Kurzzusammenfassung

Bei der Diagnostik und Therapiekontrolle von Verletzungen und Erkrankungen an Sprunggelenk und Fuß, wie auch an anderen Bewegungsorganen spielt die Sonographie eine zentrale Rolle. Der Untersucher kann auffällige klinische Untersuchungsbefunde unmittelbar darstellen und die betroffene Struktur auch dynamisch untersuchen. Technische Voraussetzung ist ein für den Bewegungsapparat geeignetes Ultraschallgerät mit Linearschallkopf. Bei sehr oberflächennahen Strukturen oder zum Ausgleich einer unregelmäßigen Oberfläche kann zur besseren Ankopplung eine Vorlaufstrecke verwendet werden.
Ein Frequenzbereich von 7,5 bis 15 MHz ist für die an Fuß und Sprunggelenk meist oberflächennah vorkommenden Veränderungen zu empfehlen. Die Länge des Schallkopfs liegt typischerweise zwischen 4 und 5 cm.

Grundlagen

Ultraschalluntersuchungsplatz
Abbildung 1

Die Sonographie stellt in der Abklärung von Verletzungen und Erkrankungen an Sprunggelenk und Fuß wie auch an anderen Bewegungsorganen den „verlängerten klinischen Finger“ dar. Das heißt, dass der Untersucher selbständig auffällige klinische Untersuchungsbefunde unmittelbar (bed side) (Abb. 1) strukturell, aber auch funktionell unter Sicht am Monitor (real-time) überprüfen kann 1. Technische Voraussetzung ist hierzu ein Ultraschallgerät mit Tauglichkeitsbescheinigung des Herstellers für Bewegungsorgane.

Verwendet werden Linearschallköpfe (Abb. 2), da die relevanten anatomischen Strukturen meist gerade verlaufen und bei orthograder Untersuchungstechnik parallel zum Schallkopf zu liegen kommen. Dies erleichtert die Interpretation der Befunde am Monitor. Bei sehr oberflächennahen Strukturen oder zum Ausgleich einer unregelmäßigen Oberfläche ist zur Umgehung des ungünstigen Nahfokusbereichs bzw. zur besseren Ankopplung eine Vorlaufstrecke zu empfehlen. Ein Frequenzbereich von 7,5 bis 15 MHz ist für die an Fuß und Sprunggelenk meist oberflächennah vorkommenden Veränderungen zu empfehlen. Die Länge des Schallkopfs liegt zwischen 4 und 5 cm.

Linearschallköpfe wie sie typischerweise an Fuß und Sprunggelenk zum Einsatz kommen.
Abbildung 2

Die Untersuchung erfolgt im Rücken- oder Bauchlage, in aller Regel in zwei Ebenen und insbesondere bei der Abklärung einer Gelenkinstabilität im Seitenvergleich. Die deutsche Gesellschaft für Ultraschall in der Medizin (DEGUM, www.degum.de) empfiehlt Standardebenen. Darüber hinaus existieren viele zusätzlich hilfreiche Schnittebenen. Nach den Vorgaben der Kassenärztlichen Bundesvereinigung (KBV) muss auf dem erzeugten Bild die Differenzierung von Weichteilen und Muskeln, Knochen, Sehnen, Wand- und Binnenstrukturen von Gefäßen sowie von soliden Geweben und Flüssigkeiten möglich sein.

Zunächst werden als Referenzstrukturen die knöchernen Landmarken am Monitor eingestellt. Knöcherne Anomalien sind dabei zu beachten.
Am Knochen können folgende pathologische Befunde zu finden sein: periostales Hämatom, Usur, Unterbrechung, Stufe oder Knick der knöchernen Oberfläche, osteochondrale Ausrisse von Bändern oder Sehnen, Anomalien der Apophysenkerne sowie epiphysäre Verletzungen.

Der hyaline Gelenkknorpel ist nur in wenigen Gelenkabschnitten zugänglich, dort aber, besonders im Wachstum und mit höher auflösenden Schallköpfen gut zu beurteilen. Er stellt sich echoarm und glatt begrenzt dar. Darunter liegt echogen der subchondrale Knochen, darüber das mäßig echogene Gelenkkapselgewebe.

Eine Differenzierung zwischen dem echofreien Gelenkerguss oder einem Hämarthros mit Binnenechos gibt therapeutisch wichtige Hinweise. Andere Ursachen für eine Gelenkschwel­lung können Synovialitiden sein, die sonographisch als eher exsudativ mit vereinzelten Binnenechos durch Fibrin oder eher proliferativ mit verdickter Synovialmembran gut zu unterschieden sind.

Der Power-Doppler-Modus kann durch Visualisierung vermehrt durchbluteter Areale auf aktivierte Arthrosen oder entzündliche Veränderungen der Synovialis bzw. Tenosynovialis hinweisen.

Verletzungen von Muskeln oder Sehnen, die mit Defektbildung und Kontinuitätsunter­brechung einhergehen, sind sonographisch gut zu diagnostizieren 2.

Für Schmerzsyndrome der Bewegungsorgane sind nicht selten Reizzustände von Schleimbeuteln, Faszien und Sehnen verantwortlich, deren strukturelles Korrelat sonographisch gut abzubilden ist.

Informationen, welche mit Hilfe der Sonographie gewonnen werden, ermöglichen eine differenziertere Therapie. Die besondere Stärke der Sonographie liegt jedoch in der funktionellen Untersuchung: Band-, Sehnen- und Muskelläsionen können mit direkten oder indirekten Tests unter Sicht am Monitor auf Kontinuität, Stabilität und Funktion geprüft und graduiert werden. In diesem Punkt ist die funktionelle Sonographie der Röntgendiagnostik und auch MRT-Diagnostik weit überlegen. Sonographisch unterstützt können Punktionen und Infiltrationen leichter und sicherer durchgeführt werden.

Schwächen der Sonographie liegen in der fehlenden Durchdringung von Knochen oder Kalk und der im Vergleich zum MRT schlechteren lateralen Auflösung.

Im nachfolgenden werden typische sonographische Befunde an Sprunggelenk und Fuß in der Reihenfolge Lagerung des Patienten, sonographischer Schnitt, Referenzstrukturen, sonographischer Befund abgehandelt.

Tabelle 1: Abkürzungen
LS Longitudinalschnitt
TS Transversalschnitt
PD Power-Doppler-Signal
OSG Oberes Sprunggelenk
Lfta Lig. fibulotalare anterius.

Intra- und periartikuläre Pathologien am oberen Sprunggelenk

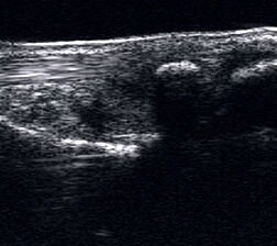
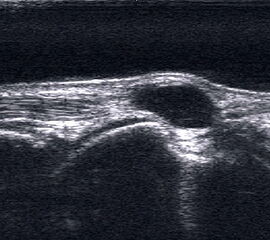
Das „dicke“ Sprunggelenk

„Dickes“ Sprunggelenk nach Trauma.
Abbildung 3

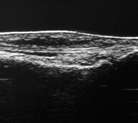
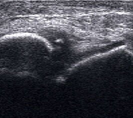
Häufig stellen sich Patienten aufgrund einer Schwellung des Sprunggelenks vor (Abb. 3). Teilweise sind Traumen nicht in Erinnerung oder liegen länger zurück. Sonographisch lässt sich differenzieren, ob eine intraartikuläre Ursache vorliegt (z.B. Erguss, Hämarthros, Synovialitis) oder Veränderungen der periartikulären Strukturen (z.B. Pathologien der Bänder, Tenosynovialitis, Tendopathie). Dies ist nicht nur für die Frage, ob ein punktionswürdiger Erguss oder ein Hämarthros vorliegt und in der Rheumatologie (exsudativer oder proliferativer Prozess) von Bedeutung. Auch ein periartikuläres Lymphödem, eine Varicosis oder andere subkutane Veränderungen wie Tumore oder Hämatome können einfach abgegrenzt werden.

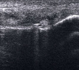
Erguss oberes Sprunggelenk

Lagerung: Rückenlage.
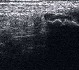
Schnittebene: Ventraler LS über dem OSG (Abb. 4).
Referenzstrukturen: Distale Tibia und Talusrolle, darüber Gelenkkapsel.

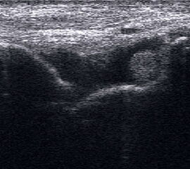
Befunde: Echofreie Vorwölbung der Gelenkkapsel durch Erguss (Abb. 5). Bei aktivierter Arthrose ggf. auch osteophytäre Randzacken mit Schallauslöschung und Pseudousuren sowie eher bizarre Ausprägung der Gelenkkapsel. Aufgrund der rundlichen Form des einsehbaren Anteils des Talus ist eine radiäre Schnittführung über den gesamten ventralen Talus zur umfassenden Durchmusterung nötig. Auch im dorsalen LS in Bauchlage kann mitunter eine Ergussbildung im Bereich des Proc. posterior tali zu beobachten sein, die mit der Sehnenscheide der Flexor-hallucis-longus-Sehne kommunizieren kann und dort über ein Halo-Phänomen eine Tendopathie vortäuscht.

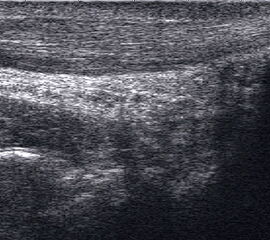
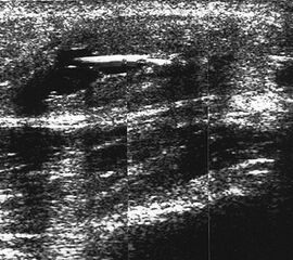
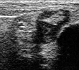
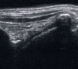
Hämarthros des oberen Sprunggelenks

Hämarthros mit Binnenechos
Abbildung 6

Lagerung: Rückenlage.
Schnittebene: Ventraler LS über dem OSG.
Referenzstrukturen: Distale Tibia und Talusrolle, darüber Gelenkkapsel. Befunde: Echoarme Vorwölbung der Gelenkkapsel durch Hämarthros (Abb.6), gelegentlich Spiegelbildung durch Abscheidung von flüssigen und korpuskulären Anteilen. Nach dem zweiten Tag zunehmend echogener und teilweise mit fokalen Verdichtungen durch Thrombosierung. Dekompressionstest zur Abklärung der Punktionsfähigkeit.

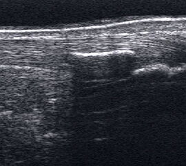
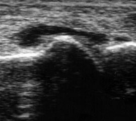
Arthritis des oberen Sprunggelenks

Echofreie Vorwölbung der Gelenkkapsel durch einen Gelenkerguss mit osteophytären Ausziehungen am Knorpel-Knochen-Übergang.
Abbildung 7

Lagerung: Rückenlage und ggf. Bauchlage.
Schnittebene: Ventraler (ggf. auch dorsaler) LS über dem OSG.
Referenzstrukturen: Distale Tibia und Talusrolle, teils verändert durch osteophytäre Randzacken mit Schallauslöschung und Pseudousuren. Auch die darüber liegende Gelenkkapsel kann von der normalen Anatomie erheblich abweichen.
Befunde: Echofreie Vorwölbung der Gelenkkapsel durch Erguss (Abb.7). Verbreiterter synovialer Randsaum, PD ggf. positiv. Bei ausgeprägter proliferativer Synovialitis mitunter fingerartige echogene Binnenstrukturen, bei Kompression Aquariumeffekt oder weitgehende Auffüllung der Gelenkapsel durch Proliferat. Bei aggressiver rheumatoider Arthritis breites echogenes, auf Knochen und Knorpel übergreifendes Pannusgewebe. Alle Anteile der Gelenkkapsel sind zu untersuchen. Daher auch Untersuchung in Bauchlage. Eine bakteriell bedingte Arthritis ist sonographisch nie sicher auszuschließen.

Lymphödem am oberen Sprunggelenk

Echogene Verdickung im Subkutangewebe bei Lymphödem
Abbildung 8

Lagerung: Rückenlage.
Schnittebene: Ventraler LS über dem OSG.
Referenzstrukturen: Distale Tibia und Talusrolle, darüber Gelenkkapsel. Befunde: Echogene Verdickung subkutan (Abb. 8), hier peronäal oberhalb des OSG. Bei Varicosis sind in der Subkutis erweiterte Venenkomplexe mit echoarmem Lumen und positivem Doppler-Signal zu sehen.

Ganglien an Sprunggelenk und Fuß

Ganglien imponieren als runde, echofreie Raumforderungen.
Abbildung 9

Lagerung: Rückenlage.
Schnittebene: LS und TS über der Pathologie.
Referenzstrukturen: Reproduzierbare knöcherne Landmarken in Abhängigkeit von der Lokalisation. Befunde: Ganglien finden sich häufig im fibularen Anteil der Gelenkkapsel des oberen Sprunggelenks (Abb. 9), aber auch an den Gelenkspalten und paratendinös im Bereich von Sehnenscheiden streck- oder beugeseitig. Ganglien sind sonographisch als meist runde echofreie Raumforderungen gelenk- oder sehnennah darstellbar.

Distorsion des Sprunggelenks

Die Verstauchung des oberen Sprunggelenks erfolgt zumeist als Inversions-Supinationsverletzung und gefährdet fibulare Gelenkstrukturen vom Außenknöchel bis zum Metacarpale V, die seltenere Eversionsverletzung, dagegen das Innenband und die tibiofibulare Syndesmose sowie den Außenknöchel. Auch frische Verletzungen und schmerzhafte Gelenke können primär im Ultraschall gut untersucht werden. Die posttraumatische Schwellung dient dabei als körpereigene Vorlaufstrecke und unterstützt somit die Untersuchung. Zunächst wird kontrolliert, ob ein Hämarthros des OSG als wichtiger Hinweis auf eine Kapselbandverletzung vorliegt. Dann erfolgt nach Hien die Stufendiagnostik, deren einzelne Schnitte in der Folge dargestellt werden.

Fibulaverletzung beim Kind

Abgehobenes Periost mit periostalem Hämatom (rechts) mit Gegenseite (links). Die Kortikalis wird unterbrochen von der noch offenen Wachstumsfuge der Fibula.
Abbildung 12

Lagerung: Rückenlage, leichte Innrotation des Fußes.
Schnittebene: LS über distaler Fibula.
Referenzstruktur: Fibula im Längsverlauf.
Befunde: Bei Kindern wird nach Distorsion des OSG mitunter eine Lösung der Fibulafuge vermutet, die jedoch in der klinischen Praxis sehr selten ist. Die seitenvergleichende Untersuchung zeigt dann ein aufgrund des dicken und bei Kindern gut abgrenzbaren echogenen Periosts ein periostales Hämatom, was aber auch ein Hinweis auf eine Fissur oder Fraktur sein kann (Abb.12).

Fibulaverletzung beim Erwachsenen

Fibulafraktur mit Unterbrechung der Kortikalis und Hämatom.
Abbildung 13

Lagerung: Rückenlage, leichte Innrotation des Fußes.
Schnittebene: LS über distaler Fibula.
Referenzstruktur: Fibula im Längsverlauf.

Befunde: Bei einer Außenknöchelfraktur ist eine Unterbrechung der echogenen metaphysären Knochenlinie mit umgebendem flachen, echoarmen periostalen Hämatom zu sehen (Abb.13).
Cave: Ein Os subfibulare kann ebenfalls fälschlicherweise als Fibulaverletzung interpretiert werden!

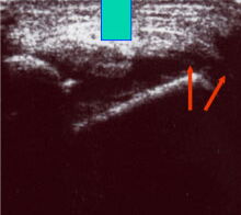
Ruptur Lig. fibulotalare anterius

Lagerung: Rückenlage, OSG in Plantarflexion.
Schnittebene: LS über Lig. talofibulare anterius.
Referenzstrukturen: Fibulakante und Talushals.
Befunde: Das Lig. talofibulare ant., verläuft (mit häufigen Anlagevarianten) beim Gesunden als meist dreieckige oder parallele echogene Struktur von der Fibula bis zur Spitze des im Schnitt pyramidenähnlichen Talus. Darunter ist ggf. Gelenkknorpel erkennbar (Abb. 15). Beim Erwachsenen reißt das Band meist distal ab und schlägt sich zum Talus hin ein (Abb. 16). Bei Kindern reißt das Band meist mit einer osteochondralen Schuppe fibular ab (Abb. 17). Zwischen Band und Knochen drängt oft echoarmes Hämatom nach außen, das im Dekompressionstest deutlicher darstellbar wird (Abb. 18). In derselben Untersuchungsposition kann die Stabilität schnell und weitgehend schmerzfrei überprüft werden (s. u.).

Video 1: Dekompressionstest. Ein Hämatom lässt sich durch Kompression wegdrücken. Wird dekomprimiert, läuft das Hämatom schnell nach.

Ruptur Lig. fibulocalcaneare

Längsschnitt über dem Lig. fibulocalcaneare. Die Peronealsehnen erscheinen als echoreiche runde bis ovaläre Struktur.
Abbildung 19

Lagerung: Rückenlage, OSG in Neutralstellung.
Schnittebene: LS über Lig. fibulocalcaneare.
Referenzstrukturen: Fibulaspitze und Talus.
Befunde: Das Lig. fibulocalcaneare is nativ schlecht abgrenzbar, da es in die Tiefe und nicht parallel zum Schallkopf verläuft. Direkt über das Band ziehen quer getroffen die Peronäussehnen. Durch die Distorsion kann auch das Peritendineum peroneale einreißen. Die Peronealsehnen sind dann in ihrer Sehnenscheide von Blut umgeben, was sich als echoarmer Ring (Halo-Phänomen) darstellt und ein indirektes Zeichen für eine Verletzung des Lig. fibulocalcaneare ist.

OSG-Instabilität

Durch Druck auf die ventrale Tibia läßt sich der Talusvorschub testen
Abbildung 20

Lagerung: Rückenlage, OSG in Plantarflexion, bei chronischer Instabilität auch Bauchlage.
Schnittebene: LS über Lig. talofibulare anterius und Lig. fibulocalcaneare.
Referenzstrukturen: Fibula und Talushals.
Befunde: Zunächst werden wie oben ausgeführt Lig. fibulotalare anterius und Lig. fibulocalcaneare im direkten Bandschnitt dargestellt. Dann erfolgt im Seitenvergleich die Stabilitätstestung unter Sicht auf den Monitor. Durch Druck von oben auf den Unterschenkel wird ein Vorschub des Fußes gegenüber der Tibia erzeugt, so dass, allerdings nicht in jedem Fall einer Banddurchtrennung, ein Vorschub des Talus gegenüber der Fibula (immer im Seitvergleich) am Monitor gemessen werden kann 3.

Video 2: Durch Druck auf die ventrale Tibia lässt sich der Talusvorschub testen.

Video 3: Dynamische Sonographie des instabilen Lig. fibulotalare anterius.

Die seitliche Instabilität wird im Varusstresstest überprüft. Hierbei kann die Aufweitung des subtalaren Gelenkspalts im Seitvergleich ausgemessen werden.

Video 4: Varusstress zur Beurteilung der lateralen Aufklappbarkeit.

Die Ausmessung erfolgt dann am dokumentierten Bild. Nach Hien weisen mehr als 6 mm Distanz für das Lig. fibulotalare anterius und mehr als 12 mm für das Lig. fibulocalcaneare auf eine relevante Instabilität hin. Die Untersuchung ist auch nach frischem Trauma problemlos, schnell und weitgehend ohne Schmerzen durchführbar. Durch die Schwellung wird die Ankopplung des Schallkopfs erleichtert. Da die dynamische Untersuchung unmittelbar und ohne Voraufklärung (und somit ohne durch den Untersucher induzierte Angst) auf der Untersuchungsliege durchführbar ist, ist die Gegenspannung durch den Patienten wesentlich weniger ausgeprägt als bei einer Stressaufnahme im Röntgen.
Chronische Instabilitäten, nicht jedoch frische Verletzungen, können auch in Bauchlage untersucht werden. Der Schallkopf wird im dorsalen LS auf der Achillessehne aufgesetzt, distale Tibia und Tuber calcanei dargestellt. Der Proc. posterior tali ist für diese Untersuchung nicht relevant. Dann erfolgt unter sonographischer Kontrolle ein Vorschub des gesamten Fußes zur Liege hin. Bei einer Instabilität kann im Seitenvergleich analog zur gehaltenen Röntgenaufnahme im Scheuba-Apparat – einer jedoch deutlich unangenehmeren und strahlenbelastenden Prozedur – eine Reduktion der Distanz zwischen Tibia und Tuber dargestellt und ausgemessen werden (Abb. 28 und 29). Nach Jerosch ist eine Translation von über 6 mm pathognomonisch für eine Instabilität.

Ruptur Lig. calcaneocuboideum

Lagerung: Rückenlage, OSG in Plantarflexion.
Schnittebene: LS über dem Calcaneocuboidalgelenk
Referenzstrukturen: Calcaneus und Cuboid.
Befunde: Distorsionen des Sprunggelenks können auch das untere Sprunggelenk betreffen. Hier ist häufig der calcaneocuboidale (CC) Anteil betroffen. Rückenlage, OSG in Plantarflexion, LS über CC-Band. Hämarthros, CC-Band poximal knöchern eingerissen.

Läsionen Metatarsale V

Lagerung: Rückenlage, OSG in Plantarflexion.
Schnittebene: LS über Basis des Metatarsale V.
Referenzstrukturen: Metatarsale V und Peronaeus brevis Sehne.
Befunde: Inversions-Distorsionen des Sprunggelenks können das Metatarsale V proximal erfassen. Bei Fraktur ist die knöcherne Oberfläche des Metatarsale durch einen senkrechten Frakturspalt unterbrochen mit periostalem Hämatom. DD Apophysenkern im Seitvergleich zu überprüfen.

Deltabandläsionen

Lagerung: Rückenlage, OSG in Plantarflexion.
Schnittebene: LS über jeweiligem Anteil des Deltabands.
Referenzstrukturen: Innenknöchel, Os naviculare, Sustentaculum Tali.
Befunde: Sowohl bei Inversions- als auch Eversionverletzungen können Teile des Deltabands mit verletzt werden. Bei Inversionsverletzung betrifft dies häufig den vordersten Zügel. Sonographisch sind nur selten Unterbrechungen des Bands zu sehen. Ein Hinweis auf eine Verletzung ist ein subligamentäres Hämatom. Am häufigsten sind die ventralen Bandanteile, insbesondere die Zügel zum Os naviculare betroffen.

Syndesmosen-Läsion

Darstellung der ventralen Anteile der Syndesmose über eine ventralen Schnitt im Bandverlauf.
Abbildung 36

Lagerung: Rückenlage.
Schnittebene: Zunächst LS über dem vorderen Verstärkungsband der tibiofibularen Syndesmose, dem Lig. tibiofibibulare anterius (Abb. 36). Stabilitätstest im TS über der Syndesmose.
Referenzstrukturen: Fibula, Tibia (Tubercule de Chaput)
Befunde: Ist das ventrale Syndesmosenband nicht darstellbar und sogar ein Hämatom erkennbar, besteht der dringende Verdacht auf eine Verletzung der Syndesmose. Dann ist etwas proximal des Bandes im TS die Stabilität der Syndesmose zu prüfen. Begonnen wird in Plantarflexion und das OSG dann unter Sicht am Monitor maximal dorsalextendiert und das Sprunggelenk durch forcierte Außentorsion und Eversion des Fußes in der Knöchelgabel geweitet (Video 4). Zeigt sich dann im Seitenvergleich eine Aufweitung des sog. Ring-down-Echos zwischen Tibia und Fibula (Abb. 37 und 38), die im Bild auch messbar ist, ist eine Instabilität der Syndesmose erwiesen.

Video 5: Dynamische Untersuchung der Syndesmose mit Abduktion-Eversions-Stress.

Sehnenläsionen

Peronealsehnenläsion

Lagerung: Rückenlage, Innendrehung des Beines
Schnittführung: TS und LS hinter dem Außenknöchel beginnen und die beiden Peronäalsehnen bis zur Basis des Metatarsale V durchmustern, für Longus-Sehne auch plantare Untersuchung in TS und LS (Abb. 39).
Referenzstrukturen: Fibulahinterkante, Basis Metatarsale V.
Befunde: Halophänomen und echoarme Verdickung bei akuter Tendinopathie, zunehmend inhomogen und echogen bis hin zu Teilrupturen bei chronischem Verlauf. Für die Erkennung von Teilrupturen sind TS in verschiedener Höhe besonders wichtig. Bei komplettem Riss zeigt sich der Sehnenstumpf wie eine Spargelspitze (Abb. 40). Der retrahierte Sehnenstumpf ist von Flüssigkeit und Hämatom umgeben.
Ein Teilriss der Peronaeus brevis Sehne mit Invagination der Peronaeus longus Sehne kann beim Peronaeal Tendon Split Syndrom beobachtet werden (Abb. 41 und 42).
Selten treten ansatznahe Einrisse der Peronaeus longus Sehne am Ansatz zur Metatarsale I Basis auf. Diese plantaren Peronaeus longus Rupturen sind mit und ohne Retraktion möglich (Abb. 43 verletzte Seite und Abb.44 gesunde Gegenseite).

Peronealsehnenluxation

Peronealsehnenluxation. TS an der Fibulaspitze. Die Sehnen sind über die Fibula gerutscht.
Abbildung 45

Lagerung: Rückenlage, Innendrehung des Beins.
Schnittführung: TS und LS hinter dem Außenknöchel.
Referenzstrukturen: Fibulaspitze, Sehnen der Mm. peronaei.
Befunde: Halo-Phänomen. Bei der Luxation rutschen die Sehnen über den Außenknöchel nach lateral/ventral. Eine spontane Reposition unter Entspannung ist möglich. Im TS kann die Instabilität ggf. mittels Provokationstest durch Eversion gegen Widerstand sonographisch dynamisch dargestellt werden. Bei der Diagnostik der Peronealsehnen Instabilität oder Luxation ist die Sonographie durch die Möglichkeit der dynamischen Untersuchung dem MRT klar überlegen 4.

Tendopathien der Flexorensehnen

Dorsaler TS hinter dem Innenknöchel.
Abbildung 46

Lagerung: Rückenlage, Außendrehung des Beines.
Schnittführung: TS und LS hinter dem Innenknöchel beginnen und bis zum Os cuneiforme mediale fortführen.
Referenzstrukturen: Innenknöchel, Talus, Os naviculare, Os cuneiforme mediale, Sehnen der Mm tibialis posterior, flexor hallucis longus, flexor digitorum.

Befunde: Häufig betreffen die Pathologen die Tibialis-posterior-Sehne, die als erste Sehne hinter dem Innenknöchel zur Darstellung kommt. Halo-Phänomen und echoarme Verdickung bei akuter Tendinopathie, zunehmend inhomogen und echogen mit Kaliberschwankungen bis hin zu Teilrupturen bei Chronifizierung 5. Für die Erkennung von Teilrupturen sind TS in verschiedener Höhe besonders wichtig. Bei komplettem Riss mit Retraktion im LS Bild wie Spargelspitze mit umgebender Flüssigkeit oder Hämatom. Ein Os tibiale externum erscheint als echoreiche Struktur im Verlauf der Tibialis posterior Sehne mit dorsaler Schallauslöschung. Ein Os naviculare cornutum imponiert als starke Prominenz im Ansatzbereich der Tibialis posterior Sehne.

Veränderungen der Strecksehnen

Ruptur der Tibialis anterior Sehne mit retrahiertem Stumpf und umgebendem Hämatom.
Abbildung 49

Lagerung: Rückenlage.
Schnittführung: Ventraler LS und TS über dem OSG und dem Mittelfuß.
Referenzstrukturen: Distale Tibia und Talusrolle, Kahnbein, Cuneiforme-Knochen und Metatarsalia,Sehnen der Mm. tibialis anterior, extensor digitorum longus.
Befunde: Oberhalb der Gelenkkapsel echogene longitudinale parallele Struktur der Strecksehnen. Als dickste Sehne liegt medial die Tibialis-anterior-Sehne, die selten reißt. Die Tibialis anterior Sehne ist als Extensor des Fußes für die Kinematik der Abrollbewegung bedeutsam. Halo-Phänomen und echoarme Verdickung bei zumeist akuter Tendinopathie. Nach Riss oftmals weite Retraktion nach proximal mit umgebender Flüssigkeit oder Hämatom (Abb. 49).

Tenosynovialitis

Eine Tenosynovialitis, hier im Bereich des Os metatarsale I stellt sich als echoarmer Ring (Flüssigkeit) um die echoreiche Sehne dar.
Abbildung 50

Lagerung: Rückenlage.
Schnittführung: Ventraler LS und TS über dem OSG, hinter dem Innen- bzw. Außenknöchel und den Metatarsalia.
Referenzstrukturen: In Abhängigkeit von der Lokalisation Innenknöchel, Fibulaspitze, dorsaler Mittelfuß, Sehnen.
Befunde: Ein echoarmer Ring um die echogene Sehne ist Ausdruck der Flüssigkeitsumscheidung. Bei entzündlicher Ursache auf dem Boden einer rheumatologischen Erkrankung kommt es im zeitlichen Verlauf zum Übergang in eine chronische Tendinopathie. Durch Verklebungen mit dem Sehnengleitgewebe kann das Gleiten der Sehne behindert sein.

Impingementsyndrome

Impingement bei osteophytären Anbauten an der ventralen Tibia und am Talushals.
Abbildung 51

Lagerung: Rückenlage.
Schnittführung: Ventraler LS und TS über dem OSG.
Referenzstrukturen: Distale Tibia, Innenknöchel und Talusrolle.
Befunde: Beim knöchernen Impingement finden sich an der distalen Tibia und Talusrolle besonders in den Insertionsarealen der oberflächlichen Anteile des Deltabands echogene osteophytäre Ausziehungen, die hier nicht Folge einer Arthrose sind, sondern zugbedingte Verkalkungen ventromedialer Kapselbandanteile (Fußballer-Sprunggelenk) (Abb. 51). Bei maximaler Dorsalextension kann ein Kontakt dieser Sporne im Sinne eines knöchernen Impingement zu beobachten sein.
Beim Weichteilimpingement kommt es fibularseitig zu Einklemmungserscheinungen (Meniskoid), die jedoch nicht sonographisch darstellbar sind. Auch das dorsale knöcherne Impingement des oft degenerativ ausgezogenen Proc. posterius tali (Nußknackereffekt) oder bei einem mobilen Os trigonum ist nicht sonographisch darstellbar.

Achillessehne

Achillessehnenrupturen

Lagerung: Bauchlage, ggf. Sprunggelenk mittels Rolle unterlagert.
Schnittführung: LS über der Achillessehne, ggf. in leichter manueller Vorspannung der Achillessehne, damit diese parallel zum Schallkopf optimal eingestelt werden kann (Abb. 52).
Referenzstruktur: Direkt unter der Haut und der dünnen Subkutis liegt echogen und straff parallel die Achillessehne mit ihrem echogenen Peritendineum (Abb. 53), Tuber calcanei.

Befunde: Da die Sehne zumeist nicht glatt, sondern bündelförmig reißt, stellen sich auch in der Sonographie anders als bei den Peroneal- und Flexorensehnen keine spargelspitzenähnlichen Rissenden dar. Echogene Rissränder, umgeben von echoarmem Hämatom sind beweisend für eine Ruptur. Risse der Achillessehne können auch nur einen Teil des Sehnenquerschnitts betreffen. Daher ist die Untersuchung verschiedener TS bedeutsam (Abb. 54 bis 56). Unter Kontrolle am Monitor kann die Diagnose in maximaler Dorsalextension klarer gestellt werden (Abb. 57).

In maximaler Plantarflexion kann versucht werden, die Sehnenstümpfe anzunähern. Für die Therapieplanung ist entscheidend, ob sich die Stümpfe der Sehne in 30° Plantarflexion in Kontakt bringen lassen. Dies ist beispielsweise Voraussetzung für eine konservative Behandlung.

Nach operativer Versorgung einer Ruptur bleibt die Achillessehne in der Regel als Zeichen der Kompensation verdickt. Fadenmaterial bleibt lange als echogene Strukturen mit Schallschatten intratendinös sichtbar (Abb. 59).

Tendopathie der Achillessehne

Lagerung: Bauchlage, ggf. Sprunggelenk mittels Rolle unterlagert.
Schnittführung: LS und TS über der Achillessehne in leichter manueller Vorspannung der Achillessehne.
Referenzstruktur: Direkt unter der Haut und der dünnen Subkutis liegt echogen und straff parallel die Achillessehne mit ihrem echogenen Peritendineum.
Befunde: Klassischerweise findet sich eine normal echogene spindelförmige Verdickung einige Zentimeter über der Insertion (Abb. 60). In der Frühphase zeigen Tendinopathien eine echoarme Verdickung. Im Verlauf finden sich zunehmend echogenere Bezirke und Inhomogenitäten, teilweise mit Einziehungen und rau erscheinendem Peritendineum. Ist die Sehne teilweise nicht mehr abgrenzbar, kann bereits ein Übergang in eine teilweise Kontinuitätsauflösung vorliegen. Ein peritendinöser Randsaum ist vor allem in frühen Phasen zu beobachten. Flüssigkeitsareale, die von der echogenen Sehne abgrenzbar sind, sprechen jedoch auch an der Achillessehne für eine Rissbildung. Auch Kalkeinschlüsse oder peritendinöse Verkalkung mit Schallschatten sowie intratendinöse Zysten werden beobachtet.

Fersenschmerz

Der obere Fersenschmerz im Insertionsbereich der Achillessehne kann sonographisch sehr gut differenziert und einer gezielten Behandlung zugeführt werden. In Bauchlage wird im LS die Achillessehne mit ihrer Insertion am Calcaneus eingestellt.

Haglundexostose, oberer Fersensporn, Apophysitis calcanei

Lagerung: Bauchlage, ggf. Sprunggelenk mittels Rolle unterstützt.
Schnittführung: LS und TS über dem Achillessehnenansatz.
Referenzstrukturen: Kalkaneus, in der Tiefe Proc. posterius tali.
Befunde: Im dorsalen LS zeigt sich bei Haglundexostose eine nach proximal verlängerte horizontale echogene knöcherne Struktur (Abb. 63). Die von ihr verdrängte Achillessehne kann darüber echoarm verdickt erscheinen. Teilweise findet sich auch subkutan eine echogene Schwiele. Zwischen Sehne und Knochen kann zusätzlich eine Reizung der Bursa subachillea vorliegen die als echofreie Raumforderung imponiert.
Fibroostotische Ausziehungen des Tuber calcanei nach proximal oder tropfenartige Verkalkungen im Insertionsbereich der Achillessehne lassen diese fokal verdickt aussehen. Darüber zeigt die Subkutanschicht mitunter echogene Schwielenbildung (Abb. 64).
Apophysitis calcanei weist keine typischen Sonopathologie auf (Abb. 65). Dennoch ist die Sonographie bei den zumeist sportlichen Kindern zum Ausschluss anderer Veränderungen neben einer seitlichen Röntgenaufnahme hilfreich.

Bursitis subachillea

Bursitis subachillea als echoarme Struktur an der kranialen Kante des Kalkaneus.
Abbildung 66

Lagerung: Bauchlage, ggf. Sprunggelenk mittels Rolle unterstützt.
Schnittführung: LS und TS über dem Achillessehnenansatz.
Referenzstruktur: Kalkaneus.
Befunde: Im dorsalen LS findet sich im Winkel zwischen Achillessehne und Calcaneus eine meist echofreie lokale Raumforderung, ggf. mit dorsaler Schallauslöschung (Abb. 66).

Mittelfußläsionen

Lagerung: Rückenlage.
Schnittführung: Ventraler LS und ggf. TS über dem klinisch auffälligen Teil des Fußes (Abb. 67).
Referenzstrukturen: Knochen sehr oberflächennah als echogene Linie erkennbar. Daher Verwendung einer Vorlaufstrecke sinnvoll.
Befunde: Prellungen können mit einer echogenen Verdickung der Subkutis durch Hämatom oder Ödem (Abb. 68) einhergehen. Distorsionen können zur Ergussbildung der betroffenen tarsalen Gelenke führen. Arthrotische Veränderungen zeigen oftmals einen Gelenkerguss, eine Verdickung der Kapsel, einen unregelmäßigen Rand der Gelenkspalten und Usuren (Abb. 69). Bei Frakturen einschließlich Stressfrakturen kann ein periostales Hämatom als echarme Linie erkennbar werden, das sich bei zunehmender Kallusbildung echogen verdickt 6. Die knöcherne Oberfläche ist zunächst unterbrochen, bei Kallusbildung verworfen.

Pathologien der Zehen

Hallux rigidus, Arthritis, M. Köhler

Lagerung: Rückenlage, Fuß plantar auf der Unterlage aufgestellt.
Schnittführung: LS über den betroffenen Gelenken, ggf. Vorlaufstrecke verwenden.
Referenzstrukturen: Metararsale, Phalangen.
Befunde: Echoarme Ergussbildung, ggf. echogen verdickte Synovialis und positives PD-Signal. Bei Arthrose osteophytäre Anbauten mit erschwerter sonographischer Darstellbarkeit der knöchernen Oberfläche und des Gelenkspaltes (Abb. 72). Abflachung und Verbreiterung des Mittelfußkopfs 2 und 3 nach M. Köhler (Abb. 73). Typisches Arthritismuster mit symmetrischem Befall mehrerer Grundgelenke bei rheumatoider Arthritis. Bei exsudativer Arthritis mutiple echofreie Gelenkergüsse und umsäumende Synovialitis. Gelenknahe Erosionen und Usuren als Unregelmäßigkeit der knöchernen Oberflächen, synoviale Zysten und ggf. positives PD.

Fußsohle

Fasziitis plantaris, unterer Fersensporn, M. Ledderhose

Lagerung: Bauchlage oder Schneidersitz.
Schnittführung: Plantarer LS vom Fersenbein nach distal.
Referenzstruktur: Kalkaneus.
Befunde: Die plantare Fasciitis stellt sich als echoarme Verdickung im Insertionsbereich der Plantarfaszie am vorderen unteren Anteil des Fersenbeins dar. Eine Auftreibung von mehr als 6 mm gilt als pathologisch.
Der knöcherne Fersensporn ist als längliche echogene Ausziehung mit Schallschatten erkennbar. Manchmal findet sich auch eine lokale echoarme Bursaverdickung. Bei chronischer Veränderung mit Übergang in eine Teilruptur wird die Struktur der Plantarfaszie zunehmend inhomogen. Ein akuter Einriss imponiert als Konturunterbrechung, teilweise gewellter Verlauf bei Spannungsverlust und echoarmes Hämatom welches sich bis in die kurzen Fußbeugemuskulatur ausdehnen kann.
Bei M. Ledderhose zeigen sich multiple echoarme Knoten meist im medialen Strang der Faszie.

Mortonneurom, Tarsaltunnel-Syndrom

Die Sonographie lässt hier nur selten allenfalls ergänzende, aber nicht beweisende Befunde zu. Hilfreich ist die Sonographie zum Ausschluss von Pathologien, welche den N. tibialis im Tarsaltunnel komprimieren können, wie Venengeflechte, Ganglien oder Auftreibungen der Flexorensehnen.

Injektionen, Punktionen, Biopsien

Der Gelenkspalt des oberen Sprunggelenks ist zwar klinisch meist gut aufzufinden, eine Kapselschwellung oder Arthrose mit osteophytären Anbauten kann eine intraartikuläre Injektion jedoch deutlich erschweren. Dies gilt noch mehr bei Arthrosen oder Ganglien der Zehengrundgelenke und am Mittel- bzw. Rückfuß. Hier wie auch bei rheumatoider Arthritis kann zunächst sonographisch untersucht werden, wo und in welcher Tiefe die beste Zugangsmöglichkeit besteht.

Nach Infiltration kann am Monitor für den Behandler wie auch den Patienten das eingebrachte Injektionsvolumen kontrolliert werden, eine direkte Intra-Observer-Kontrolle und Verbesserung der Compliance und somit eine echte qualitätssichernde Maßnahme. Verdächtige Raumforderungen können ebenso gut in zwei Ebenen erfasst und unter sonographischer Kontrolle biopsiert werden.

Ortung von Fremdkörpern und Implantaten

Metallische Implantate wie Stellschrauben oder Zugschrauben, Arthrorise-Schrauben oder auch Doppelgewindeschrauben können sonographisch gut geortet, ihre Lokalisation auf der Haut angezeichnet und ihre Tiefe am Monitor abgelesen werden, um eine Metallentfernung zu erleichtern. Das ist z. B. bei unmittelbarer Nähe von Gefäßen hilfreich, wobei hier das Power-Doppler-Signal das Gefäß im TS gut abzugrenzen hilft. Feine Implantate wie Kirschner-Drähte oder Fremdkörper wie Metallsplitter oder Nadeln sind schwerer auszumachen, bioresorbierbare Implantate ebenso. Anderes Material wie Glas- oder Holzsplitter entzieht sich in der Regel der Darstellbarkeit.

Video 6: Pulsierendes Gefäß über dem Schraubenkopf im LS über der ventralen Tibia.

Weitere Literatur

  • Folman Y, Bartal G, Breitgand A, Shabat S, Ron N: Treatment of recalcitrant plantar fasciitis by sonographically-guided needle fasciotomy. Foot Ankle Surg 2005;11:211-214.
  • Gaulrapp H, Binder C: Grundkurs Sonographie der Bewegungsorgane. Elsevier München 2011
  • Gaulrapp H, Szeimies U: Diagnostik der Gelenke und Weichteile. Sono oder MRT. Elsevier Stuttgart 2008
  • Hien NM: Ein praxisnahes, effektives Behandlungskonzept bei Kapselbandverletzungen des oberen Sprunggelenkes und Mittelfußes aufgrund sonographischer Differenzierung. Orth. Praxis 2002; 38:489-494.
  • KVB-Ultraschallvereinbarung 2012. http://www.kvb.de/praxis/qualitaet/qualitaetssicherung/ultraschallvereinbarung/
  • Seybold D, Pallapies V, Hamel J. Standardisierter Einsatz bildgebender Verfahren (Sonographie/MRT) zur Darstellung der Sehne des M. tibialis posterior bei Tibialis-posterior-Dysfunktion. Fuß und Sprunggelenk 2004;4:230-239.
Loading…
Loading the web debug toolbar…
Attempt #