Zusammenfassung

Die MRT spielt eine herausragende Rolle in der Diagnostik bei Patienten mit Schmerzen am Mittel- und Vorfuß, da die klinische Untersuchung und Anamnese alleine oft zu unspezifisch sind um eine sichere Diagnose zu ermöglichen. Zudem liefert die MRT wichtige Detailinformationen für die Prognose und Therapieplanung.
In diesem Beitrag werden die MR-tomographischen Befunde der häufigsten Schmerzursachen an Hand typischer Beispiele dargestellt. Zu diesen gehören die Stressreaktion bzw. Stressfrakturen, traumatische und degenerative Veränderungen der plantaren Platte, Morton-„Neurome“, Bursitiden, pathologisch Veränderungen der Sesambeine, die Gicht und degenerative Veränderungen der Gelenke sowie der Sehnen.

MRT des Mittel- und Vorfußes

Schmerzen am Mittel- und Vorfuß können viele verschiedene Ursachen haben, die sich klinisch oft nicht zuverlässig voneinander trennen lassen. Die MRT spielt daher eine herausragende Rolle in der Differentialdiagnostik. Die häufigsten Schmerzursachen sind Stressreaktionen und –frakturen, Degeneration bzw. Ruptur der plantaren Platte und Morton-Neurome. Am Großzehengrundgelenk sind die aktivierte Arthrose und die Gicht noch zu den sehr häufigen Schmerzursachen zu zählen. Nicht ganz so häufige Schmerzursachen am Mittel- und Vorfuß sind Arthritiden der anderen Gelenke (z. B. im Rahmen einer rheumatischen Erkrankung), intermetatarsale Bursitiden, die subchondralen Insuffizienzfrakturen und Nekrosen der Metatarsaleköpfchen sowie Frakturen oder Nekrosen der Sesambeine.
In einigen Fällen ist auch ohne MRT anhand der Symptomatik, der Anamnese und dem Alter des Patienten eine eindeutige Diagnose möglich. In diesen Fällen kann die MRT zur Beurteilung des Ausmaßes der Veränderungen eine wichtige Rolle spielen, sofern das weitere therapeutische Procedere hiervon abhängt.

Aus obiger Auflistung der zu erwartenden Pathologien kann auf die sinnvolle Untersuchungstechnik bei der MRT geschlossen werden: Fettsupprimierte wassergewichtete Sequenzen (meist PD FS) in mindestens 2 Ebenen sowie eine T1-gewichtete Sequenz sind eine gute Basis für das Untersuchungsprotokoll, das dann je nach Fragestellung oder Befund ergänzt werden muss. Dies wird anhand der folgenden Fallbeispiele aufgezeigt.

Stressreaktionen und –frakturen

Wenn Stressreaktionen- und frakturen Folge einer offensichtlichen Überlastung sind, ist die Diagnose in aller Regel klinisch und anamnestisch zu stellen. Die MRT dient eher der Unterscheidung zwischen reiner Stressreaktion und bereits eingetretener Fraktur (Abb. 1).
Bei inadäquater Besserung unter Entlastung kann der Ausschluß einer chronischen Stressreaktion oder einer sich entwickelnden Pseudarthrose ein Grund für eine MRT Untersuchung sein (Abb. 2).
Diese Art der Stressfraktur, bei der ein gesunder Knochen einer unphysiologischen und vor allem ungewohnten Belastung ausgesetzt wird, wird auch als Ermüdungsfraktur bezeichnet.
Für den klinischen Kollegen besonders diagnostisch herausfordernd sind Ermüdungsfrakturen dann, wenn der Grund für die Überlastung vom Patienten nicht selbst erkannt wird. Neue Schuhe, Einlagen oder auch eine veränderte Belastung durch Schmerzen in einem anderen Gelenk sind häufige Gründe, die durch eine exakte Anamnese aufgedeckt werden können. Auch Stressfrakturen an ungewöhnlichen Lokalisationen können klinisch diagnostische Probleme bereiten (Abb. 3).

Auch die Insuffizienzfraktur, also die Fraktur eines zu schwachen Knochens unter physiologischer Belastung, wird oft erst durch die MRT erkannt. Sie betrifft häufig ältere Patienten mit Osteoporose, oder Patienten, die länger entlasten mussten und eine Inaktivitätsosteopenie aufweisen. Insuffizienzfrakturen kommen jedoch auch vor, ohne dass die Ursache für die Insuffizienz bekannt ist (Abb. 4). In diesen Fällen werden sie als idiopathisch bezeichnet. Meist sind Insuffizienzfrakturen bei Diagnosestellung rein subchondral oder trabekulär lokalisert. Der rechtzeitige Nachweis dieser Frakturen ist von besonderer Bedeutung um eine weitere Belastung zu vermeiden und dem Risiko des Einbruchs mit möglicher Entwicklung einer Osteonekrose vorzubeugen.

Degeneration und Ruptur der plantaren Platte

Die Gelenkkapseln der Metatarsophalangealgelenke und Interphalangealgelenke haben plantar eine kräftige faserknorpelige Verstärkung. Sie wird als plantare Platte bezeichnet. Die plantaren Platten sind über die seitlich einstrahlenden Ligg. metatarsale transversum profundum miteinander verbunden. Beugeseitig ist die Sehnenscheide der Flexorensehnen mit der plantaren Platte verwachsen. Degeneration und Rupturen führen zu einer Überstreckbarkeit dieser Gelenke.
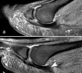
Rupturen ereignen sich am häufigsten an den distalen Insertionen der Metatarsophalan­gealgelenke (Abb. 5), etwas seltener auf Höhe der Metatarsaleköpfchen. Die Läsionen können sehr umschrieben sein, quer durch die gesamte plantare Platte reichen und sich sogar bis in die Kollateralbänder fortsetzen 1. Rupturen der plantaren Platte finden sich am häufigsten an der zweiten Zehe, die dritte Zehe ist etwas seltener betroffen. An der vierten und fünften Zehe sind die Läsionen sehr ungewöhnlich. Rupturen der pantaren Platte führen häufig zu einer ausgeprägten Weichteilreaktion, die nicht als Morton-Neurom fehlgedeutet werden sollte (Abb. 6) und zur Ausbildung einer Neo-Bursa führen können (Abb. 7).
Ein Sonderfall stellt die Großzehe dar: Hier verstärken die Sesambeine, das intersesamoidale und die sesamophalangealen Bänder die Gelenkkapsel. Der faserknorpelige Anteil der plantaren Platte distal der Sesambeine ist oft nur sehr dünn. Verletzungen dieser plantaren Kapselstrukturen des Großzehengrundgelenkes werden auch als „turf toe“ bezeichnet
(Abb. 8).

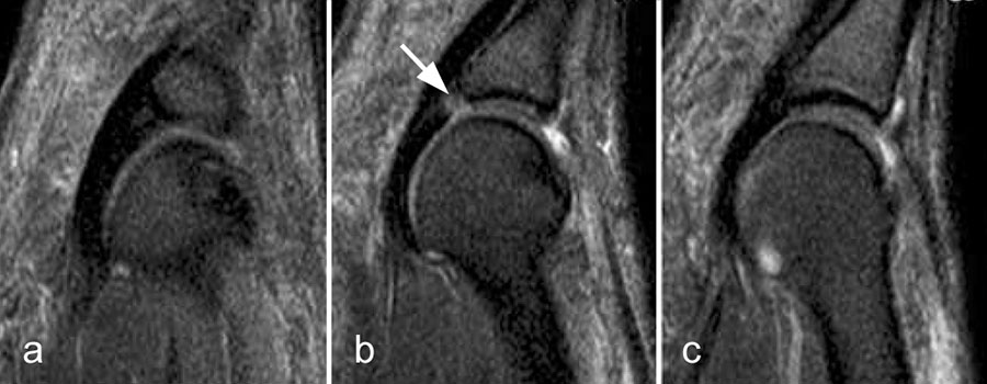
Die sagittalen PD FS Schichten im medialen und lateralen Bereich der plantaren Platte (a, c) zeigen eine völlig unauffällige,  Der kleine Flüssigkeitseinschluss in der Mittellinie der Zehe (b, Pfeil) entspricht einem physiolo
Abbildung 9

Cave!

Zwischen der plantaren Platte und der Grundphalanx ist in der Mittellinie des Gelenkes ein kleiner Rezessus vorhanden (Abb. 9).
Dieser flüssigkeitsgefüllte Raum darf nicht als Ruptur der plantaren Platte fehlinterpretiert werden 23. Verletzungen der plantaren Platte erfassen immer auch den medialen oder lateralen Zügel.

Morton-„Neurome“

Der Begriff Morton-„Neurom“ ist im Grunde veraltet und irreführend, denn es handelt sich weder um einen Nerven- noch um einen Nervenscheidentumor, sondern um eine perineurale Fibrosierung. Da das interdigitale Gefäßnervenbündel charakteristisch in die Läsion hinein- und distal auch wieder aus der Läsion herauszieht, entsteht lediglich das Bild eines vom Nerven ausgehenden Tumors. Die charakteristischen Merkmale von Morton-„Neuromen“ sind deren Lage plantar auf Höhe der Metatarsaleköpfchen und die oft typische tropfenförmige Konfiguration (Abb. 10).
Aufgrund des hohen Bindegewebsanteils sind sie in der MRT in T2-gewichteten Bildern in der Regel auffallend signalarm, die T1 zeigt eine unspezifische Weichteilintensität. Die Anreicherung nach intravenöser Kontrastmittelgabe ist sehr variabel und erlaubt somit kaum diagnostische Rückschlüsse.
Durch seitliche Kompression des Fußes verlagern sich Morton-„Neurome“ oft weiter nach plantar in die Weichteile. Klinisch entspricht dies dem sogenannten Mulder-Zeichen 4. In der Bildgebung kann man sich den Effekt zu Nutzen machen, indem man in Bauchlage untersucht und durch die seitliche Fixierung eine entsprechende Kompression erzeugt. Die Befunde sind dann oft deutlich besser zu erkennen (Abb. 11).
Morton-„Neurome“ liegen fast immer im zweiten oder dritten Interdigitalraum. Zu beachten ist, dass Morton-„Neurome“ über lange Zeit größenkonstant sein können (Abb. 12) und kleinere Morton-„Neurome“ (unter 5 mm) sehr häufig bei asymptomatischen Gesunden beobachtet werden.
Problematisch ist die Untersuchung nach früherer Resektion, da operativ bedingte fibrotische Veränderungen häufig sind und ein Rezidiv vortäuschen können. Eine bildgebende Unterscheidung asymptomatischer von symptomatischen Befunden ist nicht immer möglich 5.

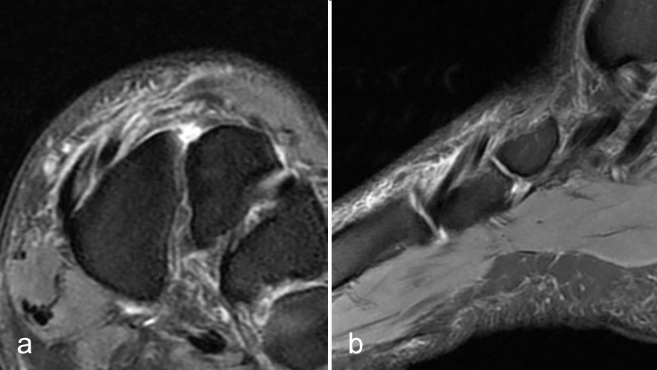
Intermetatarsale Bursitis

Intermetatarsale Bursitis bei rheumatoider Arthritis mit Erguss (a) und deutlicher Synovialitis in mehreren Schleimbeuteln (b).
Abbildung 13

Zwischen den Metatarsaleköpfchen befinden sich kleine Schleimbeutel, die in der Regel MR-tomographisch nicht zu identifizieren sind. Sie werden erkennbar, wenn sie zarte Flüssigkeitsstreifen enthalten, was noch nicht als pathologisch zu werten ist. Eine signifikante Distension und vor allem eine verstärkte Kontrastmittelanreicherung sind Ausdruck einer Bursitis. Die isolierte Bursitis intermetatarsal ist selten und stets hochverdächtig für das Vorliegen einer rheumatischen Grunderkrankung (Abb. 13).
Häufig sind intermetatarsale Bursitiden als Begleitphänomen bei Rupturen oder Degenerationen der plantaren Platte und auch bei Morton-„Neuromen“.

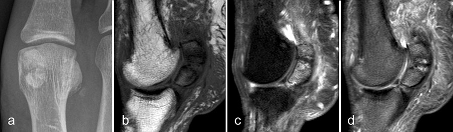
Sesambeine

Die zystischen Veränderungen und die angrenzende Skleros
Abbildung 14

Pathologische Veränderungen der Sesambeine können erhebliche Beschwerden verursachen. Die Unterscheidung einer Fraktur von einem bipartiten Sesambein ist am einfachsten röntgenologisch möglich, da bei einem bipartiten Sesambein die zwei Kerne abgerundet sind und sich nicht wie zwei zusammen passende Puzzlestücke zu einem „ganzen“ Sesambein ergänzen. Findet sich in der MRT ein völlig normales Fettsignal in beiden Anteilen, kann man ebenfalls von einem bipartiten Sesambein ausgehen. Sind ein oder beide Teile in T1 signalgemindert, kann es sich um eine Stressreaktion (Abb. 14) oder auch Nekrose bei vorbestehendem bipartitem Sesambein aber auch um eine Fraktur mit Pseudarthrosenbildung handeln. Die ätiologisch oft unklare entzündliche Aktivierung eines Sesambeins wird als „Sesamoiditis“ bezeichnet 67.

Gicht

Typische Gichtmanifestation an der Großzehe mit Tophusstachel (Pfeil) und großem Tophus, in welchem Uratablagerungen identifiziert werden können (Pfeilspitze). T1-gewichtete Sequenz vor (a) und nach (b) Kontrastmittelgabe, letztere mit Fettsuppression.
Abbildung 15

Die alte Regel, dass jede akute Monarthritis beim Mann verdächtig auf Gicht ist, gilt noch immer!
Dies erst recht, wenn diese Arthritis am Großzehen­grundgelenk auftritt (Abb. 15). In diesen Fällen sollte man den Verdacht auch dann aufrechterhalten, wenn die MRT nur eine unspezifische Entzündung zeigt und die Harnsäurewerte, die starken Schwankungen unterliegen können, nicht erhöht sind.
Spezifische MR Befunde finden sich erst bei der chronischen Gicht, wenn sich in T2 sehr signalarme Kristallablagerungen und Gicht-Tophi bilden. Letztere führen dann häufig zu den aus der Röntgendiagnostik bekannten gelenkfernen Erosionen.

Abbildung 15: Typische Gichtmanifestation an der Großzehe mit Tophusstachel (Pfeil) und großem Tophus, in welchem Uratablagerungen identifiziert werden können (Pfeilspitze). T1-gewichtete Sequenz vor (a) und nach (b) Kontrastmittelgabe, letztere mit Fettsuppression.

Arthrose

Die Arthrose des Großzehengrundgelenkes ist außerordentlich häufig, gehört aber zu den Befunden, die selbst bei entzündlicher Aktivierung sehr oft asymptomatisch sind. Man sollte sich daher nicht verleiten lassen, vorschnell die Ursache einer Metatarsalgie einer aktivierten Großzehengrundgelenksarthrose zuzuschreiben. Die Unterscheidung, ob es sich um einen symptomatischen Befund handelt oder nicht, ist nur klinisch und nicht bildgebend möglich.
Degenerative Veränderungen im Bereich der Fußwurzel und tarsometatarsal sind wiederum häufig schmerzhaft. Es zeigen sich die klassischen morphologischen Veränderungen der Gelenkdegeneration (Gelenkspaltverschmälerungen, Osteophyten, Zystenbildungen, subchondrale Knochenmarkveränderungen) (Abb. 16) und häufig Zeichen der entzündlichen Aktivierung (Erguss, Synovialitis, Kapselschwellung).
Die Diagnose ist meist schon klinisch und radiographisch zu stellen. Eine relativ häufige Differenzialdiagnose, die klinisch wie eine mediale tarsometatarsale Degeneration imponieren kann, ist die Tendinopathie der Tibialis anterior Sehne (Abb. 17).

Loading…
Loading the web debug toolbar…
Attempt #