Unter dem Begriff des diabetischen Fußsyndroms (DFS) werden verschiedene Krankheitsbilder zusammengefasst, welche alle als Ursache die Schädigung der Gefäße (Makro-/Mikroangiopathie) und/oder der Nerven (Neuropathie) haben. Primäre und überwiegend sekundäre Fußdeformitäten führen letztendlich zu Ulzerationen, Infektionen und damit nicht selten zu Amputationen 123.
Vom Diabetes mellitus sind mehr als 5 Millionen Menschen in Deutschland betroffen. Davon haben über 90 % einen Typ 2 Diabetes. Allerdings geht man von einer Dunkelziffer von 40-50 % unerkannter Diabetiker aus. Demnach dürfte die tatsächliche Zahl in Deutschland 7-8 Millionen betragen, was bedeutet, dass etwa jeder 10. Bundesbürger betroffen ist 4. Die Prävalenz des Diabetischen Fußsyndroms (DFS) liegt bei ca. 2 - 10 % der diabetischen Gesamtbevölkerung und nimmt mit steigendem Lebensalter zu. Jeder vierte Diabetiker erleidet im Laufe seines Lebens ein DFS 5.
Periphere Durchblutungsstörungen (pAVK) und Infektionen sind die Hauptursache für eine Amputation an Unterschenkel oder weiter proximal. In 85 % aller durchgeführten Amputationen ist eine vorausgegangene Ulzeration am Fuß ursächlich beteiligt 6. Problematisch ist das deutlich erhöhte Rezidivrisiko einer Fußläsion und damit einer Minor- und Majoramputation nach einem erlittenen Fußulkus. Sogar das 5-Jahres-Mortalitätsrisiko ist bei Diabetikern mit DFS um das 2,5-Fache gegenüber Diabetikern ohne DFS erhöht 7. Mehr als die Hälfte der diabetischen Ulzera infizieren sich und ca. 20 % dieser Infektionen führen zu einer Form der Amputation 8. Auch die volkswirtschaftlichen Kosten dieser Erkrankung sind immens und übersteigen die Behandlungskosten von vielen Krebserkrankungen 9.
In den letzten Jahren hat die minimalinvasive Fußchirurgie einen enormen Aufschwung erlebt. Die Prinzipien dieser minimalinvasiven Operationstechnik lassen sich auch zur operativen Behandlung eines diabetischen Fußsyndroms/diabetesassoziierter Ulcera übertragen und einsetzen. Die Indikationen sowie der technische Einsatz zur Behandlung von diabetesassoziierter Ulcera soll im Weiteren ausführlich erläutert werden.
Besonderheiten beim diabetischen Fuß
Die diabetische Neuropathie bietet ein buntes neurologisches Bild mit Einschränkungen im Bereich der Schmerzempfindung, des Temperatursinns, der Berührungs- und Vibrationsempfindung, der propriorezeptiven Sinnesqualitäten sowie, oft später im Krankheitsverlauf, auch der motorischen Fasern 5. Die Schädigung der motorischen Fasern äußert sich in einer Muskeldysbalance und Atrophie der kleinen Fußmuskeln sowie teilweise auch der Unterschenkelmuskulatur. Die Folge sind kontrakte Fehlstellungen und Deformitäten des Fußes, am häufigsten im Bereich der Zehen. Des Weiteren ist durch die Polyneuropathie der Abrollvorgang gestört, wobei sich die Druckverhältnisse und insbesondere auch die Dauer des einwirkenden Druckes drastisch erhöhen 10.
Durch das reduzierte Gefühls- und Schmerzempfinden werden Verletzungen oder Druckstellen der Haut nicht bemerkt. Gleichzeitig ist das „Heilpotential“ des Körpers durch die Diabeteserkrankung gestört. Kleine Verletzungen können sich so rasch zu Geschwüren (Ulcera) im Bereich der Fußsohle oder Fußrückens entwickeln. Durch eine Besiedelung mit Bakterien kann es zu schweren Infektionen des Fußes kommen. Bei verzögerter oder unzureichender Behandlung können Situationen auftreten, welche im schlimmsten Fall eine Amputation erforderlich machen.
Die Verminderung der Durchblutung und die periphere und autonome Neuropathie führen zur Atrophie der Weichteile. Die Haut wird dünn, spröde und brüchig, es kommt zu einer Atrophie der plantaren Fettschicht und der plantaren Fußmuskeln. Nur das Fußskelett behält seine Form, sofern keine Osteoarthropathie vorliegt. Durch den Verlust der Weichteile kommt der Knochen auf der papierdünnen Haut zu liegen. Durch Scherkräfte, die nun nicht mehr durch den Weichteilmantel abgefangen werden können, entstehen Schwielen und Weichteilnekrosen. Es kommt zu subkutanen Einblutungen. Die bakterielle Besiedelung der Einblutungen und die brüchige Haut in Verbindung mit der schlechten Durchblutungssituation liefern die Grundlage für die Entstehung lokaler Ulzerationen und Weichteilinfekte. Die Ausweitung des Infektes in die Tiefe kann bis zur Osteomyelitis führen. Ist der Knochen infiziert, ist eine dauerhafte Heilung des Ulkus in der Regel nur durch die Sanierung des betroffenen Knochens zu erreichen 11.
Um solch eine Entwicklung zu verhindern, kann nicht eindringlich genug auf die prophylaktischen konservativen und operativen Maßnahmen verwiesen werden.
Die Rolle der Prävention
Chronische Ulcera führen längerfristig zu einer oberflächlichen Infektion des Fußes. Über die Zeit kann sich die Infektion in tiefere Gewebsschichten ausbreiten und den Knochen befallen. Bei einem ungünstigen Verlauf kann der Fuß so stark geschädigt werden, dass eine Amputation nicht mehr zu vermeiden ist. Neben einer schlechten Durchblutung und einer verminderten Gefühlswahrnehmung des Fußes (Polyneuropathie) führen häufig mechanische Druckstellen durch Knochenkanten zu Hautschäden. Um frühzeitig die Entstehung von Hautläsionen zu vermeiden, wird häufig empfohlen störende Knochenkanten durch kleine operative Eingriffe abzutragen, bevor es zu einer Druckstelle kommt. Vorhergehende Ulzerationen oder bereits durchgeführte Amputationen sind mit einer weiteren Verschlechterung der Prognose vergesellschaftet. Die Prävalenz des Fußulkus bei Diabetespatienten beträgt bis 15 % 12.
In der Prävention spielt ein interdisziplinäres Vorgehen eine entscheidende Rolle. Ein stetiger Austausch zwischen Diabetologen, Orthopäden/Chirurgen, Angiologen, Podologen und Orthopädietechnikern ist wünschenswert. Zu den empfohlenen Maßnahmen in der Prävention von diabetischen Ulcera gehören unter anderem engmaschige Kontrollen der Füße (auf Blasen, Druckstellen, Rötungen, Hauteinrisse, Hyperkeratosen) durch medizinisch geschultes Personal. Weitere Maßnahmen sind unter anderem die medizinische Fußpflege, adäquates für Diabetiker geeignetes Schuhwerk, Vermeidung von Nikotin und Alkohol, regelrechte Einstellung des Blutzuckers und eine diabetologische Anbindung mit Teilnahme an entsprechenden Schulungen. Bei Abwesenheit von Neuropathie wird von der IWGDF (International Working Group on the Diabetic Foot) eine jährliche Kontrolle empfohlen. Bei bekannter PNP alle 6 Monate und bei zusätzlich nachgewiesener pAVK alle 3 Monate. Das höchste Risiko für die Entwicklung von Fußläsionen bei Diabetes haben Patienten mit einem früheren Ulkus. Hier wird eine Kontrolle alle 1-3 Monate empfohlen.
Die minimalinvasive Fußchirurgie und deren Vorteile bei Diabetes
Die OP-Indikationen bei Patienten mit einem diabetischen Fußsyndrom (DFS) werden häufig sehr zurückhaltend gestellt und in vielen Fällen verzögert, wenn es bereits zu manifesten Infektionen oder Komplikationen gekommen ist. Aufgrund der hohen Prävalenz von Begleiterkrankungen, der Mikro- und Makroangiopathie und dem eingeschränkten Wundheilungspotential besteht eine deutlich erhöhte postoperative Komplikationsrate und Morbidität. Minimalinvasive operative Interventionen könnten hier in Zukunft das Risiko für perioperative Komplikationen senken. Durch kleinere operative Zugänge, sog. „Schlüssellochtechnik“, besteht eine geringere Zugangsmorbidität, das Risiko für Wundheilungsprobleme und Nachblutungen kann reduziert werden. Die Eingriffszeiten lassen sich nach entsprechender Lernkurve in geübter Hand im Vergleich zum offenen Vorgehen in vielen Fällen verkürzen. Je nach Eingriff ist auch eine schnellere postoperative Belastbarkeit und Rehabilitation möglich. Teilweise kann auf die zusätzliche Verwendung von stabilisierenden Implantaten verzichtet werden.
Zu den typischen Indikationen für eine minimalinvasive operative Therapie beim diabetischen Fußsyndrom und Charcotfuß zählen rezidivierende Druckstellen mit Schwielenbildungen und drohende Ulzerationen. Hier kann man in vielen Fällen auch prophylaktisch behandeln. Durch das minimalinvasive Vorgehen können störende Knochenkanten und Knochenvorsprünge, die im Verlauf häufig zu Druckstellen, Ulzerationen bis hin zu Infektionen und Osteomyelitiden führen, zuverlässig abgetragen werden. Dadurch lassen sich bei rechtzeitiger Intervention die Komplikationsraten reduzieren und schwerwiegende Infektionen und Amputationen in vielen Fällen vermeiden. Besteht bereits ein Weichteilinfekt, sollte vor einer knöchernen Korrektur möglichst eine Infektsanierung erfolgen. Dies ist jedoch nicht in jedem Fall zu gewährleisten. Eine Osteosynthese sollte bei einer chronischen Infektion oder tieferem Infekt mit ossärer Beteiligung vermieden werden. Eine manifeste Osteomyelitis bei tieferen Ulzerationen kann vor dem geplanten Eingriff mittels MRT-Diagnostik mit Kontrastmittel ausgeschlossen oder bestätigt werden.
Die Aufklärung bei einem minimalinvasiven Vorgehen erfolgt analog der offenen Verfahren, bei weitgehend identischen Risiken. Es sollte auch bei einem geplanten minimalinvasiven Vorgehen immer über die möglicherweise notwendige Konversion zur offenen Operation aufgeklärt werden.
Zu den speziellen Risiken eines minimalinvasiven Vorgehens zählen unter anderem eine manchmal längere lokale Schwellneigung, thermische Hautverletzungen an den Portalen (Risikominimierung durch kontinuierliche Spülung und Arbeiten ohne Blutsperre), heterotope Ossifikationen durch in situ verbliebenes Knochenmehl (Risikominimierung durch ausgiebige Spülung der Portale), eine intraoperative erhöhte Strahlenbelastung durch häufigere Röntgenkontrollen, sowie teilweise weniger präzise Osteotomien und eine verzögerte knöcherne Konsolidierung.
Ursachen für diabetische Fußulcera und ihre Folgen
Das Risiko für Entwickelung von Fußulzera ist bei Diabetespatienten bis 45-fach erhöht. Fußläsionen in dieser Patientengruppe sind das Ergebnis eines multifaktoriellen Geschehens mit oft mehreren Risikofaktoren. Periphere Neuropathie (PNP), Ischämie und Infektionen sind die drei wesentlichen pathologischen Faktoren in der Entstehung einer diabetischen Fußläsion. Durch die Neuropathie, welche insbesondere die intrinsische Fußmuskulatur betrifft, entsteht ein Ungleichgewicht zwischen intrinsischer und extrinsischer Muskulatur. Dies kann zu Fehlstellung im Bereich des Vorfußes (z.B. Zehenfehlstellungen, Hallux valgus, Hallux flexus) führen. Durch erhöhte Blutzuckerspiegel kommt es zu einer nichtenzymatischen Glykosylierung von kollagenreichem Weichteilgewebe (Kapsel, Ligamente, Sehnen und Haut). Dies führt wiederum zu einer erhöhten Steifigkeit des Weichteilgewebes mit resultierender erhöhter plantarer Druckbelastung 13.
Auch eine Verkürzung der Achillessehne und Wadenmuskulatur wird häufig bei Patienten mit DFS beobachtet 14. Dies erhöht die Belastung im Vorfußbereich und kann die Ulkusentwicklung insbesondere im Vorfußbereich begünstigen. Fußfehlstellungen, Sehnenungleichgewichte und falsches Schuhwerk führen zu einer lokalen Überlastung des Gewebes. Es bilden sich vermehrte Hornhautschwielen und Druckstellen. Auch repetitive Mikrotraumen oder unbemerkte Hautverletzungen zählen zu den Ursachen von Ulcera. Als weitere Ursache für die Entwicklung von Ulcera wird die vermehrte Atrophie der plantaren Weichteile, insbesondere des Fettpolsters und die dadurch reduzierte Polsterung der Metatarsaleköpfchen bei Patienten mit Diabetes beschrieben 15. Die reduzierte Schutzfunktion der Haut, bedingt durch eine verringerte Schweißproduktion und Störung der normalen Säureschutzbarriere, trägt zusätzlich zur Entwicklung von Druckstellen und Infektionen bei.
Fehlstellungen des Fußes mit prominenten Knochenvorsprüngen führen ebenfalls zu lokalen Druckspitzen beim Auftritt. Die Druckbelastung kann unter anderem in der Pedobarographie sowie belasteten Röntgen-/DVT-Aufnahmen objektiviert werden.
Chronische Ulcera führen längerfristig zu einer oberflächlichen Infektion des Fußes. Über die Zeit kann sich die Infektion in tiefere Gewebsschichten ausbreiten und den Knochen befallen. Bei einem ungünstigen Verlauf kann der Fuß so stark geschädigt werden, dass eine Amputation nicht mehr zu vermeiden ist. Wiederum begünstigen Teilamputationen die Entwickelung von weiteren Druckstellen und Ulzerationen sodass Folgeeingriffe häufig sind. Ohne Behandlung bzw. Vorbeugung liegt das Rezidivrisiko bei über 65 % 16.
Einteilung mechanischer Ulcera beim DFS
Zum Lesen der Bildbeschreibung und zur Vollansicht bitte das Bild anklicken.
Abbildung 1
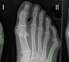
1. Das Tip-Toe-Ulkus/dorsales PIPG-Ulkus der Kleinzehen
Die Ulcera im Bereich der Kleinzehen konzentrieren sich beim Diabetes-Patienten in der Regel auf zwei Areale. Das Tip-Toe-Ulkus bezeichnet ein Ulkus an der Spitze der Kleinzehen bzw. an der Zehenbeere. Dieses Ulkus ist häufig auch mit rezidivierenden Paronychien vergesellschaftet. Die zweite Risikozone findet sich dorsale des proximalen Interphalangealgelenkes (Abb. 2 A+B).
Zum Lesen der Bildbeschreibung und zur Vollansicht bitte das Bild anklicken.
Abbildung 2
Im Rahmen der Neuropathie kommt es zu einem erhöhten Tonus der Zehenflexoren. Die zunehmende Destruktion der plantaren Platten im Bereich der Metatarsophalangealgelenke (MTP-Gelenke) unterstütz zusätzlich die Entwicklung von Krallen- bzw. Hammerzehen. Aus der Flexionsstellung im DIP-Gelenk resultiert eine vermehrte Druckbelastung im Bereich der Zehenbeere, was zu rezidivierenden Ulcera führen kann. Sowohl bei Hammerzehen als auch bei Krallenzehen kann es zu Druckulcera im Bereich der proximalen Interphalangealgelenke kommen. Ungeeignetes Schuhwerk mit einem zu engen Zehenraum tragen ebenfalls zur Ulkus Entstehung bei.
Eine minimalinvasive operative Therapie beinhaltet die Verlängerung der Extensoren- und Flexorensehnen und/oder die knöcherne Korrektur der Zehen (siehe Beitrag "Minimalinvasive Korrektur von Kleinzehen").
In einem ambulanten Setting kann in Lokalanästhesie im Bereich der Metatarsophalangealgelenke von plantar die lange Flexorensehne mit einem Skalpell oder einer Injektionsnadel durchtrennt werden. Diese Maßnahme erlaubt die Zehe zu strecken. Postoperativ wird ein redressierender Tapeverband für 2-3 Wochen angelegt. Studien berichten von einer Heilungszeit der Ulcera von 29,5 Tagen mit einer Heilungsrate von 97 %. Die Rezidivrate wird mit 6 % angegeben 17.
Häufig finden sich im Bereich der Zehen länger bestehende, kontrakte Fehlstellungen. Diese sind durch eine alleinige Weichteilekorrektur schlecht zu adressieren. Aus diesem Grunde kann hier eine plantar flektierende Osteotomie der Grundphalanxbasis über ein mediales, laterales oder plantares Portal gefräst werden. Eine weitere Stellungskorrektur läßt sich durch eine dorsalflektierende Osteotomie der Mittelphalanx über ein mediales oder laterales Portal erreichen. Dadurch wird die Zehe knöchern korrigiert. Die Osteotomien in closing wedge Technik verkürzen den Knochen, was wiederum die Beuge- und Strecksehne entspannt. Sollte eine Restfehlstellung durch erhöhten Sehnenzug oder Kaspelkontrakturen bestehen bleiben, kann zusätzlich noch die Sehnen tenotomiert und die Gelenkkapsel perkutan inzidiert werden.
Zum Lesen der Bildbeschreibung und zur Vollansicht bitte das Bild anklicken.
Abbildung 3
2. Plantares IPG-Ulkus der Großzehe (Plantares Index Ulkus)
Das plantare Index Ulkus befindet sich am plantaren Aspekt der Großzehe, in den meisten Fällen ist dieses unter dem Interphalangealgelenk, leicht medialseitig lokalisiert. Typischerweise findet sich eine starke Verhornung um den zentralen Ulkusanteil. Gelegentlich tritt es auch rhagadenförmig auf. In der Literatur wird die Häufigkeit der Ulcera im Bereich des plantaren Aspekts der Großzehe mit 22 % angegeben 18. Im eigenen Patientengut scheint das beschriebene Ulkus einen Anteil von etwa 5 Prozent auszumachen.
Ursächlich ist meist eine Bewegungseinschränkung des Großzehengrundgelenkes, welche zu einer mechanischen Überbelastung der plantaren Großzehe führt. Ziel der operativen Behandlung ist es, die plantare Druckbelastung zu senken, indem die Beweglichkeit am Großzehengrundgelenk und IP-Gelenk gesteigert wird. Bei einer Achsabweichung wird auch das Alignement wiederhergestellt. Diese Korrektur ist auch in minimalinvasiver Technik möglich. Ähnlich wie bei einer OP nach Keller/Brandes wird die Basis der Grundphalanx D1 über ein mediales und laterales Portal etwas distal des Großzehengrundgelenkes reseziert 19. Mit einer dicken Walzenfräse wird die Basis der Grundphalanx D1 über das mediale Portal abgetragen. Das Bohrmehl wird über das laterale Portal entfernt. Wichtig ist das vollständige Ausspülen des Bohrmehls, um eine sekundäre Versteifung des Gelenkes durch Ossifikationen zu verhindern. Das Ausmaß der Resektion der Grundphalanxbasis hängt von der Bewegungseinschränkung ab. Es wird so viel Knochen abgetragen, bis eine Dorsalextension der Großzehe möglich ist. Dabei wird der plantare Aspekt des Grundgliedes mit dem Ansatz des Flexor hallucis brevis möglichst erhalten 20. Eine Transfixation des Großzehengrundgelenkes durch einen von distal eingebrachten K-Draht wird aufgrund der Gefahr einer Draht-Infektion bei vorliegendem Ulkus möglichst vermieden. Die Nachbehandlung erfolgt im Verbandsschuh mit steifer Sohle für drei bis sechs Wochen. In dieser Zeit wird das Großzehengrundgelenk in die Dorsalextension beübt, mit dem Ziel, die Beweglichkeit zu erhalten bzw. zu verbessern. Im Anschluss wird der Wechsel auf einen diabetesadaptierten Therapieschuh empfohlen.
Bei milder Ausprägung des Ulkus ist eine minimalinvasive Cheilektomie am Großzehengrundgelenk häufig ausreichend. Eine ossäre Prominenz plantar des IP-Gelenks (z.B. akzessorisches Sesambein) sollte, falls vorhanden, ebenfalls operativ entfernt werden 21.
Zum Lesen der Bildbeschreibung und zur Vollansicht bitte das Bild anklicken.
Abbildung 4
3. Dorsales Ulkus am Interphalangealgelenk der Großzehe (Dorsales Index Ulkus)
Eine Krallenzehenfehlstellung im Bereich der Großzehe (Hallux flexus oder Hallux malleus) führt zu einer mechanischen Druckbelastung im Schuh, sowohl im Bereich der Spitze der Endphalanx als auch am dorsalen Aspekt des Interphalangealgelenkes. Die Lokalisation des Ulkus hängt sowohl von der Ausprägung der Fehlstellung als auch vom getragenen Schuhwerk ab. Häufig treten lokale Infektionen auf, die zur Osteomyelitis und schlimmstenfalls zu einem Verlust der Großzehe führen können.
Das Tiefertreten des Metatarsale-I-Köpfchens ist typisch für neuropathische Fußveränderungen. Die Fehlstellung entsteht durch einen vermehrten Zug der Peroneus-longus-Sehne, bei gleichzeitiger Erhöhung des Tonus der EHL- und der FHL-Sehne. Hieraus resultiert eine plantare Druckerhöhung im Bereich des Metatarsale-I-Köpfchens. Zusätzlich entwickelt sich eine Hyperextensionsstellung im Metatarsophalangealgelenk und eine Flexionsstellung im Interphalangealgelenk 2223.
Zur Korrektur der Fehlstellung und zur Ulkus-Behandlung kann in minimalinvasiver Technik über ein mediales Portal eine Walzenfräse in das Interphalangealgelenk eingebracht werden. Über ein zweites laterales Portal wird nach Resektion der Gelenkflächen der Knochenabrieb ausgespült. Sobald ausreichend Knochen reseziert ist, kann die Zehe gestreckt werden. Die beiden abgetragenen Knochenflächen werden im Sinne einer IP-Arthrodese aufeinandergestellt. Es erfolgt dann die Transfixation der Arthrodese mittels ein bis zwei, über die Spitze der Endphalanx eingebrachten Zugschrauben. Problematisch ist es, wenn sich an dieser Stelle unverändert ein Ulkus befindet. In diesem Falle ist die Transfixation der Arthrodese mit zwei perkutan eingebrachten, schräg verlaufenden Kirschner-Drähten weniger risikoreich. Der Eintrittspunkt der K-Drähte befindet sich hier medial und lateral im Bereich der Endphalanx. Bei persistierender Fehlstellung kann je nach Vorspannung eine Tenotomie der EHL- und/oder der FHL-Sehne durchgeführt werden. Normalerweise entspannt sich die Sehne durch die Knochenresektion und den damit verbundenen Längenverlust ausreichend. Zur Korrektur der Fehlstellung „wird die Knochenlänge an die Sehnenlänge angepasst“.
Zum Lesen der Bildbeschreibung und zur Vollansicht bitte die Bilder anklicken.
Abbildung 5
Abbildung 6
Abbildung 7
Abbildung 8
4. Plantares metatarsales Ulkus des Hallux (MTK-1)
Eines der häufigsten diabetischen Ulcera befindet sich unter dem Os metatarsale I-Köpfchen (Abb. 9). In einer Kohorte von 61 Patienten mit diabetischer Neuropathie und Ulkus war diese Lokalisation mit 43 % am häufigsten (Abb. 10) 24.
Zum Lesen der Bildbeschreibung und zur Vollansicht bitte die Bilder anklicken.
Abbildung 9
24. Foto: M. Walther."> 24. Foto: M. Walther." srcset="/assets/images/a/10-zstj7z0e1p9m220.jpg 1x, /assets/images/0/10-61xm0w5sshb4320.jpg 1.5x, /assets/images/9/10-gayz62v7ytpqsa6.jpg 1.574x" width="270" height="240" loading="lazy">
Abbildung 10
Der vermehrte Druck unter dem Os metatarsale I Köpfchen ist ein weiterer Aspekt der für eine typische neuropathische Konfiguration des 1. Strahls. Im Rahmen der peripheren Polyneuropathie kommt es zu einem erhöhten Tonus der Peroneus-longus-Sehne mit vermehrter Plantarisierung und Steilstellung des Os metatarsale I. Dadurch erhöht sich der plantare Spitzendruck im Bereich des Os metatarsale I Köpfchens. Durch einen vermehrten Zug der EHL- und FHL-Sehne resultiert die schon dargestellte Krallenzehenfehlstellung der Großzehe und damit längerfristig eine dorsalseitige Subluxation des Großzehengrundgelenkes. Dieser Mechanismus begünstigt wiederum eine weitere Plantarisierung des Os metatarsale 1 Köpfchens und Steigerung des plantaren Spitzendrucks.
Um die Steilstellung des ersten Os metatarsale und die damit verbundene Entwicklung eines plantaren Ulkus unter MTK-1 zu verhindern, kann in minimalinvasiver Technik durch eine schräg verlaufende, dorsalbasige Keilosteotomie im proximalen Anteil des Os metatarsale I das Metatarsaleköpfchen angehoben werden. Diese Maßnahme führt zu einer Druckreduktion und in der Regel zu einer Abheilung des Ulkus. Die Osteotomie wurde 1998 erstmalig in der offenen Technik beschrieben, wird aber inzwischen auch in minimalinvasiver Technik durchgeführt 25. Über einen dorsomedialen Hautschnitt wird am ersten Strahl ein dorsalbasiger, nach distal geöffneter Keil reseziert (Abb. 11). Der Eintrittspunkt der Fräse befindet sich knapp distal des Tarsometatarsale-I-Gelenks. Die plantare Kortikalis des Os metatarsale I wird dabei erhalten. Die Breite des dorsalen Keils bestimmt das Ausmaß der Korrektur und kann durch Verwendung einer entsprechenden Fräse modifiziert werden. Durch einen Keil mit einer Basis von 3,4 mm lässt sich das Os metatarsale I um ca. 5° anheben. Hat der dorsale Keil eine Basis von 6,7 mm, wird die Achse des Os metatarsale I um 10° nach dorsal korrigiert (Abb. 12). Wird eine Korrektur von ca. 5° angestrebt, bietet sich an, eine Fräse mit einem Durchmesser von 2 mm zu verwenden. Der Substanzverlust bei einem Schnitt liegt bei 2-2,5 mm. Für eine weitere Knochenresektion wird die Osteotomie durch plantaren Druck auf das Os metatarsale I Köpfchen geschlossen und die Fräse nochmals durch die geschlossene Osteotomie geführt. Durch mehrmalige Wiederholung dieser Prozedur lässt sich die Korrektur sehr genau einstellen. Für eine Korrektur von 10° oder mehr kann eine Keilfräse mit entsprechend größerem Durchmesser verwendet werden. Nach Schließen der Osteotomie erfolgt die temporäre Fixation mittels eines K-Drahtes und die Osteosynthese mit einer oder zwei Zugschrauben. Die Nachbehandlung beinhaltet eine sechswöchige Ruhigstellung im Verbandsschuh unter Fersenbelastung.
Zum Lesen der Bildbeschreibung und zur Vollansicht bitte das Bild anklicken.
Abbildung 11
Tabelle 1: In der Tabelle wird der Grad der Korrektur in Abhängigkeit des entfernten dorsalen Keils bei einer schräg verlaufenden Keilosteotomie des Os metatarsale 1 angegeben 26.
Grad der gewünschten Dorsalextension
Benötigte Länge des dorsalbasigen Keils
5°
3,4 mm
10°
6,7 mm
15°
11,0 mm
20°
14,5 mm
25°
19,0 mm
Zum Lesen der Bildbeschreibung und zur Vollansicht bitte das Bild anklicken.
Abbildung 12
5. Plantares metatarsales Ulkus des 2.-5. Strahls
Eine weitere häufige Lokalisation für Ulzerationen sind die Mittelfußköpfchen 2, 3, 4 und 5. Hier findet sich das Ulkus direkt unter den Mittelfußköpfchen. Aufgrund der im Alter häufigen Atrophie des plantaren Fettpolsters fehlt die Schutzschicht der Fußsohle und es kann zu einem Ulkus mit freiliegendem Knochen kommen. Dies führt folglich häufig zu einer Knocheninfektion und chronischen Osteomyelitis. Als therapeutische Option verbleibt meist nur die Resektion des betroffenen Mittelfußköpfchens. Studien zu Folge sind die Ulcera am häufigsten unter dem zweiten und fünften Mittelfußköpfchen zu finden 24. Die durchschnittlich höchste Druckbelastung in einer Reihenuntersuchung an neuropathischen Füßen konnte im Bereich des zweiten und dritten Mittelfußköpfchens gemessen werden 27.
Die Neuropathie führt zu einer Hypotrophie der intrinsischen Fußmuskulatur mit Tiefertreten der Mittelfußköpfchen 2, 3 und 4. Gleichzeitig kommt es zu einer Verschiebung des plantaren Fettpolsters nach distal. Diese Faktoren erhöhen die Druck- und Scherbelastung der Haut im Bereich der Mittelfußköpfchen, was dort die Ulkusbildung begünstigt 2829. Weitere Ursachen für eine Ulkusentwicklung im Bereich der Mittelfußköpfchen ist die gestörte Druckverteilung nach Resektion einzelner Metatarsale-Köpfchen (z. B. im Rahmen der Therapie einer Osteomyelitis). Die Resektion eines Metatarsale-Köpfchens führt zu einer mechanischen Überbelastung (s. g. „Transferläsion“) des benachbarten Knochens. Des Weiteren kann es durch Frakturen z. B. im Rahmen der Neuroosteoarthopathie zur Verkürzung einzelner Mittelfußknochen kommen, was ebenfalls zu einer relativen Überbelastung der benachbarten Mittelfußknochen führt.
Es wurde bereits vor 40 Jahren versucht mittels offener Mittelfußosteotomien den plantaren Druck unter den Mittelfußköpfchen zu reduzieren und damit Ulzera zur Abheilung zu bringen 30. Inzwischen werden diese Osteotomien zunehmend in minimalinvasiver Technik durchgeführt. Bei der distalen minimalinvasiven Metatarsale-Osteotomie (DMMO) werden über kleine Stichinzisionen schräge Osteotomien im subkapitalen Bereich der Metatarsalia durchgeführt 31 (siehe Beitrag "Minimalinvasive distale metaphysäre Metatarsaleosteotomie (DMMO)"). Bei der DMMO liegt die Hautinzision medial oder lateral der Strecksehnen in Höhe des Gelenkspalts des Metatrsophalangealgelenks. Über einen ca. 2–3 mm langen Hautschnitt erfolgt das stumpfe Abschieben der Weichteile. Unter Durchleuchtungskontrolle wird eine Shannon-Fräse (12 mm x 2 mm) in 45° Neigung an das Metatarsale angelegt 32. Die Osteotomie wird unter ständigem Knochenkontakt halbmondförmig extrakapsulär fortgesetzt bis die Fräse schließlich nach dorsal quer zur Schaftachse ausgeführt wird. Ein sorgfältiges Ausspülen des Knochenabriebs zur Vermeidung heterotoper Ossifikationen wird empfohlen. Nach Ausspülen des Portals erfolgt der Wundverschluss mittels Einzelknopfnaht oder mit einem Klammerpflaster. Einer neueren Studie zufolge erzielt eine Verschiebung der Osteotomie nach proximal in den distalen diaphysären Anteil des Mittelfußknochens eine noch größere Korrektur und dadurch eine stärkere Druckentlastung im Bereich des Mittelfußköpfchens. Eine Ausheilung des Ulkus scheint hier noch wahrscheinlicher. Pseudarthrosen konnten die Autoren keine beobachten 28.
Zum Lesen der Bildbeschreibung und zur Vollansicht bitte das Bild anklicken.
Abbildung 13
6. Laterales metatarsales Schneiderballenulkus
Neben dem Ulkus unter dem fünften Mittelfußköpfchen ist das Ulkus lateral des fünften Mittelfußköpfchens als eigene Entität zu sehen. Ursächlich hierfür ist der Schneiderballen bzw. der Digitus quintus varus. Die Klassifikation erfolgt beim neuropathischen Fuß mit den üblichen Einteilungen. Die Klassifikation nach Coughlin unterscheidet drei Typen. Typ 1 mit einem verbreiterten lateralen Metatarsaleköpfchen. Der Typ 2 ist durch eine vermehrte distale lateralisierende Krümmung des fünften Mittelfußknochens gekennzeichnet. Der Typ 3 wird durch einen erhöhten Winkel zwischen vierten und fünften Mittelfußknochen (> 10°) charakterisiert 3334. In allen drei Fällen kommt es zu einer Drucküberbelastung lateral des fünften Mittelfußköpfchens. Beim neurologisch gesunden Fuß entsteht hier eine Druckstelle, die zu Schmerzen führt. Beim neuropathischen Fuß entwickelt sich eine Ulzeration. Unabhängig vom oben beschriebenen Typ der Fehlstellung scheint eine distale minimalinvasive Metatarsale-Osteotomie (DMMO), wie unter 5. beschrieben, zur Behandlung geeignet zu sein. Lediglich beim Typ 1 nach Coughlin kann es ausreichen die laterale Prominenz mit der minimalinvasiven Fräse abzutragen.
Zum Lesen der Bildbeschreibung und zur Vollansicht bitte das Bild anklicken.
3334. Fotos: M. Walther."> 3334. Fotos: M. Walther." srcset="/assets/images/5/14-5mffefmpf00njn5.jpg 1x, /assets/images/p/14-wzj98181jvwxz39.jpg 1.5x, /assets/images/2/14-jdtpteja4aphm2v.jpg 1.589x" width="270" height="240" loading="lazy">
Abbildung 14
7. Mediales talonavikuläres oder tarsometatarsales Gewölbekollapsulkus
Das mediale Gewölbekollapsulkus ist üblicherweise im Bereich des Talonaviculargelenkes oder Tarsometatarsalgelenkes lokalisiert. Es tritt fast ausschließlich im Zusammenhang mit der Charcot-bedingten Fußdeformität auf. Typischerweise handelt es sich um den Typ 1 der Klassifikation für Mittelfußdeformitäten nach Lew Schon. Dieser findet sich in ca. 33 % aller neuroosteoarthropathischen Mittelfußdeformitäten. Die Füße sind klinisch durch eine schwere Abduktuskomponente, sowie ein Absinken der medialen Säule und den Einbruch des Fußlängsgewölbes gekennzeichnet. Durch die Vorfußabduktion und das Absinken der medialen Fußsäule wird das tarsometatarsale oder talonaviculare Gelenk medialseitig prominent und zeigt äußerlich das Bild einer Exostose. Neben konservativen Therapiemaßnahmen, wie Bettung der Prominenz durch entsprechende Einlagenversorgung oder Maßschuhe, kann in minimalinvasiver Technik die plantare bzw. medioplantare Prominenz mit einer Walzenfräse abgetragen werden. Unter regelmäßigem Spülen wird der Knochenabrieb sorgsam herausgespült. Gelegentlich kommt es nach diesem minimalinvasiven Eingriff zur weiteren Zunahme der Fehlstellung mit Ulkusrezidiv. In diesem Fall besteht die Indikation zur offenen Korrektur der Fehlstellung mit Arthrodese der medialen Säule. Besteht bereits präoperativ eine relevante Instabilität des Mittelfußes, ist ebenfalls direkt die Stabilisierung der medialen Säule durch Arthrodesen vorzuziehen.
8. Plantares cuboidales Rockerbottom-Ulkus
Das plantare Rocker-Bottom Ulkus findet sich ausschließlich bei einer Charcot-Deformität. Es handelt sich hierbei um den Typ 2 und 3 der Klassifikation für Neuroosteoarthropathie des Mittelfußes nach Lew Schon. Typ 2 findet sich in 46 % dieser Patienten. Der Gewölbekollaps beinhaltet betrifft das naviculocuneiforme Gelenk sowie das metatarsaocuboidale Gelenk. Es kommt zu Schwielen und Exostosen im plantar-lateralen und plantar-zentralen Bereich des Fußes. Etwa 13 % der Deformitäten können dem Typ 3 zugeteilt werden. Kennzeichnend ist die Instabilität des Os naviculare und des calcaneocuboidalen Gelenkes. Typischerweise tritt hier die klassische Rocker-Bottom-Deformität und das dazugehörige plantar-laterale Ulkus auf. In beiden Fällen ist weniger die Bildung einer neuen knöchernen Prominenz, sondern vielmehr die Instabilität und Dislokation des Os cuboideums ursächlich. In seltenen Fällen können konservative Therapiemaßnahmen eine Abheilung der Ulcera erwirken, die Instabilität des Fußes kann jedoch in den seltensten Fällen ausgeglichen werden. Bei geringer und moderater Instabilität der beschriebenen Gelenke können über ein laterales Portal mit einer Walzenfräse die prominenten Anteile des Os cuboideum minimalinvasiv abgetragen werden. Der Knochenabrieb wird sorgfältig über das Portal ausgewaschen. Bei größerer Instabilität kommt es nach der Entfernung des prominenten Knochens häufig zu einem Nachsintern, was die Entwicklung eines Ulkusrezidivs begünstigt. In einer Studie wurden Heilungsraten von fast 75 % nach Abtragung der plantar-lateralen und plantar-zentralen Exostosen berichtet. Hierbei neigten Patienten mit Läsionen im Bereich der lateralen Fußsohle und Patienten mit einem postoperativ abgesunkenem calcanearem Neigungswinkel häufiger zu Rezidiven 35.
Zum Lesen der Bildbeschreibung und zur Vollansicht bitte das Bild anklicken.