Vorbemerkungen

Die dorsale Arthroskopie ist eine geeignete Technik zur Behandlung sowohl extraartikulär lokalisierter Beschwerdebilder als auch intraartikulär im posterioren Kompartiment des OSG und USG gelegener Läsionen 12345678. Differenziert werden ossäre, chondrale und weichteilbedingte Pathologien, wobei die häufigste Indikation zur Arthroskopie am Rückfuß das knöcherne posteriore Impingementsyndrom darstellt. Aufgrund der engen Lagebeziehung der Sehne des M. flexor hallucis longus (FHL) führt das ossäre Impingement am oberen und unteren Sprunggelenk oftmals zu einer Einengung der FHL-Sehne 9.
Die FHL-Sehne stellt für die dorsale Arthroskopie am OSG und USG eine wichtige Landmarke dar, da weitere anatomische Strukturen zur Orientierung im posterioren extraartikulären Fettgewebsraum (sog. Kargerscher Raum) fehlen. Medial der Sehne verlaufen die Flexor digitorum longus-Sehne, die Tibialis posterior-Sehne sowie der N. tibialis mit dem begleitenden Gefäßbündel. Lateral der FHL-Sehne befindet sich die sogenannte „sichere Zone“.
Die dorsale Arthroskopie kann einzeitig in Kombination mit einer ventralen OSG-Arthroskopie durchgeführt werden. Hierfür empfiehlt sich allerdings eine intraoperative Umlagerung des Patienten.

Vorteile

  • Minimal-invasive weichteilschonende OP-Methode.
  • Kosmetisch besseres Ergebnis als bei offener Op.
  • Bessere Visualisierung der Strukturen und der Pathologie.
  • Geringere Komplikationsrate im Vergleich zu den offen-chirurgischen Techniken.
  • Schnellere Rehabilitationsphase gegenüber der offen-chirurgischen Vorgehensweise.

Nachteile

  • Anfänglich erschwerte Orientierung im extraartikulären Kargerschen Raum zu Beginn der Operation.

Indikationen

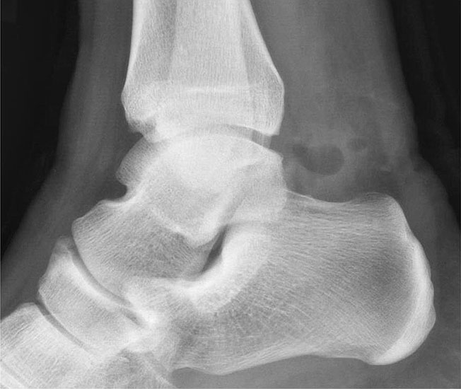
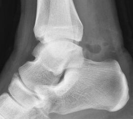
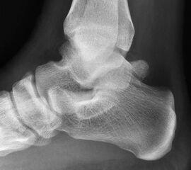
  • Symptomatisches Os trigonum.
  • Osteophyten am dorsalen OSG und USG.
  • Freie Gelenkkörper im posterioren Kompartiment des OSG und USG.
  • Chondrale bzw. osteochondrale Läsionen am dorsalen OSG und USG.
  • Posteriores Weichteilimpingement am OSG und USG.
  • Pathologien im Bereich der FHL-Sehne 1011.

Kontraindikationen

  • Lokaler Infekt.

Patientenaufklärung

  • Allgemeine Operationsrisiken.
  • Teilbelastung an Unterarmgehstützen für 1-2 Wochen postoperativ.
  • Sportpause für 4-6 Wochen postoperativ.
  • Läsion des N. tibialis und der A. und V. tibialis.
  • Läsion des N. suralis.
  • Verletzung der Flexor hallucis longus-Sehne und der Flexor digitorum longus-Sehne.
  • In seltenen Fällen Wechsel auf eine offene OP-Technik.

Operationsvorbereitungen

  • Röntgenbild des OSG in 2 Ebenen.
  • MRT zur Beurteilung von Weichteilpathologien und Knorpelläsionen.
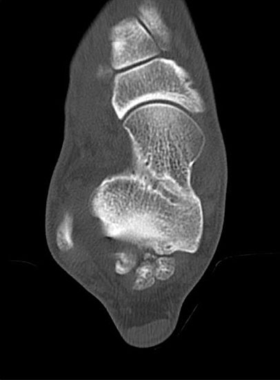
  • CT zur Bestimmung der Lage und Größe von Osteophyten bzw. Ossikeln.
  • Dokumentation der Sensibilität (N. suralis und N. tibialis).

Instrumentarium

  • 4,0 mm Arthroskop mit 30° Blickwinkel.
  • Shaversystem mit Weichteilresektor sowie Kugel-, Zapfen- oder Walzenfräse (3,5-5,5mm Durchmesser).
  • Bipolare Radiofrequenzsonde.
  • Bildverstärker im seitlichen Strahlengang.

Anästhesie und Lagerung

  • Intubationsnarkose, Larynxmaskennarkose, Spinalanästhesie.
  • Fakultativ: Oberschenkel- oder Unterschenkelblutsperre.
  • Bauchlagerung, das distale Drittel des Unterschenkels hängt über die Tischkante hinaus, das kontralaterale Bein wird abgesenkt. Es sollte darauf geachtet werden, dass der Fuß streng orthograd ausgerichtet ist (Abbildung Nr. 1 und 2).
  • Strahlenschutzmatte für den Patienten.

Operationstechnik

Abbildung Nr. 3 und 4

Die hohen paraachillären Zugänge befinden sich auf Höhe der Außenknöchelspitze unmittelbar medial und lateral der Achillessehne. Zur Identifikation der korrekten Zugangshöhe wird das OSG in Neutralstellung gebracht und eine Linie parallel zur Fußsohle gezogen, welche die Achillessehne kreuzt. Um den N. suralis nicht zu verletzen, wird die Haut nur vorsichtig inzidiert und die Weichteile mit einem Klemmchen aufgespreizt.

Anmerkung:

Einige Autoren bevorzugen die Verwendung eines akzessorischen posteromedialen und posterolateralen Portals, welches sich auf Höhe der Fibulaspitze jeweils ca. 0-1,5 cm medial bzw. lateral der Achillessehne befindet. Medialseitig gelangt man dadurch allerdings in die Nähe der posterioren tibialen Gefäß-Nerven-Strukturen. Beim akzessorischen posterolateralen Portal besteht ein erhöhtes Risiko einer Läsion des N. suralis als bei Verwendung des paraachillären Standardportals 1213.

Abbildung Nr. 5-7

Über das laterale Portal wird ein 4,0 mm Arthroskop senkrecht nach ventral eingebracht mit der Zielrichtung auf den 1. Interdigitalraum. Zur Orientierung kann mit dem stumpfen Wechselstab zunächst der Kontakt zum Knochen getastet werden. Es lassen sich so auch die dorsale Tibiakante, der Proc. posterior des Talus und die craniale Begrenzung des Kalkaneus identifizieren. Ist das Arthroskop über das laterale Portal eingeführt, wird die Blickrichtung nach lateral ausgerichtet. Von medial wird ein Weichteilshaver eingeführt, dessen Arbeitsöffnung nach ebenfalls lateral weist. Die Instrumente werden in der Weise trianguliert, dass die Shaverspitze unmittelbar vor dem Arthroskop identifiziert werden kann (rechte Seite, m=medial, l=lateral).

Abbildung Nr. 8-10

Es wird zunächst ein Weichteildebridement durchgeführt, bis die Flexor hallucis longus-Sehne identifiziert werden kann. Während des Debridements sollte auf die korrekte Ausrichtung der Instrumentenöffnung nach lateral geachtet werden. Im Verlauf empfiehlt sich der Wechsel auf eine bipolare Ablationselektrode, die eine gezielte Freilegung der Strukturen unter gleichzeitiger Blutstillung ermöglicht, ohne dabei unkontrolliert Gewebe anzusaugen (rechte Seite, m=medial, l=lateral). Das Os trigonum bzw. die Osteophyten sowie die FHL-Sehne müssen vollständig dargestellt werden (*=Os trigonum, FHL=Flexor hallucis longus-Sehne).

Abbildung Nr. 11-13

Das Os trigonum wird aus dem Weichteilgewebe gelöst und anschließend mit einer Fasszange entfernt. Bei größeren Knochenfragmenten muss ggf. das mediale Arthroskopieportal um wenige Millimeter verlängert werden, um die Extraktion zu ermöglichen. Nach Resektion des Os trigonum ist die posteriore Facette des Subtalargelenks erkennbar (rechte Seite, PF=posteriore Facette, FHL=Flexor hallucis longus-Sehne, T = Talus, K = Kalkaneus, *=Os trigonum).

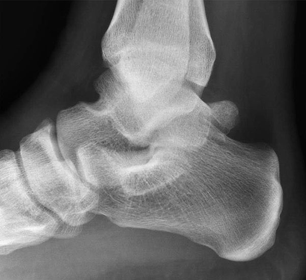
Abbildung Nr. 14-16

Reseziertes Os trigonum sowie prä- und postoperatives seitliches Röntgenbild nach arthroskopischer Entfernung eines Os trigonum.

Video Nr. 1

Arthroskopische Resektion eines Os trigonum (rechte Seite).

Video Nr. 2

Arthroskopische Osteophytenglättung am posterioren medialen Talus (rechte Seite).

Besonderheiten:

Abbildung Nr. 17 und 18, Video Nr. 3

Das arthroskopische Verfahren eignet sich auch zur Resektion multipler Ossikel (*) und Osteophyten (O). Hier ist der intraoperative Einsatz eines Bildverstärkers unabdingbar, um keine Knochenfragmente im Weichteilgewebe zu übersehen. Zur Osteophytenresektion können problemlos kleine Flachmeißel über die Arthroskopiezugänge verwendet werden (rechte Seite, m= medial, l= lateral, FHL=Flexor hallucis longus-Sehne).

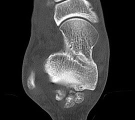
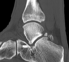
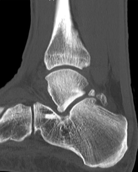
Abbildung Nr. 19-22

Knochenresektat sowie präoperatives CT (Sagittal- und Transversalebene) und intraoperative Bildwandlerkontrolle im seitlichen Strahlengang nach arthroskopischer Entfernung multipler Ossikel am dorsalen OSG/USG.

Abbildung Nr. 23 und 24, Video Nr. 4

Große osteophytäre Anbauten, welche die FHL-Sehne vollständig ummauern, sind ebenfalls sehr gut in der beschriebenen Technik adressierbar. Präoperatives CT und intraoperative Bildwandlerkontrolle im seitlichen Strahlengang (linke Seite).

Postoperative Behandlung

  • Eine Ruhigstellung ist nicht zwingend erforderlich.
  • Das postoperative Therapieregime richtet sich nach der behandelten Pathologie.

Knochenresektion oder Weichteildebridement am dorsalen OSG und USG:

  • Teilbelastung mit 20kg an Unterarmgehstützen für 1 Woche, dann Übergang zur Vollbelastung bei reizlosen Wundverhältnissen. Bei starker Schwellung ggf. Verlängerung der Teilbelastung bis zum Fadenzug.
  • Bei Resektion von Osteophyten oder Entfernung eines Os trigonum postoperative seitliche Röntgenkontrolle des OSG.
  • Entfernen der Hautfäden nach 12-14 Tagen.
  • Physiotherapie ab der 2. postoperativen Woche (freier Bewegungsumfang, manuelle Lymphdrainage).
  • Sportpause für 4-6 Wochen postoperativ.

Mikrofrakturierung am dorsalen OSG und USG:

  • Teilbelastung mit 20kg an Unterarmgehstützen für 6 Wochen, dann Übergang zur Vollbelastung.
  • Eine postoperative Röntgenkontrolle ist nicht erforderlich.
  • Entfernen der Hautfäden nach 12-14 Tagen.
  • Physiotherapie ab der 2. postoperativen Woche (freier Bewegungsumfang, manuelle Lymphdrainage).
  • Sportpause für 12 Wochen.

Fehler, Gefahren, Komplikationen

  • Verbliebene Osteophytenreste oder Ossikel: durch den Vergrößerungseffekt des Arthroskops kann es zu Fehleinschätzungen des Resektionsausmaßes kommen. Darüber hinaus können Knochenfragmente im Weichteilgewebe übersehen werden. Dies kann durch die intraoperative Durchleuchtungskontrolle im seitlichen Strahlengang vermieden werden. Osteophyten und Ossikel können ggf. mit einer Kanüle markiert werden, um sie leichter im Weichteilgewebe zu identifizieren.
  • In sehr seltenen Fällen ist eine rein arthroskopische Therapie nicht möglich. Dann muss auf ein offen-chirurgisches Vorgehen umgeschwenkt werden, wobei eines der Arthroskopieportale im Sinne einer Längsinzision erweitert wird. Aufgrund der Verletzungsgefahr des N. suralis bietet sich hierfür der posteromediale Zugang an. Der Patient muss vor dem Eingriff über ein solches Vorgehen aufgeklärt werden.
  • Verletzung der Flexor hallucis longus-Sehne: Dies kann vermieden werden, indem zu Beginn der Operation die Ausrichtung der Instrumente zum 1. Interdigitalraum beachtet wird, bis die FHL-Sehne eindeutig identifiziert werden kann. Die Shaveröffnung sollte nach lateral gerichtet sein, um die medial verlaufende FHL-Sehne zu schützen.
  • „False FHL“: In sehr seltenen Fällen können anatomische Normvarianten in Form eines M. digitorum longus accessorius oder M. perocalcaneus internus vorliegen 14. Die Sehnen dieser Muskeln weisen einen ähnlichen Verlauf wie die Flexor hallucis longus-Sehne auf („false FHL“) und können den Operateur bei der intraoperativen Orientierung fehlleiten.
  • Verletzung des posterioren tibialen Gefäßnervenbündels: Durch die Ausrichtung der der Arbeitsöffnung der Instrumente (Shaver, Radiofrequenzsonde) nach lateral können die neurovaskulären Strukturen mit der geschlossenen Seite des Arbeitsgeräts geschützt werden. Das Risiko von Verletzungen wird deutlich vermindert, wenn die FHL-Sehne als mediale Begrenzung der „sicheren Zone“ beachtet wird.
  • Läsion des N. suralis: Um eine Verletzung des. N. suralis zu vermeiden, sollten bei der Anlage der Portale die Haut nur vorsichtig inzidiert und die tiefer gelegenen Weichteile stumpf mit einem Klemmchen aufgespreizt werden.

Ergebnisse

Mit der arthroskopischen Technik zur Behandlung des knöchernen Impingementsyndroms und des Weichteilimpingements am dorsalen OSG und USG lassen sich sehr gute klinische Resultate erzielen 151661741819. In einem Kollektiv von 15 Patienten erzielten Willits et al. einen AOFAS (American Orthopaedic Foot and Ankle Society) Hindfoot Score 20 von 91 (77-100) bei einer vollständigen Wiederherstellung der Arbeitsfähigkeit nach durchschnittlich einem Monat postoperativ 21. In einer Untersuchung von van Dijk et al. verbesserte sich der AOFAS Hindfoot Score von präoperativ 75 Punkte auf 90 Punkte postoperativ 2. Neben der Steigerung des AOFAS Hindfoot Scores von 68 auf 98,3 Punkte konnten Noguchi et al. eine Zunahme des Bewegungsumfangs im oberen Sprunggelenk von 59,2° auf 68,4° nachweisen 22. Ebenfalls signifikante Steigerungen des AOFAS Hindfoot Scores fanden sich in den Arbeiten von Ogut et al. 2011 (56,7 Punkte präoperativ auf 85,9 Punkte postoperativ) 6 sowie Jerosch und Fadel 2006 (43 Punkte präoperativ vs. 87 Punkte postoperativ) 23.
Die Komplikationsraten der dorsalen Arthroskopie am OSG und USG werden in der Literatur mit 0-6,6% angegeben 2415232562, wobei überwiegend Läsionen des N. suralis und Wundheilungsstörungen aufgeführt werden.
Die deutlich kürzere Rehabilitationsphase nach der arthroskopischen Behandlung ist als Vorteil zu bewerten. Nach durchschnittlich 5-12 Wochen erreicht der Großteil der Patienten (71-100%) ihr präoperatives Aktivitäts- und Sportniveau 241523262722.

Loading…
Loading the web debug toolbar…
Attempt #