Kurzzusammenfassung

Die verschiedenen Formen der Coalitiones im Rückfußbereich sind differentialdiagnostisch insbesondere bei anhaltenden Schmerzen im späteren Kindes- und Jugendlichenalter zu berücksichtigen, bleiben aber nicht selten viele Jahrzehnte asymptomatisch. Bei klinischem Verdacht sind primär die Röntgendiagnostik und zur genaueren Analyse die dreidimensionalen Verfahren (MRT und Dünnschicht-CT) einzusetzen. Neben seltenen Formen sind insbesondere die calcaneonaviculare Coalitio und die vielgestaltige talocalcaneare Coalitio ohne und mit Planovalgusdeformität von Bedeutung.

Epidemiologie und Ätiologie

Die späteren Skelett-Elemente im Bereich der distalen Extremitäten-Anlagen grenzen sich bereits etwa in der 8. Entwicklungswoche im Vorgang der Cavitation voneinander ab (Christ 1986). Bleibt dieser Trennungsvorgang im Bereich von Gelenkverbindungen unvollständig, so führt dies zur Ausbildung von Coalitiones. Nicht selten treten derartige Störungen beidseits symmetrisch auf; auch Kombinationen mehrerer Überbrückungen und ein Zusammentreffen etwa mit dem idiopathischen Klumpfuß werden beobachtet. Untersuchungen an Feten ließen derartige Brückenbildungen in nicht geringer Häufigkeit erkennen 1. Die Coalitiones sind zunächst fibrös und später knorpelig angelegt und können im weiteren Verlauf zunehmend ossifizieren bis zur Ausbildung einer inkompletten oder kompletten Knochenbrücke. Ist eine primäre, anlagemäßige vollständige Verschmelzung zweier normalerweise gelenkig verbundener Anlagen festzustellen, so spricht man von Synostosen (Steinhäuser 1985).

Die Coalitiones gehören zu den häufigsten operativ behandlungsbedürftigen Erkrankungen des kindlichen Fußes. Ihr Auftreten wird mit einer Prävalenz von etwa 1 % angegeben 23. Allerdings bleiben viele Fälle asymptomatisch und werden nicht oder erst im Erwachsenenalter anhand der sekundären degenerativen Veränderungen diagnostiziert. Häufig wird auch heute noch die Diagnose trotz typischer Symptomatik ausgesprochen spät gestellt.

Symptomatik

Z.n. Distorsion des Fußes mit „Ruptur“ der (vorbestehenden) talocalcanearen Coalitio. Die Wassereinlagerung in den an die Coalitio angrenzenden knöchernen Bezirken ist im MRT gut zu erkennen. Nach monatelangen Beschwerden spontane Besserung.
Abbildung 1

Klinisch präsentiert sich die tarsale Coalitio häufig in folgenden Erscheinungsformen:

  • Belastungs-Beschwerden im Fußwurzelbereich beim Schulkind oder Jugendlichen
  • Anhaltende Schmerzen nach vermeintlichen oder tatsächlichen Distorsionen („Aktivierung“ der Coalitio, vgl. Abb. 1)
  • Zufallsbefund im Kindes- und Erwachsenenalter bei klinischer Untersuchung (Rigidität des Rückfußes) oder röntgenologisch (direkte und indirekte Röntgenzeichen)
  • Progrediente Planovalgus-Deformität des älteren Kindes und/oder Peronealspasmus
  • Tarsale Arthrose des Erwachsenen (degenerative Veränderungen bei Ausschluß von rheumatischer Grunderkrankung oder posttraumatischer Genese sind hochverdächtig auf eine Coalitio als Ursache)

Klinisch besonders eindrücklich sind Fälle mit „Peronealspasmus“. Es handelt sich um ein häufig im Zusammenhang mit Coalitiones beobachtetes, aber keineswegs pathognomonisches Phänomen, bei dem die Peronealmuskulatur unwillkürlich und weder vom Patienten noch vom Therapeuten überwindbar den Fuß reflektorisch in maximale Eversion zieht. In Narkose oder z.T. auch nach Infiltration im Bereich des Sinus tarsi ist der Spasmus vollständig aufgehoben; es handelt sich damit nicht um eine strukturelle Verkürzung der Peronealmuskulatur. Zugrunde liegt offenbar ein schmerzhafter Reiz im Bereich des Talonaviculargelenkes oder im Sinus tarsi (anterolaterales subtalares Impingement). Vermutlich besteht ein Zusammenhang zur häufig beobachteten Planovalgus-Entwicklung bei den Coalitiones.

Diagnostik (Bildgebung)

Bei der klinischen Untersuchung unter dem Verdacht einer Coalitio im Rückfuß-Bereich wird insbesondere die Mobilität des talocalcaneo-navicularen Komplexes im Seitenvergleich getestet. Dies muß sehr genau durchgeführt werden, da z.B. eine kompensatorische Überbeweglichkeit von Nachbargelenken irreführen kann. Weiterhin sollte klinisch auf eine mögliche Verkürzung der Wadenmuskulatur geachtet werden (Dorsalextension des Sprunggelenkes in Kniestreckung und –beugung). Im Stand wird die Fußform beurteilt; nicht selten findet sich eine Planoabductovalgus-Deformität im Zusammenhang mit der Coalitio.

Die bildgebende Primärdiagnostik ist die Röntgen-Übersichtsaufnahme des Fußes im seitlichen, dorsoplantaren und schrägen Strahlengang. Weitere in der Literatur beschriebene Röntgen-Spezialeinstellungen sind durch die modernen dreidimensionalen Verfahren überholt.

MRT und CT konkurrieren in der Fein-Darstellung der Knochenbrücke, der Beurteilung der nichtbetroffenen Anteile des Subtalargelenkes und der Sekundärveränderungen. Das MRT bietet den Vorzug, bindegewebige und knorpelige Strukturen (Abb. 2) und bei Einsatz von Kontrastmittel auch knöcherne Aktivierungsphänomene genau abzubilden; die knöcherne Feinstruktur und genaue Ausdehnung dagegen ist mit dem Dünnschicht-CT wesentlich exakter darstellbar (Abb.3). In manchen Fällen ist eine 3-D-Rekonstruktion des CT hilfreich. Besonders wichtig ist eine geeignete Schichtebenen-Wahl:

  • Frontalschnitte etwa im rechten Winkel zur Auftrittsfläche und im Bereich des Subtalargelenkes bis weit nach dorsal geführt
  • Sagittalschnitte
  • Transversalschnitte besonders für das Talonaviculargelenk
  • Spezielle schräge Schichtebenen in enger Absprache mit dem Radiologen

Nicht selten werden einerseits auch heute noch deutlich erkennbare Coalitiones übersehen, da der Fokus – insbesondere in posttraumatischen Fällen – oft mehr auf die Beurteilung des oberen Sprunggelenkes und seiner Bandstrukturen gelegt und an die Möglichkeit einer Coalitio weniger gedacht wird. Andererseits können Anschnittphänomene bei nicht-optimaler Schichtebenen-Wahl fälschlich eine Coalitio vortäuschen.

Eine Szintigraphie ist heute nur selten erforderlich, z.B. aber bei klinischem Verdacht ohne Bestätigung im MRT oder/und CT zu erwägen 4.

Differential-Diagnose

  • Osteoidosteom (Ruheschmerz!)
  • Os tibiale externum (Lebensalter 10 bis 13 Jahre)
  • Symptomatische lockere Planovalgus-Deformität
  • Osteochondrale Läsion des Talus
  • Meniscoid-Syndrom des Oberen Sprunggelenkes
  • „Sinus tarsi Syndrom“
  • Rheumatische Grunderkrankungen (auch iuvenile Formen)
  • Im Erwachsenen-Alter andere Ursachen sekundärer Arthrosen

Formen der Rückfuß-Coalitio

In etwa gleicher Häufigkeit werden talocalcaneare Coalitiones und calcaneonaviculare Coalititones (s.u.) gefunden, die zusammen den weitaus größten Anteil aller Fälle ausmachen (Lamprecht 2002, Olney 2010) 2. Alle anderen Formen (z.B. zwischen Naviculare und Cuboid oder zwischen Naviculare und Cuneiformia) sind entweder ausgesprochen selten und nur durch gezielte Anwendung der dreidimensionalen bildgebenden Verfahren aufzufinden, oder sie sind mehr dem Bereich der Synostosen zuzuordnen, wie z.B. talocalcanear (Abb. 4) und im Bereich der Gelenke der Chopart-Linie (Abb. 5) 5. Eine Abgrenzung der Skelett-Elemente ist in diesen Fällen schon beim kleineren Kind nicht zu erkennen und operative Trennungen sind von vornherein auszuschließen.

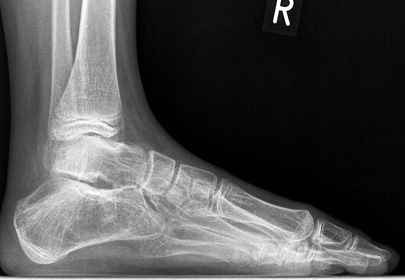
Coalitio calcaneonavicularis

Bei dieser häufigen Form der tarsalen Coalitio besteht eine Abgrenzungsstörung in der calcaneonavicularen Übergangsregion; statt des hier normalerweise lokalisierten Ligamentum bifurcatum findet sich eine fibröse und im Alter von etwa 8 bis 12 Lebensjahren zunehmend knöcherne Überbrückung (Abb. 6 und 7), die zu einer verminderten und gehemmten tarsalen Mobilität führt mit Einschränkung insbesondere der Inversion und im genannten Alter nicht selten zu Belastungsschmerzen (z.T. mit Peronealspasmus, s.o.), und im Weiteren zu degenerativen Veränderungen besonders im Talonaviculargelenk Anlaß gibt.

Klinisch ist neben der zunehmenden Rigidität des Rückfußes insbesondere ein Schmerz und Druckschmerz über der Coalitio wahrzunehmen.
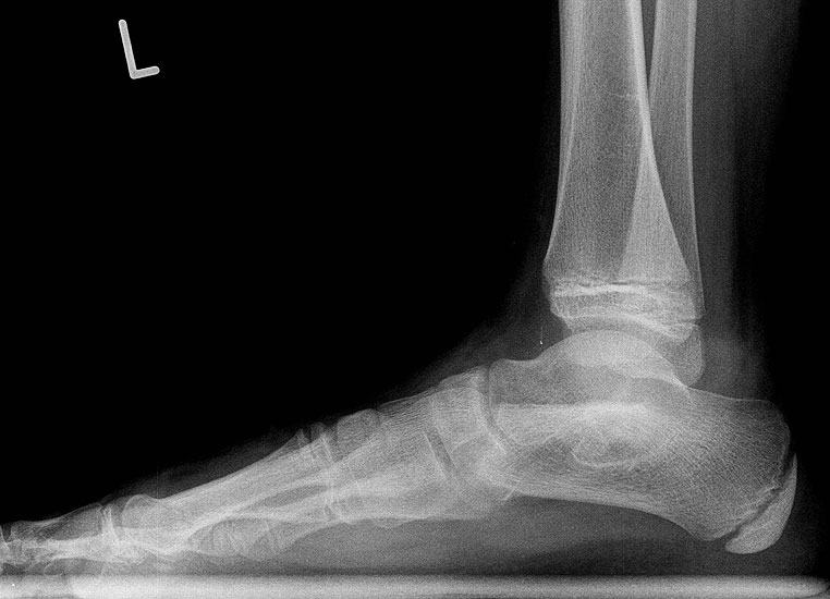
In der Bildgebung ist bei dieser Form häufig eine einfache Röntgenschrägaufnahme (Abb. 8) ausreichend. Kombinationen mit talocalcanearer Coalitio werden beobachtet und sollten im Verdachtsfall ausgeschlossen werden. Für die Therapie wesentlich ist im Jugendlichen- und Erwachsenen-Alter das Ausmaß der degenerativen Veränderungen im Bereich des Talonavicular-Gelenkes.

Coalitio talocalcanearis

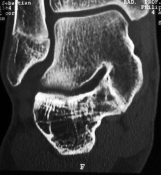
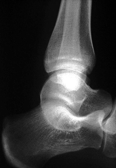
Die zweite wichtige Form tarsaler Coalitiones findet sich im medialen Bereich des Subtalargelenkes, am häufigsten unter Einbeziehung der medialen, mittleren Facette des talocalcanearen Gelenkes (Abb. 9). Die Ausdehnung der zunächst fibrösen, später zunehmend verknöcherten Brückenbildung kann sehr unterschiedlich Anteile der hinteren Kammer des unteren Sprunggelenkes mitumfassen; auch rein dorsomediale Formen ohne Einbeziehung der medialen Facette werden beobachtet (Abb. 2) 67 (Hamel 2008).

Schmerzen treten häufig im Alter zwischen etwa 12 und 16 Jahren auf, und zwar medial im Bereich der Coalitio, häufig aber auch im Sinus-tarsi-Bereich („anterolaterales subtalares Impingement“), wo sich in diesen Fällen in der Bildgebung eine Hypertrophie der cranialen Corticalis des Calcaneus findet (Abb. 10). Es kommt zu einer Blockierung insbesondere der Inversion mit fehlender aktiver Varisierung der Ferse im Ballenstand. Die Tarsal-Mechanik ist insgesamt erheblich verändert, was sich an der deutlich verminderten Gleit-Bewegung der hinteren Kammer des unteren Sprunggelenkes im Bereich des Sinus tarsi gut beobachten läßt. Vergleichbare Impingement-Phänomene sind am kindlichen Fuß allerdings auch ohne Vorliegen einer Coalitio beschrieben 8. Die eigentümliche Symptomatik des „Peroneal-Spasmus“ wird nicht selten beobachtet. Etwa die Hälfte der Fälle talocalcanearer Coalitiones entwickeln eine kontrakte Planovalgus-Deformität, häufig mit zusätzlich behandlungsbedürftiger Gastrocnemius-Verkürzung. Besonders von Mosca wird diskutiert, wieweit im Einzelfall die Coalitio selbst oder eher die Fehlstellung an der Schmerz-Entstehung beteiligt sind 9.

Diagnostisch sollte neben Röntgenübersichtsaufnahmen (indirekte radiologische Zeichen: Dorsaler Traktions-Osteophyt am Taluskopf, „talar beaking“; kontinuierliche Linie der Trochlea-tali-Kontur übergehend in die Sustentaculum-tali-Kontur, „C-Zeichen“ (Abb. 11) 10) immer die dreidimensionale Bildgebung eingesetzt werden. Das MRT (mit Kontrastmittel) kann die Struktur der Brückenbildung und z.B. die Qualität des Restgelenkes (Knorpel-Dicke) besonders gut abbilden; das Dünnschicht-CT zeigt die knöcherne Feinstruktur im Bereich der Coalitio und den oft sehr schrägen Spalt-Verlauf im Frontalschnitt dagegen häufig genauer. Meist findet sich die Überbrückung im Bereich der medialen Facette; die Schichten sollten jedoch bis weit nach dorsal beurteilt werden, da ansonsten dorsomediale Formen übersehen werden können. Rozansky et al 7 unterschieden fünf morphologische Typen auf der Basis von 3-D-CT-Rekonstruktionen. Allerdings ist eine prognostische Zuordnung bisher nicht möglich.

Große diagnostische Schwierigkeiten können Abortivformen bereiten, die klinisch den Verdacht auf eine Coalitio nahelegen, sich aber in der Bildgebung nicht eindeutig sichern lassen. Fibrosen der Gelenkkapsel der medialen Facette mit szintigraphisch-nachweisbarer Isotopen-Anreicherung und gutem Ansprechen auf chirurgische Resektion der Gelenkkapsel sind beschrieben 4.

Weitere Literatur

  • Christ B. Entwicklung der Extremitäten. In: Hinrichsen KV (ed) Humanembryologie. Berlin: Springer-Verlag 1986.
  • Hamel J. Die dorsomediale Coalitio talocalcanearis – Präsentation von 7 operativ-resezierend behandelten Fällen im zweiten Lebensjahrzehnt. FussSprunggel 6: 207-13, 2008.
  • Lamprecht E. Fusionen der Fußknochen (Koalitionen). In: Wirth CJ (ed) Orthopädie und Orthopädische Chirurgie Fuß. Stuttgart: Georg Thieme Verlag, 2002.
  • Olney BW. Tarsal Coalition. In: McCarthy JJ u. Drennan JC (eds) The child´s foot and ankle. 2nd edition. Philadelphia: Lippincott Williams & Wilkins, 2010.
  • Steinhäuser J. Differenzierungsstörungen und Variationen des Fußskelettes. In: Witt AN, Rettig H, Schlegel KF (eds) Orthopädie in Praxis und Klinik Band VII, Spezielle Orthopädie, Teil 2. Stuttgart New York: Georg Thieme Verlag, 1985.
Loading…
Loading the web debug toolbar…
Attempt #