvasiver Basisosteotomie Metatarsale II-IV (b).
Zum Lesen der Bildbeschreibung und zur Vollansicht bitte die Bilder anklicken. Bilder: A. Helmers.
Eine Osteosynthese ist nicht erforderlich. Durch eine spätere Belastung des Fußes werden die Metatarsalia weiter angehoben und stellen sich entsprechend extendierend korrigiert ein. Die Osteotomie der Metatarsalebasis entwickelt für den Hohlfuß ein enormes Korrekturpotenzial.
=> Extensions-Osteotomie Metatarsale V
Die Osteotomie wird im Schaftbereich nahe der Basis durchgeführt und kann gleichzeitig von medial adduzierend verlaufen. Darüber kann der verbreiterte Vorfuß, wie er für Ballen-Hohlfüße typisch ist, verschmälert und gleichzeitig das Metatarsale V angehoben werden (Abb. 36).
Abb. 36 a-b: Röntgenbild mit allen zuvor beschriebenen Osteotomien und der zusätzlich durchgeführten Metatarsale V Osteotomie in d. p. (dorso-plantare) Ansicht und schräge Röntgenaufnahme.
Zum Lesen der Bildbeschreibung und zur Vollansicht bitte die Bilder anklicken. Bilder: A. Helmers.
=> Akin Osteotomie und Endgelenksarthrodese Dig. I
Beim Ballen-Hohlfuß ist häufig der Großzeh im Grundgelenk subluxiert und das Endgelenk flektiert eingestellt. Diese Fehlstellung entsteht durch die Extensorensubstitution zur Anhebung des Vorfußes bei einem kraftreduzierten M. tibialis anterior. Hier kann eine minimalinvasive Arthrodese des Endgelenks erfolgen. Gleichzeitig können mit der Akin-Osteotomie Achs- und Rotationsfehlstellungen, falls vorhanden, mit korrigiert werden (Abb. 37).
Abb. 37: Alle Kombinationsosteotomien minimalinvasiv einschließlich der Akin-Osteotomie.
Zum Lesen der Bildbeschreibung und zur Vollansicht bitte das Bild anklicken. Bild: A. Helmers.
=> M. tibialis posterior-Sehnentransfer
Die Sehne des M. tibialis posterior bleibt bei neurologischen Grunderkrankungen wie HSMN (Hereditäre Senso-Motorische Neuropathie) meistens am längsten aktiv und eignet sich hervorragend zur Verstärkung der Fußhebung. Die Extensorensubstitution in der Fußhebung und die damit im Zusammenhang stehende Progredienz der Krallenzehenentwicklung kann so effizient reduziert werden. Die meisten Ballen-Hohlfüße benötigen diesen Sehnentransfer zur Verbesserung der Fußhebung. Der Transfer ist neben der knöchernen Korrektur ein wesentlicher Therapieschritt in der Behandlung neurologischer Fußerkrankungen (Abb. 38).
Abb. 38 a-b: Bergen der Sehne des M. tibialis posterior medial am Os navikulare (a) und Ausleitung ca. 10 cm oberhalb der OSG-Gelenklinie, Transfer durch die Membrana interossea nach lateral oberhalb der Syndesmose (b). Für den Sehnentransfer werden die größeren Hautzugänge erforderlich.
Zum Lesen der Bildbeschreibung und zur Vollansicht bitte die Bilder anklicken. Bilder: A. Helmers.
Über einen 2 cm Hautschnitt an der Basis des Os navikulare wird die Sehne des M. tibialis posterior dargestellt und mit einem kleinen Periostlappen scharf abgelöst. Am Ende der Sehne wird ein Faden eingeflochten und das Ende 8-10 cm oberhalb des Sprunggelenks an der Tibiakante über einen 1 cm Hautschnitt geborgen und ausgeleitet. Mit einer geraden Klemme (Kocher- oder Moskito-Klemme) wird die Sehne ventral der Fibula auf der Gegenseite durch die Membrana interossea ausgeleitet und anschließend unter dem Retinaculum in Richtung Cuneiforme III nach distal geführt. Für den Sehnentransfer sind Hautschnitte in der Länge von 1,5-2 cm erforderlich. Um die Sehne im Cuneiforme III zu verankern, verwenden wir entsprechende Fadenanker, die knöchern eingebohrt werden. Damit sind die Transfers frühzeitig übungsstabil und verkleben weniger mit dem umliegenden Gewebe.
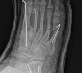
=> Krallenzehen
Entsprechende Krallenzehenfehlstellungen können additiv minimalinvasiv korrigiert werden. Da es sich um eine funktionelle Fehlstellung handelt (Extensorensubstitution bei fehlender Fußhebung) kann bei Kindern, Jugendlichen und Jung-Erwachsenen die weitere Entwicklung nach Verstärkung der Fußhebung durch den M. tibialis posterior Sehnentransfer abgewartet werden. Nicht selten reduzieren sich die Krallenzehenfehlstellungen durch die postoperativ verbesserte Fußhebung. Ansonsten erfolgt die minimalinvasive Krallenzehenkorrektur in üblicher Weise.
Abb. 39 a-b: Minimalinvasive Krallenzehenkorrektur mit präoperativen und intraoperativen Röntgenaufnahmen (a) und klinischem Bild prä- und postoperativ (b).
Zum Lesen der Bildbeschreibung und zur Vollansicht bitte die Bilder anklicken. Bilder: A. Helmers.
Beim Ballen-Hohlfuß wird aufgrund der Rezidivneigung häufig ein Girdlestone-Taylor Beugesehnentransfer kombiniert angewendet.
Abb. 40 a-f: Kompletter klinischer und radiologischer Verlauf eines schweren Ballenhohlfußes: Bild im Stand mehrere Ansichten sowie radiologische Diagnostik präoperativ (a), percutane Ablösung der Plantarfaszie als ersten operativen Schritt (b), radiologisch sichtbare Osteot0mien MT I-V sowie klinisches Ergebnis intraoperativ (c-d), klinische Gegenüberstellungen der präoperativen Fehlstellung und der postoperativen Korrektur (e); zweites Beispiel eine spastische Hohlfußfehlstellung im prä- und postoperativen klinischen Verlauf (f).
Zum Lesen der Bildbeschreibung und zur Vollansicht bitte die Bilder anklicken. Bilder: A. Helmers.
Diagnostisches Vorgehen
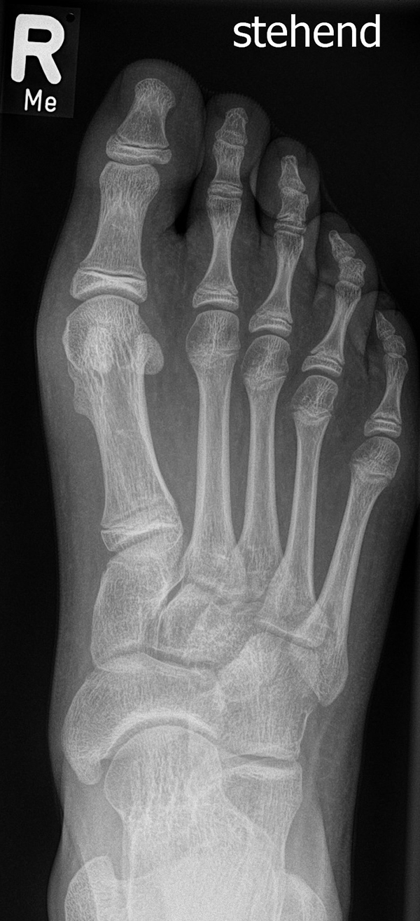
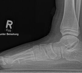
Damit die minimalinvasive Fußchirurgie zur Korrektur kindlicher oder jugendlicher Fußdeformitäten erfolgreich angewendet werden kann, erfordert die präoperative Diagnostik Röntgenbilder in drei Ebenen am stehenden Fuß. Röntgenbilder ohne Belastung des Fußes sind nicht zielführend. Im Fall von schweren Rückfußdeformitäten wird das obere Sprunggelenk in die radiologische Diagnostik mit einbezogen in Kombination mit der Rückfußaufnahme unter Belastung („Saltzman View“). Das OSG wird in zwei Ebenen geröntgt. Die streng seitliche Aufnahme des OSG kann bei den komplexen Fußdeformitäten mit der seitlichen Aufnahme des Fußes unter Belastung kombiniert werden. Das reduziert die diagnostische Strahlenbelastung der Kinder.
Indikationen für die beschriebenen Röntgenaufnahmen sind Klumpfußdeformitäten zur Beurteilung eines „flat top talus“ oder neurologische Grunderkrankungen mit varischer Fersenstellung wie zum Beispiel bei HSMN (Hereditäre Sensorische Motorische Neuropathie).
Sind Deformitäten komplexer Natur, sollte die CT mit einer 3D Rekonstruktion zur Anwendung kommen. Eine MRT-Diagnostik ist beim kindlichen Fuß zur Beurteilung von entzündlichen Prozessen, osteochondralen Läsionen, weichteiligen Traumafolgen oder im Fall von fibrösen Coalitiones von Bedeutung.
Therapeutisches Vorgehen
Therapieziele:
- Gewebeschädigung minimieren
- Narbenbildung und Länge reduzieren
- Knochenheilung und damit die Belastbarkeit der operierten Füße beschleunigen
- Gipstragezeiten reduzieren
- Postoperative Schmerzen verringern
- Traumatisierung der Kinder begrenzen
- Krankenhausaufenthalt der Kinder und Jugendlichen verkürzen
- Korrekturen über offene und minimalinvasive Verfahren kombinieren
- Medikamentengaben reduzieren
Aufklärung
Die Aufklärung von Kindern und ihren Eltern ist für Ärzte eine herausfordernde Situation. Als Arzt oder Ärztin von Kindern haben Sie die Sorgen und Fragen von bis zu zwei Elternteilen zusätzlich zum Patienten. In diesem Fall entscheiden die Eltern nicht für sich selbst, sondern für das ihnen anvertraute Kind. Hierfür benötigen sie gut verständliche Informationen. Die Erfahrung hat gezeigt, dass Anschaulichkeit bei den Erklärungen sehr zur Beruhigung und Sicherheit der Patienten und Angehörigen beiträgt, daher verwenden wir zur Aufklärung Fußmodelle und Röntgenbilder von stattgehabten Operationen prä- und postoperativ. Wird eine chirurgische Therapie mit MIS Technik beim noch wachsenden Kinderfuß als Behandlung in Erwägung gezogen, muss über das Risiko der Fugenverletzung aufgeklärt werden, da dies Wachstumsstörungen zur Folge haben kann. Ansonsten gelten die üblichen Risiken, die mit der MIS Technik einhergehen. Erfahrungsgemäß beobachten wir am kindlichen Fuß kaum Knochenheilungsstörungen, Hyperostosen, Verbrennungen oder Wundheilungsstörungen.
Nachbehandlung
Da wir in der Kinderorthopädie häufig komplette Osteotomien im Bereich der Zehen durchführen, müssen die Osteotomien mit Kirschner-Drähten fixiert werden. Die Drähte verbleiben 2-3 Wochen und anschließend wird für weitere zwei Wochen mit Tape gezügelt. Die Kinder dürfen in einem Verbandsschuh oder einem modellierten Gipsschuh schmerzadaptiert voll belasten.
Abb. 41 a-b: Gipsschuh zwei Ansichten.
Zum Lesen der Bildbeschreibung und zur Vollansicht bitte die Bilder anklicken. Bilder: A. Helmers.
Bei komplexen Fehlstellungen mit neurologischem Hintergrund oder im Fall von Residualfehlstellungen bei Klumpfüßen ist es sinnvoll, den Fuß 6 Monate postoperativ in seiner Korrektur zu fixieren. Klumpfüße sowie neurologische Fußfehlstellungen weisen eine starke Dynamik der Fehlstellungspathologie auf. Eine dynamische Fuß- und Sprunggelenksorthese, die sogenannte DAFO, ist hier ausgesprochen hilfreich.
Abb. 42: DAFO als dynamische Orthese zur Sicherung der postoperativen Korrektur für ca. weitere 6 Monate 24 Stunden zu tragen.
Zum Lesen der Bildbeschreibung und zur Vollansicht bitte das Bild anklicken. Bild: A. Helmers.
Treten für den Patienten starke muskuläre Spannungen auf, die Schmerzen verursachen oder das Tragen einer Orthese postoperativ unmöglich machen, geben wir zur Reduktion der Spastiken spasmolytische Pharmaka wie Baclofen. Bestehen bereits präoperativ starke Spastiken, ist es sinnvoll, intraoperativ Botulinumtoxin intramuskulär zu verabreichen.
Komplexe Fehlstellungen bekommen intraoperativ eine Klapp-Cast-Anlage als korrigierend modellierten Liegegips für mindestens sechs Wochen.
Abb. 43: Modellierter Scotch-Cast, der beim ersten Verbandswechsel zum Klapp-Cast mit Klettverschlüssen vom Gipstechniker umgebaut werden kann. Der Cast gibt ausreichende, korrigierende Stabilität und nach vier Wochen postoperativ kann ein durchgeführter Sehnentransfer aus diesem Cast heraus beübt werden.
Zum Lesen der Bildbeschreibung und zur Vollansicht bitte das Bild anklicken. Bild: A. Helmers.
Im Anschluss an die sechs Wochen Liegegips erfolgt der Belastungsaufbau in einer DAFO (Dynamic Ankle Foot Orthosis). Diese Orthese sollte insgesamt sechs Monate tagsüber getragen werden. Um Verklebungen der Sehnentransfers zu vermeiden, erfolgt begleitende Physiotherapie bereits ab der 3.-4. Woche postoperativ aus dem Gips heraus mit passiven Bewegungen in die Dorsalextension und Plantarflexion. Aktive Bewegungen dürfen nicht ausgeführt werden, um einen Ausriss des Sehnentransfers zu vermeiden. Bei starker Schwellung kleben wir lymphdrainierende Kinesio-Tapes.
Abb. 44: Beispiel für ein Lymphtape zur Reduktion starker postoperativer Schwellung. Diese Tapes erweisen sich als ausgesprochen hilfreich zur Reduktion von Schwellung nach großen Fußkorrekturen.
Zum Lesen der Bildbeschreibung und zur Vollansicht bitte das Bild anklicken. Bild: A. Helmers.
Perspektiven und aktuelle Trends
Allgemein:
Die minimalinvasiven fußchirurgischen Techniken lassen sich trotz offener Wachstumsfugen bei Kindern und Jugendlichen sehr gut umsetzten. Nach unserer Erfahrung heilen die Osteotomien beim Kind oder beim Jugendlichen deutlich schneller. Nicht selten sehen wir eine komplette Konsolidierung der Calcaneusosteotomien bereits nach 4 Wochen, obwohl wir eine Osteosynthese bei offenen Wachstumsfugen mit Kirschner-Drähten wählen. Die Drähte erwirken keine Kompression auf die Osteotomie, sondern lediglich eine Stellungs- und Rotationskontrolle (Abb. 45). Dies ist bei spongiösen Flächen absolut ausreichend. Bisher haben wir keine Pseudarthrose oder Infektion beobachtet.
Abb. 45 a-c: Radiologisch suffiziente Heilung der Osteotomien nach minimalinvasiver Hohlfußkorrektur Metatarsale I basisnaher Schaft, Calcaneus sowie gute Callusbildung Metatarsale II-V (a mit der dorso-plantaren Ansicht, c der schrägen Ansicht und d der seitlichen Ansicht). Drahtentfernung hier nach vier Wochen postoperativ möglich. Patienten können in einem gut modellierten Unterschenkel-Klapp-Cast voll belasten, so dass die Metatarsaleköpfchen sich weiter anpassen.
Zum Lesen der Bildbeschreibung und zur Vollansicht bitte die Bilder anklicken. Bilder: A. Helmers.
Speziell:
Ein neuer Trend ist die Korrektur von Ballen-Hohl-Füßen mit minimalinvasiven Techniken. Die Erfahrung und Anregung für unser Patientengut kam von Gebhard Suger, dem Pionier in der minimalen Fußchirurgie in Deutschland, und von Frank Mattes, einem die minimal invasive Fußchirurgie betreffend erfahrenen Fußchirurgen (Arbeitskreis MIS der GFFC). Wir haben innerhalb seit 2021 11 Fälle entsprechend der oben beschriebenen Technik versorgt, bisher mit ausgezeichnetem Korrekturerfolg. Nach unserer Erfahrung sollten die Eingriffe mit einer Sehnenbalanzierung (M. tibialis posterior-Transfer auf Cuneiforme III) kombiniert werden.
Eine alternative Technik aus der aktuellen Literatur beschreibt die Mittelfußosteotomie im Bereich der Cuneiformia in minimalinvasiver Technik 2. Wir halten die Durchführung der dorsalen Keilosteotomie an den Cuneiformia für schwieriger durchzuführen, da mehr Masse gefräst werden muss. Dies ist im Bereich der Metatarsalia deutlich einfacher, wenn auch etwas entfernter vom CORA (Center of Rotation and Angulation) der Deformität des Ballen-Hohlfuß. Dennoch ist das Korrekturpotenzial im Bereich der Metatarsalia Basen derartig groß, dass eine ausreichende Korrektur erzielt werden kann. Die Metatarsalia lassen sich mit diesem Verfahren 20-30° anheben.
Literatur
- Minimally invasive surgery efficacy in children's forefoot
Víctor Hugo Velázquez Pedroza 1, Alberto López Marmolejo, Agustín Isunza Ramírez, José Cortés Gómez, Félix Gustavo Mora Ríos, Ignacio Mora Magaña; Acta Ortop Mex Jan-Feb 2008;22(1):19-25.{PMID: 18672748} http://www.ncbi.nlm.nih.gov/pubmed/) - Cavus Foot Correction Using a Full Percutaneous Procedure: A Case Series
Rodrigo Schroll Astolfi,* José Victor de Vasconcelos Coelho, Henrique César Temóteo Ribeiro, Alexandre Leme Godoy dos Santos, and José A. Dias Leite
Academic Editor Joshua F. Yarrow and Gabriel Domínguez-Maldonado
Int J Environ Res Public Health. 2021 Oct; 18(19): 10089.
Published online 2021 Sep 25. doi: 10.3390/ijerph181910089
PMCID: PMC8507872; PMID: 34639388]