Zusammenfassung

Das konventionelle Röntgen ist unverändert die Basisdiagnostik in der Behandlung von Erkrankungen an Fuß und Sprunggelenk. Normalerweise werden die Aufnahmen an Fuß und Sprunggelenk belastet durchgeführt. Ausnahmen sind nur die akute Verletzung oder auch postoperativ, wenn eine Belastung nicht möglich ist. Aber auch nach Trauma ist die Beurteilbarkeit der Bilder wesentlich besser, wenn der Fuß ohne Lastaufnahme aufgestellt wird.

Die Standardaufnahmen an Fuß und Sprunggelenk umfassen u.a.

  • Fuß dp belastet und unbelastet
  • Fuß seitlich belastet und unbelastet
  • Fuß 45° schräg (Pronation)
  • Fuß 45° schräg (Supination)
  • Sesambeinaufnahmen
  • Sprunggelenk ap belastet (Mortise-View)
  • Sprunggelenk seitlich belastet
  • Rückfußachsaufnahmen (Saltzman Aufnahme, Long axial view)
  • Einbeinstandaufnahme
  • Kalkaneus seitlich
  • Kalkaneus axial

Je nach Fragestellung können vereinzelt noch spezielle Projektionen zu Anwendung kommen. In den letzten Jahren wurden diese jedoch durch Schnittbildverfahren wie CT, MRT und DVT verdrängt.

Stellenwert der konventionellen Röntgendiagnostik

Die konventionelle Röntgendiagnostik bildet im Normalfall die Basis jeder Bildgebung. Die gute Verfügbarkeit, in Verbindung mit einer inzwischen sehr geringen Strahlenbelastung und im Vergleich zu den Schnittbildverfahren geringen Kosten machen die konventionelle Röntgendiagnostik zum zentralen Diagnostiktool. Bei sehr vielen Krankheitsbildern kann die Diagnose auf der Basis einer sorgfältigen klinischen Untersuchung in Kombination mit konventionellen Röntgenaufnahmen gestellt werden. Selbst unauffällige Röntgenbilder helfen im Hinblick auf gleichzeitig durchgeführte Schnittbildverfahren Differentialdiagnosen auszuschließen und erlauben eine spezifischere Fragestellung. Dies gilt insbesondere für kleine knöcherne (kortikale) Bandausrisse, kleine Gelenkkörper, Ossikel und Osteophyten, die der MRT oft entgehen. 

Auch in der Ära von MRT und hochauflösender Computertomografie sollte der Stellenwert der konventionellen Röntgendiagnostik in keinem Fall unterschätzt werden. Ein wesentlicher Vorteil der konventionellen Röntgendiagnostik verglichen zu CT und MRT ist die Möglichkeit zahlreiche Bilder unter Belastung durchzuführen was insbesondere Aussagen zur Statik des Bewegungsapparates erlaubt.

Strahlenbelastung

In Deutschland liegt die natürliche Strahlenbelastung laut dem Bundesamt für Strahlenschutz (Bfs) im Durchschnitt bei 2,1 Millisievert (mSv) im Jahr. Weltweit gibt es erhebliche Unterschiede. In einigen Küstenregionen Brasiliens beträgt die natürliche Strahlenbelastung im Jahr 80 mSv.

Die Strahlenbelastung durch konventionelle Röntgenaufnahmen an Fuß und Sprunggelenk ist vergleichsweise gering, auch der Abstand zum Körperstamm und strahlenempfindlichen Organen trägt hierzu bei. Eine Aufnahme im Bereich des Fußes führt zu einer Strahlenbelastung von 0,01-0,001 mSv. Eine Computertomografie des Sprunggelenks liegt bei 0,07 mSv. Mit einer deutlich höheren Strahlenbelastung ist ein 3-Phasen Skelettszintigramm verbunden. Hier liegt die Strahlenbelastung bei 6,3 mSv.

Bei einem Transatlantikflug (einfach) liegt die Strahlenbelastung aufgrund des Aufenthalts in einer Höhe von ca. 10 km über mehrere Stunden bei 0,04 mSv. Diese Strahlenbelastung ist damit mehr als zehn Mal höher als die Belastung, die mit einer Röntgenaufnahme des Fußes in drei Ebenen verbunden ist.

Trotzdem muss bei jeder Aufnahme die Notwendigkeit kritisch hinterfragt werden, nur bei entsprechender Indikation darf geröntgt werden. Eine durchgeführte, nicht indizierte Röntgenaufnahme wird juristisch als Körperverletzung betrachtet. Insbesondere bei Kindern ist eine erhöhte Empfindlichkeit gegenüber ionisierender Strahlung nachgewiesen, unter anderem aufgrund des noch vorhandenen blutbildenden Knochenmarks in der Peripherie. Vergleichende Aufnahmen sind nicht mehr indiziert 1.

Spezielle Aspekte der Röntgenaufnahmen an Fuß und Sprunggelenk

Eine exakte Einstelltechnik und die genaue Positionierung des Patienten sind Grundvoraussetzung für qualitativ hochwertige Röntgenaufnahmen. Eine schlechte Röntgentechnik kann zu Fehldiagnosen führen, zur Fehlinterpretation von Achsenverhältnissen und zum Verkennen von radiologischen Zeichen.

Immer wenn die für die Diagnose relevante anatomische Struktur nicht adäquat abgebildet ist, sollten die Aufnahmen wiederholt werden (Anderson 2008).

Insbesondere bei der Interpretation von Aufnahmen bei Kindern ist die Kenntnis der normalen Skelettentwicklung erforderlich. Weitere Fallstricke an Fuß und Sprunggelenk sind akzessorischen Knochen und Ossifikationskerne. Diese werden nicht selten als Fraktur fehlinterpretiert (Keats 1998).

Zur Vollansicht und zum Lesen der Bildbeschreibung bitte das Bild anklicken.

Sprunggelenk

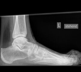
Die Standardaufnahmen des Sprunggelenks umfassen eine anterior-posteriore (ap) Abbildung der Sprunggelenkgabel mit 20° Innenrotation des Fußes (Mortise View) und eine laterale Aufnahme. Die beste Beurteilbarkeit besteht, wenn die Aufnahmen unter Belastung durchgeführt werden. Die Kombination aus Mortise-View und lateraler Aufnahme des Sprunggelenks deckt die meisten Fragestellungen ab. Bei einer „wahren“ ap-Aufnahme des Sprunggelenks ohne Innenrotation des Fußes kommt es zu erheblichen Überlappungen zwischen Talus, Tibia und Fibula, was die Beurteilung für die meisten Fragestellungen erschwert. Zur Beurteilung der Beinachse können belastete ap-Aufnahmen in Neutralstellung des Fußes indiziert sein.

Sprunggelenk ap, Mortise-View und lateral ohne Belastung

Indikation:

  • Trauma, bzw. Frakturverdacht.
  • Weichteilverletzungen.
  • Entzündliche, degenerative, tumoröse und andere schmerzhafte Erkrankungen.

Anmerkung:

  • Die Aufnahmen des Sprunggelenks ohne Belastung liefern weniger Informationen als Aufnahmen mit Belastung. Sie werden vor allem dann angefertigt, wenn es Kontraindikationen gegen die Belastung gibt.

Sprunggelenk anterior-posterior (ap) ohne Belastung

Positionierung:

  • Das Sprunggelenk befindet sich in 90° Stellung, das Bein ist gestreckt.
  • Die Zehen sind direkt nach oben gerichtet.
  • Der Zentralstrahl ist mittig auf den Gelenkspalt am oberen Sprunggelenk zentriert.
  • Der Röntgenfilm liegt horizontal.

Kennzeichen des Röntgenbildes:

  • Der Talus ist leicht außenrotiert.
  • Der talofibulare Gelenkspalt wird partiell durch die distale Fibula überdeckt.
  • Das anteriore Tuberkel der Tibia überlappt die distale Fibula.

Besondere Bemerkungen zum Beispielbild:

  • Innenknöchelfraktur bei einem Jugendlichen.
  • Keine relevante Dislokation.
  • Die Wachstumsfugen sind noch erkennbar, im Wesentlichen aber geschlossen.
Zur Vollansicht und zum Lesen der Bildbeschreibung bitte die Bilder anklicken.

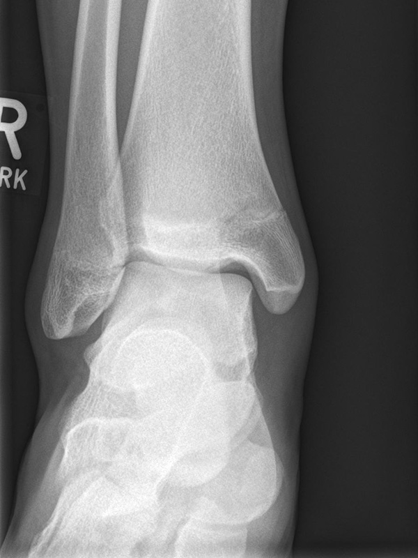
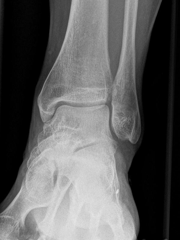
Sprunggelenk Mortise Aufnahme ohne Belastung (Mortise-View)

Positionierung:

  • Zur Abbildung der Sprunggelenkgabel wird der Fuß 20° innenrotiert, um eine exakte ap-Abbildung der Malleolengabel zu erreichen.
  • In dieser Aufnahme wird der mediale und laterale Gelenkspalt des Talus mit identischer Breite abgebildet.
  • Innen- und Außenknöchel befinden sich in gleicher Distanz zum Röntgenfilm.
  • Zentralstrahl wird mittig auf den Gelenkspalt am oberen Sprunggelenk zentriert.

Kennzeichen des Röntgenbildes:

  • Darstellung des Talusdoms ohne Überlagerung.
  • Das Sprunggelenk befindet sich dabei in 90° Stellung, um eine Überlappung des Kalkaneus mit der distalen Fibula zu vermeiden.
  • Der Weichteilmantel ist erkennbar.

Besondere Bemerkungen zum Beispielbild:

  • Die Innenknöchelfraktur ist deutlich besser nachvollziehbar als bei der ap Aufnahme (siehe vorheriges Bild).
  • Keine Stufe im Gelenk.
  • Die Wachstumsfugen sind noch erkennbar, im Wesentlichen aber geschlossen.
Zur Vollansicht und zum Lesen der Bildbeschreibung bitte die Bilder anklicken.

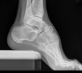
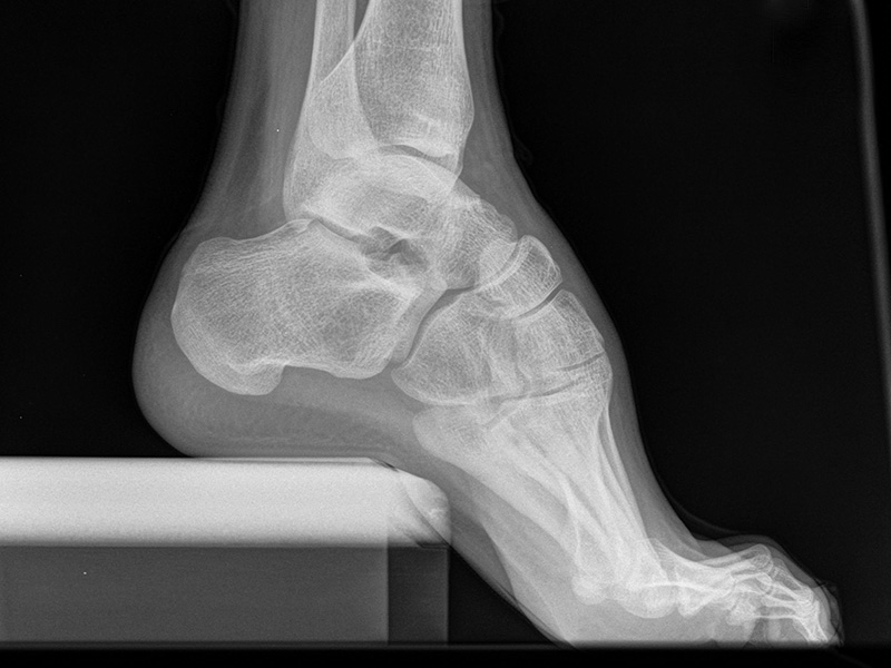
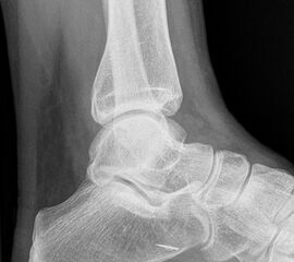
Sprunggelenk lateral ohne Belastung

Positionierung:

  • Patient liegt auf dem Rücken und dreht den Fuß des aufzunehmenden Beins so nach innen, dass beide Malleolen genau übereinanderstehen.
  • Die laterale Fuss-Seite liegt auf der Kassette, das Sprunggelenk ist 90° angewinkelt.
  • Der Zentralstrahl wird zentral auf das Sprunggelenk gerichtet. 

Kennzeichen des Röntgenbildes:

  • Oberes und unteres Sprunggelenk sind rein seitlich abgebildet, inklusive Kalkaneus.
  • Die Malleolen kommen übereinander zu liegen.
  • Tibiagelenkfläche und Talusrolle werden exakt seitlich dargestellt, es kommt zu keinen Doppelkonturen.
  • Die Fibula projiziert sich ins mittlere bis hintere Drittel der Tibiagelenkfläche.
  • Die vordere und hintere Tibiakante, das Chopart-Gelenk und das Subtalargelenk kommen zur Darstellung.
  • Das proximale Ende des Os metatarsale V ist mit abgebildet.
  • Der Weichteilmantel (Achillessehne) ist erkennbar. 

Besondere Bemerkungen zum Beispielbild:

  • Patient mit anamnestisch chronischer OSG Instabilität.
  • Ventral der Tibia findet sich ein abgebrochener Osteophyt.
Zur Vollansicht und zum Lesen der Bildbeschreibung bitte die Bilder anklicken.

Sprunggelenk ap, Mortise-View und lateral mit Belastung

Indikation:

  • Nach Trauma (nur wenn Belastung des Fußes möglich), Weichteilverletzungen, entzündliche, degenerative, tumoröse und andere schmerzhafte Erkrankungen. Insbesondere zur Beurteilung der Achsenverhältnisse am Sprunggelenk sind belastete Aufnahmen zwingend erforderlich (z.B: Planungsaufnahmen für Endoprothetik Sprunggelenk oder vor einer Achskorrektur). Zur anterior-posterioren Darstellung wird üblicherweise die Mortise-Aufnahme verwendet und nicht die ap Aufnahme mit gerade gestelltem Fuß.

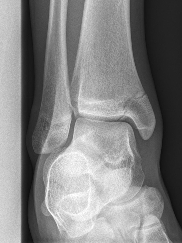
Sprunggelenk ap mit Belastung

Positionierung:

  • Der Patient steht, beide Beine sind geleichmäßig belastet.
  • Die Fußachse verläuft parallel zum Zentralstrahl.
  • Der Zentralstrahl ist zentral auf den Gelenkspalt des oberen Sprunggelenks ausgerichtet.
  • Die Röntgenkassette liegt dem Fuß dorsal an.

Kennzeichen des Röntgenbildes:

  • Darstellung des Talusdoms mit lateraler Überlagerung durch die Fibula.
  • Das Sprunggelenk befindet sich dabei in 90° Stellung.
  • Der Weichteilmantel ist erkennbar. 

Besondere Bemerkungen zum Beispielbild:

  • Subfibulare Verkalkung nach mehreren Distorsionen.
  • Gut erkennbar ist die für eine ap Aufnahme typische Überlappung von Fibula und lateralem Talus.
Zur Vollansicht und zum Lesen der Bildbeschreibung bitte die Bilder anklicken.

Sprunggelenk Mortise-Aufnahme mit Belastung

Positionierung:

  • Der Patient steht, beide Beine sind geleichmäßig belastet.
  • Der Fuß wird um ca. 20° innenrotiert. Der Zentralstrahl ist mittig auf den Gelenkspalt des oberen Sprunggelenks ausgerichtet.
  • Die Röntgenkassette liegt dem Fuß dorsal an.

Kennzeichen des Röntgenbildes:

  • Überlagerungsfreie Darstellung des Talus und der Malleolengabel.
  • Der Gelenksspalt zwischen Talus und Fibula sowie zwischen Talus und Innenknöchel zeigt eine identische Breite.
  • Der Weichteilmantel ist erkennbar.

Besondere Bemerkungen zum Beispielbild:

  • Zustand nach Fremdkörperverletzung.
  • Die röntgendichte Struktur (Metall) befindet sich im Bereich der lateralen Kalkaneuswand.
Zur Vollansicht und zum Lesen der Bildbeschreibung bitte die Bilder anklicken.

Sprunggelenk lateral mit Belastung

Positionierung:

  • Der Patient steht, beide Beine sind geleichmäßig belastet.
  • Der Zentralstrahl wird ist in Höhe des Gelenkspalts des OSG auf die dorsale Kante der Fibula zentriert.
  • Die Kassette liegt medial dem Fuß an und ist parallel zur Fußachse ausgerichtet. 

Kennzeichen des Röntgenbildes:

  • Tibiagelenkfläche und Talusrolle werden exakt seitlich dargestellt, es kommt zu keinen Doppelkonturen.
  • Die Fibula projiziert sich ins mittlere bis hintere Drittel der Tibiagelenkfläche.
  • Die vordere und hintere Tibiakante, das Chopart-Gelenk und das Subtalargelenk kommen zur Darstellung. Das proximale Ende des Os metatarsale V ist mit abgebildet. Der Weichteilmantel (Achillessehne) ist erkennbar.
  • In der belasteten Situation kommen insbesondere Verschiebungen von Talus gegenüber der Tibia zur Darstellung sowie eine Verschmälerung des Gelenkspalts.

Besondere Bemerkungen zum Beispielbild:

  • Zustand nach Fremdkörperverletzung (2. Ebene zur Mortise-Aufnahme unter Belastung).
  • Die röntgendichte Struktur (Metall) befindet sich plantar im Bereich des Kalkaneus.

Anmerkung zu seitlichen Aufnahmen des Sprunggelenks in 45° Innen- und Außenrotation:

  • Seitliche Aufnahmen des Sprunggelenks in 45° Innen- und Außenrotation werden heute kaum noch durchgeführt. Die belasteten Aufnahmen (Aufnahmetechnik analog belastete seitliche Aufnahme des Sprunggelenks) ermöglicht die Darstellung von osteophytären Anbauten der ventrolateraler Tibia (45° Innenrotation) und der ventral medialen Tibia (45° Außenrotation). Für lange Zeit wurde diese Aufnahme auch zu Beurteilung von Pilon tibiale Frakturen eingesetzt. Die Aufnahme hat durch die modernen Schnittbildverfahren an Bedeutung verloren.
    Schräge Projektionen spielen heute vor allem als intraoperative Bildwandleraufnahmen eine Rolle. Hier werden die Projektionen je nach Fragestellung individuell gewählt. Gute Beurteilung der distalen Fibula und der subfibularen Region bei Innenrotation. Die Projektionen in Außenrotation stellen den dorsomedialen Talus gut dar. Die Erfahrung zeigt aber, dass die Beurteilung durch Überlagerung der Strukturen regelmäßig an Grenzen stößt. Daher wird bei vielen Fragestellungen die postoperative CT Kontrolle empfohlen 234.
Zur Vollansicht und zum Lesen der Bildbeschreibung bitte die Bilder anklicken.

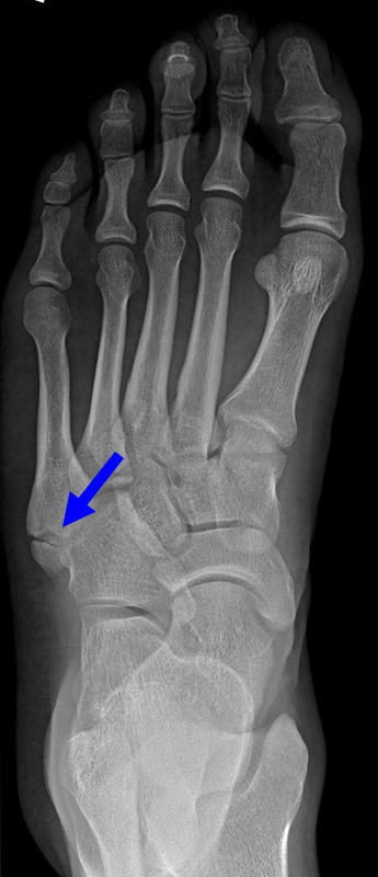
Fuß

Die Standardaufnahmen des Fußes umfassen eine dorsoplantare Aufnahme (dp), eine Schrägaufnahme und eine seitliche Aufnahme. Eine optimale Beurteilbarkeit von Achsverhältnissen und Gelenkkonkurrenz ist nur auf belasteten dp und seitlichen Aufnahmen möglich. Schrägaufnahmen in 45° Pronation oder 45° Supination werden immer unbelastet mit aufgestelltem Fuß durchgeführt. Auch wenn nach Verletzungen eine belastete dp und seitliche Aufnahme nicht möglich sind, sollte der Fuß zumindest aufgestellt werden. Aufnahmen des hängenden Fußes sind nur eingeschränkt beurteilbar.

Fuß dp, schräg und lateral ohne Belastung

Indikation:

  • Trauma, bzw. Frakturverdacht.
  • Weichteilverletzungen.
  • postoperative Kontrollen.

Anmerkung:

  • Auch wenn eine Belastung nicht möglich ist, sollte versucht werden den Fuß zumindest aufzustellen, was die Beurteilbarkeit erheblich verbessert.

Fuß dorsoplantar (dp) ohne Belastung

Positionierung:

  • Patient liegt auf dem Rücken, der Fuß wird auf die Röntgenkassette aufgestellt, das Knie gebeugt.
  • Der Zentralstrahl wird auf das Tarsometatarsalgelenk II zentriert.
  • Die Röntgenröhre ist 15° vertikal gekippt.
  • Anm: Auch wenn der Fuß nicht belastet wird, sollte er auf die Röntgenkassette aufgestellt werden. Aufnahmen des hängenden Fußes sind nur eingeschränkt beurteilbar.

Kennzeichen des Röntgenbildes:

  • Die Kippung der Röhre um 15° erlaubt eine bessere Beurteilung der Fußwurzelgelenke.
  • Darstellung der Knochen.
  • Winkelmaße (z.B. Intermetatarsalwinkel) beziehen sich auf belastete Aufnahmen. Es besteht eine erhebliche Differenz zwischen unbelasteten und belasteten Aufnahmen. 

Besondere Bemerkungen zum Beispielbild:

  • Der Patient erlitt ein Mittelfußtrauma. Unter Frakturverdacht erfolgten die unbelasteten Aufnahmen.
  • Die Frakturlinie im Os cuneiforme I ist in der dp nicht zuverlässig erkennbar.
  • Unauffällige Abbildung des restlichen Fußskeletts.
  • Für die OP-Planung erfolgte dann noch ein Schnittbildverfahren.
Zur Vollansicht und zum Lesen der Bildbeschreibung bitte die Bilder anklicken.

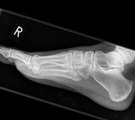
Fuß seitlich ohne Belastung

Positionierung:

  • Patient befindet sich in Seitenlage auf dem Röntgentisch, der zu untersuchende Fuß befindet sich unten.
  • Der Fuß liegt seitlich auf der Röntgenkassette.
  • Der Zentralstrahl fokussiert auf das Kalkaneokuboidalgelenk knapp cranial der Basis des Os metatarsale V.
  • Die Röhre ist mit 0° vertikal eingestellt.

Kennzeichen des Röntgenbildes:

  • Immer wenn die Tibia nicht zentral über dem Talus steht, handelt es sich um unbelastete Aufnahmen. 

Besondere Bemerkungen zum Beispielbild:

  • Der Patient erlitt ein Mittelfußtrauma. Unter Frakturverdacht erfolgten die unbelasteten Aufnahmen.
  • Die Frakturlinie im Os cuneiforme I ist in der lateralen Aufnahme schwer erkennbar.
  • Unauffällige Abbildung des restlichen Fußskeletts.
  • Für die OP-Planung erfolgte dann noch ein Schnittbildverfahren.
Zur Vollansicht und zum Lesen der Bildbeschreibung bitte die Bilder anklicken.

Fuß schräg ohne Belastung (45° Pronationsaufnahme)

Positionierung:

  • Der Patient sitzt auf dem Untersuchungstisch.
  • Der Fuß steht auf der Kassette, der laterale Fußrand wird um 45° angehoben (optional Verwendung eines Keilkissens).
  • Der Zentralstrahl wird auf das Tarsometatarsalgelenk III zentriert.
  • Die Röhre ist 0° vertikal ausgerichtet.

Kennzeichen des Röntgenbildes:

  • Überlagerungsfreie Darstellung der Zehen und Mittelfussknochen, sowie eine gute Beurteilbarkeit der Fusswurzelknochen.
  • Knochenbrücken der Fußwurzelknochen (z.B. Coalitio calcaneonaviculare) lassen sich mit dieser Aufnahme gut darstellen.
  • Der Weichteilmantel ist erkennbar.
  • Die 45° Pronationsaufnahme wird häufig als dritte Ebene mit belasteten Aufnahmen seitlich und dorsoplantar angefertigt.

Besondere Bemerkungen zum Beispielbild:

  • Der Patient erlitt ein Mittelfußtrauma. Unter Frakturverdacht erfolgten die unbelasteten Aufnahmen.
  • In der schrägen Aufnahme ist die Frakturlinie im Os cuneiforme I am besten erkennbar.
  • Unauffällige Abbildung des restlichen Fußskeletts.
  • Für die OP-Planung erfolgte dann noch ein Schnittbildverfahren.
Zur Vollansicht und zum Lesen der Bildbeschreibung bitte die Bilder anklicken.

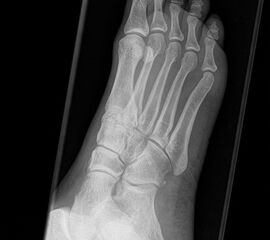
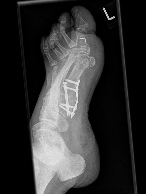
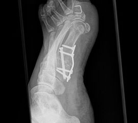
Fuß in 45° Supination ohne Belastung

Positionierung:

  • Der Patient sitzt auf dem Untersuchungstisch.
  • Der Fuß steht auf der Kassette, der mediale Fußrand wird um 45° angehoben (optional Verwendung eines Keilkissens).
  • Der Zentralstrahl wird auf das Os naviculare ausgerichtet.
  • Die Röhre ist 0° vertikal ausgerichtet.

Kennzeichen des Röntgenbildes:

  • Gute Einsicht in das Tarsometatarsale I Gelenk.

Besondere Bemerkungen zum Beispielbild:

  • Die 45° Supinationsaufnahme wird häufig eingesetzt, um die knöcherne Konsolidierung einer Lapidus-Arthrodese zu beurteilen.
  • Hier das Beispiel 6 Wochen postoperativ nach Tarsometatarsale I Fusion mit Stabilisierung durch eine plantare Platte.
  • Die Arthrodese zeigt sich weitgehend überbaut bei korrekter Lage des Osteosynthesematerials.
Zur Vollansicht und zum Lesen der Bildbeschreibung bitte die Bilder anklicken.

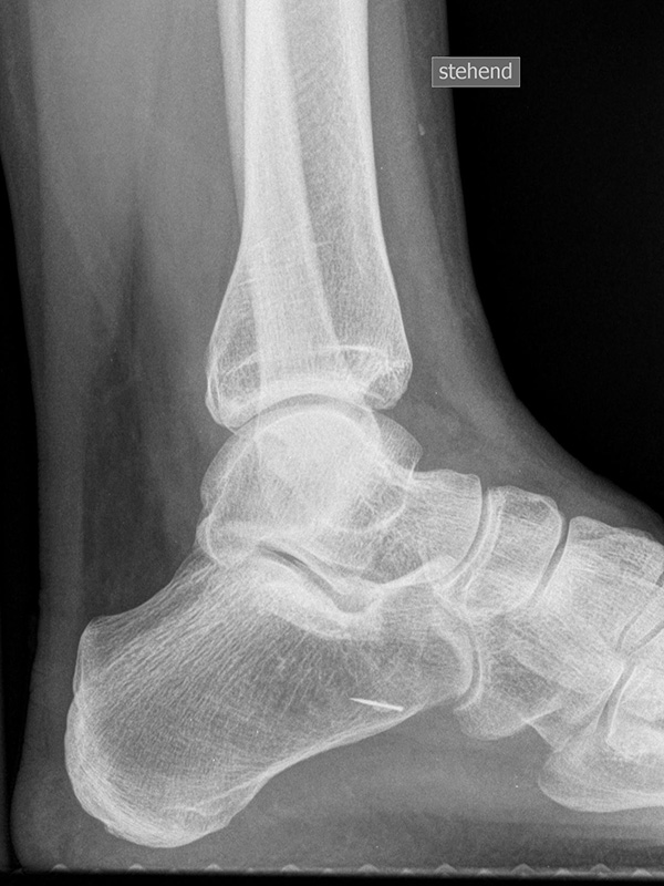
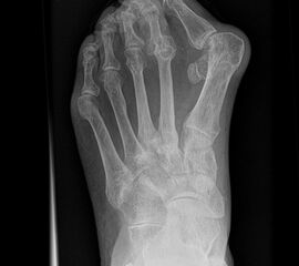
Fuß dp und lateral mit Belastung

Indikation:

  • Fehlstellungen des Rück- und Vorfußes.
  • Planung von Korrekturosteotomien.
  • Trauma (soweit Belastung möglich).
  • Häufig werden die belasteten dorsoplantaren (dp) und seitlichen Aufnahmen mit unbelasteten Schrägaufnahmen kombiniert. In Abhängigkeit von der Fragestellung werden 45° Schrägaufnahmen mit angehobenem Fußaußenrand oder 45° Supinationsaufnahmen angefertigt.
  • Achsbeurteilung und Winkelmessung sind ausschließlich auf belasteten Aufnahmen möglich.

Anmerkung:

  • Die Bestimmung von Achsverhältnissen auf Röntgenbildern ist mit einer gewissen Variabilität behaftet. Coughlin und Mitarbeiter veröffentlichten 2001 eine Technik zur Bestimmung der Knochenachsen unter Definition der Referenzpunkte im Bereich der Diaphyse 5. Diese Technik wurde von der AOFAS (American Orthopedic Foot and Ankle Society) zum Standard im Bereich der Vorfußchirurgie erklärt. In dieser Arbeit lag die Interobserver-Reliabilität für den Intermetatarsalwinkel und den Hallux valgus Winkel bei <5°. Eine begrenzte Reliabilität fand sich für die Einschätzung der Gelenkkongruenz.

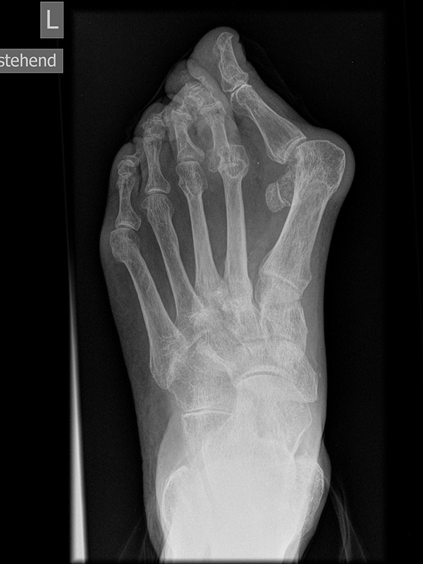
Fuß dp (dorsoplantar) mit Belastung

Positionierung:

  • Der Patient steht unter gleichmäßiger Gewichtsbelastung auf beiden Füßen.
  • Die Fußachse ist nach vorne gerichtet.
  • Die Kassette liegt unter dem zu röntgenden Fuß.
  • Der Zentralstrahl wird auf das Tarsometatarsalgelenk II zentriert.
  • Die Röntgenröhre ist 15° vertikal gekippt.
  • Anmerkung: Technisch lässt sich die Röhre beim stehenden Patienten nicht in 0° über dem Fuß positionieren. Eine Kippung der Röhre um 15° erlaubt darüber hinaus eine bessere Einsicht in die tarsometatarsalen Gelenke. 

Kennzeichen des Röntgenbildes:

  • Standardabbildung des Fußes zusammen mit der belasteten seitlichen Aufnahme und der unbelasteten Schrägaufnahme.
  • Die belasteten Aufnahmen liefern relevante Informationen zur Fußstatik und sind die Grundlage aller achskorrigierenden Eingriffe an Vor- und Rückfuß.
  • Sämtliche Winkelbestimmungen beziehen sich auf belastete Aufnahmen. 

Besondere Bemerkungen zum Beispielbild:

  • Schwere Hallux valgus Deformität.
  • Die Sesambeine sind luxiert, ebenso das Großzehengrundgelenk. Luxation des Metatarsophalangealgelenks II.
  • Degenerative Veränderungen der tarsometatarsalen (TMT) Gelenkreihe, betont TMT II und III.
Zur Vollansicht und zum Lesen der Bildbeschreibung bitte die Bilder anklicken.

Fuß seitlich mit Belastung

Positionierung:

  • Der Patient steht auf beiden Füßen mit gleichmäßiger Lastverteilung.
  • Der zur Röntgen der Fuß wird längs des Films positioniert.
  • Die Kassette steht senkrecht zum Boden, medial dem Fuß anliegend.
  • Der Zentralstrahl wird von lateral nach medial zentriert auf das Kalkaneokuboidalgelenk knapp cranial der Os metatarsale V Basis ausgerichtet.
  • Die Röntgenröhre steht 0° horizontal.

Kennzeichen des Röntgenbildes:

  • Standardabbildung des Fußes zusammen mit der belasteten d.-p. Aufnahme und der unbelasteten 45° Pronationsaufnahme.
  • Überblick über die Fußanatomie und Fußstatik.
  • Die seitliche Aufnahme liefert Informationen zur Stabilität des Längsgewölbe und zu den Achsen von Talus, Kalkaneus und Metatarsale I.
  • Die Aufnahme wird eingesetzt zur Darstellung von freien Gelenkkörpern sowie knöchernen Veränderungen am Achillessehnenansatz oder der Plantarfaszie.

Besondere Bemerkungen zum Beispielbild:

  • Schwere Hallux valgus Deformität.
  • Die Sesambeine sind luxiert, ebenso das Großzehengrundgelenk. Luxation des Metatarsophalangealgelenks II.
  • Degenerative Veränderungen der tarsometatarsalen (TMT) Gelenkreihe, betont TMT II und III.
Zur Vollansicht und zum Lesen der Bildbeschreibung bitte die Bilder anklicken.

Vermessung der belasteten Aufnahmen des Fußes

Winkelmessungen am Fußskelett beziehen sich sämtlich auf belastete Aufnahmen 6. Die folgenden Aufnahmen zeigen die üblicherweise verwendeten Winkelmaße und ihre Definition. Viele Fehlstellungen des Fußes betreffen den Vor- und Rückfuß. Dies sollte bei der Beurteilung der Bilder und der Therapieplanung stets berücksichtigt werden.

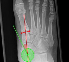
Beurteilung von Fehlstellungen des Vorfußes

Zur Vollansicht und zum Lesen der Bildbeschreibung bitte die Bilder anklicken.

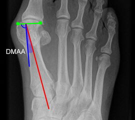
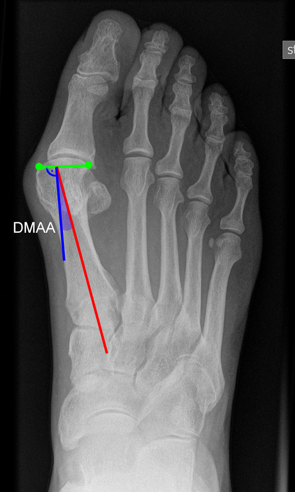
Gelenkflächenwinkel

DMAA (Distal metatarsal artikular angle, Syn. Gelenkflächenwinkel): Winkel zwischen der Achse des Os metatarsale I (rot) und dem Lot auf die distale Gelenkflächenebene (blau) des Os metatarsale I. Die Gelenkflächenebene (grün) wird definiert durch zwei Punkte, welche die mediale und laterale Begrenzung der Gelenkfläche definieren (Norm: <10° 5). Die Projektion des DMAA ist stark abhängig von der Rotation des Os metatarsale I 7. Daher ist bei der operativen Behandlung des Hallux valgus eine Beurteilung häufig erst nach Korrektur der Pronationsstellung des Os metatarsale I möglich. Tendenziell wird der DMAA auf präoperativen Röntgenaufnahmen überschätzt.

Beurteilung eines Metatarsus adductus

Medial wird eine Linie von der medialen Begrenzung des TMT1-Gelenks und der medialen Begrenzung des Talonavikulargelenks (TN) gezeichnet. Auf der lateralen Seite des Fußes wird eine zweite Linie von der lateralen Begrenzung des Calcaneocuboid-Gelenks (CC) zur lateralen Begrenzung des TMT5-Gelenks gezeichnet. Die Mittelpunkte beiden Linien werden verbunden (blau). Der Winkel zwischen der Achse des Os metatarsale II (rot) und dem Lot auf Verbindungslinie (grün) ist ein Maß für die Stellung des Vorfußes zur Fußwurzel. Dieser Wert dient zur Charakterisierung eines Pes adductus. Ein Pes adductus kann zu einem normwertigem Intermetatarsale I/II Winkel führen, obwohl klinisch eine ausgeprägte Hallux valgus Deformität vorliegt 8. (Norm: ±13° 9.

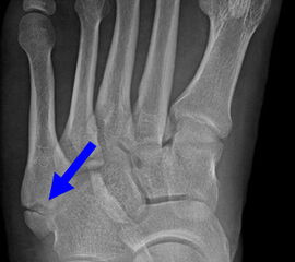
TMT-1-Gelenk dorsoplantar (Tarsometatarsale-1-Gelenk)

In der dorsoplantaren Aufnahme kann ein Versatz der Gelenkfläche im TMT-1 Gelenk auf eine Instabilität hindeuten. Phasenweise wurde auch die Ausrichtung der distalen Gelenkfläche des Os cuneiforme I (grün) zur Achse des Os cuneiforme I (blau) als Risikofaktor diskutiert, hat sich aber aufgrund der starken Projektionsabhängigkeit nicht bewährt 10. (Norm 0-15° 9).

TMT-1-Gelenk lateral (Tarsometatarsale-1-Gelenk)

In der Seitaufnahme wird eine plantare Öffnung des TMT-1-Gelenks als Indikator für eine Instabilität gewertet. Coughlin et al. 5 definierten einen Winkel zwischen der proximalen Gelenkfläche des Os metatarsale I (gelb) und der distalen Gelenkfläche des Os cuneiforme I (rot). (Norm: ±0° 5).

Beurteilung von Fehlstellungen des Mittel- und Rückfußes

Zur Vollansicht und zum Lesen der Bildbeschreibung bitte die Bilder anklicken.

Achsen auf der lateralen Aufnahme

Die Grundlinie (blau) ist definiert durch den tiefsten Punkt der Sesambeine und den tiefsten Punkt des Kalkaneus.

CPA (Calcaneal pitch angle): Der Kalkaneus Inklinationswinkel liegt zwischen der Grundlinie (blau) und der plantaren Begrenzung des Kalkaneus (grün) (Norm 20,8 ± 4,1° 11, 15-39° (Zwipp 2014)).

LTCA (Lateral talocalcaneal angle): Der laterale talokalkaneare Winkel liegt wird gebildet aus der Talusachse (türkis) und einer Verbindungslinie zwischen dem Oberrand des Proc. ant. Calcanei und der dorsalen Begrenzung des Kalkaneus (gelb). (Norm: 33° Range 25-45°) 1213).

LTMA (Lateral talometatarsal angle, Syn. Meary’s angle): Der laterale talometatarsale Winkel wird gebildet aus der Achse des Os metatarsale I (rot) und der Achse des Talus (türkis). (Norm: 7,1 ± 10,8 11).

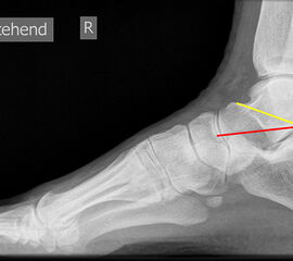
Böhler-Winkel (Syn. Tubergelenkwinkel)

Es wird eine Linie vom Proc. ant. calcanei zur dorsalen Facette des Subtalargelenks gezogen (rot). Die zweite Linie verläuft von der kranialen Begrenzung des Tuber calcanei zum Subtalargelenk (gelb). Gemessen wird der nach dorsal offene Winkel zwischen den beiden Linien (Norm: 22-48° 9).

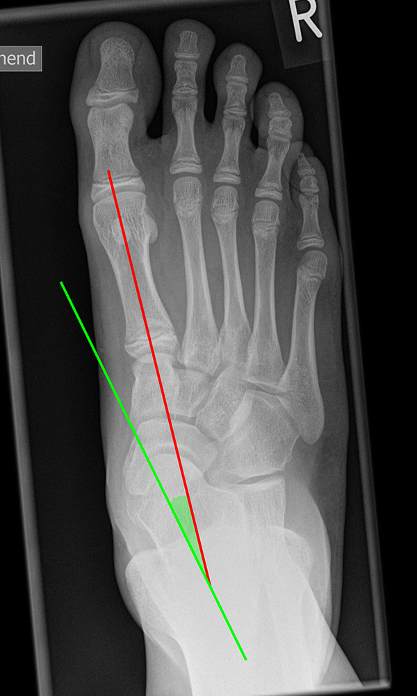
Meary’s angle dorsoplantar (Talo-Metatarsale-I-Winkel)

Der Talo-Metatarsale-I-Winkel wird auf den belasteten dorsoplantaren und lateralen Aufnahmen bestimmt. Es wird jeweils die Achse durch den Talushals gelegt (grün) und der Winkel zur Achse des Os metatarsale I bestimmt (rot). Der Winkel liefert keine Information darüber, an welcher Stelle sich die Fehlstellung befindet. Auch kann ein Serpentinen-Fuß „physiologische“ Werte liefern, da Os metatarsale I und Talushals parallele Achsen aufweisen, obwohl eine erhebliche Fehlstellung vorliegt 11. (Norm: 7,7 ± 8,2° 11).

Meary’s angle lateral (Talo-Metatarsale-I-Winkel)

Der Talo-Metatarsale-I-Winkel wird auf den belasteten dorsoplantaren und lateralen Aufnahmen bestimmt. Es wird jeweils die Achse durch den Talushals gelegt (grün) und der Winkel zur Achse des Os metatarsale I bestimmt (rot). Der Winkel liefert keine Information darüber, an welcher Stelle sich die Fehlstellung befindet. Die Fehlstellung kann das Talonaviculare-Gelenk (TN-Gelenks), das Naviculocuneiforme-Gelenk (NC-Gelenks) oder des Tarsometatarsale-I-Gelenk (TMT-I-Gelenks) betreffen, bzw. auch mehrere Gelenke einbeziehen. Der Talo-Metatarsale-I-Winkel gilt als zuverlässigster Parameter in der Differenzierung symptomatischer Pes planovalgus-Deformitäten gegenüber einer Kontrollgruppe 11.  (Norm: 7,1 ± 10,8 11).

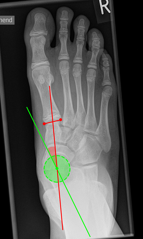
Tarsometatarsale-Index (TMT-Index)

Der Tarsometatarsale-Index ist ein einfach zu bestimmender Winkel-Index zur Erfassung der Planovalgus-Deformität bei älteren Kindern und Erwachsenen (Hamel 2006). Grund einen weiteren Winkel einzuführen, war die Beeinflussung des Talo-Metatarsale-I-Winkels (Meary’s Angle) durch eine gleichzeitige Hallux valgus Deformität mit erhöhtem Intermetatarsalwinkel. Bei erhöhtem Intermetatarsale I/II Winkel kommt es zu einem falsch normwertigen Talometatarsale-I-Winkel. Ziel in der dorsoplantaren Bildgebung ist es, die laterale Abweichung des Os naviculare auf dem Taluskopf zu erfassen. Um den Einfluss der Stellung des Os metatarsale I zu eliminieren, wird auf der belasteten d.-p. Aufnahme vom geometrischen Taluskopfmittelpunkt eine Linie zur Mitte des Tarsometatarsale-I-Gelenks gezogen. Da sich die Naviculo-cuneiforme-Gelenkreihe in der Transversalebene weitgehend stabil verhält, beschreibt der Talus-Metatarsale-I-Basis-Winkel weitgehend isoliert die talonaviculare Fehlstellung.

Im seitlichen Strahlengang wird der Talo-Metatarsale-I-Winkel (Meary’s Angle) in üblicher Weise bestimmt. Der Talo-Metatarsale-I-Winkel im seitlichen Strahlengang (Meary’s Angle) und der Talo-Metatarsale-I-Basiswinkel der ap-Aufnahme werden durch Addition zum TMT-Index zusammengefasst.

Der TMT-Index erscheint geeignet, das Ausmaß der knöchernen Fehlstellung von Planovalgus-Deformitäten in einer einzigen Maßzahl zu beschreiben. (Normwert im Schulkindalter -20° bis –30° (Hamel 2006, 2019)).

Zur Vollansicht und zum Lesen der Bildbeschreibung bitte das Bild anklicken.

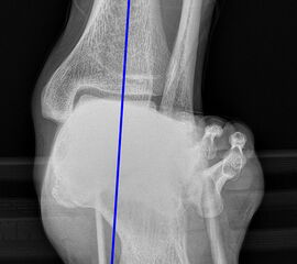
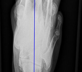
Aufnahmen zur Bestimmung der Bein- und Rückfussachse

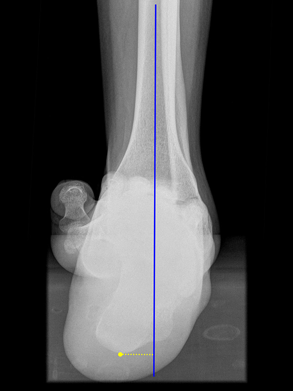
Einbeinstandaufnahme

Indikation:

  • Beurteilung der Beinachse. Aufnahme zur Planung einer endoprothetischen Versorgung oder zur Planung von Achskorrekturen.

Positionierung:

  • Der Patient steht auf beiden Füßen mit gleichmäßiger Lastverteilung.
  • Die Kassette befindet sich dorsal des Beins und steht senkrecht zum Boden.
  • Die Fußlängsachse verläuft nach ventral.
  • Um Verzerrungen zu reduzieren wird die Aufnahme in 3 Teilaufnahmen angefertigt und die Bilder danach digital zusammengefügt.
  • Die erste Aufnahme umfasst die Region vom Beckenkamm bis proximales Drittel des Femurs. Der Zentralstrahl ist auf das Hüftgelenk zentriert.
  • Die zweite Aufnahme umfasst die distalen zwei Drittel des Femurs und das proximale Viertel der Tibia. Der Zentralstrahl ist auf das Kniegelenk zentriert.
  • Die dritte Aufnahme umfasst die distalen Dreiviertel der Tibia mit Fuß und Sprunggelenk. Der Zentralstrahl ist wird mittig auf das Sprunggelenk zentriert.
  • Die Röntgenröhre steht bei allen drei Aufnahmen 0° horizontal 

Kennzeichen des Röntgenbildes:

  • Abbildung des gesamten Beins.
  • Die Aufnahme ist Basis aller Achskorrekturen.
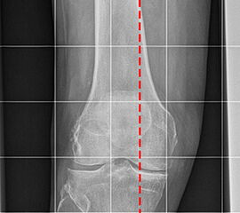
  • Zur Bestimmung der Beinachse wird die Mikulicz-Linie eingezeichnet. Sie verläuft vom Hüftkopfmittelpunkt zur Mitte der Talusrolle.
  • Bei einer physiologischen Beinachse verläuft diese Linie durch die Mitte des Kniegelenkes (Eminentia intercondylaris des Tibiaplateaus). Beim Genu varum (O-Bein) verläuft die Mikulicz-Linie medial der Eminentia interconylaris, beim Genu valgum (X-Bein) lateral der der Eminentia interconylaris. 

Besondere Bemerkungen zum Beispielbild:

  • Valgusarthrose des Sprunggelenks.
  • Diskret varische Beinachse bei medial betonter Arthrose des Kniegelenks.
  • Lateral des OSG ist eine Eichkugel eingeblendet, die als Referenz bei der Planung von Endoprothesen dient.
  • Verkalkung medial in den Weichteilen des Unterschenkels.
Zur Vollansicht und zum Lesen der Bildbeschreibung bitte die Bilder anklicken.

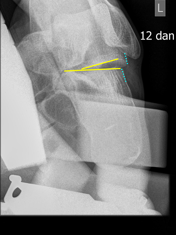
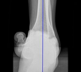
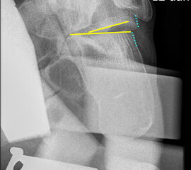
Saltzman Rückfußachsaufnahme (Hindfoot alignment view)

Rückfuß-Alignement-Aufnahmen sind eine wichtige Ergänzung zur Diagnostik von Kalkaneusfehlstellungen (Varus und Valgus), sowie bei der Planung von Rückfußkorrekturen 14.

Indikation:

  • Beurteilung der Rückfußachse.

Positionierung:

  • Der Patient steht auf einem Podest, beide Beine sind gleichmäßig belastet.
  • Die Fußachse ist entlang des Zentralstrahls ausgerichtet.
  • Die Röntgenröhre befindet sich dorsal des Beines.
  • Röntgenkassette 20° gekippt zur Vertikalen, im 90°-Winkel zum Zentralstrahl.
  • Der Zentralstrahl ist von dorsal auf das obere Sprunggelenk fokussiert.

Kennzeichen des Röntgenbildes:

  • Markieren der Tibiaachse mit Verlängerung nach distal.
  • Der funktionelle Hebelarm des Kalkaneus errechnet sich aus der Distanz zwischen der Tibiaachse und dem am weitesten plantar gelegenen Punkt des Kalkaneus.
  • Liegt der tiefste Punkt des Kalkaneus medial der Tibiaachse, handelt es sich um eine Varus-Stellung, liegt er lateral, um eine Valgus-Stellung.
  • Norm: Auftrittspunkt 3,2 ± 8 mm medial der Tibiaachse 14.
Zur Vollansicht und zum Lesen der Bildbeschreibung bitte die Bilder anklicken.

Long axial view

Indikation:

  • Beurteilung der Rückfußachse.

Anmerkung:

  • Auch der Long axial view ermöglicht eine Beurteilung der Stellung des Fersenbeins. Im Gegensatz zur Saltzman Aufnahme ist der Long axial view weniger anfällig für rotationsbedingte Fehlprojektionen 15

Positionierung:

  • Der Patient steht beidbeinig mit gleichmäßiger Belastung auf beiden Füßen.
  • Der zu untersuchende Fuß steht auf der Röntgenkassette.
  • Die Röntgenkassette liegt horizontal am Boden.
  • Der Zentralstrahl ist auf das obere Sprunggelenk fokussiert.
  • Röntgenröhre wird 45° aus der Horizontalen nach plantar verkippt. 

Kennzeichen des Röntgenbildes:

  • Markieren der Tibiaachse mit Verlängerung nach distal.
  • Kalkaneusachse: 7 mm distal des tiefsten Punktes des Kalkaneus wird eine horizontale Linie gezogen. 30 mm proximal davon wird eine zweite parallele Gerade durch den Kalkaneus gelegt. Die distale Linie wird im Verhältnis 40/60 medial/lateral geteilt. Die proximale Linie wird im Verhältnis 50/50 geteilt. Die Gerade welche beide Punkte verbindet ist die Kalkaneusachse.
  • Die Rückfußachse im Long axial view ist definiert als Winkel zwischen Tibiaachse und Kalkaneusachse.
  • Verläuft die Kalkaneusachse medial der Tibiaachse, handelt es sich um eine Varus-Stellung, verläuft sie lateral davon, um eine Valgus-Stellung.
  • Norm: 2,1° 16.
Zur Vollansicht und zum Lesen der Bildbeschreibung bitte die Bilder anklicken.

Aufnahmen des Vorfußes

Vorfuß dp und schräg

Indikation:

  • Trauma oder sonstige Pathologien des Vorfußes.
  • Verlaufskontrollen nach Frakturen operativen Eingriffen am Vorfuß.

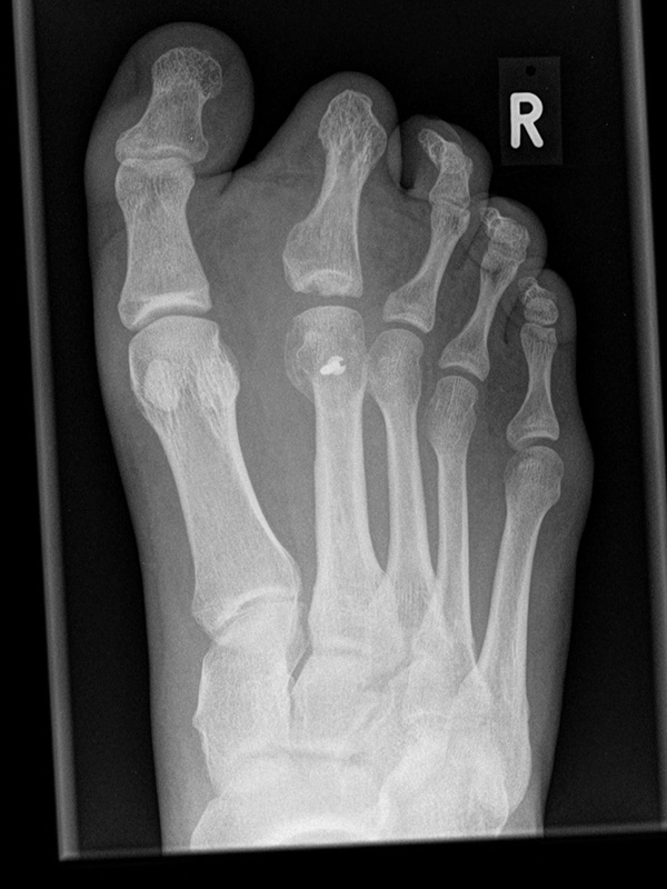
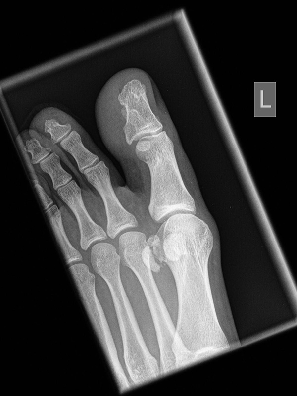
Vorfuß dorsoplantar (dp)

Positionierung:

  • Patient liegt auf dem Rücken, der Fuß wird auf die Röntgenkassette aufgestellt, das Knie gebeugt.
  • Der Zentralstrahl wird auf das Tarsometatarsalgelenk II zentriert.
  • Die Röntgenröhre ist 15° vertikal gekippt.
  • Anmerkung: Auch wenn der Fuß nicht belastet wird, sollte er auf die Röntgenkassette aufgestellt werden. Aufnahmen des hängenden Fußes sind nur eingeschränkt beurteilbar.

Kennzeichen des Röntgenbildes:

  • Dorsoplantare Abbildung des Vorfußes.
  • Tarometatarsale Gelenkreihe einsehbar.
  • Winkelmaße können auf der unbelasteten Aufnahme des Vorfußes nicht beurteilt werden.

Besondere Bemerkungen zum Beispielbild:

  • Verlaufskontrolle nach korrigierendem Vorfußeingriff bei Riesenwuchs des 2. Strahls mit verdicktem Os metatarsale II.
  • Z.n. Amputation des Zehenendglieds D2.
  • Z.n. Weil Osteotomie des Os metatarsale II.
  • Hallux valgus interphalangeus.
Zur Vollansicht und zum Lesen der Bildbeschreibung bitte die Bilder anklicken.

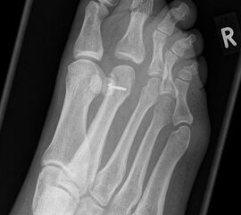
Vorfuß schräg

Positionierung:

  • Der Patient sitzt auf dem Untersuchungstisch.
  • Der Fuß steht auf der Kassette, der laterale Fußrand wird um 45° angehoben (optional Verwendung eines Keilkissens).
  • Der Zentralstrahl wird auf das Tarsometatarsalgelenk III zentriert.
  • Die Röhre ist 0° vertikal ausgerichtet.

Kennzeichen des Röntgenbildes:

  • Überlagerungsfreie Darstellung der Zehen und Mittelfussknochen, sowie eine gute Beurteilbarkeit der Tarsometatarsalgelenke.
  • Der Weichteilmantel ist erkennbar.

Besondere Bemerkungen zum Beispielbild:

  • Verlaufskontrolle nach korrigierendem Vorfußeingriff bei Riesenwuchs des 2. Strahls mit verdicktem Os metatarsale II.
  • Z.n. Amputation des Zehenendglieds D2
  • Z.n. Weil Osteotomie des Os metatarsale II.
  • Hallux valgus interphalangeus.
Zur Vollansicht und zum Lesen der Bildbeschreibung bitte die Bilder anklicken.

Zehen dp und schräg

Indikation:

  • Verletzungen und sonstigen auf eine isolierte Zehe eingrenzbare Pathologie (z.B. Fremdkörper).
  • Da ein Trauma selten auf eine Zehe einzugrenzen ist, handelt es sich um eine seltene Aufnahme.
  • Verlaufskontrolle nach Frakturen. Hier ist die Lokalisation der Verletzung bekannt, so dass die Aufnahme auf die relevante Region eingeblendet werden kann.

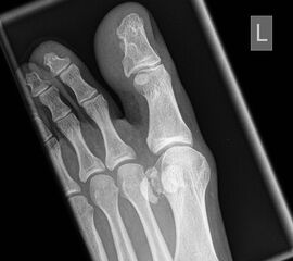
Zehe dorsoplantar (dp)

Positionierung:

  • Der Patient sitzt auf dem Untersuchungstisch.
  • Der Fuß steht plan auf der Kassette.
  • Der Zentralstrahl wird auf die betreffende Zehe zentriert.
  • Die Röhre ist 0° vertikal ausgerichtet.

Kennzeichen des Röntgenbildes:

  • Überlagerungsfreie Darstellung der betroffenen Zehe incl. des distalen dazugehörigen Mittelfussknochens.
  • Der Weichteilmantel ist erkennbar.

Besondere Bemerkungen zum Beispielbild:

  • Großzehe dp bei Grundgliedfraktur mit diaphysäre Trümmerzone.
  • Sesamoid im Ansatzbereich der Flexor hallucis longus Sehne.
Zur Vollansicht und zum Lesen der Bildbeschreibung bitte die Bilder anklicken.

Zehe schräg

Positionierung:

  • Der Patient sitzt auf dem Untersuchungstisch.
  • Der Fuß steht auf der Kassette, der laterale Fußrand wird um 45° angehoben (Optional Verwendung eines Keilkissens).
  • Der Zentralstrahl wird auf das Großzehengrundgelenk zentriert.
  • Die anderen Zehen können zur Vermeidung von Überlagerungen mit einer Binde zur Seite gezogen werden.
  • Die Röhre ist 0° vertikal ausgerichtet. 

Kennzeichen des Röntgenbildes:

  • Dorsoplantare Darstellung des Großzehengrundgelenks.
  • Beurteilt wird der Abstand der Sesambeine zur Grundphalanx, insbesondere im Vergleich zu der Aufnahme ohne Dorsalextension. 

Besondere Bemerkungen zum Beispielbild:

  • Großzehe schräg bei Grundgliedfraktur mit diaphysäre Trümmerzone.
  • Die Dislokation ist in der Schrägaufnahme gut erkennbar.
  • Sesamoid im Ansatzbereich der Flexor hallucis longus Sehne.
Zur Vollansicht und zum Lesen der Bildbeschreibung bitte die Bilder anklicken.

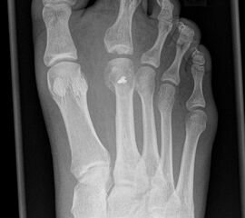
Sesambeine

Indikation:

  • Pathologien der Sesambeine.
  • Turf toe Verletzung.
  • Ergänzend zu den Aufnahmen des Fußes in 3 Ebenen.
  • Ausschluss von Irritationen der Sesambeine durch Osteosynthesematerial nach Hallux-Chirurgie.

pa (posterior-anteriore) axiale Aufnahme der Sesambeine (Sprinteraufnahme)

Positionierung:

  • Patient in Bauchlage, Knie durch Schaumstoffmatte unterstützt.
  • Zehen in maximaler Dorsalextension.
  • Zentralstrahl fokussiert auf das Großzehengrundgelenk.
  • Röntgenröhre 0° vertikal.
  • Filmposition horizontal.

Kennzeichen des Röntgenbildes:

  • Tangentiale Abbildung des Sesambeingleitlagers.
  • Abbildung des Vorfußreliefs.
  • Pathologien der Gleitrinne sind gut erkennbar.
  • Dislokation der Sesambeine aus der Gleitrinne sind gut erkennbar.
  • Abbildung von Protrusionen einzelner Metatarsalia oder Sesambeine. 

Besondere Anmerkungen zum Beispielbild:

  • Sehr kräftig ausgebildetes mediales Sesambein bei einem Patienten mit chronischen Druckbeschwerden an dieser Stelle.
  • Beide Sesambeine sind in der Gleitrinne zentriert.
Zur Vollansicht und zum Lesen der Bildbeschreibung bitte die Bilder anklicken.

ap (anterior - posteriore) axiale Aufnahme der Sesambeine

Positionierung: 

  • Patient in Rückenlage, Ferse auf der Filmplatte liegend.
  • Sprunggelenk in 15°-Spitzfußstellung.
  • Maximale Dorsalextension der Zehen mit einer Schlaufe.
  • Zentralstrahl fokussiert auf das Großzehengrundgelenk.
  • Röntgenröhre 0° vertikal.
  • Filmposition horizontal.

Kennzeichen des Röntgenbildes:

  • Tangentiale Abbildung des Sesambeingleitlagers.
  • Pathologien der Gleitrinne sind gut erkennbar.
  • Dislokation der Sesambeine aus der Gleitrinne sind gut erkennbar. 

Besondere Anmerkungen zum Beispielbild:

  • Fragmentationsstadium bei Osteonekrose des lateralen Sesambeins.
  • Beide Sesambeine sind in der Gleitrinne zentriert.
Zur Vollansicht und zum Lesen der Bildbeschreibung bitte die Bilder anklicken.

Sesambeine schräg

Positionierung:

  • Patient in Bauchlage.
  • Der Fuß liegt in 45° Pronationsstellung.
  • Zentralstrahl fokussiert auf das Großzehengrundgelenk.
  • Röntgenröhre 0° vertikal.
  • Filmposition horizontal.

Kennzeichen des Röntgenbildes:

  • Schräge Abbildung des Sesambeingleitlagers.
  • Das laterale Sesambein wird aus der Überlagerung durch das Os metatarsale I herausgedreht und wird dadurch besser beurteilbar.

Besondere Anmerkungen zum Beispielbild:

  • Fragmentationsstadium bei Nekrose des lateralen Sesambeins.
Zur Vollansicht und zum Lesen der Bildbeschreibung bitte die Bilder anklicken.

Anmerkung: Sesambein Stressaufnahmen

Indikation:

  • Frakturen der Sesambeine.
  • Separiertes Sesambein Bipartitum.
  • Verletzungen der Gelenkkapsel, Turf toe.

Für spezielle Fragestellungen können Stressaufnahmen der Sesambeine durchgeführt werden. Dabei wird die Großzehe je nach Fragestellung mit einer Binde nach medial, lateral oder dorsal gezogen. Verwendet werden die Projektionen zur Darstellung der Zehen.

Sonstige Spezialaufnahmen und Stressaufnahmen

Bewegungsumfang oberes Sprunggelenk

Seitliche Aufnahmen des Sprunggelenks zur Beurteilung der Dorsalextension

Positionierung Variante 1:

  • Der Patient steht, beide Beine sind geleichmäßig belastet.
  • Das Knie wird maximal nach ventral geschoben. Zum Ausgleich kann der andere Fuß nach vorne genommen werden. Ziel ist eine Aufnahme in maximal möglicher Dorsalextension des Sprunggelenks.
  • Der Zentralstrahl ist in Höhe des Gelenkspalts des OSG auf die dorsale Kante der Fibula zentriert.
  • Die Kassette liegt medial dem Fuß an und ist parallel zur Fußachse ausgerichtet.

Positionierung Variante 2:

  • Patient liegt auf dem Rücken und dreht den Fuß des aufzunehmenden Beins so nach innen, dass beide Malleolen genau übereinanderstehen.
  • Die laterale Fuss-Seite liegt auf der Kassette, das Knie ist leicht gebeugt, das Sprunggelenk maximal dorsalextendiert. Zur Unterstützung der Dorsalextension kann eine Schlaufe verwendet werden.
  • Der Zentralstrahl wird zentral auf das Sprunggelenk gerichtet. 

Kennzeichen des Röntgenbildes:

  • Tibiagelenkfläche und Talusrolle werden exakt seitlich dargestellt, es kommt zu keinen Doppelkonturen.
  • Die Fibula projiziert sich ins mittlere bis hintere Drittel der Tibiagelenkfläche.
  • Die vordere und hintere Tibiakante, das Chopart-Gelenk und das Subtalargelenk kommen zur Darstellung. Das proximale Ende des Os metatarsale V ist mit abgebildet. Der Weichteilmantel (Achillessehne) ist erkennbar.
  • Die Aufnahme eignet sich insbesondere zum Nachweis eines knöchernen Impingements und zu Beurteilung des maximalen Bewegungsausschlag am oberen Sprunggelenk. 

Besondere Bemerkungen zum Beispielbild:

  • Seitliche Aufnahme des Sprunggelenks ohne Belastung.
  • Dorsalextension im OSG ca. 25°.
  • Kleine knöchernen Anbauten am Talushals.
  • Keine knöchernen Anbauten an der ventralen Tibia.
  • Verkalkung im Achillessehnenansatz.
Zur Vollansicht und zum Lesen der Bildbeschreibung bitte die Bilder anklicken.

Seitliche Aufnahmen des Sprunggelenks zur Beurteilung der Plantarflexion

Positionierung Variante 1:

  • Der Patient steht, beide Beine sind geleichmäßig belastet.
  • Der Fuß wird maximal nach ventral geschoben. Zum Ausgleich kann der andere Fuß nach hinten genommen werden. Ziel ist eine Aufnahme in maximaler Plantarflexion des Sprunggelenks.
  • Der Zentralstrahl ist in Höhe des Gelenkspalts des OSG auf die dorsale Kante der Fibula zentriert.
  • Die Kassette liegt medial dem Fuß an und ist parallel zur Fußachse ausgerichtet.

Positionierung Variante 2:

  • Patient liegt auf dem Rücken und dreht den Fuß des aufzunehmenden Beins so nach innen, dass beide Malleolen genau übereinanderstehen.
  • Die laterale Fuss-Seite liegt auf der Kassette, das Knie ist leicht gebeugt, das Sprunggelenk maximal plantar flektiert.
  • Der Zentralstrahl wird zentral auf das Sprunggelenk gerichtet. 

Kennzeichen des Röntgenbildes: 

  • Tibiagelenkfläche und Talusrolle werden exakt seitlich dargestellt, es kommt zu keinen Doppelkonturen.
  • Die Fibula projiziert sich ins mittlere bis hintere Drittel der Tibiagelenkfläche.
  • Die vordere und hintere Tibiakante, das Chopart-Gelenk und das Subtalargelenk kommen zur Darstellung. Das proximale Ende des Os metatarsale V ist mit abgebildet. Der Weichteilmantel (Achillessehne) ist erkennbar.
  • Die Aufnahme eignet sich insbesondere zum Nachweis eines dorsalen knöchernen Impingements, meist zwischen der dorsalen Tibia und einem prominenten Processus posterius tali.
  • Beurteilung des maximalen plantaren Bewegungsausschlags oberen Sprunggelenks. 

Besondere Bemerkungen zum Beispielbild:

  • Maximale Plantarflexion am unbelasteten Sprunggelenk.
  • Dorsal Kontakt des Processus posterius talis mit der dorsalen Tibiakante.
Zur Vollansicht und zum Lesen der Bildbeschreibung bitte die Bilder anklicken.

Stressaufnahme Calcaneocuboidgelenk

Indikation:

  • V.a. Instabilität des Calcaneocuboidgelenks.

Positionierung:

  • Patient liegt auf dem Rücken, das Knie gebeugt.
  • Der Fuß wird in den Scheuber-Apparat gestellt.
  • Die Röntgenkassette liegt horizontal.
  • Der Zentralstrahl wird auf das Calcaneocuboidgelenk zentriert.
  • Die Röntgenröhre steht 0° vertikal.
  • Über eine mechanische Vorrichtung (z.B. Telos-Gerät, Scheuba-Apparat) wird kontrolliert eine Kraft von 15 daN (Dekanewton, entspricht ca. 15 kg) von medial in Höhe des Chopart-Gelenks appliziert. Der Gegenhalt erfolgt am lateralen Kalkaneus und am Mittelfuß.

Kennzeichen des Röntgenbildes:

  • Darstellung des Calcaneocuboid-Gelenks.
  • Beurteilung von Versatz und Aufklappbarkeit.
  • Eine Aufklappbarkeit von > 10° gilt als pathologisch.
  • Teilweise knöcherne Bandausrisse erkennbar. 

Besondere Bemerkungen zum Beispielbild:

  • Der Patient erlitt ein Mittelfußtrauma.
  • Keine knöcherne Verletzung
  • Aufklappbarkeit des Calcaneocuboid-Gelenks mit Versatz.
  • Kleines Os tibiale externum medial ohne Krankheitswert.
Zur Vollansicht und zum Lesen der Bildbeschreibung bitte die Bilder anklicken.

Stressaufnahmen oberes Sprunggelenk

Indikation:

  • Beurteilung von (chronischen) Kapsel-Band-Instabilitäten am oberen Sprunggelenk. Wichtig ist, dass der Patient bei der Aufnahme nicht anspannt 171819.
  • In der Beurteilung von akuten Verletzungen hat die gehaltene Aufnahme ihre Bedeutung verloren. Durch schmerzbedingtes Gegenspannen ist meist keine Aussage möglich.
  • Die Aufnahme ist nur beim schmerzfreien Patienten verwertbar.
  • Eine vermehrte Aufklappbarkeit/Talusvorschub ist beweisend für eine Kapsel-Band-Laxizität oder Bandruptur, allerdings können die Aufnahmen falsch-negativ sein.

Stressaufnahme des oberen Sprunggelenks ap

Positionierung:

  • Patient in Rückenlage auf dem Röntgentisch. Ferse auf der Röntgenkassette liegend (Achse des oberen Sprunggelenks parallel zur Röntgenkassette).
  • Film horizontal auf dem Röntgentisch.
  • Zentralstrahl mittig auf das obere Sprunggelenk fokussiert.
  • Röntgenröhre 0° vertikal.
  • Der Fuß liegt in der Haltevorrichtung (z.  Telos-Gerät, Scheuba-Apparat). Die Ferse wird von lateral stabilisiert, die Halterung ermöglicht ein Kippen des Rückfußes.
  • Von medial wird über die Tibia ein kontrollierter Druck von bis zu 15 daN (Dekanewton, entspricht ca. 15 kg) aufgebaut.

Kennzeichen des Röntgenbildes:

  • ap Abbildung des oberen Sprunggelenks.
  • Beurteilung der lateralen Aufklappbarkeit.
  • Subfibularer Raum mit ggf. Ossikeln einsehbar.
  • Als pathologisch gelten laterale Aufklappbarkeit > 10° im Seitenvergleich oder Unterschied im Abstand zwischen der lateralen, distalen Taluskante zur Fibulagelenkfläche > 3 mm. 

Besondere Bemerkungen zum Beispielbild:

  • Abbildung des oberen Sprunggelenks ap.
  • Laterale Aufklappbarkeit.
  • Degenerative Veränderungen sichtbar mit knöchernen Anbauten am Innenknöchel.
Zur Vollansicht und zum Lesen der Bildbeschreibung bitte die Bilder anklicken.

Stressaufnahme des oberen Sprunggelenks lateral

Position:

  • Patient in Seitenlage auf dem Röntgentisch, zu untersuchender Fuß unten und seitlich auf der Röntgenkassette liegend (Achse des Fußes parallel zum Zentralstrahl).
  • Zentralstrahl mittig auf das obere Sprunggelenk fokussiert.
  • Film horizontal auf dem Röntgentisch.
  • Röntgenröhre 0° vertikal.
  • Der Fuß liegt in der Haltevorrichtung (z.B. Telos-Gerät, Scheuba-Apparat). Die Ferse wird von dorsal stabilisiert.
  • Von ventral wird über die Tibia ein kontrollierter Druck von bis zu 15 daN (Dekanewton, entspricht ca. 15 kg) aufgebaut.

Kennzeichen des Röntgenbildes:

  • Laterale Abbildung des oberen Sprunggelenks.
  • Beurteilung der Translokation des Talus nach ventral (Talusvorschub).
  • Gemessen wird die Verschiebung der Tibiaachse gegenüber der Talusachse.
  • Als pathologisch gelten Talusvorschub > 2 mm im Seitenvergleich oder absoluter Talusvorschub > 4 mm.

Besondere Bemerkungen zum Beispielbild:

  • Abbildung des oberen Sprunggelenks lateral.
  • Fremdkörper in den plantaren Weichteilen in Höhe der plantaren Begrenzung des Kalkaneus.

Anmerkung:

  • Belastungsaufnahmen können sowohl manuell gehalten, als auch mit verschiedenen Hilfsgeräten durchgeführt werden. Standard ist eine Druckapplikation von 15 kp. In der akuten Verletzung ist eine Stressaufnahme nur unter Analgesie (z.B. Lokalanästhesie des Kapsel-Band-Apparats) aussagekräftig. Für den Behandlungsalgorithmus nach Außenbandverletzung spielt die gehaltene Aufnahme heute nur noch eine untergeordnete Rolle. Bei unklaren Befunden ist ein Vergleich mit der Gegenseite möglich; dieses zwangsläufig mit einer höheren Strahlendosis belastete Vorgehen sollte aber nicht zur Kompensation mangelnder röntgenmorphologischer und anatomischer Kenntnisse verwendet werden.
Zur Vollansicht und zum Lesen der Bildbeschreibung bitte die Bilder anklicken.

Aufnahmen Kalkaneus und USG

Broden-Aufnahme

Broden-Aufnahme Innenrotation

Indikation:

  • Darstellung der dorsalen Facette des Subtalargelenks in verschiedenen Projektionen.
  • Die Aufnahme wurde durch CT und DVT weitgehend abgelöst.
  • Broden-Projektionen werden intraoperativ zur Beurteilung der Rekonstruktion der dorsalen Gelenkfacette bei Kalkaneusfrakturen verwendet. 

Positionierung:

  • Patient in Rückenlage, Fuß in Innenrotation (45°), Sprunggelenk im 90°-Winkel abgewinkelt, ggf. gelagert auf einem Schaumstoffkeil.
  • Filmposition horizontal am Röntgentisch.
  • Zentralstrahl verläuft je nach angefordeter Gradzahl 10°, 20°, 30°, und oder 40° caudo-cranial auf das untere Sprunggelenk.

Kennzeichen des Röntgenbildes:

  • Gute Einsicht in den hinteren unteren Sprunggelenkabschnitt durch unterschiedliche Projektionen.
  • Überlagerungsfreie Darstellung des Außenknöchels und der tibiofibularen Syndesmose. 

Besondere Bemerkungen zum Beispielbild:

  • Brodenaufnahme 10°.
  • Initiale degenerative Veränderungen im Subtalargelenk.
  • Impression der lateralen Gelenkfläche des Kalkaneus.
Zur Vollansicht und zum Lesen der Bildbeschreibung bitte das Bild anklicken.

Broden-Aufnahme Innenrotation - Stressaufnahme

Indikation:

  • Beurteilung der Aufklappbarkeit des Subtalargelenks 202122.
  • Neben der Aufklappbarkeit ist auch eine vermehrter mediolateraler Versatz als Hinweis auf eine Instabilität zu werten.

Anmerkung:

  • Grenzwerte für Winkelmaße finden sich bisher nicht in der Literatur. Falsch positive Ergebnisse sind ebenso möglich wie falsch negative Aussagen 23. Stressaufnahmen des Subtalargelenks können daher immer nur ein Baustein in der Diagnostik sein. Ergänzend bieten sich MRT Aufnahmen mit Kontrastmittel an. Hier findet sich bei einer Instabilität des Subtalargelenks regelhaft eine Aktivierung des Lig. interosseum talocalcaneare, sowie eine Kontrastmittelaufnahme der Gelenkkapsel (Szeimies 2016). 

Positionierung:

  • Patient in Rückenlage, Fuß in Innenrotation (45°), Sprunggelenk im 90°-Winkel abgewinkelt.
  • Filmposition horizontal am Röntgentisch.
  • Zentralstrahl verläuft je nach angefordeter Gradzahl 10°, 20°, 30°, und oder 40° caudo-cranial auf das untere Sprunggelenk.
  • Der Fuß liegt in der Haltevorrichtung (z.B.  Telos-Gerät, Scheuba-Apparat). Die Ferse wird von dorsal stabilisiert.
  • Von medial wird über die Tibia ein kontrollierter Druck von bis zu 15 daN (Dekanewton, entspricht ca. 15 kg) aufgebaut.

Kennzeichen des Röntgenbildes:

  • Gute Einsicht in den hinteren unteren Sprunggelenkabschnitt durch unterschiedliche Projektionen. 

Besondere Bemerkungen zum Beispielbild:

  • Broden-Stressaufnahme 10°.
  • Leichte laterale Aufklappbarkeit des Subtalargelenks.
  • Leichter Versatz des Kalkaneus nach lateral.
Zur Vollansicht und zum Lesen der Bildbeschreibung bitte die Bilder anklicken.

Fersenbein in 2 Ebenen

Indikation:

  • Fersenbeinfrakturen.
  • Entwicklungsstörungen bei Kindern (z.B. Apophysitis calcanei).
  • Verlauf nach knöchernen Korrekturen.
  • Haglund-Exostose.
  • Traktionssporn.
  • Plantare fasciitis.

Fersenbein axial

Positionierung:

  • Patient in Rückenlage.
  • Fuß in extremer Dorsalflexion. Unterstützung der Dorsalextension mit einer Mullbinde.
  • Filmposition horizontal am Boden.
  • Röntgenröhre um 45° caudocranial gekippt.
  • Zentralstrahl auf die Mitte des Fersenbeins fokussiert. 

Kennzeichen des Röntgenbildes:

  • Calcaneus darf nicht verkürzt erscheinen.
  • Der Zentralstrahl soll senkrecht auf das Fersenbein treffen, damit es nicht zu Verzerrungen kommt. 

Besondere Bemerkungen zum Beispielbild:

  • Unauffällige Darstellung des Fersenbeins.
Zur Vollansicht und zum Lesen der Bildbeschreibung bitte die Bilder anklicken.

Fersenbein lateral

Positionierung:

  • Patient in Seitenlage.
  • Fuß mit der Außenseite aufliegend.
  • Ferse liegt parallel zum Tisch.
  • Röntgenröhre 90° zur Senkrechten.
  • Zentralstrahl von lateral nach medial, zentriert auf das Fersenbein ca. 1-2 Querfinger distal der Malleolen. 

Kennzeichen des Röntgenbildes:

  • Seitliche Darstellung des Fersenbeins mit scharfen Knochenkonturen.
  • Gut einsehbares unteres Sprunggelenk (Articulatio talocalcaneonaviculare).
  • Gut einsehbares Gelenk zwischen Calcaneus und Os cuboideum. 

Besondere Bemerkungen zum Beispielbild:

  • Darstellung der Kalkaneus seitlich.
  • Kleiner Traktionssporn im Insertionsbereich der Achillessehne.
  • Großes Os trigonum dorsal des Talus. 

Anmerkung:

  • Seitliche Aufnahmen in 30°-Innen- und -Außenrotation können Kalzifikationen in den Randbereichen des Kalkaneus darstellen. Alternativ können CT oder MRT bei klinischem Verdacht und unauffälligem Röntgenbild eingesetzt werden. Die Aufnahmen in 30°-Innen- und -Außenrotation werden regelmäßig intraoperativ eingesetzt um nach Debridement des Achillessehnenansatzes möglicherweise noch verbliebene Kanten und Kalzifikationen zu identifizieren.
Zur Vollansicht und zum Lesen der Bildbeschreibung bitte die Bilder anklicken.

Coleman Block Aufnahme

Indikation:

  • Bildgebung beim Pes cavus.
  • Bei der Röntgenuntersuchung des Pes cavovarus ist zu berücksichtigen, dass der pronierte Mittel- und Vorfuß, der invertierte Rückfußkomplex und der außenrotierte Unterschenkel miteinander gekoppelt sind und sich je nach Rigidität gegenseitig beeinflussen.
  • Ein Hohllegen des Vorfußes (wie beim Coleman Block Test) erlaubt die Beurteilung der Rückfußstellung unabhängig vom Einfluss der Mittel- und Vorfußpronation. 

Anmerkung:

Folgende weitere Aufnahmemodifikationen werden beim Pes cavovarus empfohlen (Hamel 2019):

  • Dorsoplantare Aufnahme des Fußes unter Belastung mit Tieferlegung des medialen Strahls.
  • OSG a.-p.-Aufnahme mit Ausgleich der supramalleolaren Rotation ohne Tieferlegung des medialen Strahls um eine mögliche tibiotalare Instabilität zu erfassen. 

Seitliche Aufnahme des Fußes mit Ausgleich der supramalleoaren Rotation und mit Tieferlegung des medialen Strahls

Positionierung:

  • Der Patient steht auf einem Podest, beide Beine sind geleichmäßig belastet.
  • Die Kassette liegt medial dem Fuß an.
  • Der Vorfuß schwebt frei, der Patient steht nur auf dem Kalkaneus.
  • Der Fuß wird soweit gedreht, dass medialer und lateraler Malleolus parallel zum Zentralstrahl und im 90° Winkel zur Röntgenkassette zu liegen kommen.
  • Der Zentralstrahl wird in Höhe des Gelenkspalts des OSG zentral auf das Sprunggelenk gerichtet. 

Kennzeichen des Röntgenbildes: 

  • Tibiagelenkfläche und Talusrolle werden seitlich dargestellt, es kommt zu keinen Doppelkonturen.
  • Beim Pes cavus projiziert sich die Fibula meist ins hintere Drittel der Tibiagelenkfläche.
  • Die vordere und hintere Tibiakante, das Chopart-Gelenk und das Subtalargelenk kommen zur Darstellung.
  • Der Weichteilmantel (Achillessehne) ist erkennbar. 

Besondere Bemerkungen zu den Beispielbildern: 

  • Fuß seitlich mit schwebendem Vorfuß.
  • Die Fibula projiziert sich in das dorsale Drittel der Tibia.
  • Die Konfiguration des Rückfußes erscheint weitgehend normal, was für einen erheblichen Einfluss des Vor- und Mittelfußes für die Deformität spricht. 

Abbildung gleicher Patient mit geleichmäßig belastetem Fuß:

  • Durch den Einfluss des Vor- und Mittelfußes kommt es zu einer Außenrotation des Sprunggelenks.
  • Die Fibula steht dorsal der Tibia.
  • Das Zentrum der Deformität befindet sich in der Fußwurzel.
Zur Vollansicht und zum Lesen der Bildbeschreibung bitte die Bilder anklicken.

Rückfußachsaufnahme mit Tieferlegung des 1. Strahls

Indikation:

  • Beurteilung der Rückfußachse ohne Einfluss der Vor- und Mittelfußfehlstellung. 

Positionierung:

  • Der Patient steht auf einem Podest, beide Beine sind gleichmäßig belastet.
  • Der zu untersuchende Fuß steht mit der Ferse auf eine leichten Erhöhung, der Vorfuß schwebt frei.
  • Die Fußachse ist entlang des Zentralstrahls ausgerichtet.
  • Die Röntgenröhre befindet sich dorsal des Beines.
  • Röntgenkassette 20° gekippt zur Vertikalen.
  • Zentralstrahl von dorsal im 90° Winkel auf die Röntgenkassette auf das obere Sprunggelenk fokussiert.

Kennzeichen des Röntgenbildes:

  • Markieren der Tibiaachse mit Verlängerung nach distal.
  • Der funktionelle Hebelarm des Kalkaneus errechnet sich aus der Distanz zwischen der Tibiaachse und dem am weitesten plantar gelegenen Punkt des Kalkaneus.
  • Liegt der tiefste Punkt des Kalkaneus medial der Tibiaachse, handelt es sich um eine Varus-Stellung, liegt er lateral, um eine Valgus-Stellung.
  • Norm: Auftrittspunkt 3,2 ± 8 mm medial der Tibiaachse 14

Besondere Bemerkungen zu den Beispielbilder: 

  • Rückfußachsaufnahme mit schwebendem Vorfuß.
  • Medialer Versatz des Auftittspunktes als Hinweise auf eine Rückfußvarus-Fehlstellung.
Zur Vollansicht und zum Lesen der Bildbeschreibung bitte die Bilder anklicken.

Weitere Literatur

  • Anderson IF, Read JW: Atlas of imaging in sports medicine. 2nd edition. Sidney: McGraw-Hill, 2008.
  • Coughlin, MJ: Juvenile hallux valgus. In Coughlin, MJ; Mann, RA (eds): Surgery of the foot and ankle, 7 th edition, St. Louis: Mosby Yearbook, pp. 270 – 319, 1999.
  • Hamel J, Kinast C: Der TMT-Index zur radiologischen Quantifizierung von Planovalgus-Deformitäten. Fuß & Sprunggelenk (2006) 4:221–226.
  • Hamel J: Operative Behandlung von Fuß- und Sprunggelenk im Kindes- und Jugendalter. Berlin: Springer, 2019.
  • Keats TE: Normvarianten im Röntgenbilder. Befunde ohne Krankheitswert. München: Urban & Fischer, 1998.
  • Scheuer LB, Black S: Developmental juvenil osteology. Oxford: Elsevier 2000.
  • Szeimies U, Stäbler A, Walther M: Bildgebende Diagnostik des Fußes, 1. Aufl.2012 Georg Thieme Verlag Stuttgart. New York.
  • Zwipp H, Rammelt S: Tscherne Unfallchirurgie: Fuß. Berlin: Springer, 2014.
Loading…
Loading the web debug toolbar…
Attempt #