Einzelne Textauszüge und Bildmaterial dieses Online-Textbuches wurden auch in einer Übersichtsarbeit publiziert, die unter dem Titel "Radiologisch-Nuklearmedizinische Hybrid-Diagnostik mit SPECT/CT bei chronischen Fuß- und Sprunggelenkserkrankungen" in der Zeitschrift "Die Orthopädie" erschienen ist, DOI 10.1007/s00132-023-04377-3.
Diese Übersichtsarbeit ist über Open Access frei zugänglich: https://link.springer.com/article/10.1007/s00132-023-04377-3

Kurzzusammenfassung

Zahlreiche Erkrankungen des Fußes bzw. der Sprunggelenke können treffsicher (> 90 %) mit Hilfe der SPECT/CT im Hinblick auf ihre klinische Relevanz diagnostiziert werden: exemplarisch insbesondere Fußwurzelarthrosen, Osteochondrale Läsionen, Sprunggelenk-Impingement, Coalitionen, Stressfrakturen, Sesambein-Pathologien, knöcherne Akzessoria,  Arthrodesen-Komplikationen, Prothesen-Komplikationen, Arthritiden, Osteomyelitis, Diabetischer Fuß, Knochen-Nekrosen und Sehnen­pathologien.

Mehrere Studien haben nachgewiesen, dass ein fokal erhöhter Knochenmetabolismus bei Arthrosen und Osteochondrosen hochsignifikant mit der Schmerzentstehung korreliert. Die Präsenz von symptomatischen Ossikeln, wie zum Beispiel Os naviculare accessorium Typ II und Os trigonum, können mit Hilfe der SPECT/CT eindeutig nachgewiesen und mit keinem anderen bild­gebenden Verfahren so zuverlässig als Symptom-Quelle zugeordnet werden. Auch knöcherne Reaktionen im Bereich von Coalitionen, Arthrodesen, Osteosynthesen, okkulten Frakturen und Prothesen können mit keiner anderen bildgebenden Methode in vergleichbarer Genauigkeit nachgewiesen werden. Die Tatsache, dass durch die gleichzeitige detaillierte Computertomographie die Röntgenanatomie visualisiert wird, ermöglicht in Kenntnis der Fülle der spezifischen morphologischen Röntgenzeichen von Skeletterkrankungen eine spezifische Diagnose. Zum Beispiel können die bei Arthritiden typische gelenknahe Osteoporose, die Arrosion der "bare area" an den Gelenkrändern oder feinfleckige Osteolysen und knöcherne Destruktionen bei Osteomyelitiden detektiert werden. Studien haben überdies gezeigt, dass eine frühe Weichteil-SPECT/CT Tendinitiden nachweisen kann.

Letztlich sollte die Indikation zu einer SPECT/CT in Abhängigkeit des klinischen Verdachtes unter Berücksichtigung der o. g. Diagnosen oder bei unklarer vorhergehender Bildgebung (Sonographie, Röntgen und MRT) gestellt werden, wobei mehrere Studien nachgewiesen haben, dass Therapie-Konzepte, lediglich basierend auf MRT-Befunden, durch die Zusatz-Info des SPECT/CT in bis zu ⅔ der Fälle geändert werden.

Einleitung

Im Fuß sind 28 Knochen, 33 Gelenke, ca. 107 Ligamente und 19 Muskeln und Sehnen vorhanden, welcher somit eine der komplexesten anatomischen muskulo-skelettalen Regionen des Körpers darstellt. Verschiedenste Zug- und Druckkräfte wirken dreidimensional auf unterschiedliche Komponenten während Belastung und Bewegungen ein. Störungen in diesem komplexen Gefüge, seien sie angeboren, posttraumatisch bedingt, infolge von Arthrosen, Arthritiden, Osteoporose oder Diabetes entstanden, führen zu chronischen Beschwerden, die mit den Standard-Methoden wie Röntgen (mit und ohne Belastung), Sonographie, CT (mit und ohne Belastung) und MRT nur begrenzt erfassbar sind 12.

In dem komplexen System "Fuß" können außerdem koexistente Pathologien auftreten, die mit den o. g. Standard-Methoden nicht ausreichend sensitiv und spezifisch detektiert und differenziert werden können, so dass der Bedarf nach weiteren präzisen bildgebenden Verfahren in der Fuß- und Sprunggelenks-Chirurgie hoch ist. Die SPECT/CT bietet dazu eine wertvolle Ergänzung des bildgebenden Spektrums 34567.

Der Vorteil der Methode liegt in der Kombination einer sensitiven Detektion eines pathologisch gesteigerten Knochen­stoffwechsels und einer sehr hohen CT-morphologischen Ortsauflösung im Submillimeterbereich (0,6 mm) in einer anatomisch komplexen und variantenreichen Körperregion. Damit ergibt sich eine präzise Bildqualität wie sie für eine chirurgische Therapie­planung ideal ist. Dabei werden immer beide Füße und Sprunggelenke parallel dargestellt, so dass auch Seitenvergleiche die Zuordnung von bestimmten Veränderungen erleichtern können. Die Schnittebenen können im Gegensatz zur MRT auch nach Abschluss der Untersuchung frei gewählt und so Pathologien optimal herausgearbeitet und präsentiert werden.

Die zugrundeliegende szintigraphische Mehrphasen-Untersuchungstechnik ermöglicht in den Frühphasen (bis 15 min nach Injektion der Untersuchungs-Substanz bzw. des Radiopharmakon) die Messung der Gewebedurchblutung, womit der Grad der entzündlichen Aktivierung von Veränderungen eingestuft werden kann. Die verabreichte Menge an radioaktivem Tracer sowie die Strahlenexposition durch die CT ist insgesamt als sehr niedrig einzustufen, so dass für die Patienten praktisch kein signifikantes Gesundheitsrisiko entsteht (siehe Abschnitt Strahlenschutz-Aspekte).

Der Knochenmetabolismus, der 120 min nach Injektion des Radiopharmakon gemessen werden kann, repräsentiert die Antwort des Knochengewebes auf Belastung (Druck oder Zug), indem die Osteoblastenaktivität stimuliert wird. Die Anreicherung des Tracers ist proportional zur Osteoblastenaktivität 8910. Über die knöchernen Insertionen von Sehnen und Bändern werden Zugkräfte auf Osteoblasten im Knochen übertragen 11. Jüngste Studien weisen darauf hin, dass die SPECT/CT auch vorliegende Band-Läsionen nachweisen kann. Traumata bzw. chronischer Stress auf Bänder führen in diesen selbst zu Entzündungen bzw. Tendinitiden oder zu einem erhöhten Metabolismus im Bereich der Insertionen (siehe Abschnitt SPECT/CT im direkten Vergleich mit der MRT).

SPECT/CT bei Arthrose

Die enge anatomische Beziehung der Mittel- und Rückfuß-Gelenke bei gehäuft nur subtilen morphologischen Veränderungen, die jedoch Schmerzen verursachen können, kann mit Hilfe der SPECT/CT übersichtlich differenziert werden.

Unter der Annahme, dass die SPECT/CT Schmerz-verursachende Gelenke identifizieren kann, injizierten Kretzschmar et al. Lokalanästhetika in Gelenke mit dem höchsten Stoffwechsel im SPECT/CT. Bei 90 % der Patienten (n=30) wurde ein signifikantes Therapie-Ansprechen dokumentiert:  Schmerz-Reduktion gemäß VAS (Visual Analog Scala) > 50 %. Der Vergleich der SPECT/CT-Befunde mit dem klinischen Verdacht, welche Gelenke Schmerz-verursachend sind, ergab 100 % Diskrepanz im Mittelfuß (!) und 33 % Diskrepanz im Rückfuß bei im durchschnittlich 53 % Diskrepanz. Somit kann der Therapieerfolg einer Schmerz-Infiltration mit dem SPECT/CT signifikant genauer vorhergesagt werden als mit einer klinischen Beurteilung 12.

Singh et al. untersuchten den Therapieerfolg von 50 Patienten, die wegen komplexer Fuß- und Sprunggelenksbeschwerden ein ergänzendes SPECT/CT erhielten. Die SPECT/CT-Befunde führten bei 78 % (39/50) zu einer Modifikation des Therapieplanes. 92 % der Patienten profitierten von der SPECT/CT-gesteuerten Injektion (n=15) oder Operation (n=13) und waren im Verlauf beschwerdefrei 4.

Parthipun et al. untersuchten den Stellenwert der SPECT/CT bei 52 Patienten mit schmerzhaften Fußwurzelarthrosen. Bei 37 % Änderung der geplanten Injektion (0,5 % Bupivacain und 80 mg Methylprednisolon) durch die SPECT/CT-Befunde. Die Erfolgsrate betrug 88 % entsprechend einer Schmerzreduktion von mindestens 50 % gemäß VAS. Die SPECT/CT wurde von den Autoren als hilfreiche Ergänzung zur klinischen Untersuchung eingestuft 13.

Es besteht eine hoch-signifikante Korrelation (p < 0.001) der Intensität der Anreicherung des Radiopharmakon mit der Schmerz-VAS (Visual Analog Scala): Impingement Syndrome können einer Sprunggelenksarthrose vorangehen, so dass ein frühzeitige SPECT/CT-Diagnose mit konsekutiver fußchirurgischer Intervention das Voranschreiten bzw. die Entwicklung einer Arthrose verhindern kann 14. Bei manifester Arthrose hingegen korreliert auch die Tiefe des Knorpelschadens signifikant mit dem Knochenmetabolismus 15.

Das Anreicherungsmuster der SPECT/CT liefert bei Valgus- und Varus-Fehlstellungen im Sprunggelenk prognostisch relevante Muster bei geplanter supramallelärer Umstellungsosteotomie. Bei Valgus-Fehlstellungen liegt die Hauptbelastung antero-medial und bei Varus-Fehlstellungen postero-lateral 1617. Gross et al. konnten bei 82 Patienten zeigen, dass Patienten mit zu beiden Seiten des Gelenkspaltes vorhandenen Speicher-Foci als Ausdruck einer fortgeschritteneren umschriebenen Arthrose, ein signifikant schlechteres Outcome nach einer supramalleolären Umstellungsosteotomie hatten 18.

Bildbeispiele Arthrose für Arthrosen sind in den Abbildungen 1.1. bis 1.4. dargestellt:

Abbildung 1.1. zeigt eine isolierte aktivierte fortgeschrittene Arthrose des 3. Lisfranc-Gelenkes am linken Fuß. Klinisch bestanden belastungsabhängige Schmerzen plantar im Mittel-/Vorfuß.

Abbildung 1.2. zeigt eine ausgedehnte posttraumatische Arthrose im linken OSG. Der metabolische Focus liegt in der Hauptbelastungszone.

Zum Lesen der Bildbeschreibung und zur Vollansicht bitte die Bilder anklicken. Bilder: H. C. Rischke

Abbildung 1.3.
Abbildung 1.3.a und Abbildung 1.3.b: Der Patient hatte einen Skiunfall vor 40 Jahren mit distaler Tibiatrümmerfraktur. Nachfolgend Entwicklung einer Osteomyelitis; Operation mit Implantation eines Knochenspans. Klinisch rezidivierende Schwellungen des oberen Sprunggelenkes, bekannte Tibiafehlstellung. Frage nach Osteomyelitis, Status der Arthrose. Man sieht in Abbildung 1.3.a in der distalen Tibiametaphyse im CT Strukturveränderungen, die zu einer abgelaufenen Osteomyelitis passen - szintigraphisch hier keinerlei Anreicherungen und somit kein Infektverdacht, jedoch Nachweis einer aktivierten oberen und unteren Sprunggelenksarthrose.

Zum Lesen der Bildbeschreibung und zur Vollansicht bitte die Bilder anklicken. Bilder: H. C. Rischke

Abbildung 1.4.
Abbildung 1.4.a und Abbildung 1.4.b: Klinisch Verdacht auf talonaviculare Anschlussarthrose links bei Z. n. Fraktur im Bereich des linken Sprunggelenkes vor 17 Jahren. und Z. n. Oberschenkel-Unterschenkelfraktur vor über 40 Jahren. Obwohl auch CT-morphologisch im OSG arthrotische Veränderungen bestehen, ist nur die Arthrose im USG metabolisch aktiv bzw. als Ursache der Schmerzen einzustufen. Im Bereich des Talonavicular-Gelenkes - entgegen der klinischen Verdachtsdiagnose - kein erhöhter Metabolismus.

Zum Lesen der Bildbeschreibung und zur Vollansicht bitte die Bilder anklicken. Bilder: H. C. Rischke

Zur Differenzialdiagnose Arthrose vs. Arthritis

Gelenkerkrankungen können nach Freyschmidt vereinfachend in Chondroarthropathien und Synovialisarthropathien eingeteilt werden (Freyschmidt, 2008). Jede Erkrankungsgruppe führt zu charakteristischen Röntgen-morphologischen Veränderungen, deren Beachtung unter Berücksichtigung weiterer Befunde, wie Befallsmuster (Skelettszintigramm!), etc. , die Einordnung pathologischer Veränderungen erleichtert. Sind sowohl der Gelenkknorpel als auch die Synovialmembran erkrankt, kommt es zu Überlappungen der radiologischen Phänomene (Freyschmidt, 2008).

Bei der Arthrose handelt es sich um eine klassische Chondroarthropathie. Durch Reduktion der Belastbarkeit des Gelenkknorpels kommt es bei fortgesetzter mechanischer Beanspruchung zu einer Zerstörung vor allem im Bereich der Druckübertragungszonen. Die Breite der Gelenkknorpelschicht reduziert sich, wodurch sich die knöchernen Gelenkpartner einander nähern bzw. sich der röntgenologische sichtbare Gelenkspalt verschmälert (Freyschmidt, 2008).

Dadurch, dass der subchondrale Knochen durch die Reduktion des stoßdämpfenden Gelenkknorpels stärker druckbelastet ist, entwickelt sich eine reaktive Sklerose, die die subchondrale Grenzlamelle verdichtet und verbreitert. Durch mechanische und sekundär trophische Störungen wird die subchondral gelegene Spongiosa zunehmend in den Krankheitsablauf einbezogen. Durch kleine Fissuren im Knorpel kann Synovialflüssigkeit und Zelldetritus in den Markraum hineingepresst werden, der mit einer entzündlichen bzw. umschriebenen osteoklastären Reaktion beantwortet wird. Dadurch entstehen subchondrale Hohlräume bzw. Geröllzysten. In der unmittelbaren Umgebung verdichtet sich der Knochen im Sinne eines reaktiven sklerotischen Randsaums, der die Zyste begrenzt. In den nicht druckbelasteten Abschnitten des Knochens, an den Gelenkrändern, entstehen Osteophyten, die von Faserknorpel überzogen sind. Solche Osteophyten sind von Osteoproliferationen abzugrenzen, die z. B. durch Inkongruenzen oder durch Zerrungen im Übergangsbereich vom Periost zur Gelenkkapsel, also am Gelenkrand und extraartikulär, entstehen. Bei Fortschreiten der Chondroarthropathie können sich auch sich Umbau- und Anpassungsvorgänge an den beteiligten Knochen einstellen. Dabei kann prinzipiell eine Faserknorpelschicht, die auf dem Boden eines Granulationsgewebes entsteht, aus dem eröffneten Markraum kommend, den vom Knorpel freigelegten Knochen überziehen. Dadurch kommt es bei ständiger Bewegung zu einer Remodellierung der Gelenkflächen, die wiederum Voraussetzung für eine gewisse Wiederfunktion des Gelenks sein kann (Freyschmidt 2008).

Synovialisarthropathien sind zum Beispiel die rheumatoide Arthritis oder eine bakterielle Arthritis. Entzündliche Gelenkprozesse der Synovialmembran lösen zunächst eine Hyperämie und eine Exsudation aus, woraus der Gelenkerguss resultiert. Eine  entzündlich-ödematös veränderte und damit verdickte und villös transformierte Synovialmembran, kombiniert mit entzündlichen Begleitreaktionen des Gelenkknorpels und des unmittelbar angrenzenden Gewebes führen zu einer Schwellung bzw. Verdichtung des Gelenk-Weichteilmantels. Trophische Störungen lösen eine Demineralisation des subchondral gelegenen Knochens aus, woraus sich das Bild der sog. "Begleitosteoporose" erklärt. Im Zuge der Osteopenie/Osteoporose kommt es zum fokalen oder diffusen osteoklastären Abbau der subchondralen Grenzlamelle (dünne kortikale Abschlussplatte des spongiösen Knochens gegenüber dem Gelenkknorpel und den seitlichen knorpelfreien Gelenkrezessus). Subchondrale rundliche Aufhellungen werden auch als arthritische Zysten oder Pseudozysten bezeichnet. Synovialitisches Gewebe kann an den sogennanten "bare areas" (das sind weder von Knorpel oder Gelenkkapselanssatz bedeckte Knochenabschnitte an den Gelenkrändern bzw. Gelenkrecessus) zu Erosionen führen. Bei persistierender Arthritis wird dann sekundär auch der Knorpel geschädigt und abgebaut, so dass eine Gelenkspaltverschmälerung eintritt. Bei vollständig zerstörtem Knorpel kann eine Ankylose entstehen. Bei gleichzeitig bestehender Kapsel-Band-Zerstörung und/oder Kapselschrumpfung durch Narbenbildung und einseitigen Sehnenzug entwickeln sich Fehlstellungen. Auf jeder der beschriebenen Stufen kann der entzündliche synoviale Gelenkprozess stehen bleiben und je nach Stadium weitgehend folgenlos ausheilen. Das gilt insbesondere für die Phase der Hyperämie und Exsudation (z. B. bei akuten Arthritiden). Auch Erosionen können sich "glätten", indem sie einen sklerotischen Randsaum bekommen und damit schwer von physiologischen Knochenmulden oder längere Zeit zurückliegenden traumatischen Knochendefekten unterscheidbar werden. Gröbere Destruktionen sind allerdings nicht mehr reparabel (Freyschmidt 2008). Dies ist auch der Grund dafür weswegen 2010 die Diagnosekriterien für die rheumatoide Arthritis revidiert wurden, um Kriterien für eine frühzeitigere Intervention zu definieren 19.

Bildbeispiele für Arthritiden und deren Veränderungen im SPECT/CT sind in den Abbildungen 1.5. bis 1.8. zu sehen:

Abbildung 1.5.
Die Abbildungen 1.5.a bis g zeigen den Infektverlauf nach operativer Korrektur einer Hallux-Valgus-Fehlstellung. Klinisch Weichteilentzündung, im MRT bei V. a. Osteomyelitis zusätzlich zur Weichteilentzündung. Das SPECT/CT wurde zur weiteren Abklärung/Bestätigung der knöchernen Beteiligung angefordert: man erkennt den gelenkbezogenen deutlich erhöhten Knochenmetabolismus im Verlauf des Naviculo-Cuneiformen-Gelenkes (Abbildung 1.5b SPECT/CT, Abbildung 1.5.c CT) und im 2. Lisfranc-Gelenk (Abbildung 1.5.d SPECT/CT sagittal auf Höhe des 2. Lisfranc-Gelenks), Abbildung 1.5.e CT sagittal), dabei CT-morphologisch verwaschene und zum Teil entkalkte subchondrale Grenzlamellen - typisch für eine begleitende (hier infektiöse) Arthritis im Rahmen der ausgedehnten Entzündung mit Osteomeyelitis.

Zum Lesen der Bildbeschreibung und zur Vollansicht bitte die Bilder anklicken. Bilder: H. C. Rischke

Abbildungen 1.5.f und g: Zur Gegenüberstellung die Bilder im Rahmen der Osteomyelitis/Arthritis (Abbildung 1.5.b und c). Der Befund 1,5 Jahre später (Abbildung 1.5.f und g). Das SPECT/CT wurde zum Ausschluss/Nachweis eines Rezidivs der Osteomyelitis bei erneuten Beschwerden angefordert. Man erkennt wieder einen deutlich erhöhten Knochenmetabolismus im Verlauf des Naviculo-Cuneiformen-Gelenkes; CT-morphologisch jedoch jetzt eindeutig arthrotische Veränderungen bei im Verlauf wieder regelrechter Remineralisierung der Knochenstruktur. Im CT ist sogar im Bereich der subchondralen Geröllzysten zwischen Os naviculare und Os cuneiforme mediale ein Vakuumphänomen im Gelenkspalt zu erkennen, was eine Arthritis praktisch ausschließt. Endgültige Diagnose: postarthritische aktivierte NC-Arthrose, kein Anhalt für das Vorliegen einer Osteomyelitis oder Arthritis.

Zum Lesen der Bildbeschreibung und zur Vollansicht bitte die Bilder anklicken. Bilder: H. C. Rischke

Abbildung 1.6.
Bekannte Gicht mit Polyarthralgien. Am rechten Großzehengrundgelenk lateral in der Grundphalanx entzündliche Erosionen.

Zum Lesen der Bildbeschreibung und zur Vollansicht bitte das Bild anklicken. Bild: H. C. Rischke

Abbildung 1.7.
Gichtarthritis mit Osteolysen und flauen Verkalkungen in den periartikulären Weichteilen/Gelenkkapsel.

Zum Lesen der Bildbeschreibung und zur Vollansicht bitte das Bild anklicken. Bild: H. C. Rischke

Abbildung 1.8.
Abbildung 1.8.a und b: Akute Arthritis bei bekannter Gicht in beiden OSG: links die Früh-/Weichteilphase; rechts die Mineralisations­phase. Deutliche, entzündlich bedingte Mehranreicherungen in der Früh-/Weichteilphase. In der Mineralisation­sphase erkennt man die entzündliche Mitreaktion der subchondralen Gelenkabschnitte.

Zum Lesen der Bildbeschreibung und zur Vollansicht bitte das Bild anklicken. Bild: H. C. Rischke

Abbildung 1.8.c - e: Akute Arthritis in beiden OSG, rechts > links. Im SPECT/CT erkennt man die Mitreaktion der subchondralen Gelenkabschnitte. Die Arthritis ist so akut, dass (noch) keine ossären morphologischen Veränderungen im CT abgrenzbar sind.

Zum Lesen der Bildbeschreibung und zur Vollansicht bitte die Bilder anklicken. Bilder: H. C. Rischke

SPECT/CT bei Osteochondralen Läsionen

Osteochondrale Läsionen (OCL) sind eine Knorpelläsion in Verbindung mit einem Defekt des darunter liegenden Knochens. Die Therapie hängt vom Ausmaß des Schadens ab, sodass eine akkurate Diagnostik Therapie-entscheidend ist. Neben der CT ist vor allem die MRT hervorragend geeignet, um die lokalen Schäden darzustellen. Allerdings kann die Mitbeteiligung bzw. der Schaden im Knochen mit der MRT alleine nicht so zuverlässig erfasst werden. Die MRT kann - vorausgesetzt es werden Bilder mit hoher Auflösung generiert - die Stabilität einer Knorpelläsion relativ gut beurteilen wie vergleichende Studien MRT vs. Arthroskopie gezeigt haben 2021.

Knochenmarködeme im MRT sind jedoch relativ unspezifisch und können eine ossäre Mitbeteiligung überschätzen 2223. Andererseits können klinisch relevante Läsionen mit Hilfe der SPECT/CT nachgewiesen werden, die der MRT entgehen, sodass von einigen Autoren bei OCLs grundsätzlich die Indikation zu einer SPECT/CT gesehen wird 24. Für die Genese des Schmerzes bei symptomatischen OCLs ist nicht die Knorpelläsion, sondern die Reaktion im Knochen verantwortlich. Flüssigkeit gelangt bei Belastung durch den verletzten Knorpel in die mikrofrakturierte subchondrale Grenzlamelle. Dabei wird die Flüssigkeit unter hohem Druck in den subchondralen Knochen gepresst, was eine lokale Osteolyse und ggf. eine subchondrale Zystenbildung erzeugt. Dieser lokale Überdruck und eine pH-Reduktion stimuliert die Schmerzwahrnehmung in den dicht innervierten subchondralen Knochenabschnitten 25.

Mehrere Studien zur Wertigkeit der SPECT/CT bei OCL ergaben, wie die Studien bei arthrotischen Veränderungen, eine sehr hohe Korrelation zwischen Knochenmetabolismus und Schmerzempfinden. Wiewiorski et al. fanden als erste Arbeitsgruppe bei 15 Patienten eine 100%ige Korrelation zwischen Schmerz und Mehrspeicherung. Alle Patienten sprachen auf eine CT-gesteuerte Injektion des Lokalanästhetikums in das obere Sprunggelenk an 26.

In der Studie von Meftah et al. wurden neben der Standard-MRT zusätzlich eine SPECT/CT bei Pat. mit Talus OCL durchgeführt (n=22), da auch wiederholte MRT-Untersuchungen den Schmerz generierenden Focus bzw. das Ausmaß des knöchernen Schadens nicht eindeutig visualisieren konnten. Es wurden nur die Patienten mit einem deutlich erhöhten Knochenmetabolismus an der OCL chirurgisch behandelt. Dabei fand nicht nur die Intensität des Hypermetabolismus sondern auch die Ausdehnung Berücksichtigung. Bei mehreren OCLs in einem Gelenk zeigt die SPECT/CT die Symptom-verursachende OCL und bei größeren OCLs die exakte Tiefe des Schmerz verursachenden pathologischen Metabolismus an. Die 12/22 Pat. mit deutlich erhöhtem Stoffwechsel an der OCL profitierten von der OP: der AOFAS-Score bei diesen Patienten betrug 83.6 +/- 20.7 während eines mittleren Followup von 3,5 +/- 1,4 Jahren. Die Entscheidung zu einer konservativen Behandlung wurde bei 10/22 Patienten getroffen, wobei dafür eine fehlende oder nur geringe Anreicherung an einer OCL im SPECT/CT als Entscheidungskriterium herangezogen wurde. Diese Patienten hatten zum Teil andere symptomatische und SPECT/CT-positive Läsionen wie z. B. subtalare, talare oder malleoläre Stressreaktionen. Die Therapie bestand in diesen Fällen aus Immobilisation und Entlastung. Der AOFAS-Score bei diesem Kollektiv lag bei 87,3 +/- 20,6 bei einem Followup von 2,7 +/- 1,5 Jahren und war damit vergleichbar mit den operativ behandelten Patienten 23.

Leumann et al. fanden bei 12/25 Pat. (48 %) eine Änderung des therapeutischen Vorgehens durch die SPECT/CT-Information 27.

Abbildung 2.1.
Bildbeispiele symptomatische OCL

Zum Lesen der Bildbeschreibung und zur Vollansicht bitte das Bild anklicken. Bild: H. C. Rischke

Abbildung 2.2.
Bilder eines Patienten mit Z. n. mehrfachen Sprunggelenksdistorsionen in der Vergangenheit, besonders heftige Distorsion des linken Sprunggelenkes 5 Wochen vor der Untersuchung. Die SPECT/CT zeigt eine instabile osteochondrale Läsion mit deutlicher Aktivierung.

Zum Lesen der Bildbeschreibung und zur Vollansicht bitte das Bild anklicken. Bild: H. C. Rischke

Abbildung 2.3.
Klärung bei Schmerzen im rechten OSG bei OCL an der medialen Talusschulter. Z. n. OSG-Distorsion vor 2 Jahren und Z. n. OSG-Fraktur / Syndesomosenruptur. Ausgedehnte OCL, hier jedoch kein erhöhter Knochenmetabolismus; lediglich Nachweis einer Stressreaktion im Bereich der Synchondrose eines Os trigonum als Schmerzursache.

Zum Lesen der Bildbeschreibung und zur Vollansicht bitte das Bild anklicken. Bild: H. C. Rischke

SPECT/CT bei Akzessoria und Normvarianten

Im Fußskelett finden sich zahlreiche Normvarianten, zu denen auch Varianten der Sesambeine, das Auftreten von akzessorischen Ossikeln und überzählige Knochen gehören. Diese Varianten sind häufig asymptomatisch, können jedoch infolge von Überlastungen über degenerative Veränderungen oder Traumata symptomatisch werden. Je nach Lokalisation können sie auch Impingement-Syndrome verursachen. Unter Umständen müssen Sesambeine bzw. akzessorische Ossikel von Frakturen differenziert werden. Für sämtliche der genannten klinisch relevanten Fragestellungen ist die SPECT/CT die optimale diagnostische Methode. In der Literatur finden sich seit der Verfügbarkeit des SPECT/CT zunehmend Berichte über symptomatische Akzessoria, welche mit Hilfe der SPECT/CT eindeutig als Symptom-verursachend klassifiziert werden können.

Sesambeine sind knöcherne Strukturen, die innerhalb von Sehnen liegen und dienen der optimierten, Sehnen-schonenden Kraftübertragung. Typische Beispiele sind die Sesambeine am Köpfchen des Großzehengrundgelenkes (immer vorhanden, das mediale davon ist häufiger bipartit angelegt (ca. 20 % der Fälle)) und das Sesambein im Verlauf der Peroneaus longus Sehne (Os peroneum, Häufigkeit ca. 25 %), welches wiederum nur in ⅕ der Fälle ossifiziert ist, in 60 % der Fälle bilateral auftritt und auch zweigeteilt sein kann (Chuto et al., 2018).

Weniger häufig finden sich Sesambeine am Interphalangeal-Gelenk des ersten Strahles, distal in der Tibialis posterior Sehne nahe des Ansatzes an der Tuberositas naviculare (unterhalb des calcaneonavicularen Ligamentes (Spring-Ligament)); dieses Sesambein kann vom Os naviculare accessorium (= Os tibiale externum) differenziert werden, welches distaler liegt. Ein weiteres, weniger häufig auftretendes ist das Sesambein der Tibialis anterior Sehne, welches dorsomedial des Os cuneiforme im Ansatzbereich der Tibialis anterior Sehne liegt und mit dem Os cuneiforme artikuliert. Selten sind plantare Sesambeine im Bereich der Metatarsophalangeal- oder Interphalangeal-Gelenke im Verlauf der Zehenstrahlen II - V 28 (Chuto et al., 2018; Freyschmidt, 2002).

Abbildung 3.1.
Beispiel für eine symptomatische Arthrose im Gelenk zwischen lateralem Sesambein und Köpfchen von Os metatarsale I.

Zum Lesen der Bildbeschreibung und zur Vollansicht bitte das Bild anklicken. Bild: H. C. Rischke

Akzessorische Ossikel entstehen in der Regel durch unverschmolzene akzessorische Knochenkerne. Häufige Akzessoria sind das Os naviculare accessorium (= Os tibiale externum) und das Os trigonum. Weniger häufig tritt das Os calcaneus secundarius auf, welches oberhalb des Processus anterior des Calcaneus nahe den Gelenkräumen zwischen Calcaneus, Talus, Os naviculare und Cuboideum liegt.

Seltene Akzessoria sind: Os subtibiale (infero-posterior des Malleolus medialis), Os subfibulare (posterior des Malleolus lateralis), Calcaneus accessorius (lateral am Calcaneus, in Verlängerung des Malleolus lateralis), Os sustentaculi (am Sustentaculum tali gelegen), Os supranaviculare (dorsal am Talonavicular-Gelenk), Os supratalare (oberhalb des Caput tali), Os subcalcis (plantar an der Tuberositas calcanei), Os aponeurosis plantaris, Os intermetatarseum (dorsal an der Basis von Os metatarsale I/II) und Os vesalianum (an der Basis von Os metatarsale V) 282929 (Chuto et al., 2018; Freyschmidt, 2002). Weitere Akzessoria und seltene Normvarianten in Verbindung mit dem Fußskelett sind ausführlich bei Freyschmidt beschrieben (Freyschmidt, 2002).

Das Os naviculare (= Os tibiale externum) kann in verschiedenen Varianten auftreten, die eine unterschiedliche pathologische Relevanz haben. Man unterscheidet die Typen I bis III 29. Typ I ist ein kleines Akzessorium bis ca. 3 mm Größe, welches mit einer Distanz von bis zu 5 mm in der Tibialis posterior Sehne eingebettet ist und keine knorpelige Verbindung zur Tuberositas ossis naviculare hat. Es repräsentiert 30 % der Varianten und verursacht in der Regel keine Beschwerden (Freyschmidt, 2002). Typ II ist typischerweise triangulär konfiguriert und hat einen Durchmesser von bis zu 12 mm, wobei es bis zu 60 % der Varianten einnimmt (Freyschmidt, 2002). Bei diesem Typ besteht eine 1 - 2 mm dicke knorpelige Verbindung zur Tuberositas ossis naviculare. Liegt eine ossäre Fusion mit der Tuberositas vor, ist diese Konfiguration meist asymptomatisch (Freyschmidt, 2002). Typ III entspricht einem prominentem vollständig mit dem Os naviculare verschmolzenen Knochenkern, was auch als Os naviculare cornutum bezeichnet wird (Freyschmidt, 2022). Typ II ist die am häufigsten symptomatische Variante 30.

Symptomatische Os naviculare werden in der Regel primär konservativ behandelt. Eine operative Sanierung mit Entfernung des Akzessorium kommt bei persistierenden Beschwerden in Betracht. Die Entscheidung zur OP erfolgt nach Einschätzung der Situation durch den Fußchirurgen bzw. wird empirisch getroffen. Eine retrospektive Studie an 105 Patienten mit einer negativen Kontrollgruppe von 31 Patienten untersuchte, inwieweit der  SPECT/CT-Metabolismus mit klinischen Beschwerden korreliert. Die Ergebnisse zeigten, dass Typ II mit einem hohen uptake an der Synchondrose häufiger reseziert wurden bzw. werden mussten, um die Beschwerden zu lindern, sodass ein intensiv erhöhter Metabolismus bei Typ II ausschlaggebend für eine operative Sanierung sein kann 30. Von der gleichen Arbeitsgruppe wurden diese Ergebnisse an einer multizentrischen Studie an 246 Patienten bestätigt 31.

Abbildung 3.2. zeigt ein symptomatisches Os naviculare accessorium Typ II am rechten Fuß.

Zum Lesen der Bildbeschreibung und zur Vollansicht bitte das Bild anklicken. Bild: H. C. Rischke

Abbildung 3.3.
Abbildung 3.3.a und b: Patient mit rezidivierenden Schmerzen, zeitweise auch Schwellung und Überwärmung im linken Vorfuß (medialseitig auf Höhe der Fußwurzel/Mittelfußknochen) seit einem Umknicktrauma vor 4 Jahren. Nativradiologisch unauffällig. Das MRT zeigte eine Ruptur des Ligamentum fibulotalare anterius sowie einen knöchernen Ausriss aus der distalen Fibula; zusätzlich Verdacht auf Sinus tarsi Syndrom bei einem Ganglion medial am unteren Sprunggelenk. Die SPECT/CT zeigte eine Stressreaktion am Ansatz der Tibialis-posterior-Sehne des linken Fußes bei einem Os naviculare Typ III, was mit dem klinischen Befund korrelierte. Das MRT wies in diesem Bereich keine wegweisenden Signalveränderungen auf (Abbildung 3.3.a); im SPECT/CT eindeutig erhöhter Metabolismus ohne weitere Auffälligkeiten (Abbildung 3.3.b).

Zum Lesen der Bildbeschreibung und zur Vollansicht bitte die Bilder anklicken. Bilder: H. C. Rischke

Bei der Differenzialdiagnose von Impingement-Syndromen am Sprunggelenk kann das SPECT/CT den Ort der Symptome- verursachenden Stressreaktion darstellen 32. Eine typische Ursache für ein posteriores Impingement kann ein Os trigonum sein. Scherkräfte im Bereich der Synchondrose eines Os trigonum lösen hypermetabole Stressreaktionen aus. Die Exzision des Os trigonum stellt eine erfolgreiche Therapie dar, sodass der Befund eines szintigraphisch aktivierten Os trigonum den Erfolg einer chirurgischen Therapie vorhersagen kann 3334.

In Abbildung 3.4. ist ein typisches Beispiel für ein symptomatisches Os trigonum dargestellt.

Zum Lesen der Bildbeschreibung und zur Vollansicht bitte das Bild anklicken. Bild: H. C. Rischke

In Abbildung 3.5. Bilder einer Patientin mit einem Talus secundarius beiderseits (auf der linken Seite mit einem Pfeil markiert). Die teilweise mit angeschnittene linksseitige Anreicherung im Talus stammt von einer postero-lateraler Stressreaktion infolge eines akzessorischen Knochenelementes lateral des Processus posterior tali. Die Bilder hierzu werden im Kapitel "SPECT/CT im direkten Vergleich mit der MRT" gezeigt.

Zum Lesen der Bildbeschreibung und zur Vollansicht bitte das Bild anklicken. Bild: H. C. Rischke

Auch Stressreaktionen am unteren Sprunggelenk können mit Hilfe der SPECT/CT exakt lokalisiert und differenziert werden.

Eine konservative Therapie bei einem Sinus tarsi Syndrom kann bei unauffälliger Anatomie erfolgreich sein 35, wobei die konventionelle Bildgebung limitiert ist. So kann ein mit Hilfe der SPECT/CT erbrachter eindeutiger Nachweis eines Stress-verursachenden hypermetabolen Ossikels im Sinus tarsi auf den Erfolg einer operativen Therapie hinweisen.

Einen solchen Fall zeigt die Abbildung 3.6., der bei uns untersucht wurde. Bei diesem Patienten bestanden chronisch persistierende Schmerzen seit 3 Jahren infolge einer Distorsion. Zwei vorhergehende MRT-Untersuchungen 1 Jahr und 2 Jahre nach dem Trauma waren nicht wegweisend. Wegen persistierender Beschwerden wurde uns der Patient zum SPECT/CT zugewiesen. Nach operativer Entfernung des Ossikels war der Patient dauerhaft beschwerdefrei.

Zum Lesen der Bildbeschreibung und zur Vollansicht bitte das Bild anklicken. Bild: H. C. Rischke

Achong beschreibt einen gleichartigen Fall mit einem mittels SPECT/CT im Sinus tarsi identifiziertes Ossikel im Sinus tarsi mit einer Größe von 8 mm 36, bei dem eine vorangehende MRT-Untersuchung gleichfalls nicht wegweisend war, weswegen eine SPECT/CT angefertigt wurde.

Auch Boulet et al. publizierten einen ähnlichen Fall 37. Sie beschreiben den Fall eines 45-jährigen Sportlers (Basketballer) mit chronischen Sprunggelenkschmerzen und lateraler Sprunggelenk-Instabilität bei Zustand nach wiederholten Sprunggelenks­distorsionen. Konservative Maßnahmen (Tape-Verbände, Physiotherapie) waren erfolglos. Es bestanden neben der lateralen Sprunggelenk-Instabilität auch ein Druckschmerz am Sinus tarsi. Im Röntgen konnte ein Ossikel im Sinus tarsi abgegrenzt werden, im MRT ein Längsriss der Peroneaus brevis Sehne, ein Ödem in dem Ossikel und im Tarsus. Im SPECT/CT zeigte sich korrespondierend ein deutlicher Hypermetabolismus in dem Ossikel. Zunächst erfolgte eine operative Stabilisierung der Sprunggelenk-Instabilität, welche jedoch keine Beschwerdefreiheit erbrachte. Erst die Resektion des Ossikels führte zur Beschwerdefreiheit.

Pathologien im Bereich des Processus anterior des Calcaneus bzw. im Bereich der Gelenkräume zwischen Calcaneus, Talus, Os naviculare und Cuboideum können mit Hilfe der SPECT/CT dargestellt und differenziert werden. Differenzialdiagnosen wären zum Beispiel eine Fraktur des Processus anterior calcanei, ein symptomatischer Os calcaneus secundarius oder eine Coalitio (vgl. Abbildung 4.1.a und b) 38. Abbildung 3.7. demonstriert den Fall einer Patientin mit einer aktivierten Stresssituation kranial an der Facies articularis calcanei im Bereich eines partiell synostosierten Os calcaneus secundarius.

Zum Lesen der Bildbeschreibung und zur Vollansicht bitte das Bild anklicken. Bild: H. C. Rischke

Krapf et al. beschreiben einen 51-jährigen Patienten mit seit über 30 Jahren belastungsabhängigen Beschwerden im Sprunggelenk. Im Zuge einer Beschwerdepersistenz nach einer Sprunggelenks-Distorsion wurde ein prominenter (22 x 18 x 16 mm großer) Calcaneus secundarius diagnostiziert, welcher im SPECT/CT hypermetabole Stressreaktionen im Bereich der umgebenden Gelenkräume aufwies. Nach Resektion dieses Ossikels war der Patient beschwerdefrei 39.

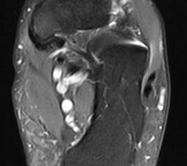
Kim et. al. beschreiben den Fall eines 18-jährigen Patienten mit einem symptomatischen hypermetabolen Os vesalianum 40. Ein  vergleichbarer Fall ist in Abbildung 3.8. zu sehen. Die Patientin hatte persistierende Schmerzen lateral am rechten Fuß bei Zustand nach Distorsion vor 9 Monaten. Neben der Bestätigung des Verdachtes auf ein symptomatisches Os vesalianum, sollte auch die Differenzialdiagnose einer knöchernen Absprengung an der Basis MFK 5 geklärt bzw. ausgeschlossen werden.

Zum Lesen der Bildbeschreibung und zur Vollansicht bitte das Bild anklicken. Bild: H. C. Rischke

SPECT/CT bei Coalitionen

Coalitionen sind nicht-gelenkige Verbindungen zwischen Fußwurzelknochen. Es gibt drei verschiedene Typen: fibröse Coalitio (= Syndesmose), knorpelige Coalitio (= Synchondrose) und knöcherne Coalitio (= Synostose), wobei die Inzidenz von tarsalen Coalitionen bei ca. 1 % liegt und in der Hälfte der Fälle bilateral auftritt (Freyschmidt, 2001) 6. Am häufigsten (90 %) sind die calcaneonaviculare und die talocalcaneare Coalitio. Talonaviculare und calcaneocubidale Coaltionen sind sehr selten. Extrem selten ist eine Verbindung zwischen Os naviculare und Os cuboideum 414243 (Freyschmidt, 2002).

Coalitionen können auf Röntgenbildern wegen überlappender Strukturen häufig nicht sicher diagnostiziert werden, so dass MRT und/oder CT erforderlich sind, um eine Coalitio eindeutig nachzuweisen. Der Vorteil der SPECT/CT liegt darin, dass neben der submilimeter-genauen Darstellung der Anatomie, womit die charakterischten Röntgenzeichen einer Coalitio erkannt werden, auch die Stressreaktion bzw. die Scherkräfte, die auf die Syndesmose oder Synchondrose wirken, sichtbar gemacht werden können. Dabei hat die SPECT/CT eine deutlich höhere Treffsicherheit als die MRT zur exakten Lokalisation der Stressreaktion 44.

Abbildung 4.1.zeigt das Beispiel einer Patientin mit einer Stressreaktion zwischen Processus anterior calcanei und Os naviculare, welche einer fibrösen symptomatischen Coalitio entspricht, die primär in der Bildgebung (Röntgen, MRT) nicht erkannt wurde. Bei Knick-Senk-Fuß erfolgte zunächst eine Talo-Naviculare Arthrodese. Postoperativ nahmen die Schmerzen zu. Anstelle eines SPECT/CT erhielt die Patientin zwei Serien einer Röntgen-Reiz-Bestrahlung. Die Patientin stellte sich in einer auf Fußerkrankungen spezialisierten Klinik vor, die die Patientin zur weiteren Abklärung zu uns überwies. Erst die Abklärung mittels SPECT/CT zeigte die eine fibröse Coalitio zwischen Processus anterior calcanei und Os naviculare bei vollständig reizlos durchbauter Talo-Navicularer Arthodese. Es wurde daraufhin eine erfolgreiche konservative Therapie u. a. mittels gezielten Injektionen und Stosswellen eingeleitet. 

Die Abbildungen 4.2.a bis d zeigen den typischen Aspekt einer talacalcanearen Coalitio. Es besteht nur eine linksseitige, symptomatische Coalitio talocalcaneare (4.2.a und c); das 35 Tage zuvor angefertigte MRT zeigt keine auffälligen Signalveränderungen (4.2.b und d).

Abbildung 4.3. zeigt die Ursache für rechtsseitige Sprunggelenksbeschwerden bei einem Patienten mit talocalcanearen Coalitionen: nur die osteochondrale Läsion an der distalen rechten Tibia ist die Ursache des Schmerzes. Die bilateralen talocalcanearen Coalitionen sind asymptomatisch.

SPECT/CT zur Beurteilung von Arthrodesen

Arthrodesen gehören seit langem zu den Standardverfahren bei Fehlstellungen oder schmerzhaften Arthrosen 4546 (Graves, 2000). Eine zumindest teilweise knöcherne Durchbauung von Arthrodesen sollte in der Regel innerhalb von 6 Monaten nach der OP nachweisbar sein 647. Eine unvollständige oder fehlende Fusion nach Arthrodese kann permanente Schmerzen verursachen, was sich mit der SPECT/CT nachweisen lässt. Abbildung 5.1. zeigt den Fall eines Patienten mit persistierenden Beschwerden 1 Jahr nach calcaneo-cuboidaler Arthrodese, es besteht ein erhöhter Knochenmetabolismus im Bereich der Arthrodese bei teilweise noch abgrenzbarem Gelenkspalt; kein Nachweis von Anschlussarthrosen in den benachbarten Gelenken. Persistierende Beschwerden nach Arthrodese können jedoch auch durch Überlastungen angrenzender Gelenke entstehen, die dann in Arthrosen münden 48. Ein entsprechendes Beispiel ist in Abbildung 5.2. dargestellt, die den Verlauf bei einer Patientin mit Z. n. Arthrodese wegen einer talonavicularen Arthrose zeigen.

Ein weiteres Beispiel für eine im Verlauf entstandene symptomatische Arthrose in den Nachbargelenken zeigen die Abbildungen 5.3.a und b. Bei dem Patienten bestand ein Z. n. subtalarer und talo-navikularer Arthrodese vor 11 Monaten mit Beschwerden beim Abrollen im linken Sprunggelenk mit dem Gefühl „einer Sperre“. Abbildung 5.3.b zeigt die Entwicklung einer anterior betonten hypermetabolen OSG-Arthrose mit Zeichen einer teilweise knöchernen Durchbauung der subtalaren Arthrodese links. Noch keine signifikante Durchbauung der talo-navikularen Arthrodese links. Die Abbildungen 5.4.a bis c zeigen als Erklärung für Schmerzen eine symptomatische Osteochondrale Läsion in der Talusrolle bei knöcherner und reizloser Durchbauung der Arthrodesen 14 Monate nach USG- und TN-Arthrodese.

Der optimale Zeitpunkt einer Evaluation bei Verdacht auf eine symptomatische Arthrodese ist nicht definiert. Im Rahmen einer prospektiven Studie an 30 Patienten mit 31 Sprunggelenksarthrodesen wurden diese prä- und 6 Monate postoperativ mit SPECT/CT und klinisch zusätzlich mit standardisierten Fragebögen (Ankle Osteoarthritis Scale (AOS), 36-item Short Form Survey (SF-36), Physical component score (PCS) and mental component score (MCS)) untersucht 49. Der klinische Erfolg war durch eine Schmerzreduktion unter Belastung definiert (bei 87 %). Radiologisch wurde eine knöcherne Durchbauung von ≥ 50 % nach 6 Monaten als Erfolg definiert (bei 71 %). Szintigraphisch wurde sowohl der Metabolismus um das fusionierte obere Sprunggelenk als auch um die Talonavicular- und Subtalar-Gelenke gemessen. Die Metabolismus um die OSG-Arthrodese war vom präoperativen nicht signifikant verschieden, wobei der Metabolismus um die Talonavicular- und Subtalar-Gelenke signifikant zunahm. 

Diese Ergebnisse unterscheiden sich von den zahlreichen präoperativen Studien, die eine hohe Korrelation zwischen SPECT/CT-Metabolismus und klinischen Beschwerden zeigen. Der Grund liegt darin, dass die Szintigraphie sehr sensitiv die Aktivität von Osteoblasten anzeigt und nach 6 Monaten die knöcherne Durchbauung im Sinne einer Normalisierung des Knochenstoffwechsels noch nicht abgeschlossen ist. Unter diesem Aspekt erscheinen 6 Monate zu früh für eine szintigraphische Arthrodesen-Beurteilung.

Der zunehmende Metabolismus in den Talonavicular- und Subtalar-Gelenken ging nicht mit morphologischen Veränderungen als Hinweis auf Anschluss-Arthrosen her, so dass die Autoren diese Befunde als belastungsbedingt bzw. reaktiv nach OP einstuften; wohlgemerkt hatten die Patienten ja weit überwiegend eine deutliche klinische Besserung nach der OSG-Arthrodese erfahren 49.

Infekte nach Arthrodese im Fußwurzelbereich sind selten (ca. 3 %), erfordern jedoch eine aufwändige operative und antibiotische Therapie, um eine vollständige Sanierung zu erreichen. Die SPECT/CT kann hier wertvolle Informationen zur Ausdehnung des Infektes liefern 6, die Abbildungen 1.5.a bis g zeigen beispielhaft entsprechende Veränderungen.

In Abbildung 5.5.ist der Fall einer Patientin mit Klippel-Trénaunay-Syndrom zu sehen, bei der sich szintigraphisch kein Hinweis auf einen Infekt ergab. Osteolytische Veränderungen im CT waren szintigraphisch negativ und konnten ossären Veränderungen im Rahmen des Syndroms zugeordnet werden.

SPECT/CT zur Beurteilung von Endoprothesen

Weltweit nimmt die Prävalenz von Sprunggelenk-Prothesen durch Verbesserungen der Implantate und chirurgischen Techniken zu. Trotzdem berichtet ein signifikanter Anteil von Patienten über persistierende Beschwerden nach Prothesen-Implantation, sodass in der Literatur über Revisionsraten in bis zu 39 % der Fälle berichtet wird 5051. Die Ermittlung der Schmerzquelle mit den konventionellen bildgebenden Verfahren (Röntgen, CT, MRT (auch mit Metall-Artefakt-Reduktion)) ist begrenzt, so dass hier die SPECT/CT die Aussagekraft ähnlich wie bei der Beurteilung anderer Prothesen (z. B. Knie und Hüfte) signifikant erhöht. Verschiedenste Fragestellungen müssen bei der Evaluation einer schmerzhaften Sprunggelenk-Prothese beantwortet werden: Achsenstellung, Prothesenlage, Impingement, Lockerung, Senkung von Prothesenkomponenten, Frakturen, Zysten, Osteolysen, Anschlussarthrosen, Infektionen, Nervenschäden, CRPS, Materialunverträglichkeiten.

Zur Zuordnung von Mehrspeicherungen und morphologischen Veränderungen im Bereich von Prothesen eignen sich folgende Kriterien 51:

  • Flächiger starker Fokus am Prothesen-Knochen-Interface → V. a. Lockerung
  • Fokus medial oder lateral am Prothesen-Knochen-Interface → V. a. fokaler biomechanischer Stress aufgrund von Fehlstellung der Prothese oder des Rückfußes
  • Fokus medial oder lateral im Gelenkabschnitt / Zone zwischen Talus und den Malleolen → Ausdruck eines Impingement
  • Im CT zart randsklerosierte rundliche Osteolyse(n) am Prothesen-Knochen-Interface mit metabolischem Fokus → V. a. symptomatische Zyste
  • Fokale oder flächige Mehranreicherungen in angrenzenden Gelenken in Verbindung mit arthrotischen Veränderungen im CT → V. a. symptomatische Arthrose

Beispiele für SPECT/CT-Untersuchungen nach OSG-TEP sind in den Abbildungen 6.1. bis 6.3. abgebildet.

Gurbani et al. evaluierten 37 Patienten mit schmerzhaften Sprunggelenkprothesen mit SPECT/CT und korrelierten die Ergebnisse mit klinischen und intraoperativen Befunden. Die SPECT/CT-Ergebnisse korrelierten zu 89,2 % (33/37 Pat.) mit der definitiven Diagnose. 28 Patienten wurden operativ revidiert und der Vergleich der SPECT/CT-Befunde mit den intraoperativen ergab eine Übereinstimmung von 92,9 % (26/28 Pat.). Die SPECT/CT identifizierte in den meisten Fällen aseptische Lockerungen (12/33 Pat.) und Impingement (11/33 Pat.). Seltenere Diagnosen waren Fehlstellungen (4/33 Pat.), Zystenbildungen (2/33 Pat.), subtalare Arthrosen (2/33 Pat.) und Infektionen (2/33 Pat.) 51.

Die Autoren beschreiben einen Fall, der neben einem Fokus am lateralen Malleolus auch eine starke flächige Anreicherung am talaren Prothesen-Knochen-Interface 17 Monate nach TEP-Implantation aufwies, so dass neben dem Verdacht auf ein laterales Impingement auch der Verdacht auf eine Lockerung der talaren Prothesenkomponente geäußert wurde. Intraoperativ bestätigte sich die Lockerung der talaren Prothesenkomponente nicht, sondern nur das laterale Impingement, welches mittels Debridement erfolgreich therapiert wurde 51. Da der Pat. bereits vor der TEP-Implantation eine Triple-Arthrodese erhalten hatte (welche im SPECT/CT unauffällig war), kann eine solche flächige Mehrspeicherung auch als weitgehend asymptomatische Stressreaktion gewertet werden.

Mertens et al. 52 berichten unter Anwendung eines standardisierten Auswerte-Schemas über eine Treffsicherheit von 96 % (Sensitivität 100 %, Spezifität 80 %) des SPECT/CT zur Diagnose der Ursachen für eine schmerzhafte Sprunggelenkprothese (n=24). Der SPECT/CT-Befund führte in 86 % zu einer spezifischen Therapie, welche in 83 % der Fälle zum Therapieerfolg führte.

Eine Analyse von Mason et al. 53 von 14 Patienten mit schmerzhaften Sprunggelenksprothesen, welche mittels SPECT/CT untersucht wurden, fanden in 13/14 Patienten ein SPECT/CT-Korrelat für die Beschwerden, wobei bei 12 Patienten der Fokus talar medial lokalisiert war. 8 Patienten wurden operativ revidiert und der Fokus entsprach einer verminderten bzw. fehlenden ossären Integration der talaren Prothesen-Komponente.

Die MRT-Diagnostik ist nicht die primäre diagnostische Methode zur Evaluation von symptomatischen Sprunggelenksprothesen, da aufgrund der Artefakte im Bereich der Prothesen-Grenzflächen mit den üblichen Mess-Sequenzen eine suffiziente Beurteilung nicht möglich ist. In einer Pilotstudie von 2018 wurden an 40 Patienten mit Sprunggelenks-Prothesen Metallartefakt-reduzierende Sequenzen sogennante Compressed sensing-SEMAC TSE-Sequenzen prospektiv getestet. Die Ergebnisse zeigten im Vergleich zu anderen Artefakt-reduzierenden Sequenzen eine signifikante Verbesserung der Beurteilbarkeit von der Prothesen-Umgebung 54. Weitergehende Daten zu dem Einsatz dieser Technik oder ein Vergleich von mit SPECT/CT sind bisher nicht publiziert.

Protheseninfekte nach Sprunggelenkprothesen-Implantation treten relativ selten bzw. in ca. 1 - 2,5 % auf 55. Es existieren mehrere szintigraphische Untersuchungsverfahren bei Verdacht auf einen Prothesen-Infekt, wobei relativ hohe Treffsicherheiten im Nachweis von Infektionen von 90 % erreicht werden können 56. Der Goldstandard sind in vitro markierte Leukozyten in Kombination mit einer ergänzenden Knochenmark-Szintigraphie, wobei dieses Verfahren als sehr aufwändig und kostenintensiv einzustufen ist. Eine praktikablere Alternative sind in vivo mittels Tc99m-Antikörper oder Tc99m-Antikörper-Fragmenten markierte Granulozyten, wobei hier die Anwendung eines dynamischen Messprotokolls mit zwei Messpunkten 4 h und 20 h nach Injektion des Radiopharmakon und der Einsatz des SPECT/CT vergleichbar hohe Treffsicherheiten bietet 5657.

Daten zur Treffsicherheit bei Sprunggelenksprothesen-Infektionen sind bislang nicht publiziert. Andererseits ermöglicht die Gelenkpunktion mit Flüssigkeits-Aspiration die Analyse der Synovia mit Messung des Alpha-Defensin, ein antimikrobielles Peptid, welches von Neutrophilen Granulozyten als Antwort auf pathogene Keime in die Synovia abgegeben wird 58. Die Sensitivität und Spezifität dieser Nachweismethode wird mit 97 % angegeben 59.

SPECT/CT beim Diabetischen Fuß

Bei der Diagnostik von Osteomyelitiden stellt die SPECT/CT ein wertvolles Tool dar. Prinzipiell kann durch die Kombination mit einer dünnschichtigen CT neben der Entzündungs-bedingten Knochenstoffwechsel-Steigerung die Röntgen-Pathoanatomie einer Entzündung detailliert dargestellt werden. Ein Beispiel für eine tarso-metatarsale Osteomyelitis in Kombination mit Arthritis liefert die Abbildung 1.5., hier finden sich sowohl typische Röntgenzeichen einer Osteomyelitis wie eine deutliche regionale Osteoporose/Osteopenie der beteiligten Knochen und die Arrosion der subchondralen Grenzlamellen im Rahmen der Arthritis.

Schätzungsweise 15-20 % der Diabetiker entwickeln im Verlauf ihrer Erkrankung ein Ulcus am Fuß 606162 und Ulcera sind die primäre Eintrittspforte für die Entstehung von Infektionen und Osteomyelitiden. In der Literatur sind bei optimaler Untersuchungstechnik Treffsicherheiten der Nuklearmedizinischern Diagnostik von Diabetischen Osteomyelitiden über 90 % beschrieben, was sowohl die Präsenz als auch die lokale Ausdehnung der Entzündung betrifft; hier hilft insbesondere die SPECT/CT dabei, zwischen knöchernem und Weichteil-Befall zu diskriminieren 6360.

Gegebenenfalls muss die Osteomyelitis des Diabetischen Fußes von der Charcot-Neuroarthropathie differenziert werden. Die Charcot-Arthropathie betrifft primär die Tarso-metatarsalen Gelenke, sodass eine Destruktion von Knochen im Vorfuß primär verdächtig auf eine Osteomyelitis ist und gegebenenfalls bereits mit einer Standard-SPECT/CT diagnostiziert werden kann, wenn entsprechende CT-morphologische Veränderungen vorliegen.

Zur bildgebenden Differenzierung einer Mittelfuß-Osteomyelitis von einer Charcot-Arthropathie können, wie im Kapitel OSG-Prothesen bereits erwähnt, in vitro markierte Granulozyten eingesetzt werden. Zusätzlich sollte eine Knochenmark-Szintigraphie mit Nanokolloiden durchgeführt werden. Diese ist erforderlich, um eine gegebenenfalls vorhandene Knochenmark-Expansion im Untersuchungsgebiet auszuschließen, da nur eine Akkumulation von Granulozyten ohne unspezifische Knochenmark-Expansion im Fußskelett spezifisch für eine Osteomyelitis ist 60.

Interessanterweise scheint die diagnostische Aussagekraft bzw. Treffsicherheit der Granulozyten-Szintigraphie weitgehend unabhängig von einer gegebenenfalls erfolgten oder laufenden Antibiotikatherapie zu sein, sodass auch kleinere Entzündungsherde unter diesen Umständen nachgewiesen werden können 64. Zum Nachweis einer Osteomyelitis können neben dem aufwändigen Goldstandard mit in vitro markierten Granulozyten auch markierte Antigranulozyten-Antikörper verwendet werden 65. Ein Beispiel für eine Charcot-Arthropathie ist in Abbildung 7.1. dargestellt.

SPECT/CT im direkten Vergleich mit der MRT

Es gibt bis dato mehrere Studien mit einem direkten Vergleich von SPECT/CT- und MRT-Befunden zur Erkennung von Fuß- und Sprunggelenksschmerz-Ursachen. Alle Studien, die die Diagnostische Performance der SPECT/CT direkt mit der MRT verglichen haben, weisen auf den hohen Stellenwert der SPECT/CT hin, da mit dieser Methode nicht nur mehr relevante Befunde gesehen, sondern auch symptomatische Läsionen eindeutiger festgestellt werden können. Bei der MRT-Diagnostik kann ein Knochenmarködem einen pathologischen Prozess anzeigen, wobei Knochenmark-Hyperintensitäten in T2-, STIR- bzw. Protonen-Dichte-gewichteten Sequenzen nur bedingt spezifisch sind und eine fokale Stressreaktion als Schmerzursache nicht so zuverlässig anzeigen können wie die Knochenszintigraphie 6644.

Nachfolgend einige Fälle, die beispielhaft klinische relevante diskrepante Befunde zwischen MRT und SPECT/CT zeigen.

Abbildung 8.1. a bis f.: Patient mit Z. n. OSG-Distorsion vor 8 Monaten und konservativer Therapie. Anhaltende Schmerzen im Bereich des linken Innenknöchels. Im MRT bestand der Verdacht auf eine symptomatische kleine osteochondrale Läsion im medialen linken Talus (Abbildung 8.1. a und c). Zur weiteren Klärung erfolgte eine SPECT/CT 30 Tage später, welche jedoch im Gegensatz zur MRT eine fokale Mehrspeicherung an der tibialen Insertion des Deltabandes nachwies. Die Tatsache, dass die SPECT/CT spezifischer als die MRT symptomatische Bandläsionen detektieren kann wird untenstehend ausführlich thematisiert.

Abbildung 8.2. zeigt den Fall eines Patienten mit Verdacht auf ein knöchernes posteriores Impingement. Es bestanden Beschwerden dorsal bei Plantarflexion und ein Z. n. Distorsion des linken OSG vor 2,5 Jahren. Im MRT 2 Monate vor der SPECT/CT keine wegweisenden Befunde. Im SPECT/CT eindeutige fokal deutliche Mehrspeicherung im Bereich des Processus posterior tali.

Abbildung 8.3.a bis d demonstrieren Bilder einer Patientin mit Z. n. Arthrodese des linken OSG vor 6 Jahren. Das MRT ist bei ausgedehnten Metallartefakten nur bedingt aussagekräftig und weist nicht auf die auffälligen Befunde im SPECT/CT hin. Es bestehen sowohl fokale Stressreaktionen im Bereich eines Os trigonum und lateral im USG.

Abbildung 8.4.a bis d: Bilder einer Patientin mit chronischen Schmerzen im lateralen unteren Sprunggelenk links. Im MRT V. a. akzessorisches Knochenelement. Anamnestisch Beschwerden im Bereich des linken Sprunggelenkes seit 5 Monaten. Zuvor intensive sportliche Betätigung. Unter anderem tägliche atypische Belastung beider Füße durch Hinknien im Rahmen der Tätigkeit als Erzieherin. Diese Patientin hat nebenbefundlich bilaterale Akzessoria bzw. einen beiderseits angelegten Talus secundarius, der linksseitig jedoch nicht für die Symptomatik verantwortlich ist (die Bilder davon werden in Abbildung 3.5. gezeigt). Verantwortlich für die Symptomatik ist ein links posterolateral am Talus atypisches Knochenelement in einer Mulde mit engem Bezug zum unteren Sprunggelenk, DD atypisches laterales Os trigonum oder DD atypische Osteochondrosis dissecans. Die MRT konnte nicht differenzieren, wo die Schmerzursache genau lag. Im SPECT/CT (Abbildung 8.4.b und d) eindeutig fokale Mehrspeicherung im Bereich des atypischen Knochenelementes. Intraoperativ bestand der Aspekt einer Osteochondrosis dissecans.

Abbildung 8.5.a bis f: Patientin mit anhaltenden Schmerzen bei Z. n. Hallux valgus-OP vor 8 Jahren. Im MRT 7 Wochen vor der SPECT/CT kein wegweisender Befund bei auch deutlichen Artefakten durch Metallabrieb. Im SPECT/CT Nachweis von arthrotischen Veränderungen im Metatarso-Sesamoid-Gelenk mit einem intraossärem Ganglion im Köpfchen von
Os metatarsale I.

Abbildung 8.6. a bis f: Patientin mit Z. n. Talusfraktur vor 2 Jahren, welche mit zwei Schrauben osteosynthetisch versorgt wurde. Seither progrediente Schmerzen im linken Fuß. Ein MRT 8 Monate vor der SPECT/CT-Untersuchung war nicht eindeutig bzw. nicht wegweisend. Im SPECT/CT aktivierte posttraumatische osteochondrale Läsion talusseitig im linken unteren Sprunggelenk mit einem abgrenzbaren Ossikel bis 5 mm Größe und angrenzenden arthrotischen Veränderungen. Reizlose Schrauben im linken Talus.

Die erste Studie, die bei Fuß- und Sprunggelenk SPECT/CT mit MRT verglichen haben, wurde 2015 publiziert. Ha et al. untersuchten retrospektiv 50 Patienten mit 147 Läsionen an Knochen, Gelenken, Ligamenten und Sehnen. Zusätzlich wurde der szintigraphische Uptake von Läsionen skaliert und mit den Beschwerden korreliert. 48 % der Patienten, bei denen Läsionen mittels SPECT/CT oder MRT festgestellt wurden, konnten direkt arthroskopisch korreliert werden. Bei 52 % der Patienten mit auffälligen SPECT/CT oder MRT-Läsionen wurden diese mit den klinischen Beschwerden, Befunden, dem Verlauf und Therapie-Ansprechen korreliert und klassifiziert. Basierend auf der finalen Diagnose wurden die bildgebenden Läsionen als symptomatisch oder asymptomatisch zugeordnet.

Symptomatische Bild-Befunde wurden als richtig-positiv eingestuft und so die Sensitivität, Spezifität, der positive prädiktive und negativ prädiktive Wert errechnet. Um die diagnostische Performance zu vergleichen, wurden die Läsionen unterteilt in Knochen-, Gelenk-Veränderungen und Ligament-/Sehnen-Läsionen. Das mediane Intervall zwischen SPECT/CT und MRT lag bei 30,5 Tagen. Der szintigraphische Uptake war in symptomatischen Läsionen signifikant höher als in asymptomatischen. Bei Knochenläsionen betrug die Sensitivität, Spezifität, PPV, NPV für SPECT/CT vs. MRT 100 % vs. 100 %, 57 % vs. 10 %, 80 % vs. 66 %, 100 % vs. 100 %. Bei Ligament-/Sehnenpathologien waren die Ergebnisse: 71 % vs. 100 %, 73 % vs. 8 %, 48 % vs. 27 %, 88 % vs. 100 %. Hervorzuheben sind in dieser Studie die Komplementarität beider Verfahren und die höhere Spezifität der SPECT/CT für knöcherne Veränderungen und überraschenderweise auch für ligamentäre bzw. tendinöse Läsionen 5.

Eine Studie bei Patienten mit Rotatorenmanschetten-Läsionen konnte 2013 nachweisen, dass Patienten mit symptomatischen Sehnenrissen einen signifikant erhöhten szintigraphischen Uptake haben als Patienten mit asymptomatischen Sehnenrissen 67. Neben der Anreicherung des Radiopharmakon im Bereich der Sehnenläsion kann auch der biomechanische Stress im Bereich der Insertionen detektiert werden 511.

Mit der SPECT/CT können symptomatische Band-Läsionen des Sprunggelenks und der Fußwurzel eindeutig nachgewiesen werden, wie eine Fallsammlung in Korrelation mit MRT-Befunden von 2019 eindrucksvoll zeigt und was zunächst etwas verwundert. Der SPECT/CT-Befunder muss dabei jedoch gute Kenntnisse der Bandanatomie haben, um diese Befunde richtig zuordnen zu können. Je nach Lokalisation der Sehnenläsion bzw. der Tendinopathie findet sich eine Anreicherung des Tracers im Bandverlauf 11.

Ein solche Situation wird beispielhaft in Abbildung 8.7. a bis d gezeigt. Der Patient erlitt eine OSG-Distorsion rechts vor 5 Monaten mit persistierenden Beschwerden postero-medial. Bekanntes prominentes Os trigonum. Anamnestisch Z. n. früheren Sprunggelenksdistorsionen bei regelmäßigem Fußballspiel. Z. n. Außenbandruptur. Die SPECT/CT erfolgte nachdem ein MRT 8 Wochen zuvor verschiedenste Befunde von unklarer Relevanz gezeigt hatte (....dehiszent stehendes Os trigonum mit umgebenden Erguss, kleine Exostose und subchondrale Zyste am Innenknöchel posterior am Ansatz des Retinaculum der Tibialis-posterior-Sehne ohne Hinweis auf eine Retinaculumruptur oder Sehnen-Dislokation. Ödematöse Veränderungen der Bänder am Sinus tarsi, im Ligamentum fibulocalcaneare, fibulotalare anterius und Deltaband Pars tibiotalare….). Nur die SPECT/CT zeigte einen fokalen eindeutigen Befund: eine aktivierte Stressreaktion im Bereich der Pars tibiotalaris posterior des rechten Deltabandes. Kein Nachweis eines aktivierten Os trigonum.

Eine Erklärung für diese Beobachtungen liefert die Pathophysiologie der Tendinopathie. Eine Tendinopathie infolge eines Traumas oder mechanischen Stresses führt zur Freisetzung von zahlreichen verschiedenen Gewebsfaktoren (zum Beispiel: TNF-alpha, IGF-II, IGFBP5, PG-R1, LTBP3, TGF-ß1, Neutrophile Elastase, SAA4, Protein S100-A9, PG-H2-D-Isomerase, BMP (bone morphogenic protein), Hedgehog, Wnt, Hypoxia-inducible-factor-1-alpha), die zu einer Stimulation von Sehnen-Stammzellen bzw. Gewebs-ständigen Progenitor Zellen führen. In Abhängigkeit des Mikromileus tritt eine Chondrogene / Osteogene Fehl-Differenzierung der Zellen ein; ein aktiver Prozess, der mit dem szintigraphischen Tracer sichtbar gemacht werden kann 68. Dieser pathophysiolgische Prozess erklärt die bei älteren Bandläsionen häufig nachweisbaren Verkalkungen im Bandverlauf bzw. an der Band-Insertion. In der Phase, in der noch keine radiologischen makroskopischen Verkalkungen zu sehen sind, ist die Aktivität der o. g. Osteoblasten, die sich aus Sehnen-Stammzellen fehl differenziert haben gesteigert, sodass diese Mehrspeicherung im Verlauf des Bandes bzw. an den Insertionen im SPECT/CT sichtbar gemacht werden kann.

Nicht nur ligamentäre Läsionen, sondern auch Sehnenläsionen können wie bereits erwähnt mit der SPECT/CT visualisiert werden, wobei, wenn diese Befunde im SPECT/CT abgrenzbar sind, diese - eine deutliche Traceraufnahme vorausgesetzt - auch als symptomatisch eingestuft werden können.

Nachfolgend 3 Fälle mit szintigraphisch nachweisbaren Tendinitiden in den Abbildungen 8.8., 8.9. und 8.10. Vergleichbare Fälle sind publiziert worden 697071.

Abbildung 8.8.a bis d: Patientin mit bekanntem Knick-Senk-Fuß. Anamnestisch Schmerzen in beiden Füßen, links > rechts seit ca. 2 Jahren. Fragestellung: Status der bekannten Fußwurzelarthrosen vor geplanter OP. Neben, unter anderem fortgeschrittenen Arthrosen im Naviculo-Cuneiforme-Gelenk, Nachweis einer Tibialis posterior-Sehnen-Tendinitis mit begleitender Periostitis/Ostitis am Malleolus postero-medial. Abbildung 8.8.a und b: in der Frühphase (2 Minuten nach Tracerinjektion) sind lineare Anreicherung des Tracers im Verlauf der linken Tibialis posterior Sehne zu sehen.  In der  Mineralisationsphase im SPECT/CT begleitende Periostitis/Ostitis am Malleolus postero-medial. Abbildung 8.8.c und d: Der Blick auf das CT im Weichteilfenster offenbart diffuse entzündliche Verdickungen im Verlauf der linken Tibialis posterior Sehne. Rechts unauffälliger Befund. Unten beispielhaft die schmerzhafte NC-Arthrose.

Abbildung 8.9. a bis c: Extern MRT-morphologisch V. a. Coalitio calcaneo-naviculare. Anamnestisch Schmerzen im linken OSG seit ca. 1,5 Jahren, gehäuftes „Umknicken“ des linken Fußes, Pes planus bds.. Abbildung 8.9.a zeigt die 3D-Früh-SPECT aus verschiedenen Blickwinkeln. Wie in Abbildung 8.8.a findet sich hier eine deutliche lineare Tracerakkumulation im Verlauf der linken Tibialis posterior Sehne. Abbildung 8.9.b: In der Mineralisationsphase wie auch im vorhergehenden Fall ossäre Reaktion postero-medial am Mallelolus medialis als Zeichen einer chronischen Tendinitis. Die Durchsicht der 7 Wochen zuvor angefertigten externen MRT bestätigte den Befund (er war leider nicht beschrieben worden). Im SPECT/CT wurde eine Coalitio ausgeschlossen.

Abbildung 8.10.a bis e: Patient mit Verdacht auf symptomatisches Os peronaeum. In der Früh-SPECT/CT eindeutiger Nachweis einer ausgeprägten Tendinitis der Peronealsehnen links. In der Mineralisationsphase Stessreaktion im Bereich eines mehrgeteilten Os peroneaum links und lateral Calcaneus.

Unbestritten ist die MRT aufgrund ihrer hohen Sensitivität zum Nachweis/Ausschluss von Weichteil- und Sehnenläsionen die primäre diagnostische Methode. Allerdings kann die SPECT/CT die MRT, in dem sie die Schmerz-Relevanz der Sehnen-Läsion bildgebend zuordnen kann, unter Umständen ergänzen 5.

Eine Studie an 37 Patienten verglich direkt den diagnostischen Nutzen der MRT und SPECT/CT bei Knöchel- und Fußschmerzen mit unklarer Schmerzursache. Retrospektiv wurden Daten von Patienten mit Knöchel- oder Fußschmerzen analysiert, die sowohl eine MRT als auch eine SPECT/CT erhalten hatten. Läsionen und wahrscheinliche Schmerz-erzeugende Foci wurden jeweils im MRT- und im SPECT/CT registriert, klinisch korreliert, entsprechend behandelt und nachuntersucht. Bei den Patienten, bei denen eine signifikante Verbesserung auf die Therapie eintrat, wurde angenommen, dass die Diagnose unter Berücksichtigung der Bildgebung richtig gestellt wurde. Das Spektrum umfasste  Weichteilläsionen (Bänder/Sehnen), Gelenk-Läsionen (Arthritis, Arthrose) und Knochenläsionen (Frakturen/Osteomyelitis/osteochondrale Läsionen). Insgesamt hatte die MRT eine Sensitivität, Spezifität, positiven Vorhersagewert und negativen Vorhersagewert von 82 %, 31 %, 74 % bzw. 42 %, und die SPECT/CT von 84 %, 60 %, 84 % und 60 % bzw. Der mittlere FADI-Score (Foot and Ankle Disability Index) für alle Patienten lag prätherapeutisch bei 61,5 (SD = 13,8) und posttherapeutisch bei 88,4 (SD = 13,01)(p < 0,05), was darauf hindeutet, dass die endgültige Bildgebungs-unterstützte Diagnose korrekt war. Insgesamt wurde bei 26 % der Patienten eine Therapieänderung aufgrund der höheren Spezifität der SPECT/CT-Befunde gegenüber der alleinigen MRT-Befunde beobachtet. Vor allem bei Knochenläsionen erwies sich die SPECT/CT als vorteilhaft, jedoch nicht bei Weichteilläsionen 72.

Eine Studie an 49 Patienten untersuchte die Reliabilität und Genauigkeit der SPECT/CT sowie ihren Einfluss auf die endgültige Therapieentscheidung im Vergleich zur MRT. Erfahrene Fuß- und Sprunggelenkchirurgen analysierten unabhängig und verblindet klinische Daten und Röntgenaufnahmen (im Stehen) zusammen mit MRT oder SPECT/CT oder einer Kombination aus beidem. Das Spektrum umfasste komplexe Fälle bzw. gemischte Pathologien: Arthrose, Arthritis, Coalitionen, OCL, Osteonekrosen, symptomatische Akzessoria, Exostosen, transiente Osteoporosen, Sehnen-Insuffizienzen, Ganglien und Deformitäten. Basierend auf der endgültigen Therapieentscheidung wurden Cohen-Kappa-Werte berechnet, um die Interrater- und Intrarater-Reliabilität darzustellen. Die Kappa-Werte für die Interrater-Reliabilität waren für SPECT/CT (0,68) gegenüber MRT + SPECT/CT (0,71) vergleichbar und signifikant schlechter für MRT alleine (0,38, p < 0,05). Die Kappa-Werte für die Intrarater-Reliabilität von MRT + SPECT-CT betrugen 0,75 gegenüber SPECT-CT allein 0,67 (P < 0,05) sowie gegenüber MRT allein 0,35 (p < 0,01). Dabei entspricht ein Cohens-Kappa von < 0,4 einer schlechten Korrelation. Eine Therapie-Empfehlung basierend auf SPECT/CT wurde durch die Zusatz-Information des MRT in 17 % geändert, dagegen eine Therapie-Empfehlung basierend nur auf MRT durch die Zusatz-Info des SPECT/CT in 60 % geändert. Die Autoren schlussfolgern, dass die SPECT/CT hat einen großen und hoch relevanten Einfluss auf die endgültige Therapie hat. Die Hauptindikationen sind knöcherne Pathologien mit diagnostischer Unsicherheit in anatomisch komplexen Fußregionen wie Mittelfußgelenke, Frage nach okkulten Coalitionen, Stressfrakturen, Status von Arthrodesen, schmerzhafte Prothesen und Osteochondrale Läsionen 73.

Die im Abschnitt SPECT/CT bei Gelenkprothesen zitierte Arbeit von Gurbani et al. verglich auch die Performance von SPECT/CT vs. MRT in 19 Fällen, wo beide Bildgebungen erfolgt waren: in 31,6 % (6/19) der Fälle waren beide Modalitäten mit der finalen Diagnose konkordant. In 11 der 19 Fälle (57,9 %) stimmten nur SPECT/CT-Befunde mit den klinischen Befunden überein. In einem weiteren Fall wies nur die MRT auf ein mediales Impingement hin und in einem anderen Fall wies keine der beiden Modalitäten auf die zugrundeliegende Pathologie hin. 51.

Eine Altersgrenze für eine SPECT/CT-Untersuchung existiert nicht. 2020 publizierten Yeats et al. ihre Ergebnisse an Kindern und Jugendlichen: Das Durchschnittsalter der Patienten betrug 13,4 Jahre (Range 6 bis 16,5 Jahre). Es handelte sich um 33 Patienten mit komplexen Fuß- und Knöchelschmerzen, die zwischen 2009 und 2019 zur SPECT/CT (insgesamt 36 Scans) überwiesen wurden. Bei allen Patienten wurden zuvor Röntgenaufnahmen angefertigt, 18/33 Patienten hatten bereits eine MRT erhalten. Bei 18 Patienten bestand ein Zustand nach OP. In 28/36 Fällen (77 %) lieferte die SPECT/CT Therapie-entscheidende Befunde: 10 Patienten wurden infolgedessen operiert (Exzision einer Coalitio, Alignement-Osteotomie, Anlage einer Arthrodese). Bei den übrigen 18 Patienten wurde die Therapie anhand der SPECT/CT-Befunde modifiziert, wobei 5 Operationen vermieden wurden. Im direkten Vergleich mit der MRT lieferte die SPECT/CT in 13/18 Fällen weitere wichtige klinische Informationen. In 8/36 Fällen bestätigte die SPECT/CT die Verdachts-Diagnose. Die Autoren kommen zu dem Schluss, dass die SPECT/CT bei Kindern und Jugendlichen mit unklaren komplexen Fuß- und Sprunggelenkschmerzen, insbesondere bei mehrfach voroperiertem Fuß, Akzessoria, tarsalen Coalitionen klinisch relevante Stressreaktionen identifizieren kann. Insbesondere bei einem Status nach vorhergehenden Operationen, kann die SPECT/CT zwischen alten, therapierten (metabolisch inaktiven) Veränderungen und neu aufgetretenen (metabolisch aktiven) Pathologien differenzieren. Dabei stellen auch Metallimplantate kein Problem dar 44.

SPECT/CT - Fallbeispiele bei ausgewählten Indikationen

Insuffizienzfrakturen

Abbildung 9.1.a bis d: Insuffizienzfraktur bei einer Patientin mit bekannter Osteoporose und chronischen rechtsseitigen Fußschmerzen. Es wurden 3 MRT-Untersuchungen in 9 Monaten durchgeführt (!), welche wechselnde Ödeme in den Fußwurzelknochen zeigten ohne dass eine eindeutige Diagnose formuliert wurde. Die SPECT/CT zeigt den typischen Aspekt einer Insuffizienzfraktur im vorderen Abschnitt des Calcaeus mit hypermetabolen linearen intraspongiösen Verdichtungen; im MRT (5 Wochen vor der SPECT/CT angefertigt) "nur" ödematöse Knochenmarkveränderungen.

Osteonekrosen

Abbildung 9.2.a bis d: SPECT/CT zur Beurteilung der Knochen-Vitalität bei einer Talusnekrose. 5 Jahre zuvor während der Arbeit war die Patientin beim Treppensteigen umgeknickt und zog sich Außenbandrupturen zu. Nachfolgend persistierende Beschwerden mit Entwicklung einer Talusnekrose. Frage nach Vitalität und Ausdehnung der Nekrose. Deutliche bis intensive Traceranreicherung im Bereich des linken Talus. Im SPECT/CT befindet sich der Hypermetabolismus in allen Abschnitten des Talus mit relativer Aussparung eines sich demarkierenden Fragmentes lateral, was die laterale Talusschulter umfasst, die Größe beträgt transversal ca. 23 x 16 mm. In diesem Fragment relativ homogene Skelettstruktur, diese Befunde weisen auf eine trophische bzw. nekrotische Störung des Talus hin mit einem sich demarkierendem Fragment, welches die laterale Talusschulter beinhaltet.

Die Abbildung 9.3.a bis d zeigt ein weiteren Fall mit einer SPECT/CT zur Beurteilung der Knochen-Vitalität bei einer Talusnekrose. Die Bilder zeigen eine abgelaufene Nekrose mit zystischen Resorptionen des linken Talusdoms bei nachweislich erhaltener Vitalität der umgebenden Knochenabschnitte aufgrund des hier überall deutlich erhöhten Knochenmetabolismus (= inkomplette Restitutio). Aufgrund der nachweislich erhaltenen Vitalität konnte erfolgreich eine Knochen-Transplantation erfolgen.Deutlich geringer ausgeprägte nekrotische Veränderungen auch im rechten Talusdom bei hier weitgehend erhaltenen Gelenkkonturen.

Floride regionale Osteopenie (ehem. als Knochenmarködem-Syndrom bezeichnet)

Abbildung 9.4.a bis d: SPECT/CT bei V. a. TMT-2-Arthrose rechts. Anamnestisch seit ca. 12 Wochen extreme Schmerzen im rechten Fuß, begleitend lokale Schwellung. Zuvor in der Pflege tätig mit vermehrter körperlicher Belastung, seit dem Wechsel in eine überwiegende sitzende Tätigkeit tendenzielle Besserung der Beschwerden. Kein auslösendes Ereignis erinnerlich. Hausärztlicherseits wurde eine Hyperurikämie ausgeschlossen. Körpergewicht 124 kg. Szintigraphisch ist die rechte Fußwurzel in allen 3 Phasen szintigraphisch anreichernd bzw. positiv. Die ersten beiden Phasen weisen auf die Hyperämie hin. Im CT erkennt man im Seitenvergleich eine diffuse regionale Osteopenie mit verwaschener Knochenstruktur und punctum maximum im Os naviculare und Os cuneiforme intermedius. Der linke Fuß zum Vergleich ist unauffällig.

Knochentumore

Abbildung 9.5.a bis d: Benignes juxtacorticales bzw. periostales Chondrom lateral an der Basis von Os metatarsale III mit begleitender Stressreaktion, DD beginnender Insuffizienzfraktur, wobei morphologisch keine Frakturlinie abgrenzbar ist (der Fall wurde von einem anerkannten Knochen-Radiologen als Referenz bestätigt). In einem externen MRT wurde die o. g. Verdachtsdiagnose geäußert, die Patientin hatte seit ca. 5 Monaten belastungsabhängige Schmerzen im Mittelfuß. Die MRT-Bilder wurden 8 Tage vor dem SPECT/CT angefertigt.

Strahlenschutz-Aspekte

Die Strahlenexposition im Rahmen einer SPECT/CT-Untersuchung ist grundsätzlich als gering und als ungefährlich anzusehen. Diese Tatsache entbindet natürlich nicht von der Pflicht für jeden Patienten grundsätzlich jede überflüssige Strahlenexposition zu vermeiden und sie immer dem klinischen Nutzen gegenüberzustellen.

Der in den oben genannten Kapiteln beschriebene klinische Nutzen der Fuß-SPECT/CT, belegt durch zahlreiche Studien und anhand von Bildbeispielen, ist als hoch relevant einzustufen, wenn die Standard-Bildgebung bestehend aus Sonographie, Röntgen unter Belastung, CT unter Belastung und MRT bei chronischen Beschwerden keine klaren Verdachtsdiagnosen liefert oder Unsicherheiten zurücklässt.

Nachfolgend ein paar Vergleiche mit natürlichen und zivilisatorischen Strahlenexpositionen, um die Größenordnungen, um die es bei einer Szintigraphie geht, zu erläutern. Diese Fakten können auch zur Reduktion einer Strahlenangst beitragen.

Fuß-SPECT/CT 2,2 bis max. 2,6 mSv (Milli-Sievert) 74, dabei beträgt der Dosis-Anteil des CT des Sprunggelenks ca. 0,07 - 0,1 mSv 75. Zum Vergleich beträgt die effektive Dosis einer LWS-Röntgen-Aufnahme in 2 Ebenen ca. 0,6 - 1 mSv und die jährliche Strahlenexposition von Flugpersonal liegt bei ca. 2 - 5 mSv.

Die durchschnittliche jährliche Strahlenexposition der Bevölkerung in Deutschland aus natürlichen Quellen wird mit 2 - 3 mSv angegeben, wobei in Abhängigkeit des Wohnortes und der Lebensgewohnheiten bis 10 mSv/Jahr erreicht werden (bfs.de). Eine der höchsten jährlichen natürlichen Strahlenexpositionen weltweit findet sich im iranischen Ramsar mit einer durchschnittlichen jährlichen effektiven Dosis von ca. 7 mSv und Spitzenwerten von bis zu 131 mSv (Sorahbi, 2002).

Der Grenzwert für die effektive Dosis zum Schutz von beruflich strahlenexponierten Personen beträgt 20 mSv im Kalenderjahr (§ 78 (1) Strahlenschutzgesetz). Im Einzelfall kann die zuständige Behörde für ein einzelnes Jahr 50 mSv zulassen, für fünf aufeinanderfolgende Jahre dürfen jedoch 100 mSv nicht überschritten werden. Die Berufslebensdosis darf 400 mSv nicht übersteigen (§ 77 Strahlenschutzgesetz).

Ein Beispiel noch aus dem Strahlenschutz: Sollte eine Schwangere unbeabsichtigt einer Strahlenexposition von < 20 mSv ausgesetzt worden sein, so kann die Schwangerschaft ohne ein erhöhtes Risiko für Fehlbildungen/Krankheiten bedenkenlos ausgetragen werden (Leitliniien der DRG (Deutsche Röntgensgesellschaft) und DGMP (Deutsche Gesellschaft für Medizinische Physik)). Die Schwellendosis für Schädigungen des ungeborenen Lebens liegt bei 50 - 100 mSv (bfs.de).

Die Röntgentherapie zur Behandlung von schmerzhaften peripheren Gelenken/Fersensporn ist eine etablierte Indikation, bei der Röntgentherapie an Extremitäten wird die effektive Dosis unterhalb von 1 mSv angegeben 76.

Bei einer Radiojodtherapie von gutartigen Schilddrüsenerkrankungen entsteht eine durchschnittliche Exposition von ca. 10 mSv. Diese Therapie wird gegebenfalls auch bei jungen Menschen durchgeführt. Mehrere Studien an bis zu 480.000 Patienten haben keine signifikant erhöhte Krebsmortalität der mit radioaktivem Jod behandelten Patienten festgestellt 777879.

Das Leben bzw. die Organismen auf Erde sind unter dem permanenten Einfluss von terrestrischer und kosmischer Strahlung entstanden und haben sich dementsprechend angepasst, das heißt, der Mensch verfügt über hochwirksame Mechanismen Strahlenschäden effektiv zu reparieren. Dieser Mechanismus ist übrigens der Grund weswegen Tumoren mit Strahlentherapie geheilt werden können: das gesunde Gewebe in der Nachbarschaft des Tumors repariert die Strahlenschäden, das Tumorgewebe kann das nicht oder nur schlecht und stirbt daher ab.

Ausblick

Zahlreiche Erkrankungen des Fußes bzw. der Sprunggelenke können treffsicher (> 90 %) mit Hilfe der SPECT/CT im Hinblick auf ihre klinische Relevanz diagnostiziert werden: exemplarisch insbesondere Fußwurzelarthrosen, Osteochondrale Läsionen, Sprunggelenk-Impingement, Coalitionen, Stressfrakturen, Sesambein-Pathologien, knöcherne Akzessoria,  Arthrodesen-Komplikationen, Prothesen-Komplikationen, Arthritiden, Osteomyelitis, Diabetischer Fuß, Knochen-Nekrosen und Sehnen- bzw. Band-Pathologien.

Jegliche diagnostische Unsicherheit oder der Verdacht auf eine komplexe Situation mit mehrfachen Pathologien rechtfertigt aufgrund der hohen Aussagekraft der Methode eine SPECT/CT (in entsprechend hoher Qualität). Ein Verzicht auf eine SPECT/CT kann unter Umständen zu unnötigen bzw. nicht-effektiven therapeutischen Maßnahmen führen.

Weitere Literatur

  • Freyschmidt J, Skeletterkrankungen, Klinisch-radiologische Diagnose und Differenzialdiagnose 3. Auflage 2008
  • Chuto G, Richelme E, Cermolacce C, Nicaud M, Puech B. Bone SPECT/CT of Ankle and Foot, Springer Verlag 2018
  • Freyschmidt J, Freyschmidt’s “Köhler/Zimmer” Grenzen des Normalen und Anfänge des Pathologischen in der Radiologie des kindlichen und erwachsenen Skeletts, Georg Thieme Verlag 2002
  • Graves SC: Hind foot reconstruction and arthrodesis, in Myerson MS (ed): Foot and Ankle Disorders. Philadelphia, WB Saunders, 2000, pp 1040-1058
  • Sorahbi M, International Congress Series, Volume 1225, February 2002, Pages 15-24, https://doi.org/10.1016/S0531-5131(01)00528-3
Loading…
Loading the web debug toolbar…
Attempt #